Giá trị bình thường trên siêu âm nhi khoa
Ngày xuất bản
Tài liệu này cung cấp tổng quan về các giá trị tham chiếu bình thường trong thăm khám siêu âm ở trẻ sơ sinh và trẻ em.
Các mục được sắp xếp theo thứ tự bảng chữ cái.
Chọn một trong các mục được liệt kê ở bên trái để xem chi tiết.
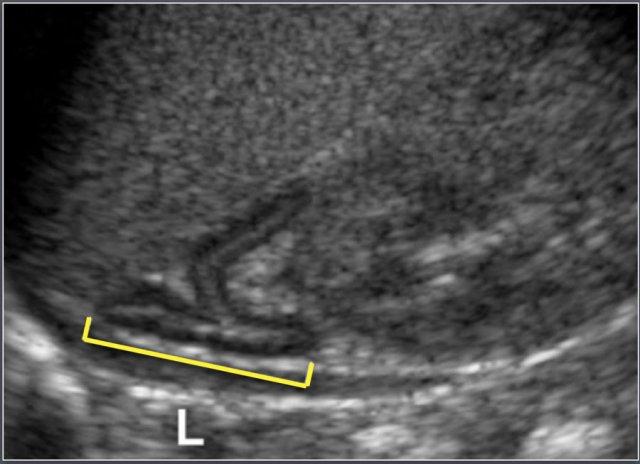
Tuyến Thượng Thận
Vật liệu và Phương pháp
Nghiên cứu siêu âm được thực hiện trên 92 trẻ nhũ nhi.
Các Số Đo
- Chiều dài (L): Được xác định là kích thước đầu-đuôi tối đa của tuyến thượng thận, đo trên mặt phẳng coronal hoặc sagittal.
- Chiều rộng (w): Được xác định là độ dày tối đa của một trong các nhánh tuyến.
Nguyên Nhân Gây Phì Đại Tuyến Thượng Thận
- Tăng sản thượng thận bẩm sinh
- Xuất huyết tuyến thượng thận
- U nguyên bào thần kinh tuyến thượng thận
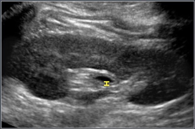
Ruột thừa
Vật liệu và Phương pháp
Một nghiên cứu siêu âm được thực hiện trên 146 bệnh nhân liên tiếp (62 bé trai và 84 bé gái; tuổi trung bình 7 tuổi; độ tuổi từ 2–15 tuổi).
Tiêu chí loại trừ
- Xơ nang tụy
- Đau bụng cấp tính
- Đã cắt ruột thừa trước đó
- Tuổi <2 tuổi (do khó khăn trong việc thực hiện khảo sát)
Ruột thừa được quan sát thành công ở 120 trẻ em.
Các nguyên nhân gây phình to ruột thừa
- Viêm ruột thừa cấp tính
- Xơ nang tụy
- Tăng sản mô bạch huyết (do suy giảm miễn dịch hoặc viêm ruột do virus)
- Khí, chất nhầy hoặc phân trong lòng ruột thừa
- Nang nhầy ruột thừa (Mucocele)
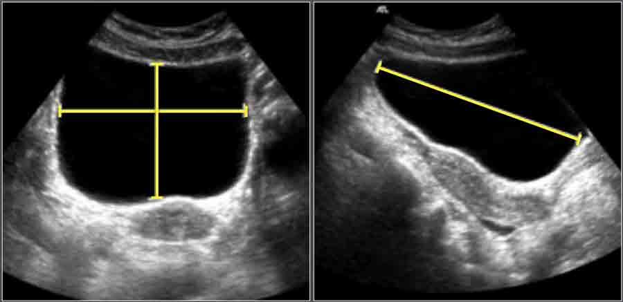
Bàng quang
Thể tích bàng quang
Vật liệu và Phương pháp
Tổng cộng 3.376 trẻ em được đưa vào nghiên cứu siêu âm này.
Lưu ý: Tổng số bệnh nhân được liệt kê trong các bảng kết quả có thể khác nhau, do không phải tất cả các phân nhóm tuổi đều được đại diện.
Kỹ thuật Đo lường
- Chiều dài (L): Đo trên mặt cắt dọc từ cổ bàng quang đến đáy bàng quang.
- Chiều sâu (D): Đo vuông góc với mặt phẳng dọc tại vị trí có diện tích mặt cắt ngang lớn nhất, từ bề mặt niêm mạc thành trước đến thành sau theo đường giữa.
