Hình ảnh trong đột quỵ cấp
Bài tổng quan này dựa trên bài trình bày của Majda Thurnher và được Robin Smithuis biên soạn lại cho the Radiology Assistant.
Chúng tôi sẽ thảo luận các chủ đề sau:
- Vai trò của CT và MRI ở bệnh nhân đột quỵ
- Các dấu hiệu sớm của nhồi máu não trên CT và MRI
- Cách xác định bệnh nhân có mô não có nguy cơ tổn thương để định hướng lựa chọn phương pháp điều trị phù hợp
Giới thiệu

Vùng tranh tối tranh sáng (Penumbra): Tắc động mạch não giữa (MCA) với mô não tổn thương không hồi phục hoặc đã hoại tử màu đen và mô não có nguy cơ hay vùng tranh tối tranh sáng màu đỏ.
Mục tiêu của chẩn đoán hình ảnh ở bệnh nhân đột quỵ cấp tính là:
- Loại trừ xuất huyết
- Phân biệt giữa mô não tổn thương không hồi phục và mô não suy giảm chức năng có thể hồi phục (mô não đã chết so với mô não có nguy cơ)
- Xác định hẹp hoặc tắc các động mạch lớn ngoài và trong sọ
Qua đó, chúng ta có thể lựa chọn bệnh nhân phù hợp để điều trị tiêu sợi huyết.
Dấu hiệu sớm của thiếu máu não trên CT
CT có ưu điểm là sẵn sàng 24 giờ mỗi ngày và là tiêu chuẩn vàng để phát hiện xuất huyết.
Hình ảnh xuất huyết trên MRI có thể khá khó đánh giá.
Trên CT, 60% nhồi máu não được phát hiện trong vòng 3-6 giờ và hầu như tất cả đều được phát hiện trong 24 giờ.
Độ nhạy tổng thể của CT trong chẩn đoán đột quỵ là 64% và độ đặc hiệu là 85%.
Bảng bên trái liệt kê các dấu hiệu CT sớm của nhồi máu não.

Nhồi máu MCA: trên CT, vùng giảm tỷ trọng xuất hiện trong vòng sáu giờ có độ đặc hiệu cao cho tổn thương não thiếu máu không hồi phục.
Mô não giảm tỷ trọng
Lý do chúng ta thấy được thiếu máu não trên CT là vì trong thiếu máu não, phù độc tế bào phát triển do sự thất bại của các bơm ion.
Các bơm này ngừng hoạt động do cung cấp ATP không đủ.
Hàm lượng nước trong não tăng 1% sẽ dẫn đến giảm 2,5 đơn vị Hounsfield (HU) trên CT.
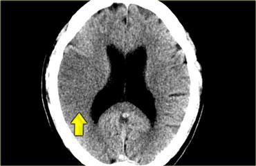
Hình bên trái là bệnh nhân có mô não giảm tỷ trọng ở bán cầu phải.
Chẩn đoán là nhồi máu não, dựa trên vị trí tổn thương (vùng tưới máu của động mạch não giữa – MCA) và sự liên quan của cả chất xám lẫn chất trắng, đây cũng là đặc điểm rất điển hình của nhồi máu não.
Giảm tỷ trọng trên CT có độ đặc hiệu cao cho tổn thương não thiếu máu không hồi phục nếu được phát hiện trong 6 giờ đầu (1).
Những bệnh nhân có triệu chứng đột quỵ và biểu hiện giảm tỷ trọng trên CT trong sáu giờ đầu đã được chứng minh là có thể tích nhồi máu lớn hơn, triệu chứng nặng hơn, diễn tiến lâm sàng kém thuận lợi hơn và thậm chí có nguy cơ xuất huyết cao hơn.
Do đó, bất cứ khi nào bạn thấy giảm tỷ trọng ở bệnh nhân đột quỵ, đây là dấu hiệu tiên lượng xấu.
Không có giảm tỷ trọng trên CT là dấu hiệu tốt.
Mờ nhân đậu
Mờ nhân đậu, còn gọi là hạch nền mờ ranh giới, là dấu hiệu quan trọng của nhồi máu não.
Dấu hiệu này được thấy trong nhồi máu động mạch não giữa và là một trong những dấu hiệu sớm nhất và thường gặp nhất (2).
Hạch nền hầu như luôn bị tổn thương trong nhồi máu MCA.
Dấu hiệu dải vỏ não đảo (Insular Ribbon sign)
Dấu hiệu này đề cập đến tình trạng giảm tỷ trọng và phù nề vỏ não đảo.
Đây là dấu hiệu CT sớm rất gợi ý và tinh tế của nhồi máu trong vùng tưới máu của động mạch não giữa.
Vùng này rất nhạy cảm với thiếu máu vì nằm xa nhất so với tuần hoàn bàng hệ.
Cần phân biệt với viêm não do Herpes.
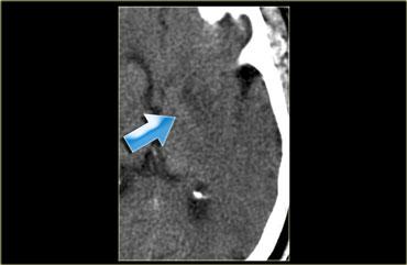
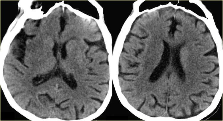
Dấu hiệu MCA tăng tỷ trọng (Dense MCA sign)
Dấu hiệu này là kết quả của huyết khối hoặc thuyên tắc trong MCA.
