Khối u trung thất không mạch máu
Ngày xuất bản
Bài tổng quan này dựa trên bài trình bày của Marilyn Siegel và được Valerie Niehe chuyển thể cho Radiology Assistant.
Marilyn Siegel chuyên về chẩn đoán hình ảnh nhi khoa và lồng ngực.
Trong bài tổng quan này, chúng tôi sẽ thảo luận về các khối trung thất không phải mạch máu thường gặp nhất trong lồng ngực.
Trong CT Lồng ngực Nhi khoa phần II, chúng tôi sẽ thảo luận về các bất thường mạch máu thường gặp nhất của động mạch chủ, mạch máu phổi và tĩnh mạch hệ thống trong lồng ngực.
Chẩn đoán phân biệt
Chẩn đoán phân biệt một khối trung thất dựa trên việc xác định vị trí của khối trong trung thất trước, trung thất giữa hoặc trung thất sau, cùng với đặc điểm tỷ trọng: mô mềm, mỡ, dịch và mức độ ngấm thuốc.
Giải phẫu bình thường
Tuyến ức
Ở trẻ sơ sinh và trẻ nhỏ (
Ở trẻ lớn hơn, tuyến ức dần có hình tam giác hoặc hình mũi tên với các bờ thẳng hoặc lõm.
Đến 15 tuổi, tuyến ức có hình tam giác ở hầu hết tất cả các cá thể.
Tuyến ức có thùy rõ rệt luôn là dấu hiệu bất thường.
Ở trẻ trước tuổi dậy thì, tuyến ức đồng nhất.
Giá trị tỷ trọng tương đương với cơ xương.
Ở thanh thiếu niên, tuyến ức có thể không đồng nhất, chứa các vùng mô mỡ.
Các biến thể giải phẫu bao gồm sự lan rộng vào trung thất sau hoặc vùng cổ trên.
Các dấu hiệu gợi ý chẩn đoán là:
- Không có hiệu ứng khối
- Liên tục với tuyến ức bình thường
- Lan rộng giữa tĩnh mạch chủ trên và khí quản
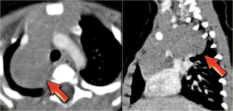
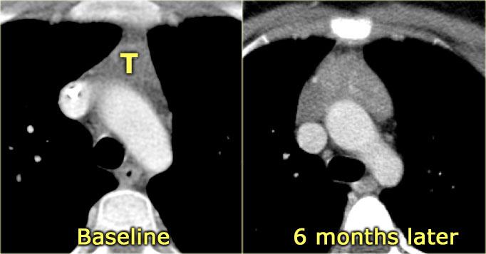
Hình ảnh cho thấy tuyến ức lan rộng lên trên đến các mạch máu thân tay đầu.
Tuyến ức liên tục với tuyến ức bình thường và lan rộng giữa tĩnh mạch chủ trên và khí quản.
Không có hiệu ứng khối.
Hạch bạch huyết bình thường
Hiện chưa có dữ liệu được thiết lập rõ ràng về kích thước hạch bạch huyết bình thường ở trẻ sơ sinh và trẻ nhỏ.
Các hạch bạch huyết trung thất thường không được nhìn thấy trên CT trước tuổi dậy thì.
Các hạch sau đó không được vượt quá 1 cm ở chiều rộng nhất.
Ngách azygô-thực quản có dạng lồi sang phải ở trẻ dưới 6 tuổi, thẳng ở trẻ từ 5 đến 12 tuổi, và lõm ở thanh thiếu niên và người lớn.
Nhận biết hình dạng lồi sang phải bình thường là điều quan trọng để không nhầm lẫn với hình ảnh hạch to.
Khối Trung Thất Trước
Các khối trung thất trước thường có nguồn gốc từ tuyến ức.
- Mô mềm: U lympho và Tăng sản tuyến ức
- Mỡ: U tế bào mầm.
