Giải phẫu xương thái dương 2.0
Ngày xuất bản
Đây là phiên bản cập nhật của bài viết năm 2007.
Trong bài tổng quan này, chúng tôi trình bày giải phẫu bình thường trên mặt phẳng cắt ngang (axial) và mặt phẳng cắt đứng ngang (coronal) của xương thái dương thông qua việc duyệt qua các hình ảnh.
Một số cấu trúc được thảo luận chi tiết hơn với trọng tâm là các bệnh lý liên quan.
Bạn có thể tìm thêm các bệnh lý xương thái dương tại đây.
Giới thiệu
Tai giữa bao gồm hòm nhĩ và hang chũm.
Hòm nhĩ là phần chính của tai giữa và chứa các xương con.
Thông qua ngách thượng nhĩ (aditus ad antrum), hòm nhĩ thông với hang chũm — một tế bào khí lớn nằm phía trên và phía sau hòm nhĩ — và thông với các tế bào khí chũm.
Màng nhĩ, xương búa, xương đe và xương bàn đạp dẫn truyền sóng âm đến đế xương bàn đạp, vốn gắn vào đáy ốc tai tại cửa sổ bầu dục.
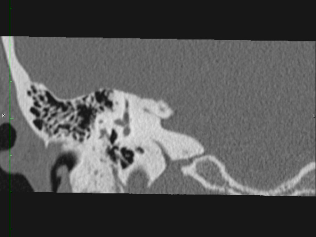
Giải phẫu xương đá trên mặt phẳng cắt ngang (Axial)
Nhấp vào hình ảnh để phóng to.
Cuộn qua các hình ảnh.
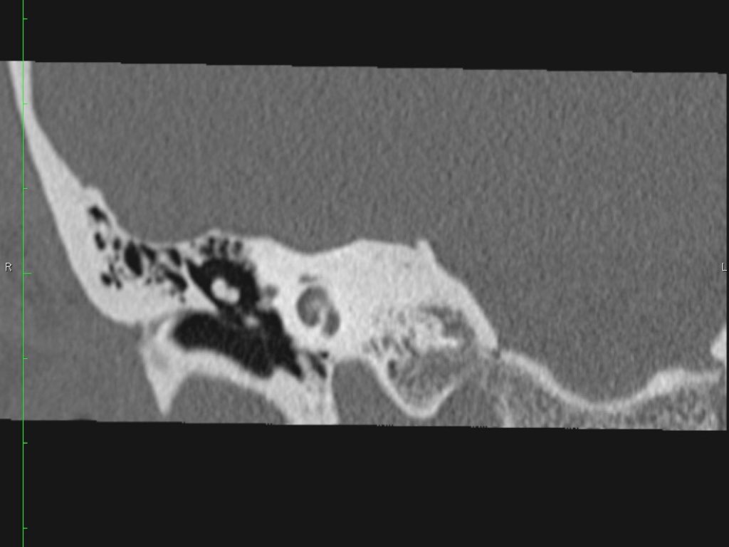
Giải phẫu mặt phẳng coronal của xương đá
Nhấp vào hình ảnh để phóng to.
Cuộn qua các hình ảnh.
Hòm nhĩ
Hòm nhĩ là phần chính của tai giữa, chứa các xương con của tai giữa.
