Khối u cổ ở trẻ em
A mass in the neck is a common finding in children.
Trong bài viết này, chúng tôi trình bày một bài luận hình ảnh về các khối u vùng cổ ở trẻ em và cung cấp phương pháp tiếp cận chẩn đoán dựa trên vị trí của tổn thương và tính chất nang hay đặc của khối u.
Siêu âm là phương pháp chẩn đoán hình ảnh được lựa chọn và trong nhiều trường hợp có thể đưa ra chẩn đoán xác định, đặc biệt nếu tổn thương có dạng nang.
MRI có giá trị trong các tổn thương lớn, để xác định xem tổn thương có xâm lấn vào các khoang sâu hay không.
CT đôi khi được áp dụng ở những bệnh nhân bị nhiễm trùng cấp tính để đánh giá xem có áp xe hay không.
Trong trường hợp nghi ngờ u lympho ác tính, siêu âm có thể xác định hạch nào dễ tiếp cận nhất để sinh thiết hoặc cắt bỏ dưới hướng dẫn hình ảnh, trong khi PET/CT được sử dụng để phân giai đoạn.
Introduction
Diagnostic approach
Trong tổn thương vùng cổ ở trẻ em, siêu âm thường có thể xác định được tổn thương là dạng nang hay dạng đặc.
- Nang
Trong các tổn thương dạng nang, chẩn đoán thường có thể được thực hiện dựa trên vị trí của tổn thương (xem hình tiếp theo). - Hạch bạch huyết
Nếu tổn thương là đặc, bước tiếp theo là đánh giá xem đó có phải là hạch bạch huyết hay không.
Thường có nhiều hơn một hạch bạch huyết bị to. Cần phân biệt giữa hạch phản ứng, viêm hạch do lao hoặc bệnh mèo cào và u lympho ác tính. - Đặc – không phải hạch bạch huyết
Nếu tổn thương đặc không phải là hạch bạch huyết, hãy tìm vị trí xuất phát có thể, như tuyến nước bọt, tuyến giáp hoặc cơ ức đòn chũm.
Các tổn thương đặc dưới da đôi khi có hình ảnh điển hình, như u vôi hóa biểu bì (pilomatrixoma), u mỡ (lipoma) hoặc u mạch máu (hemangioma).
Tuy nhiên, trong nhiều trường hợp, tổn thương đặc sẽ không đặc hiệu và chẩn đoán chỉ có thể được thực hiện thông qua sinh thiết hoặc cắt bỏ.
Location of cystic lesions
Khi bạn đã xác định rằng tổn thương có tính chất dạng nang, vị trí của nó thường sẽ gợi ý bản chất của tổn thương (hình).
Tổn thương đường giữa
Tổn thương đường giữa có thể là nang ống giáp lưỡi, nang bì hoặc nang nhái.
Có thể yêu cầu trẻ lớn hơn thè lưỡi ra.
Nang ống giáp lưỡi sẽ di chuyển lên trên cùng với xương móng.
Nang nhái có vị trí điển hình ở sàn miệng.
Tổn thương lệch đường giữa
Tổn thương lệch đường giữa có thể là nang khe mang hoặc u bạch huyết mạch.
Nang khe mang thường chứa các mảnh vụn.
U bạch huyết mạch ở vị trí phía trước thường có nhiều nang.
Ở vùng cổ phía sau, chúng thường là nang đơn độc.
Cystic lesions
Trong các tổn thương vùng cổ, trước tiên chúng ta cần xác định xem tổn thương có bản chất dạng nang hay đặc.
Đối với các tổn thương nang rõ ràng, điều này khá đơn giản.
Tuy nhiên, có thể gặp khó khăn nếu nang đã bị viêm hoặc khi nang có chảy máu bên trong, vì trẻ em thường đến khám với tổn thương có sẵn kèm theo chảy máu.
Hãy cố gắng tạo ra hiện tượng xoáy của các thành phần bên trong bằng cách ấn nhẹ đầu dò hoặc thay đổi tư thế của trẻ, đồng thời tìm kiếm dấu hiệu tăng âm phía sau.
Video cho thấy một khối sưng xuất hiện qua đêm ở một bé gái 13 tuổi.
Một tổn thương giảm âm được nhìn thấy nằm nông so với động mạch cảnh và sâu so với cơ ức đòn chũm.
Không thấy sự di chuyển của nội dung tổn thương khi gõ nhẹ bằng đầu dò.
Khi bé gái được yêu cầu ngồi thẳng, nội dung bên trong xoáy chuyển động.
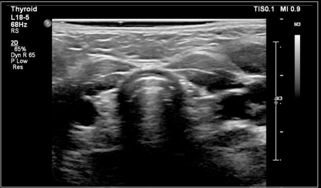
Thyroglossal duct cyst
Nang ống giáp lưỡi là tổn thương thường gặp ở trẻ em.
Ống giáp lưỡi chạy từ nền lưỡi tại lỗ manh tràng đến tuyến giáp.
Tuyến giáp phôi thai di chuyển qua ống để đến vị trí bình thường cuối cùng của nó.
Thông thường, ống giáp lưỡi sau đó sẽ thoái triển, nhưng khi ống tồn tại dai dẳng, nang ống giáp lưỡi có thể phát triển ở bất kỳ vị trí nào dọc theo đường này (hình).
Nang ống giáp lưỡi di chuyển lên trên khi thè lưỡi ra hoặc trong khi nuốt (xem video tiếp theo).
Siêu âm thường đủ để chẩn đoán.
Luôn tìm kiếm sự hiện diện của tuyến giáp bình thường và chụp ảnh tuyến giáp.
Đoạn video này minh họa sự di chuyển lên trên của nang ống giáp lưỡi cùng với xương móng trong quá trình nuốt.
