Khám MRI khuỷu tay
We will discuss:
- Basic MR techniques and MR arthrography.
- Appearance of normal anatomic structures.
- Common types of pathology.
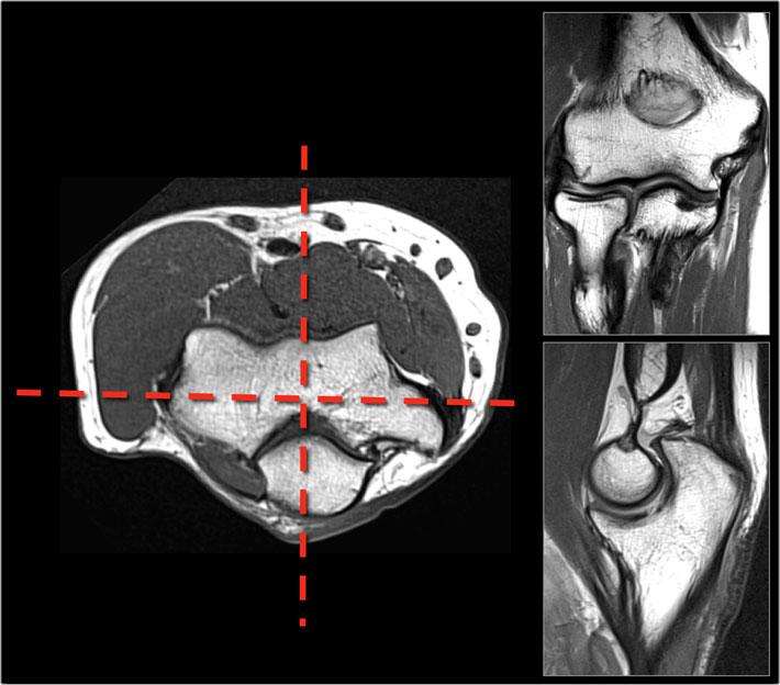
MRI technique
Scan planes
Giống như ở vai, bạn cần đảm bảo thu nhận các mặt phẳng hình ảnh một cách chính xác theo chuẩn hóa.
Sử dụng trục của các mỏm trên lồi cầu trên ảnh định vị axial để lập kế hoạch quét mặt phẳng coronal.
Các hình ảnh sagittal được quét vuông góc với lát cắt coronal.
Bằng cách này, bạn sẽ có được những hình ảnh rất bền vững và sẽ quen với giải phẫu bình thường.
Imaging sequences
T1
Trong mỗi khớp được khảo sát, bạn nên có ít nhất một chuỗi xung T1 không chỉ để đánh giá giải phẫu, mà còn như một phương án dự phòng để quan sát tủy xương.
Tất nhiên, hình ảnh T2-fatsat sẽ hiển thị các bất thường tủy xương, nhưng T1 có thể hữu ích trong việc cho chúng ta biết thực sự đang xảy ra điều gì.
T1 chắc chắn được sử dụng trong chụp MR-khớp có thuốc cản từ.
T2-fatsat
T2 sẽ hiển thị hầu hết các bệnh lý, dù là ở tủy xương, dây chằng hay cơ do hàm lượng nước cao. Nó cũng có thể được sử dụng để chụp ảnh sụn.
Gradient echo
Với gradient echo, chúng ta có thể sử dụng các lát cắt mỏng 3-D để tạo hình ảnh sụn khớp và các dây chằng.
Trong giao thức MRI, chúng tôi thực hiện T1 và T2-fatsat trên cả ba mặt phẳng hình ảnh.
Đôi khi STIR được sử dụng.
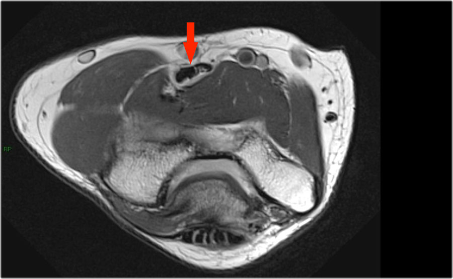
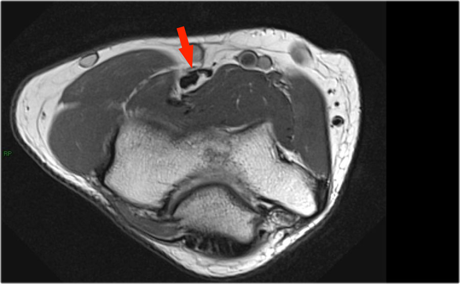
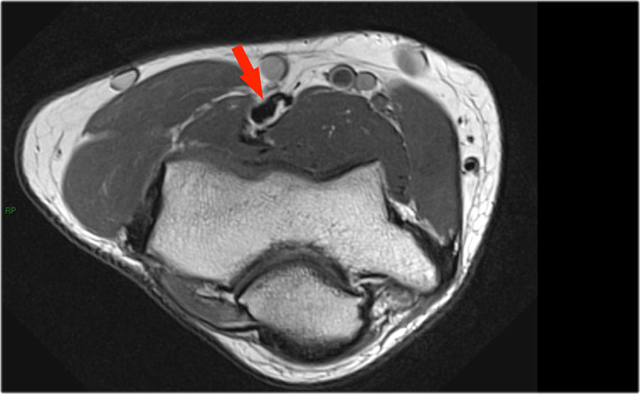
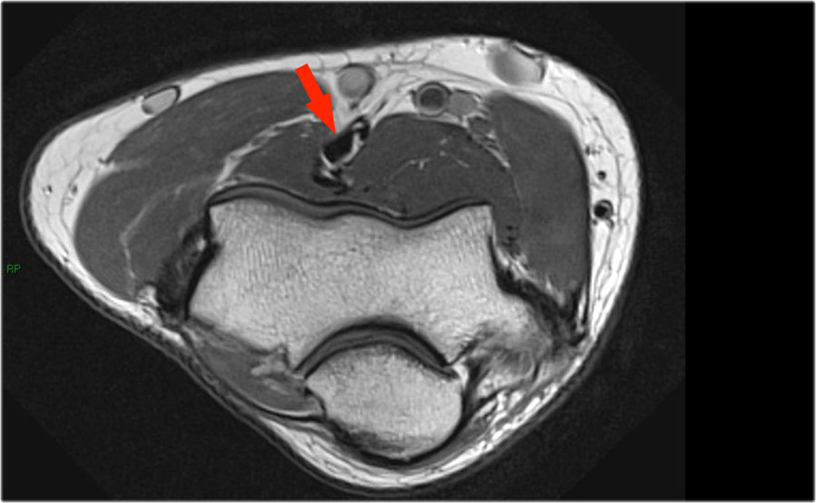
MR-arthrography
Thông thường khớp quay-chỏm được chọc từ phía ngoài với bệnh nhân nằm sấp và cánh tay gấp 90 độ trên đầu (mũi tên đỏ).
Tuy nhiên, điều này đôi khi có thể gây ra vấn đề nếu bạn quan tâm đến các dây chằng bên và bạn tiêm lidocaine hoặc thuốc cản quang vào các dây chằng này.
Vì vậy, gần đây chúng tôi bắt đầu sử dụng đường tiếp cận phía sau vào hố mỏm khuỷu (mũi tên xanh).
Gadolinium pha loãng được tiêm, tức là 0,05cc + 10cc nước muối sinh lý (sử dụng “ngoài chỉ định” tại Hoa Kỳ).
Indications for MR-arthrography are:
- UCL pathology in throwers.
- Osteochondral lesions and repair
- Loose bodies
Anatomy and Pitfalls
Khi nghiên cứu giải phẫu khuỷu tay, nên sử dụng phương pháp từ trong ra ngoài.
Đầu tiên hãy nghiên cứu các xương, sau đó tiếp tục với các dây chằng và gân, rồi đến các cấu trúc xung quanh.
Tendon attachments
Common flexor tendon
Attaches at the medial epicondyle
Dây chằng bên trụ hay UCL
Bắt đầu từ mặt dưới của mỏm trên lồi cầu trong và chạy xuống đến củ sublime, là mặt trong của mỏm vẹt.
Common extensor tendon
Originates at the lateral epicondyle.
Dây chằng bên ngoài
Xuất phát ngay bên dưới điểm bám của gân duỗi chung.
Dây chằng bên trụ ngoài
Đây là một thuật ngữ có phần khó hiểu dùng để chỉ một gân cũng xuất phát ngay bên dưới gân duỗi chung. Nó vòng xuống phía sau chỏm quay và bám vào vùng xương trụ được gọi là mào cơ ngửa – xem hình ảnh mặt bên.
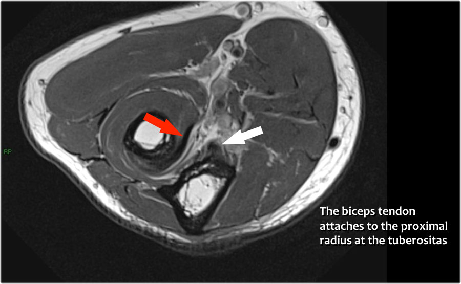
Biceps tendon
Attaches on the radial tuberosity.
Brachialis tendon
Attaches on the coronoid process.
Dây chằng vòng
Bám vào mặt gan tay của khuyết sigma xương trụ, chạy vòng quanh chỏm xương quay và bám vào mặt mu tay của khuyết sigma.
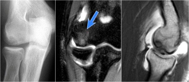
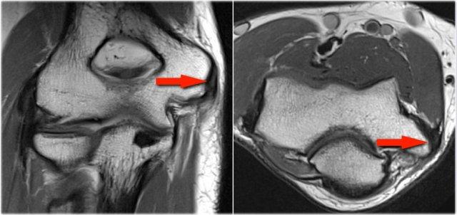
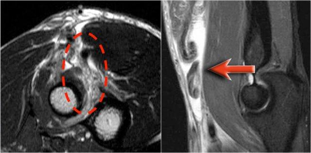
Pseudodefect of the capitellum
Đây là một phát hiện mà bạn thường thấy trên các hình ảnh mặt phẳng coronal.
Trông có vẻ giống như một tổn thương sụn xương, nhưng nếu bạn nhìn vào hình ảnh mặt phẳng sagittal, bạn sẽ nhận thấy rằng hình ảnh mặt phẳng coronal đi qua phần không có khớp phía sau của chỏm con.
Vì vậy, khi khuỷu tay duỗi hoàn toàn, một phần của chỏm quay thực sự nằm phía sau bề mặt sụn khớp của chỏm con.
Trên hình ảnh mặt phẳng coronal, chúng ta sẽ quan sát thấy chỏm quay được bao phủ bởi sụn và đối diện với nó là phần không được bao phủ bởi sụn của chỏm con, phần này thường có phần không đều.
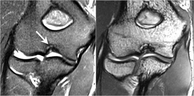
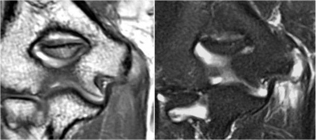
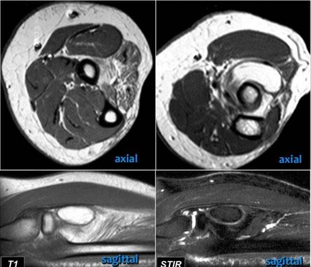
Pseudo-loose body
Một phát hiện phổ biến khác là một mảnh mỡ nhỏ mà bạn sẽ thấy trên hình ảnh mặt phẳng đứng dọc, trông giống như một dị vật nhỏ tự do hoặc một khuyết sụn.
Điều này có thể được giải thích nếu chúng ta nhìn vào bề mặt khớp của mỏm khuỷu.
Thông thường mỏm khuỷu có hai mảnh sụn với một vùng nhỏ ở giữa, được lấp đầy bởi mỡ.
Plica
Cấu trúc này ở phía bên ngoài của khớp đôi khi được nhìn thấy và là một nếp gấp hoạt dịch (plica).
Nó có thể nổi bật và trông gần giống như một sụn chêm.
Đây là một cấu trúc bình thường, nhưng đôi khi nó bị dày lên hoặc không đều và có thể là nguyên nhân gây ra các triệu chứng.
