Hội chứng chèn ép đùi-ổ cối
- Symptoms in young individuals
- Clinical signs at physical
examination - Characteristic radiological findings
Bài
viết này sẽ tập trung vào các phát hiện hình ảnh học liên quan đến hội chứng FAI.
Introduction
Với hình thái khớp háng bình thường, có sự tương hợp tốt trong tất cả
các loại cử động của khớp háng. Nếu một khớp háng có hình thái bình thường được di chuyển đến
biên độ vận động tối đa vượt quá giới hạn sinh lý thì ngay cả khớp háng bình thường cũng có thể bị xung đột.
Video về Cam và Pincer
Video này minh họa cách các hình thái Cam và Pincer có thể dẫn đến xung đột khớp háng.
Trong video này, chỉ có các cấu trúc xương được mô tả. Tuy nhiên, điều quan trọng cần hiểu là hội chứng chèn ép cũng ảnh hưởng đến sụn viền và vành sụn khớp, có thể dẫn đến rách sụn viền và mất sụn khu trú.
Điều quan trọng cần nhận thức là để chẩn đoán hội chứng xung đột khớp háng đùi-ổ cối (FAI), bệnh nhân phải có sự kết hợp của các yếu tố sau: các triệu chứng đau và đôi khi giảm biên độ vận động khớp háng, các dấu hiệu lâm sàng dương tính khi thăm khám khớp háng, và các hình ảnh học điển hình.
Vì mỗi phát hiện đơn lẻ này đều không đặc hiệu, chẩn đoán hội chứng FAI
đòi hỏi sự kết hợp của chúng. Điều quan trọng cần lưu ý là không tồn tại
FAI không triệu chứng dựa trên hình ảnh học đơn thuần. Hình ảnh học mô tả hình thái của
khớp háng
Trong kiểu
Cam, chỏm xương đùi có hình dạng bất thường, thường có hình bầu dục hơn là hình cầu, gây ra sự tiếp xúc bất thường với ổ cối.
Điều này có thể dẫn đến tổn thương sụn và đau hông, đặc biệt trong
các hoạt động liên quan đến xoay hoặc gấp khớp háng.
Hình thái Cam đặc biệt phổ biến ở các vận động viên khỏe mạnh.
Trong các nghiên cứu về cầu thủ bóng đá chuyên nghiệp không có triệu chứng đau, hình thái Cam
được quan sát thấy ở 60–80% người tham gia, so với 20–25% ở nhóm
chứng.
Symptoms
Các triệu chứng của hội chứng FAI là đau hông hoặc đau bẹn phía trước ở mức độ vừa đến nặng.
Bệnh nhân thường chỉ vị trí đau bằng cách tạo hình “dấu C” với bàn tay, do cơn đau nằm sâu bên trong khớp hông.
Các triệu chứng trở nên nặng hơn khi chơi các môn thể thao đa hướng cũng như khi ngồi xổm, leo cầu thang và ngồi lâu.
Việc đưa hông vào tư thế gấp sâu và xoay trong có thể làm tăng cơn đau.
Clinical signs
Các nghiệm pháp xung đột khớp háng thường tái hiện cơn đau điển hình của bệnh nhân.
Thường có giới hạn tầm vận động khớp háng, đặc biệt là hạn chế xoay trong khi gấp, nhất là khi so sánh với bên đối diện.
Nghiệm pháp FABER là gấp kết hợp với dạng và xoay ngoài –
nghiệm pháp này đôi khi có thể tái hiện cơn đau.
Nghiệm pháp được sử dụng phổ biến nhất là nghiệm pháp FADIR với gấp, khép và
xoay trong.
Các nghiệm pháp này có độ nhạy cao nhưng độ đặc hiệu không cao, do đó các
triệu chứng điển hình và hình ảnh học cũng cần phải có để chẩn đoán
hội chứng FAI.
