Gãy xương mắt cá chân – Phân loại Weber và Lauge-Hansen
Ngày xuất bản
Phân loại gãy xương mắt cá chân đóng vai trò quan trọng trong việc đánh giá mức độ tổn thương và sự vững chắc của khớp.
Phân loại Weber tập trung vào tính toàn vẹn của xương mác và khớp chày mác (syndesmosis) – cấu trúc giữ vững khung mắt cá chân.
Hệ thống phân loại Lauge-Hansen tập trung vào cơ chế chấn thương.
Kết hợp các giai đoạn của Lauge-Hansen với hệ thống Weber sẽ giúp dự đoán tổn thương dây chằng và tình trạng mất vững khớp.
Bài viết này sẽ giúp bạn phân giai đoạn chính xác các chấn thương mắt cá chân và phát hiện các đường gãy không rõ ràng ngay từ cái nhìn đầu tiên.
Tổng quan ngắn gọn
Về cơ bản, có ba loại gãy xương cổ chân chính.
Weber phân loại chúng thành:
- Loại A – dưới khớp chày mác (infrasyndesmotic)
- Loại B – ngang khớp chày mác (transsyndesmotic)
- Loại C – trên khớp chày mác (suprasyndesmotic)
Các loại gãy xương này tương đồng với các loại gãy xương được Lauge-Hansen mô tả là sấp-khép (supination-adduction), sấp-xoay ngoài (supination-exorotation) và ngửa-xoay ngoài (pronation-exorotation).
Chúng tôi sẽ trước tiên trình bày tổng quan ngắn gọn về các loại gãy xương này, sau đó thảo luận chi tiết hơn.
Khi bạn hiểu được cơ chế chấn thương theo mô tả của Lauge-Hansen và trình tự các sự kiện xảy ra theo từng giai đoạn, bạn sẽ biết cần tìm kiếm gãy xương và tổn thương dây chằng ở đâu.
Weber A
Xảy ra dưới khớp chày mác, khớp này còn nguyên vẹn.
Theo Lauge-Hansen, đây là kết quả của lực khép tác động lên bàn chân ở tư thế sấp.
- Giai đoạn 1 – Lực căng lên các dây chằng bên ngoài dẫn đến đứt dây chằng
hoặc gãy giật (avulsion) mắt cá ngoài ở dưới khớp chày mác. - Giai đoạn 2 – Gãy chéo mắt cá trong.
Cuộn qua các hình ảnh.
Lưu ý rằng đường gãy xương mác có hướng ngang, vì đây là gãy giật (avulsion) hay gãy do lực kéo.
Đường gãy xương chày có hướng thẳng đứng hoặc chéo, vì đây là gãy do lực đẩy.
Weber B
Đây là gãy xương ngang khớp chày mác, thường kèm theo đứt một phần – và ít gặp hơn là đứt hoàn toàn – khớp chày mác.
Theo Lauge-Hansen, đây là kết quả của lực xoay ngoài tác động lên bàn chân ở tư thế sấp.
- Giai đoạn 1 – Đứt khớp chày mác trước
- Giai đoạn 2 – Gãy chéo xương mác (đây là gãy Weber B thực sự)
- Giai đoạn 3 – Đứt khớp chày mác sau
hoặc – gãy mắt cá sau - Giai đoạn 4 – Gãy giật mắt cá trong
hoặc – đứt các bó dây chằng bên trong
Cuộn qua các hình ảnh.
Lưu ý hướng chéo hoặc thẳng đứng của đường gãy xương mác do lực đẩy.
Weber C
Đây là gãy xương ở trên mức khớp chày mác. Thường có đứt hoàn toàn khớp chày mác kèm theo mất vững khớp cổ chân.
Theo Lauge-Hansen, đây là kết quả của lực xoay ngoài tác động lên bàn chân ở tư thế ngửa.
- Giai đoạn 1 – Gãy giật mắt cá trong
hoặc – đứt dây chằng - Giai đoạn 2 – Đứt khớp chày mác trước
- Giai đoạn 3 – Gãy xương mác ở trên mức khớp chày mác (đây là gãy Weber C thực sự)
- Giai đoạn 4 – Gãy giật mắt cá sau
hoặc – đứt khớp chày mác sau
Cuộn qua các hình ảnh
Chấn thương xoay ngoài
Gãy xương Weber A thường không phức tạp.
Weber B và C khó hơn và điều cần thiết là phải hiểu trình tự các sự kiện trong các chấn thương này, vốn đều là chấn thương xoay ngoài.