Elbow Mechanics
Khuỷu tay đóng vai trò như một khớp bản lề khi chúng ta xem xét khớp cánh tay-trụ và khớp quay-mỏm cầu.
Khớp còn lại là khớp quay trụ gần với chuyển động xoay cho phép sấp và ngửa.
Nhiều chấn thương cấp tính và mãn tính xảy ra do động tác ném.
Trong chuyển động ném ở giai đoạn giương tay muộn đến tăng tốc, có những lực valgus rất lớn kéo căng khuỷu tay.
Tải trọng valgus tạo ra lực căng rất lớn ở phía trong cố gắng kéo các cấu trúc ra xa nhau (mũi tên vàng), trong khi phía ngoài sẽ chịu lực nén (mũi tên xanh).
Ở phía sau, nó gây ra lực cắt dọc theo đầu mỏm khuỷu (mũi tên đen).
Valgus overload syndrome
Tất cả những lực này tạo nên cái được gọi là “hội chứng quá tải valgus” với những tổn thương rất đặc trưng ở khuỷu tay theo thời gian.
- Lực căng ở phía trong gây ra rách dây chằng bên trụ.
- Lực nén ở phía bên ngoài gây ra tổn thương sụn xương của chỏm con.
- The shear forces on the posterior side cause arthrosis.
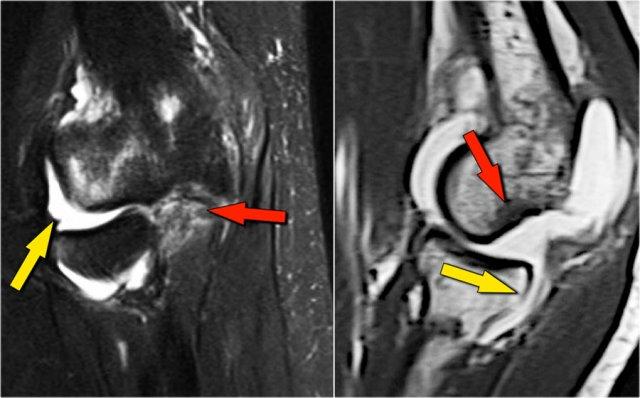
Arthrosis in valgus overload syndrome
Do quá tải valgus, có các lực cắt tác động lên phần sau-trong của khớp cánh tay-trụ.
Lưu ý tình trạng xơ cứng dưới sụn được thấy trên ảnh T1W (mũi tên đỏ).
Trên hình ảnh T2W có phù tủy xương dưới sụn và mất sụn khớp (mũi tên vàng).
Đây là hình ảnh của một vận động viên bóng chày 20 tuổi.
Hãy cuộn qua các hình ảnh.
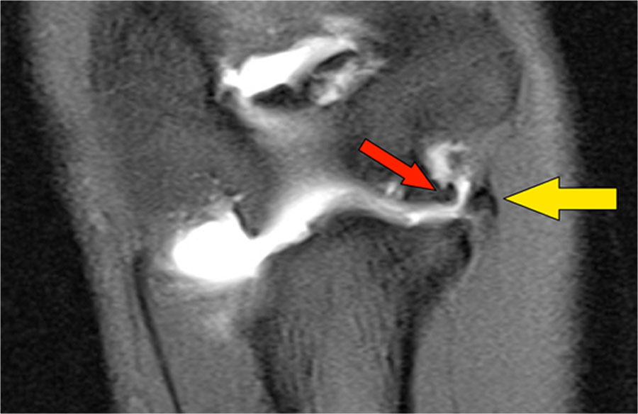
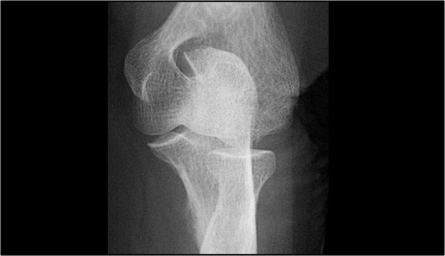
Trên các hình ảnh mặt phẳng coronal, bó trước của dây chằng UCL hiện rõ đẹp, nhưng lưu ý rằng có sự hình thành gai xương ở phần trong của khớp (mũi tên đỏ).
Khi chúng ta đi xa hơn về phía sau có một vùng nhỏ có tín hiệu thấp (mũi tên vàng), đây là một chỗ bong gân của một phần dây chằng bên trụ (UCL).
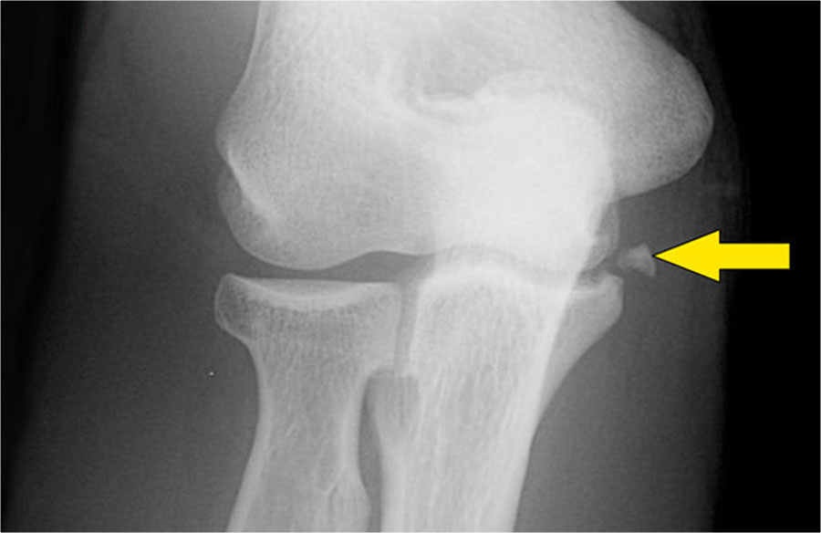
Điều này được thể hiện rõ hơn trên phim X-quang.
Continue with the axial scan.
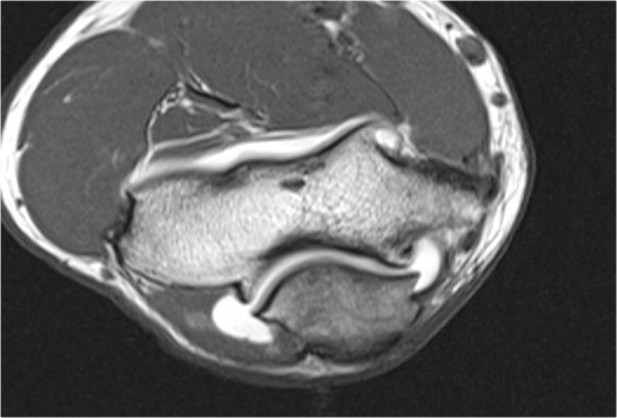
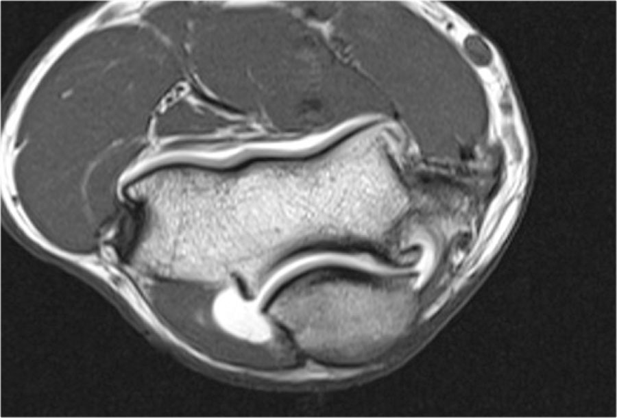
Khi quan sát trên lát cắt ngang (axial), chúng ta có thể nhận thấy sự hình thành gai xương khổng lồ.
Lưu ý rằng dây thần kinh trụ (mũi tên màu xanh) nằm cạnh các gai xương này và những bệnh nhân này có thể biểu hiện bệnh lý thần kinh trụ.
Posterolateral Rotatory instability
Có các giai đoạn mất vững khớp khuỷu tay khác nhau và giai đoạn cuối cùng là trật khớp.
Trong giai đoạn 1 có sự bán trật của xương trụ và có sự rách của dây chằng bên trụ ngoài.
Trong giai đoạn 2 có tổn thương nhiều hơn, khi mỏm vẹt tựa lên ròng rọc và có tổn thương dây chằng nhiều hơn.
Trong giai đoạn 3, cuối cùng mỏm vẹt nằm ra phía sau xương cánh tay trong một tình trạng trật khớp thực sự và có thể gây rách dây chằng bên trụ, dẫn đến khuỷu tay rất mất vững – như kiểu khớp lơ lửng.
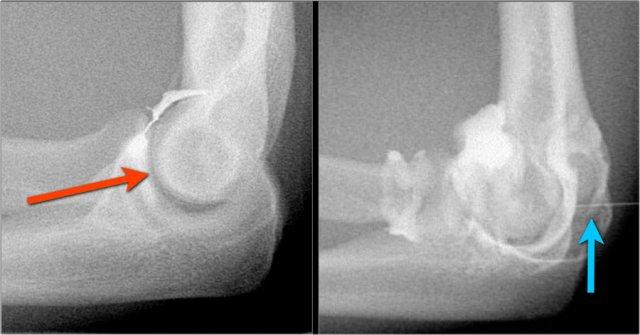
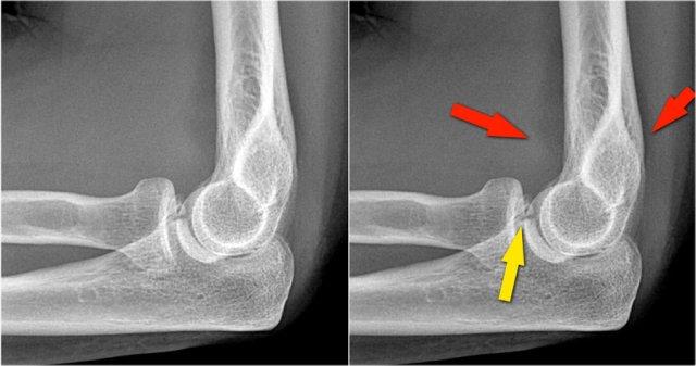
Elbow dislocation
Đây là hình ảnh chụp X-quang tư thế nghiêng của khuỷu tay một bệnh nhân bị ngã chống tay duỗi thẳng.
Hình ảnh X-quang cho thấy tràn dịch khớp (mũi tên đỏ) và gãy mỏm vẹt (mũi tên vàng).
Continue with the MR-images.
Đây là hình ảnh MRI.
Hãy xem các hình ảnh và sau đó tiếp tục đọc…
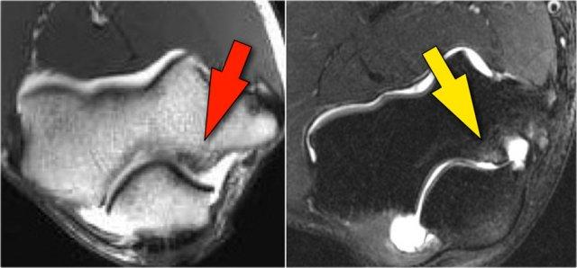
Coronal view:
- Dây chằng bên ngoài bị bóc tách hoàn toàn (mũi tên vàng).
- radial head is subluxed.
- phù tủy xương của mỏm vẹt do gãy xương (mũi tên đỏ).
Sagittal view:
- Chỏm xương quay bị bán trật nhẹ ra phía sau (mũi tên vàng).
- Large effusion and capsular disruption posteriorly.
- Đụng dập mặt sau của chỏm con do va chạm với mỏm vẹt (mũi tên đỏ).
All these signs are the result of a posterior dislocation.
Đọc thêm trong bài viết của Zehava Rosenberg trên AJR 2008 có tiêu đề: Đặc điểm MRI của Tổn thương Va chạm Chỏm Lồi Cầu Phía Sau
Những hình ảnh này của một nam giới 23 tuổi bị ngã chống tay khi đang trượt ván hai tuần trước.
