Khối u nang bụng ở trẻ em
Các khối nang vùng bụng ở trẻ em là tình trạng thường gặp.
Nhiều trường hợp được phát hiện qua siêu âm trước sinh.
Các trường hợp khác được phát hiện khi trẻ có triệu chứng đau bụng và được chỉ định chẩn đoán hình ảnh.
Khối nang có thể là nguyên nhân gây ra các triệu chứng hoặc là phát hiện tình cờ.
Trong bài viết minh họa này, chúng tôi sẽ trình bày các khối nang vùng bụng thường gặp nhất ở trẻ em.
Siêu âm thường là phương tiện chẩn đoán duy nhất cần thiết và sẽ hỗ trợ bác sĩ nhi khoa hoặc bác sĩ phẫu thuật nhi xây dựng kế hoạch điều trị.
Trong các trường hợp khó, MRI và đôi khi CT có thể phát huy vai trò hữu ích.
Tiếp Cận Có Hệ Thống
Phân biệt tổn thương dạng nang với tổn thương đặc
Siêu âm
Cho thấy hiện tượng tăng âm phía sau và xảo ảnh bóng cạnh tại bờ của tổn thương.
Nang đơn thuần có hình ảnh trống âm.
Nang xuất huyết có thể cho thấy hồi âm nội tại lan tỏa và không nên nhầm lẫn với các thành phần đặc.
MRI
MRI nhạy hơn trong việc chẩn đoán bản chất đặc của tổn thương bằng cách xác định sự ngấm thuốc trên chuỗi xung T1W.
Cần lưu ý rằng các thành phần mỡ và xuất huyết có thể biểu hiện tăng tín hiệu T1 trên hình ảnh trước tiêm thuốc tương phản từ và không nên nhầm lẫn với sự ngấm thuốc của các thành phần đặc.
Nguồn gốc của tổn thương
Dấu hiệu móng vuốt (Claw sign)
Dấu hiệu này đề cập đến các góc nhọn giữa tổn thương và nhu mô, cho thấy tổn thương xuất phát từ nhu mô tạng.
Kiểm tra các tạng
Kiểm tra gan, lách, ống mật chủ, buồng trứng và tụy. Buồng trứng bình thường giúp loại trừ nang buồng trứng.
Các đặc điểm đặc trưng
Nang nhỏ trong thành của tổn thương gợi ý nguồn gốc từ buồng trứng.
Thành nhiều lớp gợi ý nguồn gốc từ ống tiêu hóa, ví dụ như nang đôi (duplication cyst) hoặc túi thừa Meckel.
Chẩn đoán phân biệt
Các tổn thương dạng nang phổ biến nhất ở bụng trẻ em được liệt kê trong bảng.
Các nang hiếm gặp mà chúng tôi sẽ không thảo luận bao gồm:
- Nang phân su (Meconium cyst)
- Nang gan, nang sán (hydatidic cyst), áp xe
- Niệu quản lạc chỗ (Ectopic ureterocele)
- Nang dịch não tủy kèm dẫn lưu não thất-phúc mạc
- Nang ứ đọng/nang nhầy ruột thừa
- Màng não thoát vị phía trước (Anterior meningocele)
- Các khối ác tính dạng nang khác
Nang kích thước lớn
Đối với các nang kích thước lớn, việc xác định nguồn gốc thường gặp nhiều khó khăn. Dấu hiệu “móng vuốt” (claw sign) hoặc hình ảnh một tạng phủ lên trên nang có thể giúp xác định nguồn gốc của nang. Cần quan sát các tạng trong ổ bụng và đánh giá xem chúng có bình thường hay không. Qua đó, có thể dễ dàng loại trừ các nang xuất phát từ gan, lách, thận, tụy và ống mật chủ.
Trẻ sơ sinh gái
Ở trẻ sơ sinh gái, rất có khả năng đây là nang buồng trứng.
Buồng trứng ở trẻ nhỏ có tính di động cao và buồng trứng kèm nang có thể nằm ở vị trí tận rốn gan, do đó không nên dựa vào vị trí điển hình ở vùng chậu.
Cần quan sát thành nang, tìm kiếm các nang nang noãn nhỏ.
Chỉ khi xác định được hai buồng trứng bình thường mới có thể loại trừ nang buồng trứng, trừ khi nang rõ ràng xuất phát từ một tạng khác.
Trẻ trai
Ở trẻ trai, các tổn thương dạng nang lớn chưa xác định được nguồn gốc có thể là u lympho mạch (lymphangioma).
Các khối này có thể rất lớn đến mức có thể nhầm lẫn với cổ trướng.
Cần tìm kiếm dịch có bờ rõ nét ở các vị trí như túi Morrison hoặc phía trước gan để chẩn đoán dịch tự do là cổ trướng.
Dịch trong u lympho mạch thường đục và có hình ảnh như “bão tuyết” khi nang bị ép, trong khi dịch cổ trướng thường trong suốt.
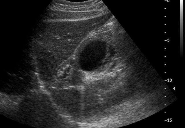
Nang buồng trứng
Trẻ sơ sinh và trẻ nhũ nhi
Với sự ra đời của siêu âm trước sinh, nang buồng trứng thường được phát hiện trong giai đoạn trước khi sinh.
Nang buồng trứng được phân loại thành nang nhỏ (<4cm) hoặc nang lớn (>4 cm), và thành nang đơn giản (không có hồi âm, thành mỏng) hoặc nang phức tạp.
Nang phức tạp có thành dày, có thể chứa cặn lắng và vách ngăn.
Phần lớn các nang thành dày là do xoắn buồng trứng.
Một số báo cáo cho rằng các nang này sẽ tự thoái triển, nhưng hầu hết đều được phẫu thuật cắt bỏ.
Sau dậy thì
Phần lớn nang buồng trứng ở các bé gái sau dậy thì là nang chức năng.
Hiện chưa có hướng dẫn chặt chẽ về xử trí nang buồng trứng ở trẻ nhũ nhi.
Nhìn chung, các nang >4 cm và nang phức tạp được chỉ định phẫu thuật.
