Khối u đặc bụng ở trẻ em
Trong bài viết này, chúng tôi sẽ cung cấp các công cụ để giúp chẩn đoán hình ảnh ban đầu của các khối u ác tính ổ bụng thường gặp nhất được chính xác nhất có thể. Điều này sẽ định hướng cho các quy trình chẩn đoán hình ảnh tiếp theo
Một số khối u lành tính có thể dễ dàng bị nhầm lẫn với ác tính được đưa vào.
Cystic abdominal masses in children are discussed here.
Introduction
Các loại ung thư phổ biến nhất ở trẻ em là bệnh bạch cầu (28%), u não và u tủy sống (26%).
Tiếp theo là các khối u thường biểu hiện dưới dạng khối u ổ bụng: U nguyên bào thần kinh (8%), U nguyên bào thận (5%) và U lympho (8%) (tài liệu tham khảo).
Các khối u bụng ở trẻ em thường rất lớn khi được phát hiện lần đầu, vì hầu hết trẻ được đưa đến khám do người thân nhận thấy bụng căng phồng rõ rệt.
Có vẻ mâu thuẫn, nhưng đối với các khối u rất lớn, thường khó xác định hơn cơ quan nguyên phát.
The most common intra-abdominal tumors in children are:
- Neuroblastoma: 30% of all cases
- Nephroblastoma or Wilms’ tumor: 25%
- Lymphomas:15%
- Germ cell tumors: 9%
- Hepatoblastoma: 9%
- Rhabdomyosarcoma: 4%
- Hepatocellular carcinoma: 1,5%
Các đặc điểm chính của những khối u ổ bụng này được trình bày trong bảng.
Siêu âm là phương thức chẩn đoán hình ảnh được sử dụng đầu tiên.
Nó có thể dễ dàng xác nhận sự hiện diện của một khối u và thường có thể xác định vị trí xuất phát của khối u.
Tìm kiếm sự di động đồng bộ theo nhịp thở của khối u cùng với cơ quan nguyên phát.
Điều này có thể thấy trong các khối u gan và thận nhỏ.
Trong các khối u lớn, các cơ quan xung quanh bị chèn ép và sẽ không có sự di động.
Trong các khối u thận, “dấu hiệu móng vuốt” thường xuất hiện.
Dấu hiệu này được thấy khi một phần của thận bao quanh khối u như một móng vuốt (hình).
Trước khi chúng ta thảo luận về các khối u ổ bụng khác nhau, cần nhận thức rõ rằng chẩn đoán xác định thường được thực hiện bằng xét nghiệm mô bệnh học.
Hầu hết các khối u đều được sinh thiết trước khi điều trị.
Tuy nhiên, các khối u thận ở trẻ em từ sáu tháng đến chín tuổi không được sinh thiết vì khả năng đó là u nguyên bào thận rất cao đến mức nguy cơ chẩn đoán sai còn lớn hơn nguy cơ rò rỉ khối u trong quá trình sinh thiết, đặc biệt là trong u nguyên bào thận thể không điển hình lan tỏa.
Neuroblastoma
U nguyên bào thần kinh là các khối u phôi thai có nguồn gốc từ dòng tế bào giao cảm-thượng thận của mào thần kinh.
Khoảng một nửa số khối u xuất phát từ tuyến thượng thận.
Các vị trí khởi phát khác là chuỗi giao cảm cạnh sống ngực và thắt lưng.
Một số ít phát triển ở vùng cổ.
Biểu hiện lâm sàng rất đa dạng. Các triệu chứng thường gặp là đau và khối u bụng. Các dấu hiệu thần kinh do lan rộng vào ống sống có thể xảy ra. Một biểu hiện điển hình là “mắt gấu trúc”, đây là tình trạng bầm máu quanh hốc mắt do di căn xâm nhập vùng hốc mắt.
Một số ít bệnh nhân biểu hiện hội chứng giật nhãn cầu – giật cơ, một rối loạn thần kinh đặc trưng bởi các chuyển động mắt nhanh, đa hướng (giật nhãn cầu), các cơn giật cơ không tự chủ, nhanh (giật cơ), rối loạn phối hợp vận động (mất điều hòa), kích thích và rối loạn giấc ngủ.
Tiên lượng phụ thuộc vào giai đoạn của khối u.
Đối với khối u độ thấp, tỷ lệ sống sót 5 năm là > 90%.
Đối với các khối u nguy cơ cao (giai đoạn 4 và các khối u có khuếch đại MYCN), tỷ lệ này là khoảng 50%.
Việc phân giai đoạn khá phức tạp, xem tài liệu tham khảo phân giai đoạn u nguyên bào thần kinh.
Imaging findings
The imaging findings are listed in the table.
Ultrasound
Trên siêu âm, khối u thường tăng âm và không đồng nhất với các vôi hóa sáng.
Một đặc điểm của u nguyên bào thần kinh là xu hướng bao quanh mạch máu và chúng có xu hướng phát triển giữa cột sống và động mạch chủ, đẩy động mạch chủ ra phía trước.
Các khối u khác cũng có biểu hiện bao quanh mạch máu bao gồm u lympho và u cơ vân.
Sự lan rộng nội tủy sống là phổ biến nhưng khó đánh giá bằng siêu âm.
Nếu đã xảy ra di căn bạch huyết, có thể thấy nhiều hạch bạch huyết dạng tròn có khối u. Hạch bạch huyết thượng đòn trái (hạch Virchow) thường bị liên quan trong các khối u tuyến thượng thận trái lớn.
Video
Video cho thấy một khối u nguyên bào thần kinh ở bé trai một tuổi nhập viện vì nôn mửa. Khối u bao quanh động mạch chủ, đẩy động mạch chủ ra khỏi cột sống. Có thể thấy các vôi hóa nhỏ.
Continue with the MRI of this patient.
MRI
MRI is done for more detailed imaging of the tumor.
MRI examination:
- T2 weighted 3D sequence
- Fat suppressed T1 before and after Gadolinium injection
- Diffusion weighted imaging
Cuộn qua chuỗi ảnh T2 theo mặt phẳng coronal.
Nghiên cứu các hình ảnh và sau đó tiếp tục đọc.
The findings are:
- Mass with encasement of the aorta and splanchnic vessels.
- Lan rộng dọc theo cột sống ngực nhưng không xâm lấn vào ống sống.