Khi khám lâm sàng, ghi nhận giảm biên độ vận động khớp khuỷu và đau khi ấn dọc theo mặt ngoài.
First study the images, then continue reading…
Cấu trúc nào nằm phía sau chỏm quay trên hình ảnh cắt ngang?
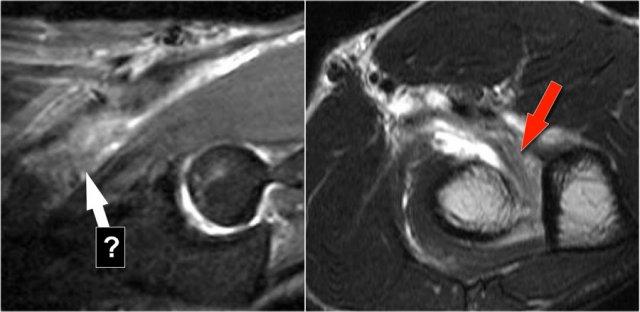
Sagittal view:
- Một lần nữa, hình ảnh đặc trưng của phù tủy xương thường gặp trong trật khớp khuỷu tay ra sau với vết dập ở phía trước của chỏm xương quay (mũi tên đỏ) và ở phía sau của chỏm con xương cánh tay.
- Chỏm quay phải đã va chạm vào phần sau của chỏm con xương cánh tay.
Cấu trúc phía sau chỏm quay là dây chằng vòng.
Nó không đều và dày lên do hậu quả của trật khớp ra sau.
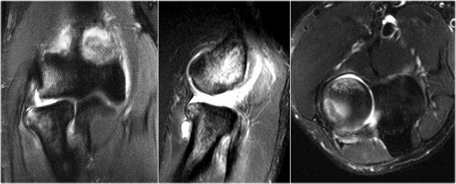
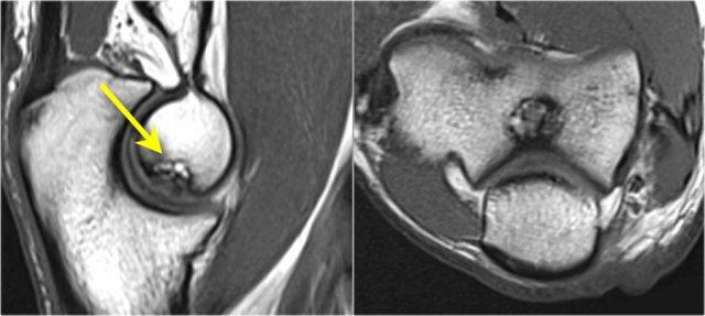
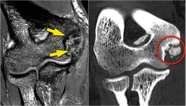
Osteochondral lesions
OC lesion of capitellum
Tổn thương sụn xương là tên gọi mới của bệnh viêm xương sụn bóc tách hay OCD.
Quá tải valgus mãn tính có thể gây ra tổn thương sụn xương ở phía ngoài của khuỷu tay.
Đây là kết quả của các lực va chạm và lực cắt lặp đi lặp lại.
Hình chụp X-quang của một vận động viên bóng chày 15 tuổi với tiền sử đau khuỷu tay 4 năm và gần đây có triệu chứng kẹt khớp.
Có một vùng thấu quang khu trú ở chỏm con và một số mảnh vỡ.
Đây là hình ảnh điển hình của tổn thương sụn xương chỏm con và hiện tượng kẹt khớp có thể là kết quả của các dị vật trong khớp.
Continue with the MR…
MR-arthrogram xác nhận tổn thương sụn xương.
Có gadolinium nằm giữa xương cánh tay và tổn thương sụn xương, cho thấy tổn thương này không ổn định.
Nếu không có gadolinium, hãy tìm dịch khớp chui xuống dưới mảnh sụn xương.
Có một mảnh thể tự do trong ngách sau của khớp quay-cánh tay.
Notice also the fragmentation as seen on the axial image.
Tổn thương sụn xương của chỏm con thường gặp ở vận động viên ném bóng và thể dục dụng cụ (11-15 tuổi), những người thường gặp nhiều vấn đề về cổ tay và khuỷu tay do chịu lực tỳ đè.
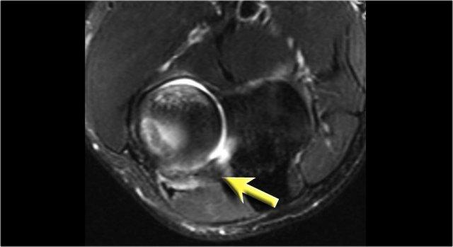
Here another case in a 20 year old gymnast.
Một lần nữa có hình ảnh thấu quang trên phim X-quang.
Hình ảnh MR-arthrogram cho thấy một số phù nề tủy xương trên mặt phẳng coronal.
Hình ảnh T1W mặt phẳng sagittal cho thấy bất thường xương dưới sụn, nhưng không có nhiều mảnh rời.
Có một số mỏng sụn, nhưng không có khuyết sụn.
Đây rõ ràng là một mảnh ổn định và không có dị vật khớp.
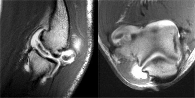
Những hình ảnh này của một cầu thủ bóng chày trẻ, xuất hiện với triệu chứng đau khuỷu tay lúc 14 tuổi.
Hình ảnh T2W-fatsat cho thấy phù tủy xương và có thể có gãy xương dưới sụn.
Rõ ràng là có người đã bảo cậu bé tiếp tục ném bóng, vì cậu quay lại ba năm sau khi 17 tuổi và bạn có thể thấy điều gì xảy ra khi người ta thúc ép quá mức để biến những đứa trẻ này thành vận động viên chuyên nghiệp.
Hình ảnh T1W cho thấy sự phân mảnh (mũi tên vàng) với một mảnh xương tự do (mũi tên đỏ).
Hình ảnh T2W chứng minh rằng mảnh xương không ổn định do có tín hiệu cao giữa mảnh xương và xương cánh tay.
Khi nội soi khớp, có thể thấy sự lõm xuống và không đều của sụn chỏm con.
First the loose bodies were taken out.
Sau đó, thủ thuật OATS thường được thực hiện, mà chúng ta sẽ thảo luận ngay bây giờ.
OATS procedure
OATS là viết tắt của ghép xương sụn tự thân (osteochondral autologous transfer).
Các mảnh sụn và xương được lấy từ một vị trí xương khác không chịu lực và chuyển đến chỏm con (capitellum).
Ở bệnh nhân này, sụn được lấy từ phần không chịu lực của khớp gối.
Sau đó, các lỗ được khoan vào chỏm con và các khuyết hổng được lấp đầy bằng xương và sụn tự thân.
Ở đây, lỗ khoan trên chỏm con được lấp đầy bằng bốn mảnh xương và sụn.
The radial head is seen opposite the capitellum.
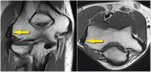
OC lesion of trochlea
Những hình ảnh này của một bệnh nhân bị đau khuỷu tay phía trước.
Không có chấn thương gần đây.
Chẩn đoán lâm sàng là viêm gân cơ nhị đầu hoặc viêm túi hoạt dịch vùng nhị đầu.
Các phát hiện trên hình ảnh MRI mặt phẳng vành khá bất thường.
Nếu bạn thấy điều này ở chỏm con, bạn sẽ gọi đó là tổn thương sụn xương chỏm con.
Đây được gọi là tổn thương sụn xương của ròng rọc.
Lưu ý các thay đổi dạng nang nhỏ (mũi tên trắng).
There is also a small cartilage defect.
Tổn thương xương sụn của ròng rọc thường gặp ở bệnh nhân trẻ tuổi, có bộ xương chưa trưởng thành.
Tổn thương xuất hiện ở ròng rọc bên như trong trường hợp này do tình trạng duỗi quá mức lặp đi lặp lại trong vùng có nguồn cung cấp máu kém.
Nó cũng được thấy ở ròng rọc trong do lỏng lẻo và va chạm sau trong.
Đây là một bệnh nhân khác.
Lưu ý rằng đây là bệnh nhân trẻ tuổi, vì sụn tăng trưởng vẫn còn mở.
Có một tổn thương xương sụn lớn ở ròng rọc xương đùi bên ngoài (mũi tên vàng).
Lưu ý phù nề ở xương dưới sụn (mũi tên đỏ).
Sụn khớp vẫn còn nguyên vẹn.
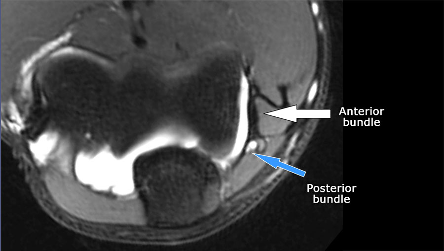
Ulnar Collateral Ligament
Dây chằng bên trụ (UCL) nằm ở phía trong và có ba thành phần.
Bó trước là thành phần chắc chắn nhất và là cấu trúc hạn chế chính chống lại lực valgus.
Trên MR, đây là cấu trúc quan trọng nhất.
Bó sau bám tận theo hình nan quạt vào mỏm khuỷu.
Nó tạo thành sàn của ống khuỷu.
Bó ngang chạy từ mỏm khuỷu đến mỏm khuỷu, vì vậy nó không có nhiều chức năng.
Dây chằng bên trụ (UCL) (màu vàng) xuất phát từ mặt dưới của mỏm trên lồi cầu trong, ngay bên dưới nguyên ủy của gân cơ gấp chung.
Nó bám vào một mấu nhỏ ở phía trong của mỏm vẹt, được gọi là củ sublime.
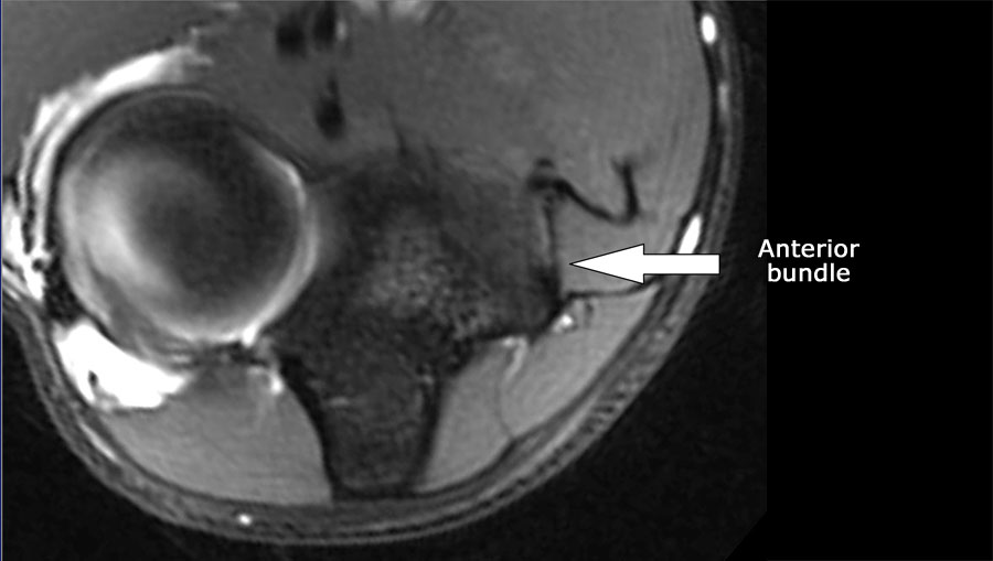
Luôn sử dụng hình ảnh mặt cắt ngang (axial) khi nghiên cứu các dây chằng, đặc biệt là dây chằng bên trụ (UCL).
Scroll through the images.
- Nếu bạn nhìn vào mỏm trên lồi cầu trong, bạn sẽ nhận thấy bó sau như một cấu trúc mỏng (mũi tên xanh).
- Notice the ulnar nerve sitting in the cubital tunnel.
- The posterior bundle forms the floor of the cubital tunnel.
- A retinaculum covers the cubital tunnel.
- Lưu ý rằng bó trước dày hơn nhiều (mũi tên trắng).
- Bạn có thể thấy sự khác biệt giữa dây chằng trước và dây chằng sau mặc dù chúng tạo thành một dây chằng duy nhất.
