Gãy xương stress
Gãy xương do stress là một trong những chấn thương thể thao phổ biến nhất.
Trong bài tổng quan này, chúng tôi sẽ thảo luận về:
- Đặc điểm lâm sàng và hình ảnh học của gãy xương do stress
- Các vị trí thường gặp của gãy xương do stress.
Gãy xương do stress
Vị trí
Gãy xương do stress là một chấn thương do sử dụng quá mức.
Xương liên tục cố gắng tái cấu trúc và tự phục hồi, đặc biệt khi chịu tác động của các lực bất thường.
Khi xương phải chịu đựng đủ lực tác động, sẽ gây ra sự mất cân bằng giữa hoạt động của tế bào hủy xương và tế bào tạo xương, dẫn đến gãy xương do stress.
Mệt mỏi cơ bắp cũng có thể đóng vai trò trong sự xuất hiện của gãy xương do stress.
Với mỗi dặm chạy, đôi chân phải hấp thụ hơn 110 tấn lực.
Xương không được tạo ra để chịu đựng một mình lượng năng lượng lớn như vậy, và các cơ bắp đóng vai trò như bộ giảm xóc.
Khi cơ bắp mệt mỏi và ngừng hấp thụ lực, toàn bộ lực tác động sẽ được truyền lên xương.
Gãy xương do stress thường xảy ra sau khi có sự thay đổi gần đây trong chế độ luyện tập.
Đặc biệt, các vận động viên chuyên nghiệp hoặc nghiệp dư và tân binh quân sự thường phải đối mặt với sự thay đổi về cường độ luyện tập (tăng lên), loại hình luyện tập hoặc điều kiện luyện tập (giày mới, bề mặt luyện tập khác, v.v.), do đó có nguy cơ cao hơn bị gãy xương do stress.
Tuy nhiên, những người ít vận động cũng có thể bị gãy xương do stress nếu đột ngột chuyển sang lối sống năng động.
Khởi phát đau và sưng âm ỉ tại vùng bị ảnh hưởng là triệu chứng quan trọng nhất, ban đầu chỉ xuất hiện trong khi hoạt động.
Khi tiếp tục vận động, cơn đau sẽ kéo dài sau khi tập luyện, cuối cùng khiến vận động viên phải ngừng tập.
Cuối cùng, cơn đau xuất hiện ngay cả khi nghỉ ngơi.
Gãy xương do stress thường gặp nhất ở các xương chịu lực của chi dưới, đặc biệt là cẳng chân và bàn chân (Hình).

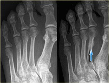
Gãy xương do stress điển hình tại thân xương đốt bàn chân thứ hai đoạn xa không thấy trên phim X-quang ban đầu (trái). Hình thành can xương được thấy rõ tại lần chụp kiểm tra sau 4 tuần.
X-quang
X-quang có độ nhạy 15-35% trong việc phát hiện gãy xương do stress ở lần chụp ban đầu, tăng lên 30-70% khi chụp kiểm tra do phản ứng xương trở nên rõ ràng hơn.
Do đó, các bác sĩ X-quang không nên yên tâm khi kết quả X-quang âm tính và cần chỉ định thêm các phương pháp chẩn đoán hình ảnh tiên tiến hơn.
Tuy nhiên, X-quang vẫn bắt buộc phải thực hiện để phát hiện các đường gãy rõ ràng và loại trừ các bệnh lý khác như nhiễm trùng hoặc u bướu.
Bên trái là hình ảnh của bệnh nhân nữ 42 tuổi, thường xuyên đi bộ đường dài và bị đau vùng mu bàn chân trong một tháng.
Trên phim X-quang ban đầu không thấy đường gãy.
Sau 4 tuần, phim X-quang kiểm tra cho thấy rõ ràng sự hình thành can xương tại vị trí gãy xương do stress.
Bên trái là hình ảnh của bệnh nhân nữ 28 tuổi với khởi phát đau gần đây tại vùng xương đốt bàn chân thứ hai.
Tại thời điểm thăm khám, phim X-quang âm tính với gãy xương đốt bàn chân thứ hai.
