Giải phẫu vai và biến thể trên MRI
Ngày xuất bản
Khớp ổ chảo – cánh tay (glenohumeral) có biên độ vận động lớn hơn bất kỳ khớp nào khác trong cơ thể.
Kích thước nhỏ của hõm ổ chảo (glenoid fossa) cùng với sự lỏng lẻo tương đối của bao khớp khiến khớp này tương đối kém vững và dễ bị bán trật khớp và trật khớp.
MRI là phương thức chẩn đoán hình ảnh tốt nhất để thăm khám bệnh nhân có đau vai và mất vững khớp vai.
Trong Phần I – MRI Khớp Vai, chúng tôi sẽ tập trung vào giải phẫu bình thường và các biến thể giải phẫu có thể bắt chước hình ảnh bệnh lý.
Trong Phần II, chúng tôi sẽ thảo luận về mất vững khớp vai.
Trong Phần III, chúng tôi sẽ tập trung vào hội chứng chèn ép (impingement) và rách chóp xoay.
Giới thiệu
-
Phía trên
- Vòm cùng – quạ và dây chằng cùng – quạ
- Đầu dài của gân cơ nhị đầu
- Gân cơ trên gai
-
Phía trước
- Sụn viền ổ chảo phía trước
- Các dây chằng ổ chảo – cánh tay: SGHL, MGHL, IGHL (bó trước)
- Gân cơ dưới vai
-
Phía sau
- Sụn viền ổ chảo phía sau
- Bó sau của dây chằng IGHL
- Gân cơ dưới gai và cơ tròn bé
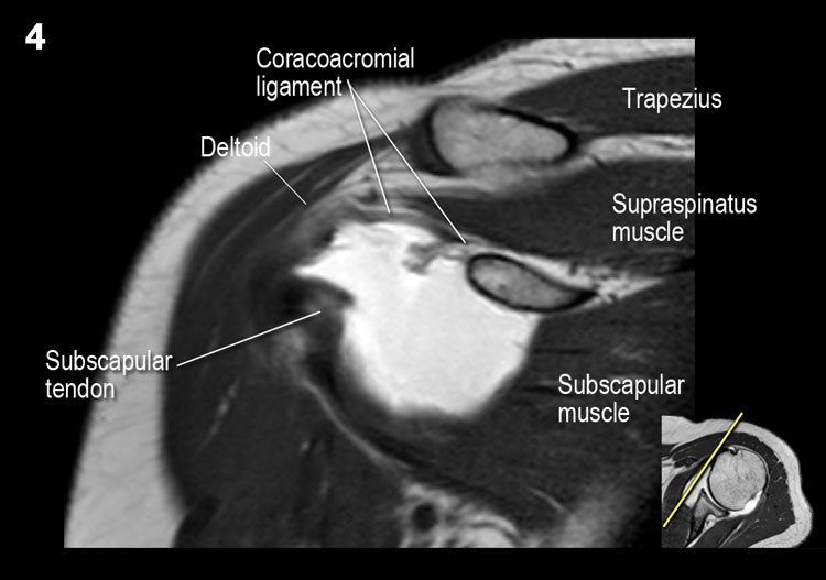
Hình ảnh mặt trước
Gân cơ dưới vai bám vào cả mấu động nhỏ lẫn mấu động lớn, đồng thời nâng đỡ đầu dài của gân cơ nhị đầu trong rãnh gian mấu động.
Trật khớp của đầu dài gân cơ nhị đầu chắc chắn sẽ dẫn đến rách một phần gân cơ dưới vai.
Chóp xoay được cấu thành từ các gân của cơ dưới vai, cơ trên gai, cơ dưới gai và cơ tròn bé.
Hình ảnh mặt sau
Hình ảnh thể hiện các cơ và gân của cơ trên gai, cơ dưới gai và cơ tròn bé. Tất cả đều bám vào mấu động lớn.
Các cơ và gân chóp xoay có chức năng ổn định khớp vai trong quá trình vận động.
Nếu không có chóp xoay, chỏm xương cánh tay sẽ trượt lên một phần ra khỏi hõm ổ chảo, làm giảm hiệu quả hoạt động của cơ delta.
Rách lớn chóp xoay có thể khiến chỏm xương cánh tay di chuyển lên trên, dẫn đến hình ảnh chỏm xương cánh tay nằm cao bất thường.
Giải phẫu bình thường
Giải phẫu mặt cắt ngang và danh sách kiểm tra
- Tìm kiếm xương mỏm cùng vai phụ (os acromiale).