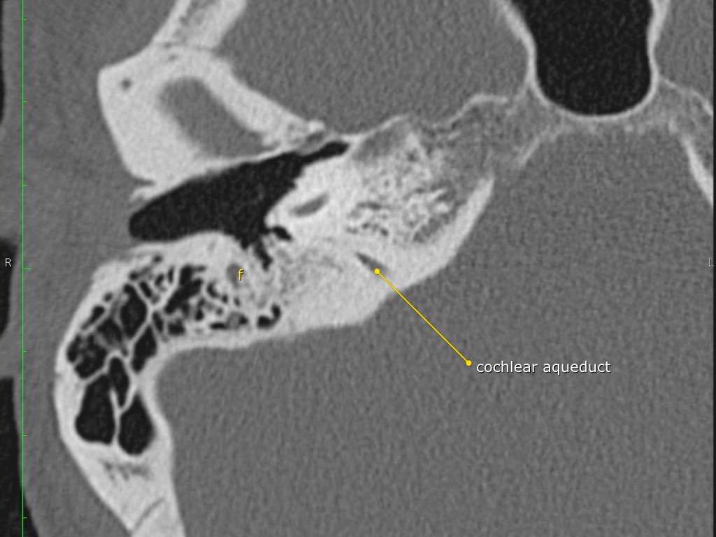
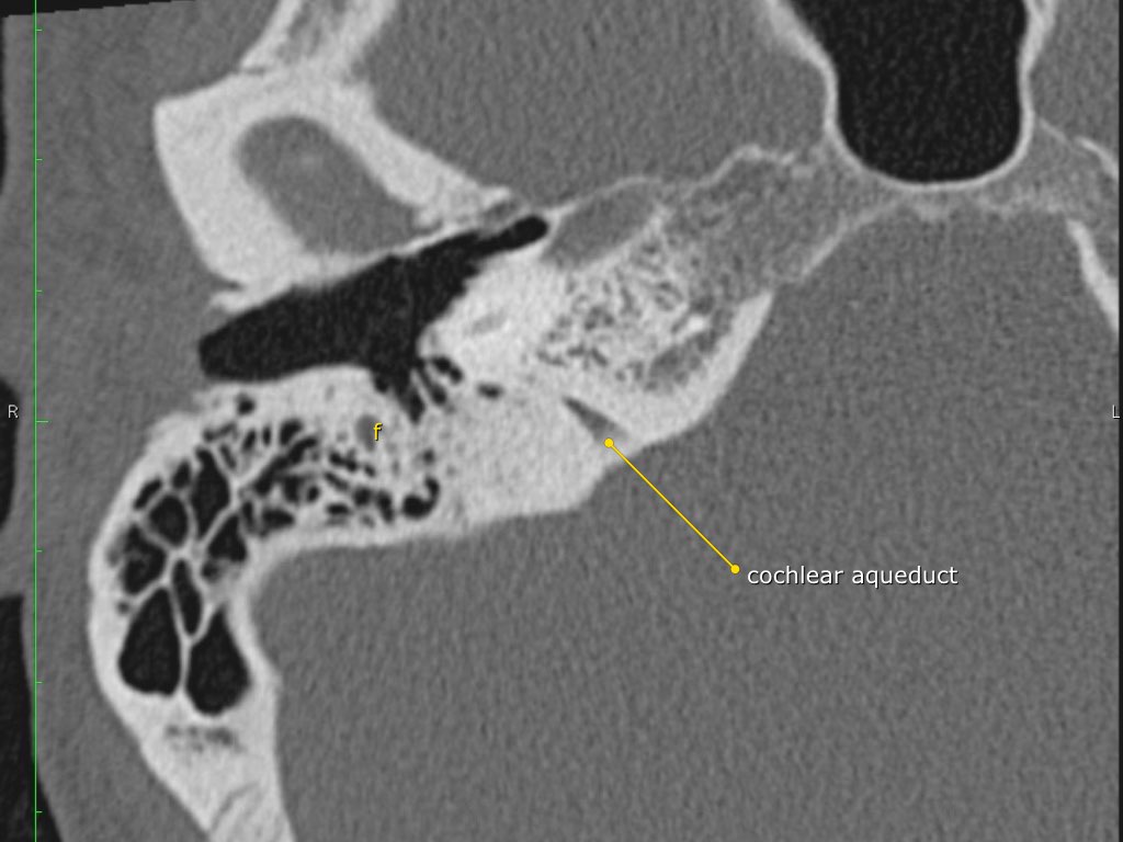
Thành trong
chứa cửa sổ bầu dục, cửa sổ tròn và gờ nổi của đoạn nhĩ dây thần kinh mặt.
