Hội chứng động mạch chủ cấp
Thuật ngữ Hội chứng Động mạch chủ Cấp tính (AAS) được dùng để mô tả ba thực thể cấp cứu có liên quan chặt chẽ với nhau của động mạch chủ ngực: Bóc tách Động mạch chủ điển hình (AD), Tụ máu Trong thành (IMH) và Loét Xơ vữa Xuyên thành (PAU).
Về mặt lâm sàng, các tình trạng này không thể phân biệt được với nhau.
CT là phương thức chẩn đoán hình ảnh chính xác nhất cho chẩn đoán ban đầu, phân biệt và phân giai đoạn.
Bài tổng quan này sẽ thảo luận về các đặc điểm hình ảnh và những bẫy chẩn đoán quan trọng.
Quy Trình Chụp Hình Ảnh
Quy trình chụp hình ảnh sẽ được xây dựng dựa trên loại máy chụp hiện có.
Quy trình chụp hình ảnh của chúng tôi dựa trên máy CT xoắn ốc 4 lát cắt.
Để đánh giá bệnh nhân nghi ngờ AAS, chúng tôi sử dụng kỹ thuật chuẩn trực 4×2,5 mm
với tái tạo trục 5 mm và các MPR theo mặt phẳng vành, đứng dọc và chếch.
Một lần chụp không tiêm thuốc cản quang của động mạch chủ ngực được thực hiện để phát hiện tụ máu trong thành (IMH).
Tiếp theo là chụp có tiêm thuốc cản quang của động mạch chủ trong thì động mạch với kỹ thuật kích hoạt bolus và trong thì tĩnh mạch (100 ml Visipaque, 3ml/giây).
Sự khác biệt về thuốc cản quang giữa thì động mạch và thì tĩnh mạch có thể hữu ích trong việc phân biệt lòng thật và lòng giả.
Đường chậu được đưa vào để đánh giá khả năng điều trị nội mạch.
Các nhánh của quai động mạch chủ được hiển thị để đánh giá mức độ lan rộng của bóc tách và nhận thức về các biến chứng thần kinh có thể xảy ra.

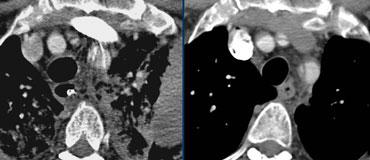
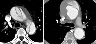
Bóc tách type A lan vào các động mạch thân cánh tay đầu. TRÁI: Không thấy khi tiêm ở tay trái. PHẢI: Cùng bệnh nhân khi tiêm ở tay phải.
Có thể giảm đáng kể xảo ảnh và do đó giảm thiểu các bẫy chẩn đoán bằng cách:
- Tiêm thuốc cản quang ở tay PHẢI: không có thuốc cản quang đi qua phía trước các nhánh bên của quai động mạch chủ, tránh làm méo hình ảnh vạt nội mạc (hình minh họa)
- Bơm đuổi bằng nước muối sinh lý (chỉ có thuốc cản quang trong các lòng mạch cần quan tâm)
- Chụp đồng bộ điện tâm đồ (giảm xảo ảnh chuyển động giả vạt nội mạc)
Cũng cần lưu ý rằng việc đặt vùng quan tâm (ROI) có thể khó khăn với các lòng mạch bị bóc tách (nên đặt ngay phía xa quai động mạch chủ).
Hãy chuẩn bị để kỹ thuật viên có thể khởi động thủ công dựa trên phản hồi trực quan.
Phân Loại Hội Chứng Động Mạch Chủ Cấp Tính
Bóc tách Động mạch chủ điển hình (AD), Tụ máu Trong thành (IMH) và Loét Xơ vữa Xuyên thành (PAU) là các thực thể riêng biệt nhưng có liên quan chặt chẽ với nhau.
Điều này được phản ánh qua chiến lược điều trị giống nhau của chúng.
Mục tiêu chính của bác sĩ chẩn đoán hình ảnh không chỉ là phát hiện thực thể nào đang gây ra vấn đề lâm sàng, mà quan trọng hơn là phân biệt giữa type A và type B!
Phân loại Stanford
Hội chứng Động mạch chủ Cấp tính (AAS) được phân loại theo Stanford.
Stanford Type A là các tổn thương liên quan đến động mạch chủ lên và quai động mạch chủ, có thể hoặc không liên quan đến động mạch chủ xuống.
Stanford Type B là các tổn thương liên quan đến động mạch chủ ngực phía xa động mạch dưới đòn trái.
Phân loại Stanford đã thay thế phân loại DeBakey (type I = động mạch chủ lên, quai và xuống; type II = chỉ động mạch chủ lên; type III = chỉ động mạch chủ xuống).
Các lựa chọn điều trị cho 2 phân nhóm của hội chứng động mạch chủ cấp tính (AAS) rất khác nhau:
– Stanford type A sẽ được điều trị bằng phẫu thuật hoặc can thiệp nội mạch.
– Stanford Type B sẽ được điều trị nội khoa.
Bóc Tách Động Mạch Chủ (AD)
Bóc tách Động mạch chủ điển hình là thực thể phổ biến nhất gây ra hội chứng động mạch chủ cấp tính (70%).
- Tỷ lệ mắc: 1-10 : 100.000
- chủ yếu ở nam giới
- hiếm gặp
- tăng huyết áp > 70%
- Tỷ lệ tử vong Type A 1-2% mỗi giờ sau khi khởi phát triệu chứng, tổng cộng lên đến 90% nếu không điều trị, 40% khi được điều trị.
- Tỷ lệ sống sót 1 năm của Type B lên đến 85% nếu được điều trị nội khoa (5 năm > 70%)

