Giải phẫu và bệnh lý vùng cổ dưới xương móng
Ngày xuất bản
Trong bài viết này, chúng tôi sẽ tập trung vào:
- Quy trình 3 bước để phân tích bệnh lý vùng cổ dưới xương móng trên hình ảnh cắt lớp.
- 5 khoang giải phẫu của vùng cổ dưới xương móng.
Giải phẫu Vùng Cổ Dưới Móng
Các tam giác phẫu thuật
Vùng cổ dưới móng là vùng cổ trải dài từ xương móng đến lỗ vào lồng ngực.
Theo truyền thống, giải phẫu vùng cổ dưới móng được phân chia thành một nhóm các tam giác phẫu thuật có ranh giới là các xương và cơ có thể sờ nắn dễ dàng (hình minh họa).
Các tam giác này có hướng từ trên xuống dưới (đầu-đuôi), do đó khó tương quan với hình ảnh cắt ngang.
Một cách tiếp cận khác về giải phẫu vùng cổ là cách tiếp cận theo “khoang giải phẫu”, mà chúng tôi sẽ sử dụng trong bài tổng quan này.
Lưu ý cơ vai móng (musculus omohyoideus) trong hình minh họa.
Đây là một trong các cơ “dây đai” (strap muscles), một mốc giải phẫu quan trọng ở vùng cổ.
Đây là nhóm gồm bốn cặp cơ ở phần trước của cổ: cơ ức giáp, cơ ức móng, cơ giáp móng và cơ vai móng.
Tất cả đều bám vào xương móng và có hình dạng như một dây đai.
Các cơ dây đai còn lại không được vẽ trong hình minh họa này.
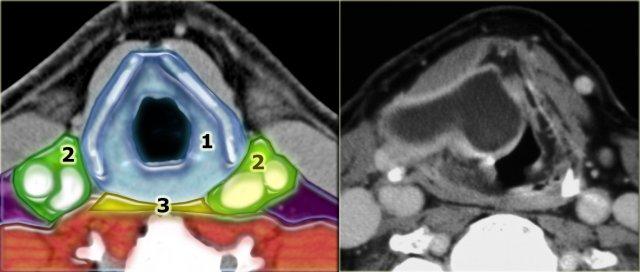
Các khoang của vùng cổ dưới móng
- Khoang tạng
Ngăn trung tâm chứa nhiều tạng như thanh quản, tuyến giáp, hạ họng và thực quản cổ. - Khoang cảnh
Khoang đôi nằm ngay bên ngoài ngăn tạng, chứa động mạch cảnh trong, tĩnh mạch cảnh trong và một số cấu trúc thần kinh. - Khoang sau hầu
Khoang ảo nhỏ chỉ chứa mô mỡ, liên tục với khoang trên móng và trung thất giữa. - Khoang cổ sau
Khoang đôi nằm sau bên so với khoang cảnh.
Chứa mô mỡ, hạch bạch huyết và các thành phần thần kinh. - Khoang cạnh sống
Khoang lớn này bao quanh hoàn toàn thân đốt sống, bao gồm các cơ trước và cạnh sống.
Tiếp cận hệ thống
Tiếp cận hệ thống đối với bệnh lý vùng cổ dưới móng là quy trình ba bước:
- Bước 1:
Tổn thương nằm trong khoang nào? - Bước 2:
Các thành phần bình thường của khoang đó là gì? - Bước 3:
Bệnh lý nào phát sinh từ các thành phần đó, liệu chúng ta có thể nhận diện một hình thái X quang đặc trưng và hình thái đó có tương ứng với thông tin lâm sàng hay không?
Khoang tạng
Khoang tạng trải dài từ xương móng đến trung thất trước và không kéo dài vào khoang trên xương móng.
Bên trái là hình ảnh các thành phần bình thường và bệnh lý xuất phát từ khoang tạng.
Lát cắt CT ở mức thanh quản trên thanh môn và sụn giáp.
Phía trước sụn giáp là các cơ dây đai (strap muscles): cơ ức giáp, cơ ức móng, cơ giáp móng và cơ vai móng.
Tất cả các cơ này đều bám vào xương móng và có chức năng hạ thấp xương móng và thanh quản trong quá trình nuốt và nói.
Các cơ này dài và dẹt, có hình dạng tương tự như một chiếc dây đai.
Chúng ta sẽ tiếp tục với một số ca lâm sàng.
Mặc dù chúng tôi đã cung cấp chẩn đoán trong các ca này, chúng tôi vẫn muốn bạn áp dụng phương pháp tiếp cận 3 bước.
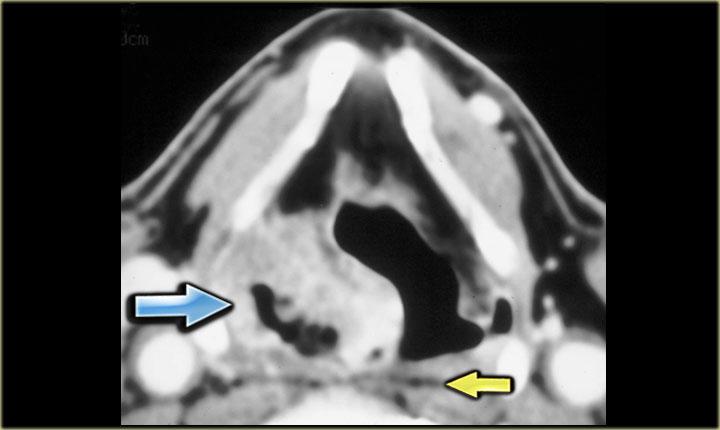
Túi thoát vị thanh quản (Laryngocele)
Bước 1: Xác định khoang
Bên trái là hình ảnh một bệnh nhân có khối phồng ở bên phải cổ.
