Hình ảnh lao phổi
Hầu hết tất cả bệnh nhân mắc lao hoạt động đều có bất thường trên phim phổi.
Máy chụp X-quang ngực kỹ thuật số di động cho phép tầm soát bệnh nhân ngay cả ở các vùng sâu vùng xa.
Điều này khiến X-quang ngực trở thành công cụ nhạy cảm nhất để phát hiện lao.
Tuy nhiên, trên X-quang ngực, lao có thể có hình ảnh tương tự nhiều bệnh lý khác, làm giảm độ đặc hiệu và thường cần thêm các xét nghiệm bổ sung để xác nhận chẩn đoán lao hoạt động.
Trong bài viết này, chúng tôi sẽ tập trung vào các bất thường trên X-quang ngực có thể gợi ý bệnh lao hoạt động.
Giới thiệu
Lao nguyên phát và Lao hậu nguyên phát
Khoảng hai tỷ người trên toàn thế giới đã bị nhiễm lao.
90% số người bị nhiễm sẽ không bao giờ phát triển thành bệnh hoạt động (nhiều người sẽ tự khỏi nhiễm trùng) và chỉ khoảng 10% sẽ phát triển thành bệnh lao.
Ở khoảng 5% số người bị nhiễm, lao nguyên phát sẽ phát triển trong vòng vài tháng đến 2 năm sau khi nhiễm.
Ở 5% còn lại, lao hậu nguyên phát sẽ phát triển muộn hơn trong cuộc đời do tái hoạt hóa nhiễm trùng tiềm ẩn.
Lao tiềm ẩn có nghĩa là sau khi nhiễm lao nguyên phát với sự hình thành u hạt tiếp theo và giảm số lượng trực khuẩn, một số trực khuẩn vẫn còn sống nhưng ở trạng thái ngủ trong nhiều năm.
Lao tiềm ẩn thường là một quá trình không có triệu chứng và không phát hiện được trên hình ảnh học.
Tuy nhiên, nếu các trực khuẩn vượt qua được sự kiểm soát của hệ miễn dịch và nhân lên, thì sẽ tiến triển thành lao hoạt động.
Nguy cơ tiến triển từ lao tiềm ẩn sang lao hoạt động cao nhất ở bệnh nhân nhiễm HIV.
Các yếu tố nguy cơ khác bao gồm đái tháo đường, suy dinh dưỡng, suy thận, các bệnh ác tính và liệu pháp ức chế miễn dịch như corticosteroid và thuốc kháng TNF.
Quan điểm cũ
Trong bài báo “Hình ảnh X-quang của Lao phổi: Bác bỏ quan điểm cũ“, Anna Rozenstein và các cộng sự đã chứng minh rõ ràng rằng nhiều thế hệ bác sĩ đã được dạy sai rằng lao nguyên phát có thể được phân biệt với lao hậu nguyên phát hoặc lao tái hoạt dựa trên hình ảnh X-quang.
Điều này được cho là hữu ích trong quản lý lâm sàng, vì ở bệnh nhân lao nguyên phát, cần phải tìm người đã lây nhiễm cho bệnh nhân để ngăn chặn sự lây lan thành dịch, trong khi ở lao hậu nguyên phát, chỉ cần điều trị cho bệnh nhân và bảo vệ những người xung quanh.
Lao và tình trạng miễn dịch
Hiện nay chúng ta biết rằng cách lao biểu hiện trên X-quang ngực chủ yếu phụ thuộc vào tình trạng miễn dịch của bệnh nhân.
Ở trẻ nhỏ, đáp ứng miễn dịch kém trưởng thành hơn so với người lớn và bệnh lao thường biểu hiện với hạch to, tràn dịch và tổn thương vùng phổi dưới (hình phổi phải). Trước đây, điều này được cho là lao nguyên phát.
Ở người lớn có hệ miễn dịch bình thường, lao thường biểu hiện với đông đặc thùy trên và tạo hang (hình phổi trái), vốn bị chẩn đoán nhầm là lao hậu nguyên phát hoặc lao tái hoạt.