AP and Dunn view
Tư thế thẳng (AP)
Tư thế chụp trước-sau (AP) của khung chậu đóng vai trò quan trọng trong việc xác định các bất thường xương, đánh giá khe khớp, đo các góc quan trọng và xác định sự thẳng trục tổng thể của khung chậu, tất cả đều góp phần vào chẩn đoán hội chứng xung đột khớp háng-ổ cối.
Tuy nhiên, tư thế này thường được sử dụng kết hợp với các tư thế chụp khác để đánh giá toàn diện hơn.
Tư thế Dunn
Tư thế Dunn là tư thế chụp nghiêng giúp hiển thị rõ vùng tiếp nối chỏm-cổ xương đùi theo góc độ thường không thấy được trên các tư thế tiêu chuẩn như tư thế thẳng trước-sau (AP) hoặc tư thế nghiêng. Tư thế này được thực hiện bằng cách cho bệnh nhân nằm ngửa với háng bên tổn thương gấp khoảng 45° và dạng 20° đến 30° ở tư thế xoay trung tính.
Tư thế này cho phép quan sát rõ hơn mặt trên-trước của vùng tiếp nối chỏm-cổ xương đùi, vốn thường khó đánh giá trên các tư thế tiêu chuẩn và là vị trí hay gặp nhất của biến dạng dạng cam.
Hình ảnh
Vận động viên thể dục dụng cụ 20 tuổi với các triệu chứng ở hông.
Trên phim chụp AP, vùng đầu-cổ xương đùi trông bình thường.
Trên phim chụp tư thế Dunn, có hình thái Cam ở cả hai bên (mũi tên).
WEA and CEA measurement (video)
Video này hướng dẫn bạn cách đo các góc W-CEA và L-CEA. Nhấp vào video để xem ở chế độ phóng to.
W-CEA
W-CEA là góc giữa đường thẳng đứng đi qua tâm chỏm xương đùi và đường thẳng đến bờ ngoài của vòm ổ cối, đây là vùng chịu lực và đặc của phần trên ổ cối.
Góc này đại diện cho độ che phủ phần trên-trước, có liên quan nhiều hơn đến FAI.
L-CEA
L-CEA là góc trung tâm-cạnh bên, được đo đến bờ ổ cối ngoài xa và đại diện cho độ che phủ trên-ngoài.
Đôi khi các phép đo này trùng nhau.
Cam morphology
Hình thái Cam đề cập đến một phần lồi xương lành tính phát triển tại chỗ nối chỏm-cổ xương đùi của khớp háng, thường kết hợp với tình trạng mất hình cầu của chỏm xương đùi.
Hình thái này phát triển trong giai đoạn thanh thiếu niên và không xuất hiện sau khi đầu xương đùi đã trưởng thành. Nó gây ra tình trạng chỏm và cổ xương đùi va chạm vào ổ cối, dẫn đến tổn thương sụn viền và sụn khớp, có thể gây đau khớp háng, đặc biệt khi thực hiện các hoạt động liên quan đến xoay hoặc gấp khớp háng.
Có nhiều tuyên bố đồng thuận quốc tế khuyến nghị sử dụng thuật ngữ hình thái Cam. Các thuật ngữ như tổn thương Cam, lồi xương, hoặc biến dạng báng súng nên được tránh sử dụng, vì hình thái này cũng có thể xuất hiện ở nhiều vận động viên không có triệu chứng.
Khi quan sát thấy một phần lồi xương hoặc độ lồi xương, như được minh họa trong hình, có thể gọi đây là hình thái Cam.
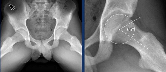
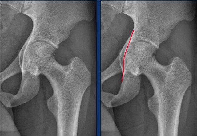
Góc alpha
Góc
alpha được đo bằng cách vẽ một đường tròn qua chỏm xương đùi, một đường thẳng
từ tâm cổ xương đùi đến tâm chỏm xương đùi, và sau đó
một đường thẳng từ tâm chỏm xương đùi đến điểm giao nhau giữa chỗ nối chỏm-cổ xương đùi với đường tròn.
