Khối u trung thất – Chẩn đoán phân biệt
Ngày xuất bản
Bài tổng quan này tập trung vào cách thu hẹp chẩn đoán phân biệt các tổn thương trung thất thông qua việc xác định vị trí và đặc điểm của chúng.
Giới thiệu
Khi phát hiện một khối trên phim X-quang ngực có khả năng nằm trong trung thất, mục tiêu của bạn là xác định các vấn đề sau:
- Đây có phải là khối trung thất không?
- Khối nằm ở trung thất trước, trung thất giữa hay trung thất sau?
- Bạn có thể xác định đặc điểm của tổn thương bằng cách xác định xem nó có thành phần mỡ, dịch hay mạch máu hay không?
Bảng bên trái là bảng tổng quan về các khối trung thất.
Trong các phần tiếp theo, chúng ta sẽ thảo luận riêng về từng khoang trung thất.
Về mặt thống kê, cần ghi nhớ những điểm sau:
- Phần lớn các khối (> 60%) là:
- U tuyến ức (Thymoma)
- U thần kinh (Neurogenic Tumors)
- Nang lành tính (Benign Cysts)
- Hạch bạch huyết to (LAD)
- Ở trẻ em, thường gặp nhất (> 80%) là:
- U thần kinh
- U tế bào mầm (Germ cell tumors)
- Nang ruột trước (Foregut cysts)
- Ở người lớn, thường gặp nhất là:
- U lympho (Lymphomas)
- Hạch bạch huyết to (LAD)
- U tuyến ức (Thymomas)
- Khối tuyến giáp (Thyroid masses)
Xác định vị trí tổn thương thuộc trung thất

TRÁI: Một khối u phổi tiếp giáp bề mặt trung thất và tạo góc nhọn với phổi. PHẢI: Một khối u trung thất sẽ nằm bên dưới bề mặt trung thất, tạo góc tù với phổi.
Các đặc điểm sau đây cho thấy tổn thương có nguồn gốc từ trung thất:
- Khác với các tổn thương phổi, khối u trung thất sẽ không chứa dấu hiệu phế quản hơi.
- Bờ tiếp giáp với phổi sẽ tạo góc tù.
- Các đường trung thất (ngách azygô-thực quản, đường nối trước và sau) sẽ bị gián đoạn.
- Có thể kèm theo các bất thường ở cột sống, xương sườn hoặc xương ức.
Một khối u phổi tiếp giáp bề mặt trung thất sẽ tạo góc nhọn với phổi, trong khi một khối u trung thất sẽ nằm bên dưới bề mặt và tạo góc tù với phổi (Hình minh họa).
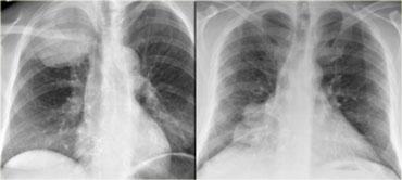
Bên trái là hình ảnh của hai bệnh nhân khác nhau.
Hãy mô tả các dấu hiệu và tiếp tục.
Trên phim X-quang bên trái, có một tổn thương tạo góc nhọn với trung thất.
Đây phải là một khối u phổi.
Phim X-quang ngực bên phải cho thấy một tổn thương tạo góc tù với trung thất.
Đây phải là một khối u trung thất.
Do có dấu hiệu bóng mờ xóa bờ tim phải – vốn nằm ở phía trước – chúng ta có thể suy luận rằng khối u phải nằm trong trung thất trước.
Tổn thương bên trái là u Pancoast.
Tổn thương bên phải là u tuyến ức (thymoma), nằm trong trung thất trước.
Xác định vị trí trong trung thất
Trung thất có thể được chia thành các khoang trước, giữa và sau.
Cần lưu ý rằng không có mặt phẳng mô nào phân tách các khoang này.
Trên phim chụp X-quang tư thế nghiêng, khoang trước và khoang giữa có thể được phân tách bằng cách vẽ một đường tưởng tượng ở phía trước khí quản và phía sau tĩnh mạch chủ dưới.