- Lưu ý rằng gân cơ trên gai song song với trục của cơ. Điều này không phải lúc nào cũng đúng.
- Lưu ý rằng gân cơ nhị đầu bám vào vị trí 12 giờ. Vị trí bám có thể thay đổi trong một phạm vi nhất định.
- Lưu ý sụn viền trên và chỗ bám của dây chằng ổ chảo-cánh tay trên.
Ở mức này, tìm kiếm tổn thương SLAP và các biến thể như lỗ dưới sụn viền.
Ở mức này, cũng tìm kiếm tổn thương Hill-Sachs ở bờ sau-ngoài của chỏm xương cánh tay. - Các thớ sợi của gân cơ dưới vai giữ gân cơ nhị đầu trong rãnh của nó. Đánh giá sụn khớp.
- Ở mức này, đánh giá dây chằng ổ chảo-cánh tay giữa (MGHL) và sụn viền trước. Tìm kiếm các biến thể như phức hợp Buford. Đánh giá sụn khớp.
- Phần lõm ở bờ sau-ngoài của chỏm xương cánh tay không nên nhầm lẫn với tổn thương Hill-Sachs, vì đây là đường viền bình thường ở mức này.
Tổn thương Hill-Sachs chỉ được thấy ở mức mỏm quạ.
Ở phía trước, chúng ta đang ở vị trí 3-6 giờ. Đây là nơi thấy tổn thương Bankart và các biến thể của nó. - Lưu ý các thớ sợi của dây chằng ổ chảo-cánh tay dưới (IGHL). Ở mức này cũng tìm kiếm tổn thương Bankart.
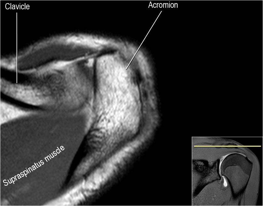
Trục của gân cơ trên gai
Gân cơ trên gai là cấu trúc quan trọng nhất của chóp xoay và là vị trí thường gặp của bệnh lý gân và rách gân.
Rách gân cơ trên gai được quan sát rõ nhất trên các chuỗi chụp nghiêng vành và chuỗi ABER.
Trong nhiều trường hợp, trục của gân cơ trên gai (đầu mũi tên) xoay ra trước nhiều hơn so với trục của cơ (mũi tên vàng).
Khi lập kế hoạch chuỗi chụp nghiêng vành, tốt nhất nên tập trung vào trục của gân cơ trên gai.
Giải phẫu mặt cắt vành và danh sách kiểm tra
- Lưu ý dây chằng quạ-đòn và đầu ngắn cơ nhị đầu.
- Lưu ý dây chằng quạ-mỏm cùng vai.
- Lưu ý thần kinh và mạch máu trên vai.
- Tìm kiếm hội chứng chèn ép cơ trên gai do gai xương khớp cùng-đòn hoặc dây chằng quạ-mỏm cùng vai dày lên.
- Đánh giá phức hợp sụn viền-gân cơ nhị đầu phần trên và tìm kiếm túi cùng dưới sụn viền hoặc rách SLAP.
- Tìm kiếm tràn dịch quá mức trong túi hoạt dịch dưới mỏm cùng vai và rách gân cơ trên gai.
- Tìm kiếm rách kiểu “rim-rent” của gân cơ trên gai tại chỗ bám của các thớ sợi trước.
- Đánh giá chỗ bám của dây chằng ổ chảo-cánh tay dưới (IGHL) vào xương cánh tay. Đánh giá phức hợp sụn viền-dây chằng phần dưới. Tìm kiếm tổn thương HAGL (bong điểm bám dây chằng ổ chảo-cánh tay tại xương cánh tay).
- Tìm kiếm rách gân cơ dưới gai.
- Lưu ý tổn thương Hill-Sachs nhỏ.
Giải phẫu mặt cắt đứng dọc và danh sách kiểm tra
- Lưu ý các cơ chóp xoay và tìm kiếm dấu hiệu teo cơ.
- Lưu ý dây chằng ổ chảo-cánh tay giữa (MGHL), có đường đi chéo qua khớp, và đánh giá mối liên quan với gân cơ dưới vai.
- Đôi khi ở mức này có thể quan sát thấy rách sụn viền ở vị trí 3-6 giờ.
- Đánh giá điểm neo gân cơ nhị đầu.
- Lưu ý hình dạng của mỏm cùng vai.
- Tìm kiếm hội chứng chèn ép do khớp cùng-đòn. Lưu ý khoảng gian chóp xoay với dây chằng quạ-cánh tay.
- Tìm kiếm rách gân cơ trên gai.