Điều này cũng giải thích tại sao ở bệnh nhân HIV có số lượng CD-4 thấp, hạch to, đông đặc thùy dưới và tràn dịch màng phổi phổ biến hơn, trong khi ở bệnh nhân HIV có số lượng CD-4 bình thường, tạo hang thùy trên phổ biến hơn.
Lao không hoạt động và Lao hoạt động
Vai trò của Bác sĩ Chẩn đoán Hình ảnh trong Đánh giá Lao
Bác sĩ chẩn đoán hình ảnh phải xác định và phân biệt giữa lao hoạt động và lao không hoạt động.
Hình ảnh X-quang ngực
Lao tiềm ẩn hoặc lao cũ thường có X-quang ngực bình thường, mặc dù có thể thấy vôi hóa, sẹo xơ hoặc mất thể tích.
Lao hoạt động biểu hiện với đông đặc, hạch to, hang và tràn dịch màng phổi.
Xét nghiệm vi sinh
Xét nghiệm Tuberculin da (TST) hoặc xét nghiệm giải phóng interferon-gamma (IGRA) thường dương tính sau khi phơi nhiễm với lao, bất kể là nhiễm trùng hoạt động hay tiềm ẩn.
Các xét nghiệm này cũng có thể dương tính ở những người đã tự khỏi nhiễm trùng và không còn bị nhiễm nữa; do đó, các xét nghiệm này không thể phân biệt giữa lao hoạt động và lao không hoạt động.
Xét nghiệm vi khuẩn thường không cho kết quả, đặc biệt ở trẻ em (do không có đờm) hoặc khi chất lượng đờm kém (ví dụ: không phải từ phổi).
Điều này có nghĩa là X-quang ngực là một công cụ quan trọng để phân loại và tầm soát lao phổi, lựa chọn đối tượng để xét nghiệm vi khuẩn và hỗ trợ chẩn đoán khi lao phổi không thể được xác nhận bằng vi khuẩn học.
Lao hoạt động
Hình minh họa này tóm tắt các dấu hiệu khác nhau trong lao hoạt động.
- Hạch to không kèm nốt phổi là dấu hiệu thường gặp ở trẻ em và có độ đặc hiệu cao cho lao.
- Đông đặc do lao không thể phân biệt với viêm phổi do vi khuẩn. Đông đặc mạn tính, hạch to và không đáp ứng với kháng sinh thông thường là các yếu tố ủng hộ chẩn đoán lao.
- Tràn dịch màng phổi là biểu hiện thường gặp của lao hoạt động và đặc biệt thấy ở trẻ em và bệnh nhân HIV có số lượng CD-4 thấp.
- Tạo hang có độ đặc hiệu cao cho lao.
- Lao kê là kết quả của sự lan tràn theo đường máu đến phổi và các cơ quan khác.
- Hình ảnh “cây nảy chồi” (tree-in-bud) điển hình cho sự lan tràn nội phế quản hoạt động của nhiễm trùng. Trước đây được cho là đặc hiệu cho lao, nhưng có thể gặp trong các nhiễm khuẩn khác.
Hạch to
Hạch to không kèm nốt phổi là dấu hiệu thường gặp ở trẻ em và có độ đặc hiệu cao cho lao.
Hạch to kết hợp với một nốt phổi nhỏ, còn gọi là ổ nguyên phát, được gọi là phức hợp nguyên phát (phức hợp Ghon).
Dấu hiệu này khá hiếm gặp.
Hình ảnh
Có đường viền kép ở bên trái do hạch bạch huyết to (mũi tên) và động mạch chủ (đầu mũi tên).
Tiếp tục xem CT…
Hình ảnh
Nhiều hạch bạch huyết trung thất to ở một trẻ em mắc lao hoạt động.
Ở trẻ dưới 2 tuổi, đôi khi thấy xẹp phổi thùy hoặc phân thùy, điển hình liên quan đến phân thùy trước của thùy trên hoặc phân thùy giữa của thùy giữa, thường là kết quả của hạch to lân cận và hiệu ứng chèn ép.