Nếu góc từ 60 độ trở lên, có thể được phân loại là hình thái Cam.
Phép đo này có thể được sử dụng trên cả hình ảnh thông thường lẫn
hình ảnh cắt lớp – trong đó hình ảnh cắt lớp có độ nhạy cao hơn.
Ngưỡng giá trị gần đây đã được tăng lên 60 độ để tăng tính đặc hiệu.
Độ lệch
Ngoài ra, độ lệch cũng có thể được đo trên hình ảnh cắt ngang (CT hoặc MRI).
Để thực hiện điều này, một đường thẳng được vẽ ở phía trước của chỏm xương đùi, song song với cổ xương đùi.
Nếu khoảng cách giữa đường thẳng này và phía trước của cổ xương đùi nhỏ hơn 8 mm, có thể được phân loại là hình thái Cam.
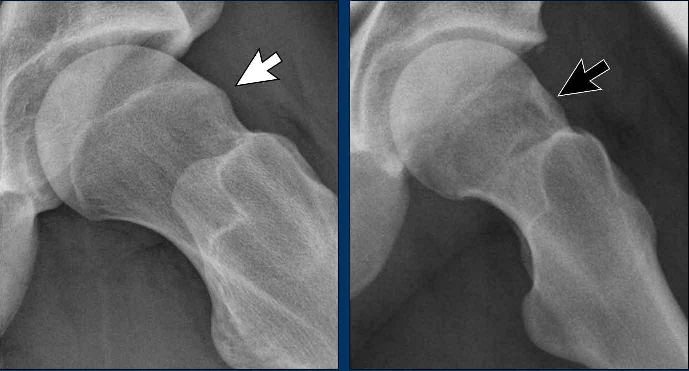
Alpha angle measurement
Hông bình thường có góc alpha nhỏ hơn 60º.
Hông có hình thái Cam có góc alpha lớn hơn 60º.
Tất nhiên, khi hình thái Cam rõ ràng như trong trường hợp này, các
phép đo này là không cần thiết trong thực hành lâm sàng.
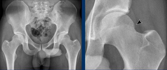
Đây là một trường hợp hình thái Cam khá tinh tế ở một nam giới trẻ tuổi.
Lưu ý rằng sụn tăng trưởng mào chậu chưa đóng lại (mũi tên).
Images
Two examples of Cam morphology.
Pincer morphology
Hình thái dạng kẹp được đặc trưng bởi sự định hướng bất thường hoặc hình dạng bất thường của ổ cối, chẳng hạn như ổ cối ngược chiều hoặc lồi ổ cối. Điều này dẫn đến sự che phủ quá mức hoặc bất thường của chỏm xương đùi, có thể gây ra xung đột.
Nghịch xoay ổ cối
Ổ cối bình thường có hướng xoay trước (hình minh họa), nghĩa là phần mở rộng hơn ở phía trước so với phía sau. Trên phim X-quang, thành trước chiếu về phía trong so với thành sau.
Trong nghịch xoay ổ cối, ổ cối có hướng bất thường,
dẫn đến che phủ quá mức chỏm xương đùi ở phía trước, có thể
gây ra xung đột trong quá trình gấp và xoay trong. Trong những trường hợp này,
bệnh nhân thường có biên độ xoay ngoài lớn khi
thăm khám lâm sàng. Ngoài ra, gai ngồi sẽ chiếu về phía trong nhiều hơn (dấu hiệu gai ngồi).
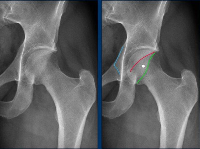
Góc nghiêng trước bình thường của ổ cối
Đây là hình ảnh chi tiết của khớp háng trái bình thường trên phim X-quang khung chậu tư thế thẳng.
Các số đo này luôn phải được đánh giá trên phim X-quang khung chậu chứ không phải phim chụp tập trung vào một khớp háng đơn lẻ.