- Tỷ trọng nước: U bạch huyết
U lympho Hodgkin
U lympho là khối trung thất trước thường gặp nhất ở trẻ em, trong đó u lympho Hodgkin gặp nhiều hơn u lympho không Hodgkin từ ba đến bốn lần.
Có thể thấy các vôi hóa hoặc vùng nang hóa, do hoại tử thiếu máu cục bộ hậu quả của sự phát triển khối u nhanh chóng.
Hạch bạch huyết to do u lympho có hình ảnh đa dạng, từ các hạch to nhẹ ở một vùng đơn độc đến các khối mô mềm tập hợp lớn ở nhiều vùng.
Tuyến ức to và hạch bạch huyết to ngấm thuốc tối thiểu hoặc không ngấm thuốc sau khi tiêm thuốc cản quang tĩnh mạch.
Các dấu hiệu kèm theo bao gồm hẹp đường thở và chèn ép các cấu trúc mạch máu.
U lympho Hodgkin ở trẻ em thường gặp hơn trong thập kỷ thứ hai của cuộc đời.
Khối u lympho thường khu trú ở trung thất trước và phản ánh tình trạng hạch bạch huyết to hoặc thâm nhiễm và phì đại tuyến ức.
Tuyến ức phì đại có hình tứ giác với bờ bên lồi, thùy múi.
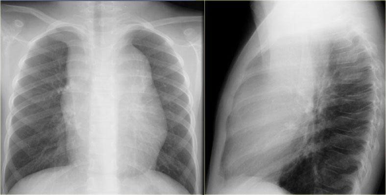
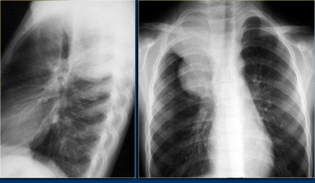
Phim ngực cho thấy các đặc điểm điển hình của u lympho Hodgkin, ví dụ: một khối trung thất trước.
Các hình ảnh CT của cùng bệnh nhân cho thấy một khối mô mềm lớn ở trung thất trước, xuất phát từ tuyến ức.
Có hạch cạnh khí quản kèm theo (mũi tên).
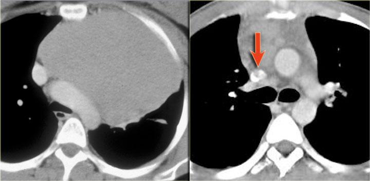
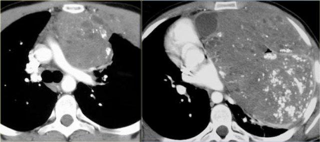
Hai trường hợp u lympho Hodgkin khác.
Các trường hợp này cũng cho thấy khối trung thất trước và hạch cạnh khí quản to.
U lympho không Hodgkin
Bệnh không Hodgkin ở trẻ em xảy ra trong thập kỷ đầu và thứ hai của cuộc đời.
Bệnh thường liên quan đến các hạch trong lồng ngực (cạnh khí quản, dưới carina và rốn phổi).
Sự lan rộng của bệnh không liên tục, có thể bỏ qua một vị trí.
Bệnh không Hodgkin, trái ngược với bệnh Hodgkin, thường không ảnh hưởng đến tuyến ức.
Trong trường hợp này, các hạch bạch huyết to được thấy ở vùng cạnh khí quản phải, rốn phổi và dưới carina.
Tăng sản tuyến ức
Tăng sản tuyến ức là một nguyên nhân khác gây phì đại tuyến ức.
Ở trẻ em, tăng sản tuyến ức thường là tăng sản ‘phục hồi’ liên quan đến hóa trị liệu, đặc biệt là liệu pháp corticosteroid.
Tăng sản phục hồi có thể được quan sát trong quá trình hóa trị hoặc sau khi hoàn thành điều trị và xảy ra từ 3 đến 10 tháng sau khi bắt đầu hóa trị.