- Small liver metastases.
- Left supraclavicular mass.
Same patient.
Đây là hình ảnh T1W axial có tiêm gadolinium với kỹ thuật xóa mỡ.
Hình ảnh cho thấy sự bao bọc của các mạch máu.
Lưu ý sự lan rộng của khối u ra phía sau động mạch chủ, đẩy động mạch chủ ra xa cột sống (mũi tên).
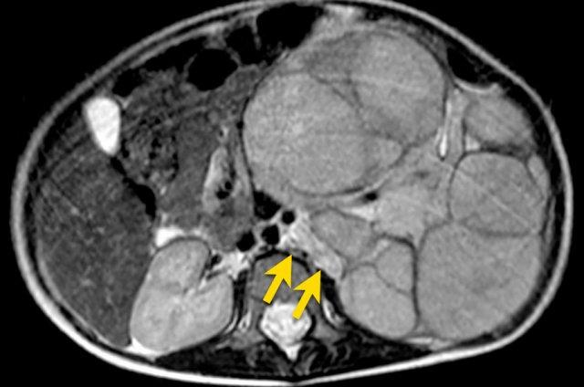
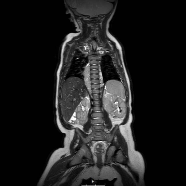
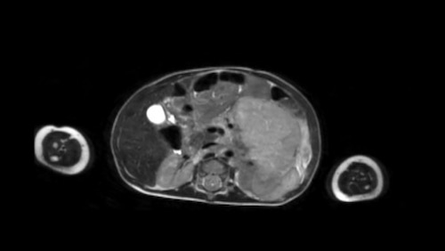
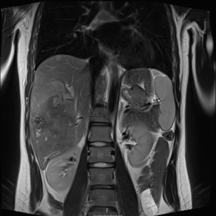
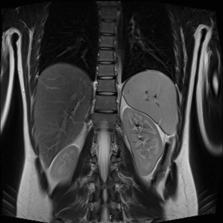
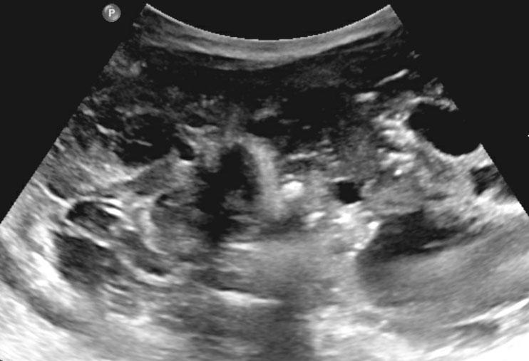
Siêu âm của một bé trai mười lăm tháng tuổi, ban đầu được nghi ngờ có khối u ở thận trái.
Siêu âm cho thấy một khối u nằm kề cực trên phía trong của thận trái. Khối u có vẻ tách biệt với thận. Khối u rất không đồng nhất và có nhiều vôi hóa.
Những phát hiện này phù hợp với u nguyên bào thần kinh hơn là u nguyên bào thận.
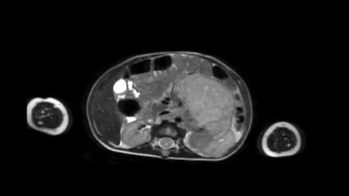
Mức độ lan rộng của khối u được đánh giá rõ ràng trên chuỗi xung TSE T2 weighted 3D theo mặt phẳng axial.
The left kidney is compressed and displaced caudally.
Có di căn hạch bạch huyết cạnh động mạch chủ (mũi tên vàng nhỏ).
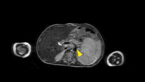
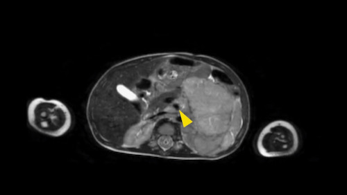
Nguyên ủy của thân tạng và động mạch mạc treo tràng trên bị khối u bao quanh (đầu mũi tên).
Tĩnh mạch chủ dưới bị đẩy ra phía trước (mũi tên xanh).
Xẹp phổi hai bên ở vùng lưng thường được thấy trên MRI, vì việc kiểm tra được thực hiện dưới gây mê.
Biopsy
Percutaneous biopsy can be difficult for two reasons:
- Những khối u này chứa nhiều mô hoại tử dẫn đến chỉ còn lại chất nhầy và không thể chẩn đoán giải phẫu bệnh
- Những khối u này có thể chảy máu nhiều trong quá trình sinh thiết. Sinh thiết mở có thể là cần thiết, nhưng phương pháp này cũng có thể đi kèm với chảy máu nhiều.