Điều này cho thấy 75-80% chấn thương cổ chân là chấn thương xoay ngoài.
Weber B bắt đầu từ phía trước-ngoài và trình tự là:
- Khớp chày mác trước
- Xương mác
- Khớp chày mác sau
- Mắt cá trong
Weber C bắt đầu từ phía trong và trình tự là:
- Mắt cá trong
- Khớp chày mác trước
- Xương mác
- Khớp chày mác sau
Đứt dây chằng hoặc Gãy giật
Một điều quan trọng khác cần ghi nhớ là dây chằng có thể bị đứt hoặc gây ra gãy giật tại điểm bám.
Mỗi trường hợp đứt dây chằng đều có thể có dạng tương đương là gãy giật xương.
Tóm tắt phân loại Weber và Lauge-Hansen
-
Weber A = Dưới khớp chày mác (Infrasyndesmotic)
- Gãy giật mắt cá ngoài
- Gãy chéo mắt cá trong (ít gặp)
-
Weber B = Ngang khớp chày mác (Transsyndesmotic)
- Đứt khớp chày mác trước
- Gãy chéo xương mác
- Đứt khớp chày mác sau
hoặc – gãy mắt cá sau - Gãy giật mắt cá trong –
hoặc – đứt các bó dây chằng bên trong
-
Weber C = Trên khớp chày mác (Suprasyndesmotic)
- Gãy giật mắt cá trong
hoặc – đứt dây chằng - Đứt khớp chày mác trước
- Gãy xương mác ở trên mức khớp chày mác
- Gãy giật mắt cá sau
hoặc – đứt khớp chày mác sau
- Gãy giật mắt cá trong
Mất vững được ghi nhận trong:
- Weber A giai đoạn 2
- Weber B giai đoạn 3-4
- Weber C giai đoạn 3-4
Weber and Lauge-Hansen combined
Trong thực hành hàng ngày, hầu hết mọi người sử dụng hệ thống Weber, vốn dễ ghi nhớ, trong khi hệ thống Lauge-Hansen có vẻ khá phức tạp ngay từ cái nhìn đầu tiên.
Kết hợp sự đơn giản của Weber với việc giải thích cơ chế chấn thương theo Lauge-Hansen có ưu điểm là bạn vẫn sử dụng một hệ thống đơn giản, nhưng nay bạn thực sự hiểu được những gì đang xảy ra.
Ví dụ, nếu bạn thấy một gãy xương ở giai đoạn 2 trong hệ thống Lauge-Hansen, thì bạn biết rằng cũng có một tổn thương giai đoạn 1 và bạn sẽ nghiên cứu các phim X-quang với mức độ nghi ngờ cao về các dấu hiệu của giai đoạn 3 và 4.
This can best be demonstrated by giving an example.
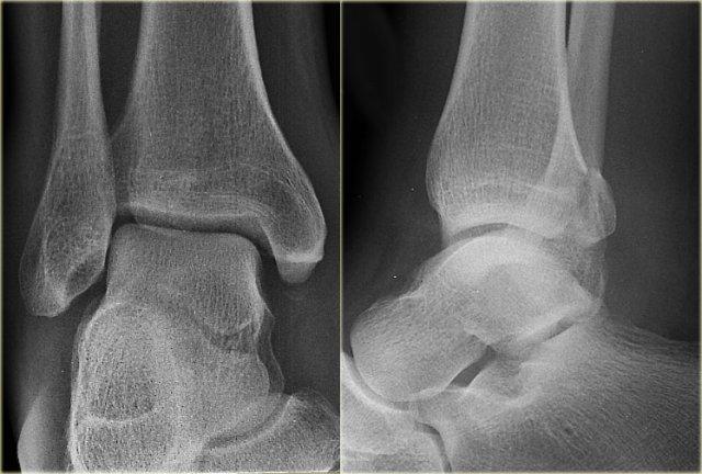
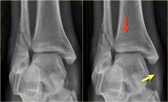
- Ấn tượng ban đầu
Các phim chụp X-quang cho thấy gãy mắt cá sau.
Nếu bạn chỉ mô tả đơn thuần là – gãy mắt cá sau – thì bạn đã bỏ sót vấn đề chính.
Đây có thể là gãy xương cổ chân không vững.
Gãy mắt cá sau đơn thuần là một phát hiện rất hiếm gặp.
