Hướng dẫn Fleischner 2017
Ngày xuất bản
Các nốt phổi thường được phát hiện tình cờ trên CT ngực.
Vai trò của bác sĩ chẩn đoán hình ảnh là phân biệt giữa các tổn thương lành tính và các tổn thương có khả năng ác tính, đồng thời tư vấn về theo dõi hình ảnh hoặc các kỹ thuật hình ảnh xâm lấn bổ sung.
Bài viết này tóm tắt những kiến thức cơ bản về các nốt phổi chưa xác định được bản chất, và trình bày các khuyến nghị quản lý mới nhất của Hội Fleischner.
Giới thiệu
Các nốt phổi có thể được phân chia thành tổn thương đặc và tổn thương bán đặc, trong đó tổn thương bán đặc có thể được phân loại thêm thành nốt bán đặc một phần và nốt kính mờ thuần túy.
Một số định nghĩa:
- Nốt bán đặc (SSN)
Nốt phổi có hình ảnh kính mờ ít nhất một phần - Kính mờ
Vùng mờ có tỷ trọng cao hơn mô xung quanh, không che khuất các cấu trúc phế quản-mạch máu bên dưới
Hướng dẫn Fleischner 2017
Giới thiệu
Năm 2017, hướng dẫn cập nhật của Hội Fleischner đã được công bố[1].
Hướng dẫn này thay thế các khuyến nghị trước đây về nốt phổi đặc (2005) [2] và nốt phổi bán đặc (2013) [3].
Các hướng dẫn mới này nhằm mục đích giảm số lượng các lần theo dõi không cần thiết và đưa ra các quyết định xử trí rõ ràng hơn.
Việc đặc trưng hóa nốt phổi nên được thực hiện trên các lát cắt CT mỏng ≤1,5 mm, vì một nốt đặc nhỏ có thể có hình ảnh giảm tỷ trọng dạng kính mờ trên lát cắt dày do hiệu ứng thể tích riêng phần.
Nốt đặc
Các nốt phổi đặc có thể có nhiều nguyên nhân khác nhau:
- U hạt lành tính
- Sẹo khu trú
- Hạch bạch huyết trong phổi
- Ung thư nguyên phát
- Bệnh di căn.
Nốt cạnh rãnh liên thùy là một thực thể riêng biệt, vì chúng thường đại diện cho các hạch bạch huyết trong phổi, vốn là lành tính và không cần theo dõi.
Chúng được thảo luận trong chương cuối.
Trong một bài viết khác, chúng tôi đã trình bày một số đặc điểm có thể giúp phân biệt giữa tổn thương lành tính và ác tính (nhấp vào đây)
Thật không may, có sự chồng lấp đáng kể và thường không thể đưa ra câu trả lời dứt khoát dựa trên hình thái học hình ảnh.
Do đó, theo dõi là một chiến lược thường được áp dụng.
Nốt bán đặc
Hầu hết các nốt bán đặc là thoáng qua và là kết quả của nhiễm trùng hoặc xuất huyết.
Tuy nhiên, các nốt bán đặc tồn tại dai dẳng thường đại diện cho bệnh lý trong phổ ung thư biểu mô tuyến.
Không thể phân biệt đáng tin cậy trên hình ảnh học, mặc dù các nghiên cứu cho thấy kích thước lớn hơn và thành phần đặc có liên quan đến hành vi xâm lấn hơn.
So với các tổn thương đặc, các nốt bán đặc tồn tại dai dẳng có tốc độ tăng trưởng chậm hơn nhiều, nhưng mang nguy cơ ác tính cao hơn nhiều.
Trong một nghiên cứu của Henschke và cộng sự, các nốt bán đặc một phần có tỷ lệ ác tính là 63%, nốt kính mờ thuần túy là 18% và nốt đặc chỉ là 7% [4].
Các nốt bán đặc trong phổ ung thư biểu mô tuyến trước đây được gọi là ung thư biểu mô phế quản phế nang hay BAC.
Thuật ngữ này không còn được sử dụng nữa.
Một phân loại mới dựa trên giải phẫu bệnh cho ung thư biểu mô tuyến đã được giới thiệu vào năm 2011 và phân loại hiện tại này phân biệt giữa:
- Ung thư biểu mô tuyến tại chỗ.
- Ung thư biểu mô tuyến xâm lấn tối thiểu.
- Ung thư biểu mô tuyến xâm lấn.
Các nốt bán đặc thoáng qua thường đại diện cho nhiễm trùng hoặc xuất huyết phế nang.
Để phân biệt giữa nốt bán đặc thoáng qua hay tồn tại dai dẳng, cần thực hiện CT theo dõi.
Trước đây, khuyến nghị là chụp lại sau 3 tháng, tuy nhiên khoảng thời gian này đã được tăng lên 12 tháng.
Do tốc độ tăng trưởng chậm hơn, tổng thời gian theo dõi đối với các nốt bán đặc tồn tại dai dẳng đã được tăng lên 5 năm.