Hình bên trái là bệnh nhân có dấu hiệu MCA tăng tỷ trọng.
Trên CT mạch máu (CTA), tắc MCA được hiển thị rõ ràng.
Nhồi máu xuất huyết
15% nhồi máu MCA ban đầu có tính chất xuất huyết.
Xuất huyết được phát hiện dễ dàng nhất trên CT, nhưng cũng có thể được hiển thị bằng chuỗi xung MRI gradient echo.
CTA và CT Tưới máu
Sau khi chẩn đoán nhồi máu não, bạn cần xác định mạch máu nào bị tổn thương bằng cách thực hiện CTA.
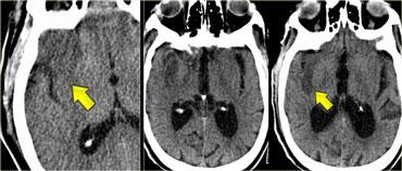
Trước tiên hãy xem các hình ảnh bên trái và cố gắng phát hiện bất thường.
Sau đó tiếp tục đọc.
Các phát hiện trong trường hợp này rất tinh tế.
Có một vùng giảm tỷ trọng nhẹ ở vỏ não đảo bên phải, đây là vùng chúng ta luôn xem xét đầu tiên.
Trong trường hợp này, hình ảnh gợi ý nhồi máu não, nhưng đôi khi ở bệnh nhân cao tuổi có bệnh lý chất trắng (leukoencephalopathy) thì rất khó phân biệt.
CTA đã được thực hiện (xem hình tiếp theo).
Bây giờ chúng ta có thể tự tin với chẩn đoán nhồi máu MCA.
CT Tưới máu (CTP)
Với CT và MRI khuếch tán, chúng ta có thể có ấn tượng tốt về vùng nhồi máu, nhưng không thể loại trừ vùng tranh tối tranh sáng (penumbra) rộng lớn (mô não có nguy cơ).
Với các nghiên cứu tưới máu, chúng ta theo dõi lần đi qua đầu tiên của bolus thuốc cản quang iod qua hệ mạch máu não.
Tưới máu sẽ cho chúng ta biết vùng nào đang có nguy cơ.
Khoảng 26% bệnh nhân sẽ cần nghiên cứu tưới máu để đi đến chẩn đoán chính xác.
Hạn chế của CT tưới máu là phạm vi khảo sát hạn chế.
Các nghiên cứu đã được thực hiện để so sánh CT với MRI nhằm xem xét thời gian cần thiết để thực hiện tất cả các khảo sát CT cần thiết để đi đến chẩn đoán.
Kết quả cho thấy CT không tiêm thuốc, CTP và CTA có thể cung cấp thông tin chẩn đoán toàn diện trong vòng chưa đầy 15 phút, với điều kiện có một đội ngũ tốt.
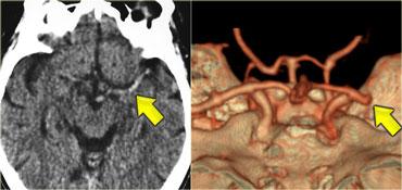
Trong trường hợp bên trái, đầu tiên CT không tiêm thuốc được thực hiện.
Nếu có xuất huyết, thì không cần thực hiện thêm khảo sát nào.
Trong trường hợp này, CT bình thường và CTP được thực hiện, cho thấy khiếm khuyết tưới máu.
CTA sau đó được thực hiện và phát hiện bóc tách động mạch cảnh trong trái.
MRI
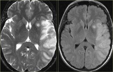
Trên chuỗi xung PD/T2W và FLAIR, nhồi máu não biểu hiện là vùng tăng tín hiệu.
Các chuỗi xung này phát hiện 80% nhồi máu não trước 24 giờ.
Chúng có thể âm tính trong vòng 2-4 giờ sau khởi phát!
Hình bên trái là chuỗi xung T2W và FLAIR cho thấy tăng tín hiệu trong vùng tưới máu của động mạch não giữa.
Lưu ý sự liên quan của nhân đậu và vỏ não đảo.
Tăng tín hiệu trên chuỗi xung MRI thông thường tương đương với giảm tỷ trọng trên CT.
Đây là kết quả của tổn thương không hồi phục với hoại tử tế bào.
Vì vậy, tăng tín hiệu có nghĩa là tiên lượng XẤU: não đã chết.
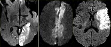
Hình ảnh Khuếch tán (DWI)
DWI là chuỗi xung nhạy cảm nhất trong chẩn đoán hình ảnh đột quỵ.
DWI nhạy cảm với sự hạn chế chuyển động Brown của nước ngoại bào do mất cân bằng gây ra bởi phù độc tế bào.
Bình thường, các proton nước có khả năng khuếch tán ra ngoài tế bào và mất tín hiệu.
Tăng tín hiệu trên DWI cho thấy sự hạn chế khả năng khuếch tán ngoại bào của các proton nước.