Hình ảnh
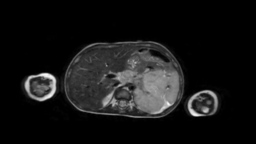
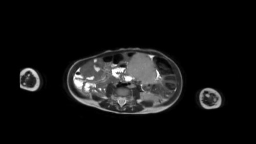
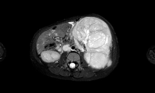
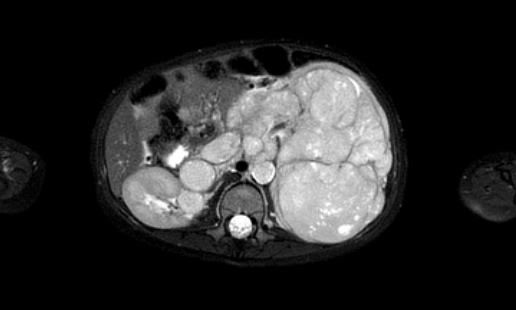
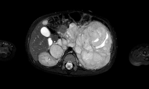
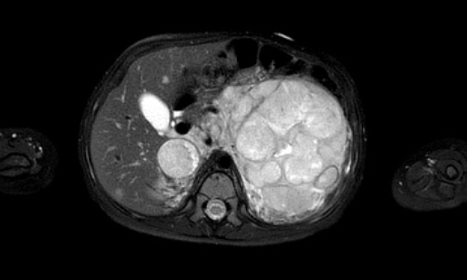
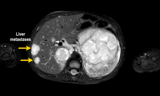
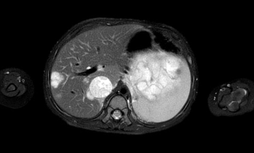
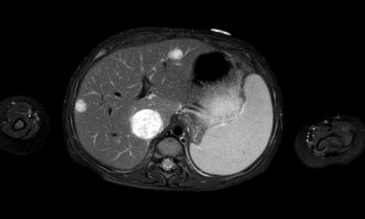
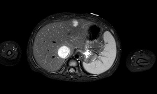
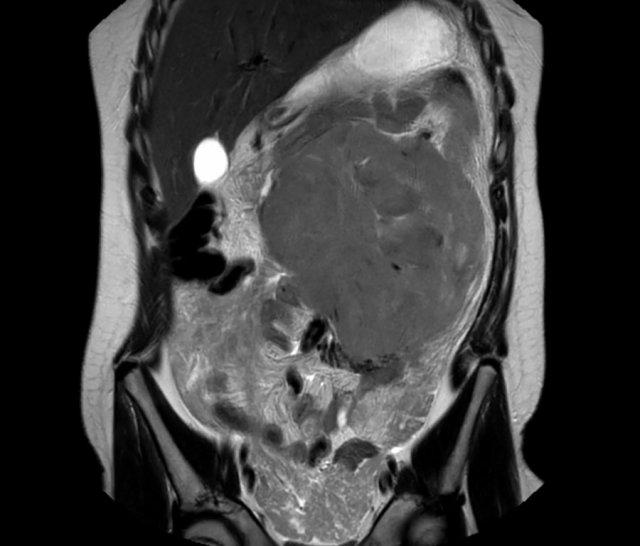
Hình ảnh MRI của một bé gái chín tháng tuổi có khối u ở bụng trái. MRI cho thấy khối u tuyến thượng thận trái, một phần đặc, một phần nang. Có nhiều di căn gan.
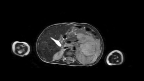
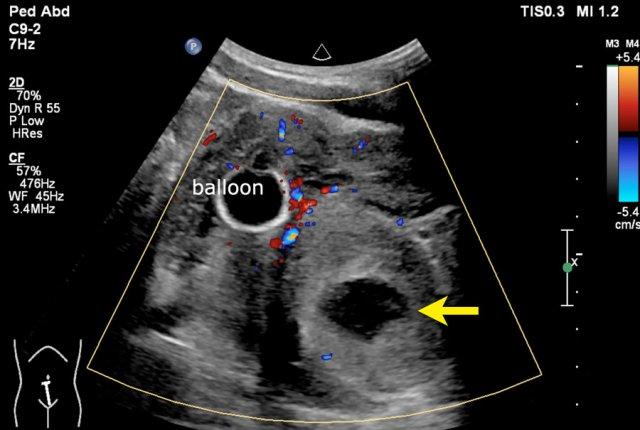
Khối u đã được sinh thiết. Có tình trạng chảy máu liên tục qua kim dẫn đường. Vào cuối thủ thuật, hai nút bọt gelatin đã được đặt vào (các dải tăng âm (mũi tên)).
MIBG
All the activity indicates bone metastases.
Trong theo dõi hình ảnh học của u nguyên bào thần kinh đã di căn, kết quả có thể khá khó diễn giải, vì các di căn xương có thể trở nên rõ ràng hơn khi chúng được điều trị thành công.
Renal tumors
Các khối u thận ở trẻ em sẽ được thảo luận chi tiết hơn trong một bài viết riêng.
Ở đây chúng tôi chỉ trình bày một số hình ảnh thường gặp.
Nephroblastomas
Hơn 90% khối u thận ở trẻ em là u nguyên bào thận – còn được gọi là u Wilms.
The peak age is 2 – 3 years.
Thường gặp các khối u này biểu hiện với bụng căng phồng không đau và thường rất lớn khi phát hiện. Đôi khi chúng biểu hiện với tiểu máu, đau bụng hoặc tăng huyết áp.
Các khối u nhỏ hơn được phát hiện trong quá trình sàng lọc siêu âm ở trẻ em mắc các hội chứng có nguy cơ dẫn đến u nguyên bào thận, như hội chứng Beckwith-Wiedemann và hội chứng Denys-Drash (xem trang web về các khối u thận ở trẻ em).
U nguyên bào thận hai bên thường liên quan đến hội chứng bệnh lý.
Phổi là vị trí di căn thường gặp nhất. Di căn gan và xương hiếm gặp.
Hình ảnh
U nguyên bào thận ở thận trái của bé trai ba tuổi. Phần còn lại của thận trải dài trên khối u (dấu hiệu “móng vuốt” mũi tên). Khối u khá đồng nhất với một số vùng nang.
Continue with the MRI.
Hình ảnh
U nguyên bào thận ở thận trái của một bé trai ba tuổi. Khối u thùy đôi nằm ở vùng cực giữa. Có một đài thận giãn ở cực trên (mũi tên).
Điều trị
Tại các nước châu Âu, bệnh nhân được hóa trị trước, sau đó cắt bỏ thận, tiếp theo là hóa trị sau phẫu thuật (theo phương pháp của Hiệp hội Ung thư Nhi khoa Quốc tế, SIOP).
Tại Mỹ, thận được cắt bỏ trước tiên, sau đó mới tiến hành hóa trị (theo phương pháp của Nhóm Ung thư Nhi khoa, COG).
Kết quả của cả hai phác đồ điều trị là tương đương nhau.
Tiên lượng rất tốt với tỷ lệ sống sót sau 5 năm trên 90%.
Bệnh hai bên có tiên lượng kém thuận lợi hơn.

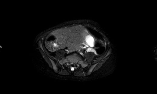
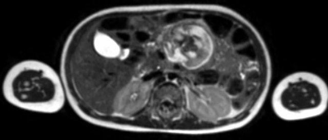
A. The tumor enhances less than the peripheral remnant of normal renal tissue (blue arrow). The left renal vein is open (yellow arrow). Solid parts of the tumor show diffusion restriction (white arrow)
Siêu âm
Hình ảnh ban đầu thường được thực hiện bằng siêu âm. Các khối u nhỏ hơn sẽ được thấy di chuyển đồng bộ với thận. Các khối u lớn sẽ không di chuyển.