Khoang giữa và khoang sau có thể được phân tách bằng một đường tưởng tượng đi qua điểm cách bờ trước thân đốt sống 1 cm về phía sau.
Cách phân chia này giúp chúng ta thu hẹp chẩn đoán phân biệt một cách hiệu quả hơn.
Tại nhiều cơ sở y tế, chụp CT được thực hiện để phân tích và đặc trưng hóa thêm các khối trung thất trước và giữa.
MRI thường được chỉ định để đánh giá các khối nằm ở khoang sau, do phần lớn các khối này có bản chất nguồn gốc thần kinh.
CT bổ sung có thể được thực hiện khi cần đánh giá cấu trúc xương.
Trung Thất Trước
Trung thất trước chứa các cấu trúc sau: tuyến ức, hạch bạch huyết, động mạch chủ lên, động mạch phổi, thần kinh hoành và tuyến giáp.
Các tổn thương thường gặp nhất ở trung thất trước có nguồn gốc từ tuyến ức hoặc hạch bạch huyết.
Ngay cả các u tế bào mầm cũng xuất phát từ các tế bào đa năng của tuyến ức.
Trước khi tiến hành sinh thiết một khối trung thất trước, cần lưu ý rằng một số tổn thương này có thể có nguồn gốc mạch máu.
Bốn chữ “T” tạo thành từ gợi nhớ cho các khối trung thất trước:
- Thymus (Tuyến ức)
- Teratoma (U tế bào mầm)
- Thyroid (Tuyến giáp)
- Terrible Lymphoma (U lympho)
Trên phim X-quang quy ước, hãy tìm kiếm các dấu hiệu được liệt kê trong bảng bên trái.
Dấu hiệu mất khoang sáng sau xương ức không còn hữu ích như trước, do hiện nay nhiều bệnh nhân bị béo phì.
Ở những bệnh nhân này, khoang sau xương ức có thể bị lấp đầy bởi mô mỡ.
Mất khoang sáng sau xương ức
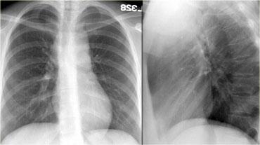
Hãy mô tả các hình ảnh bên trái.
Sau đó tiếp tục.
Trên phim thẳng (PA), có hình ảnh giãn rộng dạng múi của trung thất trên.
Trên phim nghiêng ngực, khoang sáng sau xương ức bị xóa mờ.
Đây là trường hợp bệnh nhân mắc u lympho.
Bên trái là hình ảnh FDG-PET của cùng bệnh nhân.
Có nhiều khối hạch bạch huyết ở trung thất trước, trung thất giữa và thậm chí trung thất sau, lan lên vùng cổ.
Dấu hiệu chồng rốn phổi (Hilum Overlay Sign)
Khi có một khối trung thất mà vẫn nhìn thấy được các mạch máu rốn phổi qua khối đó, thì có thể xác định khối này không xuất phát từ rốn phổi.
Đây được gọi là dấu hiệu chồng rốn phổi.
Do đặc điểm hình học của trung thất, hầu hết các khối này sẽ nằm ở trung thất trước.
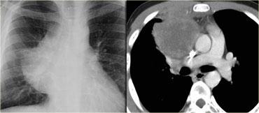
Hãy mô tả các hình ảnh bên trái.
Sau đó tiếp tục.
Trên phim ngực, có một khối tạo góc tù với trung thất, do đó đây là khối trung thất.
Các mạch máu rốn phổi vẫn nhìn thấy được qua khối này, chứng tỏ khối không xuất phát từ rốn phổi và nhiều khả năng xuất phát từ trung thất trước.
Vị trí trung thất trước đã được xác nhận trên CT.
Thông thường nhất, đây sẽ là khối có nguồn gốc từ tuyến ức hoặc hạch bạch huyết.
Trường hợp này được xác định là u lympho ở bệnh nhân nhiễm HIV.
Các khối dạng nang
Trung thất trước là vị trí quan trọng của các khối dạng nang.