- Chiều rộng (W): Đo vuông góc với D tại điểm giữa của D.
Tính toán Thể tích Bàng quang
Thể tích bàng quang được tính theo công thức hình elipsoid:
Thể tích (cm³) = L × D × W × 0,523
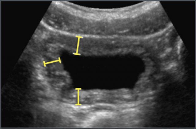
Độ dày thành bàng quang
Vật liệu và Phương pháp
Tổng cộng 3.376 trẻ em được đưa vào nghiên cứu.
Độ dày thành bàng quang chỉ được đo khi thể tích bàng quang tồn dư sau tiểu <10% thể tích bàng quang trước khi tiểu.
Kỹ thuật Đo lường
Thành bàng quang được đánh giá trên hình ảnh mặt cắt ngang phóng to của bàng quang sau khi đã tiểu hết.
Các phép đo được thực hiện tại ba vị trí:
- Thành trước bên
- Thành bên
- Thành sau bên
Giá trị trung bình của ba phép đo này được sử dụng để phân tích.
Chỉ số Độ dày Thành – Thể tích Bàng quang (BVWTI)
Độ dày thành bàng quang phụ thuộc vào mức độ đổ đầy và dung tích bàng quang.
Do đó, giá trị này được biểu thị thông qua Chỉ số Độ dày Thành – Thể tích Bàng quang (BVWI).
Chỉ số này giúp chuẩn hóa các phép đo thành bàng quang ở các mức độ căng giãn khác nhau và cải thiện độ chính xác chẩn đoán các bất thường đường tiết niệu dưới, đặc biệt ở trẻ em.
Nguyên nhân gây dày thành bàng quang
- Viêm bàng quang
- Rối loạn chức năng đi tiểu
- Van niệu đạo sau
Ruột
Đối tượng và Phương pháp
Dân số nghiên cứu gồm 128 bệnh nhân (57 nam và 71 nữ). Trong số đó, 86 cá nhân có độ tuổi từ 1 đến 19 tuổi (chỉ trình bày dữ liệu liên quan đến nhóm này).
Độ dày thành ruột được đo trên các mặt cắt siêu âm theo trục ngang và bao gồm các lớp mô học sau: niêm mạc, lớp đệm niêm mạc, cơ niêm, dưới niêm mạc và cơ thành ruột.
Ví dụ siêu âm
Đo độ dày thành hồi tràng đoạn cuối ở bệnh nhân nam 12 tuổi mắc xơ nang.
Các nguyên nhân thường gặp gây dày thành ruột non bao gồm:
- Ban xuất huyết Henoch–Schönlein
- Bệnh Crohn
- U lympho
Trong cùng nghiên cứu, độ dày thành đại tràng cũng được đo đạc.
Các nguyên nhân thường gặp gây dày thành đại tràng bao gồm:
- Bệnh viêm ruột (IBD)
- Hội chứng tan máu-urê huyết (HUS)
- Viêm đại tràng giả mạc
Ống Mật Chủ
Vật liệu và Phương pháp
Tổng cộng 173 bệnh nhi liên tiếp (100 bé trai và 73 bé gái) được chỉ định siêu âm bụng vì lý do không liên quan đến bệnh lý gan mật đã được đưa vào nghiên cứu. Độ tuổi dao động từ 1 ngày đến 13 tuổi (trung vị 5,0 tuổi).
Ở tất cả các đối tượng, đường kính ống mật chủ đo được ≤ 3,3 mm.
Hình ảnh
Hình ảnh siêu âm cắt ngang ống mật chủ và các cấu trúc giải phẫu xung quanh.
Túi Mật
Vật liệu và Phương pháp
Thể tích túi mật trên siêu âm được tính theo công thức hình elipsoid:
Thể tích = chiều dài × chiều rộng × chiều cao × 0,52
Nghiên cứu bao gồm 50 trẻ sinh non (tuổi thai trung bình 31,7 ± 2,5 tuần, cân nặng lúc sinh trung bình 1556 ± 441 g) và 46 trẻ sinh đủ tháng (tuổi thai trung bình 38,3 ± 1,2 tuần, cân nặng lúc sinh trung bình 3253 ± 440 g).
Các số đo được thực hiện ngay sau khi sinh sau 6 giờ nhịn ăn, và lần tiếp theo vào ngày thứ 5–7 sau sinh sau các khoảng thời gian nhịn ăn 3 giờ và 6 giờ kể từ lần bú sữa thông thường.