Hãy quan sát hình ảnh và xác định tổn thương nằm trong khoang nào.
Sau đó tiếp tục đọc.
Khối phồng nằm trong giới hạn của sụn giáp.
Do đó, đây phải là bệnh lý xuất phát từ khoang tạng.
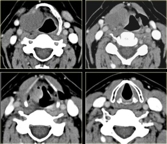
Bước 2: Các thành phần bình thường
Bên trái là một hình ảnh bổ sung ở mức thấp hơn một chút.
Hãy quan sát các hình ảnh và xác định những cấu trúc nào trong khoang tạng hiện diện ở mức này và những cấu trúc nào không có.
Sau đó tiếp tục đọc.
Lát cắt CT cho thấy tổn thương ở mức thanh quản trên thanh môn và sụn giáp.
Vì vậy, chúng ta đang ở vị trí quá cao so với khí quản, tuyến giáp, tuyến cận giáp và thần kinh thanh quản quặt ngược, vốn nằm trong rãnh khí quản-thực quản.
Các hạch bạch huyết cạnh khí quản nhóm VI nằm xung quanh thanh quản chứ không nằm bên trong thanh quản, do đó có thể loại trừ.
Hạ họng nằm phía sau tổn thương và có hình ảnh bình thường.
Các tàn dư phôi thai như nang ống giáp lưỡi có thể được xem xét, nhưng chúng thường nằm trong cơ dây đai thanh quản và do đó phải nằm phía trước sụn giáp.
Vì vậy, cấu trúc giải phẫu bình thường duy nhất mà tổn thương này có thể xuất phát là thanh quản.
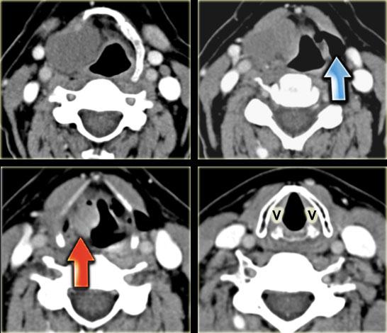
Bước 3: Nhận dạng hình thái
Tổn thương này biểu hiện là một tổn thương dạng nang với bờ rõ nét, ngấm thuốc.
Tổn thương nằm ở thanh quản trên thanh môn trong khoang cạnh thanh môn bên phải và còn có thành phần ngoài thanh quản, giải thích cho khối phồng ở bên phải cổ.
Khi nội soi, thấy một khối phồng dưới niêm mạc lớn ở bên phải trong thanh quản.
Ung thư biểu mô tế bào vảy, vốn là bệnh lý niêm mạc, do đó có thể loại trừ.
Khi xem xét hình ảnh học của bốn thực thể dưới niêm mạc được đề cập trong bảng bên trái, chúng ta có thể đưa ra các nhận xét sau:
- Sarcoma sụn (Chondrosarcoma): chúng ta sẽ kỳ vọng thấy các vôi hóa không đều như trong tất cả các khối u sụn ác tính. Tuy nhiên, tổn thương này không có vôi hóa.
- U cận hạch (Paraganglioma): đây là tổn thương tăng sinh mạch máu, trong khi tổn thương này chỉ có thành ngấm thuốc.
- U bao thần kinh (Schwannoma): là tổn thương hiếm gặp ở vị trí này và chúng ta sẽ kỳ vọng hình ảnh đặc hơn, trong khi tổn thương này hoàn toàn dạng nang.
- Túi thoát vị thanh quản (Laryngocele): đây là chẩn đoán
Túi thoát vị thanh quản thứ phát trong và ngoài do khối u ở mức buồng thanh quản (khối ngấm thuốc trên hình bên phải)
Túi thoát vị thanh quản (Laryngocele) (2)
Khi nghi ngờ túi thoát vị thanh quản, bạn luôn phải tìm kiếm cẩn thận nguyên nhân tiềm ẩn.
Túi thoát vị thanh quản nguyên phát không có nguyên nhân tiềm ẩn.
Túi thoát vị thanh quản thứ phát xuất hiện do bệnh lý ở buồng thanh quản, là khe hở dạng khe giữa dây thanh thật và dây thanh giả.
Túi thoát vị thanh quản thứ phát thường do ung thư biểu mô tế bào vảy gây ra, như trong trường hợp này.
Khi nội soi, khối u có thể bị che khuất bởi chính túi thoát vị thanh quản.

TRÁI: Hình CT mặt phẳng vành qua thanh quản với giải phẫu bình thường: dây thanh giả (F), dây thanh thật (T) và buồng thanh quản ở giữa (V). PHẢI: Túi thoát vị thanh quản thứ phát trong và ngoài chứa dịch do khối u nhỏ ngấm thuốc ở buồng thanh quản (T) gây tắc nghẽn buồng thanh quản. Bên trái là túi thoát vị thanh quản nguyên phát trong và ngoài chứa khí.
Cơ chế hình thành túi thoát vị thanh quản
Buồng thanh quản (v) là khe hở dạng khe giữa dây thanh giả và dây thanh thật (hình ngoài cùng bên trái).
Đây là mốc giải phẫu phân chia vùng trên thanh môn và thanh môn.
Buồng thanh quản kéo dài sang bên và sau đó lên trên vào khoang cạnh thanh môn.
Khi lỗ mở của buồng thanh quản bị khối u tắc nghẽn hoàn toàn, niêm mạc trong khoang cạnh thanh môn tiếp tục tiết dịch.