Các khối có thể hoàn toàn dạng nang (nang tuyến ức) hoặc có thành phần đặc (u lympho hoặc u tuyến ức dạng nang).
Một số khối có dạng nang với các vách ngăm thuốc tương phản từ – trong những trường hợp này cần nghĩ đến u tế bào mầm.
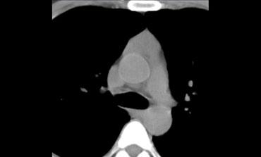
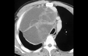
Hãy mô tả hình ảnh bên trái.
Sau đó tiếp tục.
CT cho thấy một khối trung thất trước có tỷ trọng tương đương nước.
Đây là hình ảnh điển hình của nang tuyến ức.
Hãy mô tả hình ảnh bên trái.
Sau đó tiếp tục.
CT cho thấy một khối nằm ở trung thất trước.
Khối có dạng nang nhưng có các vách ngăm thuốc cản quang dạng đặc.
Đây là dấu hiệu rất đặc trưng của u tế bào mầm.
Nhiều người cho rằng u tế bào mầm phải chứa mỡ và nếu tổn thương không chứa mỡ thì không thể là u tế bào mầm.
Cần nhớ rằng chỉ khoảng 60% u tế bào mầm có chứa mỡ, do đó sự vắng mặt của mỡ không loại trừ u tế bào mầm khỏi chẩn đoán phân biệt.
Thành phần đặc càng nhiều thì khả năng u tế bào mầm ác tính càng cao.
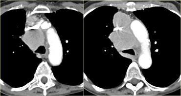
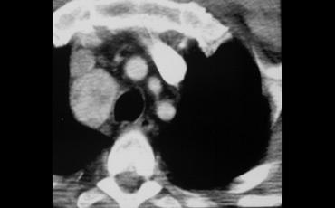
Hãy mô tả hình ảnh bên trái.
Sau đó tiếp tục.
CT cho thấy một khối nằm ở trung thất trước.
Khối có dạng nang nhưng có các thành phần đặc ngấm thuốc cản quang, do đó cần lo ngại đến u lympho, u tế bào mầm và u tuyến ức dạng nang.
Trường hợp này được xác định là u tuyến ức dạng nang.
Trung thất Giữa
Trung thất giữa chứa các cấu trúc sau: hạch bạch huyết, khí quản, thực quản, tĩnh mạch azygos, tĩnh mạch chủ, mặt sau tim và cung động mạch chủ.
Phần lớn các khối trung thất giữa bao gồm nang đôi ruột trước (ví dụ: nang đôi thực quản hoặc nang phế quản) hoặc hạch to.
Các bất thường cung động mạch chủ cũng có thể biểu hiện dưới dạng khối trung thất giữa.
Các tổn thương chứa dịch thường là nang đôi hoặc hạch bạch huyết hoại tử.
Tụ dịch tụy do viêm tụy cũng có thể biểu hiện dưới dạng khối trung thất.
Polyp thực quản sợi mạch là tổn thương trung mô hầu như luôn chứa mỡ.
Các tổn thương mạch máu bao gồm bất thường cung động mạch chủ, tĩnh mạch azygos tiếp nối do gián đoạn tĩnh mạch chủ dưới hoặc hạch bạch huyết ngấm thuốc mạnh.
Trên phim X-quang quy ước, hãy tìm các dấu hiệu được liệt kê trong bảng bên trái.
Ngách azygos-thực quản bị đẩy lệch sẽ được thấy ở bên phải.
Ở bên trái có thể xuất hiện đường cạnh sống giả.
Đây là một đường ranh giới mới trông giống như đường cạnh sống thật.
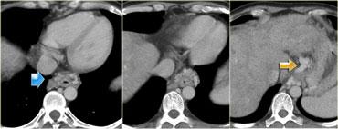
Hãy mô tả hình ảnh bên trái.
Sau đó tiếp tục.
Trên phim X-quang ngực tư thế thẳng AP của bệnh nhân này, có hình ảnh giãn rộng ngách azygos-thực quản bên phải.