Các nguyên nhân thường gặp gây túi mật nhỏ bao gồm:
- Teo đường mật
- Co bóp sau ăn (sau bữa ăn nhiều chất béo)
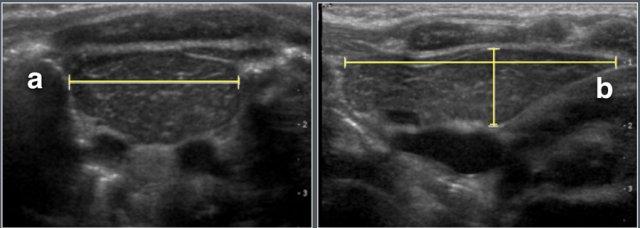
Khớp háng
Túi cùng khớp phía trước
Vật liệu và Phương pháp
Một nghiên cứu siêu âm được thực hiện trên 58 trẻ em khỏe mạnh và 105 trẻ em bị viêm màng hoạt dịch thoáng qua một bên, trong độ tuổi từ 1,7 đến 12,8 tuổi.
Tất cả các lần khám đều được thực hiện với bệnh nhân ở tư thế nằm ngửa và hai khớp háng ở tư thế trung gian.
Bao khớp phía trước được đo bao gồm cả lớp trước và lớp sau. Đường viền phía trước của bao khớp cũng được đánh giá.
Không tìm thấy mối tương quan có ý nghĩa thống kê giữa tuổi và độ dày bao khớp phía trước.
Sự chênh lệch lớn hơn 2 mm giữa hai bên hoặc tràn dịch >2 mm được coi là bất thường.
Hình dạng đường viền của bao khớp phía trước
Đường viền phía trước của bao khớp có thể được đánh giá.
Đo bao khớp phía trước bằng siêu âm.
Cả lớp trước (a) và lớp sau (p) đều có thể được xác định.
Các nguyên nhân thường gặp gây tràn dịch khớp háng bao gồm:
- Viêm màng hoạt dịch thoáng qua
- Viêm khớp nhiễm khuẩn
- Viêm khớp tự phát thiếu niên (JIA)
Loạn sản phát triển khớp háng (Phân loại Graf)
- Loại I: Khớp háng trưởng thành, chỏm xương đúng tâm với mái ổ cối phát triển tốt và bờ xương góc cạnh hoặc hơi tù.
- Loại II: Khớp háng chỏm xương đúng tâm với mái ổ cối kém phát triển và bờ xương tròn.
- Loại III: Khớp háng chỏm xương lệch tâm với mái ổ cối phát triển kém và bờ xương dẹt.
Nhấn vào đây để xem bài viết về Loạn sản phát triển khớp háng.
Các thông số siêu âm:
- Mặt cắt mặt phẳng vành của khớp háng
- Đo góc α (alpha)
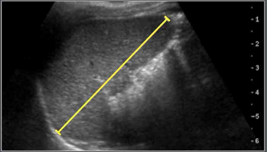
Thận
Trẻ sinh non và trẻ đủ tháng
Vật liệu và Phương pháp
Đánh giá siêu âm được thực hiện trên 261 trẻ sơ sinh khỏe mạnh.
Kích thước đầu-đuôi của mỗi thận được đo bằng siêu âm tiêu chuẩn.
Đo chiều dài thận sơ sinh trên siêu âm.
Ở trẻ sơ sinh, nhu mô thận thường có độ hồi âm cao hơn nhu mô gan, đây là hình ảnh bình thường ở lứa tuổi này.
Trẻ em
Vật liệu và Phương pháp
Nghiên cứu bao gồm 203 bệnh nhi. Tiêu chí loại trừ gồm: tiền sử ác tính, sử dụng corticosteroid, bất thường đường tiết niệu trên, trào ngược bàng quang-niệu quản (VUR) độ lớn hơn độ I, phẫu thuật tiết niệu, hoặc hình ảnh siêu âm thận bất thường.
Trung bình, thận trái dài hơn thận phải 1,9 mm.
Các nguyên nhân thường gặp gây to thận bao gồm:
- Hệ thống thu thập nước tiểu đôi (thận đôi)
- Viêm thận (nhiễm khuẩn và không nhiễm khuẩn)
- Bạch cầu cấp hoặc u lympho
- Bệnh thận đa nang di truyền lặn nhiễm sắc thể thường (ARPKD)
Đo chiều dài thận trên siêu âm.