Cơ chế của tăng sản được cho là do sự suy giảm ban đầu của các tế bào lympho từ phần vỏ của tuyến do nồng độ glucocorticoid huyết thanh cao, tiếp theo là sự tái tạo quần thể tế bào lympho vỏ khi nồng độ cortisone trở về bình thường.
Trên CT, tăng sản biểu hiện là sự phì đại lan tỏa của tuyến ức, với sự bảo tồn hình dạng tam giác bình thường.
Định nghĩa tăng sản tuyến ức là thể tích tuyến ức tăng > 50%.
CT, MRI hoặc PET không thể phân biệt tăng sản phục hồi với thâm nhiễm tuyến ức do khối u.
Sự vắng mặt của các bệnh hoạt động khác và sự giảm dần kích thước tuyến ức trên các lần chụp CT nối tiếp hỗ trợ chẩn đoán tăng sản phục hồi.
Tuyến ức thường trở về kích thước bình thường trong 3 đến 6 tháng.
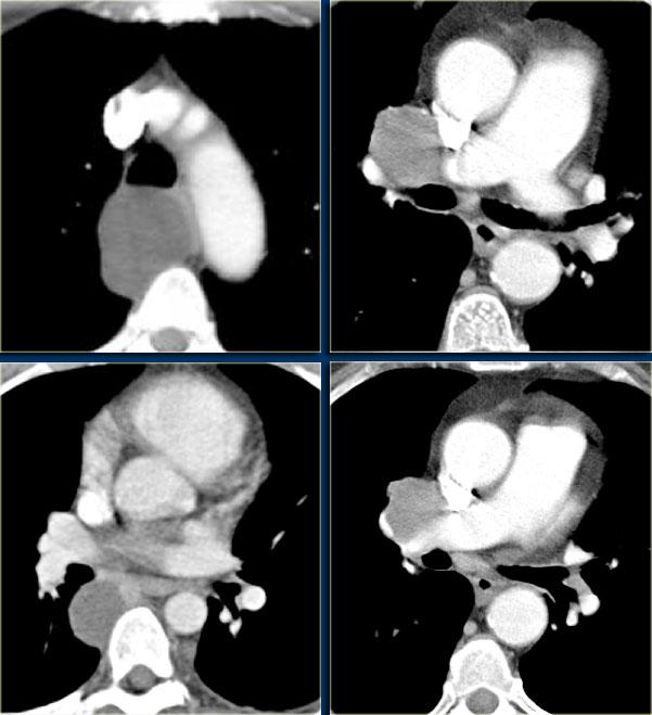
U tuyến ức (Thymoma)
U tuyến ức thường gặp và chiếm 20% các khối u trung thất.
Ung thư biểu mô tuyến ức cực kỳ hiếm gặp và chiếm dưới 1% tổng số các khối u tuyến ức.
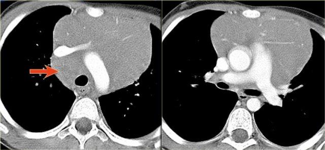
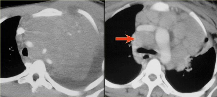
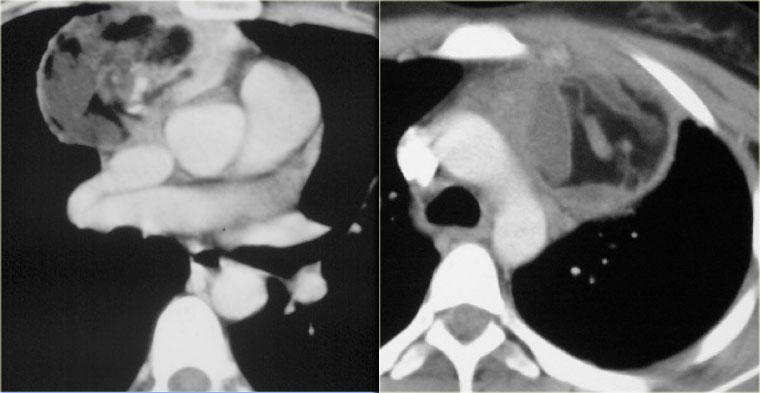
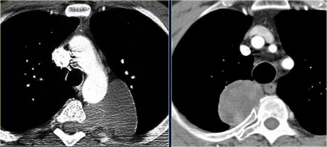
Các hình ảnh cho thấy u tuyến ức ở bên trái và ung thư biểu mô ở bên phải.