Do hướng nghiêng trước bình thường của ổ cối, bờ thành trước (đường đỏ) chiếu về phía trong so với thành sau (đường xanh lá), tức là không có hiện tượng giao thoa.
Thành sau nhô ra ngoài đến trung tâm của chỏm xương đùi, tức là không có dấu hiệu thành sau.
Gai ngồi (đường màu xanh) không nhô ra phía trong, tức là không có dấu hiệu gai ngồi.
Nghịch chiều ổ cối
Trên phim X-quang, các dấu hiệu của nghịch chiều ổ cối bao gồm:
Dấu hiệu giao chéo – thành trước (đặc biệt là phần trên) chiếu ra ngoài so với thành sau.
Dấu hiệu thành sau – thành sau chiếu vào trong so với tâm của chỏm xương đùi.
Dấu hiệu gai ngồi – gai ngồi chiếu vào trong nhiều hơn bình thường.
Nếu chỉ có dấu hiệu giao chéo dương tính, được gọi là kẹp cục bộ (anterosuperior).
Khi
cả dấu hiệu thành sau và dấu hiệu gai ngồi cũng dương tính,
được phân loại là kẹp toàn bộ/lật ngược ổ cối.
Đây là chi tiết của một X-quang Khung chậu tư thế thẳng (AP).
Trước tiên hãy quan sát kỹ hình ảnh.
Then scroll to the next image.
Findings
- Dấu hiệu giao chéo – phần trên của thành trước ổ cối (đường đỏ) kéo dài ra ngoài vượt qua thành sau ổ cối.
- Dấu hiệu thành sau – thành sau nhô ra phía trong so với trung tâm của chỏm xương đùi.
- Dấu hiệu gai ngồi – gai ngồi nhô vào trong nhiều hơn bình thường (đường màu xanh).
Những
phát hiện này phù hợp với hình thái kẹp toàn bộ do nghịch chuyển ổ cối.
Notice that there is also some cam-morphology.
Đây là một ví dụ khác về hình thái dạng kẹp trên hình ảnh được phóng to từ
phim X-quang khung chậu tư thế AP.
Có dấu hiệu giao chéo tinh tế.
Ngoài ra còn có dấu hiệu thành sau và dấu hiệu gai ngồi.
Lưu ý rằng còn có hình thái cam (đường vàng).
Đây là một ví dụ khác về hình thái kiểu kẹp và kiểu cam trên phim X-quang khung chậu tư thế AP.
Cuộn qua các hình ảnh.
Acetabular protrusion
Đường ilio-ischial
Trong lồi cối, ổ cối quá sâu với sự dịch chuyển vào trong và che phủ toàn bộ quá mức chỏm xương đùi. Nếu bờ trong của chỏm xương đùi vượt ra ngoài đường ilio-ischial, tình trạng này được gọi là lồi cối. Đây là một phát hiện không phổ biến ở các vận động viên.
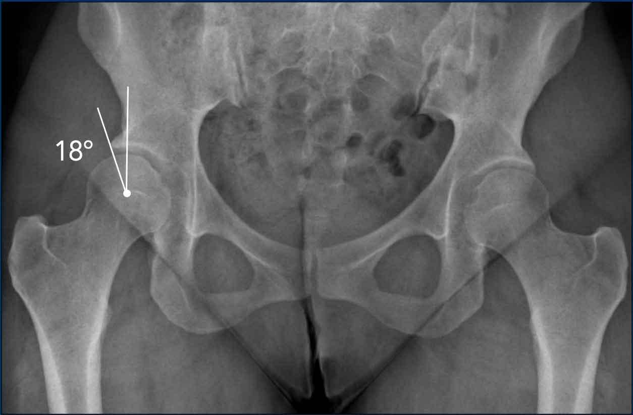
Góc trung tâm-mép (CEA)
Khi đo góc trung tâm-mép (CEA), cần sử dụng ranh giới ngoài của thành trước-trên/bờ ngoài của vòm ổ cối, còn được gọi là góc trung tâm-mép ngoài của Wiberg/W-CEA.