Chuỗi xung MRI STIR (Short TI Inversion Recovery) cho thấy tăng tín hiệu tủy xương và phần mềm xung quanh, gợi ý phù tủy xương là hậu quả của gãy xương do stress.
Gãy xương do stress trên X-quang biểu hiện các dấu hiệu sau:
-
Xương vỏ
- hình thành can xương nội màng hoặc màng xương mà không có đường gãy
- phản ứng màng xương toàn chu vi kèm đường gãy qua một vỏ xương
- đường gãy hoàn toàn
-
Xương xốp
- các mảng tạo xương mới dạng vảy (2-3 tuần)
- vùng khoáng hóa xương dạng đám mây
- vùng xơ cứng khu trú dạng tuyến tính, vuông góc với các bè xương
MRI
MRI đã vượt qua xạ hình xương (bone scintigraphy) để trở thành công cụ chẩn đoán hình ảnh hàng đầu cho gãy xương do stress, với độ nhạy tương đương (100%) nhưng độ đặc hiệu cao hơn (85%), có thể do cung cấp chi tiết giải phẫu tốt hơn và mô tả chính xác hơn các mô liên quan.
Chuỗi xung STIR (short tau inversion recovery), chuỗi xung T1W (T1WI) và chuỗi xung T2W (T2WI) được sử dụng để đặc trưng hóa và phân độ tổn thương.
Phân độ dựa trên các dấu hiệu thấy trên MRI:
- Phù màng xương mức độ nhẹ – vừa trên STIR, không có thay đổi tủy xương
- Phù màng xương mức độ vừa – nặng trên STIR + thay đổi tủy xương trên chuỗi xung T2W
- Độ 2 + thay đổi tủy xương trên chuỗi xung T1W
- Đường gãy có thể nhìn thấy
Bên trái là hình ảnh của bệnh nhân nữ 22 tuổi, vận động viên chuyên nghiệp với khởi phát đau vùng mu bàn chân gần đây, kéo dài sau khi tập luyện.
Tại thời điểm thăm khám, MRI cho thấy tăng tín hiệu trên chuỗi xung STIR và giảm tín hiệu trên chuỗi xung T1W (tức là gãy xương do stress độ 3).

Gãy xương do stress độ 4 tại xương thuyền. Chuỗi xung T1W và CT (ảnh cắt ngang và tái tạo mặt phẳng coronal)
Bên trái là hình ảnh của bệnh nhân nam 27 tuổi, cầu thủ bóng đá thi đấu ở giải nghiệp dư hạng cao nhất.
Bệnh nhân bị đau vùng giữa bàn chân với các triệu chứng gần đây có xu hướng tăng nặng.
Chuỗi xung T1W cho thấy đường gãy rõ ràng trong xương thuyền, gợi ý gãy xương do stress độ 4.
CT tương ứng cho thấy đường gãy và xơ cứng trên các ảnh cắt ngang và tái tạo mặt phẳng coronal.
Gãy xương cổ xương đùi
Có hai loại gãy xương do stress ở cổ xương đùi:
- Gãy xương do lực nén. Loại này nằm ở mặt trong của cổ xương đùi.
Nguy cơ liền xương phức tạp thấp khi điều trị bảo tồn, do các mảnh gãy được ép chặt vào nhau. - Gãy xương do lực căng. Loại này nằm ở mặt ngoài của cổ xương đùi.
Nguy cơ liền xương phức tạp cao
do lực căng tác động lên các mảnh gãy.
Loại gãy này có nguy cơ tiến triển thành gãy xương hoàn toàn và hoại tử vô mạch.
Nếu điều trị bảo tồn thất bại, nên chỉ định nắn chỉnh hở và cố định bên trong.
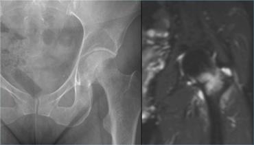
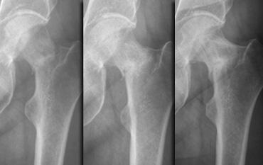
Hình bên trái cho thấy gãy xương do lực nén ở cổ xương đùi.
Hình X-quang bình thường, nhưng MRI phát hiện đường gãy và phù tủy xương (tức là độ 4).