- Nhìn vào hệ thống phân loại
Khi chúng ta xem xét sơ đồ, chúng ta sẽ nhận thấy rằng gãy mắt cá sau trong hầu hết các trường hợp là một phần của gãy Weber B hoặc Weber C.
Gãy xương thứ ba (tertius) thuộc Weber B giai đoạn 3
hoặc – do Weber C giai đoạn 4 (mũi tên).
Chúng ta cần xem lại phim để tìm các dấu hiệu bổ sung.
Vì bây giờ chúng ta đã biết cần tìm ở đâu, việc phát hiện các dấu hiệu bổ sung sẽ dễ dàng hơn.
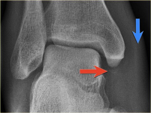
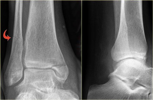
- Tái khám
Trên phim chụp cổ chân không có dấu hiệu gãy xương chéo của mắt cá ngoài, do đó chúng ta có thể loại trừ gãy xương Weber B.
Vẫn còn khả năng gãy xương Weber C giai đoạn 4, tức là đứt hoặc bong gân phía trong, gãy xương mác cao và cuối cùng là gãy mắt cá sau.
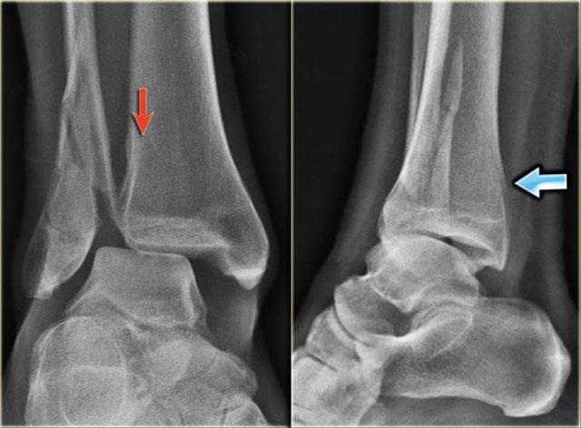
Khi tái khám, bạn nhận thấy hình ảnh bong điểm bám tinh tế của mắt cá trong (mũi tên đỏ), đây là giai đoạn 1.
Cũng lưu ý tình trạng sưng nề phần mềm ở phía trong (mũi tên xanh)
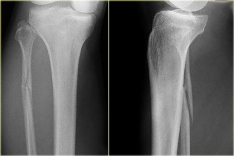
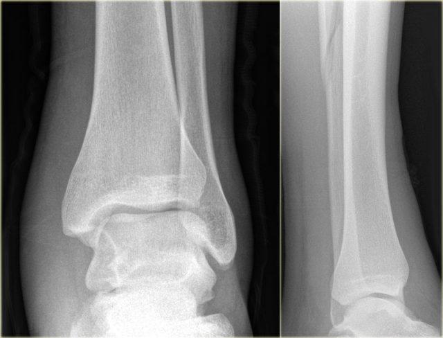
Các phim X-quang bổ sung của chi dưới được chỉ định và cho thấy gãy xương mác cao, tức là Weber C giai đoạn 3, còn được gọi là gãy xương Maisonneuve.
Final report
Weber C fracture stage 4.
This is un unstable ankle injury that needs surgical repair.
Đây là một trường hợp thường gặp hàng ngày.
Điều tôi muốn nhấn mạnh là, khi bạn hiểu được trình tự các tổn thương ở mắt cá chân, thì bạn sẽ biết cần tìm kiếm gãy xương và sưng nề phần mềm chỉ điểm tổn thương dây chằng ở đâu.
Weber A in detail
Chúng ta sẽ thảo luận về phân loại Weber và bổ sung các giai đoạn của hệ thống Lauge-Hansen.
Weber A chiếm 20-25% trong tổng số các gãy xương mắt cá chân.
Việc chẩn đoán cũng như điều trị thường không gặp khó khăn.
Theo Lauge-Hansen, gãy xương này xảy ra do lực khép tác động lên bàn chân ở tư thế ngửa.
Mặt ngoài chịu lực căng cực độ kéo giãn các dây chằng, dẫn đến gãy xương do giật avulsion.
Hầu như luôn luôn, gãy xương avulsion xuất hiện dưới dạng đường gãy ngang.
Kiểu này được gọi là gãy xương kiểu kéo ra (pull off), trái ngược với kiểu đẩy ra (push off), vốn xuất hiện dưới dạng đường gãy chéo hoặc dọc.
