Giải phẫu tim
Ngày xuất bản
Bài tổng quan này dựa trên bài thuyết trình của Tineke Willems và được Marieke Hazewinkel chuyển thể cho Trợ lý Chẩn đoán Hình ảnh.
Chúng tôi sẽ thảo luận về:
- Các trục tim khác nhau
- Giải phẫu tim theo trình tự dòng máu bình thường: từ phải sang trái.
Các Trục Tim
CT tim có đồng bộ ECG cho chất lượng hình ảnh tốt hơn so với CT thực hiện cho các mục đích khác.
Cũng như trong bất kỳ lĩnh vực nào của chẩn đoán hình ảnh, việc phân tích các hình ảnh thu được đòi hỏi một phương pháp tiếp cận có hệ thống.
Trước tiên, điều quan trọng cần hiểu là hướng của tim trong cơ thể người khác với các cấu trúc giải phẫu khác: ví dụ, tâm thất phải không nằm hoàn toàn ở bên phải mà nằm ở phía trước hơn.
Tâm thất trái không nằm ở bên trái mà nằm ở phía sau hơn.
Ngoài ra, tim không phải lúc nào cũng duy trì cùng một vị trí trong trung thất – ở người trẻ, tim có xu hướng định hướng thẳng đứng, trong khi ở người lớn tuổi, tim có xu hướng tựa lên cơ hoành theo hướng nằm ngang hơn.
Các bác sĩ tim mạch phân tích tim bằng cách sử dụng các trục tim.
Các trục này cũng được sử dụng trong CT/MRI tim và phải được tái tạo để đánh giá tim một cách chính xác.
Các lát cắt ngang, như những lát cắt được hiển thị ở bên trái, hữu ích cho việc đánh giá tổng thể hình thái của tim và mối liên quan của nó với màng ngoài tim.
Mặt cắt 4 buồng
Mặt cắt 3 buồng
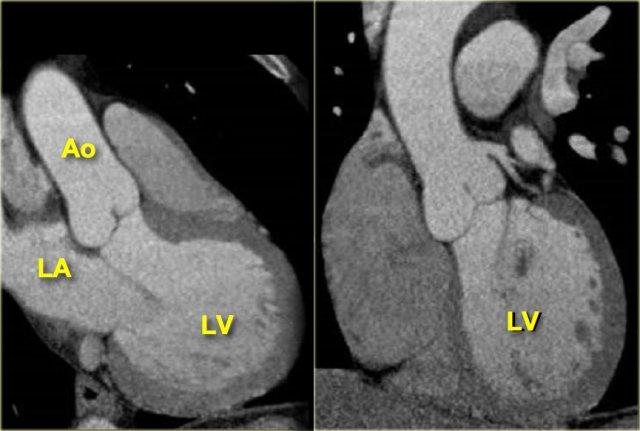
Khi xác định được ranh giới giữa van hai lá và van động mạch chủ trên các lát cắt ngang và xoay hình ảnh từ điểm này, có thể tái tạo mặt cắt 3 buồng như hình ảnh bên trái.
Trên hình ảnh này, nhĩ trái, thất trái, van hai lá, van động mạch chủ và đoạn gần của động mạch chủ lên đều được hiển thị.
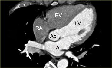
Mặt cắt 5 buồng
Hình bên trái là mặt cắt 5 buồng, tương tự như mặt cắt 4 buồng nhưng hiển thị thêm van động mạch chủ và đường ra thất trái.
Mặt cắt này đạt được bằng cách xoay mặt cắt 4 buồng lên phía đầu (cranial) thêm một chút.
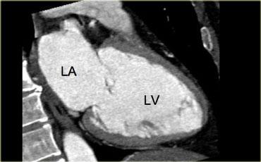
Mặt cắt 2 buồng
Mặt cắt 2 buồng trong hình bên trái đạt được bằng cách xoay hình ảnh vuông góc với van hai lá và song song với vách liên thất.
Trục này cho cái nhìn tổng quan về nhĩ trái, thất trái và van hai lá.
Đây là mặt cắt tốt để phân tích chức năng thất, đặc biệt là thành dưới và thành trước.
Để thu thập dữ liệu chức năng, cần tái tạo các lát cắt trục ngắn liên tiếp dựa trên mặt cắt 3 buồng và 4 buồng.
Giải phẫu tim từ phải sang trái