Nang ống giáp lưỡi có thể không có âm vang hoặc giảm âm vang với các tiếng vang bên trong, do nhiễm trùng, xuất huyết hoặc thành phần chứa protein.
Phần lớn nang ống giáp lưỡi nằm trong vòng 2 cm so với đường giữa.
Đây là hình ảnh cắt ngang của một nang ống giáp lưỡi giảm âm có một số tiếng vang bên trong nằm ở đường giữa.
Đây là hình ảnh cắt ngang của một nang ống giáp lưỡi trống âm nằm ngay bên trái đường giữa.
Dermoid cyst
Nang bì là các nang bao gồm, chứa biểu mô và các phần phụ của da như nang lông, tuyến bã nhờn và tuyến mồ hôi.
7% nang bì xuất hiện ở vùng đầu và cổ, đặc biệt là xung quanh hốc mắt và đường giữa của cổ, với xu hướng ưu tiên ở hõm trên xương ức.
Đây là hình ảnh điển hình của một tổn thương hình bầu dục tăng âm đồng nhất, đại diện cho nang bì, được định vị tại vị trí ưa thích của nó là hõm ức trên.
Nang bì ở vùng cổ thường có hồi âm tăng đồng nhất, mặc dù chúng có thể không đồng nhất.
Việc phân biệt với nang ống giáp lưỡi có thể khó khăn nếu nang bì nằm gần xương móng.
Nội dung của nang ống giáp lưỡi thường giảm âm và có thể chứa các tiếng vang bên trong, trong khi nang bì thường có nội dung tăng âm đồng nhất hơn.
Đây là hình ảnh không đồng nhất bất thường của một nang bì ở phía trước tuyến giáp (hình).
Vị trí phổ biến nhất của nang bì trong vùng đầu-cổ là xung quanh hốc mắt, thường ở góc trên ngoài.
Trên siêu âm, chúng có hình ảnh vô âm và cần tìm kiếm sự hiện diện của lớp vỏ xương.
Nếu tính toàn vẹn của lớp vỏ xương không chắc chắn, cần thực hiện CT hoặc MRI để xác định khả năng lan rộng nội sọ.
Here a typical orbital dermoid cyst.
Khối cứng khi sờ nắn và nằm ở bờ ngoài của hốc mắt.
Trên siêu âm, khối vô âm với sự tái cấu trúc xương bên dưới.
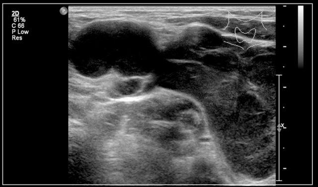
Branchial cleft cyst
Hầu hết các nang khe mang là tàn tích của khe mang thứ hai.
Các nang ở mức độ tuyến giáp có thể là tàn tích của khe mang thứ ba hoặc thứ tư.
Tắc nghẽn không hoàn toàn dẫn đến hình thành nang (75%), xoang hoặc rò (25%).
Nang biểu hiện là các khối không đau, đôi khi xuất hiện đột ngột sau xuất huyết nội.
Chúng nằm dọc theo bờ trước của cơ ức đòn chũm, bên ngoài động mạch cảnh chung, và nếu ở vị trí cao hơn thì nằm giữa động mạch cảnh trong và động mạch cảnh ngoài.
Đôi khi có thể thấy dấu hiệu mỏ chim xuất hiện dưới dạng một vành cong của tổn thương hướng vào trong, nằm giữa động mạch cảnh trong và động mạch cảnh ngoài.
Trên siêu âm, chúng thường chứa các tiếng vang bên trong do mảnh vụn gây ra, bao gồm các tinh thể cholesterol.
Nang thường có thể bị nén ép, dẫn đến sự di chuyển của các thành phần bên trong.
Điều này có thể không xảy ra trong trường hợp nang có xuất huyết mới bên trong.
Chúng có thể bị viêm và biểu hiện dưới dạng mủ nang.
Đây là một nang khe mang khác với vị trí điển hình nằm nông so với chỗ phân đôi động mạch cảnh.
Branchial sinuses
Xoang mang là các đường hầm tận cùng mù, xuất hiện ở phía trước cơ ức đòn chũm.
Lỗ rò cung mang thứ hai tận cùng ở hố amiđan, có thể được chứng minh bằng chụp lỗ rò cản quang hoặc MRI.
Với siêu âm, thường có thể thấy đường rò đi lên trên, nhưng thường không thể hiển thị được đầu tận cùng phía gần.
Đây là một bé trai hai tuổi với một vết bẩn ở vùng cổ dưới bên phải.
Có thể thấy một đường rò nhỏ kéo dài vào bên trong.
Trong quá trình phẫu thuật, một lỗ rò mang thứ hai đã được cắt bỏ.
Đây là một bé gái mười tuổi với một hố lõm ở cổ phải, phía trước cơ ức đòn chũm.
Trên siêu âm có thể thấy một tổn thương dạng nang dài có thể được truy theo đến vùng dưới hàm phải.
Trong quá trình phẫu thuật, đường rò kéo dài về phía hố amiđan phải và đã được cắt bỏ.
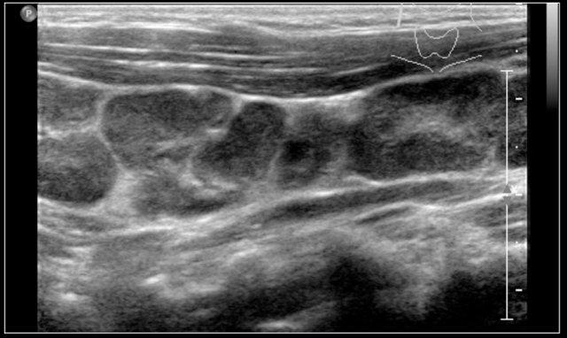
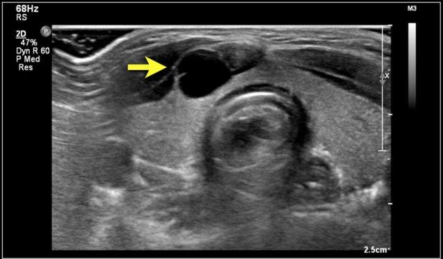
Lymphangioma
U bạch huyết là các tổn thương dạng nang, do sự phát triển bất thường của các ống bạch huyết.