Như đã đề cập trước đó, thường có thể phát hiện phần nhu mô thận còn lại bao quanh khối u, được gọi là dấu hiệu móng vuốt. Phần nhu mô còn lại có thể có đài thận giãn do tắc nghẽn bể thận.
Các khối u nhỏ thường đồng nhất và tăng âm.
Các khối u lớn hơn thường không đồng nhất với các phần dạng nang hoặc hoại tử và xuất huyết.
10% u nguyên bào thận có vôi hóa nhỏ.

Left sided nephroblastoma in a two-year-old girl. Note the para-aortal lymph node metastasis (arrow).
Khi bạn đã xác định chắc chắn nguồn gốc thận của khối u, hãy khảo sát thận còn lại để tìm khối u hoặc bệnh lý nephroblastomatosis (xem bên dưới).
Tìm kiếm các hạch bạch huyết cạnh động mạch chủ bị phì đại.
Sử dụng Doppler màu để kiểm tra sự thông thoáng của tĩnh mạch thận và tĩnh mạch chủ dưới, vì nephroblastoma có xu hướng xâm lấn vào tĩnh mạch thận và tĩnh mạch chủ dưới.
Cũng cần chụp ảnh gan để tìm di căn, mặc dù di căn gan hiếm gặp trong u nguyên bào thận.
Phát hiện di căn gan nên thúc đẩy bạn tìm kiếm chẩn đoán thay thế như u dạng cơ vân.
Chụp CT ngực được thực hiện để đánh giá di căn phổi.
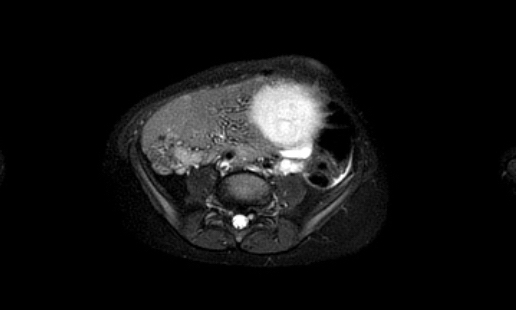
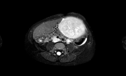
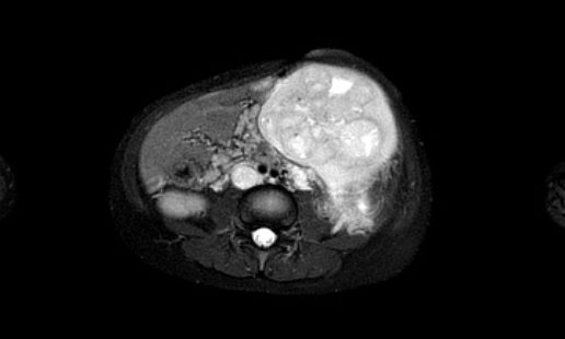
MRI
The next imaging step is a MRI of the abdomen.
U nguyên bào thận thường không đồng nhất, với tín hiệu giảm trên T1 và tín hiệu tăng trên T2. Các vùng hoại tử dạng nang thường hiện diện.
Tăng cường tín hiệu sau tiêm Gadolinium không đồng nhất và kém hơn so với sự tăng cường của nhu mô thận bình thường.
Các phần đặc của khối u sẽ cho thấy khuếch tán hạn chế. Xuất huyết thường gặp. Các vùng xuất huyết cũng sẽ cho thấy khuếch tán hạn chế, vì vậy hãy quan sát trên hình ảnh T1 để tìm dấu hiệu chảy máu.
Đôi khi có thể thấy sự phá vỡ vỏ bao khối u. Vỡ vào trong phúc mạc là biến chứng nặng hơn so với vỡ sau phúc mạc.
MRI có thể hiển thị rõ ràng huyết khối u trong tĩnh mạch thận và tĩnh mạch chủ dưới, cũng như tình trạng hạch bạch huyết to. Phương pháp này cho phép đo lường khối u một cách chính xác và có thể lặp lại trong các lần khám ban đầu và theo dõi.
Ví dụ 1
Một bé gái ba tuổi có khối u thận trái và huyết khối khối u lớn trong tĩnh mạch thận và tĩnh mạch chủ dưới. Có di căn gan (phát hiện không thường gặp) và di căn phổi.
Video of the same patient.
Lưu ý huyết khối u trong tĩnh mạch thận trái kéo dài vào tĩnh mạch chủ dưới.
Example 2
Video về một bé gái ba tuổi có khối u lớn ở hông phải.
Siêu âm với đầu dò tần số cao cho thấy khối u xuất phát từ thận phải.
The remnant of the collecting system is dilated.
Same patient.
A tumor thrombus is present in the inferior caval vein.
Same patient.
Chuỗi ảnh MRI axial trọng số T2 cho thấy huyết khối u lan rộng đến mức tĩnh mạch gan. Lưu ý phần còn lại giãn rộng của hệ thống thu thập nước tiểu
Example 3
Video of a two-year-old boy with hemihypertrophy.
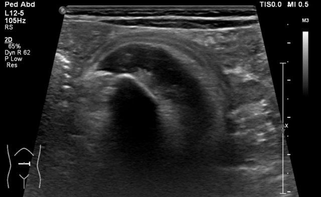
Siêu âm tầm soát cho thấy một khối u đồng nhất ở cực trên thận trái.
Các khối u được phát hiện trong quá trình kiểm tra sàng lọc thường nhỏ hơn nhiều.
Classification of Nephroblastoma
Việc phân loại u nguyên bào thận được thực hiện sau khi cắt bỏ thận.
Other Renal tumors
More
renal tumors will be discussed in a separate article.
Liver tumors
Hemangioendothelioma
U mạch nội mô gan còn được gọi là u mạch nội mô ở trẻ sơ sinh hoặc u máu gan ở trẻ sơ sinh. Đây là một khối u có tính mạch máu cao. Các khối u này có thể đơn độc, đa ổ hoặc lan tỏa.
Hầu hết được phát hiện dưới dạng khối u bụng trong sáu tháng đầu đời. Chúng có thể dẫn đến suy tim sung huyết và hiếm khi gây ra hội chứng Kasabach-Merritt, một bệnh hiếm gặp, trong đó khối u mạch máu dẫn đến giảm số lượng tiểu cầu và rối loạn chảy máu.
Nồng độ AFP hầu hết trong giới hạn bình thường.