Điều này dẫn đến túi thoát vị thanh quản bên trong chứa dịch.
Cuối cùng, khoang cạnh thanh môn bị lấp đầy và túi thoát vị thanh quản bên trong sẽ trở thành bên ngoài bằng cách lan ra ngoài thanh quản qua màng giáp móng.
Khi lỗ mở của buồng thanh quản bị tắc nghẽn một phần, cơ chế van áp lực có thể tạo ra túi thoát vị thanh quản bên trong chứa khí, và cuối cùng có thể trở thành bên ngoài (hình bên phải, mũi tên đỏ).
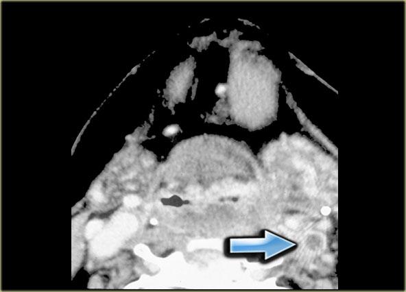
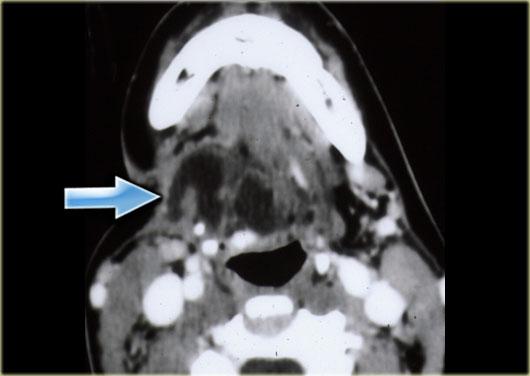
Ung thư biểu mô tế bào vảy
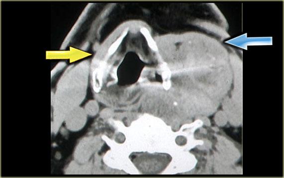
Bên trái là hình CT ở mức sụn giáp.
Có một khối không đều nằm trung tâm ở xoang lê bên phải.
Khối này nằm trong khoang tạng.
Ở vùng này, khối u thường gặp nhất là ung thư biểu mô tế bào vảy.
Chẩn đoán này đã được xác nhận qua sinh thiết.
Lưu ý khoang sau hầu (mũi tên vàng).
Đây là khoang ảo chỉ chứa một ít mô mỡ.
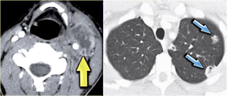
Ung thư biểu mô tế bào vảy (2)
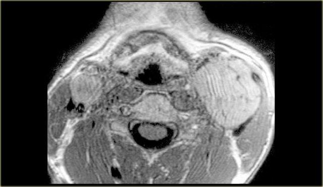
Bên trái là các lát cắt liên tiếp theo hướng từ trên xuống dưới ở mức thanh quản.
Hãy nghiên cứu ca này, khá tương tự với một ca đã được thảo luận trước đó, sau đó tiếp tục đọc.
-
Khối có tỷ trọng dịch ở bên phải tại mức thanh quản trên thanh môn, tức là túi thoát vị thanh quản.
Có một thành phần nhỏ ngoài thanh quản.
Phía dưới túi thoát vị thanh quản này là một khối u nhỏ ngấm thuốc ở buồng thanh quản (mũi tên đỏ).
Sinh thiết xác nhận ung thư biểu mô tế bào vảy. - Bên trái có một túi thoát vị thanh quản chứa khí (mũi tên xanh).
- Dây thanh âm (v) bình thường.

Bướu giáp đa nhân. Các cơ dây đai bên phải (mũi tên vàng) và vị trí ước tính của các cơ dây đai bên trái (mũi tên xanh)
Bướu giáp đa nhân
Bước 1: Xác định khoang
Bên trái là hình ảnh một bệnh nhân có khối phồng ở bên trái cổ, đã tồn tại nhiều năm.
Khối phồng tiếp giáp với cánh sụn giáp bên trái.
Các cơ dây đai có vẻ như được trải phủ lên tổn thương (mũi tên xanh).
Do đó, tổn thương này nằm trong khoang tạng.
Bước 2: Các thành phần bình thường
Phân tích các thành phần giải phẫu bình thường của khoang tạng giúp loại trừ nhiều mô và cơ quan có thể là nguồn gốc của bệnh lý này:
-
Thanh quản và hạ họng
Khối này nằm bên ngoài thanh quản và hạ họng.
Hạ họng bị đẩy lệch nhẹ do sự lan rộng ra sau hầu của khối và tổn thương nằm ở vị trí cao hơn khí quản. -
Tàn dư phôi thai
Các tàn dư như nang ống giáp lưỡi có thể được xem xét nhưng các tổn thương này thường có dạng nang. -
Hạch bạch huyết cạnh khí quản
Các hạch này nằm bên ngoài cơ dây đai. -
Thần kinh thanh quản quặt ngược
Thần kinh này nằm trong rãnh khí quản-thực quản.
Bằng phương pháp loại trừ, chúng ta có thể kết luận rằng khối này xuất phát từ tuyến giáp hoặc tuyến cận giáp.
Bước 3: Nhận dạng hình thái và thông tin lâm sàng
Trên phim ngực, chúng ta nhận thấy khí quản bị đẩy lệch sang phải bởi một khối trung thất trên.
Vì vậy, khối nằm trong khoang tạng và lan rộng vào trung thất trước, do khí quản nằm trong trung thất trước.