Tư thế ABER
Rách sụn viền
Tư thế dạng tay-xoay ngoài (ABER) rất hiệu quả trong việc đánh giá sụn viền trước-dưới ở vị trí 3-6 giờ,
nơi hầu hết các trường hợp rách sụn viền xảy ra.
Ở tư thế ABER, dây chằng ổ chảo-cánh tay dưới bị căng ra, tạo lực kéo lên sụn viền trước-dưới, cho phép thuốc tương phản từ nội khớp thấm vào giữa vị trí rách sụn viền và ổ chảo.
Rách chóp xoay
Tư thế ABER cũng rất hữu ích cho cả rách chóp xoay một phần lẫn toàn bộ chiều dày.
Động tác dạng tay và xoay ngoài giải phóng sức căng trên chóp xoay so với mặt cắt vành tiêu chuẩn khi cánh tay ở tư thế khép.
Kết quả là, các vết rách một phần chiều dày nhỏ ở mặt khớp sẽ không bị áp sát vào các thớ sợi còn nguyên vẹn liền kề của chóp xoay
cũng như không bị che khuất bởi chỏm xương cánh tay, và thuốc tương phản từ nội khớp có thể giúp hiển thị rõ hơn vị trí rách (3).
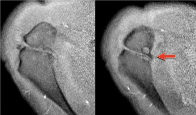
Hình ảnh ở tư thế ABER được thu nhận theo mặt phẳng ngang, lệch 45 độ so với mặt phẳng vành (hình minh họa).
Ở tư thế đó, vùng 3-6 giờ được chụp theo mặt phẳng vuông góc.
Lưu ý mũi tên đỏ chỉ một tổn thương Perthes nhỏ, không thấy được trên các mặt cắt ngang tiêu chuẩn.
Cuộn qua các hình ảnh và chú ý phần sụn viền không bám vào ổ chảo tại vị trí từ 12 đến 3 giờ — vị trí của lỗ dưới sụn viền.
Lưu ý bờ viền nhẵn, khác với bờ viền của rách SLAP.
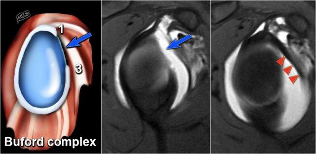
Phức hợp Buford
Phức hợp Buford là một biến thể sụn viền bẩm sinh.
Sụn viền phần trước trên vắng mặt tại vị trí từ 1 đến 3 giờ và dây chằng ổ chảo-cánh tay giữa thường dày lên.
Biến thể này gặp ở khoảng 1,5% dân số.
Trên các hình ảnh cắt ngang này, có thể nhận diện phức hợp Buford.
Sụn viền phía trước vắng mặt tại vị trí từ 1 đến 3 giờ và dây chằng ổ chảo-cánh tay giữa dày lên.
Dây chằng ổ chảo-cánh tay giữa dày lên không được nhầm lẫn với sụn viền bị di lệch.
Luôn có thể truy theo dây chằng ổ chảo-cánh tay giữa lên trên đến bờ ổ chảo và xuống dưới đến xương cánh tay.
Video về phức hợp Buford
Os Acromiale
Sự thất bại trong quá trình hợp nhất của một trong các trung tâm cốt hóa mỏm cùng vai sẽ dẫn đến hình thành os acromiale.
Tình trạng này xuất hiện ở 5% dân số.
Thông thường đây là phát hiện tình cờ và được xem là một biến thể giải phẫu bình thường.
Os acromiale có thể gây hội chứng chèn ép (impingement) do nếu không ổn định, nó có thể bị kéo xuống dưới trong quá trình dạng tay bởi cơ delta, vốn bám vào vị trí này.
Trên MRI, os acromiale được quan sát rõ nhất trên các lát cắt ngang (axial) phía trên.
Os acromiale cần được đề cập trong báo cáo, vì ở những bệnh nhân được cân nhắc phẫu thuật giải áp dưới mỏm cùng vai,
việc cắt bỏ phần mỏm cùng vai ở phía xa so với khớp sụn (synchondrosis) có thể làm mất ổn định thêm khớp sụn này và cho phép
os acromiale di động nhiều hơn sau phẫu thuật, từ đó làm nặng thêm hội chứng chèn ép (4).
Các hình ảnh MRI lát cắt ngang cho thấy os acromiale kèm theo các thay đổi thoái hóa, bao gồm nang dưới sụn và gai xương (mũi tên).

















