Siêu âm
Trên siêu âm, khối u được tưới máu tốt. Khối u có thể giảm âm hoặc có độ hồi âm hỗn hợp. Khác với u máu gan ở người lớn, khối u không tăng âm. Vôi hóa là biểu hiện thường gặp.
Các động mạch và tĩnh mạch lớn có thể quan sát thấy, động mạch chủ có thể giãn rộng hơn bình thường do nhu cầu cung cấp máu lớn của khối u và thon nhỏ dần ở đoạn xa trục tạng.
Video
Bé gái ba tháng tuổi có khối u ở bụng trái.
Quan sát thấy khối u có cuống nối với thùy gan trái, trong đó có các mạch máu lớn. Tổn thương có một số vôi hóa bên trong.
CT
Trên CT không tiêm thuốc cản quang, vôi hóa xuất hiện ở khoảng một nửa số bệnh nhân. Sau khi tiêm thuốc cản quang tĩnh mạch, khối u cho thấy hình ảnh ngấm thuốc ngoại vi với sự lấp đầy dần dần từ ngoài vào trong. Ở các khối u lớn hơn, phần trung tâm có thể không ngấm thuốc.
MRI
Trên MRI, u nội mô mạch máu thường có tín hiệu thấp trên T1 và tín hiệu cao trên T2. Sau tiêm thuốc tương phản, hình ảnh ngấm thuốc từ ngoại vi vào trung tâm tương tự như trên CT.
Hầu hết các khối u sẽ tự thoái triển, và tiên lượng tốt.
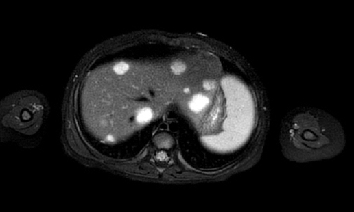
Hình ảnh
Cuộn qua các hình ảnh. Đây là khối u tương tự như trên siêu âm.
Mesenchymal hamartoma
U hamartoma trung mô thường là các tổn thương gan đa nang, mặc dù hiếm khi có thể ở dạng đặc. Chúng thường có kích thước lớn khi được phát hiện. Nồng độ AFP huyết thanh trong giới hạn bình thường.
Siêu âm sẽ cho thấy một tổn thương đa nang. MRI cũng sẽ thể hiện điều này. Sau khi tiêm Gadolinium, có thể thấy một số tăng cường tín hiệu của mô đệm.
Ví dụ 1
Hình ảnh của một bé trai hai tuổi, đến khám với triệu chứng bụng phình to không đau. Siêu âm cho thấy một khối đa nang lớn ở phía đuôi của gan.
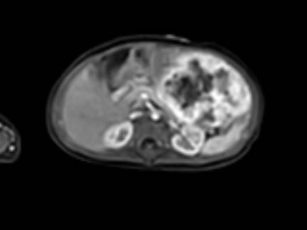
Continue with the MRI.
MRI tương phản T1 có ức chế mỡ mặt phẳng coronal cung cấp cái nhìn tổng quan tốt hơn về tổn thương gan, với trọng lượng gần 2 kilogram khi cắt bỏ.
Kết quả giải phẫu bệnh cho thấy u hamartoma trung mô. Không cần theo dõi thêm.
Ví dụ 2
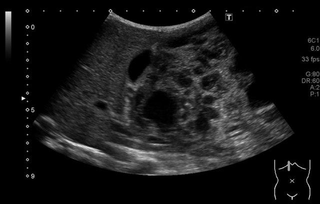
Một bé trai bốn tháng tuổi nhập viện với khối u bụng. Siêu âm cho thấy một khối u từ phần đuôi của thùy gan phải, lan xuống vùng chậu.
The mass is not hypervascular.
MRI cho thấy một khối u lớn ở vị trí đuôi của gan, lan rộng đến bàng quang.
Sau khi tiêm Gadolinium, có sự tăng tín hiệu rất nhanh, gần như là shunt động-tĩnh mạch.
Khối u được cho là u nội mô mạch máu.
Sinh thiết đã được thực hiện và kết quả giải phẫu bệnh tương thích với u hamartoma trung mô.
Hepatoblastoma
U nguyên bào gan là khối u gan ác tính phổ biến nhất ở trẻ nhỏ, trong khi ung thư biểu mô tế bào gan xuất hiện ở trẻ lớn hơn, chủ yếu ở độ tuổi thiếu niên. [7].
U nguyên bào gan thường biểu hiện bằng bụng to.
Siêu âm thường cho thấy một khối u được phân định rõ ràng. Ở các khối u lớn hơn, có thể thấy các nang hoại tử và vôi hóa.
Chụp CT mạch máu được thực hiện trước phẫu thuật để xác định mối liên quan giữa khối u và các mạch máu gan.
MRI sẽ giúp xác định rõ hơn khối u. Hepatoblastoma có tín hiệu thấp trên T1 và tín hiệu hỗn hợp trên T2. Sau khi tiêm Gadolinium, có thể thấy hình ảnh ngấm thuốc không đồng nhất.
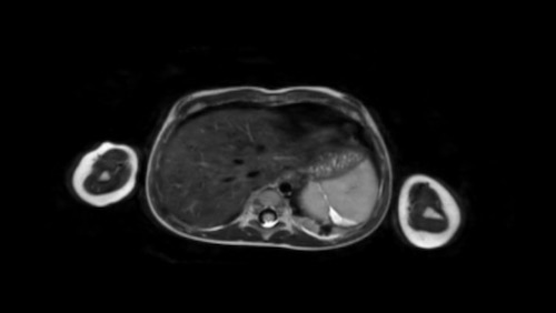
Ví dụ 1
Một bé trai hai tuổi đến khám với triệu chứng sưng vùng bụng.
Trên siêu âm thấy một khối u đặc lớn ở vùng bụng trên. Có một số vôi hóa. Khối u có thể xuất phát từ gan. Khối u trượt trên thận phải.
Tiếp tục với MRI.
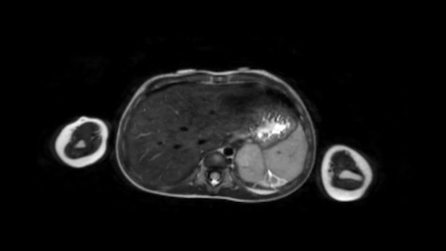
MRI shows a solid hepatic mass with multiple small cysts.