Khối có bờ rõ nét so với mô mỡ xung quanh và có một vài vôi hóa thô rải rác.
Khi kết hợp các dấu hiệu này, chúng ta nhận ra hình thái học trên chẩn đoán hình ảnh của bướu giáp đa nhân lành tính.
Chẩn đoán này phù hợp với thông tin lâm sàng rằng khối phồng ở cổ đã tồn tại nhiều năm.
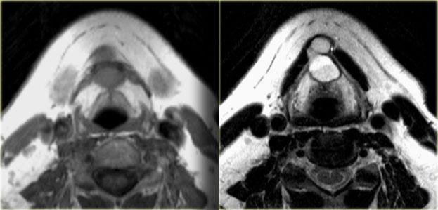
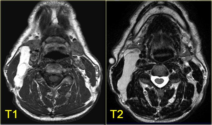
Nang ống giáp lưỡi
Bên trái là hình ảnh chuỗi xung T1W và T2W mặt phẳng ngang ở mức xương móng.
Không có ngấm thuốc tương phản từ trên chuỗi xung sau tiêm Gadolinium (không hiển thị).
Đây là tổn thương dạng nang ở đường giữa, một phần nằm ngoài và một phần nằm trong xương móng, thuộc khoang tạng.
Tổn thương nằm trong cơ dây đai.
Khó có khả năng tổn thương này xuất phát từ khí quản, tuyến giáp, tuyến cận giáp hoặc thần kinh thanh quản quặt ngược, vì các cấu trúc này nằm
Khoang cảnh
Khoang cảnh trải dài từ nền sọ đến cung động mạch chủ.
Nó đi qua vùng cổ trên và dưới xương móng vào trung thất trước.
Bên trái là hình ảnh các thành phần bình thường của khoang cảnh và các bệnh lý liên quan.

Paraganglioma: Hình ảnh MRI chuỗi xung T1W có tiêm thuốc tương phản từ Gadolinium tại mức thanh quản trên thanh môn
Paraganglioma
Bước 1: Xác định khoang
Bên trái là hình ảnh một bệnh nhân có khối sưng ở bên trái cổ.
Hãy quan sát hình ảnh MRI tại mức thanh quản trên thanh môn và xác định tổn thương nằm trong khoang nào.
Sau đó tiếp tục đọc.
Khối sưng nằm tập trung giữa động mạch cảnh ngoài và động mạch cảnh trong.
Lưu ý rằng các mạch máu này bị chèn ép.
Rõ ràng tổn thương này phải nằm trong khoang cảnh.
Cần lưu ý rằng có một tổn thương nhỏ hơn nhưng có hình thái tương tự, nằm ở khoang cảnh bên phải.
Bước 2: Các thành phần bình thường
Bây giờ chúng ta cần cố gắng xác định nguồn gốc giải phẫu bình thường đã gây ra bệnh lý này.
Một lần nữa, chúng ta sử dụng phương pháp loại trừ:
- Động mạch cảnh và tĩnh mạch cảnh trong bị chèn ép nhưng vẫn hiện diện.
- Hạch bạch huyết mức 2-4 thường được tìm thấy ở phía ngoài các mạch máu, không phải ở giữa.
-
Các tàn dư bẩm sinh của khoang cảnh thường là nang khe mang thứ hai.
Như tên gọi đã chỉ ra, các tổn thương này có tính chất dạng nang. - Các cấu trúc thần kinh trong khoang cảnh như dây thần kinh phế vị và đám rối giao cảm nằm giữa các mạch máu lớn.
Do đó, rất có khả năng các khối sưng hai bên của bệnh nhân này xuất phát từ các cấu trúc thần kinh này.
Chúng ta đã thu hẹp được chẩn đoán phân biệt xuống còn khá hạn chế và đặc trưng cho khoang này (xem hình tiếp theo).
- U bao thần kinh (Schwannoma) và u sợi thần kinh (Neurofibroma) là các khối u hiếm gặp.
Ngoại lệ duy nhất là ở bệnh nhân mắc bệnh u sợi thần kinh (Neurofibromatosis).
Khác với tổn thương này, u bao thần kinh và u sợi thần kinh thường xuất hiện một bên.
Mặc dù chúng có ngấm thuốc tương phản từ trên MRI, nhưng thường không có hiện tượng mất tín hiệu dòng chảy (flow voids). -
Paraganglioma thường gặp dạng đa ổ ở 3% đến 5% bệnh nhân nói chung và 20% đến 30% ở những người có tiền sử gia đình dương tính.
Các tổn thương này ngấm thuốc mạnh trên CT và MRI như được thấy trên hình ảnh MRI mặt phẳng coronal sau tiêm Gadolinium này.
Trong tổn thương lớn hơn ở bên trái, có thể thấy các vùng mất tín hiệu dòng chảy điển hình (xem thêm hình ảnh mặt cắt ngang).
Vì vậy, chúng ta có thể kết luận rằng có các tổn thương ngấm thuốc mạnh hai bên với hiện tượng mất tín hiệu dòng chảy trong khoang cảnh, nhiều khả năng nhất là u thể cảnh hoặc paraganglioma.

Paraganglioma: Siêu âm Doppler màu, MRI chuỗi xung T1W không tiêm thuốc tương phản từ và CT có tiêm thuốc cản quang
Paraganglioma (2)
Bên trái là hình ảnh của một bệnh nhân nữ 21 tuổi có khối ở bên phải.
Tổn thương này nằm giữa động mạch cảnh trong và động mạch cảnh ngoài, do đó là một khối u thần kinh.
Chẩn đoán phân biệt được giới hạn ở các khối u xuất phát từ dây thần kinh phế vị và đám rối giao cảm.