Thành ngoài
được tạo thành chủ yếu bởi màng nhĩ. Scutum (mảnh xương hình khiên) là gờ xương nằm ở phần trên hay còn gọi là pars flaccida của màng nhĩ.
Trần
được gọi là tegmen, ngăn cách phần trên của hòm nhĩ (thượng nhĩ) với hố sọ giữa.
Thành sau
tạo nên lối vào xương chũm và được gọi là aditus ad antrum (lỗ thông hang).
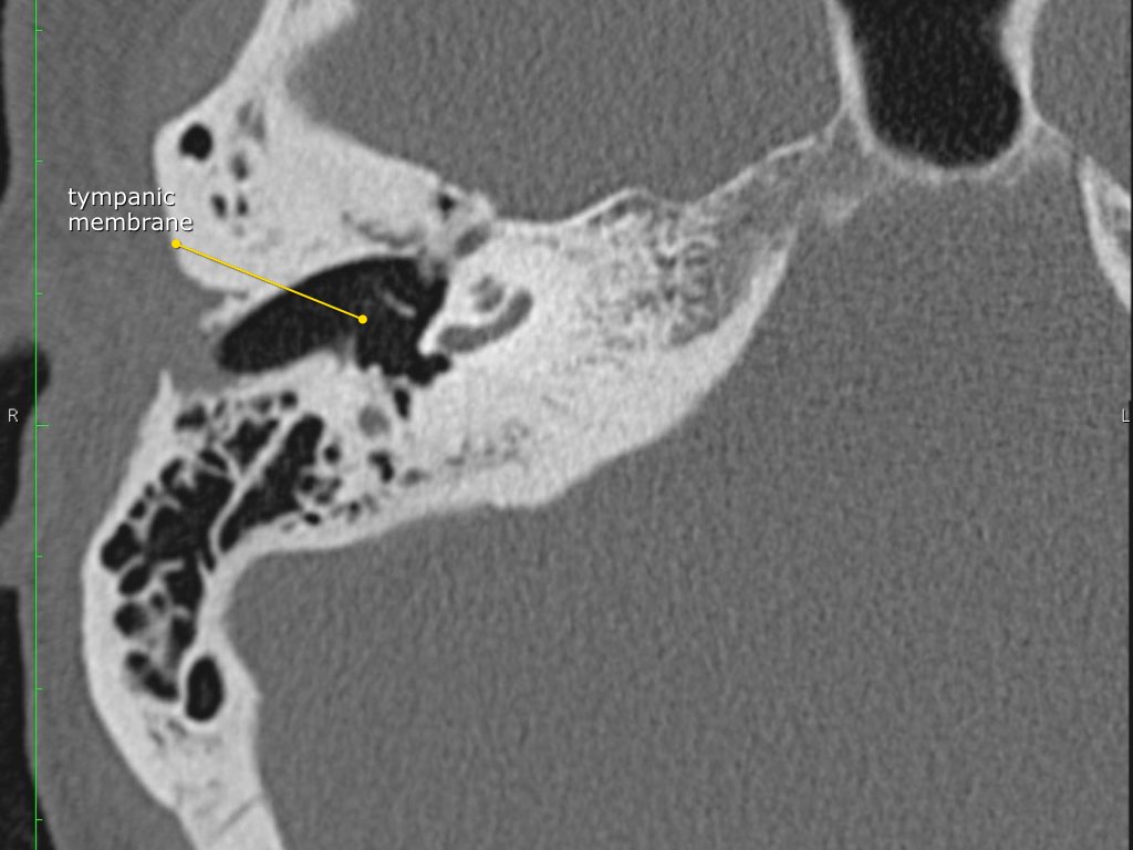
Màng nhĩ
Màng nhĩ hay còn gọi là màng tai, là một màng hình nón ngăn cách tai ngoài với tai giữa.