Sau khi tiêm thuốc cản quang, khối u được thấy giới hạn ở phân thùy sau và trước phải, được phân định bởi tĩnh mạch gan giữa (mũi tên).
The mass has moderate diffusion restriction.
Biopsy was compatible with an epithelial hepatoblastoma.
Hepatocellular carcinoma
Bệnh này hiếm gặp ở trẻ nhỏ nhưng có thể gặp ở trẻ lớn hơn, chủ yếu là trẻ >10 tuổi, mặc dù đã có báo cáo ghi nhận ở trẻ năm tuổi. Các bệnh nền có thể dẫn đến ung thư biểu mô tế bào gan bao gồm viêm gan B và bệnh Tyrosinemia.
Tyrosinemia là một rối loạn di truyền đặc trưng bởi sự thất bại trong việc phân giải tyrosine, một thành phần cấu tạo nên hầu hết các protein. Tyrosine và các sản phẩm phụ của nó sẽ tích tụ trong các cơ quan và có thể dẫn đến suy gan, suy thận và tăng nguy cơ mắc ung thư biểu mô tế bào gan (HCC).
Khối u biểu hiện với khối bụng, đau, hoặc vàng da. Nồng độ AFP tăng cao (mặc dù thường tăng ít hơn so với nồng độ AFP trong u nguyên bào gan).
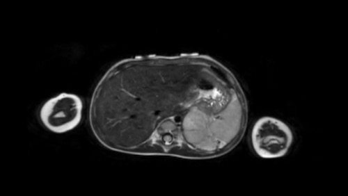
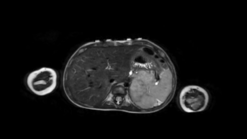
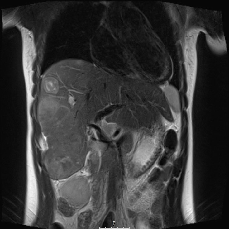
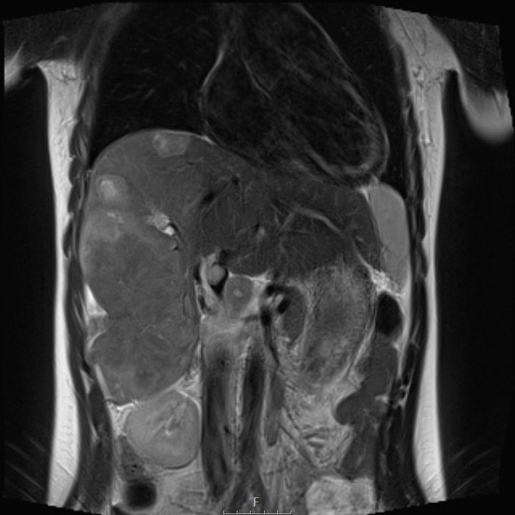
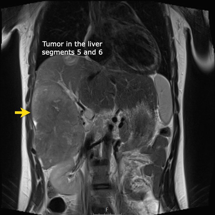
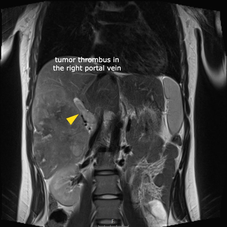
Ví dụ 1
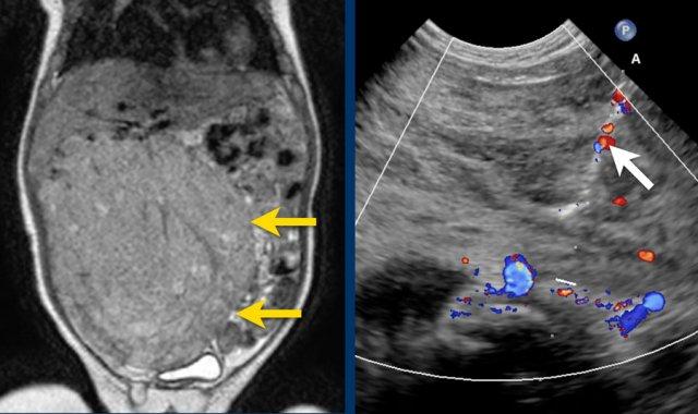
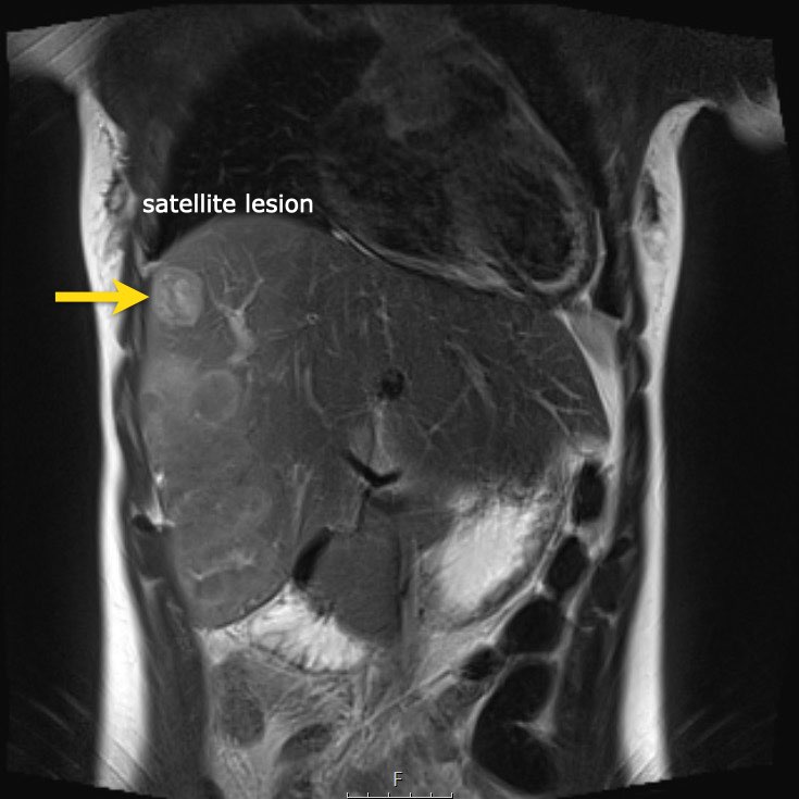
Một bé gái 17 tuổi nhập viện với triệu chứng đau bụng vùng thượng vị. Siêu âm phát hiện một khối u gan lớn.