Trên CT và siêu âm Doppler màu, khối rõ ràng có tăng sinh mạch máu và chẩn đoán duy nhất có thể là paraganglioma.
Paraganglioma (3)
Các điểm chính
- Còn được gọi là u thể cảnh.
- Đa ổ ở 4% bệnh nhân.
- 25% có tiền sử gia đình dương tính.
- Ngấm thuốc mạnh trên CT và MRI.
- Thường có hiện tượng mất tín hiệu dòng chảy (flow voids).
U bao thần kinh (Schwannoma)
Bên trái là hình ảnh của một bệnh nhân nữ 28 tuổi có khối không đau ở góc hàm dưới bên trái.
Bước 1
Khối nằm trong khoang cảnh.
Bước 2
Các thành phần giải phẫu: động mạch cảnh, tĩnh mạch cảnh trong, dây thần kinh phế vị, đám rối giao cảm, hạch bạch huyết (mức 2-4) và các tàn dư bẩm sinh của khe mang thứ hai.
Bước 3
- Động mạch cảnh và tĩnh mạch cảnh trong bị đẩy lệch nhưng trông bình thường.
- Hạch bạch huyết thường nằm ở phía ngoài các mạch máu, không phải ở giữa. Ở cả hai bên đều có một hạch bạch huyết mức 2 hình bầu dục trông bình thường.
- Các tàn dư bẩm sinh của khoang cảnh thường là nang khe mang thứ hai. Như tên gọi đã chỉ ra, các tổn thương này có tính chất dạng nang.
- Khối u có nguồn gốc thần kinh: tổn thương nằm giữa các mạch máu lớn.
Do đó, rất có khả năng khối này có nguồn gốc thần kinh:
- Đám rối giao cảm: paraganglioma ít có khả năng, vì paraganglioma thể hiện ngấm thuốc mạnh và nhiều mạch máu nhỏ trên chụp mạch.
- Dây thần kinh phế vị: U bao thần kinh (Schwannoma) hoặc u sợi thần kinh (Neurofibroma) là chẩn đoán có khả năng nhất, vì chúng có thể xuất phát trong khoang này.
Chúng có ngấm thuốc, nhưng không đặc biệt tăng sinh mạch máu.
Hiện tượng mất tín hiệu dòng chảy thường không có.
Không thể phân biệt giữa hai khả năng này dựa trên hình ảnh học.
Huyết khối tĩnh mạch cảnh
Huyết khối tĩnh mạch cảnh trong là một tình trạng thường bị chẩn đoán thiếu, có thể xảy ra như một biến chứng của nhiễm trùng vùng đầu cổ, phẫu thuật, đặt catheter tĩnh mạch trung tâm và lạm dụng thuốc tiêm tĩnh mạch.
Huyết khối tĩnh mạch cảnh bị nhiễm trùng do lan rộng từ nhiễm trùng hầu họng được gọi là hội chứng Lemierre.
Đây là một nhiễm trùng do vi khuẩn có thể gây ra bệnh suất nặng nề hoặc thậm chí tử vong, do cuối cùng các thuyên tắc nhiễm khuẩn có thể lan đến phổi.
Bên trái là hình ảnh một bệnh nhân đã được cắt thanh quản toàn phần vài năm trước.
Triệu chứng hiện tại là khối sưng đau ở bên trái cổ trong một ngày.
Bước 1
CT có tiêm thuốc cản quang tại mức giữa cổ cho thấy tân hầu họng với một số kẹp phẫu thuật ở bên trái và thùy tuyến giáp phải còn nguyên vẹn có ngấm thuốc.
Ngoài ra còn có một tổn thương giảm tỷ trọng hình tròn trong khoang cảnh bên trái.
Bước 2
Trong trường hợp này, việc phân tích các thành phần giải phẫu bình thường của khoang cảnh có thể ngắn gọn.
Khi so sánh bên trái với bên phải, rõ ràng chúng ta đang đối mặt với một tĩnh mạch cảnh trong bị giãn to và không ngấm thuốc.
Hình ảnh ở mức cao hơn cho thấy hình ảnh tương tự của tĩnh mạch cảnh trong (mũi tên).
Bước 3
Kết hợp với thông tin lâm sàng về khối sưng đau ở bên trái cổ, chỉ có một chẩn đoán duy nhất có thể:
Huyết khối cấp tính tĩnh mạch cảnh trong bên trái.
Hội chứng Lemierre
Khi chẩn đoán huyết khối cấp tính tĩnh mạch cảnh trong, hãy luôn tìm kiếm các triệu chứng phổi, tức là hội chứng Lemierre.
Nhiễm trùng miệng lan vào cổ và gây viêm tắc tĩnh mạch cảnh trong với các thuyên tắc nhiễm khuẩn tiếp theo.
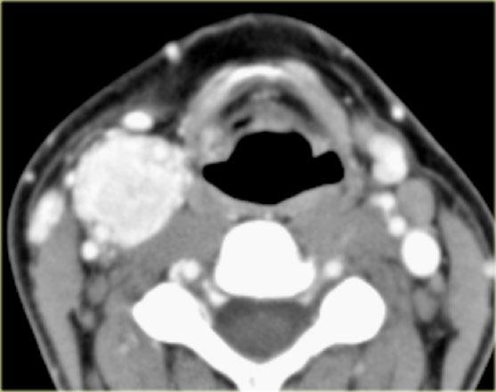
Nang khe mang thứ hai
Bên trái là hình ảnh của một bệnh nhân nữ 36 tuổi có khối sưng tiến triển ở bên trái cổ.