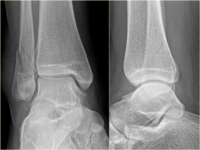
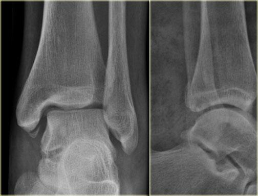
Stage 1
Các hình ảnh cho thấy gãy xương loại Weber A điển hình.
Tất cả đều là gãy xương giai đoạn 1.
Giai đoạn 2 cực kỳ hiếm gặp.
Chú ý hướng nằm ngang của các đường gãy.
Đây là các gãy xương kiểu giật đứt do kết quả của sự bong gân giật.
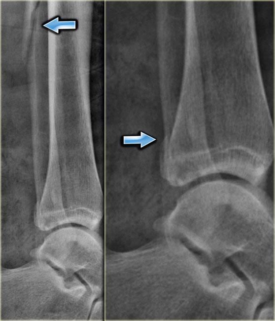
Stage 2
Giai đoạn 2 không phổ biến và dễ phát hiện.
Lực khép lớn hơn dẫn đến mắt cá trong bị đẩy ra theo chiều dọc hoặc chéo.
Giai đoạn 2 không vững vì vòng cổ chân bị gãy ở hai vị trí.
Lưu ý hướng nằm ngang của gãy mắt cá ngoài và hướng thẳng đứng của gãy mắt cá trong.
Những lực cực lớn hẳn đã đẩy bật mắt cá trong ra.
Weber B in detail
Stage 1-2
Weber B là loại gãy xương mắt cá chân phổ biến nhất, chiếm khoảng 60%.
Theo Lauge-Hansen, gãy xương này là kết quả của lực xoay ngoài tác động lên bàn chân ở tư thế sấp.
Giai đoạn 1 thường không thể nhìn thấy trên phim X-quang.
Điều chúng ta thường thấy là gãy xương chéo giai đoạn 2 qua khớp chày mác và chúng ta phải giả định rằng cũng có đứt dây chằng chày mác trước, tức là giai đoạn 1.
Theo Lauge Hansen, tổn thương đầu tiên xảy ra ở phía ngoài, nơi đang chịu lực căng tối đa.
Ở giai đoạn 2, xương sên tiếp tục xoay ngoài và do bàn chân đang ở tư thế sấp, mắt cá ngoài bị giữ chặt tại chỗ bởi các dây chằng bên ngoài.
Mắt cá ngoài không thể di chuyển ra ngoài mà không bị gãy.
Kết quả là sự xoay tiếp tục của xương sên sẽ gây gãy xương mác theo kiểu chéo hoặc xoắn ốc do mắt cá ngoài bị đẩy bật ra từ phía trước trong ra phía sau ngoài.
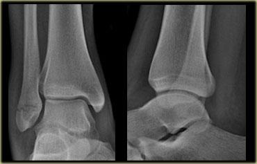
Các hình ảnh cho thấy gãy xương Weber B.
Đường gãy chéo là đặc trưng điển hình của Weber B và là kết quả của sự xoay ngoài của xương sên đẩy vào mắt cá ngoài cố định.
Gãy xương mắt cá thường bắt đầu ở phía trong tại mức vòm xương sên, nhưng cũng có thể bắt đầu cao hơn mức này vài centimet.
Stage 3-4
Giai đoạn 3 Sự dịch chuyển ra sau nhiều hơn của mảnh mắt cá ngoài do xương sên gây ra lực căng lên khớp chày mác sau dẫn đến đứt hoặc bong điểm bám của mắt cá sau.
Giai đoạn 4 Sự di chuyển ra sau thêm của xương sên sẽ gây ra căng thẳng cực độ ở phía trong và dây chằng delta sẽ hoặc bị đứt hoặc bị bứt ra khỏi mắt cá trong theo mặt phẳng ngang.
Các giai đoạn trong gãy xương Weber B hoặc tổn thương xoay ngoài-sấp theo phân loại Lauge-Hansen diễn ra theo chiều kim đồng hồ:
- Rupture of the anterior tibiofibular ligament
- Oblique fracture of the distal fibula
- Avulsion của mắt cá sau hoặc đứt dây chằng chày mác sau
- Avulsion của mắt cá trong hoặc đứt dây chằng bên trong
Ngay sau khi chấn thương, các phần bị tổn thương có thể tự sắp xếp lại vị trí, điều này có thể gây khó khăn trong việc phát hiện các tổn thương.