Thể tích thận
Vật liệu và Phương pháp
Tổng cộng 3.376 trẻ em được đưa vào nghiên cứu siêu âm này.
Thể tích thận được tính theo công thức hình elipsoid:
Thể tích = Chiều dài × Chiều rộng × Chiều sâu × 0,523
Tổng thể tích thận được xác định bằng cách cộng thể tích thận phải và thận trái.
Các giá trị được báo cáo là trung bình của cả hai thận.
Độ dày thành hệ thống thu thập nước tiểu
Vật liệu và Phương pháp
Siêu âm được thực hiện trên 48 hệ thống thu thập nước tiểu của 24 trẻ em khỏe mạnh (tuổi từ 3 ngày đến 12,6 tuổi).
Thành hệ thống thu thập nước tiểu quan sát được ở tất cả các thận, với độ dày dao động từ 0 (không nhìn thấy) đến 0,8 mm.
Độ dày thành ≥ 1 mm được coi là bất thường.
Các nguyên nhân thường gặp gây dày thành hệ thống thu thập nước tiểu bao gồm:
- Nhiễm khuẩn đường tiết niệu (UTI)
- Giãn đường tiết niệu từng đợt (ví dụ: trào ngược bàng quang-niệu quản)
- Giãn đường tiết niệu gần đây hoặc đã hồi phục
Gan
Kích thước đầu-đuôi của gan được đo dọc theo đường trung đòn bằng siêu âm.
Các nguyên nhân gây gan to bao gồm:
- Bệnh bạch cầu (Leukemia)
- Bệnh tích lũy (ví dụ: rối loạn tích lũy glycogen)
- Viêm gan sơ sinh
Trẻ sơ sinh
Vật liệu và Phương pháp
Ở trẻ sơ sinh (n = 261), kích thước đầu-đuôi của gan được đo dọc theo đường trung đòn bằng siêu âm.
Trẻ em
Vật liệu và Phương pháp
Nghiên cứu siêu âm trên 307 trẻ em khỏe mạnh.
Các thông số Doppler
Vật liệu và Phương pháp
Một nghiên cứu bổ sung trên 100 trẻ em khỏe mạnh (độ tuổi từ 0–17,9 tuổi, trung vị 7,8 tuổi) đã thiết lập các giá trị tham chiếu cho:
- Vận tốc tâm thu đỉnh tĩnh mạch cửa
- Vận tốc tâm thu đỉnh động mạch gan
- Chỉ số kháng trở (RI) động mạch gan
Kết quả:
- Vận tốc tĩnh mạch cửa không độc lập với tuổi
- Vận tốc động mạch gan và chỉ số RI giảm dần theo độ tuổi
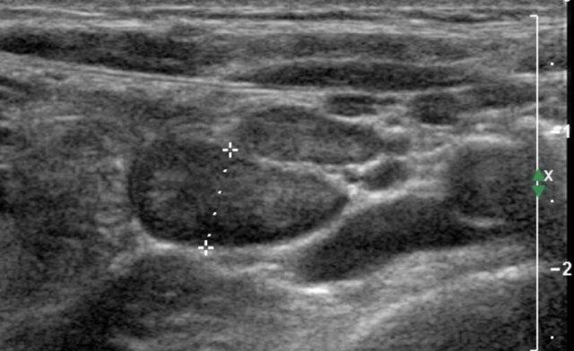
Hạch bạch huyết mạc treo
Vật liệu và Phương pháp
Nghiên cứu hồi cứu này bao gồm 61 trẻ em (36 nam, 25 nữ; tuổi trung bình 10,7 năm, khoảng 1,1–17,3 năm) được chụp CT bụng không tiêm thuốc cản quang để đánh giá nghi ngờ hoặc xác nhận sỏi thận. Kích thước hạch bạch huyết được đánh giá trên các hình ảnh này, và các kết quả được ngoại suy thành các giá trị tham chiếu trên siêu âm.
Kết quả:
Hạch bạch huyết mạc treo to (đường kính trục ngắn > 5 mm) được ghi nhận ở 33 trong số 61 trẻ (54%), chủ yếu ở góc phần tư dưới phải (88%).
Dựa trên các kết quả này, đường kính trục ngắn > 8 mm có thể là ngưỡng chính xác hơn để chẩn đoán hạch bạch huyết mạc treo to ở trẻ em.
