Gãy khuỷu tay ở trẻ em
Gãy xương khuỷu tay là loại gãy xương phổ biến nhất ở trẻ em.
Việc đánh giá khuỷu tay có thể gặp nhiều khó khăn do sự thay đổi giải phẫu của bộ xương đang phát triển và tính chất tinh tế của một số loại gãy xương này.
Trong bài tổng quan này, các dấu hiệu quan trọng của gãy xương và trật khớp khuỷu tay sẽ được thảo luận.
Trước khi đọc bài viết này, bạn có thể thử một trong các ca lâm sàng trên thanh menu.
Bạn có thể kiểm tra kiến thức của mình về gãy xương khuỷu tay ở trẻ em thông qua các ca lâm sàng tương tác này.
Trên một số hình ảnh, bạn có thể nhấp vào để xem phóng to. Tính năng này không hoạt động trên ứng dụng iPhone.
Nếu bạn muốn sử dụng hình ảnh trong bài thuyết trình, vui lòng ghi rõ nguồn the Radiology Assistant.
Fracture mechanism
Hyperextension
Chấn thương khớp khuỷu tay thường là kết quả của tình trạng duỗi quá mức hoặc vẹo ngoài quá mức do ngã chống tay ra phía trước.
Cuộn qua các hình ảnh ở bên trái để xem cách duỗi quá mức dẫn đến gãy xương trên lồi cầu.
Tình trạng tràn máu khớp sẽ dẫn đến sự dịch chuyển của đệm mỡ phía trước lên trên và đệm mỡ phía sau ra phía sau.
Extreme valgus
Cơ chế gãy xương quan trọng khác là tình trạng valgus cùi chỏ quá mức.
Khuỷu tay bình thường đã có tư thế valgus sẵn.
Khi trẻ ngã chống tay với cánh tay duỗi thẳng, điều này có thể dẫn đến valgus quá mức.
Ở phía ngoài, điều này có thể dẫn đến trật khớp hoặc gãy xương quay có hoặc không kèm theo tổn thương mỏm khuỷu.
Khi lực tác động nhiều hơn lên xương cánh tay, tình trạng valgus quá mức sẽ dẫn đến gãy lồi cầu ngoài.
Ở phía trong, lực valgus có thể dẫn đến bong lồi cầu trong.
Đôi khi lồi cầu trong bị kẹt trong khớp.
Do tư thế valgus của khuỷu tay bình thường, bong lồi cầu ngoài sẽ ít gặp hơn.
Radiological Interpretation
Methodical review
Khi xem xét hình ảnh X-quang khuỷu tay sau chấn thương, cần có một phương pháp đánh giá có hệ thống.
Bạn nên tự đặt ra những câu hỏi quan trọng sau đây.
Có dấu hiệu tràn dịch khớp không?
Sau chấn thương, điều này hầu như luôn cho thấy sự hiện diện của tràn máu khớp do gãy xương (có thể nhìn thấy hoặc ẩn).
Có sự thẳng hàng bình thường giữa các xương không?
Ở trẻ em, trật khớp thường gặp và có thể rất khó nhận biết.
Các trung tâm cốt hóa có bình thường không?
Mảnh xương mà bạn đang quan sát có phải là trung tâm cốt hóa bình thường không và trung tâm cốt hóa này có ở vị trí bình thường không.
Đặc biệt chú ý đến vị trí của đầu xương quay và mỏm trên lồi cầu trong (hình).
Có phải là gãy xương kín đáo không?
Một số gãy xương ở trẻ em rất kín đáo.
Vì vậy bạn cần phải quen thuộc với hình ảnh điển hình của những gãy xương này. .
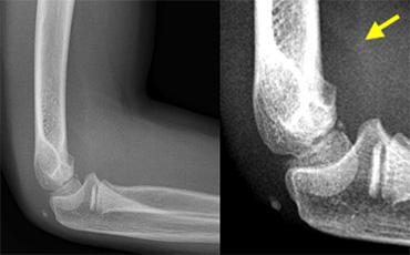
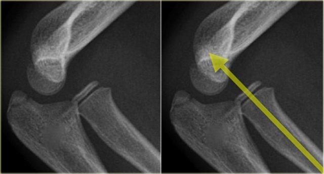
Fat Pad Sign and Joint effusion
Thông thường trên phim chụp nghiêng của khớp khuỷu gấp 90°, có thể thấy một đệm mỡ ở phía trước của khớp.
Đây là lớp mỡ bình thường nằm trong bao khớp.
Ở phía sau không thấy đệm mỡ vì lớp mỡ phía sau nằm sâu trong hố gian lồi cầu.