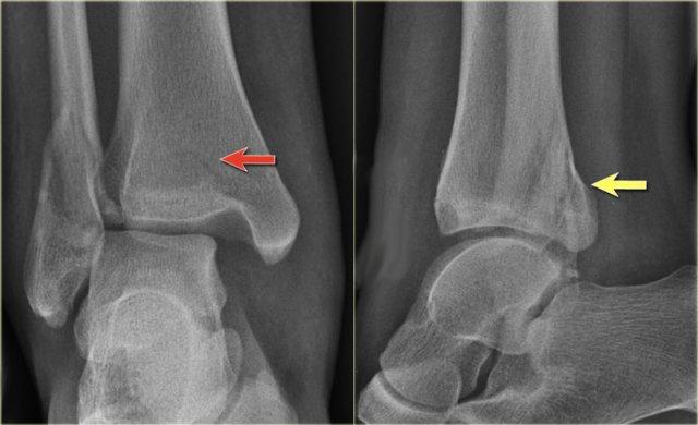
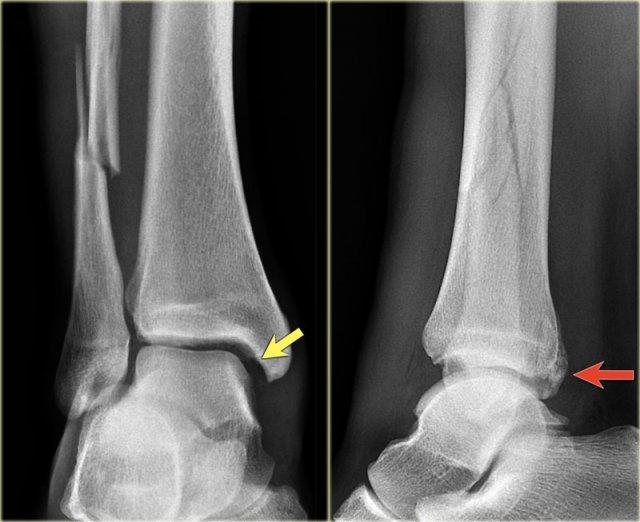
Hình ảnh X-quang cho thấy một gãy xương Weber B điển hình.
Hãy quan sát kỹ hình ảnh trước rồi tiếp tục đọc.
Bạn có nhận ra đây là giai đoạn nào không?
Đây là tổn thương Weber B giai đoạn 4.
Lưu ý rằng cả 4 giai đoạn đều có thể nhìn thấy:
- Đứt dây chằng chày mác trước – biểu hiện bằng sự giãn rộng khoảng cách giữa đầu xa xương chày và xương mác (khoảng sáng bên ngoài).
- Gãy xương mác chéo ở mức khớp chày mác – tức là gãy kiểu Weber B.
- Gãy xương Tertius – thấy trên phim thẳng (mũi tên đỏ) và trên phim nghiêng (mũi tên vàng).
- Rupture của dây chằng bên trong – được thấy như sự mở rộng của khoảng cách giữa mắt cá chân trong và xương sên (khoảng sáng trong)
Những hình ảnh này cho thấy một gãy xương Weber B điển hình giai đoạn 4.
Có một đường gãy chéo của xương mác.
Có một gãy giật bong mắt cá sau và một gãy giật bong mắt cá trong.
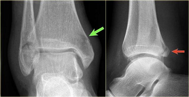
Đây là một trường hợp điển hình khác của gãy xương Weber B giai đoạn 4.
Đầu tiên, hãy chú ý đến đường gãy xương mác chéo, được thấy rõ nhất trên hình chiếu nghiêng.
Đây là giai đoạn 2 và chúng ta phải giả định rằng dây chằng khớp chày mác trước đã bị đứt.
Trên hình chiếu nghiêng, có thể thấy một mảnh vỡ nhỏ của cơ mác thứ ba, cho thấy giai đoạn 3.
Bây giờ bạn bắt đầu tìm kiếm giai đoạn 4 và sẽ nhận thấy vùng thấu quang mờ ở mắt cá trong trên hình chiếu thẳng (mũi tên xanh lá).
Dựa vào hiểu biết về các giai đoạn của Lauge Hansen, đây chắc chắn phải là một đường gãy xương.