Hình X-quang chụp một tháng sau cho thấy tổn thương tiến triển thành gãy xương hoàn toàn.
Mặc dù đây là loại gãy xương nguy cơ thấp, các hình X-quang theo dõi tại thời điểm 3 và 13 tháng vẫn cho thấy xu hướng liền xương kém.
Gãy Xương Chày và Xương Mác

Gãy xương do stress ở mặt trong của đầu gần xương chày ở một vận động viên chạy bộ 42 tuổi. Hình ảnh do Bác sĩ Wuisman cung cấp (3)
Xương Chày
Xương chày là vị trí gãy xương do stress phổ biến nhất (chiếm hơn 50%).
Hình bên trái là một nam giới 42 tuổi với triệu chứng đau ở đầu gối trái.
Cơn đau khởi phát từ từ trong một cuộc thi chạy 10 dặm.
X-quang ban đầu được đọc là bình thường, nhưng chuỗi xung T2W gradient echo của khớp gối cho thấy phù tủy xương ở đầu gần xương chày, gợi ý sự hiện diện của gãy xương do stress.
Nhìn lại, đường xơ cứng trên phim X-quang cũng là dấu hiệu của gãy xương do stress.

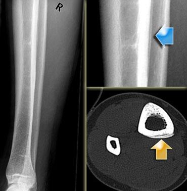
X-quang và CT cho thấy đường nứt tại điểm bám của cơ gấp các ngón dài. Hình ảnh do Bác sĩ Wuisman cung cấp (3)
Hình bên trái là một vận động viên chạy bộ 24 tuổi với triệu chứng đau cẳng chân kéo dài bốn tháng.
Ban đầu cơn đau chỉ xuất hiện khi chạy, nhưng cuối cùng đau cả khi nghỉ ngơi.
X-quang ban đầu được đọc là bình thường.
Xạ hình xương (không trình bày) cho thấy vùng tăng hoạt tính khu trú.
CT được thực hiện để phân tích thêm và phát hiện đường nứt theo chiều dọc tại điểm bám của cơ gấp các ngón dài.
Bệnh nhân được điều trị bằng sáu tuần nghỉ ngơi,
sau đó tăng dần cường độ tập luyện.
Hình bên trái là một nam giới 50 tuổi, vốn có lối sống ít vận động.
Ông tham gia một cuộc thi đi bộ 10 dặm mà không có bất kỳ sự chuẩn bị tập luyện nào trước đó.
Cơn đau ở cẳng chân xuất hiện từ từ và cuối cùng ông không thể tiếp tục đi bộ.
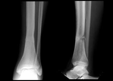
X-quang cho thấy gãy xương do stress ở đầu dưới xương chày.
Vận động quá mức trong thời gian ngắn là nguyên nhân thường gặp của gãy xương do stress.

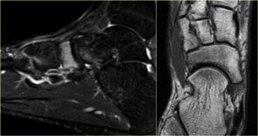
Gãy xương do stress mắt cá trong: Hình ảnh STIR mặt phẳng coronal ban đầu và CT tại thời điểm theo dõi 11 tháng.
Hình bên trái là một cầu thủ bóng đá chuyên nghiệp 25 tuổi với triệu chứng đau vùng cổ chân.
MRI chuỗi xung STIR mặt phẳng coronal cho thấy bất thường tủy xương rõ rệt, tuy nhiên còn nghi ngờ về sự hiện diện của đường gãy.
Tại thời điểm theo dõi 11 tháng, CT hiển thị rõ ràng đường gãy.
Hình bên trái là X-quang sau phẫu thuật với vít cố định và bột bó cẳng chân tại thời điểm 12 tháng.
Hình ảnh cho thấy đường gãy vừa đủ nhìn thấy tại vị trí điển hình: chỗ nối giữa trần khớp chày (tibial plafond) và đường thẳng đứng phía trong của mắt cá trong.

Gãy xương do stress hai bên đầu dưới xương mác: X-quang ban đầu và xạ hình xương tại thời điểm theo dõi 2 tuần.
Xương Mác
Gãy xương mác chiếm 10% các trường hợp gãy xương do stress.
Gãy xương do stress của xương mác thường xảy ra ở một phần ba đoạn dưới.