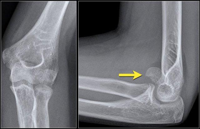
Dấu hiệu đệm mỡ dương tính
Sự căng phồng của khớp sẽ khiến đệm mỡ phía trước bị nâng lên và đệm mỡ phía sau trở nên hiện rõ.
Vùng thấu quang phía trước bị nâng cao hoặc vùng thấu quang phía sau hiện rõ trên phim X-quang thẳng nghiêm thực sự của khuỷu tay gấp 90° được mô tả là dấu hiệu đệm mỡ dương tính (hình).
Tràn máu khớp gây ra sự dịch chuyển lên trên của đệm mỡ trước và sự dịch chuyển ra sau của đệm mỡ sau.

Positive Anterior Fat Pad sign. On digital radiographs you may need to adjust the window width and level to appreciate this. No fracture was visible on the X-rays.
Dấu hiệu đệm mỡ dương tính (2)
Bất kỳ sự giãn khớp khuỷu nào do xuất huyết, viêm hoặc chấn thương đều tạo ra dấu hiệu đệm mỡ dương tính.
Nếu không có dấu hiệu đệm mỡ dương tính ở trẻ em, tổn thương trong khớp đáng kể là khó xảy ra.
Dấu hiệu đệm mỡ có thể nhìn thấy mà không phát hiện được gãy xương nên được coi là gãy xương ẩn.
Những bệnh nhân này được điều trị như gãy xương không di lệch với nẹp bột trong 2 tuần.
Skaggs và cộng sự đã chụp X-quang lại sau ba tuần ở những bệnh nhân có dấu hiệu đệm mỡ sau dương tính nhưng không thấy gãy xương.
Họ tìm thấy bằng chứng gãy xương trong 75% trường hợp.
Họ kết luận rằng trong chấn thương, sự di lệch của đệm mỡ sau gần như là dấu hiệu đặc trưng bệnh lý của sự hiện diện gãy xương.
Tuy nhiên, sự di lệch của đệm mỡ trước đơn thuần có thể xảy ra do tràn dịch khớp tối thiểu và ít đặc hiệu hơn cho gãy xương.
Lưu ý rằng khuỷu tay không được định vị tốt.
Hãy tìm hiểu xem điều gì đã xảy ra sai trong chương về định vị.
Alignment
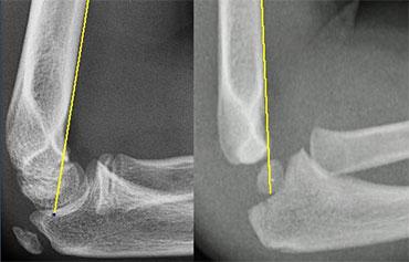
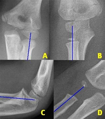
Có hai đường quan trọng giúp chẩn đoán trật khớp và gãy xương.
Đó là đường Quay-Chỏm (Radiocapitellar) và đường Cánh tay trước (Anterior humeral).
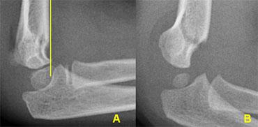
Đường quay-chỏm
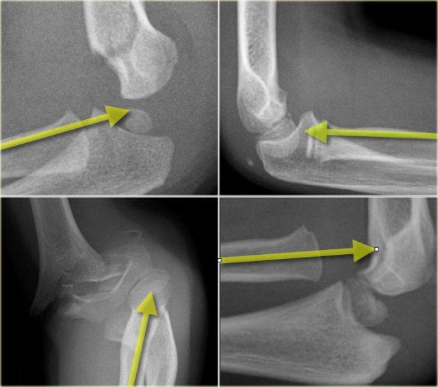
Một đường kẻ qua trung tâm cổ xương quay phải đi qua trung tâm của chỏm con, bất kể tư thế của bệnh nhân như thế nào, vì xương quay khớp với chỏm con (hình minh họa).
Trong trường hợp trật xương quay, đường này sẽ không đi qua trung tâm của chỏm con.
Ở bên trái, chúng ta thấy rằng đường quay-chỏm đi qua trung tâm của chỏm con trên mọi phim X-quang, mặc dù C và D không ở tư thế chuẩn.
Lưu ý gãy xương trên lồi cầu ở hình B.
Bên trái là các ví dụ khác về đường thẳng quay-chỏm.
Hình ảnh phía dưới bên phải cho thấy sự trật khớp rõ ràng của xương quay.

Radiographs of elbows at different ages. The Anterior Humeral line goes through the middle third of the capitellum .
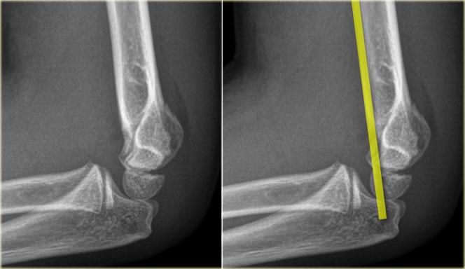
Đường Humeral trước.