Phần lớn xảy ra ở trẻ nhỏ, với 90% ở vùng đầu và cổ.
Ở cổ sau, u bạch huyết thường có một hoặc nhiều nang lớn hơn.
Ở cổ trước, u bạch huyết có thể bao gồm vô số nang nhỏ, và có thể xâm lấn sâu vào cổ hoặc trung thất.
Tình trạng này còn được gọi là u nang bạch huyết vùng cổ (hygroma colli).
Hình ảnh siêu âm phụ thuộc vào kích thước và số lượng nang.
Các nang lớn hầu hết không có âm vang hoặc có thể chứa một số mảnh vụn.
U bạch mạch dạng vi nang có thể tăng âm do số lượng lớn các vách phản âm nằm sát nhau.
Đây là hình ảnh siêu âm của một u mạch bạch huyết điển hình.
MRI được thực hiện vì sự lan rộng của tổn thương chưa được xác định rõ ràng.
Here the T2-weighted image of the same patient.
Trên ảnh T1, nội dung bên trong có cường độ tín hiệu thay đổi, tùy thuộc vào hàm lượng protein hoặc máu.
Thường có cường độ tín hiệu cao trên ảnh T2.
T1 có tiêm thuốc tương phản có thể cho thấy sự ngấm thuốc của thành nang.
Đây là hình ảnh siêu âm của một bé gái sáu tuổi với tình trạng sưng đột ngột ở cổ bên trái.
Có nhiều nang nhỏ không có âm vang và một nang lớn chứa các âm vang bên trong, có thể là kết quả của xuất huyết trong một u bạch huyết mạch có sẵn từ trước.
Một bé trai 3 tuổi đột ngột xuất hiện khối u vùng trên xương đòn.
Ultrasound showed a lesion with echogenic debris.
A hemorrhage in a preexisting lymphangioma was suspected.
Continue with the MRI.
Hình ảnh T1-weighted cho thấy một tổn thương tăng tín hiệu nhẹ với mức độ dịch-dịch (mũi tên).
Sau khi tiêm gadolinium, có sự tăng tín hiệu của thành nang.
The lesion subsided with conservative therapy.
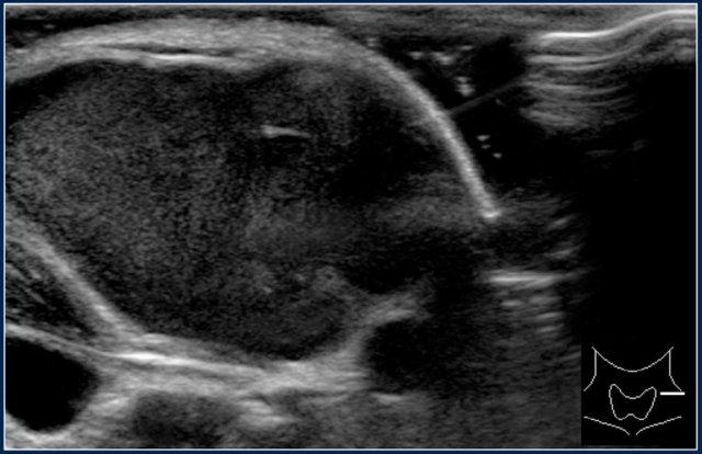
Ranula
Ranula là một nang chứa dịch xuất phát từ tuyến nước bọt dưới lưỡi.
Nang có thể lan rộng vào sàn miệng và có thể nhìn thấy khi thăm khám khoang miệng.
Nang cũng có thể lan qua hoặc vượt qua cơ hàm móng và khi đó được gọi là “ranula lặn”
và biểu hiện như một khối vùng dưới cằm hoặc dưới hàm.
Đây là hình ảnh của một cậu bé mười sáu tuổi với khối sưng chắc dưới lưỡi ở phía bên trái.
Siêu âm cho thấy một khối vô âm liên tục với tuyến nước bọt dưới lưỡi.
Jugular ectasia
Ở một số trẻ em, có thể xuất hiện một khối phồng ở vùng cổ dưới khi gắng sức.
Điều này thường do giãn tĩnh mạch cảnh trong, có thể dễ dàng được chứng minh bằng siêu âm cho thấy sự thay đổi về khẩu kính của tĩnh mạch.
Ví dụ được minh họa trong video về một bé trai bảy tuổi, ban đầu được nghi ngờ mắc nang thanh quản.
Solid lesions – Lymph nodes
Hình ảnh này cho thấy cách phân loại thường được sử dụng để xác định vị trí của các hạch bạch huyết.
- Level 1
Submental and submandibular nodes - Tầng 2
Các hạch dọc theo tĩnh mạch cảnh trong, phía trên mức xương móng - Tầng 3
Các hạch dọc theo tĩnh mạch cảnh trong, giữa xương móng và sụn nhẫn - Tầng 4
Các hạch dọc theo tĩnh mạch cảnh trong, phía dưới sụn nhẫn - Tầng 5
Phía sau cơ ức đòn chũm, phía trên xương đòn - Level 6
Anterior to the thyroid gland
Hạch bạch huyết bình thường luôn có thể nhìn thấy bằng siêu âm ở trẻ em.
A normal lymph node:
- Is sharply delineated
- Is oval
- Has an echogenic center
- Has a short axis < 10 mm.