- Khi đi về phía xa, chúng ta sẽ thấy chúng hợp nhất lại để bám vào củ sublime.
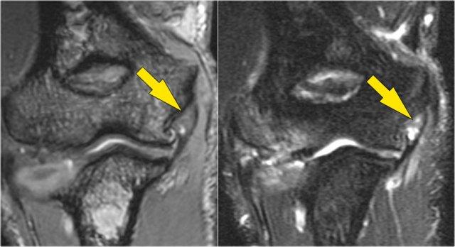
Ở đây chúng ta thấy hai hình ảnh mặt phẳng coronal liên tiếp của dây chằng bên trụ (UCL).
Bình thường có thể thấy một số tín hiệu cao ở phần gần (mũi tên).
Hãy chú ý cách nó bám chắc vào củ sublime và so sánh với các hình ảnh tiếp theo.
UCL tear
Hãy nhớ rằng dây chằng UCL phải bám rất chắc vào củ sublime.
Trong trường hợp này thì không như vậy, vì vậy ngay cả trên hai hình ảnh này bạn có thể nhận thấy rằng có một rách hoàn toàn.
Lưu ý rằng có một số phù tủy xương ở củ sublime.
Cơ chế chấn thương dây chằng trụ bên (UCL) thường do lực kéo căng mãn tính, tạo ra các vết rách vi thể.
Điều này thường gặp ở các vận động viên ném bóng và các vận động viên ném qua đầu khác.
Rách dây chằng cũng có thể xảy ra khi ngã chống tay duỗi thẳng.
Thường gặp nhất là rách hoàn toàn, nhưng đôi khi có thể rách một phần và rất khó nhìn thấy.
Đó là lý do tại sao ở những vận động viên này, chụp MR-arthrogram thường được thực hiện.
Study the images and then continue reading…
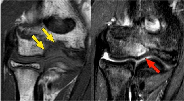
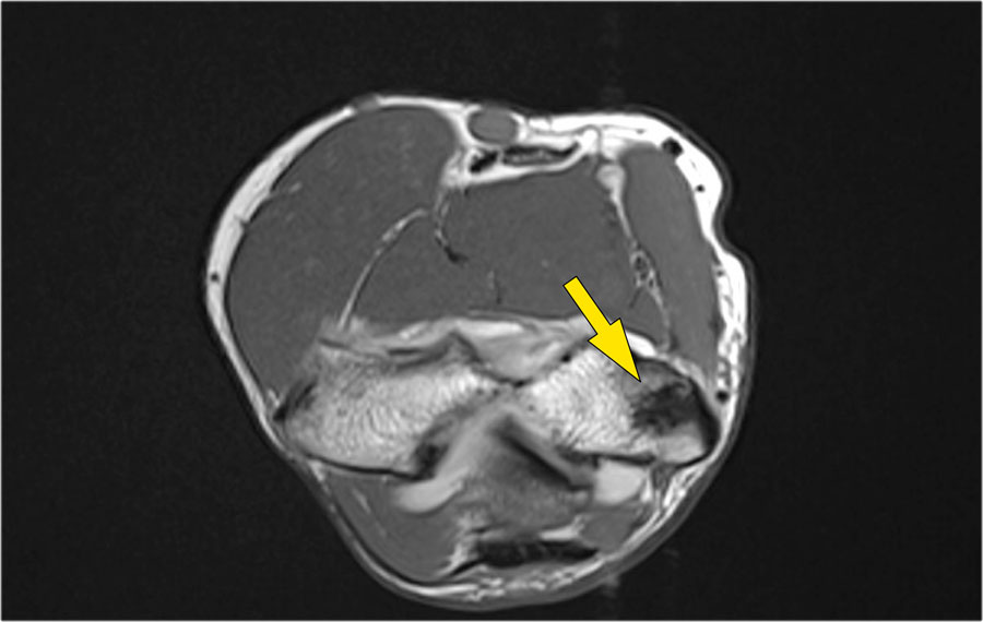
Đây là vận động viên ném bóng chày 18 tuổi với triệu chứng đau mặt trong khuỷu tay.
Có thể thấy một vết rách một phần tạo ra ‘dấu hiệu T’.
Đầu tiên hãy nghiên cứu các hình ảnh T2-fatsat theo mặt phẳng vành và sau đó tiếp tục đọc…
Lưu ý rằng bó trước còn nguyên vẹn và bám chắc vào củ sublime (mũi tên vàng).
Trên hai hình ảnh tiếp theo, có một số phù nề mô mềm và tín hiệu bất thường rõ hơn ở phía sau (mũi tên đỏ). Vì vậy, chúng tôi nghi ngờ có bệnh lý của bó sau.
Now you remember that the axial images can be helpful.
So continue with the axial image.
Trên hình ảnh mặt cắt ngang, chúng ta thấy rõ bó trước bình thường (mũi tên đỏ).
Chỉ có một ít phù nề bên cạnh nó.
Tuy nhiên bó sau không bình thường.
Đây là rách một phần.
Chúng tôi thỉnh thoảng gặp trường hợp này ở các vận động viên ném, khi bó trước còn nguyên vẹn và khuỷu tay của họ không mất vững.
Họ đã bị rách bó sau theo một cách nào đó, gây ra đau đớn.
Họ không cần phẫu thuật, nhưng điều này vẫn có thể khiến họ phải nghỉ thi đấu trong một thời gian khá dài.
Bây giờ là trường hợp cuối cùng.
Đây là nam giới 38 tuổi đã tập tạ được 20 năm.
Bệnh nhân phàn nàn về tình trạng đau khuỷu tay và tiếng lục cục ngắt quãng.
Lưu ý rằng dây chằng UCL bất thường với một số vùng có tín hiệu rất cao cho thấy rách một phần.
Ở phía bên ngoài có phù nề dưới sụn và mất sụn khớp.
Đây là thoái hóa khớp thứ phát do mất vững mạn tính gây ra bởi tình trạng rách một phần mạn tính.
UCL repair
Sửa chữa dây chằng bên trụ (UCL) được thực hiện bằng cách tạo các đường hầm ở mỏm trên lồi cầu trong.
Các đường hầm chạy xuống đến củ sublime và một mảnh ghép được đặt vào giữa chúng.
Hình chụp X-quang này của một cầu thủ bóng chày chuyên nghiệp 26 tuổi đã được tái tạo dây chằng bên trụ (UCL).
Notice the tunnels (arrow).
This operation usually works very well.
Nếu bạn cuộn qua các hình ảnh MR, bạn có thể thấy đường hầm ở mỏm trên lồi cầu trong.
Giống như trong mảnh ghép ACL, chúng ta có thể thấy tín hiệu thấp của mảnh ghép kéo dài xuống phía dưới.
Trên các hình ảnh mặt phẳng coronal, mặc dù có các nhiễu ảnh dạng gai nhọn, dây chằng bên trụ (UCL) trông gần như bình thường.
Ở đây chúng ta thấy hình ảnh của một bệnh nhân sau phẫu thuật sửa chữa nhưng không đạt kết quả tốt.
Có sự phân mảnh của xương và sự gián đoạn của mảnh ghép.
Trên hình ảnh CT-scan, có thể thấy rõ hơn rằng có một đường gãy xương đi qua đường hầm.
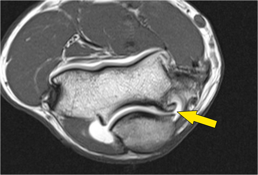
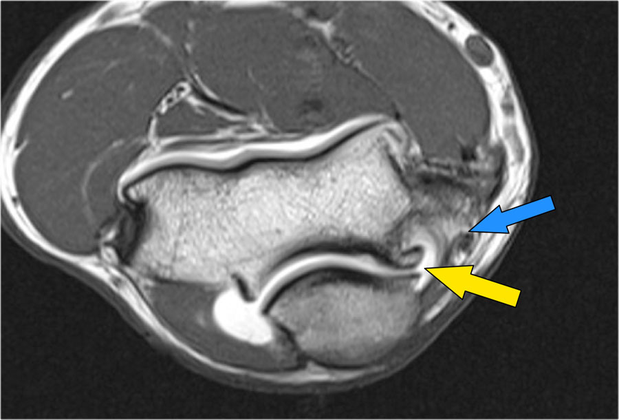
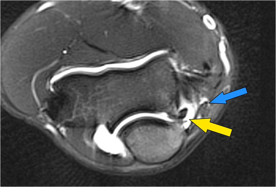
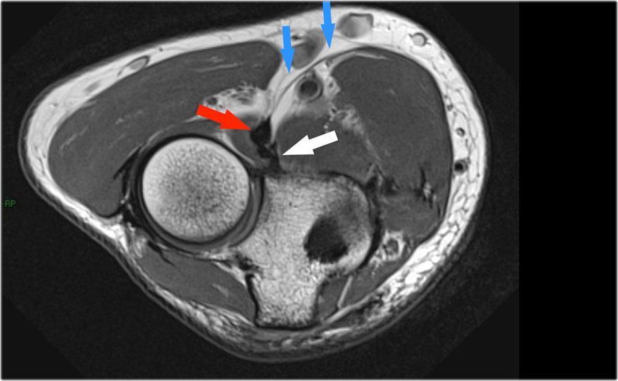
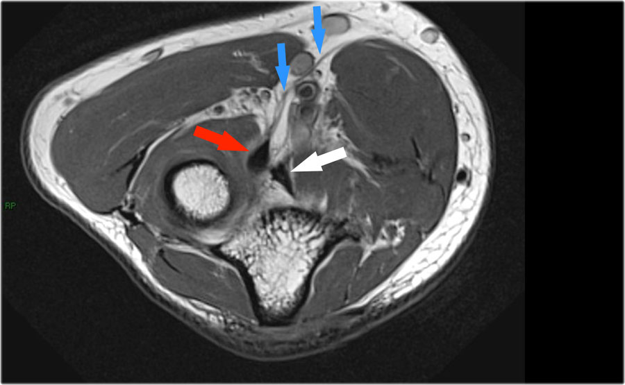
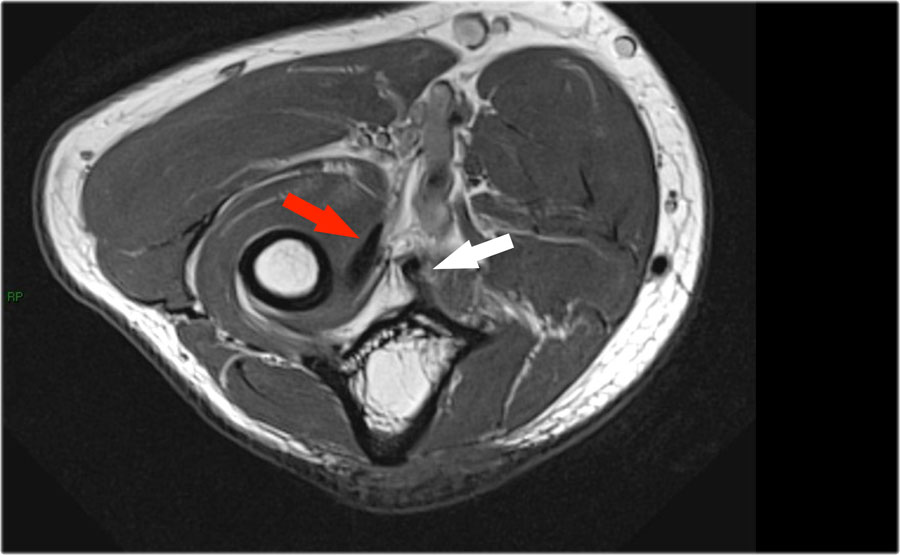
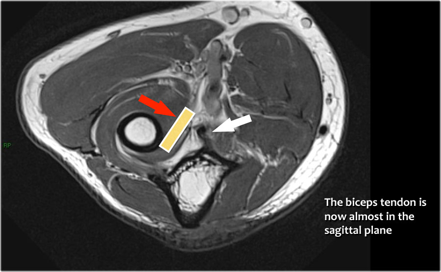
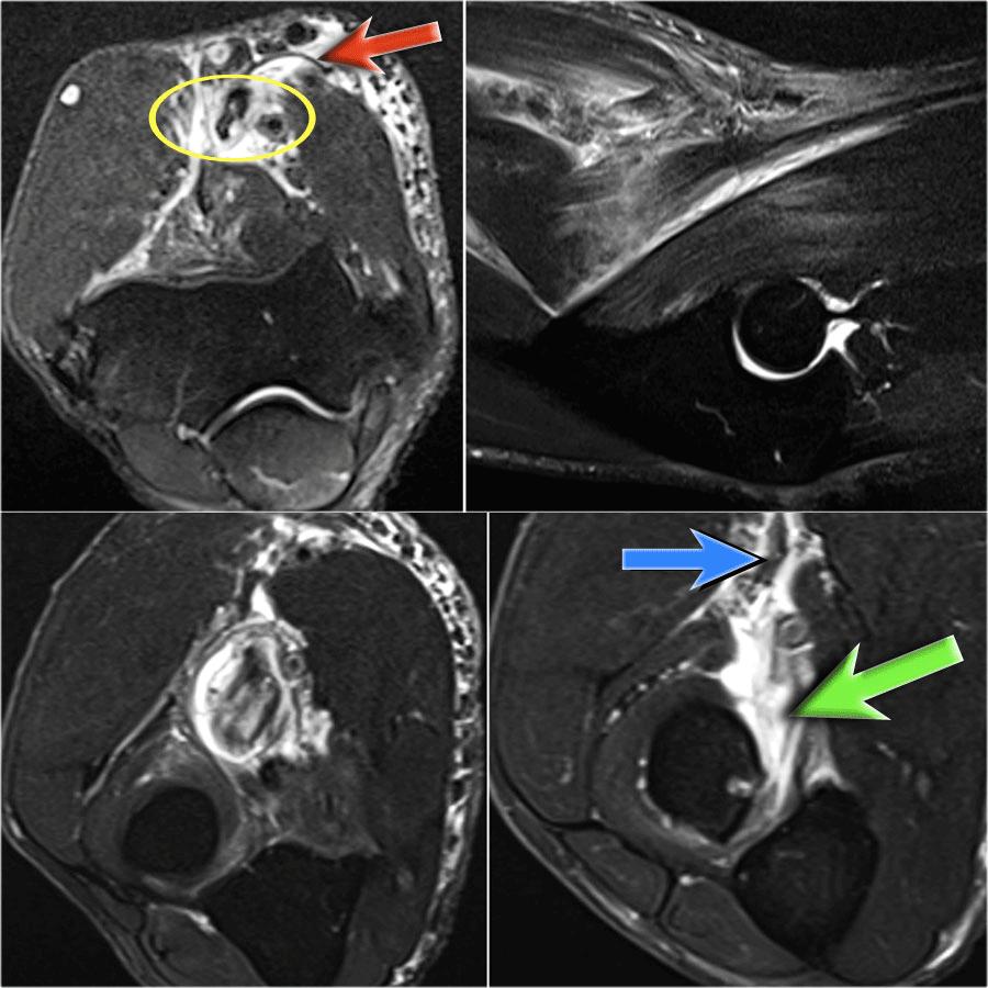
Lateral Collateral Ligament
Đây là hình minh họa về phức hợp dây chằng bên ngoài.