Gần đây bệnh nhân vừa hồi phục sau áp xe quanh amidan.
Khám tai mũi họng phát hiện lỗ rò ở amidan trái.
Vị trí của khối trên CT cho thấy nó nằm trong khoang cảnh.
Phân tích dựa trên các thành phần giải phẫu bình thường:
- Động mạch cảnh và tĩnh mạch cảnh trong: bình thường.
- Dây thần kinh phế vị hoặc đám rối giao cảm: khối không nằm giữa các mạch máu, do đó có thể loại trừ các tổn thương thần kinh.
- Hạch bạch huyết: đây chắc chắn có thể là một hạch bạch huyết hoại tử.
- Các tàn dư bẩm sinh: hình thái dạng nang của tổn thương, kết hợp với thông tin lâm sàng, khiến nang khe mang thứ hai là chẩn đoán có khả năng nhất.
Nang khe mang thứ hai (2)
Các điểm chính
- 95% tất cả các dị tật khe mang xuất phát từ khe mang thứ hai.
- Biểu hiện thường gặp nhất: nang, đôi khi kết hợp với xoang hoặc rò.
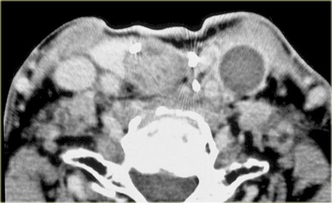
- Nhiễm trùng được biểu hiện bởi tăng tỷ trọng, vách ngăn và dày thành nang.
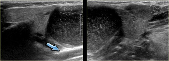
Bên trái là hình ảnh siêu âm theo mặt phẳng dọc và ngang của một nang khe mang thứ hai lớn ở một bé gái 12 tuổi, nằm giữa tuyến mang tai (hình bên trái) và tuyến dưới hàm (hình bên phải).
Nang nằm nông so với động mạch cảnh và tĩnh mạch cảnh (mũi tên).
Nội dung nang giảm âm với các mảnh vụn di động tự do.

Khoang Sau Hầu
Khoang sau hầu trải dài từ nền sọ ở phía trên đến trung thất sau ở mức chỗ phân đôi khí quản ở phía dưới.
Trong điều kiện bình thường, khoang sau hầu là một khoang ảo, chứa các hạch bạch huyết sau hầu ở phần trên cùng với một ít mô mỡ.
Các ổ nhiễm trùng ở miệng có thể lan qua khoang này vào trung thất sau.
Có hai khoang khác nằm gần kề với khoang sau hầu: khoang nguy hiểm và khoang trước cột sống.
Chúng thường bị nhầm lẫn với khoang sau hầu.
Khoang nguy hiểm thực chất nằm giữa mạc cánh (alar fascia) — tạo nên ranh giới sau của khoang sau hầu — và mạc trước cột sống.
Khoang này trải dài từ nền sọ ở trên đến mức cơ hoành.
Khoang trước cột sống được giới hạn phía trước bởi mạc trước cột sống và phía sau bởi các cơ longus colli của cột sống.
Khoang này đi xuống trung thất và tiếp tục đến chỗ bám của các cơ thắt lưng chậu (psoas).
Điều quan trọng cần nhận thức là các tổn thương bệnh lý ở vùng này có thể lan vào trung thất sau, và chúng ta không nên dừng khảo sát hình ảnh cho đến khi đạt đến mức chỗ phân đôi khí quản.
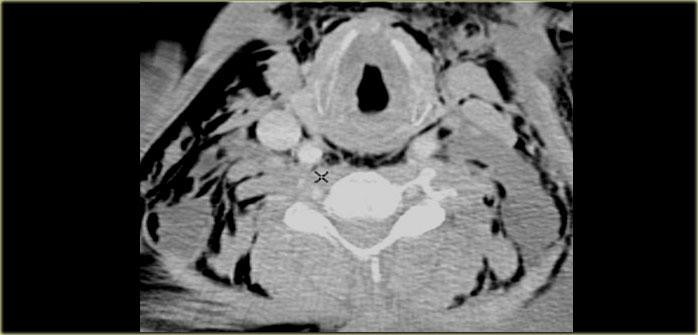
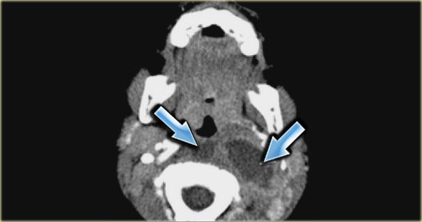
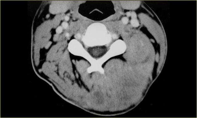
Áp-xe sau hầu
Bên trái là hình ảnh CT cắt ngang có tiêm thuốc cản quang của một trẻ nhũ nhi bị sốt.
Trẻ không thể nuốt được.
Tổn thương bệnh lý này nằm trong khoang sau hầu.
Các cơ trước cột sống bị đẩy về phía thân đốt sống.
Nếu đây là tổn thương nằm trong khoang cạnh cột sống, các cơ này sẽ bị đẩy ra phía trước.
Khoang sau hầu bị giãn rộng và chứa nhiều ổ dịch có tỷ trọng dịch.
Rõ ràng đây là tình trạng nhiễm trùng sau hầu với nhiều ổ áp-xe.
Đây là tình huống cấp cứu vì các ổ áp-xe sẽ tiếp tục lan rộng và có thể gây tắc nghẽn đường thở.
Thông thường, các ổ áp-xe sâu này cần được dẫn lưu phẫu thuật.