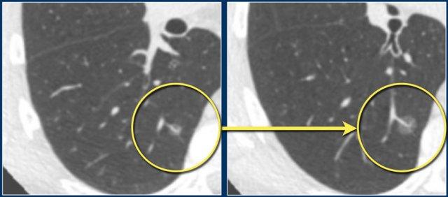
Các hình ảnh cho thấy một nốt bán đặc kính mờ thuần túy 7 mm ở thùy trên phổi phải.
Trên CT theo dõi, nốt này được xác nhận là nốt bán đặc thoáng qua.
Các hình ảnh này cho thấy một nốt bán đặc kính mờ thuần túy ở thùy dưới phổi phải.
Tổn thương này cho thấy sự tăng trưởng trong khoảng thời gian hai năm và được xác nhận là ác tính sau khi phẫu thuật cắt bỏ.
Các yếu tố nguy cơ
Việc xác định nguy cơ cao hay thấp hiện nay khó khăn hơn so với hướng dẫn cũ.
Trước đây, đối tượng nguy cơ cao được xác định dựa trên tiền sử hút thuốc lá nặng, tiền sử ung thư phổi ở người thân thế hệ thứ nhất hoặc phơi nhiễm với amiăng, radon hoặc uranium.
Hiện nay, mục tiêu là phân tách các tổn thương nguy cơ cao khỏi nguy cơ thấp bằng cách xem xét nhiều thông số hơn là chỉ dựa vào đặc điểm của đối tượng (Xem Bảng).
Do các yếu tố nguy cơ này rất nhiều và có tác động khác nhau đến nguy cơ ác tính, người ta đề xuất đánh giá các phân loại nguy cơ cuối cùng liên quan đến xác suất ác tính [8] (Bảng).
Ghi chú
Hướng dẫn khuyến nghị theo dõi đối với các nốt có nguy cơ ung thư phổi ước tính khoảng 1% hoặc cao hơn, đây là một ngưỡng cắt tùy ý.
Khả năng ác tính khác nhau đối với một nốt phổi được phát hiện tình cờ ở thùy dưới của bệnh nhân tương đối trẻ so với một nốt ở thùy trên của người hút thuốc nặng có nguy cơ cao, hoặc ở bệnh nhân có bệnh ác tính đã biết hoặc nghi ngờ.
Vì lý do này, hướng dẫn Fleischner về quản lý nốt phổi phân tách nguy cơ cao và thấp, và không áp dụng cho các đối tượng dưới 35 tuổi, bệnh nhân suy giảm miễn dịch hoặc bệnh nhân ung thư [1].
Đo lường Nốt Phổi
Trong các hướng dẫn Fleischner, kích thước nốt có thể được đo bằng phép đo thủ công 2D bằng thước kẹp hoặc đo thể tích nốt 3D.
Phép đo thủ công 2D bằng thước kẹp nên dựa trên giá trị trung bình của đường kính trục dài và trục ngắn của nốt.
Các số đo này nên được thực hiện trên cùng một ảnh tái tạo mặt phẳng ngang, mặt phẳng vành hoặc mặt phẳng đứng dọc, tùy theo mặt phẳng nào cho thấy kích thước lớn nhất [1].
Đây là điểm mới so với hướng dẫn trước, trong đó kích thước được tính trung bình chỉ trên mặt phẳng trục [2].
Phép đo thủ công 2D bằng thước kẹp nên được làm tròn đến milimét nguyên gần nhất.
Đối với các nốt bán đặc một phần, cả kích thước toàn bộ nốt lẫn kích thước thành phần đặc đều cần được đo riêng biệt, đều sử dụng kỹ thuật lấy trung bình nêu trên.
Nốt cạnh rãnh liên thùy
Nốt cạnh rãnh liên thùy là một thực thể riêng biệt, và có khả năng đại diện cho các hạch bạch huyết trong phổi.
Về mặt hình thái, đây là các nốt đặc, đồng nhất với bờ nhẵn, có hình bầu dục hoặc tròn, hình thấu kính hoặc hình tam giác.
Vị trí của chúng nằm trong vòng 15 mm so với rãnh liên thùy hoặc màng phổi. Chúng có thể có hoặc không có tiếp xúc với vách liên tiểu thùy.
Đặc điểm sau phân biệt giữa PFN điển hình và không điển hình (xem Hình).
PFN có thể cho thấy tốc độ tăng trưởng đáng kể trên hình ảnh theo dõi liên tiếp, đôi khi tương đương với các nốt ác tính.
Đây không phải là dấu hiệu điển hình của ác tính, mà chỉ là kết quả của nguồn gốc bạch huyết được cho là của chúng.











![PFN điển hình. Hình ảnh từ Tài liệu tham khảo [Hoop].](https://pub-27adeeaa69d549899ffb68321042a883.r2.dev/assets/d1fb9a4b996d4588831d99060570dcf6462aaafe.jpg)