Nó bao gồm dây chằng bên quay, dây chằng bên trụ ngoài và dây chằng vòng.
Khi bạn tìm kiếm dây chằng bên quay, trước tiên hãy cố gắng xác định gân duỗi chung, vì ngay bên dưới nó bạn sẽ tìm thấy dây chằng bên quay (mũi tên vàng).
Khi bạn di chuyển về phía sau hơn, bạn sẽ thấy LUCL – dây chằng bên trụ ngoài, quét ra phía sau chỏm quay (mũi tên trắng).
Dây chằng vòng thường khó phân biệt với dây chằng bên quay (RCL), nhưng đôi khi có thể được xác định trên phim chụp MR-arthrogram theo mặt phẳng đứng dọc.
Scroll through these images.
You can also enlarge them.
Common Extensor Tendon
Gân duỗi chung xuất phát từ mỏm trên lồi cầu ngoài.
Trên ảnh T1W, gân phải có tín hiệu thấp (mũi tên vàng).
Lateral Epicondylitis
Viêm lồi cầu ngoài còn được gọi là khuỷu tay tennis, mặc dù trong 95% trường hợp được gặp ở những người không chơi tennis.
Nguyên nhân là do căng thẳng mãn tính lên gân duỗi chung, dẫn đến rách một phần và thoái hóa gân.
Thông thường, cơ duỗi cổ tay quay ngắn là thành phần bị ảnh hưởng.
Trong các trường hợp nặng hơn, có sự rách của dây chằng bên ngoài (LCL), cho thấy đáp ứng kém với điều trị bảo tồn.
Here a typical case.
Có sự dày lên và tín hiệu nội tại bất thường trên cả hình ảnh T1 và T2W.
Common Flexor Tendon
Gân cơ gấp chung xuất phát từ mỏm trên lồi cầu trong.
Trên hình ảnh T1W, gân này có tín hiệu thấp (mũi tên đỏ).
Medial Epicondylitis
Đây là tình trạng đối xứng với viêm lồi cầu ngoài và còn được gọi là khuỷu tay của người chơi golf.
Đây là tổn thương gân cơ gấp chung.
Trên hình ảnh mặt phẳng đứng dọc, có thể thấy rõ đây chỉ là rách một phần.
Tuy nhiên tình trạng này có thể gây đau đớn đáng kể.
Đây là hình ảnh T1W và T2W theo mặt phẳng coronal.
Có rách một phần, nhưng tổn thương rất rộng.
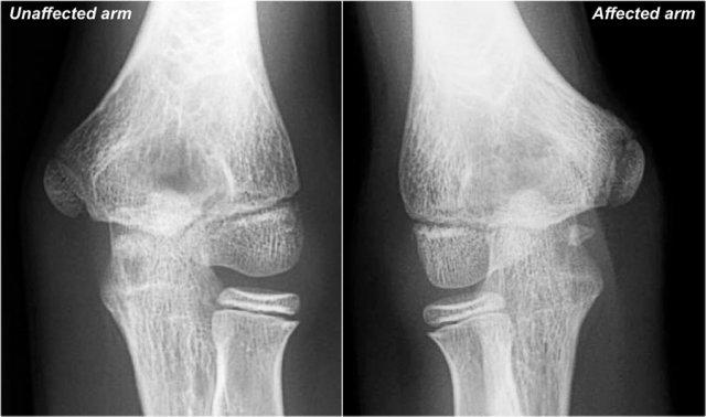
Little Leaguer’s Elbow
Đầu tiên hãy xem các hình ảnh của một bệnh nhân bị đau ở phía trong, sau đó tiếp tục đọc…
The findings are very subtle.
Mỏm trên lồi cầu trong của cánh tay bị ảnh hưởng có phần loãng xương hơn.
Trong những trường hợp này, chúng tôi thường yêu cầu chụp so sánh đối bên, vì sự khác biệt có thể rất tinh tế.
Chẩn đoán là khuỷu tay của vận động viên bóng chày nhí (Little Leaguer’s elbow), xảy ra do chấn thương stress mãn tính.
Vùng thấu quang trên phim X-quang, trông giống như một đĩa sụn tăng trưởng bị giãn rộng, là do sự phát triển xâm lấn của sụn vào vùng hành xương.
Continue with the MR…
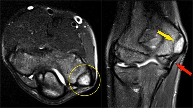
Trên MRI, bất thường rất rõ ràng.
Có phù tủy xương ở mỏm trên lồi cầu trong và cả ở xương lân cận (mũi tên vàng).
Khuỷu tay của cầu thủ bóng chày nhỏ tuổi còn được gọi là viêm mỏm xương chẩm giữa và một số người gọi là ly giải sụn tiếp hợp.
Nhân tiện, đây cũng có thể được gọi là gãy xương loại I theo Salter-Harris, nếu đây là một chấn thương cấp tính.
Notice the normal ulnar collateral ligament (red arrow).
Ở trẻ em, điểm yếu trong stress valgus không phải là dây chằng bên trụ mà là sụn tiếp hợp.
Here another case.
Bệnh nhân này lớn tuổi hơn một chút.
Mỏm trên lồi cầu bên trái đã liền sụn, nhưng bên phải sụn tiếp hợp vẫn còn hở một chút.
Continue with the MR…
On the MR there is marrow edema.
Lưu ý rằng cũng có một số phù nề tại vị trí bám của dây chằng bên trụ, vì vậy cũng có một số rách của dây chằng bên trụ (UCL).
Here some more views of a different patient.
Biceps tendon
Cuộn qua các hình ảnh cắt ngang của gân cơ nhị đầu từ chỗ nối cơ-gân đến điểm bám tận trên lồi củ xương quay.
Bệnh lý của gân cơ nhị đầu đoạn xa rất giống với bệnh lý của gân Achilles.
Có thể gặp thoái hóa gân, rách một phần và rách hoàn toàn có hoặc không có sự co rút.
Đây là hình ảnh siêu âm của một nam giới 73 tuổi, xuất hiện đau đột ngột và cảm giác rách khi nâng một hộp đồ.
Có đau khi sấp và ngửa cẳng tay, ấn đau ở phía trước gần khớp khuỷu.
Không có bầm máu hay khối u sờ thấy được.
Trên hình ảnh mặt phẳng đứng dọc, gân bị dày lên, nhưng ở phần xa gân không còn hiển thị.
Đã thực hiện kiểm tra MRI.
Bây giờ hãy xem các hình ảnh MRI và cố gắng xác định xem gân có bị co rút không và liệu đó là rách một phần hay rách hoàn toàn…
Trên hình ảnh mặt phẳng đứng dọc, có vẻ như gân bị đứt hoàn toàn, nhưng hãy tiếp tục xem các hình ảnh tiếp theo.
Tear of distal biceps tendon
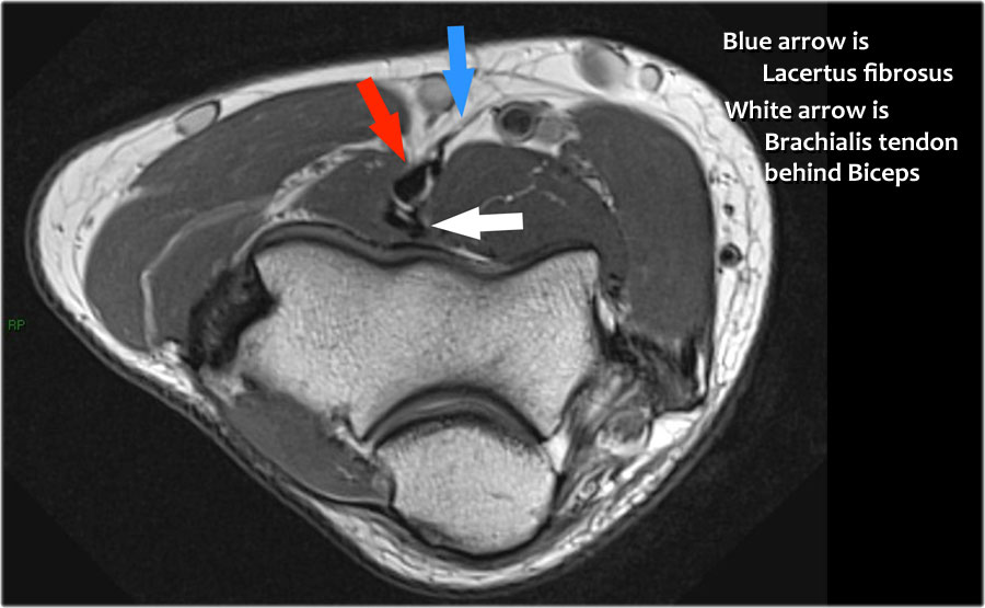
Có một vết rách hoàn toàn, vì nếu chúng ta theo dõi gân đến tận củ quay, chúng ta có thể thấy rằng gân không bám vào đó (mũi tên xanh lá).
Chỉ có dịch.