Tỷ lệ dương tính giả đối với hạch bạch huyết mạc treo to theo các ngưỡng kích thước hạch khác nhau được trình bày trong bảng.
Các nguyên nhân bệnh lý thường gặp gây hạch bạch huyết mạc treo to bao gồm
- U lympho ruột
- Di căn theo đường bạch huyết
- Viêm ruột nhiễm trùng đặc hiệu (ví dụ: lao)
Buồng trứng
Vật liệu và Phương pháp
Đo thể tích tử cung và buồng trứng bằng siêu âm được thực hiện trên 178 bé gái khỏe mạnh.
Các nguyên nhân thường gặp gây phì đại buồng trứng bao gồm:
- Dậy thì sớm
- Xoắn buồng trứng
- Hội chứng buồng trứng đa nang
- U quái hoặc nang bì
Thể tích buồng trứng được tính theo công thức:
- Chiều dài x Chiều rộng x Chiều cao x 0,523.
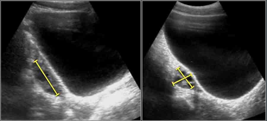
Tụy
Vật liệu và Phương pháp
Nghiên cứu siêu âm hồi cứu này bao gồm 273 bệnh nhân nhi (phân bố giới tính không được ghi rõ).
Đặc điểm hồi âm:
- Giảm hồi âm trong 27 trường hợp (10%)
- Đồng hồi âm trong 145 trường hợp (53%)
- Tăng hồi âm trong 101 trường hợp (37%)
Đường kính trước-sau (AP) lớn nhất của đầu, thân và đuôi tụy được đo trên các mặt cắt siêu âm ngang hoặc chếch.
Các nguyên nhân thường gặp gây phì đại tụy bao gồm:
- Viêm tụy do chấn thương
- Viêm tụy do virus
- Viêm tụy do thuốc
Tĩnh mạch cửa
Vật liệu và Phương pháp
Nghiên cứu được thực hiện trên 150 trẻ em trong độ tuổi từ 0–16 tuổi, không có bằng chứng lâm sàng về bệnh lý gan hoặc đường ruột, được thực hiện siêu âm ổ bụng.
Tĩnh mạch cửa được khảo sát trên mặt phẳng dọc từ chỗ hợp lưu lách-mạc treo tràng đến rốn gan.
Đường kính trước-sau tối đa được đo tại vị trí động mạch gan bắt chéo qua tĩnh mạch cửa.
Lách
Trẻ sinh non và trẻ đủ tháng
Vật liệu và phương pháp
Nghiên cứu siêu âm trên 261 trẻ sơ sinh khỏe mạnh.
Kích thước đầu-đuôi của lách được xác định bằng siêu âm.
Trẻ em
Vật liệu và phương pháp
Khảo sát siêu âm bao gồm 512 trẻ em khỏe mạnh (238 bé trai, 274 bé gái; độ tuổi từ 1 ngày đến 17 tuổi) và 96 trẻ sinh non (tuổi thai 25–35 tuần).
Không có đối tượng nào mắc các bệnh lý ảnh hưởng đến kích thước lách.
Các nguyên nhân thường gặp gây lách to bao gồm:
- Tăng áp lực tĩnh mạch cửa
- Bệnh bạch cầu (Leukemia)
- Nhiễm trùng toàn thân (ví dụ: virus Epstein–Barr, cytomegalovirus)
- Rối loạn huyết học (ví dụ: bệnh hồng cầu hình cầu, thalassemia)
- Bệnh tích lũy (Storage diseases)
Phương pháp đo
Chiều dài lách được xác định là khoảng cách tối đa giữa điểm trên-trong nhất và điểm dưới-ngoài nhất trên mặt cắt dọc theo trục vành, lý tưởng nhất là qua rốn lách.
Khoang dưới nhện
Vật liệu và Phương pháp
Đánh giá siêu âm khoang dưới nhện được thực hiện trên 278 trẻ sơ sinh đủ tháng khỏe mạnh người Trung Quốc.
Các số đo được thực hiện trên mặt phẳng coronal tại mức lỗ Monro.
Các giá trị trung bình được tính từ phương trình hồi quy, và khoảng tin cậy 95% được tính toán từ dữ liệu đã công bố.