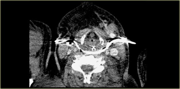
Bên trái là hình ảnh của một bệnh nhân người lớn bị áp-xe sau hầu sau khi được dẫn lưu phẫu thuật.
Các ống dẫn lưu chạy từ trái sang phải xuyên qua khoang sau hầu.
Khoang sau hầu có thể bị nhiễm trùng theo hai cơ chế.
Áp-xe sau hầu ‘kinh điển’ thường gặp ở bệnh nhân nhi xảy ra khi nhiễm trùng đường hô hấp trên như viêm hầu họng hoặc viêm VA lan đến các hạch bạch huyết sau hầu.
Chấn thương xuyên thấu, bao gồm dị vật, xương cá hoặc các nguyên nhân do thầy thuốc gây ra như nội soi hoặc đặt nội khí quản, cũng có thể là nguyên nhân gây nhiễm trùng khoang sau hầu.
Phù nề sau hầu
Bên trái là hai hình ảnh của một bệnh nhân bị ung thư xoang lê (đã trình bày trước đó).
Hình ngoài cùng bên trái cho thấy khối u xoang lê trước khi xạ trị.
Hình ảnh kế bên cho thấy đáp ứng hoàn toàn sau xạ trị.
Khoang sau hầu hiện đang bị giãn rộng và cho thấy tỷ trọng mô mỡ tăng lên do phù nề sau xạ trị.
Khoang cổ sau
Bên trái là bảng tóm tắt các thành phần bình thường của khoang cổ sau và các bệnh lý tương ứng.
MPNST là viết tắt của u bao thần kinh ngoại biên ác tính (malignant peripheral nerve sheath tumor), đây là tên gọi chính xác của u schwann ác tính.
U lympho
Bước 1: Xác định khoang
Bên trái là hình ảnh một bệnh nhân có sưng nề hai bên cổ.
Hình ảnh CT tại mức xương móng cho thấy nhiều tổn thương dạng tròn nằm ở phía trong cơ ức đòn chũm và phía sau tĩnh mạch cảnh trong.
Các tổn thương đa ổ hai bên này được xác định nằm trong khoang cổ sau.
Bước 2
Phân tích các thành phần giải phẫu bình thường của khoang cổ sau:
- Mô mỡ
Mô mỡ có hình ảnh bình thường. - Thần kinh phụ
Bệnh lý thần kinh phụ thường biểu hiện một bên. - Đám rối thần kinh cánh tay
Có thể cân nhắc các bệnh lý đám rối thần kinh cánh tay như u xơ thần kinh.
Tuy nhiên, chúng ta sẽ kỳ vọng thấy các tổn thương liên tục dọc theo đường đi của dây thần kinh, chứ không phải các tổn thương tròn riêng biệt như thế này. - Túi bạch huyết phôi thai nguyên thủy:
Các di tích bẩm sinh như u nang bạch huyết (cystic hygroma) có thể xuất hiện hai bên.
Đây là các tổn thương nang hợp lưu có giảm tỷ trọng.
Bước 3
Bằng phương pháp loại trừ, chúng ta có thể kết luận đây là các hạch bạch huyết to hai bên với hình ảnh ngấm thuốc đồng nhất.
Ngấm thuốc đồng nhất là đặc điểm điển hình của u lympho.
Hoại tử trung tâm đặc trưng hơn cho di căn hạch từ ung thư biểu mô tế bào vảy.
Sinh thiết hạch bạch huyết ở bệnh nhân này xác nhận chẩn đoán u lympho không Hodgkin tế bào B.
U lympho (2)
Bên trái là hình ảnh của một phụ nữ 67 tuổi có tiền sử u lympho không Hodgkin.
Bệnh nhân gần đây phát hiện sưng nề ở bên trái cổ.
Bước 1
Hình ảnh CT tại mức dây thanh âm thật cho thấy một khối rõ ràng nằm trong khoang cổ sau.
Bước 2
Khối có bờ rõ và đồng tỷ trọng với cơ.
Hình ảnh tái tạo mặt phẳng coronal cho thấy khối có hình dạng thuôn dài, kéo dài về phía nách theo đường đi của đám rối thần kinh cổ-cánh tay.
Tiếp tục xem các hình ảnh MRI.
Tổn thương xuất phát từ lỗ liên hợp thần kinh bên trái và phát triển dọc theo đường đi của đám rối thần kinh cánh tay (mũi tên đỏ).
Thực chất, chúng ta đang quan sát thấy hình ảnh đám rối thần kinh bị dày lên rõ rệt.
Bước 3
Đặc điểm hình ảnh học xác nhận nguồn gốc thần kinh của khối.
Kết hợp với tiền sử bệnh, chẩn đoán cuối cùng là thâm nhiễm lan tỏa đám rối thần kinh cánh tay trái do u lympho không Hodgkin tái phát.
U mỡ
Bên trái là hình ảnh của một bệnh nhân có sưng nề ở phía sau bên trái cổ.
Hình ảnh MRI tại mức xương móng.
Tổn thương nằm trong khoang cổ sau.
Trong trường hợp này, việc phân tích các thành phần giải phẫu bình thường của khoang cổ sau có thể được rút gọn.
Khối có tín hiệu tương đương mô mỡ trên chuỗi xung T1W và tín hiệu bị xóa hoàn toàn khi áp dụng kỹ thuật xóa mỡ.
Không có hình ảnh ngấm thuốc (không trình bày), do đó có thể kết luận đây là u mỡ.
Bên trái là hình ảnh chuỗi xung T1W và T2W của một bệnh nhân khác có u mỡ.