Trên phim X-quang thẳng (AP), có thể xác định điểm này bằng cách sử dụng bờ ngoài của vùng xơ cứng dưới sụn của ổ cối phía trên.
Khi sử dụng bờ ngoài cùng của ổ cối (thường phản ánh bờ của ổ cối trên-ngoài hơn là bờ trước-trên), hay còn gọi là L-CEA, mức độ che phủ có thể bị đánh giá quá cao.
Nếu có tình trạng ngả sau của ổ cối (phần trên), W-CEA và L-CEA có thể bằng nhau.
Nếu góc này bằng hoặc lớn hơn 40 độ, nó được phân loại là
pincer toàn cầu với độ che phủ quá mức của chỏm xương đùi.
Loạn sản ổ cối
Loạn sản ổ cối hông không được nhận biết đôi khi bị nhầm lẫn về mặt lâm sàng với các triệu chứng liên quan đến FAI.
Điều quan trọng là cũng cần báo cáo bất kỳ tình trạng thiếu che phủ hoặc loạn sản tiềm ẩn nào (tức là L-CEA < 20 độ).
Nhiều chuyên gia cho rằng L-CEA từ 20 đến 25 độ là loạn sản giới hạn.
Hình ảnh này của một nam giới 23 tuổi có biểu hiện các triệu chứng liên quan đến hông.
Hình ảnh
Đây là trường hợp lồi cối, trong đó chỏm xương đùi vừa vượt qua
đường chậu ngồi.
Hình ảnh
Kiểu kẹp gọng kìm đơn thuần hai bên (chỉ có hình chụp tư thế AP) với góc W-CEA tăng và dấu hiệu gai ngồi ở bệnh nhân nữ 16 tuổi, đến khám vì các triệu chứng liên quan đến khớp háng.
Treatment
Điều trị bảo tồn
Trong hầu hết các trường hợp, ban đầu người ta cố gắng cải thiện các triệu chứng thông qua điều trị bảo tồn. Phương pháp điều trị này bao gồm việc cung cấp thông tin về nguồn gốc của các triệu chứng, tư vấn tránh các tư thế quá mức. Thường thì việc ngồi ở tư thế gấp háng ít sâu hơn sẽ có ích. Các bài tập tăng cường cơ xung quanh khớp háng được áp dụng. Có thể chú ý đến vị trí của chân và khung chậu trong các động tác thể thao lặp đi lặp lại.
Phẫu thuật nội soi khớp
Nếu các biện pháp này không hiệu quả, có thể cân nhắc can thiệp phẫu thuật. Trước khi phẫu thuật, chụp cộng hưởng từ khớp thường được thực hiện để đánh giá tình trạng của sụn viền và loại trừ các bệnh lý có thể xảy ra khác, chẳng hạn như tổn thương sụn khớp nặng hoặc phù tủy xương vô căn. Các rách sụn viền nhỏ thường không được điều trị, trong khi các rách lớn không ổn định có thể được cắt bỏ hoặc sửa chữa. Trong quá trình phẫu thuật, phần xương thừa của hình thái cam ở phía xương đùi của viền ổ cối có thể được loại bỏ. Quá trình phục hồi chức năng sau phẫu thuật mất nhiều thời gian và thường phải mất ít nhất 9 tháng để trở lại thi đấu thể thao ở cấp độ cao.
Có các thử nghiệm ngẫu nhiên cho thấy phẫu thuật hiệu quả hơn một chút so với liệu pháp bảo tồn. Nhiều vận động viên接受 điều trị vẫn còn một số triệu chứng về lâu dài và không phải tất cả đều có thể trở lại mức độ hoạt động trước đây của họ.
Hình ảnh
Ở một bệnh nhân có hình thái Cam, có thể thấy hiệu quả của việc tạo hình lại vùng tiếp nối đầu-cổ xương đùi (mũi tên).