Các nang từ 2,5 – 4 cm được theo dõi bằng siêu âm.
Các nang < 2,5 cm thường tự thoái triển theo thời gian và không cần theo dõi thêm.
Xoắn buồng trứng
Các đặc điểm gợi ý xoắn buồng trứng bao gồm:
- Buồng trứng một bên to ra với các nang hình cầu ở ngoại vi.
- Thường nằm ở đường giữa, phía trên tử cung.
- Tử cung bị đẩy lệch về phía bên xoắn.
- Thường có tổn thương buồng trứng nền tảng, ví dụ như u quái (teratoma).
- Dấu hiệu xoáy nước (Whirlpool sign) của cuống mạch máu buồng trứng bị xoắn. Cần lưu ý rằng kết quả Doppler trong xoắn buồng trứng có thể rất biến đổi. Ngược lại, dấu hiệu xoáy nước của cuống mạch bị xoắn có độ đặc hiệu cao cho chẩn đoán xoắn.
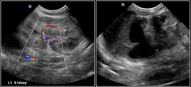
- Mức dịch-cặn lắng bên trong các nang nằm ở ngoại vi là dấu hiệu đặc trưng (pathognomonic) của xoắn buồng trứng.
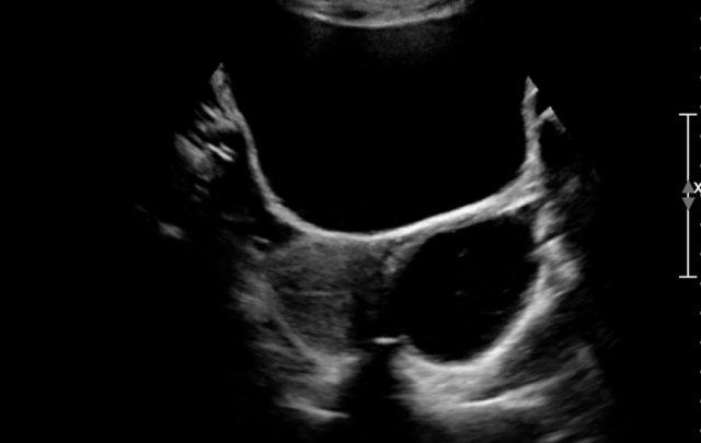
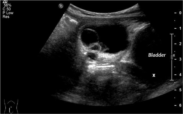
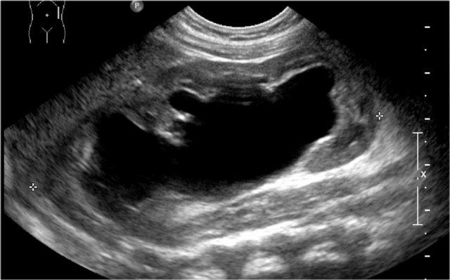
Đây là hình ảnh một nang được phát hiện trước sinh, được xác nhận sau khi sinh ở một bé gái sơ sinh.
Quan sát thấy một nang có mức dịch-dịch (fluid-fluid level).
Trong phẫu thuật, phát hiện xoắn buồng trứng trái.
Nang nang trứng (Nang noãn)
Phần lớn nang buồng trứng ở các bé gái sau dậy thì là nang chức năng.
Bình thường, trong một chu kỳ kinh nguyệt, nhiều noãn bào trưởng thành thành các nang noãn. Một trong số đó trở thành nang noãn trội, vỡ ra và phóng thích noãn bào. Sau khi phóng noãn, nang noãn trội xẹp xuống, và các tế bào hạt ở lớp lót bên trong tăng sinh và phình to để tạo thành hoàng thể kinh nguyệt.
Trong vòng 14 ngày, hoàng thể thoái triển, để lại thể trắng (corpus albicans) nhỏ có sẹo.
Đọc thêm…
Do đó, nếu nghi ngờ một quá trình u buồng trứng, hãy thực hiện siêu âm theo dõi 2 tuần sau ngày kinh cuối cùng.
Tổn thương cần thoái triển trong trường hợp là nang hoàng thể.
Nang hoàng thể
Hoàng thể có thể bịt kín và chứa đầy dịch hoặc máu, tạo thành nang hoàng thể.
Hình ảnh siêu âm qua ngả âm đạo cho thấy một nang buồng trứng phức tạp nhỏ với mạch máu ở thành trên phân tích Doppler năng lượng.
Hình ảnh Doppler vòng tròn đặc trưng này được gọi là dấu hiệu “vòng lửa” (ring of fire).
Lưu ý, có hiện tượng tăng âm phía sau tốt và không có mạch máu bên trong, phù hợp với nang hoàng thể đang thoái triển một phần.
Theo dõi sau một tháng cho thấy khối đã được hấp thu và buồng trứng trái trở về bình thường.
Nang buồng trứng xuất huyết
Khi một nang Graafian hoặc nang noãn chảy máu, một nang buồng trứng xuất huyết (HOC) phức tạp được hình thành.
Trên siêu âm, nang buồng trứng xuất huyết biểu hiện là một nang đơn ngăn thành mỏng với các dải fibrin hoặc hồi âm mức thấp và tăng âm phía sau tốt.
Trên MRI, nang xuất huyết tăng tín hiệu trên chuỗi xung T1-FatSat trước tiêm thuốc tương phản từ, và giảm tín hiệu trên T2W.
Không được có mạch máu bên trong trên siêu âm Doppler hoặc ngấm thuốc bên trong sau tiêm thuốc cản quang/thuốc tương phản từ trên CT hoặc MRI.
Nang buồng trứng xuất huyết có độ dày thành thay đổi, và thường có thể thấy một số mạch máu ở chu vi.
Về lâm sàng, biểu hiện điển hình là đau cấp tính.
Tuy nhiên, nang buồng trứng xuất huyết cũng có thể là phát hiện tình cờ ở bệnh nhân không có triệu chứng.