Lý do tại sao gân không bị co rút là vì cân cơ nhị đầu rộng – còn được gọi là lacertus fibrosus – vẫn còn nguyên vẹn (mũi tên đỏ).
Gân nhị đầu xa không chỉ bám vào lồi củ xương quay, mà còn thông qua lacertus fibrosus bám vào cân cơ của khối cơ gấp-sấp ở phía trong cẳng tay.
Gân xa của cơ nhị đầu được khoanh tròn ở hình ảnh phía trên bên trái.
Khi cân cơ cũng bị rách, thì gân sẽ co rút lại và bạn sẽ thấy một khối phồng rõ ràng ở cánh tay do cơ nhị đầu bị co lại.
Rách gân cơ nhị đầu đoạn xa là một chấn thương không phổ biến.
Chiếm khoảng 5% các chấn thương cơ nhị đầu.
Đây là hậu quả của một lực duỗi đột ngột tác động lên cánh tay khi khuỷu tay đang gấp.
Rách gân cơ nhị đầu đoạn gần phổ biến hơn.
Thường thì đầu dài của cơ nhị đầu là phần bị đứt hoàn toàn.
Đây là một ví dụ khác.
Trên hình ảnh T1W có một số dày lên và tín hiệu trung gian.
Đây có thể là thoái hóa gân, nhưng hãy luôn xem xét hình ảnh T2W để tìm kiếm vết rách.
Trong trường hợp này có một vết rách một phần.
Đây là một trường hợp khác.
Trên các hình ảnh mặt phẳng đứng dọc, chúng tôi không chắc chắn về một vết rách có thể xảy ra.
Có thể chỉ có một số thoái hóa gân hoặc viêm gân.
Các hình ảnh trục cho thấy rách một phần độ cao (mũi tên đỏ).
Luôn đảm bảo rằng mặt cắt ngang của bạn đi hết đến phần lồi củ xương, bởi vì nếu bạn dừng lại quá sớm, như trong trường hợp này, thì bạn sẽ chỉ thấy gân dày lên và một ít dịch, nhưng bạn không thể xác định được liệu có rách gân hay không.
Đây là một trường hợp dễ nhận biết, vì gân bị co rút như có thể thấy rõ nhất trên hình ảnh mặt phẳng đứng dọc.
Vì vậy, lacertus chắc chắn cũng đã bị rách.
Radiobicipital bursitis
Đây là các hình ảnh mặt phẳng đứng dọc và mặt phẳng ngang của một bệnh nhân được chuyển đến bác sĩ phẫu thuật ung thư chỉnh hình vì một khối u gần khuỷu tay.
Có một vết rách một phần (mũi tên) của gân cơ nhị đầu, nhưng câu hỏi đặt ra là, cấu trúc mà chúng ta đang quan sát là gì và bên trong nó chứa gì.
Cấu trúc này là túi hoạt dịch quay-nhị đầu, vì vậy đây là viêm túi hoạt dịch.
Cần nhớ rằng gân cơ nhị đầu không có bao gân, do đó viêm bao gân không phải là khả năng có thể xảy ra.
Chẩn đoán phân biệt cho các cấu trúc cường độ thấp trong túi hoạt dịch bao gồm: chondromatosis màng hoạt dịch, viêm màng hoạt dịch thể sắc tố dạng nốt (PVNS) và thể hạt gạo.
Hóa ra đây là các thể gạo (rice bodies).
Trong bất kỳ khớp hoặc túi thanh dịch nào có lớp màng hoạt dịch, các thể gạo này có thể được hình thành do viêm mạn tính kèm theo tăng sản màng hoạt dịch.
Các nhung mao sẽ phát triển vượt quá nguồn cung cấp máu của chúng, trở nên hoại tử và rơi vào trong khớp hoặc túi thanh dịch.
Chúng được gọi là thể gạo vì khi mở khớp ra, chúng trông giống như những hạt gạo.
Here another case.
Mũi tên trắng trong hình bên trái đang chỉ vào túi hoạt dịch.
Lưu ý rằng cơ nhị đầu vẫn còn nguyên vẹn.
Bên cạnh túi hoạt dịch quay-nhị đầu (mũi tên vàng), một túi hoạt dịch gian cốt (mũi tên đỏ) cũng đã được Abdalla Skaf mô tả trên tạp chí Radiology trong bài báo có tiêu đề: Viêm túi hoạt dịch nhị đầu-quay: Các dấu hiệu trên hình ảnh MRI.
Đôi khi các khối này có thể giống u bướu hoặc có thể gây chèn ép dây thần kinh quay khi chúng trở nên rất lớn.
Brachialis tendon
Cơ cánh tay xuất phát từ nửa dưới mặt trước của xương cánh tay, gần chỗ bám tận của cơ delta.
Nó nằm sâu hơn cơ nhị đầu cánh tay, và là cơ hiệp lực hỗ trợ cơ nhị đầu trong động tác gấp khuỷu tay.
Gân dày bám vào mặt trước của mỏm vẹt xương trụ.
Trên mặt phẳng đứng dọc, khi so sánh gân cơ cánh tay (mũi tên vàng) với gân cơ nhị đầu (mũi tên đỏ), hãy chú ý rằng cơ cánh tay hầu như toàn bộ là cơ.
Nó chỉ có một đoạn gân rất ngắn ở phía xa.
Chronic avulsion
Hình ảnh này là của một phụ nữ 68 tuổi, bị chấn thương cánh tay khoảng 10 năm trước và hiện đang có biểu hiện đau ngày càng tăng ở cánh tay đó.
First study the radiograph and then continue with the MR…
Đầu tiên hãy nghiên cứu các hình ảnh T1W theo trục này và sau đó tiếp tục đọc…
Hình ảnh X-quang