Hình bên trái là một vận động viên với triệu chứng đau ngay phía trên cả hai mắt cá chân, đau bên trái nhiều hơn bên phải.
X-quang chụp tại thời điểm khám không phát hiện bất thường.
Xạ hình xương 2 tuần sau cho thấy gãy xương do stress ở đầu dưới xương mác cả hai bên.
X-quang tại thời điểm theo dõi 6 tuần (không trình bày) xác nhận gãy xương do stress hai bên với xu hướng lành xương.
Gãy Xương Bàn Chân
Các xương cổ chân
Xương thuyền là vị trí gãy xương do stress thường gặp nhất trong nhóm xương cổ chân.
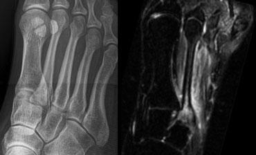
Hình bên trái: nam vận động viên 16 tuổi với cường độ tập luyện hàng tuần cao.
Bệnh nhân than phiền về cơn đau vùng giữa bàn chân khởi phát gần đây trong quá trình tập luyện,
kéo dài trong vài giờ sau đó.
Trên ảnh STIR mặt phẳng đứng dọc ghi nhận tăng tín hiệu tại xương thuyền.
Trên ảnh T1W mặt phẳng ngang ghi nhận giảm tín hiệu, tuy nhiên không xác định rõ đường gãy.
Các xương bàn chân
Các xương bàn chân là vị trí thường gặp của gãy xương do stress (chiếm 25% các trường hợp).
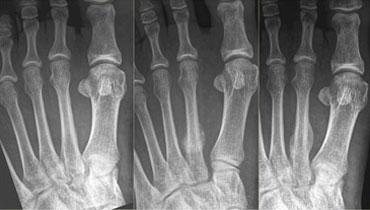
Hình bên trái: nữ bệnh nhân 15 tuổi, không có tiền sử chấn thương.
Đau vùng mu bàn chân phía ngoài khởi phát gần đây khi đi bộ.
X-quang tại thời điểm khám không ghi nhận bất thường.
Theo dõi sau 3 tuần cho thấy gãy hoàn toàn thân xương đoạn xa của xương bàn chân thứ 4 với phản ứng màng xương rõ ràng.
Hình bên trái: nữ bệnh nhân 39 tuổi với triệu chứng đau vùng mu bàn chân khởi phát trong kỳ nghỉ đạp xe.
X-quang tại thời điểm khám bình thường.
Tại các lần theo dõi sau 1 và 3 tháng, có thể quan sát thấy xu hướng lành xương rõ ràng, xác nhận sự hiện diện của gãy xương do stress.
Các xương vừng
Các xương vừng là vị trí ít gặp của gãy xương do stress.
Hình bên trái: nam bệnh nhân 14 tuổi, cầu thủ bóng đá, với triệu chứng đau lòng bàn chân vùng mu dai dẳng.
Gãy xương do stress của xương vừng trong ngón cái được xác định bởi tăng tín hiệu
trên chuỗi xung STIR mặt phẳng đứng dọc
tại thời điểm khám.
CT thực hiện tại thời điểm khám cho thấy xơ cứng xương vừng trong và xác nhận chẩn đoán gãy xương do stress.
Gãy xương do stress nguy cơ cao và nguy cơ thấp
Gãy xương do stress có thể được phân loại thành nguy cơ cao và nguy cơ thấp dựa trên khả năng lành xương không biến chứng khi điều trị bảo tồn.
Các vị trí gãy xương nguy cơ cao:
- Gãy xương cổ xương đùi phía căng (tension fracture)
- Gãy xương bánh chè theo hướng ngang
- Gãy thân xương chày mặt trước đoạn giữa
- Mắt cá trong
- Xương sên
- Xương thuyền cổ chân
- Xương bàn chân thứ 5
- Xương vừng ngón cái
Các vị trí gãy xương nguy cơ thấp:
- Gãy xương cổ xương đùi phía nén (compression fracture)
- Gãy xương bánh chè theo hướng dọc
- Gãy mặt sau-trong xương chày
- Xương mác
- Xương gót
- Xương bàn chân thứ 2 và thứ 3