Trên MRI thấy khối u ở phân thùy gan 5 và 6 với các tổn thương vệ tinh ở phân thùy 7 và 8 (mũi tên). Có huyết khối u trong tĩnh mạch cửa phải (đầu mũi tên) và nhiều di căn phổi (*).
Hodgkin and Non-Hodgkin
Có hai loại u lympho chính: u lympho Hodgkin và u lympho không Hodgkin.
U lympho Hodgkin thường biểu hiện với hạch bạch huyết cổ to và khối trung thất, trong khi hiếm khi khu trú ở vùng bụng.
U lympho không Hodgkin thường gặp hơn ở các hạch bạch huyết cạnh động mạch chủ và mạc treo ruột cũng như lách (bảng). U lympho không Hodgkin biểu hiện bệnh ngoài hạch thường xuyên hơn so với u lympho Hodgkin.
Để phân giai đoạn u lympho Hodgkin, người ta sử dụng phân loại Lugano [9], và đối với u lympho không Hodgkin, người ta sử dụng hệ thống phân giai đoạn U lympho không Hodgkin Nhi khoa Quốc tế [10].
Siêu âm
Trên siêu âm, các hạch bạch huyết phì đại có hồi âm rất thấp. Hình ảnh gần như vô hồi âm của khối u là đặc trưng của u lympho ác tính. Nếu ruột bị ảnh hưởng, cấu trúc phân lớp của thành ruột sẽ mất đi.
MRI
Trên MRI, các khối u được quan sát thấy có ngấm thuốc một phần sau khi tiêm Gadolinium và hạn chế khuếch tán mạnh đáng kể. Một loại u khác cũng có thể biểu hiện hạn chế khuếch tán rõ rệt này là u nguyên bào thần kinh, tuy nhiên các khối u này thường không đồng nhất hơn nhiều với các vùng hoại tử và xuất huyết
PET-CT
18-F-FDG PET-CT is used for staging.
Ví dụ 1
Video này ghi lại hình ảnh của một bé trai mười ba tuổi mắc u lympho Hodgkin với các vị trí tổn thương ở cổ và trung thất.
Siêu âm ổ bụng cho thấy nhiều hạch bạch huyết cạnh động mạch chủ giảm âm bị phì đại, đây là hình ảnh điển hình của u lympho Hodgkin.
Ví dụ 2
Một bé gái 12 tuổi đến khám với khối u lớn ở bụng. Siêu âm không thể xác định được cơ quan nguyên phát.
MRI cho thấy một khối u mạc treo lớn và thâm nhiễm lan tỏa của mạc nối.
Lưu ý sự hạn chế khuếch tán rõ rệt của mạc nối, điều này khiến u lympho là chẩn đoán có khả năng nhất.
This was confirmed by pathologic examination.
Example 3
Một trẻ bốn tuổi bị tăng huyết áp. Thận của trẻ to ra và siêu âm cho thấy hình ảnh vân sọc ở nhú thận và các vùng giảm âm ở vỏ thận.
There were also enlarged abdominal lymph nodes.
Pathologic examination demonstrated a Burkitt lymphoma.
Leukemia
Bệnh bạch cầu là bệnh ác tính phổ biến nhất ở trẻ em. Bệnh có thể biểu hiện với tổn thương vùng bụng.
Bệnh bạch cầu có thể ảnh hưởng đến tất cả các cơ quan đặc trong ổ bụng.
Các cơ quan có thể bị thâm nhiễm lan tỏa hoặc có dạng nốt rõ hơn.
Thận bị ảnh hưởng ở gần một nửa số bệnh nhân mắc bạch cầu cấp dòng lympho giai đoạn muộn. Tổn thương có thể xảy ra một bên hoặc hai bên, và có thể có các tổn thương khu trú hoặc thâm nhiễm lan tỏa. Dạng sau có hình ảnh khá điển hình với hình ảnh sọc xung quanh các đài thận, tương tự như trong u lympho ác tính.
Example 1
Một bé gái tám tuổi nhập viện với triệu chứng sụt cân và đau dữ dội ở hai chân.
Siêu âm cho thấy nhiều tổn thương ở cả hai thận.
MRI không chỉ phát hiện các khối u thận mà còn phát hiện tổn thương ở tụy, cánh chậu phải, xương cùng trái và nhiều hạch bạch huyết sau phúc mạc.
Chẩn đoán trên hình ảnh học là u lympho ác tính nhưng chẩn đoán cuối cùng hóa ra là bệnh bạch cầu.
Germ cell tumor
Phần lớn các khối u tế bào mầm ở trẻ em xuất hiện ở tinh hoàn và buồng trứng, nhưng chúng có thể phát sinh ở bất kỳ vị trí nào trong cơ thể, bao gồm cả ổ bụng.
Chúng phát triển từ các tế bào gốc đa năng, do đó có các dòng tế bào đa dạng.
Thường gặp sự pha trộn giữa các dòng tế bào lành tính và ác tính.
Thành phần ác tính nhất khi kiểm tra giải phẫu bệnh sẽ quyết định lựa chọn phương pháp điều trị.
Khối u có thể tiết ra alpha-fetoprotein và/hoặc beta human chorionic gonadotropin.
Các khối u tế bào mầm ở bụng được chẩn đoán do các triệu chứng chèn ép.
Khối u tế bào mầm ngoài tuyến sinh dục ở bụng thường gặp nhất là u quái vùng cùng cụt.
Thực thể này được thảo luận tại trang Các Khối U Bụng Dạng Nang ở Trẻ Em.
Các khối u tế bào mầm thường có một phần dạng nang và một phần đặc. Thành phần đặc càng nhiều thì mức độ ác tính càng cao. [13]
Trên siêu âm, các khối u đặc thường rất không đồng nhất với các thành phần dạng nang và đặc xen kẽ. Vôi hóa là dấu hiệu thường gặp.
Sự kết hợp giữa thành phần dạng nang và đặc gợi ý khối u tế bào mầm.
Trên
MRI, các vôi hóa khó quan sát vì chúng có tín hiệu thay đổi trên các chuỗi xung MR khác nhau. Chúng thường có cường độ tín hiệu thấp và do đó khó nhận thấy,
nhưng đôi khi chúng có thể có tín hiệu cao trên spin echo T1 và T2.