Có hình ảnh giãn rộng rõ ràng của đường cạnh sống bên trái.
Trên phim nghiêng, khối nằm phía trước cột sống và do đó được xác định nằm ở trung thất giữa.
Trên CT, ngách azygos-thực quản bị đẩy lệch sang phải do giãn tĩnh mạch thực quản (mũi tên xanh) và cũng xuất hiện một đường ranh giới mới ở bên trái.
Đây là bệnh nhân xơ gan với giãn tĩnh mạch do tăng áp lực tĩnh mạch cửa.
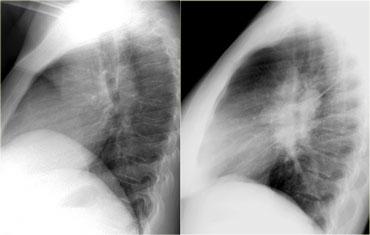
Bên trái là hình ảnh của một bệnh nhân ung thư phổi tế bào nhỏ.
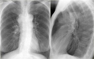
Hãy mô tả các hình ảnh bên trái.
Sau đó tiếp tục.
Trên phim PA, có hình ảnh dải cạnh khí quản bên phải dạng múi.
Trên phim nghiêng, có hình ảnh đậm độ che phủ lên động mạch chủ lên và lấp đầy khoang sau xương ức.
Các dấu hiệu này cho thấy có khối ở cả trung thất trước lẫn trung thất giữa.
CT xác nhận sự hiện diện của u lympho ở cả trung thất trước và trung thất giữa.
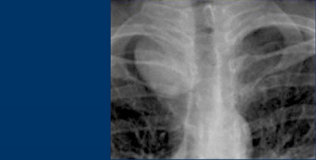
Bên trái là hình ảnh của hai bệnh nhân khác nhau.
Một trong số họ bị tăng áp lực động mạch phổi và người kia bị sarcoidosis.
Hãy mô tả các hình ảnh bên trái.
Sau đó tiếp tục.
Ở hình bên phải, có một khối dạng múi bao quanh phế quản phải tạo thành hình ảnh “bánh vòng” với phế quản là lỗ trống ở giữa.
Ở hình bên trái, chỉ có đậm độ trong vùng từ 9 giờ đến 3 giờ và không có ở vùng từ 3 giờ đến 9 giờ.
Vì vậy, bệnh nhân bên trái bị tăng áp lực động mạch phổi với các mạch máu giãn vừa phải, trong khi bệnh nhân bên phải bị sarcoidosis với hạch to lan tỏa.
Khi có đậm độ ở vùng từ 3 giờ đến 9 giờ, cần luôn cảnh giác về khả năng có khối trung thất.
Trung Thất Sau
Trung thất sau chứa các cấu trúc sau: hạch giao cảm, rễ thần kinh, hạch bạch huyết, chuỗi phó giao cảm, ống ngực, động mạch chủ ngực xuống, các mạch máu nhỏ và các đốt sống.
Hầu hết các khối ở trung thất sau đều có nguồn gốc thần kinh.
Các khối này có thể xuất phát từ hạch giao cảm (ví dụ: u nguyên bào thần kinh) hoặc từ rễ thần kinh (ví dụ: u bao thần kinh schwannoma hoặc u sợi thần kinh neurofibroma).
Không nên bỏ qua bệnh lý hạch bạch huyết, các đốt sống và động mạch chủ ngực xuống như là những nguyên nhân tiềm ẩn gây ra các khối trung thất sau.
Các tổn thương dạng nang có thể là nang thần kinh-ruột, u bao thần kinh schwannoma hoặc thoát vị màng não tủy.
Các tổn thương chứa mỡ sẽ là tạo máu ngoài tủy.
Khi tình trạng thiếu máu được giải quyết, tủy ngoài tủy sẽ ngừng sản xuất máu và trở nên nhiễm mỡ.
Trên phim X-quang thông thường, cần tìm kiếm:
- Dấu hiệu cổ-ngực (Cervicothoracic Sign)
- Dấu hiệu giãn rộng dải cạnh sống
Dấu hiệu cổ-ngực (Cervicothoracic sign)
Trung thất trước kết thúc ở ngang mức bờ trên xương đòn.