U quái buồng trứng
U quái buồng trứng được cấu thành từ ngoại bì, trung bì và nội bì. Chúng có thể biểu hiện như một khối lớn không đau, nhưng cũng có thể bị xoắn, đặc biệt khi đường kính > 5 cm, gây ra bụng cấp. Một số trường hợp là phát hiện tình cờ.
Trên siêu âm có thể thấy một khối dạng nang với các vôi hóa. Đôi khi quan sát thấy mức dịch-dịch (fluid-fluid level) do sự phân tách giữa dịch nước và mỡ.
Nếu khối u chứa nhiều xương, tóc hoặc vôi hóa, nó sẽ có hồi âm dày đặc và chẩn đoán bằng siêu âm trở nên khó khăn.
Nốt Rokitansky là một khối đặc bám vào thành nang, chứa tóc, xương, răng hoặc mỡ.
Phim bụng không chuẩn bị đôi khi có thể thấy răng hoặc xương.
CT và đặc biệt là MRI có thể cung cấp câu trả lời rõ ràng về bản chất của tổn thương.
Trên MRI, một số phần đặc tăng tín hiệu trên chuỗi xung T1W, giảm tín hiệu trên chuỗi xung xóa mỡ do thành phần mỡ trong khối u.
Phần lớn các thành phần đặc ngấm thuốc tương phản từ Gadolinium.
Giải phẫu bệnh xác nhận là u quái chưa trưởng thành (immature teratoma).
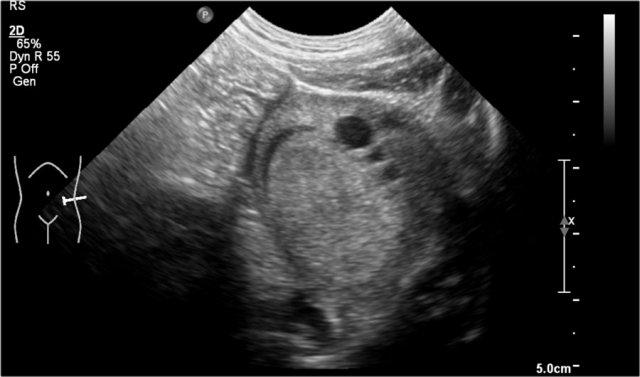
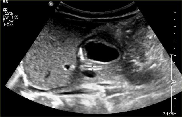
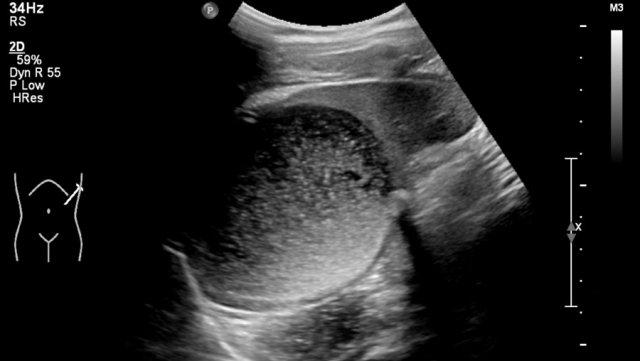
Hình ảnh siêu âm cho thấy một tổn thương dạng nang ở vùng bụng dưới của một bé gái 3 tuổi với đau bụng từng cơn.
Trong phẫu thuật, phát hiện xoắn phần phụ phải.
Giải phẫu bệnh xác nhận là u quái (teratoma).
Ác tính buồng trứng
Các khối u ác tính buồng trứng rất hiếm gặp.
Nguy cơ ác tính cao hơn ở các bé gái nhỏ tuổi (1-8 tuổi) so với các bé gái lớn hơn (15-19 tuổi).
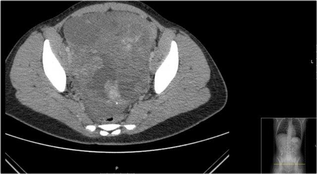
Đây là hình ảnh CT của một bé gái 13 tuổi biểu hiện với khối vùng bụng dưới.
Đây là một khối u vừa có thành phần nang vừa có thành phần đặc, kèm một số vôi hóa.
Các thành phần đặc không đồng nhất.
Khối u được phẫu thuật cắt bỏ và giải phẫu bệnh cho thấy u quái có thành phần ác tính, kèm di căn hạch bạch huyết.
Xảo ảnh gương (mirror artifact) của bàng quang có thể giả dạng một khối u buồng trứng dạng nang.
Khi còn nghi ngờ, siêu âm lại sau khi bệnh nhân đi tiểu hết sẽ giải quyết được vấn đề này.
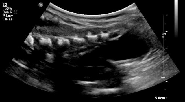
Nang ruột đôi (Intestinal duplication cyst)
Nang ruột đôi là dị tật nhân đôi của ruột.
Phần lớn không thông thương với lòng ruột.
Chúng có thể xuất hiện ở bất kỳ vị trí nào dọc theo ống tiêu hóa.
Đa số nằm ở hỗng tràng và hồi tràng. Hầu hết nằm ở phía mạc treo ruột và nếu cần cắt bỏ, phải tiến hành cắt đoạn ruột kèm theo. Nang ruột đôi biểu hiện bằng xuất huyết, lồng ruột, tắc ruột và đau bụng.
Có thể được phát hiện qua siêu âm trước sinh.
Trong các trường hợp điển hình, nang có lớp lót nhiều tầng, giống hệt thành ruột và có thể quan sát thấy nhu động ruột.
Nếu nang đã bị nhiễm trùng, các lớp này có thể bị bong tróc. Siêu âm thường đủ để chẩn đoán xác định.
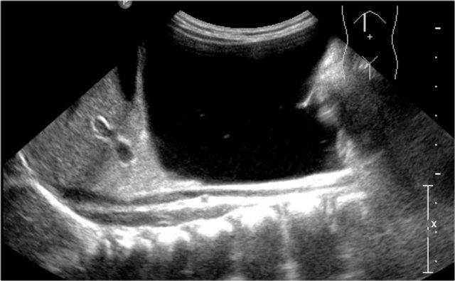
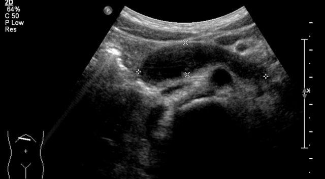
Đây là trường hợp một bé gái được phát hiện nang từ trước sinh.