Một đường kẻ trên phim chụp nghiêng dọc theo bề mặt trước của xương cánh tay phải đi qua một phần ba giữa của chỏm con.
Đường này được gọi là đường Humeral trước.
Trong các trường hợp gãy xương trên lồi cầu, đường Humeral trước thường đi qua một phần ba trước của chỏm con hoặc ở phía trước chỏm con do sự uốn cong ra sau của đoạn xương cánh tay xa.
Ở bên trái, đường thẳng cánh tay trước đi qua một phần ba trước của chỏm con.
Điều này cho thấy các lồi cầu bị di lệch về phía sau (tức là gãy trên lồi cầu).
Đầu tiên hãy quan sát các hình ảnh bên trái.
Sau đó tiếp tục đọc.
Đường thẳng quay-chỏm kết thúc phía trên chỏm con.
Điều này có nghĩa là xương quay bị trật khớp.
Bạn có nhận thấy gãy mỏm khuỷu không?
Bất cứ khi nào xương quay bị gãy hoặc trật khớp, hãy luôn quan sát kỹ xương trụ.
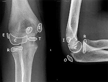
Ossification centres
Có 6 trung tâm cốt hóa xung quanh khớp khuỷu tay.
Chúng xuất hiện và hợp nhất với các xương lân cận ở các độ tuổi khác nhau.
Điều quan trọng là phải biết trình tự xuất hiện vì các trung tâm cốt hóa luôn xuất hiện theo một thứ tự nhất định.
Thứ tự xuất hiện này được xác định trong thuật nhớ C-R-I-T-O-E
(Chỏm con – Đầu trên xương quay – Mỏm trên lồi cầu trong – Ròng rọc – Mỏm khuỷu – Mỏm trên lồi cầu ngoài).
Độ tuổi mà các trung tâm cốt hóa này xuất hiện rất khác nhau và khác biệt giữa các cá nhân.
Không cần thiết phải nhớ chính xác các độ tuổi này, nhưng như một hướng dẫn chung bạn có thể ghi nhớ 1-3-5-7-9-11 tuổi.
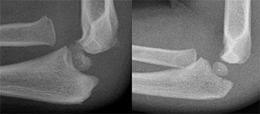
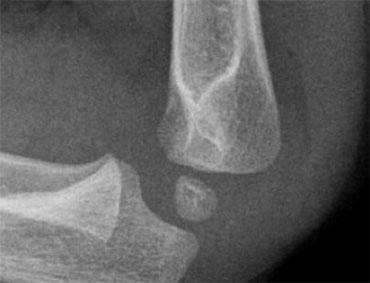
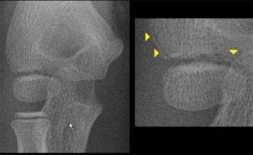
The Ròng rọc (Trochlea) có hai hoặc nhiều trung tâm cốt hóa, có thể tạo ra hình ảnh ròng rọc bị phân mảnh.
Trên hình chiếu bên, các điểm cốt hóa ròng rọc có thể chiếu vào trong khớp.
Không nên nhầm lẫn chúng với các dị vật tự do trong khớp (mũi tên).
Radiography
Common errors in positioning
Lỗi 1: Vai cao hơn khuỷu tay
Để có được tư thế thẳng bên thực sự, vai phải ngang bằng với khuỷu tay.
Nếu vai cao hơn khuỷu tay, xương quay và chỏm con sẽ chiếu lên xương trụ.
Giải pháp là nâng bàn khám lên để nâng khuỷu tay lên hoặc hạ thấp vai bằng cách đặt bệnh nhân ngồi trên ghế thấp hơn.

LEFT: Slight endorotation of the humerus due to a low position of the wrist. RIGHT: More endorotation due to malpositioning.
Lỗi 2: Cổ tay thấp hơn khuỷu tay
Hai ví dụ bên trái minh họa tư thế ‘cổ tay đặt thấp’ dẫn đến xoay xương cánh tay.
Vị trí thấp của cổ tay dẫn đến xoay trong của xương cánh tay.
Các cấu trúc bên ngoài như chỏm con và xương quay sẽ di chuyển ra phía trước, trong khi cấu trúc bên trong như mỏm trên lồi cầu trong sẽ di chuyển ra phía sau.
Cổ tay phải cao hơn khuỷu tay để bù trừ cho tư thế valgus bình thường của khuỷu tay.
Bàn tay nên ở tư thế ‘ngón cái hướng lên’.
Elbow fractures
Supracondylar fractures
Những gãy xương này chiếm hơn 60% tổng số gãy xương khuỷu tay ở trẻ em (xem Bảng).