Ung thư biểu mô tuyến ức đã xâm lấn tĩnh mạch chủ trên (mũi tên).
U tế bào mầm
U tế bào mầm là nguyên nhân thường gặp nhất gây ra các tổn thương chứa mỡ ở trung thất trước và là nguyên nhân thường gặp thứ hai gây khối trung thất trước ở trẻ em.
Khoảng 90% là u tế bào mầm lành tính.
Hầu hết xuất phát từ tuyến ức.
Trên CT, u quái lành tính là một khối nang thành dày, bờ rõ, chứa hỗn hợp thay đổi gồm nước, vôi hóa, mỡ và mô mềm.
Thành phần mô mềm trong u quái lành tính là tối thiểu.
Kích thước không phải là chỉ số của ác tính.
U quái trưởng thành có thể rất lớn nhưng vẫn là lành tính.
U quái ác tính chiếm 10% tổng số u quái.
Chúng có xu hướng có thành không đều hoặc dạng nốt và thành phần mô mềm chiếm ưu thế.
Chúng cũng có thể cho thấy di căn phổi hoặc gan và xâm lấn thành ngực.
Các u tế bào mầm không phải u quái thường gặp nhất ở trẻ em là ung thư biểu mô màng đệm (choriocarcinoma), ung thư tế bào phôi (embryonal cell cancer) và ung thư túi noãn hoàng (yolk-sac cancer).
U mỡ tuyến ức (Thymolipoma)
U mỡ tuyến ức là một khối u tuyến ức chứa mỡ không thường gặp.
Trên CT, nó biểu hiện là một khối không đồng nhất chứa mỡ và các thành phần mô mềm.
Không có vôi hóa.
U mỡ tuyến ức không có vỏ bao và không gây hiệu ứng khối.
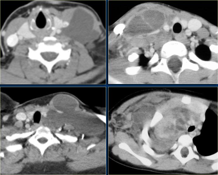
U bạch huyết hoặc Nang bạch huyết (Cystic hygroma)
U bạch huyết là các khối u phát triển của hệ thống bạch huyết.
Ở trung thất, chúng hầu như luôn là phần kéo dài xuống dưới của u bạch huyết cổ.
Tổn thương trung thất đơn độc rất hiếm gặp.
U bạch huyết là khối u lành tính nhưng xâm lấn, gây hiệu ứng khối và có thể bao quanh các mạch máu và các cấu trúc khác.
Bệnh thường ảnh hưởng đến trẻ sơ sinh dưới 6 tháng tuổi.
Trên CT, biểu hiện là khối đa thùy thành mỏng, không ngấm thuốc, với tỷ trọng gần bằng nước.
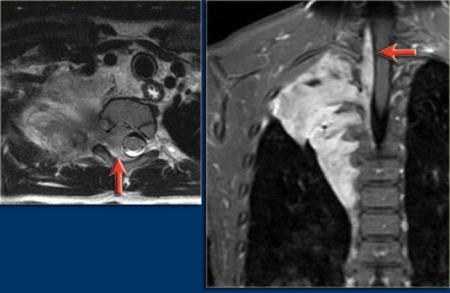
MRI đôi khi có thể được sử dụng để xác định rõ hơn sự lan rộng của tổn thương.
MRI ở bệnh nhân này cho thấy một khối nang ở cổ lan rộng vào hố nách phải và trung thất.
Khối u bao quanh các mạch máu.
Sự hiện diện của ngấm thuốc ở thành hoặc các vách ngăn bên trong gợi ý nhiễm trùng chồng lên hoặc thành phần u mạch máu.