Vỏ xương trụ không đều và ở một phụ nữ 68 tuổi, có lo ngại về bất thường xương tiềm ẩn như khối u xương chẳng hạn.
MRI
Gân cơ nhị đầu được chỉ bởi mũi tên đỏ và cho thấy tình trạng thoái hóa gân và rách một phần.
Tuy nhiên khi chúng ta quan sát vị trí bám của gân cơ cánh tay vào mỏm vẹt, có hiện tượng rách gân kèm theo phù tủy xương nhiều như được thấy trên hình ảnh T2W xóa mỡ.
Trên thực tế, đây là loại chấn thương giật gân mạn tính với rách một phần gân.
Phản ứng xương có thể bắt chước một tổn thương xương xâm lấn.
Đây là một trường hợp avulsion mãn tính khác, được chuyển đến bác sĩ phẫu thuật ung thư, vì có lo ngại về khả năng u xương cạnh vỏ xương (juxta-cortical osteosarcoma).
The MR however revealed the following:
- Tổn thương nằm ở vị trí bám tận của gân cơ lưng rộng vào xương cánh tay (mũi tên vàng).
- Tủy xương có một chút tín hiệu cao, nhưng nhìn chung không có vẻ bất thường.
- There is also injury to the muscle aswell (red arrow).
Chấn thương bong điểm bám mạn tính thường gặp ở thanh thiếu niên, nhưng cũng có thể gặp ở bệnh nhân lớn tuổi hơn.
Vấn đề là chúng có thể bắt chước hình ảnh của nhiễm trùng hoặc khối u.
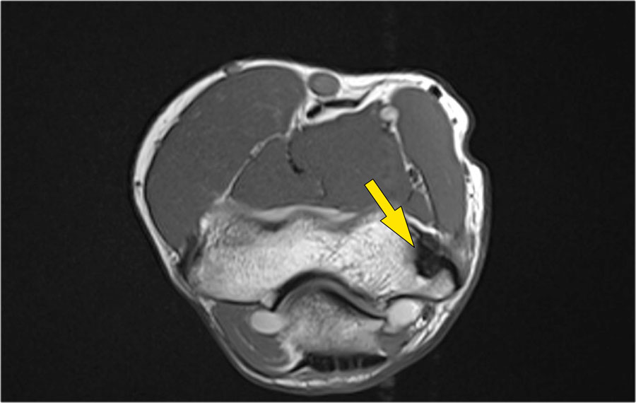
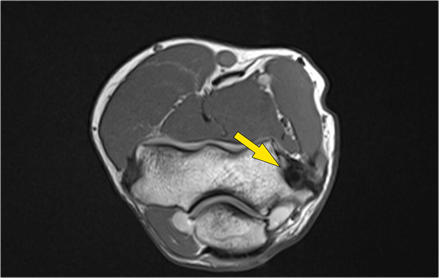
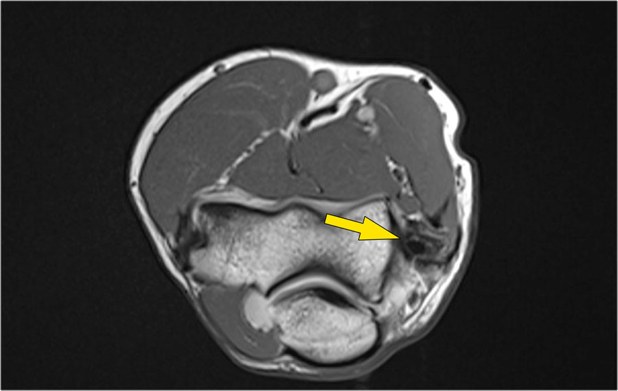
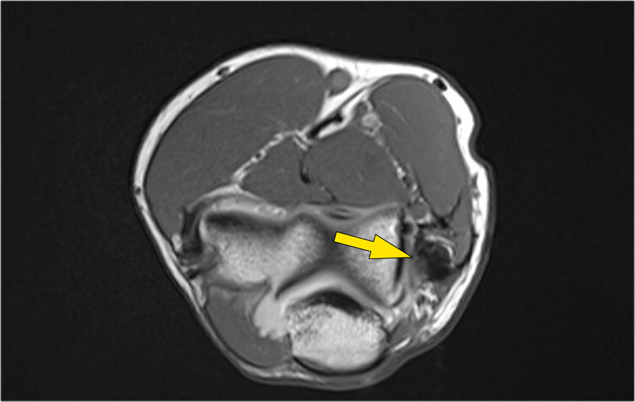
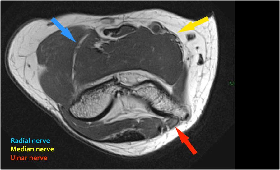
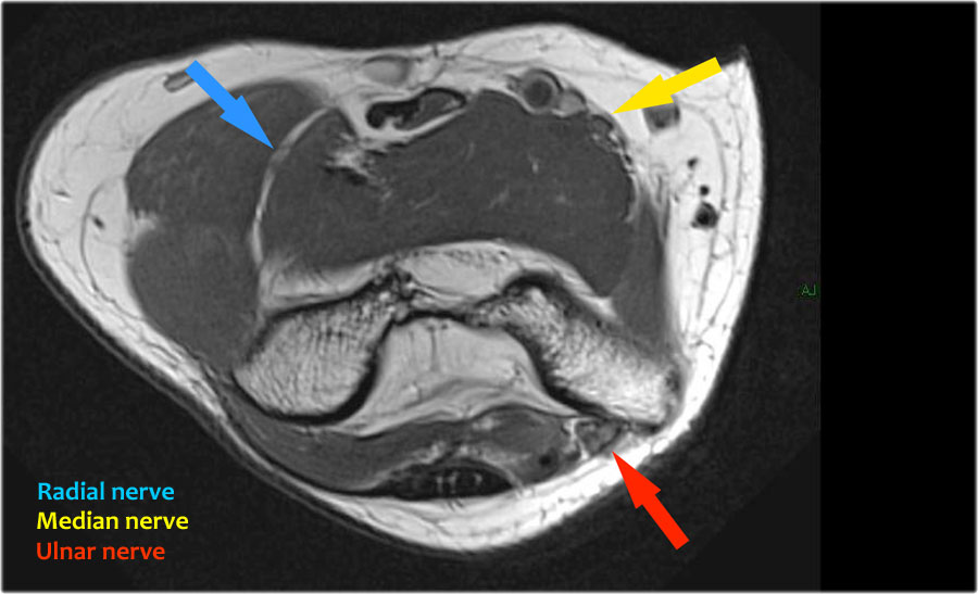
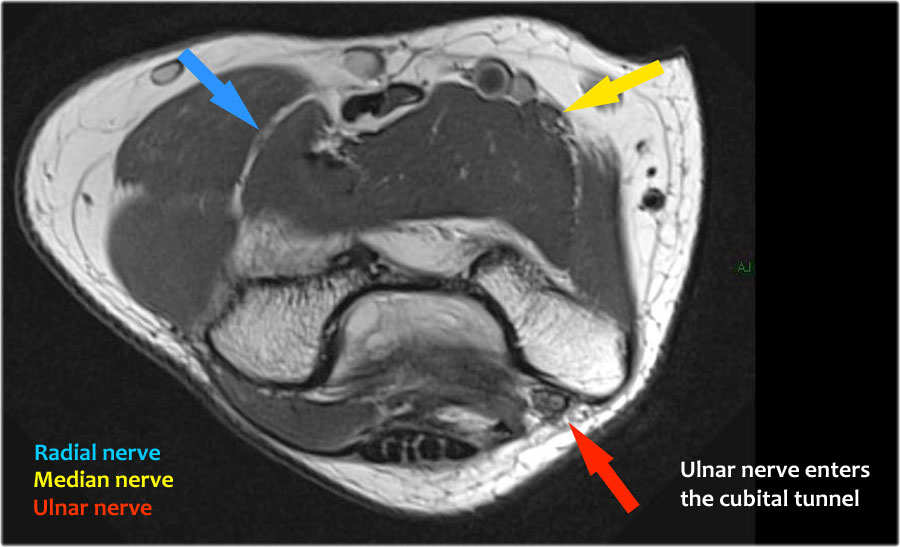
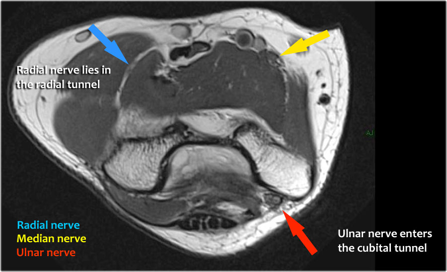
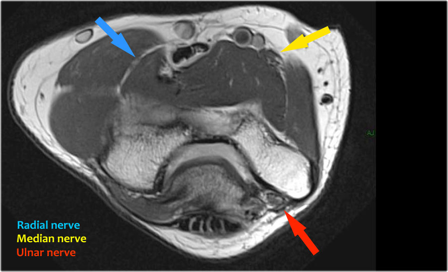
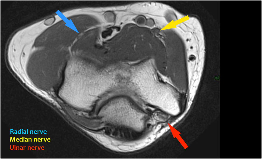
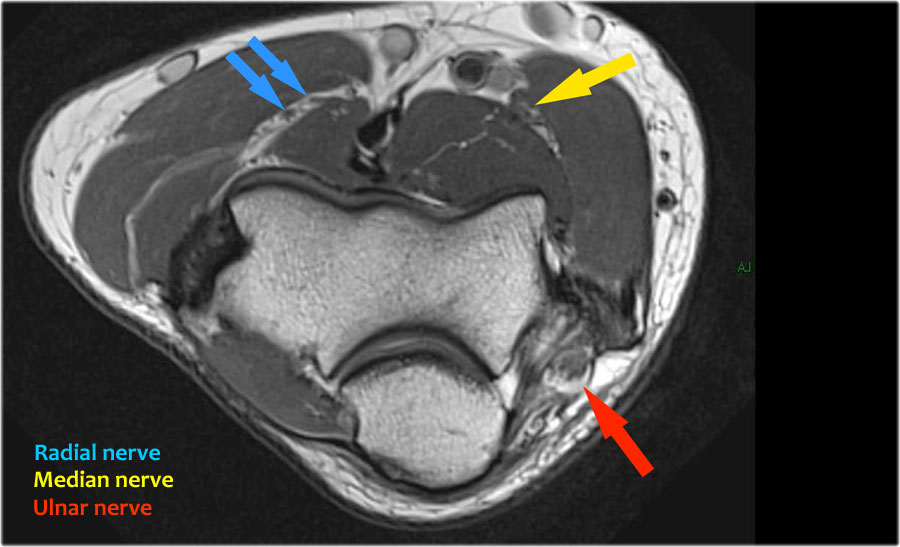
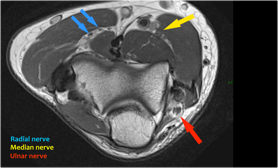
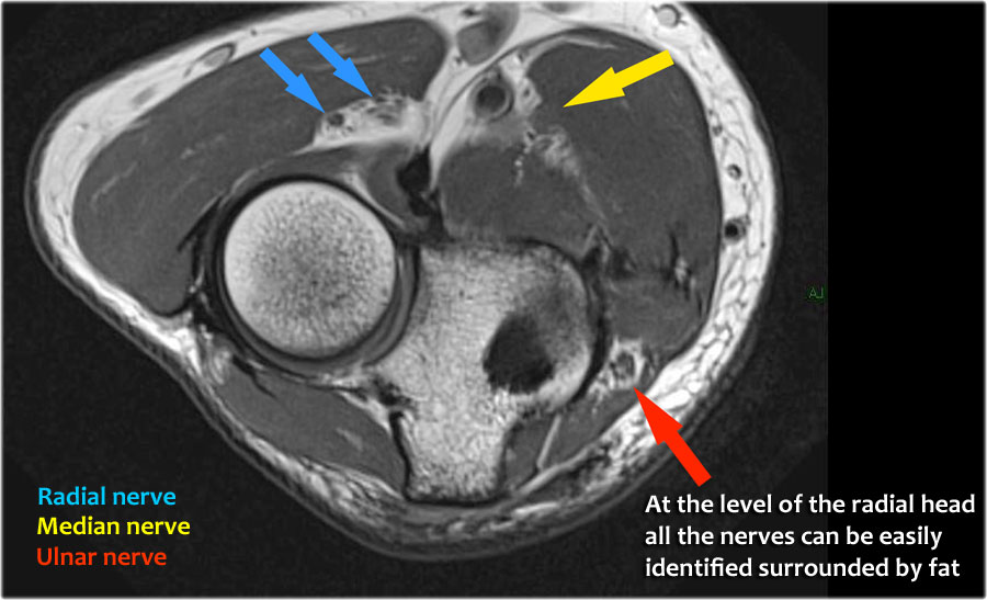
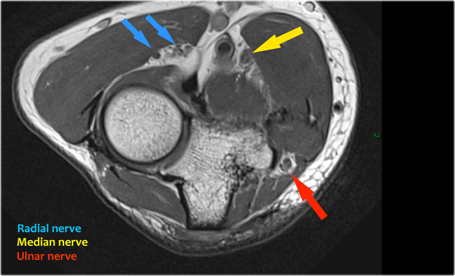
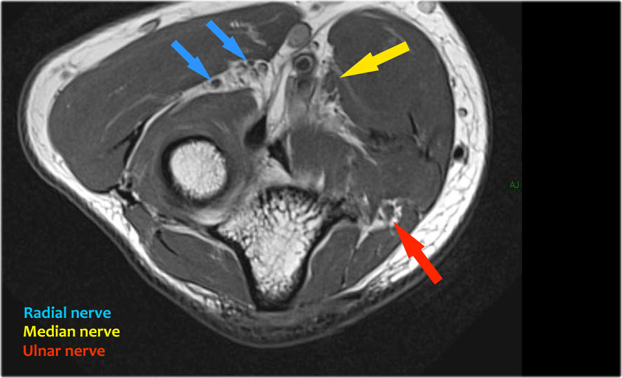
Nerves
Scroll through the images.
Ulnar nerve
Ở đây chúng ta thấy dây thần kinh trụ nằm trong ống trụ.
Bó sau của dây chằng bên trụ tạo thành sàn của ống, trong khi mạc hãm tạo thành trần của ống.
Đầu tiên hãy quan sát các hình ảnh.
Bệnh nhân này bị bệnh lý thần kinh trụ.
Nguyên nhân là gì?
Hội chứng ống khuỷu là một bệnh lý thần kinh ngoại biên thường gặp.
Bệnh phát sinh do chèn ép dây thần kinh trụ trong ống khuỷu, nơi dây thần kinh đi bên dưới dây chằng giữ gân ống khuỷu.
Possible causes of cubital tunnel syndrome:
- Overuse
- Bán trật khớp dây thần kinh trụ do lỏng lẻo bẩm sinh của mô xơ
- Humeral fracture with loose bodies or callus formation
- Arthritic spur arising from the epicondyle or olecranon,
- Bất thường cơ (ví dụ: cơ khuỷu phụ) như trong trường hợp này.
- Khối mô mềm: u nang hạch, u mỡ, u xương sụn, viêm màng hoạt dịch thứ phát do viêm khớp dạng thấp, nhiễm trùng (ví dụ: lao) và xuất huyết.
Đọc thêm về bệnh thần kinh ngoại biên trong bài báo Radiographics năm 2006 của Gustav Andreisek và cộng sự có tiêu đề:
Những gì còn thiếu trong hình ảnh này và nguyên nhân có thể là…
The ulnar nerve is not where it is supposed to be.
Lúc này dây thần kinh có thể bị trật khớp, nhưng trong trường hợp này dây thần kinh đã được chuyển vị bằng phẫu thuật.
Chuyển vị thần kinh trụ được thực hiện ở những bệnh nhân có thần kinh trụ bị chèn ép vào mỏm trên lồi cầu trong.
Vậy câu hỏi đặt ra là, khi họ đưa dây thần kinh trụ ra khỏi đường hầm, họ sẽ đặt nó ở đâu.
Điều này có thể là dưới da, dưới cơ hoặc trong cơ.
Vì vậy, khi chúng ta quay lại hình ảnh, bạn sẽ nhận thấy rằng có thể khó tìm thấy dây thần kinh.
Bất kỳ cấu trúc dưới da nào trong số này đều có thể là dây thần kinh đã được chuyển vị.
Một cách để thực hiện là đi theo các cấu trúc về phía xa cho đến khi tìm thấy dây thần kinh trụ ở phía xa tại vị trí bình thường của nó ở vùng cẳng tay gần được bao quanh bởi mô mỡ.
Sau đó khi bạn theo dõi nó về phía gần, bạn sẽ nhận thấy rằng đây là một trường hợp chuyển vị dưới da.
Trong trường hợp này, có viêm dây thần kinh.
Có sự phì đại của dây thần kinh.
Trên hình ảnh T2W có tín hiệu cao.
Dấu hiệu khác là sự phì đại không đồng đều của các bó sợi thần kinh, được thấy trên hình ảnh mặt phẳng đứng dọc (mũi tên).