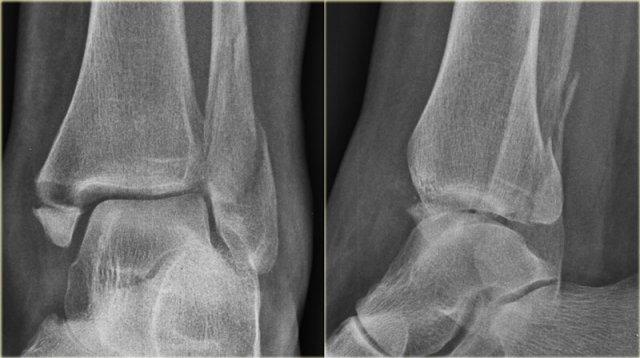
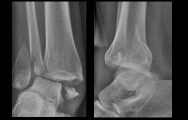
Đây là một trường hợp tinh tế hơn.
Ấn tượng đầu tiên là gãy xương Weber B giai đoạn 2.
Bây giờ chúng ta bắt đầu tìm kiếm giai đoạn 3, đó là gãy xương tertius.
Đường cản quang tuyến tính nhỏ trên phim chụp AP là đủ để chẩn đoán gãy xương tertius.
Sưng nề phần mềm ở phía trong có thể là do đứt dây chằng bên trong, tức là giai đoạn 4.
Weber C in detail
Stage 1
Weber C gặp trong khoảng 20% các gãy xương mắt cá chân.
Đây là loại gãy xương khó chẩn đoán nhất và hệ thống phân loại Lauge-Hansen sẽ giúp bạn hiểu cơ chế gãy xương, điều này sẽ là một trợ giúp vô cùng lớn.
Theo Lauge-Hansen, gãy xương này là kết quả của lực xoay ngoài tác động lên bàn chân ở tư thế sấp.
Giai đoạn 1 Tổn thương đầu tiên xảy ra ở phía trong, nơi chịu lực căng tối đa do sự sấp bàn chân.
Nó sẽ dẫn đến đứt dây chằng bên trong hoặc bong điểm bám của mắt cá trong.
Lúc này tổn thương có thể dừng lại và chỉ có đứt dây chằng bên trong hoặc bong điểm bám của mắt cá trong.
Lauge Hansen gọi đây là giai đoạn PE 1.
Chúng ta không thể phân loại trường hợp này theo phân loại Weber, vì không có gãy xương mác.
Trong nhiều trường hợp, tổn thương tiến triển lên giai đoạn cao hơn.
Stage 2-3
Xương sên xoay ra ngoài và di chuyển sang bên do không còn bị ràng buộc bởi phần bám vào phía trong.
Do sự sấp, các dây chằng bên ngoài không còn chịu lực căng và xương mác có thể di chuyển ra xa xương chày.
Điều này gây ra đứt khớp chày mác trước. Đây là giai đoạn 2.
Lực liên tục sẽ xoắn xương mác và di lệch nó về phía xa, trong khi ở phía gần nó được cố định vào xương chày.
Cuối cùng màng gian cốt sẽ rách đến điểm mà thân xương mác bị gãy. Đây là giai đoạn 3.
Vị trí này luôn ở trên mức của khớp chày mác xa.
Trong nhiều trường hợp có thể thấy trên phim X-quang cổ chân, nhưng trong một số trường hợp vị trí gãy xương nằm cao và chỉ có thể thấy trên phim X-quang cẳng chân.
Loại gãy xương sau này còn được gọi là gãy xương Maisonneuve.
Here we see the different stages in the axial plane.
- Medial avulsion fracture or rupture of the collateral band
- Rupture of the anterior syndesmosis
- Suprasyndesmotic rupture of the fibula due to rotation
- Gãy mắt cá sau hoặc đứt dây chằng chày mác sau
Scroll through the images.
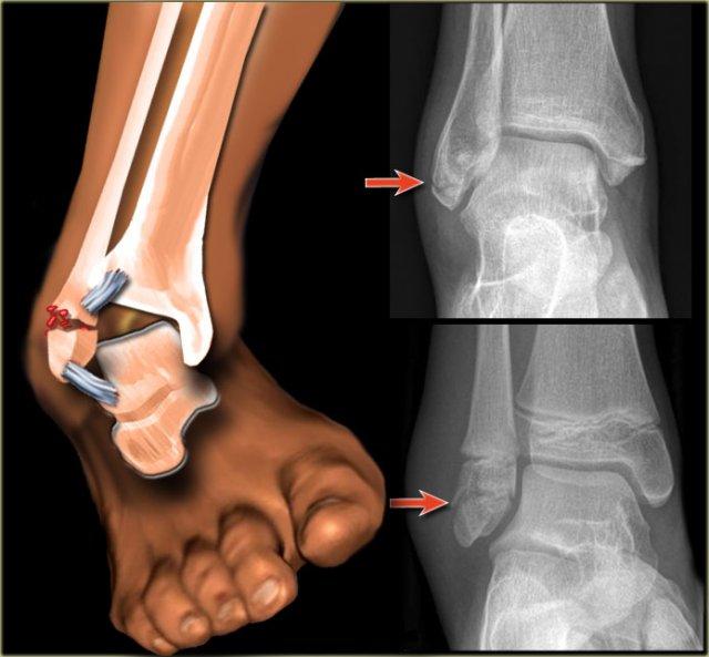
Phim X-quang cho thấy gãy xương Weber C.