Hạch jugulodigastric bình thường nằm dưới góc hàm dưới có thể có trục ngắn 15 mm.
Hạch bạch huyết vùng cổ to là tình trạng rất phổ biến ở trẻ em.
Trong hầu hết các trường hợp, đây là các hạch phản ứng do phản ứng với một ổ nhiễm trùng lân cận.
Ít gặp hơn là do nhiễm trùng nguyên phát tại chính hạch bạch huyết, được gọi là viêm hạch bạch huyết.
Thông thường các thuật ngữ viêm hạch bạch huyết phản ứng và viêm hạch bạch huyết được sử dụng đồng nghĩa với nhau.
Mặc dù siêu âm không phải lúc nào cũng có thể phân biệt một cách đáng tin cậy giữa viêm hạch bạch huyết và u lympho ác tính, bảng dưới đây có thể hữu ích trong việc quyết định nên thực hiện sinh thiết cắt bỏ hay có thể áp dụng phương pháp “chờ đợi và theo dõi”.
Hạch thượng đòn luôn phải được coi là ác tính cho đến khi được chứng minh ngược lại.
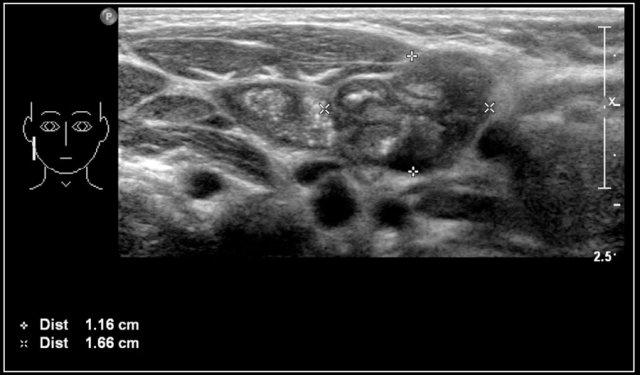
Reactive lymph nodes
Hạch bạch huyết phản ứng là phản ứng với tình trạng viêm lân cận.
Chúng hơi to hơn và giảm âm hơn so với bình thường với trung tâm tăng âm rộng hơn.
Đây là một bé trai sáu tuổi với các triệu chứng sụt cân, mệt mỏi và hạch to.
Trên siêu âm thấy một chuỗi hạch bạch huyết to với bảo tồn rốn hạch tăng âm.
Sinh thiết cắt bỏ cho thấy hạch bạch huyết phản ứng.
Đây là một bé gái hai tuổi với khối sưng có thể sờ thấy ở cổ bên trái trong vài tuần gần đây.
Trên siêu âm, các hạch bạch huyết to ra với sự bảo tồn của rốn hạch tăng âm và tưới máu bình thường.
It was decided to wait and see and the nodes slowly shrunk.
Bacterial or viral lymphadenitis
Viêm hạch bạch huyết do vi khuẩn hoặc virus là tình trạng nhiễm trùng của bản thân hạch.
Viêm hạch bạch huyết do vi khuẩn thường do Staphylococcus aureus hoặc Streptococcus tan huyết nhóm B gây ra.
Các hạch, thường nằm ở vùng dưới hàm, có biểu hiện đau và da vùng xung quanh nóng, đỏ.
Viêm hạch bạch huyết do vi khuẩn khởi phát cấp tính và thường xảy ra một bên.
Hình ảnh siêu âm của một bé trai một tuổi có khối sưng ở cổ trong ba tuần.
Có thể thấy một hạch bạch huyết bị hóa lỏng một phần với sự thâm nhiễm vào lớp mỡ dưới da xung quanh.
Khối sưng biến mất sau khi điều trị bằng kháng sinh.
Sự hình thành áp xe rất khó phát hiện trên lâm sàng, và siêu âm cũng không đáng tin cậy.
Các dấu hiệu của sự hóa lỏng là các vùng có thành có thể xác định được và trung tâm giảm âm hơn hoặc các vùng có các phản hồi âm di động, chuyển động.
Theo y văn, có 30% kết quả dương tính giả và âm tính giả.
Đây là một bé trai một tuổi với tình trạng sưng ở cổ bên phải trong một tuần.
Siêu âm cho thấy hạch bạch huyết to với các vùng hóa lỏng.
Bệnh nhân được rạch và dẫn lưu, sau đó tình trạng nhiễm trùng thuyên giảm.
Cat-scratch disease
Bệnh mèo cào do Bartonella henselae gây ra.
Nhiễm trùng xảy ra do bị mèo cào hoặc cắn.
Đây là nguyên nhân phổ biến nhất gây viêm hạch bạch huyết nách mạn tính.
Các triệu chứng thường nhẹ và tình trạng sưng hạch bạch huyết có thể kéo dài.
Chẩn đoán lâm sàng có thể khó khăn và kết quả PCR thường không nhạy.
Trên siêu âm, các hạch bị ảnh hưởng có hình tròn, giảm âm không đồng nhất, tăng sinh mạch máu và có một số viêm xung quanh.
Các hạch hơi đau khi ấn nhưng không đau tự phát.
Chúng có thể khó phân biệt với các hạch ác tính.
Đây là hình ảnh siêu âm của một bé gái mười sáu tuổi, được điều trị vì tái phát bệnh bạch cầu lympho cấp tính.
Sáu tháng sau lần điều trị cuối cùng, bệnh nhân xuất hiện sưng ở vùng vai trái.
Trên siêu âm ghi nhận một hạch giảm âm không có cấu trúc bên trong.
Hạch này đã được phẫu thuật cắt bỏ.
Chẩn đoán cuối cùng, một cách đáng ngạc nhiên, là Bartonella henselae.