Examples of FAI
Combination of Cam and Pincer morphology
Những hình ảnh này là của một phụ nữ 28 tuổi tham gia tập CrossFit ở cấp độ chuyên nghiệp. Cô ấy đã có các triệu chứng ở vùng hông trái, cụ thể là ở phía trước, trong suốt một năm qua. Các triệu chứng trở nên nặng hơn khi thực hiện động tác squat và gấp hông.
Khi thăm khám, ghi nhận giảm biên độ gấp háng (đau ở 120°) và hạn chế xoay (giới hạn ở 20° và đau).
Đầu tiên hãy nghiên cứu hình ảnh X-quang.
Sau đó tiếp tục với các hình ảnh chi tiết…
Mặc dù các phát hiện còn tinh tế, nhưng có bằng chứng về hình thái Pincer, được chỉ ra bởi dấu hiệu giao thoa và dấu hiệu gai ngồi.
Sự xoay ngược của ổ cối dẫn đến gai ngồi nổi bật hơn và khiến phần trên của thành trước ổ cối chồng lên thành sau trên hình ảnh.
Ngoài ra, có dấu hiệu nhẹ của hình thái Cam.
Continue with the MR-arthrogram…
Sau đó, chụp cộng hưởng từ khớp được thực hiện, cho thấy rách sụn viền ở vùng trước trên.
Ban đầu, bệnh nhân được điều trị bảo tồn bằng vật lý trị liệu, nhưng kết quả không đạt yêu cầu.
Sau đó, một thủ thuật nội soi khớp đã được thực hiện, bao gồm việc tạo hình lại chỗ nối chỏm-cổ xương đùi (mũi tên), mang lại sự cải thiện đáng kể.
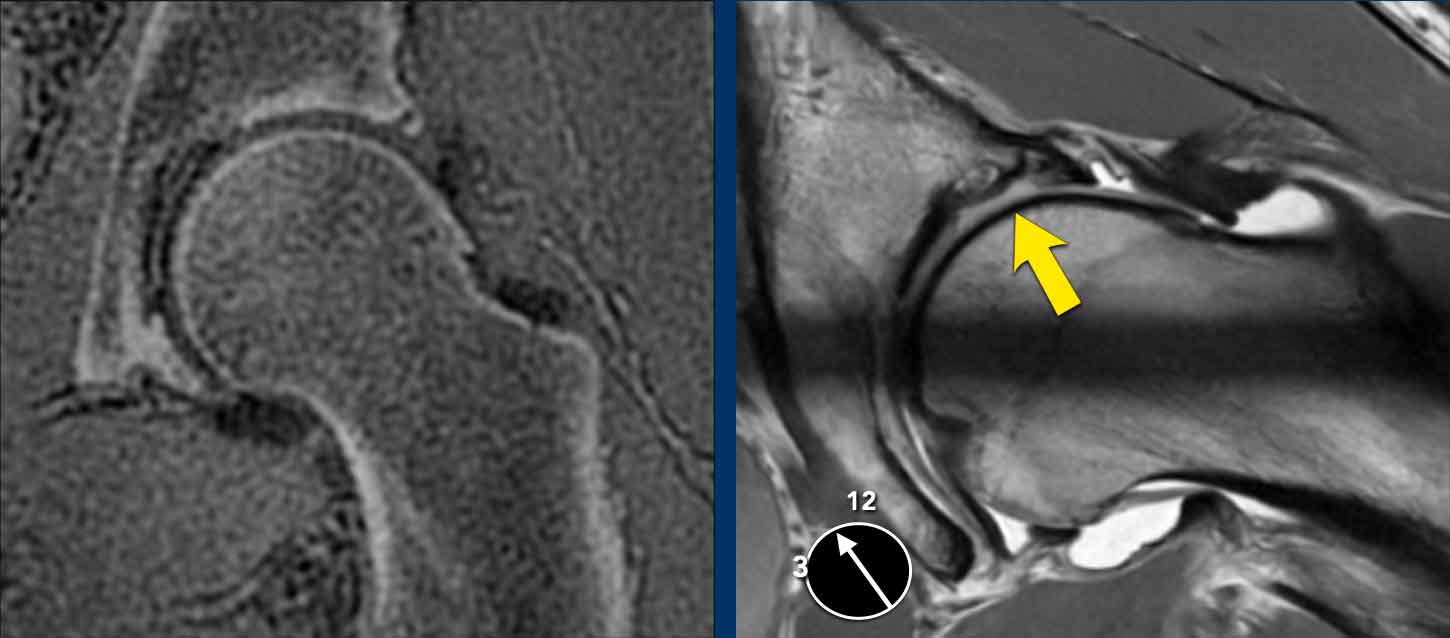
Cam and osteoarthritis
Đây là nam bệnh nhân 27 tuổi, xuất hiện đau sâu vùng bẹn phía trước cách đây bảy năm khi đang ngồi xổm.