Tràn dịch màng phổi
Tràn dịch màng phổi là biểu hiện thường gặp của lao hoạt động và đặc biệt thấy ở trẻ em và bệnh nhân HIV có số lượng CD-4 thấp.
Dịch là dịch tiết giàu lymphocyte và protein, là kết quả của phản ứng quá mẫn với một ổ lao dưới màng phổi.
Các tràn dịch này thường đơn giản và lượng lớn, thường gặp nhất ở trẻ lớn và thanh thiếu niên.
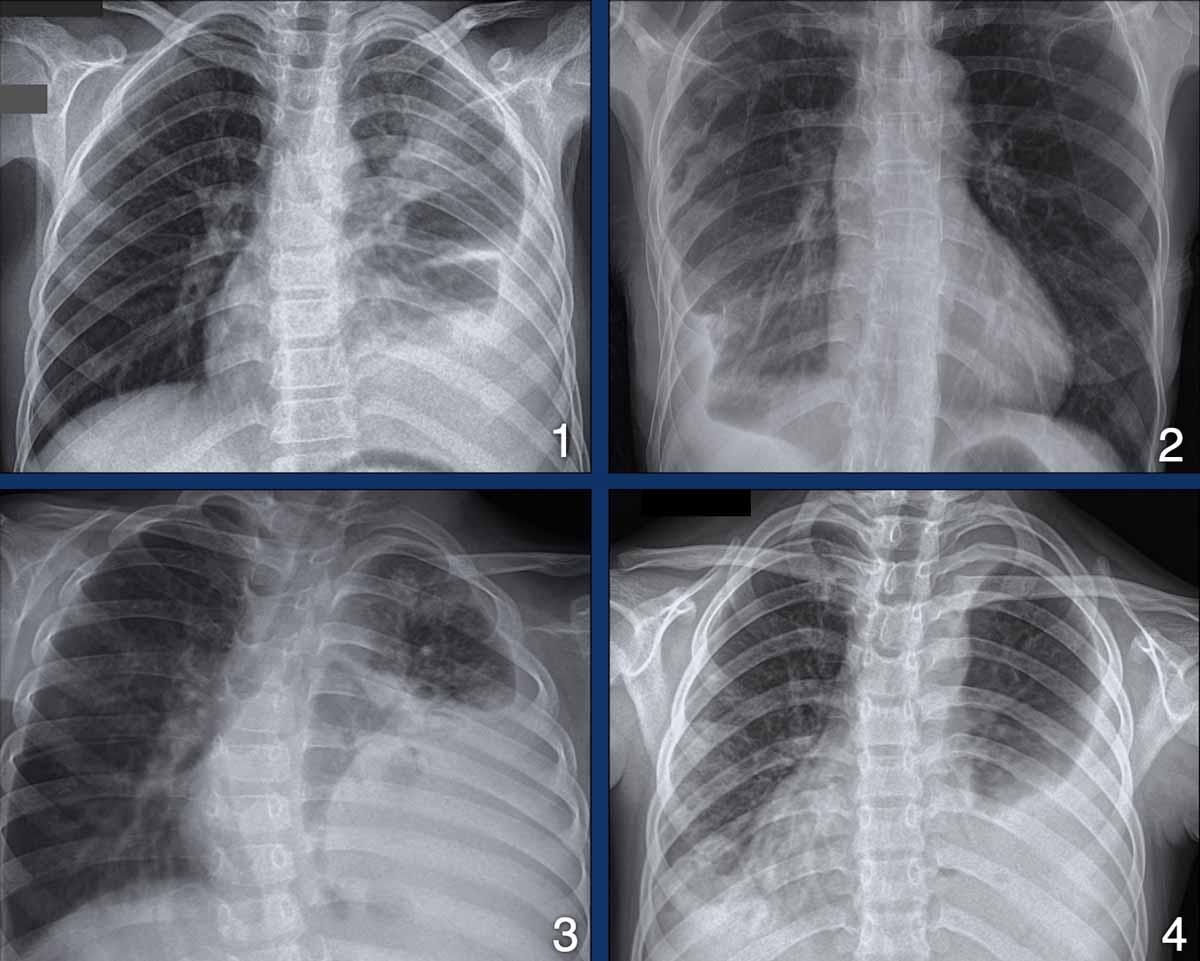
Các hình ảnh cho thấy bốn ví dụ về tràn dịch màng phổi ở bệnh nhân lao.