Tái tạo mặt cắt ngang (trái) và mặt cắt vành chếch (phải) của tim, mô tả nhĩ phải và các mạch máu chính dẫn vào: xoang vành (mũi tên xanh) và tĩnh mạch chủ trên và dưới. IVC=tĩnh mạch chủ dưới, A=trước, SVC=tĩnh mạch chủ trên
Nhĩ phải
Giải phẫu tim sẽ được trình bày theo thứ tự dòng máu bình thường: từ phải sang trái.
Trong điều kiện bình thường, thuốc cản quang được tiêm vào tĩnh mạch – thường ở cánh tay – và đi đến nhĩ phải qua tĩnh mạch chủ trên.
Nhĩ phải nằm ở vị trí trước bên trong tim, và nằm phía dưới nhĩ trái.
Tĩnh mạch chủ trên đi vào qua trần của nhĩ phải.
Tĩnh mạch chủ dưới đi vào nhĩ phải từ phía dưới, gần vách liên nhĩ.
Một cấu trúc khác dẫn máu về nhĩ phải là xoang vành (hệ thống dẫn lưu tĩnh mạch của các động mạch vành), đi vào phía trước và ngay bên trái của tĩnh mạch chủ dưới.

Tái tạo mặt cắt ngang (trái) và mặt cắt vành (phải) cho thấy mào tận cùng (mũi tên xanh) và vị trí của nó trong nhĩ phải
Mào tận cùng (Crista terminalis)
Trong nhĩ phải có mào tận cùng, một gờ cơ chạy từ lỗ vào của tĩnh mạch chủ trên đến lỗ vào của tĩnh mạch chủ dưới.
Cấu trúc này phân tách phần nhẵn của nhĩ phải – xoang tĩnh mạch – với tiểu nhĩ phải có cấu trúc bè cơ.
Trên các hình ảnh bên trái, nó hiện diện như một cấu trúc tuyến tính nhẵn (mũi tên xanh).
Tuy nhiên, điều này không phải lúc nào cũng như vậy; đôi khi nó có thể giả dạng một khối.

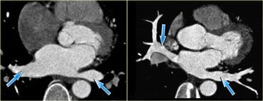
Tái tạo mặt cắt ngang (trái) và mặt cắt vành chếch (phải) cho thấy xoang vành khi đi vào nhĩ phải (mũi tên xanh). A=trước, P=sau
Xoang vành
Xoang vành là tĩnh mạch dẫn lưu chính của cơ tim.
Nó chạy trong rãnh nhĩ thất ở mặt sau của tim và đổ vào nhĩ phải ở vùng lân cận van ba lá.
Bên trái là hình ảnh tái tạo minh họa đường đi của xoang vành trong rãnh nhĩ thất ở mặt sau của tim.

Tái tạo mặt cắt ngang (trái) và tái tạo 3D (phải) của tim cho thấy tiểu nhĩ phải (mũi tên xanh). Ao=động mạch chủ, LA=nhĩ trái
Tiểu nhĩ phải
Tiểu nhĩ phải là phần có cấu trúc bè cơ của nhĩ phải.
Nó che phủ một phần rãnh nhĩ thất và động mạch vành phải chạy trong đó.
Đặc trưng, tiểu nhĩ phải có hình dẹt và tam giác, chứa các bó cơ nhỏ chạy song song với nhĩ.

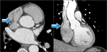
Tái tạo mặt cắt ngang (trái) và mặt cắt đứng dọc chếch (phải) cho thấy thất phải. Mũi tên xanh chỉ dải điều hòa. RA=nhĩ phải, RV=thất phải, LV=thất trái
Thất phải
Máu rời nhĩ phải và đi vào thất phải qua van ba lá.
Van này có ba lá van và ba cơ nhú, trong đó một phần bám vào vách liên thất (khác với các cơ nhú của van hai lá, vốn không bám vào vách).
Thất phải có hình dạng khác với thất trái: thất trái có hình trụ và buồng thất phải thực chất bao quanh nó.
Thất phải cũng có thành mỏng hơn với cấu trúc bè cơ nhiều hơn, đặc biệt ở vùng mỏm.
Dải điều hòa là một đặc điểm nhận dạng khác của thất phải.
Nó chạy từ vách liên thất đến thành bên của thất phải, và đóng vai trò quan trọng trong dẫn truyền điện sinh lý của thành tự do thất phải (mũi tên xanh).