Bệnh mèo cào 2
Đây là video của một bé trai mười lăm tuổi với tình trạng sưng ở cổ.
Có nhiều hạch bạch huyết với mô xung quanh bị thâm nhiễm.
Continue with next video.
Sau một tuần, hiện tượng mưng mủ xuất hiện.
Mủ được hút ra cho kết quả dương tính với Bartonella henselae.
Bệnh nhi đã được điều trị thành công bằng kháng sinh.

Two-year-old boy with a progressive swelling in the neck. No effect of antibiotics. An atypical Mycobacterium infection (avium) was confirmed. The anechoic parts (arrow) in the node are often seen in atypical Mycobacteria infection.
Mycobacteria
Nhiễm Mycobacteria không điển hình thường xảy ra ở bệnh nhân từ một đến năm tuổi.
Có ít triệu chứng lâm sàng, thường chỉ là một khối có thể sờ thấy.
Các hạch bạch huyết to thường một bên và ở vùng trước tai hoặc vùng dưới hàm.
Thường có hiện tượng đổi màu da rõ rệt.
Lao (TB) và Mycobacteria không điển hình thường biểu hiện với một hạch to đơn độc và một số tổn thương vệ tinh nhỏ hơn.
Có hoại tử trung tâm, dày da phủ bên trên, viêm xung quanh và sau một thời gian tạo thành khối hợp lưu.
Có thể có các đường rò.
Vôi hóa gặp phổ biến hơn trong nhiễm lao so với nhiễm Mycobacteria không điển hình, đặc biệt sau điều trị.
Continue with next image…
Ba tháng sau, tình trạng sưng vẫn còn.
Hạch bạch huyết sâu hơn đã hóa lỏng.
Sau thêm bốn tháng, một hạch bạch huyết đã bị hóa lỏng và vỡ mủ vào mô xung quanh.
Đây là hình ảnh siêu âm của một bé trai 6 tuổi có khối sưng ở cổ.
Có thể thấy các vi vôi hóa trong hạch bạch huyết.
Xét nghiệm Mantoux và Quantiferon dương tính, nhưng cấy vi khuẩn lao âm tính.
Bệnh nhân được điều trị bằng thuốc kháng lao với kết quả tốt.
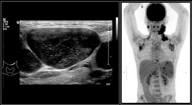
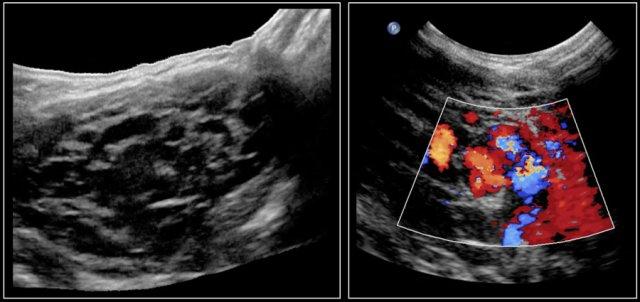
Malignant lymphoma
U lympho ác tính biểu hiện bằng hạch to không đau.
Trong u lympho Hodgkin, các hạch cổ thường bị tổn thương nhất, trong khi trong u lympho không Hodgkin, các hạch của vòng Waldeyer thường bị tổn thương.
Trên siêu âm, các hạch bị tổn thương có hình tròn, giảm âm đồng nhất và mất rốn hạch tăng âm bình thường.
Chẩn đoán được thực hiện bằng sinh thiết có hướng dẫn siêu âm hoặc phẫu thuật cắt bỏ.
PET/CT sẽ cho thấy mức độ lan rộng của bệnh.
Hình ảnh của một bé trai mười bốn tuổi với khối sưng không đau ở cổ bên trái.
Siêu âm cho thấy nhiều hạch bạch huyết giảm âm phóng to, không có rốn hạch tăng âm.
Đây là một bé trai mười bốn tuổi khác với tình trạng sưng không đau ở cổ bên trái.
Siêu âm cho thấy nhiều hạch bạch huyết to.
Continue with the MR and PET/CT…
Hình ảnh STIR mặt phẳng coronal cho thấy các khối hạch bạch huyết bệnh lý tương tự như trên PET-CT.
The diagnosis was Hodgkin’s lymphoma.
Solid lesions – not lymph nodes
Nguyên nhân phổ biến nhất của tổn thương đặc ở cổ là hạch bạch huyết to như chúng ta vừa thảo luận.
Các tổn thương đặc khác ở cổ ít gặp hơn nhiều.
Chúng được liệt kê trong bảng.
Trong nhiều trường hợp, các phát hiện hình ảnh học trong tổn thương đặc sẽ không đặc hiệu và chẩn đoán chỉ có thể được xác định thông qua sinh thiết hoặc phẫu thuật cắt bỏ.
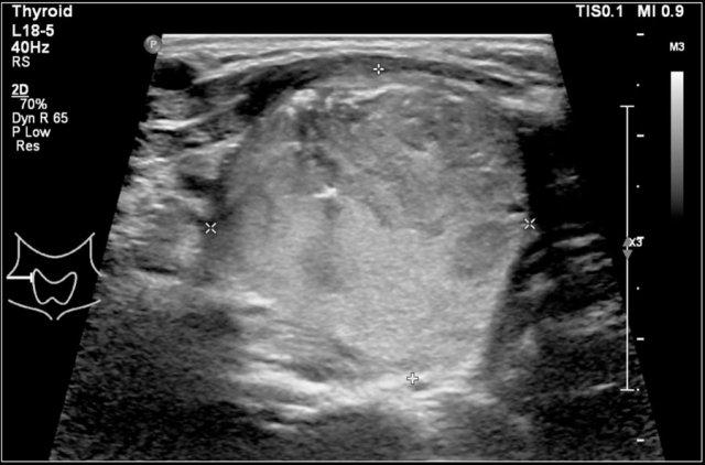
Thyroid lesions
Congenital anomalies
Dị tật phổ biến nhất là sự thiểu sản một phần hoặc hoàn toàn của tuyến.