Hình ảnh
- Bé trai 12 tuổi với biểu hiện mệt mỏi, sụt cân và ho mạn tính.
Có đông đặc thùy trên trái và lượng lớn tràn dịch màng phổi. - Tràn dịch màng phổi một bên. Lưu ý cũng có bất thường xương sườn. Đây có thể là kết quả của lao.
- Lượng lớn tràn dịch màng phổi gây lệch trung thất và chèn ép phổi trái ở bé trai 6 tuổi.
- Lượng lớn tràn dịch màng phổi cả phía dưới và phía trên phổi trái bị xẹp.
Chẩn đoán phân biệt tràn dịch màng phổi một bên
Thường gặp nhất trong các bệnh nhiễm trùng và bệnh ác tính như ung thư phổi, ung thư vú và u trung biểu mô.
Các nguyên nhân khác bao gồm thuyên tắc phổi, bệnh mô liên kết và suy tim (thường hai bên, nhưng có thể một bên).
Đông đặc
Bệnh lý nhu mô biểu hiện dưới dạng đông đặc đậm, đồng nhất ở bất kỳ thùy nào và thường không thể phân biệt với viêm phổi do vi khuẩn.
Đây là dấu hiệu thường gặp nhưng có độ đặc hiệu thấp.
Đông đặc mạn tính, hạch to và không đáp ứng với kháng sinh thông thường là các yếu tố ủng hộ chẩn đoán lao.
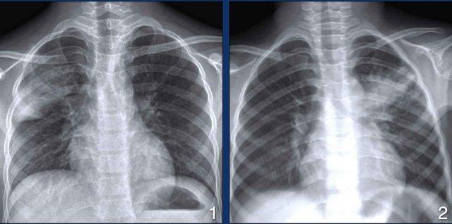
Hình ảnh
- Trẻ 12 tuổi mắc lao. Có đông đặc thùy trên phải. Không có hạch to. Không có tràn dịch màng phổi.
- Trẻ 6 tuổi mắc lao. Đông đặc thùy trên trái. Mờ do xảo ảnh chuyển động.
Chẩn đoán phân biệt Đông đặc
Chẩn đoán phân biệt của đông đặc rất rộng và được thảo luận tại đây.
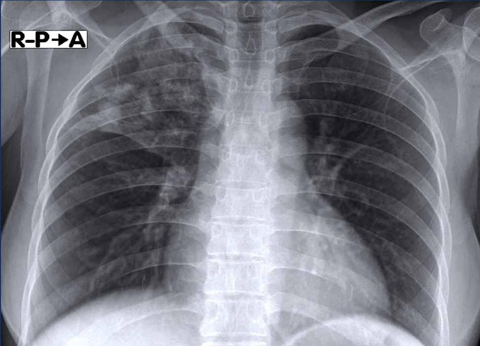
Hình ảnh này của một nữ bệnh nhân 36 tuổi có biểu hiện đau ngực, ho và sốt.
Hình ảnh
Đông đặc đậm ở thùy trên phải kèm mất thể tích nhẹ.
Xét nghiệm đờm dương tính với lao.