Siêu âm cho thấy nang có cấu trúc nhiều lớp và hai buồng trứng bình thường.
Trong phẫu thuật, một đoạn hồi tràng đôi đã được cắt bỏ.
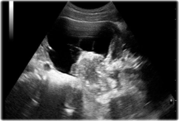
Một bé gái sáu tháng tuổi nhập viện vì nôn ói.
Siêu âm phát hiện một cấu trúc nang nhiều lớp ở mặt trong của tá tràng. Nang được cắt bỏ một phần, thành chung với tá tràng được giữ nguyên tại chỗ.
Kết quả giải phẫu bệnh lý xác nhận là nang ruột đôi.
Đây là hình ảnh không điển hình của một nang ruột đôi.
Siêu âm phát hiện một tổn thương tăng âm ở vùng bụng trên bên trái, không có mối liên hệ rõ ràng với các cơ quan lân cận.
Trong phẫu thuật, một khối u của mạc treo ruột đã được cắt bỏ.
Trên đại thể, khối u chứa đầy chất đặc sệt giống bột nhão.
Trên vi thể, xác định đây là nang ruột đôi của hỗng tràng.
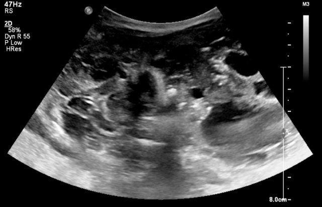
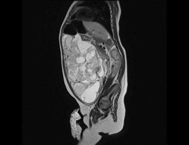
U nang bạch huyết (Lymphangioma)

U nang bạch huyết kích thước lớn có thể giống cổ trướng. Tìm kiếm dịch ở phía trước gan hoặc trong túi Morrison để loại trừ u nang bạch huyết.
U nang bạch huyết ổ bụng bao gồm các ống bạch huyết giãn rộng, tương tự như các tổn thương dạng nang ở vùng cổ.
Đôi khi thuật ngữ nang mạc nối hoặc nang mạc treo ruột cũng được sử dụng.
Trên siêu âm, các khối dạng nang được ghi nhận, có thể trong hoặc đục, đơn thùy hoặc có vách ngăn, kích thước từ nhỏ đến rất lớn.
Đối với các tổn thương rất lớn chỉ có một vài vách ngăn, việc phân biệt với cổ trướng là khó khăn. U nang bạch huyết không len lỏi vào các khoang nhỏ như cổ trướng, nhưng chúng có thể rất mềm với thành gấp nếp.
CT sẽ cho thấy các khối có tỷ trọng nước.
Các vách ngăn thường khó quan sát hơn so với siêu âm. Sau xuất huyết, tổn thương thậm chí có thể trông đặc.
Đặc điểm trên MRI phụ thuộc vào sự vắng mặt hay hiện diện của chảy máu hoặc nhiễm trùng. Các nang không biến chứng có tín hiệu thấp trên chuỗi xung T1W và tăng tín hiệu trên chuỗi xung T2W, nhưng các tín hiệu này có thể thay đổi sau xuất huyết.
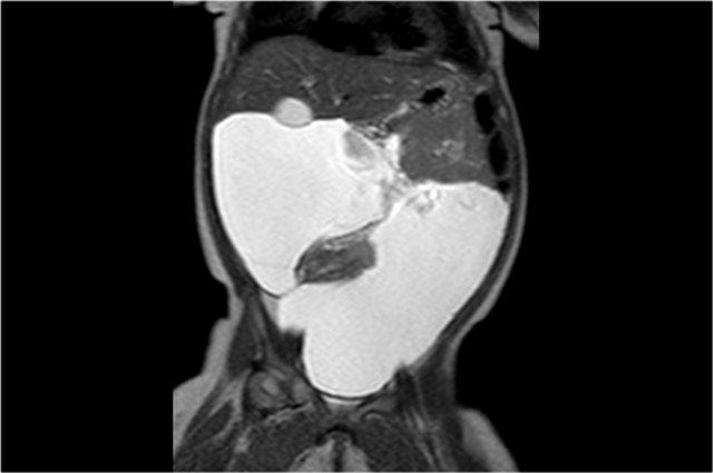
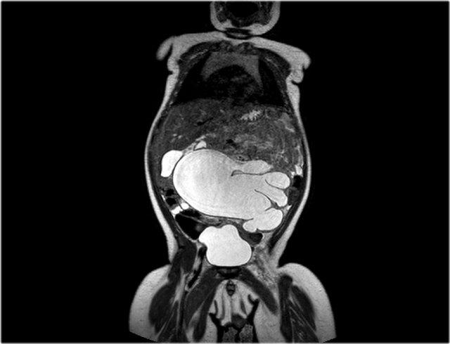
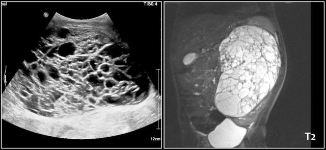
Bé trai một tuổi nhập viện vì bụng phình to.
Siêu âm phát hiện một tổn thương dạng nang kích thước lớn, trải dài từ gan xuống vùng chậu.
Ghi nhận có một số cặn lắng bên trong.
Ảnh MRI mặt phẳng coronal chuỗi xung T2W cho thấy rõ hơn mức độ lan rộng của tổn thương.
Trong phẫu thuật, tổn thương được xác định bám vào đại tràng lên, đại tràng này đã được cắt bỏ cùng với u nang bạch huyết.
Đây là trường hợp bé trai hai tuổi với triệu chứng nôn ra mật.
Siêu âm cho thấy một khối u đa nang thành mỏng kích thước lớn, có tính chất khá mềm.
Trong phẫu thuật, u nang bạch huyết của mạc treo ruột đã được cắt bỏ.
Các khối nang thận
Nang thận
Khác với người lớn, nang thận đơn giản hiếm gặp ở trẻ em.