Các thông số siêu âm
- SCW: Chiều rộng xoang-vỏ não (Sinu-cortical width)
- CCW: Chiều rộng sọ-vỏ não (Cranio-cortical width)
- IHW: Chiều rộng liên bán cầu (Interhemispheric width)
Các nguyên nhân thường gặp gây giãn khoang dưới nhện bao gồm
- Giãn lành tính khoang dưới nhện ở trẻ nhũ nhi (BESSI)
- Teo não
- Huyết khối xoang tĩnh mạch màng cứng
Tinh hoàn
Vật liệu và Phương pháp
Các số đo siêu âm được thu thập từ 344 bé trai thuộc nhiều dân tộc khác nhau.
Không ghi nhận sự khác biệt có ý nghĩa thống kê giữa các dân tộc hoặc giữa tinh hoàn phải và trái.
Các nguyên nhân thường gặp gây phì đại tinh hoàn bao gồm
- Bệnh bạch cầu (Leukemia)
- Dậy thì sớm
- Xoắn tinh hoàn
- Viêm mào tinh hoàn-tinh hoàn
Thể tích tinh hoàn được tính theo công thức:
Chiều dài × Chiều rộng × Chiều cao × 0,523
Tuyến ức
Vật liệu và Phương pháp
Siêu âm trung thất được thực hiện trên 151 trẻ sơ sinh khỏe mạnh (79 bé trai và 72 bé gái) không có các yếu tố liên quan đến stress ảnh hưởng đến kích thước tuyến ức.
Các nguyên nhân thường gặp gây phì đại tuyến ức bao gồm:
- Tăng sản tuyến ức phục hồi
- U lympho tế bào T hoặc bệnh bạch cầu
- U tuyến ức (Thymoma)
- Bệnh mô bào Langerhans
Các số đo bao gồm
- Đường kính ngang lớn nhất
- Đường kính trước-sau của thùy phải và thùy trái
- Chiều dài đầu-đuôi (chiều dọc)
Chỉ số tuyến ức được tính theo công thức:
Đường kính ngang × diện tích mặt cắt dọc lớn nhất
Tuyến giáp
Vật liệu và Phương pháp
Đánh giá thể tích tuyến giáp bằng siêu âm được thực hiện trên:
- 100 trẻ sơ sinh người Anh (trong tuần đầu tiên sau sinh)
- Một nhóm trẻ em châu Âu đủ iốt (n = 5.709, độ tuổi 6–15 tuổi)
- Một nhóm trẻ em người Đức (n = 252, độ tuổi 2–4 tuổi)
Các nguyên nhân thường gặp gây phì đại tuyến giáp bao gồm
- Viêm tuyến giáp Hashimoto
- Bệnh Graves
- Bướu giáp đa nhân
Thể tích tuyến giáp được tính bằng tổng thể tích của cả hai thùy, không bao gồm eo tuyến giáp.
Sử dụng công thức hình elipsoid:
Thể tích = Chiều dài × Chiều rộng × Chiều cao × 0,52
Tử cung
Vật liệu và Phương pháp
Đo thể tích tử cung và buồng trứng bằng siêu âm được thực hiện trên 178 bé gái khỏe mạnh.
Các nguyên nhân thường gặp gây phì đại tử cung bao gồm
- Dậy thì sớm
- Tràn dịch hoặc tràn máu tử cung-âm đạo
Thể tích tử cung được tính theo công thức hình elipsoid:
Chiều dài × Chiều rộng × Chiều cao × 0,523
Não thất
Vật liệu và Phương pháp
Nghiên cứu siêu âm được thực hiện trên 1.483 trẻ sơ sinh (tuổi thai 25–42 tuần) được khám vào ngày thứ 3 sau sinh.
Các trẻ có tiền sử ngạt chu sinh, nhiễm trùng hệ thần kinh trung ương, xuất huyết nội sọ hoặc dị tật sọ-cột sống đã được loại trừ.
Các nguyên nhân thường gặp gây giãn não thất bao gồm
- Dị tật bẩm sinh (ví dụ: holoprosencephaly)
- Não úng thủy tắc nghẽn
- Não úng thủy thông thương
- Teo não
Các chỉ số đo
- Chiều rộng sừng trước (AHW)
- Tỷ số não thất-bán cầu (VHR)
Được đo trên các lát cắt mặt phẳng coronal ở mức lỗ Monro.






















