Do đó, nếu bờ trên của một tổn thương bị che khuất ở ngang mức hoặc dưới mức xương đòn, tổn thương đó nằm ở trung thất trước.
Một tổn thương hiện rõ phía trên xương đòn phải nằm ở phía sau và do đó được xác định là nằm trong trung thất sau.
Ví dụ:
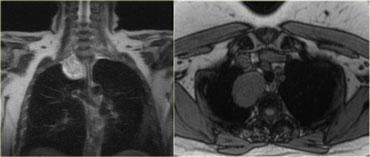
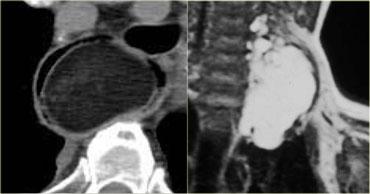
Bờ bên và bờ trên của tổn thương trung thất này hiện rõ ràng, có nghĩa là tổn thương được bao quanh bởi mô phổi. Tổn thương kéo dài lên trên xương đòn và do đó được xác định là nằm ở trung thất sau.
Bên trái là hình ảnh MRI của cùng bệnh nhân.
Kết quả cho thấy đây là u bao thần kinh schwannoma.
Bên trái là hình ảnh của một bệnh nhân mắc một bệnh lý thường bị bỏ sót nhất tại khoa cấp cứu, dẫn đến nguyên nhân hàng đầu gây ra các vụ kiện tụng y tế.
Hãy nghiên cứu các hình ảnh trước khi tiếp tục.
Lưu ý dấu hiệu giãn rộng dải cạnh sống ở cả bên trái và bên phải trên phim X-quang tư thế thẳng (PA).
Trên phim X-quang tư thế nghiêng, khoang đĩa đệm bị hẹp nặng.
Chẩn đoán là viêm đĩa đệm đốt sống (discitis).
Trên MRI, có thể nhận thấy phù nề của các mô mềm và tín hiệu cao của đĩa đệm.
Hơn một khoang
Do không có các mặt phẳng mô ngăn cách giữa các khoang trung thất, một số tổn thương không tuân theo cách tiếp cận phân khoang của chúng ta.
Các tổn thương này có xu hướng chiếm hơn một khoang và bao gồm: viêm trung thất, tụ máu, các bệnh lý mạch máu, ung thư phế quản, di căn và u bạch huyết (chứa dịch).
Đặc điểm hình ảnh
Sau khi đã xác định được vị trí của khối trung thất, bước tiếp theo là mô tả đặc điểm của khối bằng cách đánh giá các đặc tính sau:
- Khối có chứa dịch không?
- Khối có chứa mỡ không?/li>
- Khối có ngấm thuốc sau khi tiêm thuốc cản quang tĩnh mạch không?
Các khối chứa dịch
Dưới đây là danh sách các khối trung thất có thể chứa dịch:
- Nang tuyến ức
- U tuyến ức (Thymoma)
- U quái (Teratoma)
- Nang màng ngoài tim
- Nang đường ruột nguyên thủy (Foregut Duplication)
- Thoát vị màng não tủy (Meningocoele)
- Nang thần kinh-ruột (Neuroenteric Cyst)
- Hạch bạch huyết dạng nang
- U mạch bạch huyết (Lymphangioma)
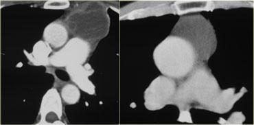
Nếu một khối chứa dịch, có thể là u quái (bên trái) hoặc nang tuyến ức (bên phải).
Lưu ý rằng u quái này không chứa mỡ.
U quái là khối u tế bào mầm lành tính thường gặp nhất.
Khối u tế bào mầm ác tính thường gặp nhất là u tinh bào (seminoma).
Hãy mô tả hình ảnh bên trái.
Sau đó tiếp tục.
Có nhiều khối ở cả trung thất trước và trung thất giữa.
Giá trị tỷ trọng tương đương tỷ trọng nước.