Có gãy xương giật (avulsion) của mắt cá trong và gãy xương mác ở trên mức khớp chày mác xa (syndesmosis).
Theo phân loại Lauge-Hansen, đây là tổn thương xoay ngoài-sấp (pronation exorotation) giai đoạn 3, do đó dây chằng chày mác xa trước (anterior syndesmosis) (giai đoạn 2) cũng phải bị đứt.
Chúng tôi không thấy gãy xương tertius, vốn là dấu hiệu của giai đoạn 4, nhưng có thể có rách khớp chày mác sau.
Đây là một ví dụ về gãy xương Weber C kèm theo gãy xương mác đoạn gần.
Lưu ý rằng trên phim X-quang cổ chân không thấy đường gãy xương.
Bạn có thể chẩn đoán nhầm đây chỉ là sưng nề phần mềm đơn thuần.
Thực tế đây là gãy xương cổ chân không vững, vì chắc chắn phải có kèm theo đứt dây chằng bên trong (giai đoạn 1), do đó vòng xương bị phá vỡ ở hai vị trí dẫn đến mất vững.
According to Lauge Hansen we are probably dealing with:
- Medial collateral band rupture
- Rupture of the anterior syndesmosis
- High fibula fracture
- and possibly a rupture of the posterior syndesmosis
Stage 4
Cuối cùng dây chằng chày mác sau bị đứt, hoặc có sự bong gân của mắt cá sau, còn được gọi là gãy mắt cá sau (mũi tên đỏ).
Khoang sáng phía trong chỉ giãn rộng nhẹ, nhưng dựa trên các giai đoạn của Lauge Hansen, chắc chắn phải có đứt dây chằng bên.
Diễn Giải và Báo Cáo
Bắt đầu với ấn tượng ban đầu và tìm kiếm các gãy xương cũng như dấu hiệu đứt dây chằng.
Ấn tượng này sẽ định hướng bạn đến cả phân loại Weber lẫn phân loại Lauge-Hansen.
Phân loại Lauge-Hansen sẽ cho bạn biết cơ chế gãy xương và giai đoạn sơ bộ của chấn thương cổ chân.
Bây giờ hãy xem lại phim để đảm bảo rằng bạn không bỏ sót một chấn thương cổ chân ở mức độ cao hơn.
Sau khi xem lại, bạn có thể đưa ra báo cáo cuối cùng.
Trong báo cáo cuối cùng, gãy xương được mô tả theo phân loại Weber và/hoặc Lauge-Hansen.
Mô tả số lượng mắt cá chân liên quan và liệu có dấu hiệu mất vững hoặc trật khớp hay không.
Ví dụ 1
- Diễn giải cơ bản
Có gãy xương mắt cá trong.
Bạn diễn giải đây là gãy xương kiểu giật (avulsion fracture). - Phân loại
Không thể phân loại theo Weber, nhưng theo Lauge-Hansen, gãy xương giật mắt cá trong cho thấy bàn chân có thể đang ở tư thế sấp (pronation) tại thời điểm chấn thương.
Do đó, chấn thương này có thể là chấn thương sấp-xoay ngoài (PER) giai đoạn 1 hoặc cao hơn.
- Xem lại phim
Bạn xem lại phim X-quang để tìm kiếm giai đoạn 2 (đứt hoặc gãy giật khớp chày mác trước), giai đoạn 3 (gãy xương mác cao = Weber C) hoặc thậm chí giai đoạn 4 (đứt hoặc gãy giật khớp chày mác sau).
Vì vậy, khi xem lại lần hai, bạn nhận thấy sự giãn rộng nhẹ của khoang sáng bên ngoài trên phim gốc, điều này có thể gợi ý nhưng chắc chắn chưa phải bằng chứng của đứt khớp chày mác.
Mặc dù bệnh nhân đã được bó bột, bạn vẫn chỉ định chụp thêm phim để tìm kiếm giai đoạn 3 có thể có.