Đặc biệt ở trẻ nhỏ, cần nghĩ đến hội chứng bệnh lý nếu phát hiện nang thận.
Nang thận có thể gặp trong bệnh xơ cứng củ (tuberous sclerosis), hội chứng von Hippel-Lindau, hội chứng Zellweger, và một số bệnh khác.
Ở trẻ em đang chạy thận nhân tạo, thận tự nhiên sẽ xuất hiện các biến đổi dạng nang.
Bệnh thận đa nang di truyền trội nhiễm sắc thể thường và bệnh thận đa nang di truyền lặn nhiễm sắc thể thường ở trẻ nhũ nhi nằm ngoài phạm vi của bài viết này.
Ứ nước thận
Ứ nước thận đơn thuần thường dễ nhận biết.
Nguyên nhân có thể do hẹp khúc nối bể thận – niệu quản, hẹp niệu quản hoặc trào ngược bàng quang – niệu quản.
Nếu tình trạng ứ nước thận rất nặng, việc nhận diện có thể trở nên khó khăn, đặc biệt khi có cặn lắng trong lòng.
Tổn thương có thể bắt chước hình ảnh quai ruột giãn, nhất là khi kèm theo niệu quản giãn ngoằn ngoèo chứa đầy cặn lắng có nhu động.
Đầu dò tần số cao có thể hiển thị một lớp mỏng nhu mô thận bao quanh cấu trúc dạng nang.
Ngay cả hệ thống đài bể thận giãn rất to vẫn có thể là một phần của thận còn chức năng tốt.
Xạ hình thận hoặc chụp MRU sau khi dẫn lưu thận qua da (nephrostomy) có thể cung cấp thông tin về chức năng thận còn lại.
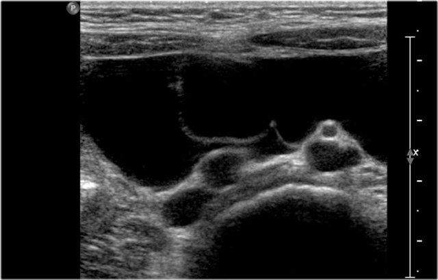
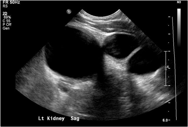
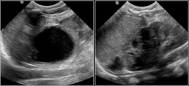
Đây là hình ảnh siêu âm của một bé trai 5 tháng tuổi được phát hiện trước sinh có hệ thống đài bể thận giãn và không thấy niệu quản, phù hợp với hẹp khúc nối bể thận – niệu quản.
Trên mặt cắt dọc, hệ thống đài bể thận giãn được hiển thị rõ ràng.
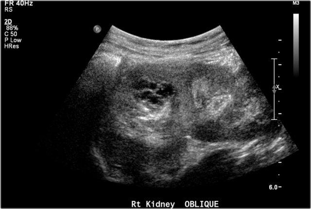
Một bé trai 1 tuổi được chuyển đến với chẩn đoán u nguyên bào thận dạng nang.
Siêu âm phát hiện một nang lớn ở trung tâm ổ bụng.
Khi khảo sát từ hông trái bằng đầu dò tuyến tính tần số cao, có thể thấy một ít mô nhu mô bao quanh các đài thận giãn rất to. Hình ảnh này phù hợp với ứ nước thận mức độ nặng.
Ban đầu, người ta cho rằng có một số thành phần đặc trong nang.
Tuy nhiên, khi ấn đầu dò, các thành phần này được xác định là cặn lắng.
MRI cho thấy hình ảnh tổng quan hơn về tình trạng ứ nước thận.
Nguyên nhân là do hẹp khúc nối bể thận – niệu quản.
Thận trái có chức năng phân chia 33% trên xạ hình thận.
Phẫu thuật tạo hình bể thận đã được thực hiện thành công.
Bệnh thận đa nang loạn sản
Một quả thận chủ yếu cấu thành bởi các nang có kích thước khác nhau, nhiều khả năng là thận đa nang loạn sản (MCKD).
Trong bệnh thận đa nang loạn sản, không có nhu mô thận bình thường và không có niệu quản.
Khoảng 25% trẻ em mắc MCKD có thận đối bên bị ảnh hưởng bởi các bất thường như trào ngược, hẹp khúc nối bể thận – niệu quản và bất thường về vị trí.
Phần lớn các trường hợp MCKD sẽ thoái triển về kích thước theo thời gian.
Bệnh nhân được theo dõi bằng siêu âm để giám sát sự phát triển hoặc thoái triển của MCKD và các bất thường có thể có ở thận đối bên.
Hình ảnh của một bé trai 1 tháng tuổi được phát hiện MCKD trên siêu âm trước sinh.
Có thể thấy một ít mô thận và nhiều nang lớn.
Trên xạ hình thận với Tc-99-DMSA, không ghi nhận sự hấp thu ở phía bên trái.
Hình ảnh này phù hợp với bệnh thận đa nang loạn sản (MCKD).
Trước sinh, thận trái được chẩn đoán có hệ thống đôi kèm ứ nước thận. Siêu âm sau sinh cho thấy một nang lớn ở cực trên thận trái và một số nang nhỏ hơn (không hiển thị trong hình).
Không thấy nhu mô thận bình thường.
Trên chụp bàng quang – niệu đạo khi tiểu (MCUG), thấy hình ảnh trào ngược vào hệ thống cực dưới, bị đẩy xuống dưới và xoay do khối ở cực trên.
Đây nhiều khả năng là MCKD khu trú ở cực trên.
MCKD có thể ảnh hưởng đến một cực của hệ thống đài bể thận đôi.
U thận nang (Cystic nephroma)
U thận nang bao gồm nhiều nang và vách ngăn, gặp chủ yếu ở trẻ trai nhỏ tuổi và phụ nữ lớn tuổi.
Những trẻ này thường biểu hiện với khối ổ bụng sờ thấy được, hoặc khối u được phát hiện tình cờ trong quá trình chẩn đoán hình ảnh.