Khối trung thất sau
Các khối trung thất sau có nguồn gốc thần kinh trong khoảng 95% trường hợp và có thể xuất phát từ các tế bào hạch giao cảm (u nguyên bào thần kinh, u nguyên bào hạch thần kinh hoặc u hạch thần kinh) hoặc từ bao thần kinh (u sợi thần kinh hoặc u bao thần kinh).
Trong thập kỷ đầu đời, các khối này thường là ác tính, phổ biến nhất là u nguyên bào thần kinh.
Trong thập kỷ thứ hai của cuộc đời, các khối này thường là lành tính (u hạch thần kinh, u sợi thần kinh, hiếm gặp hơn là u bao thần kinh).
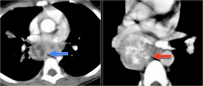
U nguyên bào thần kinh
U nguyên bào thần kinh thường có hình thoi, tỷ trọng mô mềm; 50% các khối u lồng ngực có vôi hóa.
U nguyên bào thần kinh phát triển qua nhiều khoang liên sườn và thường xâm lấn ống sống.
Các hình ảnh CT cho thấy một khối vôi hóa ở trung thất sau trải dài qua nhiều đốt sống, xâm lấn vào ống sống.
Trên các hình ảnh MRI, sự xâm lấn vào ống sống được thể hiện rõ hơn (các mũi tên).
Các khối u thần kinh khác
Trong thập kỷ thứ hai, các khối u thần kinh khác được ghi nhận như
u hạch thần kinh, u sợi thần kinh và hiếm gặp hơn là u bao thần kinh.
Chúng có hình tròn hoặc bầu dục, kích thước nhỏ hơn so với các khối u tế bào hạch và thường chỉ trải dài qua một hoặc hai đốt sống.
Cả hai loại khối u đều có thể gây xói mòn xương sườn do chèn ép và xâm lấn ống sống.
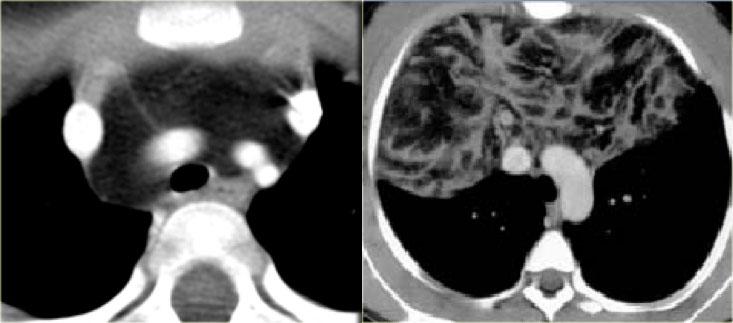
Nang thần kinh – ruột
Nang thần kinh chứa các thành phần thần kinh và tiêu hóa.
Chúng thường đi kèm với các dị tật đốt sống và vẹo cột sống. Nang không thông với dịch não tủy.
Nang có ranh giới rõ ràng, có giá trị tỷ trọng gần bằng nước trên CT và tín hiệu tương đương nước trên MRI, như được minh họa trong trường hợp bên trái.
Tạo máu ngoài tủy
Tạo máu ngoài tủy chiếm chưa đến 0,1% các tổn thương ở trung thất sau.
Đặc trưng bởi sự hình thành các thành phần máu bên ngoài tủy xương. Tình trạng này xảy ra trong bối cảnh thiếu máu nặng.
Trên CT, biểu hiện là khối cạnh đốt sống và đi kèm với hình ảnh bè xương thô ở đốt sống lân cận.
CT Ngực Nhi khoa Phần II
Dị thường Mạch máu của Động mạch Chủ, Mạch Phổi và Mạch Hệ thống
Dị thường Mạch máu của Động mạch Chủ, Mạch Phổi và Mạch Hệ thống


