Các dấu hiệu này gợi ý chẩn đoán hạch bạch huyết dạng nang ở bệnh nhân có bệnh lý di căn.
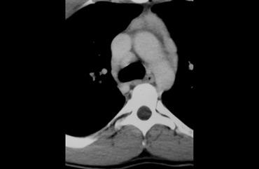
Hãy mô tả hình ảnh bên trái.
Sau đó tiếp tục.
Có một tổn thương dạng nang ở trung thất giữa.
Có mức dịch-dịch với hình ảnh sữa canxi (milk of calcium).
Nang đường ruột nguyên thủy đôi khi có thể chứa sữa canxi như trong ví dụ này về nang đôi thực quản.
Các khối chứa mỡ
Chẩn đoán phân biệt các khối trung thất chứa mỡ bao gồm:
- U mỡ tuyến ức (Thymolipoma)
- U quái (Teratoma) (Khối u tế bào mầm)
- U mỡ thực quản (Esophageal lipoma)
- Lắng đọng mỡ
- U mỡ (Lipoma)
- U mỡ phôi (Lipoblastoma)
- U mỡ ác tính (Liposarcoma)
- Tạo máu ngoài tủy (Extramedullary hematopoiesis)
Bên trái là hình ảnh khối trung thất trước chứa mỡ.
Đây là hình ảnh điển hình của u quái chứa mỡ.
Hãy mô tả hình ảnh bên trái.
Sau đó tiếp tục.
CT axial và MRI sagittal cho thấy một tổn thương dạng mỡ nằm trong lòng thực quản.
Đây là hình ảnh điển hình của u mỡ thực quản cùng cuống mạch xơ mỡ của nó.
Các khối ngấm thuốc
Chẩn đoán phân biệt các khối trung thất ngấm thuốc bao gồm:
- Hạch bạch huyết ngấm thuốc mạnh
- Mô tuyến giáp
- U cận hạch (Paragangliomas)
- U mạch máu (Hemangiomas)
- Các nguyên nhân mạch máu
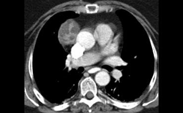
Bên trái là hình ảnh nhiều tổn thương ngấm thuốc.
Đây là hình ảnh điển hình của hạch bạch huyết ngấm thuốc mạnh.
Hạch bạch huyết ngấm thuốc có thể gặp trong:
- U hắc tố (Melanoma)
- Ung thư biểu mô tế bào thận
- Ung thư biểu mô tuyến giáp
- Bệnh Castleman (như trong trường hợp này)
Hãy mô tả hình ảnh.
Sau đó tiếp tục.
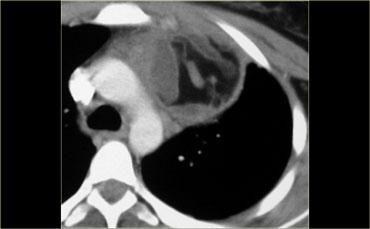
Đầu tiên, lưu ý tuyến ức lớn ở trẻ nhỏ này.
Ngoài ra còn có một khối ngấm thuốc ở trung thất sau lan vào ống sống.
Đây là hình ảnh điển hình của u mạch máu (hemangioma).
Hãy mô tả hình ảnh.
Sau đó tiếp tục.
Khối ngấm thuốc có bờ không đều ở trung thất trước.
Kết quả giải phẫu bệnh xác nhận đây là khối tuyến giáp.
Từ thiện
Toàn bộ lợi nhuận từ Radiology Assistant được dành cho tổ chức Medical Action Myanmar, do Bác sĩ Nini Tun và Bác sĩ Frank Smithuis Sr. điều hành – ông là Giáo sư tại Đại học Oxford và là anh trai của Robin Smithuis.
Nhấn vào đây để xem video về Medical Action Myanmar và nếu bạn thấy Radiology Assistant hữu ích, xin hãy ủng hộ Medical Action Myanmar bằng một món quà nhỏ.


