MRI có thể hiển thị các thành phần mỡ trong khối u,
điều này gợi ý mạnh mẽ cho chẩn đoán u tế bào mầm.
Example 1
Một bé trai bốn tháng tuổi có khối phồng ở bụng. Siêu âm cho thấy một khối u với các phần nang và đặc. Có một số tiêu điểm tăng âm (mũi tên).
On MRI (not shown) fatty components were visible.
Trong quá trình phẫu thuật, một khối u quái của dạ dày đã được cắt bỏ. Khối u này là lành tính.
Example 2
Một bé trai sáu tháng tuổi bị nghi ngờ mắc chứng lồng ruột. Trong quá trình kiểm tra siêu âm, một khối u trong ổ bụng đã được phát hiện. Bé được chuyển viện với chẩn đoán u nguyên bào thần kinh.
Hình ảnh
Có một tổn thương với thành nhiều lớp, phần nang và phần tăng âm kèm bóng lưng âm mạnh. U tế bào mầm có khả năng cao hơn so với u nguyên bào thần kinh. U nguyên bào thần kinh thường có các vôi hóa nhỏ hơn.
Tiếp tục với MRI.
MRI
Hình ảnh trục T2 weighted cho thấy các phần có tín hiệu cao của khối u, có thể là mỡ hoặc dịch.
Hình ảnh T1W tăng cường tương phản có ức chế mỡ.
Các vùng tín hiệu cao bị ức chế, điều này cho thấy đó là mỡ.
Lưu ý
mối liên quan chặt chẽ với động mạch mạc treo tràng trên, có thể bị tổn thương
trong quá trình phẫu thuật.
At operation a benign mature cystic teratoma was resected.
Example 3
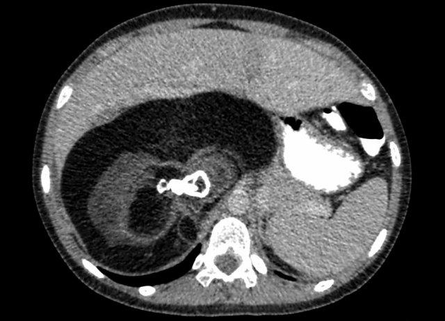
Một bé gái mười sáu tuổi nhập viện với triệu chứng phù chân.
CT cho thấy một khối u chứa mỡ, vôi hóa thô và các thành phần đặc.
Tĩnh mạch chủ dưới bị chèn ép.
Trong quá trình phẫu thuật, một u quái trưởng thành dạng nang sau phúc mạc đã được cắt bỏ.
Rhabdomyosarcoma
Rhabdomyosarcoma (RMS) là khối u mô mềm phổ biến nhất ở trẻ em và có thể phát triển ở hầu hết mọi vị trí, nhưng chủ yếu ở vùng đầu và cổ, bao gồm hốc mắt và đường tiết niệu sinh dục.
Khoảng 25% tất cả các trường hợp RMS phát sinh ở vùng bụng dưới, thường xuất phát từ bàng quang, tuyến tiền liệt hoặc âm đạo, nhưng chúng có thể phát sinh ở hầu hết mọi nơi, chẳng hạn như dọc theo đường mật (nơi không có cơ vân!).
Phân nhóm bệnh lý thường gặp nhất là RMS thể phôi, tiếp theo là RMS thể phế nang. Thể phế nang có tiên lượng xấu hơn.
Tuổi của bệnh nhân, thường dưới 15 tuổi và vị trí của khối u ở tuyến tiền liệt, bàng quang hoặc âm đạo sẽ gợi ý hướng đến chẩn đoán, trong khi các đặc điểm hình ảnh học không đặc hiệu.
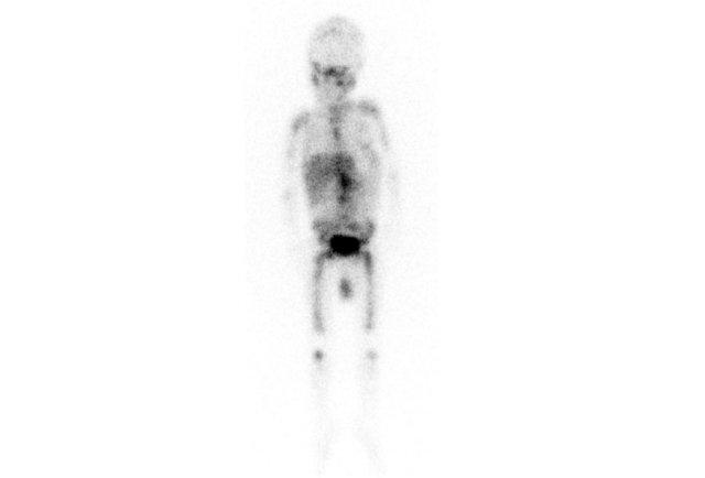
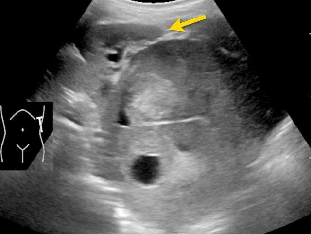
Example 1
Một bé trai mười lăm tuổi có khối u với phần nang nhỏ (mũi tên) được thấy gần bàng quang.
Bóng của ống thông trong bàng quang.
MRI
A
sagittal image shows a tumor anterior to the bladder neck.
Có
sự tăng cường không đồng đều.
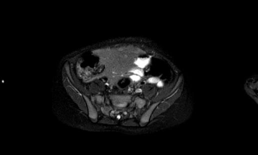
DWI
cho thấy hạn chế khuếch tán mạnh (không hiển thị).
Vị trí của khối u
khiến rhabdomyosarcoma (cơ vân ác tính) là chẩn đoán có khả năng nhất.
Khối u được sinh thiết qua đường tiếp cận phía trước qua xương mu.
Final diagnosis: Rhabdomyosarcoma



































































































