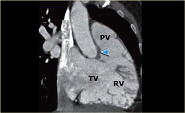
Hình tái tạo cho thấy van ba lá (TV) và van động mạch phổi (PV) cùng với buồng thất phải (RV). Mũi tên xanh chỉ mào trên thất (crista supraventricularis)
Van động mạch phổi
Tiếp theo, máu chảy về phía van động mạch phổi – trước tiên đi vào phễu cơ trơn của thất phải.
Van động mạch phổi có ba lá van, và được tách biệt với van ba lá bởi một khối cơ dày gọi là mào trên thất (mũi tên xanh trong hình bên trái).
Điều này khác với đường ra thất trái, nơi van hai lá và van động mạch chủ nằm cạnh nhau.
Bên trái là bảng tóm tắt các đặc điểm đặc trưng của thất phải, hữu ích trong việc phân biệt thất trái với thất phải trong các trường hợp tim bẩm sinh phức tạp.
Tĩnh mạch phổi
Máu giàu oxy đi vào nhĩ trái qua các tĩnh mạch phổi.
Trong hầu hết các trường hợp, có hai tĩnh mạch phổi ở bên trái và hai ở bên phải.
Các tĩnh mạch phổi giữa thường đổ vào tĩnh mạch phổi trên.
Tuy nhiên, có nhiều biến thể giải phẫu thường gặp của tĩnh mạch phổi, đặc biệt ở bên phải, nơi vị trí đổ vào bất thường có liên quan đến rung nhĩ.
Tiểu nhĩ trái
Tiểu nhĩ trái là một cấu trúc dạng ngón tay có bè cơ, xuất phát từ phần trên bên của nhĩ trái. Nó nằm trên rãnh nhĩ thất trái và che phủ một phần động mạch vành trái trong đó.
Các bó cơ nhỏ chạy song song của nó không nên bị nhầm lẫn với huyết khối.

Tái tạo 3D cho thấy tiểu nhĩ trái (mũi tên xanh) và động mạch vành trái (mũi tên vàng) sau khi đã loại bỏ tiểu nhĩ trái. A=trước, S=trên
Khi đánh giá các động mạch vành, cần loại bỏ tiểu nhĩ trái để có thể quan sát được động mạch mũ trái (LCX) và đoạn gần của động mạch liên thất trước (LAD).

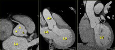
Tái tạo mặt cắt ngang (trái), mặt cắt 3 buồng (giữa) và tái tạo mặt cắt vành (phải) của tim minh họa mối tương quan giữa nhĩ trái, thất trái và gốc động mạch chủ. LA=nhĩ trái, R=lá vành phải, L=lá vành trái, N=lá không vành, Ao=động mạch chủ, LV=thất trái
Thất trái
Máu đi vào thất trái qua van hai lá.
Đây là một van phức tạp, bao gồm vòng van và các lá van trước và sau.
Các lá van được nối với các cơ nhú qua các dây gân gọi là dây chằng gân (chordae tendinae).
Các cơ nhú bám vào thành bên, thành sau và mỏm của thất trái.
Trong điều kiện bình thường, thất trái có độ dày đồng đều, dao động từ 0,6 đến 1,0 cm ở cuối thì tâm trương.
Máu đi vào van động mạch chủ qua đường ra thất trái.
Lưu ý rằng có vẻ như tồn tại một kết nối dạng sợi giữa van hai lá và van động mạch chủ.
Van động mạch chủ
Giống như van động mạch phổi, van động mạch chủ có ba lá van.
Ngay phía trên van có một đoạn giãn nhẹ của gốc động mạch chủ.
Đây là xoang Valsalva.
Xoang này được lấp đầy bởi máu trong thì tâm trương, cung cấp máu giàu oxy cho các động mạch vành.
Hình ảnh bên phải cho thấy các động mạch vành xuất phát khá cao, ở ranh giới của động mạch chủ lên.

Tái tạo mặt cắt ngang mô tả van động mạch chủ ba lá với lá vành phải, lá vành trái (lần lượt là R và L) và lá không vành (N)
Các lá van của van động mạch chủ được đặt tên theo mối liên quan của chúng với các động mạch vành, cụ thể là lá vành phải, lá vành trái và lá không vành (R, L và N).