Trong trường hợp thiểu sản một phần, tuyến giáp lạc chỗ và có thể nằm ở bất kỳ vị trí nào giữa đáy lưỡi và sụn giáp.
Thường gặp nhất là gần hoặc trong lưỡi, được gọi là tuyến giáp lưỡi.
Đây là hình ảnh của một trẻ sơ sinh có kết quả xét nghiệm tuyến giáp bất thường.
Không nhìn thấy tuyến giáp ở vùng cổ, cả ở vị trí bình thường lẫn ở vị trí cao hơn trong cổ.
Nhân tuyến giáp
Nhân tuyến giáp là bệnh lý thường gặp.
Chúng có thể đơn độc hoặc đa nhân.
Một số nhân hoàn toàn dạng nang nhưng hầu hết là dạng đặc.
On ultrasound they are isoechoic with the normal gland.
In a goiter a multitude of solid nodules are seen.
Nếu có lo ngại về khả năng ác tính, có thể thực hiện chọc hút bằng kim nhỏ.
Tốt nhất là nên có mặt một kỹ thuật viên của khoa tế bào học để đánh giá nhanh các tế bào thu được, nhằm xác nhận rằng các tế bào tuyến giáp đã được hút ra, chứ không chỉ là máu.
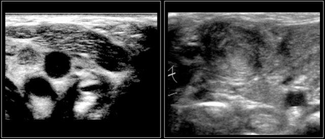
Đây là hình ảnh siêu âm của một bé gái sáu tuổi có một nang nhỏ kèm vách ngăn ở thùy tuyến giáp phải.
Nang không thay đổi trong suốt một năm.

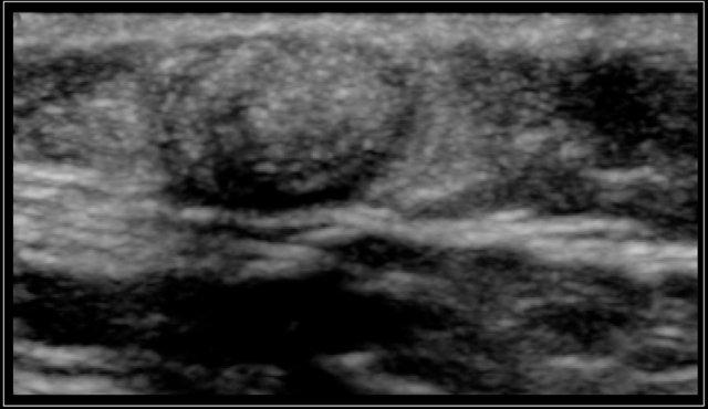
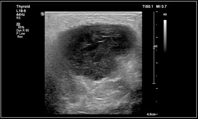
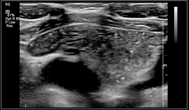
Hashimoto’s thyroiditis: An enlarged thyroid gland with a diffuse inhomogeneous structure and hyperemia is seen in a ten-year-old girl
Thyroiditis
Các dạng viêm tuyến giáp phổ biến nhất là viêm tuyến giáp Hashimoto và bệnh Graves.
Cả viêm tuyến giáp Hashimoto và bệnh Graves đều có thể biểu hiện là tuyến giáp to và tăng sinh mạch máu.
Viêm tuyến giáp Hashimoto hay viêm tuyến giáp lympho bào mạn tính là một bệnh tự miễn.
Bệnh biểu hiện với suy giáp.
Mặc dù chủ yếu là bệnh của người trung niên nhưng cũng có thể gặp ở trẻ em.
Trên siêu âm, tuyến giáp to lan tỏa và không đồng nhất.
Trên siêu âm Doppler màu, lưu lượng máu thường bình thường nhưng có thể tăng như trong bệnh Graves.
Ở giai đoạn muộn hơn, tuyến giáp teo nhỏ lại.
Trong bệnh Graves, tuyến giáp cũng to ra và cho thấy sự tăng tưới máu.
Trên siêu âm Doppler màu, hình ảnh này được mô tả như một địa ngục lửa với màu đỏ và xanh.
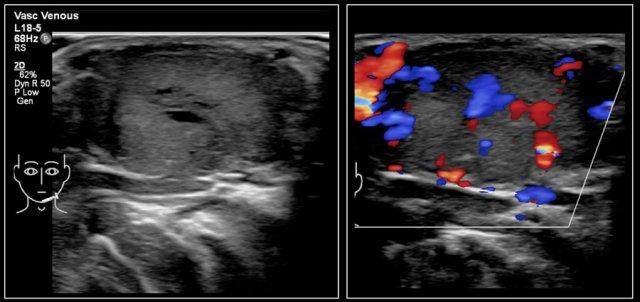
Đây là hình ảnh của một bé gái 16 tuổi mắc cường giáp.
Tuyến giáp to lan tỏa với tình trạng sung huyết.
Chẩn đoán cuối cùng là bệnh Graves.
Bệnh nhân được điều trị bằng I-131.
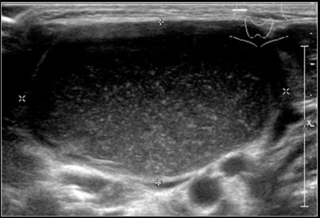
Thymus
Tuyến ức nằm ở trung thất trên và có thể được quan sát bằng mặt phẳng quét trên xương ức.
Theo độ tuổi tăng dần, độ hồi âm của nó tăng lên và trở nên dạng hạt hơn.
Siêu âm là phương pháp lý tưởng để xác định tuyến ức là nguyên nhân gây ra trung thất trên rộng ở trẻ nhũ nhi.