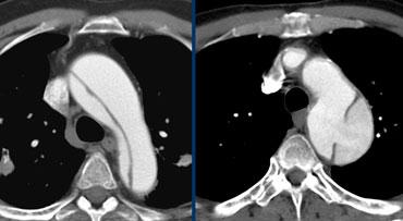
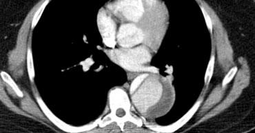
TRÁI: Bóc tách Type A với vạt nội mạc rõ ràng thấy trong quai động mạch chủ. PHẢI: Bóc tách Type B. Điểm vào phía xa động mạch dưới đòn trái.
Các quyết định xử trí dựa trên các thông tin sau:
- Type A hay Type B
- Vị trí điểm vào & điểm ra
- Các nhánh bên liên quan, xuất phát từ lòng thật / lòng giả
- Các cơ quan có nguy cơ (1/3 tỷ lệ tử vong do suy tạng)
- Biến chứng (vỡ, tắc động mạch vành, hở van động mạch chủ, thần kinh)
- Đường kính của lòng thật và lòng giả tại: vùng hạ cánh gần và xa, tại điểm vào và tại vị trí hẹp nhất
- Độ xoắn vặn của mạch chậu

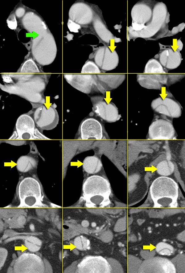
Bóc tách Type B. Mũi tên xanh lá chỉ điểm vào. Lòng giả được chỉ bởi các mũi tên vàng và thấy xoắn quanh lòng thật.
Đặc điểm hình ảnh
Trong bóc tách động mạch chủ, vạt nội mạc chỉ thấy trong 70% trường hợp.
Khi có 2 lòng mạch, chúng sẽ xoắn quanh nhau (hình minh họa).
Bên trái là các hình ảnh liên tiếp của một bóc tách Type B.
Lòng thật được bao quanh bởi các vôi hóa.
Lòng thật nhỏ hơn vì lòng giả chèn ép quanh lòng thật do áp lực tâm thu liên tục (gọi là dấu hiệu Mỏ chim – Beak-sign).
Huyết khối luôn nằm trong lòng giả, lòng này ngấm thuốc muộn hơn lòng thật.
Lòng thật:
- Được bao quanh bởi các vôi hóa (nếu có)
- Nhỏ hơn lòng giả
- Thường là nguồn gốc của thân tạng, động mạch mạc treo tràng trên (SMA) và động mạch thận phải
Lòng giả:
- Có dòng chảy hoặc bị tắc bởi huyết khối (mạn tính).
- Ngấm thuốc muộn
- Chèn ép quanh lòng thật (dấu hiệu mỏ chim)
- Các mảnh còn lại của lớp áo giữa dạng collagen (dấu hiệu mạng nhện – cobwebs)
- Lớn hơn lòng thật
- Cấu hình hình tròn (áp lực tâm thu liên tục)
- Bờ cong ngoài của quai động mạch chủ
- Thường là nguồn gốc của động mạch thận trái
- Bao quanh lòng thật trong bóc tách Type A
Bên trái thấy hình ảnh bóc tách động mạch chủ với lòng giả lớn.
Lòng thật bị chèn ép thấy ở phía trong và sáng hơn lòng giả.
Hình thành huyết khối trong lòng giả.
Lòng thật thường nhỏ hơn vì lòng giả chèn ép quanh lòng thật do áp lực tâm thu liên tục.
Lòng giả thường bám vào bờ cong ngoài của quai động mạch chủ, như thấy trong trường hợp này.
Các mảnh còn lại của lớp áo giữa dạng collagen (dấu hiệu mạng nhện) chỉ thấy trong lòng giả.
Điều tương tự cũng đúng với huyết khối.
Nếu một trong các lòng mạch bị bao quanh bởi lòng kia, thì đó chắc chắn là lòng thật.
Điều này hầu như chỉ xảy ra trong bóc tách type A.
Các hình ảnh bên trái đều cho thấy bóc tách type A với điểm vào rõ ràng ở động mạch chủ lên.
Lòng thật được bao quanh bởi lòng giả, lòng giả lớn hơn và chèn ép quanh lòng thật do áp lực tâm thu liên tục.
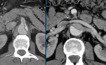
Bóc tách vào các động mạch thân cánh tay đầu
Cần xác định cẩn thận các nhánh nào của quai động mạch chủ bị liên quan.
Đảm bảo xác định chúng xuất phát từ lòng mạch nào.

Trái: Bóc tách tiếp tục vào thân tạng cho thấy lòng giả lớn hơn, đóng góp đáng kể vào tưới máu tạng. Phải: Liên quan đến SMA và động mạch thận, minh họa nguyên nhân có thể gây thiếu tưới máu tạng.
Bóc tách vào các động mạch bụng
Dòng chảy của thân tạng, SMA và động mạch thận phải thường xuất phát từ lòng thật.
Dòng chảy của động mạch thận trái chủ yếu xuất phát từ lòng giả.
Tưới máu kém đến các cơ quan đích có thể do 2