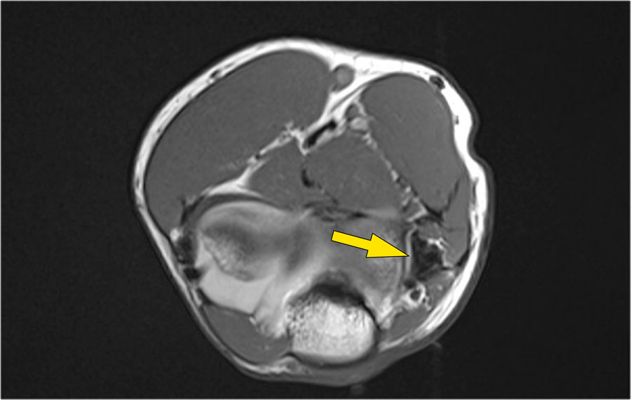
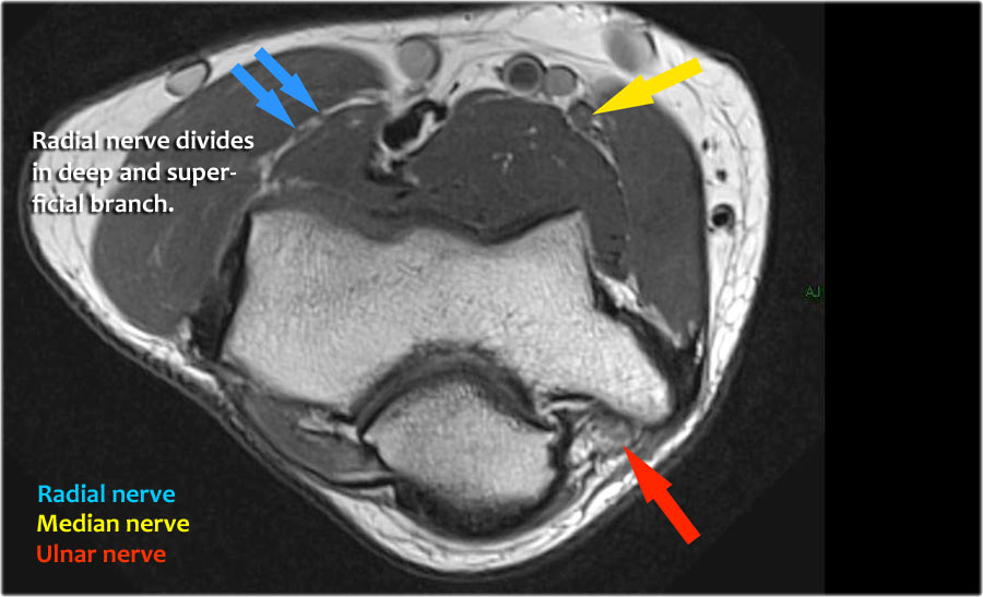
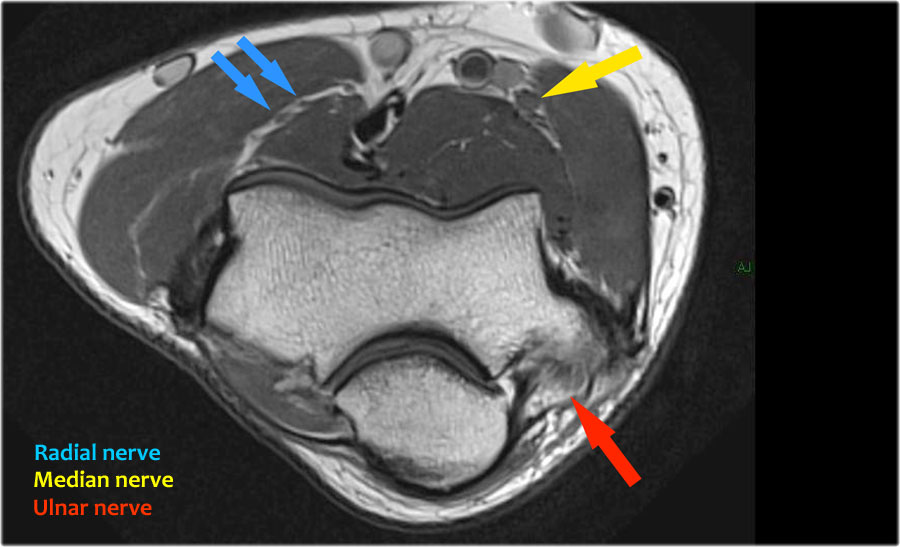
Radial nerve
Dây thần kinh quay có thể được xác định rõ nhất ở mức chỏm xương quay, nơi có thể quan sát thấy các nhánh nông và nhánh sâu trong ống xương quay (mũi tên).
This is a very consistent place to find the radial nerve.
Các nhánh quay sâu tạo thành thần kinh gian cốt sau xuyên qua cơ ngửa tại cung Frohse (mũi tên).
Hãy quan sát các hình ảnh này và sau đó tiếp tục đọc.
Những phát hiện là gì?
The findings are:
- Trên hình ảnh T1W phía trên bên trái, có tín hiệu cao của mỡ trong các cơ duỗi kèm theo giảm thể tích cơ, điều này cho thấy teo cơ mỡ hóa.
- Hình ảnh cắt ngang ở góc trên bên phải cho thấy một khối u nằm gần hơn trong cơ ngửa.
- The sagittal images confirm that this is a lipoma.
Vì vậy, tình trạng teo cơ là kết quả của sự chèn ép dây thần kinh gian cốt sau, là một nhánh của dây thần kinh quay.
Median nerve
Dây thần kinh giữa đi xuống phía sau Lacertus fibrosis, là cân cơ của cơ nhị đầu và xuyên qua cơ sấp tròn.
Denervation
Bệnh lý thần kinh có thể biểu hiện dưới dạng dày lên của dây thần kinh khi có viêm thần kinh hoặc do chèn ép dây thần kinh.
Dấu hiệu thứ phát của bệnh lý thần kinh là mất phân bố thần kinh với phù nề và/hoặc teo cơ.
Trong trường hợp này có teo mãn tính với tín hiệu cao trên T1, đây là tình trạng không hồi phục.
Trong giai đoạn mất thần kinh chi phối sớm hoặc bán cấp, dấu hiệu nổi bật là phù nề với tín hiệu cao trên ảnh T2W và có thể hồi phục.
Đây là bệnh nhân nam 48 tuổi mắc hội chứng Marfan, khởi phát đột ngột yếu tay phải.
Đây là một ví dụ điển hình về mất phân bố thần kinh bán cấp.
Lưu ý trên ảnh T1W không có teo cơ.
Chỉ có phù nề trên ảnh T2W.
Nguyên nhân là do bệnh lý thần kinh quay đoạn gần.
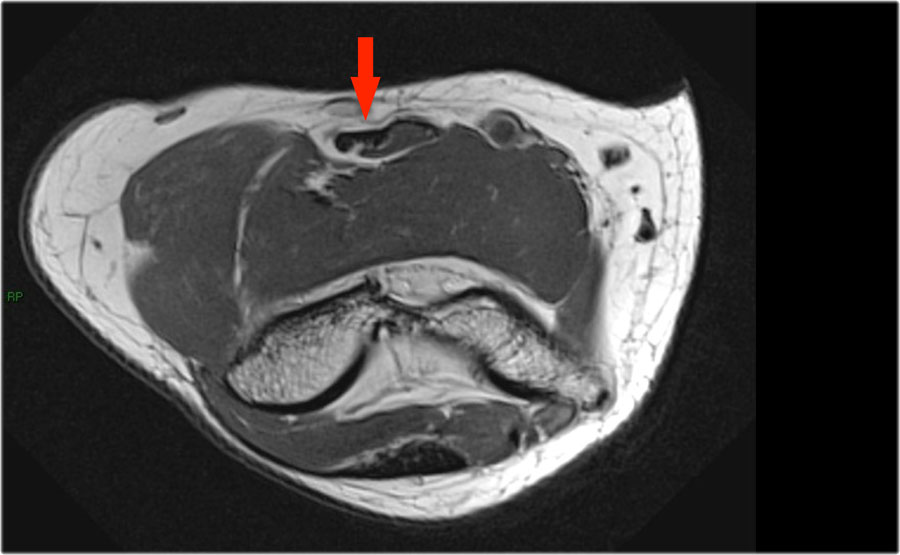
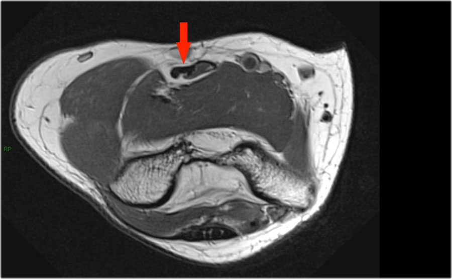
Soft Tissue Masses
Xung quanh khuỷu tay có thể xuất hiện tất cả các loại khối mô mềm, tương tự như những khối cũng được thấy ở các vị trí khác.
Nếu bạn không thể đưa ra chẩn đoán cụ thể, hãy gọi khối u là không xác định và tiến hành sinh thiết, vì trong nhiều trường hợp bạn không thể xác định được chẩn đoán.
Hình ảnh cho thấy một tổn thương hình bầu dục, trông giống như u bao thần kinh, vì nó có hình dạng thuôn dài và có vẻ như đi theo đường thần kinh, nhưng hóa ra lại là u sarcôm hoạt dịch ở một bé trai 11 tuổi.
Chỉ đưa ra chẩn đoán khi bạn chắc chắn về một chẩn đoán cụ thể như viêm túi hoạt dịch, dị dạng động tĩnh mạch, u mỡ, viêm màng hoạt dịch tế bào khổng lồ sắc tố hoặc nang hay tụ máu.
Đây là bệnh nhân nam 37 tuổi đến khoa cấp cứu với triệu chứng đau, sưng và một khối u ở khuỷu tay trái đã tăng dần trong 3 tuần qua.
Trên MRI thấy một khối ngay phía trên mỏm trên lồi cầu trong, nơi các hạch bạch huyết trên ròng rọc tồn tại.
Khối này rất không đồng nhất cũng như sự ngấm thuốc tương phản.
Dựa trên các kết quả MRI, bạn vẫn phải gọi khối này là chưa xác định được bản chất.
Chẩn đoán cuối cùng là bệnh mèo cào dựa trên hiệu giá kháng thể Bartonella henselae cao.
Đây là hình ảnh của một nữ bệnh nhân 26 tuổi cũng đến khám với khối u ở vùng quanh ròng rọc.
It looks quite homogeneous and cystic.
Continue with the post-Gd image.
Lưu ý sự tăng cường tín hiệu không đồng nhất trên MRI và mạch máu nội tại nổi bật trên hình ảnh siêu âm mặt phẳng đứng dọc.
Vì vậy, đây không phải là khối u dạng nang.
Một lần nữa, trường hợp này được chẩn đoán là không xác định.
The final diagnosis at biopsy was Lymphoma.
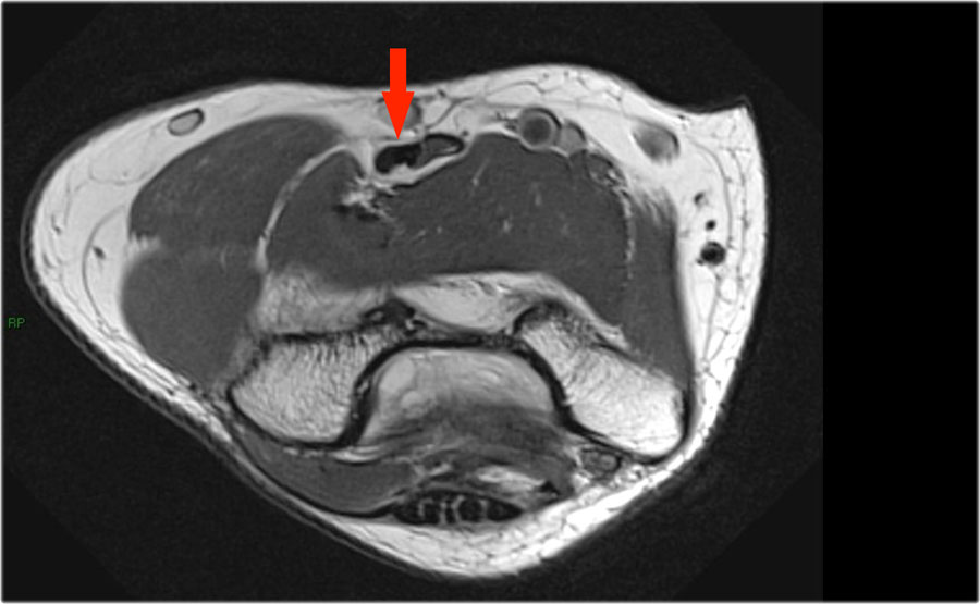
Dưới đây là một số hình ảnh bổ sung của khối u có hình thái tương tự u bao thần kinh, nhưng cuối cùng được xác định là sarcoma hoạt dịch.































































































































































