U thận nang cũng có thể chỉ gồm các nang đơn thuần và có hình ảnh tương tự u bạch huyết (lymphangioma).
Đặc biệt đối với các khối u lớn, việc xác định phần thận còn lại – nơi khối u xuất phát – có thể rất khó khăn.
Một bé trai 7 tuổi được khám sau khi đái ra sỏi thận.
Trong quá trình siêu âm, phát hiện một khối u đa nang.
Sinh thiết cắt bỏ không lấy hết được tổn thương.
Trong 5 năm theo dõi, tổn thương ổn định, không thay đổi.
Trên MRI, tổn thương có ranh giới không rõ và có tín hiệu tương đương nước trên tất cả các chuỗi xung.
Hình ảnh này phù hợp với u thận nang (cystic nephroma).
U nguyên bào thận (Nephroblastoma)
Đây là hình ảnh của một bé gái 1,5 tuổi có khối u sờ thấy được ở bụng trái.
Siêu âm cho thấy một khối u lớn cấu thành bởi vô số nang, xuất phát từ thận trái.
Trên ảnh MRI mặt phẳng trán chuỗi xung T2W, các nang được hiển thị rõ ràng.
Phần còn lại của thận trái nằm ở phía đuôi của khối u.
Kết quả giải phẫu bệnh xác định là u nguyên bào thận dạng nang biệt hóa một phần.
Áp-xe ổ bụng
Áp-xe ổ bụng có thể xuất hiện sau tình trạng viêm các tạng trong ổ bụng, thường gặp nhất là viêm ruột thừa, hoặc sau phẫu thuật. Các áp-xe này thường có hồi âm hỗn hợp nhưng cũng có thể có thành phần dạng nang chiếm ưu thế. Chiến lược chẩn đoán hình ảnh ở trẻ em ưu tiên sử dụng siêu âm nhiều hơn so với người lớn, và trong các thủ thuật dẫn lưu, gây mê toàn thân thường là cần thiết.
Túi thừa Meckel
Túi thừa Meckel là phần còn lại của ống noãn hoàng mạc treo ruột, nằm ở đoạn hồi tràng xa. Túi thừa có thể chứa các mô dị vị của niêm mạc dạ dày hoặc tụy. Thường không có triệu chứng và được phát hiện tình cờ trong quá trình phẫu thuật.
Các triệu chứng có thể xuất hiện, chủ yếu ở trẻ em dưới hai tuổi. Biểu hiện lâm sàng có thể bao gồm xuất huyết tiêu hóa, lồng ruột hoặc xoắn ruột gây tắc nghẽn. Bệnh thậm chí có thể biểu hiện giống viêm ruột thừa.
Chẩn đoán có thể được thực hiện bằng xạ hình với Technetium 99m pertechnetate, giúp hiển thị vùng niêm mạc dạ dày lạc chỗ.
Túi thừa Meckel bị viêm có thể được phát hiện trên siêu âm, nhưng dễ bị chẩn đoán nhầm với lồng ruột hoặc khối viêm quanh ruột thừa do biểu hiện thành ruột dày.
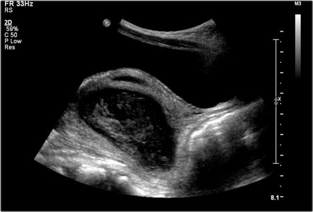
Bé trai 9 tuổi với triệu chứng xuất huyết trực tràng.
Trên siêu âm phát hiện một cấu trúc dạng nang nằm giữa rốn và bàng quang, có thành nhiều lớp.
Tổn thương được chẩn đoán là túi thừa Meckel hoặc nang đôi ruột.
Trong phẫu thuật, túi thừa Meckel đã được cắt bỏ.
Bé trai 9 tuổi với triệu chứng đau bụng.
Siêu âm và CT cho thấy một cấu trúc dạng nang kèm viêm xung quanh nằm phía trên bàng quang. Siêu âm ghi nhận thành nang có cấu trúc nhiều lớp.
Chẩn đoán trước phẫu thuật là túi thừa Meckel hoặc nang đôi ruột.
Trong phẫu thuật, túi thừa Meckel đã được cắt bỏ.
Bé gái 6 tuổi nhập viện với tắc ruột cấp tính.
Trên lâm sàng, lồng ruột được nghi ngờ. Siêu âm cho thấy một tổn thương dạng nang với dấu hiệu xoáy nước (whirlpool sign), có thể là nang đôi ruột hoặc túi thừa Meckel.
Trong phẫu thuật, phát hiện túi thừa Meckel kèm dính ruột và xoắn ruột.
Phổi lạc chỗ ngoài phổi
Phổi lạc chỗ ngoài thùy có thể xuất hiện ở khoang sau phúc mạc, chủ yếu ở bên trái tại vị trí trên thượng thận. Tổn thương thường được phát hiện trên siêu âm trước sinh dưới dạng một khối tăng âm. Thành phần nang thường hiện diện. Tổn thương này cần được đưa vào chẩn đoán phân biệt với xuất huyết tuyến thượng thận hoặc u nguyên bào thần kinh.
“Thận thứ ba teo nhỏ” được phát hiện trước sinh. Sau sinh, ghi nhận một khối vừa dạng nang vừa dạng đặc ở vùng bụng trên bên trái, tách biệt hoàn toàn với lách, thận và tuyến thượng thận. Chẩn đoán sơ bộ là phổi lạc chỗ sau phúc mạc được đặt ra và sau đó được xác nhận qua kết quả giải phẫu bệnh.
Nang ống mật chủ
Nang ống mật chủ là một dị tật hiếm gặp. Biểu hiện lâm sàng điển hình bao gồm vàng da, khối ở vùng bụng trên phải và đau bụng. Tam chứng này chỉ xuất hiện ở chưa đến một nửa số bệnh nhân.
Người ta cho rằng đoạn kênh chung dài giữa ống mật chủ và ống tụy là yếu tố thuận lợi dẫn đến hình thành nang ống mật chủ. Dịch tụy được cho là trào ngược vào ống mật chủ, gây xói mòn thành ống.