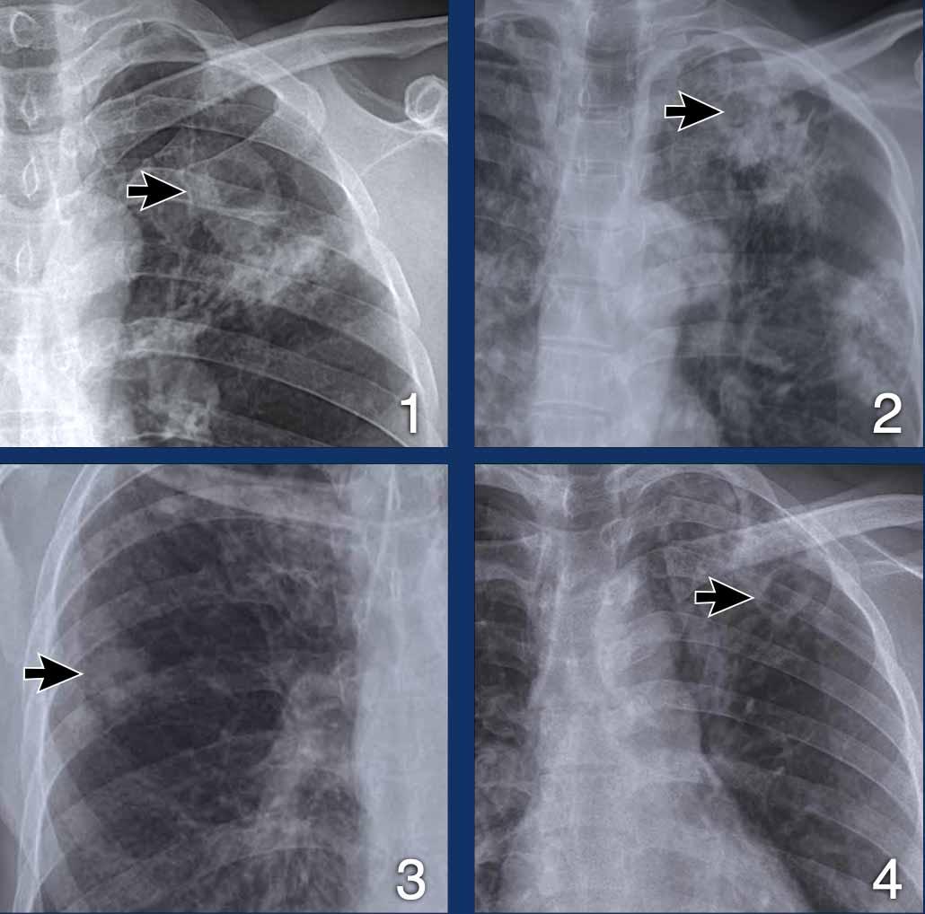
Tạo hang
Tạo hang xảy ra ở khoảng một nửa số bệnh nhân mắc lao hoạt động.
Những bệnh nhân này có tải lượng vi khuẩn cao và có khả năng lây nhiễm rất cao.
Hình ảnh
- Đông đặc thùy trên và tạo hang.
- Đông đặc đậm với tạo hang kín đáo (mũi tên).
- Hang nhỏ thành dày.
- Tạo hang thùy trên trái.
Tất cả các bệnh nhân này đều được xác nhận lao bằng xét nghiệm vi sinh.
Chẩn đoán phân biệt Tạo hang
Tạo hang cũng gặp trong các nhiễm khuẩn sinh mủ độc lực cao với hình thành áp xe.
Những bệnh nhân này thường rất nặng.
Ung thư phổi tạo hang là chẩn đoán phân biệt quan trọng.
Trong nhiễm trùng u hạt như lao, hang có thể hình thành nhưng những bệnh nhân này thường không quá nặng.
Các bệnh u hạt khác có thể tạo hang bao gồm viêm khớp dạng thấp và u hạt với viêm đa mạch (Wegener).
Tạo hang không gặp trong viêm phổi do virus, Mycoplasma và hiếm gặp trong viêm phổi do Streptococcus pneumoniae.
Hình ảnh này của một nam bệnh nhân 60 tuổi có khối trên X-quang ngực.
Sinh thiết dưới hướng dẫn CT được thực hiện do nghi ngờ ung thư phổi.
Hình ảnh
Có một khối tạo hang ở thùy dưới phải.
Lưu ý cũng có các đậm độ dạng “cây nảy chồi” xung quanh khối.
Lao được xác nhận bằng sinh thiết.
Dấu hiệu “cây nảy chồi” (Tree-in-bud)
Hình ảnh “cây nảy chồi” điển hình cho sự lan tràn nội phế quản hoạt động của nhiễm trùng.
Dấu hiệu này có thể khó