Kể từ đó, bệnh nhân đã ngừng chơi bóng đá nhưng vẫn tiếp tục bị đau.
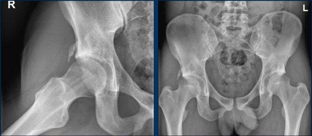
Hình ảnh
Các phim X-quang cho thấy một gờ xương nhô ra ở đầu/cổ xương đùi phù hợp với hình thái cam.
Continue with the MRI…
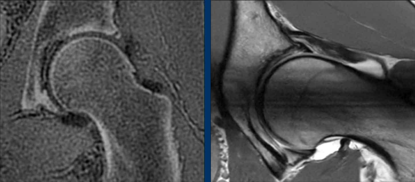
Hình ảnh
Hình ảnh bên trái là MRI xương/thời gian echo bằng không (ZTE).
Đây là một kỹ thuật chụp MRI đặc biệt để khảo sát xương.
Các hình ảnh trông khá giống với hình ảnh CT và có thể được thực hiện như một phần của chụp MRI-arthrogram khớp háng.
Hình ảnh cho thấy một gai xương nhỏ (mũi tên đen).
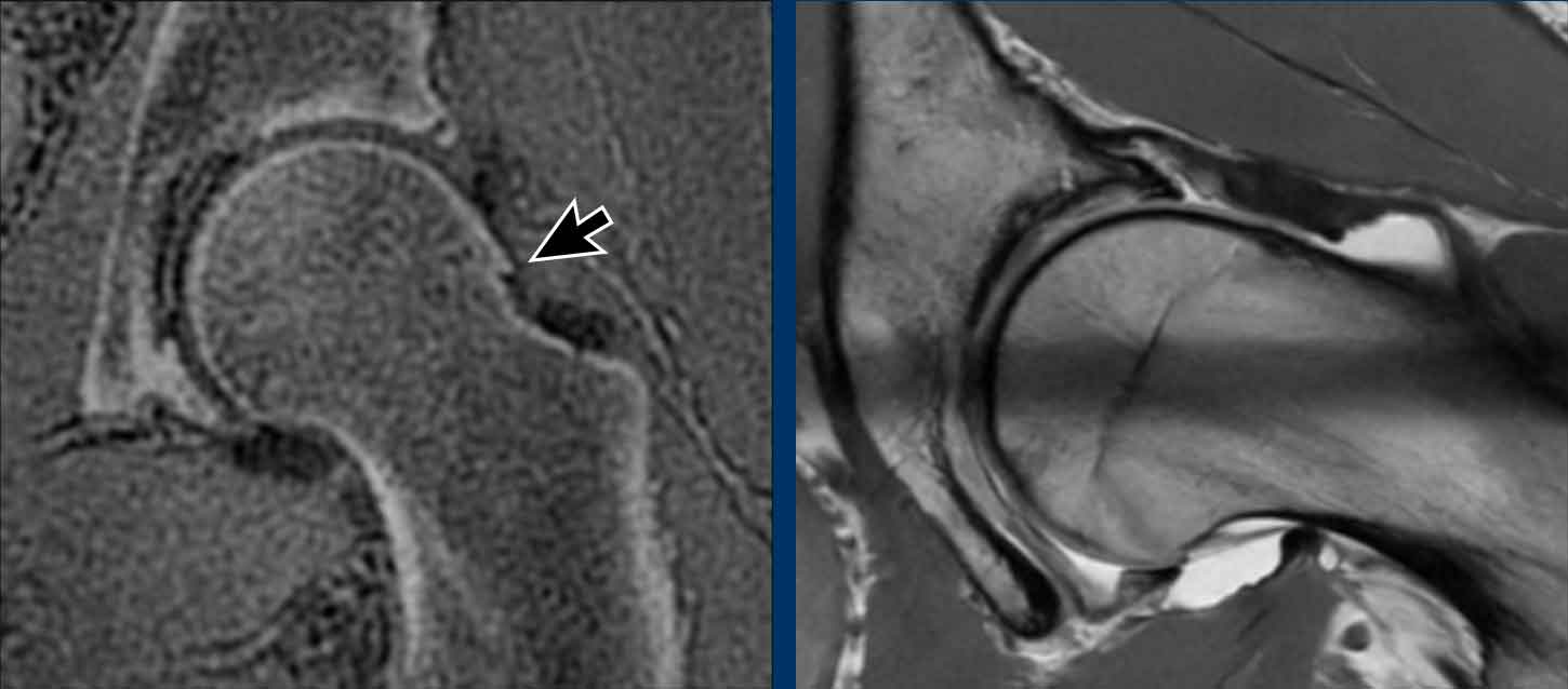
Cuộn qua các hình ảnh của MRI-arthrogram ở phía bên phải.
Có một tổn thương sụn ở phía ổ cối (mũi tên vàng).
Kết luận
Do bệnh nhân này đã có thoái hóa khớp ở mức độ nhẹ, bệnh nhân không phải là đối tượng phù hợp để điều trị nội soi khớp.
Bệnh nhân được điều trị bảo tồn bằng vật lý trị liệu, liệu pháp tập luyện, giáo dục sức khỏe và điều chỉnh hoạt động.
Subspine impingement