Phân loại Todani thường được sử dụng (xem sơ đồ). Týp 1 là phổ biến nhất, tiếp theo là týp 4.
Siêu âm có thể phát hiện các tổn thương này. MRCP có thể hỗ trợ chẩn đoán.
Nang ống mật chủ có thể biến chứng bởi sự hình thành sỏi. Nếu sỏi bị kẹt, có thể gây giãn ống mật và tạo ra ấn tượng nhầm lẫn rằng đây là týp 4 thay vì týp 1.
Điều trị là phẫu thuật cắt bỏ, vì đây là bệnh lý tiền ung thư.
Nang ống mật chủ được phát hiện trước sinh, được xác nhận trên siêu âm sau sinh là nang Todani týp 1. Nang được phẫu thuật cắt bỏ vài ngày sau khi sinh kèm theo nối ống mật-hỗng tràng và quai Roux-en-Y.
Hydrometrocolpos
Nếu vách ngăn âm đạo tồn tại dai dẳng, phần âm đạo gần (colpos) và/hoặc tử cung (metros) có thể bị giãn rộng do tích tụ dịch hoặc máu, gây ra tình trạng hydrometrocolpos.
Bệnh lý này xảy ra ở hai nhóm tuổi: ở trẻ sơ sinh gái, thường được phát hiện trước sinh, và ở trẻ gái trong độ tuổi dậy thì, khi máu kinh nguyệt tích tụ trong âm đạo.
Nguyên nhân gây bệnh bao gồm: màng trinh không thủng, hoặc teo âm đạo do vách ngăn âm đạo ngang.
Bệnh có thể đi kèm với bất sản thận. Thận cần được khảo sát hình ảnh trong mọi trường hợp trẻ gái có dị tật cơ quan sinh dục.
Siêu âm có thể cung cấp chẩn đoán chính xác. Các dị tật của tử cung được đánh giá tốt hơn bằng MRI.
Chẩn đoán phân biệt bao gồm: áp xe túi cùng Douglas, nang đôi trực tràng, u quái buồng trứng.
Video cho thấy một nang lớn, đục ở vùng bụng dưới, với tử cung nhỏ nằm phía trên, ở một trẻ sơ sinh gái, phù hợp với hình ảnh hydrocolpos.
Xuất huyết tuyến thượng thận
Ở bệnh nhân xuất huyết tuyến thượng thận trái, cần đánh giá sự thông thoáng của tĩnh mạch thận trái.
Xuất huyết tuyến thượng thận chủ yếu xảy ra ngay sau sinh. Biểu hiện ban đầu là một khối tăng âm, sau đó hóa lỏng dần trong vài tuần. Các bác sĩ Nhi khoa có thể lo lắng nếu quá trình hóa lỏng diễn ra chậm, vì sợ bỏ sót u nguyên bào thần kinh (neuroblastoma). Sự vắng mặt của dòng chảy mạch máu và vôi hóa gợi ý chẩn đoán xuất huyết. Ngoài ra, kích thước tổn thương giảm dần theo thời gian cũng ủng hộ chẩn đoán xuất huyết.
Nếu xuất huyết tuyến thượng thận xảy ra trong giai đoạn trước sinh, trẻ có thể được sinh ra với một tổn thương dạng nang, đôi khi được phát hiện tình cờ. Đôi khi vẫn còn nhìn thấy một phần tuyến thượng thận với cấu trúc nhiều lớp đặc trưng. Tổn thương này có thể bị nhầm lẫn với cực trên bị tắc nghẽn của thận đôi (duplex kidney).
Xuất huyết tuyến thượng thận bên trái có liên quan đến huyết khối tĩnh mạch thận trái. Tĩnh mạch thượng thận trái đổ vào tĩnh mạch thận trái, khác với tĩnh mạch thượng thận phải vốn đổ trực tiếp vào tĩnh mạch chủ dưới.
Giống như mọi ổ xuất huyết, xuất huyết tuyến thượng thận có thể bị nhiễm trùng dẫn đến hình thành áp xe.
Bé trai 2 ngày tuổi với biểu hiện chậm thải phân su. Siêu âm phát hiện tình cờ một tổn thương xuất huyết tuyến thượng thận đã hóa nang, nhiều khả năng xảy ra từ trước sinh.
Hai tháng sau, tổn thương đang trong quá trình thoái triển.
Bé trai sơ sinh nhập viện vì đái máu. Siêu âm cho thấy huyết khối tĩnh mạch thận trái với hình ảnh thận sưng to và không có dòng chảy tĩnh mạch.
Tuyến thượng thận trái to ra và một phần có cấu trúc dạng nang, phù hợp với xuất huyết tuyến thượng thận trái.
Bé gái 1 tháng tuổi có biểu hiện sốt và xuất huyết tuyến thượng thận trái. Nhiễm trùng ổ xuất huyết được nghi ngờ. Chọc hút cho thấy mủ và dẫn lưu qua da được đặt vào. Tổn thương thoái triển chậm.
Nang lách
Nang lách có thể là bẩm sinh hoặc mắc phải, trong đó phần lớn là do chấn thương. Nang bẩm sinh còn được gọi là nang biểu mô hoặc nang dạng thượng bì (epidermoid).
Nang có thành dày thường được xem là mắc phải, xuất hiện sau chấn thương hoặc sau nhiễm trùng. Các nang này có thể không có âm vang hoặc chứa các mảnh vụn bên trong. Đối với các nang nhỏ, chẩn đoán thường khá rõ ràng. Tuy nhiên, với các nang lớn, việc xác định cơ quan nguyên phát có thể gặp nhiều khó khăn.
Nhiều nang có thể được ghi nhận trong bệnh cảnh u mạch bạch huyết lan tỏa (lymphangiomatosis).
Một bệnh nhân nữ 16 tuổi được chỉ định chụp hình ảnh để đánh giá khối u buồng trứng. Trong quá trình thăm khám, tình cờ phát hiện một nang lách chứa nhiều mảnh vụn bên trong. Tổn thương này ổn định trong suốt bốn năm theo dõi vừa qua.