Pars flaccida là phần trên mỏng manh của màng nhĩ, liên quan đến rối loạn chức năng vòi nhĩ và cholesteatoma.
Pars tensa có kích thước lớn hơn và chắc hơn, thường liên quan đến các trường hợp thủng màng nhĩ.
Cán búa (manubrium) của xương búa được gắn vào phần trung tâm của màng nhĩ, vùng này được gọi là rốn nhĩ (umbo).
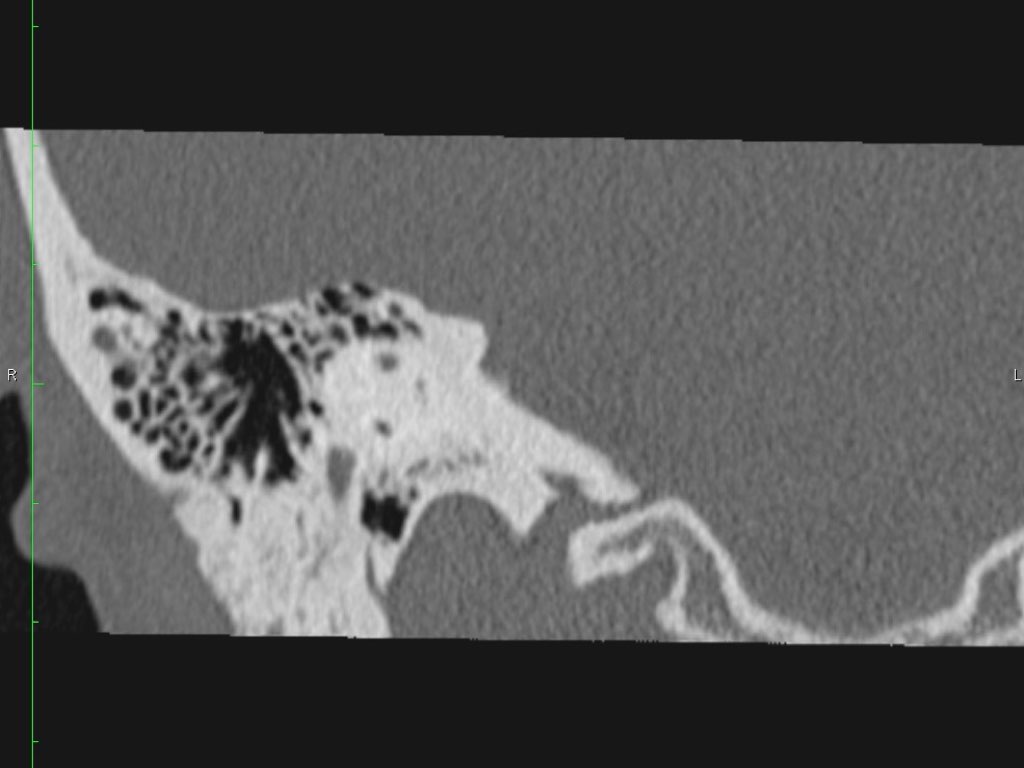
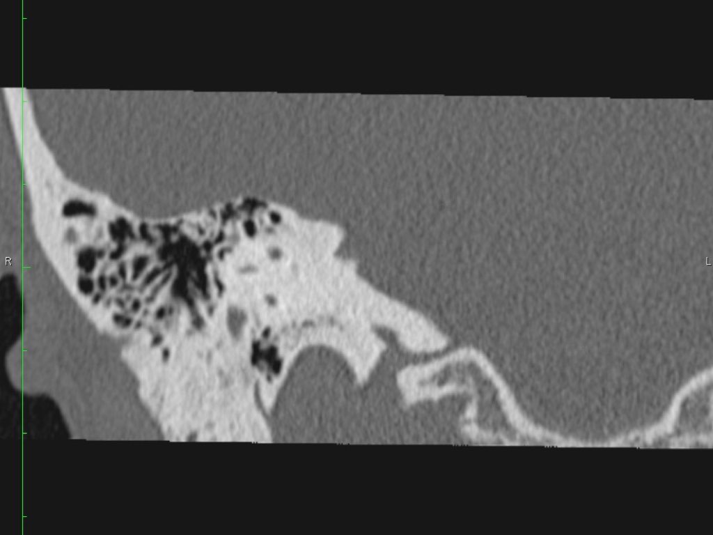
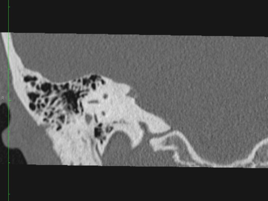
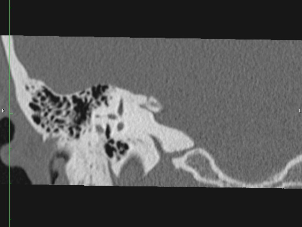
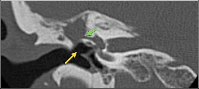
Hình ảnh một bệnh nhân có cholesteatoma.