Hội chứng chèn ép gai chậu dưới là tình trạng gai chậu trước dưới, còn được gọi là gai chậu dưới, chèn ép vào cổ xương đùi hoặc chỏm xương đùi, đặc biệt trong các hoạt động đòi hỏi gấp háng sâu hoặc xoay háng, chẳng hạn như thể thao hoặc yoga.
Những hình ảnh này của một phụ nữ 23 tuổi có tiền sử viêm khớp dạng thấp.
Bệnh nhân đến khám với tình trạng đau tiến triển ở hông phải, đặc biệt trong các động tác gấp khi tập yoga.
Hình ảnh
Có một biến thể với vị trí thấp của gai chậu dưới (mũi tên).
Đây là một ví dụ khác về chèn ép gai chậu dưới ở một cầu thủ bóng đá nghiệp dư 28 tuổi, người đã bị đau cấp tính ở vùng háng bụng bên phải khi chạy nước rút cách đây tám tháng.
Kể từ đó, bệnh nhân có các triệu chứng háng tiến triển.
Khám thực thể cho thấy giảm đáng kể động tác gấp, cũng như giảm xoay trong và xoay ngoài.
Hình ảnh
Có hình ảnh vôi hóa điển hình sau chấn thương gân cơ thẳng đùi tại vùng bám tận ở gai chậu trước dưới.
Tình trạng này dẫn đến sự phát triển xương quá mức, gây chèn ép vùng đầu/cổ xương đùi.
Phẫu thuật cắt bỏ phần xương hóa đã được thực hiện.



