Đôi khi tuyến ức gây ra một khối phồng ở hõm trên xương ức khi gắng sức.
Tuyến ức thoát vị như vậy có thể được chứng minh bằng siêu âm.
Tuyến ức nằm ở trung thất trên và có thể được quan sát bằng mặt phẳng quét trên xương ức.
Ultrasound image of the thymus in an eight-year-old boy.
Đây là video của một bé trai sáu tháng tuổi với một khối đôi khi nhìn thấy được ở hõm ức trên.
Khi khóc, tuyến ức được quan sát thấy thoát vị ra phía trước khí quản.
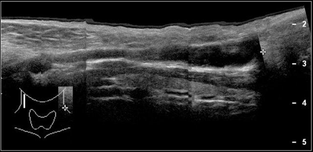
Ectopic thymus
Mô tuyến ức lạc chỗ có thể xuất hiện ở bất kỳ vị trí nào dọc theo đường đi xuống qua ống tuyến ức-hầu.
Khi biểu hiện dưới dạng khối u ở cổ, nó có thể bị nhầm lẫn với một khối u thực sự.
Phần tuyến ức lạc chỗ có cùng đặc điểm hồi âm với tuyến ức bình thường.
Video cho thấy mô tuyến ức lạc chỗ, được phát hiện tình cờ ở vùng cổ, trên hình ảnh MRI não của một bé trai 2 tuổi.
Tuyến ức lạc chỗ có các đặc điểm siêu âm giống như tuyến bình thường.
Đây là hình ảnh của một bé trai sáu tháng tuổi bị liệt dây thanh âm.
Hình ảnh MRI cho thấy một khối u nằm giữa tuyến mang tai và tuyến dưới hàm (mũi tên vàng).
Đặc điểm tín hiệu tương đương với tuyến ức (mũi tên xanh lá).
Siêu âm xác nhận mô tuyến ức lạc chỗ (mũi tên vàng), với đặc điểm siêu âm giống hệt tuyến ức chính vị (mũi tên xanh lá).
Left: orthotopic thymus; right: ectopic thymus
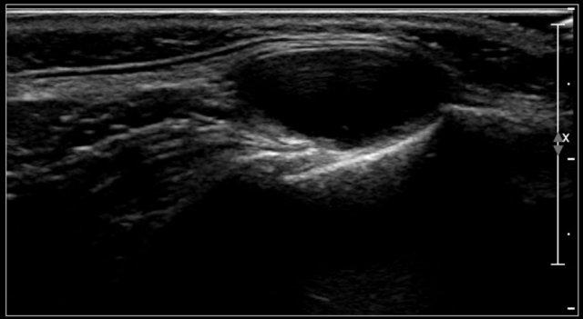
Fibromatosis colli
Xơ cơ cổ bẩm sinh là tình trạng sưng cơ ức đòn chũm ở trẻ sơ sinh.
Tình trạng này có thể do hoại tử áp lực của cơ trong quá trình sinh nở.
Trái với quan niệm thông thường, bệnh không phải do xuất huyết gây ra.
50% trẻ bị ảnh hưởng được sinh ra ở tư thế ngôi mông.
Khối sưng trở nên rõ ràng từ một đến ba tuần sau khi sinh.
Đôi khi ghi nhận có vẹo cổ kèm theo.
Khối sưng thường tự thoái triển trong vòng vài tháng.
Trên siêu âm thấy hình ảnh phì đại cơ ức đòn chũm.
Có thể ảnh hưởng toàn bộ cơ hoặc một phần cơ.
Đầu ức luôn bị ảnh hưởng, và thường gặp cả đầu đòn.
Có thể giảm âm, đồng âm hoặc tăng âm.
Hình ảnh theo mặt cắt dọc của khối phồng sẽ xác định nguồn gốc từ cơ.
Here a video of a two-month-old boy with a torticollis.
Một khối u được nhìn thấy bên trong cơ ức đòn chũm bị phì đại.
Chẩn đoán là xơ cơ ức đòn chũm ở trẻ sơ sinh
Vascular anomalies
Dị thường mạch máu được phân loại thành u mạch máu tăng sinh và dị dạng mạch máu.
Phân loại này rất quan trọng vì phương pháp điều trị khác nhau.
Một số u mạch máu sẽ thoái triển tự nhiên hoặc sau khi dùng thuốc chẹn beta.
Tuy nhiên, dị dạng mạch máu cần phải cắt bỏ, gây xơ hóa hoặc thuyên tắc mạch, nếu có yêu cầu điều trị.
Việc phân loại các tổn thương này liên tục thay đổi và nằm ngoài phạm vi của bài viết này.
Một bài báo gần đây về các bất thường mạch máu cung cấp một phân loại mới (2).
U máu
U máu là các khối u mạch máu lành tính.
Đây là loại khối u phổ biến nhất ở trẻ sơ sinh.
60% u máu xuất hiện ở vùng đầu – cổ.
Chúng thường xuất hiện trong những tuần đầu sau khi sinh, phát triển nhanh chóng, sau đó tự thoái triển.
Ở đây chúng ta thấy hình ảnh của một tổn thương giàu mạch máu ở vùng dưới hàm trái, đã hiện diện ngay từ khi sinh ra.
Ba tháng sau, kích thước của nó đã giảm đi.
Một khối sưng mềm xuất hiện ở bên cạnh đầu của một bé trai sáu tuần tuổi.
Nó nhỏ lúc mới sinh và phát triển nhanh chóng.
Đây là đặc điểm điển hình của u máu thể trẻ em.
Venous malformation
Một bé trai sáu tháng tuổi được phát hiện có khối sưng ở cổ bên trái ngay từ khi sinh ra.