U mạch bạch huyết hay U nang bạch huyết
Bên trái là hình ảnh chuỗi xung T2W mặt phẳng axial có xóa mỡ và chuỗi xung T1W mặt phẳng coronal của một bé gái 12 tuổi đến khám vì sưng mềm ở vùng cổ.
Bước 1
Có một tổn thương đa thùy trong khoang cổ sau.
Bước 2
Phân tích các thành phần giải phẫu:
- Mô mỡ:
Hình ảnh chuỗi xung T1W mặt phẳng coronal cho thấy mô mỡ bình thường xung quanh tổn thương. - Thần kinh:
Bệnh lý thần kinh phụ hiếm gặp và thường biểu hiện là một tổn thương đặc đơn độc.
Các tổn thương đám rối thần kinh cánh tay thường nằm ở vị trí cạnh cột sống hơn. - Hạch bạch huyết:
Có thể cân nhắc, nhưng các hạch thường đặc hoặc một phần đặc.
Di tích phôi thai:
Các di tích của hệ bạch huyết nguyên thủy như u mạch bạch huyết thường gặp nhất ở nhóm tuổi này và cần được xem xét.
Bước 3
Trên chuỗi xung T2W có xóa mỡ, tổn thương có cấu trúc đa thùy với tín hiệu dịch.
Không có hình ảnh ngấm thuốc trên chuỗi xung T1W.
Những đặc điểm này, kết hợp với việc khối sưng mềm và xuất hiện ở trẻ em, là đặc trưng cho chẩn đoán u mạch bạch huyết, còn được gọi là u nang bạch huyết.
U mạch bạch huyết (2)
Các đặc điểm chính
- Tổn thương lành tính không có vỏ bao, xuất phát từ các “hồ bạch huyết” phôi thai giãn rộng không phát triển được hệ thống dẫn lưu bạch huyết bình thường.
-
90% gặp ở trẻ em, 10% gặp ở người trẻ tuổi.
Có thể xuất hiện ở bất kỳ vị trí nào trong vùng đầu cổ. Thường gặp nhất ở khoang cổ sau. 10% trường hợp lan xuống trung thất. -
Tăng tín hiệu trên chuỗi xung T2W.
Tín hiệu trên chuỗi xung T1W phụ thuộc vào hàm lượng protein. - Chảy máu trong tổn thương dẫn đến tăng kích thước nhanh chóng và hình ảnh mức dịch-dịch trên MRI.
Khoang cạnh cột sống
Bên trái là bảng tóm tắt các thành phần bình thường của khoang cạnh cột sống và các bệnh lý tương ứng.
Sarcôm
Bên trái là hình ảnh CT có tiêm thuốc cản quang qua vùng cổ trên của một bệnh nhân có triệu chứng sưng phồng chậm phát triển ở phía sau bên trái cổ.
Bước 1: Xác định khoang tổn thương
Có một khối mô mềm lớn tiếp giáp với thân đốt sống, tập trung tại khoang cạnh cột sống.
Bước 2
Phân tích các thành phần giải phẫu bình thường của khoang cạnh cột sống:
- Thân đốt sống: Không bị xâm lấn.
- Đám rối thần kinh cánh tay. Các tổn thương xuất phát từ đám rối cổ-cánh tay thường được tìm thấy ở vị trí cạnh cột sống hơn.
- Động mạch và tĩnh mạch đốt sống: Không bị xâm lấn.
- Cơ trước cột sống và cơ cạnh cột sống.
Tổn thương rõ ràng xuất phát từ khối cơ cạnh cột sống bên trái.
Bước 3
Các mặt phẳng mỡ bình thường giữa các cơ riêng lẻ đã biến mất. Các đặc điểm hình ảnh còn lại không đặc hiệu.
Điều này dẫn đến chẩn đoán phân biệt khá rộng đối với bệnh lý cơ: sarcôm, u xơ cứng (fibromatosis), u lymphô và nhiễm trùng.
Thông tin lâm sàng về một khối phát triển chậm gợi ý nhiều đến quá trình ác tính.
Sinh thiết khối u cho kết quả là sarcôm.
U xơ lành tính
Bên trái là hình ảnh của bệnh nhân nam 75 tuổi với khối ở đường giữa phát triển chậm.
Bước 1
Tổn thương nằm trong khoang cạnh cột sống.
Bước 2
Thân đốt sống và các mạch máu đốt sống không bị xâm lấn.
Các tổn thương xuất phát từ đám rối cổ-cánh tay thường được tìm thấy ở vị trí cạnh cột sống hơn.
Khối ngấm thuốc tương phản từ mạnh.
Trung tâm khối có hiện tượng mất tín hiệu dòng chảy (flow voids), cho thấy bản chất tăng sinh mạch máu.
Các đặc điểm hình ảnh còn lại không đặc hiệu.
Bước 3
Thông tin lâm sàng về một khối phát triển chậm gợi ý nhiều đến quá trình ác tính.
Sinh thiết trước phẫu thuật cắt bỏ cho kết quả là u xơ lành tính.
Từ thiện
Toàn bộ lợi nhuận từ Radiology Assistant được dành cho tổ chức Medical Action Myanmar, do Bác sĩ Nini Tun và Bác sĩ Frank Smithuis (giáo sư tại Đại học Oxford, đồng thời là anh trai của Robin Smithuis) điều hành.
Nhấn vào đây để xem video về Medical Action Myanmar và nếu bạn thấy Radiology Assistant hữu ích, hãy ủng hộ Medical Action Myanmar bằng một món quà nhỏ.










