Tụ máu
Các khối tụ máu trong ổ bụng thường có hồi âm dày (tăng âm) khi mới xuất hiện, nhưng trong giai đoạn tiêu máu thường trở nên giảm âm hoặc vô âm và có thể biểu hiện như một khối dạng nang. Khai thác tiền sử bệnh đầy đủ sẽ giúp dẫn đến chẩn đoán chính xác.
Tụ máu tá tràng
Một bé trai bảy tuổi bắt đầu nôn ói vài giờ sau khi nội soi tá tràng có sinh thiết. Siêu âm ghi nhận một khối tăng âm ở đoạn ba của tá tràng, phù hợp với hình ảnh tụ máu.
Sau 6 tuần, ghi nhận một tổn thương vô âm có một số vách ngăn bên trong
Bệnh nhân nữ mười lăm tuổi mắc chứng chán ăn tâm thần (anorexia nervosa) với các dấu hiệu và triệu chứng của viêm tụy mức độ nhẹ. Siêu âm ghi nhận một tổn thương dạng nang tăng âm nằm phía dưới tụy, áp sát thành tá tràng, hình ảnh gợi ý tụ máu.
Khi khai thác thêm tiền sử, phát hiện bệnh nhân có hành vi tự gây thương tích.
U quái (Teratoma)
U quái vùng cùng cụt (Sacrococcygeal teratoma)
U quái vùng cùng cụt được cấu thành từ mô đặc, các nang và vôi hóa. Chúng thường được phát hiện qua siêu âm trước sinh và có thể có kích thước rất lớn. Có một hệ thống phân loại như sau:
- Hoàn toàn bên ngoài, không có thành phần trước xương cùng
- Thành phần bên ngoài và thành phần trong khung chậu
- Thành phần bên ngoài và thành phần bên trong lan vào ổ bụng
- Hoàn toàn bên trong, không có thành phần bên ngoài
Khối u loại 4 có thể không được phát hiện lúc sinh và biểu hiện muộn hơn với triệu chứng táo bón. Nồng độ alpha-fetoprotein sẽ tăng cao.
Chẩn đoán thường được thực hiện qua thăm khám lâm sàng và được xác nhận bằng siêu âm. MRI thường được chỉ định để ghi nhận chính xác mức độ lan rộng của khối u, đặc biệt là để đánh giá sự xâm lấn vào ống sống, mặc dù siêu âm cũng có thể thực hiện được điều này ở trẻ sơ sinh và trẻ nhũ nhi.
Bé gái 2 tuổi với khối vùng cùng cụt. Trên siêu âm thấy một tổn thương dạng nang ở phía trước xương cùng, phù hợp với u quái vùng cùng cụt loại 4. Khối u đã được cắt bỏ hoàn toàn.
Sự xâm lấn vào ống sống có thể thấy được trên siêu âm, nhưng MRI cung cấp cái nhìn tổng quan tốt hơn và là tài liệu để so sánh trong tương lai.
Hình MRI cắt dọc cạnh đường giữa cho thấy một khối dạng nang trước xương cùng.
Bé gái sơ sinh với u quái vùng cùng cụt có thành phần đặc và dạng nang cả bên ngoài lẫn bên trong, kèm theo sự xâm lấn lớn vào ống sống.
U quái thành dạ dày
U quái có thể xuất hiện ở các vị trí khác ngoài buồng trứng hoặc vùng cùng cụt. Chúng sẽ bao gồm các thành phần dạng nang, đặc và/hoặc vôi hóa. Hình ảnh siêu âm của chúng thường gây nhầm lẫn, cũng như cơ quan nguyên phát của chúng. MRI đóng vai trò quan trọng trong trường hợp này.
Bé trai 4 tháng tuổi với một khối lớn trong ổ bụng. Siêu âm cho thấy hỗn hợp thành phần đặc và dạng nang. Khối u tách biệt với các tạng đặc trong ổ bụng.
MRI cho thấy khối u có thành phần vừa dạng nang vừa đặc. Trong phẫu thuật, một u quái lành tính của thành dạ dày đã được cắt bỏ.
Nang giả tụy
Nang giả tụy là một ổ tích tụ dịch được bao bọc bởi thành xơ. Tổn thương này có thể xuất hiện sau chấn thương tụy hoặc sau viêm tụy, thường gặp nhất sau liệu pháp asparaginase, đặc biệt được sử dụng trong điều trị bệnh bạch cầu.
Ở các bé gái lớn tuổi hơn, có thể xuất hiện các khối u dạng nang của tụy. Loại phổ biến nhất là u giả nhú đặc.
Bé gái 16 tuổi với tổn thương dạng nang ở đuôi tụy. Sau khi cắt bỏ, kết quả giải phẫu bệnh cho thấy u giả nhú đặc.
Nang ống niệu rốn
Ống niệu rốn (urachus) là cấu trúc nối giữa bàng quang nguyên thủy và dây rốn. Nếu ống này không bị tắc nghẽn hoàn toàn, có thể để lại nhiều dạng tồn dư khác nhau. Ống niệu rốn có thể vẫn còn thông, cho phép nước tiểu thoát ra qua rốn. Dạng tồn dư phổ biến nhất là túi thừa ở đỉnh bàng quang. Ngoài ra, một phần ống niệu rốn cũng có thể tồn tại dưới dạng nang trên đường đi của ống này.
Bé trai 9 tuổi với đau hố chậu phải kéo dài 3 ngày. Bệnh nhân được nghi ngờ viêm ruột thừa, tuy nhiên siêu âm cho thấy ruột thừa bình thường và một nang viêm phía trên bàng quang. Sau điều trị kháng sinh, tổn thương được phẫu thuật cắt bỏ. Kết quả giải phẫu bệnh cho thấy nang được lót bởi biểu mô đường tiết niệu, phù hợp với tồn dư ống niệu rốn.










