Có một khối mô mềm ở vùng thượng nhĩ.
Lưu ý hình ảnh thủng màng nhĩ (mũi tên vàng) và bào mòn ống bán khuyên ngoài (mũi tên đỏ).
Scutum bị tù mòn.
Scutum
Đây thường là cấu trúc xương đầu tiên bị bào mòn do cholesteatoma, hình thành bởi sự co kéo vào trong của pars flaccida màng nhĩ vào vùng thượng nhĩ.
Nếu quá trình co kéo tiếp tục tiến triển sẽ dẫn đến phá hủy chuỗi xương con.
Nếu cholesteatoma lan ra phía sau qua aditus ad antrum vào trong xương chũm, có thể gây bào mòn tegmen mastoideum làm lộ màng cứng, đồng thời bào mòn ống bán khuyên ngoài dẫn đến điếc và chóng mặt.
Chuỗi xương con
Trong nhiều hình minh họa, xương đe thường được vẽ kết nối về phía trong với xương búa, tuy nhiên điều này không chính xác.
Trên ảnh tái tạo mặt phẳng coronal bên trái, có thể thấy rõ ràng rằng xương đe nằm ở phía sau ngoài so với đầu xương búa.
Ngành dài của xương đe sau đó chạy xuống dưới và vào trong để tiếp khớp với xương bàn đạp.
Hang bào chũm (Antrum)
Hang bào chũm là một tế bào khí lớn nằm phía trên và phía sau hòm nhĩ, thông với hòm nhĩ qua ngách hang (aditus ad antrum).
Hang bào chũm được bao quanh bởi các tế bào khí chũm nhỏ hơn.
Dây thần kinh mặt
Đoạn mê nhĩ của dây thần kinh mặt xuất phát từ ống tai trong, chạy gần như vuông góc với trục dài của xương đá, gập góc nhọn về phía trước để đến hạch gối (geniculate ganglion).
Tại hạch gối, dây thần kinh mặt tạo thành một khúc quặt hình chữ U (genu thứ nhất của dây thần kinh mặt) để chạy ra phía sau theo đoạn nhĩ dọc theo thành trong của thượng nhĩ.
Cửa sổ bầu dục và cửa sổ tròn
Đế xương bàn đạp dao động ra vào so với màng tại cửa sổ bầu dục.
Các dao động được truyền từ cửa sổ bầu dục qua nội dịch đến các tế bào lông của cơ quan Corti trong ốc tai.
Cửa sổ tròn có chức năng giải phóng áp lực được tạo ra bởi các dao động dịch lỏng bên trong ốc tai, do đó đóng vai trò như một van giảm áp.























































