Các phim này cho thấy gãy xương mác cao và gãy giật mắt cá sau nhẹ. - Báo cáo cuối cùng
Gãy xương Weber C hoặc PER giai đoạn 4 theo Lauge-Hansen. Đây là gãy xương không vững cần phẫu thuật sửa chữa.
Vòng cổ chân bị gián đoạn ở hai vị trí, tức là mắt cá trong và khớp chày mác.
Một vít khớp chày mác đã được đặt vào.
Ví dụ 2
- Diễn giải cơ bản
Gãy xương mắt cá ngoài theo chiều ngang.
Phân loại
Weber A và Sấp-Khép (Supination Adduction) giai đoạn 1.
Xem lại phim
Không có dấu hiệu của SA giai đoạn 2 (gãy xương mắt cá trong)- Báo cáo cuối cùng
Gãy xương Weber A hoặc SA giai đoạn 1 ổn định.
Bệnh nhân sẽ được điều trị bảo tồn.
Ví dụ 3
- Diễn giải cơ bản
Gãy xương hai mắt cá có trật khớp. Gãy giật xương mắt cá trong.
Mắt cá ngoài bị ‘đẩy ra’ từ trước ra sau. - Phân loại
Đường gãy bắt đầu ở mức khớp cổ chân và lan lên trên, tức là gãy xương Weber B.
Theo Lauge-Hansen, gãy xương mác chéo cho thấy đây là chấn thương Ngửa-Xoay ngoài (Supination Exorotation) giai đoạn 2 hoặc cao hơn. - Xem lại phim
Tìm kiếm giai đoạn 3 (đứt khớp chày mác sau hoặc gãy giật mắt cá sau) và giai đoạn 4 (đứt dây chằng delta hoặc gãy giật mắt cá trong).
Chỉ đến lúc này bạn mới nhận thấy gãy xương mắt cá sau trên phim nghiêng. - Báo cáo cuối cùng
Gãy xương ba mắt cá. Weber B. SER giai đoạn 4 (Lauge-Hansen).
Đây là gãy xương không vững có trật khớp cần phẫu thuật sửa chữa.
Kích thước mảnh gãy mắt cá sau có thể nhỏ hơn 25% đường kính khớp theo chiều trước-sau và có thể không cần sửa chữa riêng.
Đôi khi cần chụp CT để đánh giá tốt hơn kích thước mảnh gãy của mắt cá sau.
Ví dụ 4
- Diễn giải cơ bản
Gãy xương mắt cá ngoài bắt đầu ở phía trước tại mức khớp và lan lên trên ra phía sau. - Phân loại
Gãy xương được phân loại theo Weber là gãy xương loại B.Theo Lauge-Hansen, gãy xương mác chéo cho thấy đây là chấn thương Ngửa-Xoay ngoài (Supination Exorotation) giai đoạn 2 hoặc cao hơn.
- Xem lại phim
Tìm kiếm giai đoạn 3 và giai đoạn 4.
Có những dấu hiệu nhỏ cho thấy gãy xương mắt cá sau. Thông thường bạn có thể sẽ không nhận thấy những dấu hiệu này.
Trên phim nghiêng, vỏ xương phía sau của xương chày bị gián đoạn cho thấy có gãy xương (mũi tên xanh).
Ngay cả trên phim thẳng cũng có những dấu hiệu nhỏ cho thấy gãy xương (mũi tên đỏ).
Khoang sáng phía trong bị giãn rộng, cho thấy đứt dây chằng bên trong, tức là giai đoạn 4. - Báo cáo cuối cùng
Gãy xương Weber B. Theo Lauge-Hansen đây là SER giai đoạn 4.
Đây là gãy xương không vững có trật khớp cần phẫu thuật sửa chữa.
Từ thiện
Toàn bộ lợi nhuận từ Radiology Assistant được chuyển đến tổ chức Medical Action Myanmar do Bác sĩ Nini Tun và Bác sĩ Frank Smithuis (cấp cao) điều hành, người là giáo sư tại Đại học Oxford và tình cờ là anh trai của Robin Smithuis.
Nhấp vào đây hoặc vào hình ảnh bên dưới để xem video về Medical Action Myanmar và nếu bạn thấy Radiology Assistant hữu ích, hãy ủng hộ Medical Action Myanmar bằng một món quà nhỏ.

















