Nhiều lần siêu âm không thể phân biệt được giữa u máu hay dị dạng tĩnh mạch.
Ở sáu tháng tuổi, siêu âm cho thấy một tổn thương chủ yếu cấu thành bởi các mạch máu, có kích thước tăng lên khi rặn.
Trên siêu âm Doppler màu, tổn thương cho thấy tăng lưu lượng máu khi khóc.
Chẩn đoán cuối cùng trên hình ảnh học và khám lâm sàng là dị dạng tĩnh mạch.

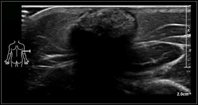
Firm tumor in the right temporal area of a 2-year-old boy. Ultrasound shows an echogenic lesion with a well demarcated wall and slight posterior shadowing, characteristic for a pilomatrixoma.
Pilomatrixoma
U nang biểu mô hay u nang biểu bì của Malherbe là một tổn thương da lành tính liên quan đến nang lông.
Biểu hiện là một khối sưng chắc, di động, không đau.
Đôi khi có hiện tượng đổi màu xanh.
Kích thước thay đổi từ vài milimet đến 3 centimet.
Phần lớn xuất hiện ở vùng đầu và cổ.
Trên siêu âm, u vôi hóa biểu mô lành tính (pilomatrixoma) biểu hiện là một khối u hình bầu dục nằm giữa lớp bì và lớp dưới da.
Khối u tăng âm, đôi khi có vôi hóa và bóng lưng âm.
Thành khối thường giảm âm và trên Doppler màu có thể thấy các mạch máu nhỏ trong thành.
Những hình ảnh này là của một khối u chắc ở cổ của một cô gái 17 tuổi.
Kết quả lấy mẫu tế bào học không có kết luận rõ ràng.
Siêu âm cho thấy hình ảnh điển hình của u vôi hóa biểu mô lành tính (pilomatrixoma), được xác nhận bằng giải phẫu bệnh sau khi cắt bỏ.
Some perfusion in the wall of the pilomatrixoma is seen.
Large pilomatrixoma on the upper arm of a 12-year-old girl.
Salivary glands
Enlargement of the salivary glands can be diffuse or focal.
Sưng lan tỏa chủ yếu ảnh hưởng đến tuyến mang tai.
Nếu là hai bên, có thể do các bệnh tự miễn (như bệnh Sjögren) hoặc nhiễm trùng (HIV).
Trên siêu âm có nhiều tổn thương nhỏ giảm âm.
Unilateral swelling can be caused by a bacterial parotitis.
U máu là khối u tuyến mang tai phổ biến nhất ở trẻ em, tự thoái triển trong vòng vài tháng.
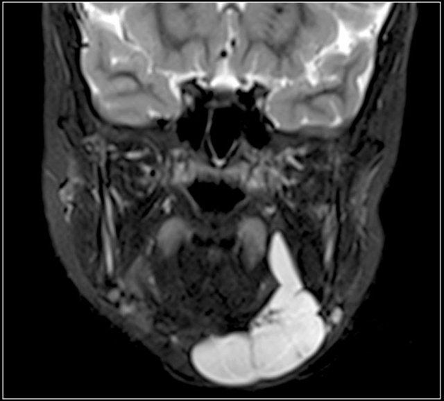
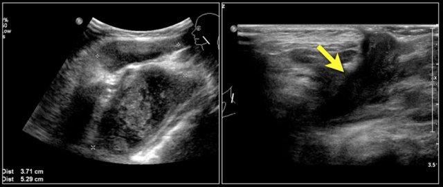
Teratoma
U quái vùng cổ hiếm gặp ở trẻ em.
U quái được cấu thành từ cả ba lớp mầm.
Chúng thường biểu hiện ngay lúc sinh.
Trên siêu âm, chúng bao gồm các thành phần đặc và nang và thường chứa các vôi hóa.
Chúng có thể có mối liên hệ chặt chẽ với tuyến giáp.
Nếu sự lan rộng không rõ ràng, có thể thực hiện MRI.
Ở đây chúng ta thấy một khối u đường giữa ở vùng cổ trước của bé trai ba ngày tuổi.
Có thể thấy các vôi hóa và các thành phần đặc và nang. Kết quả giải phẫu bệnh phù hợp với u quái trưởng thành.
Paraganglioma
Đây là hình ảnh của một bé trai 17 tuổi có khối sưng ở cổ, được cho là nang khe mang.
Trên siêu âm ghi nhận một khối đặc tăng âm với tưới máu trung bình trên siêu âm Doppler màu.
Không thể đưa ra chẩn đoán xác định.
Chẩn đoán bệnh lý cuối cùng là u cận hạch, một phát hiện rất hiếm gặp ở trẻ em.
Neurofibroma
Đây là một u sợi thần kinh lớn trong mô dưới da ở vùng cổ của một bé trai 10 tuổi được chẩn đoán mắc bệnh u sợi thần kinh.
Neuroblastoma
U nguyên bào thần kinh thường biểu hiện là một khối u ở bụng ở trẻ nhỏ.
Ở vùng cổ, nó chiếm 1-5% các trường hợp u nguyên bào thần kinh.
Trên siêu âm thấy một khối tăng âm không đồng nhất, thường kèm theo một số vôi hóa (1).
Đây là một bé gái mười tháng tuổi có khối u ở cổ.
Siêu âm cho thấy một khối không đồng nhất với một số vôi hóa.
Ngoài ra còn có ba hạch bạch huyết phì đại kèm vôi hóa.
Hình ảnh học không thể đưa ra chẩn đoán xác định.
Giải phẫu bệnh cho thấy u nguyên bào thần kinh.
Video of neuroblastoma.

















