Hơn 95% gãy xương trên lồi cầu là loại ưỡn quá mức do ngã chống tay duỗi thẳng.
Khuỷu tay bị khóa ở tư thế ưỡn quá mức.
Mỏm khuỷu bị đẩy vào hố mỏm khuỷu khiến vỏ xương cánh tay trước bị uốn cong và cuối cùng gãy.
Nếu lực tiếp tục tác động, cả vỏ xương trước và sau đều sẽ gãy.

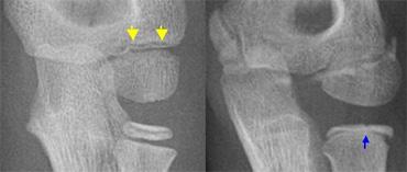
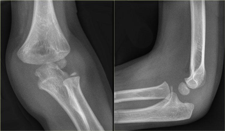
Supracondylar fractures. In A the anterior humeral line passes through the anterior third of the capitellum and in B even more anteriorly. Notice positive posterior fat pad sign in both cases
Gãy xương trên lồi cầu (2)
Nếu chỉ có di lệch tối thiểu hoặc không có di lệch, các gãy xương này có thể ẩn trên phim X-quang.
Dấu hiệu duy nhất sẽ là dấu hiệu đệm mỡ dương tính.
Thường có một số di lệch và đường cánh tay trước sẽ không đi qua trung tâm của chỏm con mà đi qua một phần ba trước hoặc thậm chí phía trước chỏm con (hình).
Gãy xương trên lồi cầu (3)
Gãy xương trên lồi cầu được phân loại theo Gartland.
Gãy xương loại I theo Gartland thường khó nhìn thấy trên X-quang do chỉ có di lệch tối thiểu.
Hầu hết các gãy xương này bao gồm gãy xương kiểu cành xanh hoặc gãy xương kiểu vỏ cây.
Dấu hiệu duy nhất gợi ý chẩn đoán có thể là dấu hiệu đệm mỡ dương tính.
Những bệnh nhân này được điều trị bằng bó bột.
Trong gãy xương loại II theo Gartland, có sự di lệch nhưng vỏ xương phía sau vẫn còn nguyên vẹn.
Có thể có một số xoay. Những gãy xương này cần nắn chỉnh kín và một số trường hợp cần cố định xuyên da nếu bột dài cánh tay không giữ được kết quả nắn chỉnh một cách thỏa đáng.
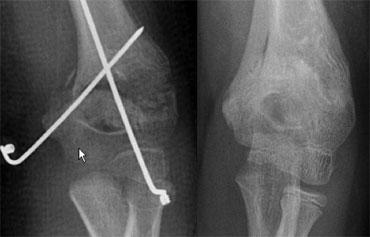
Gãy xương loại III theo Gartland là gãy xương di lệch hoàn toàn và có nguy cơ liền xương lệch và biến chứng thần kinh mạch máu (hình).
Những trường hợp này cần được nắn chỉnh bằng phương pháp kín hoặc nếu cần thiết bằng phương pháp mổ hở. Cố định được duy trì bằng hai đinh bên ngoài hoặc kỹ thuật đinh chéo trong-ngoài.

Gartland III fracture with medial-lateral cross pin technique. After reduction there is inadequate correction of medial collaps. After two months there is malunion with cubitus varus deformity.
Gãy xương trên lồi cầu (4)
Liền xương lệch sẽ dẫn đến biến dạng ‘báng súng’ điển hình do xoay hoặc không chỉnh đủ tình trạng sụp đổ phía trong.
Di lệch ra sau ngoài của mảnh gãy xa có thể liên quan đến tổn thương bó mạch thần kinh bị di lệch qua mỏm gai hành xương phía trong.
Tổn thương thần kinh hầu như luôn dẫn đến chấn thương thần kinh tạm thời (neuropraxis) tự hồi phục trong 3-4 tháng.
Tổn thương mạch máu thường dẫn đến bàn tay mất mạch nhưng vẫn hồng hào.
Điều trị bảo tồn và can thiệp mạch máu có kết quả tương đương nhau.
Bàn tay mất mạch và trắng bệch sau khi nắn chỉnh cần được thăm dò phẫu thuật.
Gãy xương trên lồi cầu (5)
Gãy kiểu gấp ít gặp hơn (chiếm 5% tổng số gãy xương trên lồi cầu).
Nguyên nhân do va chạm trực tiếp vào khuỷu tay ở tư thế gấp.
Tổn thương thần kinh trụ gặp thường xuyên hơn.
So với kiểu duỗi, gãy kiểu gấp có xu hướng mất vững hơn, do đó khả năng cần phải cố định cũng cao hơn.
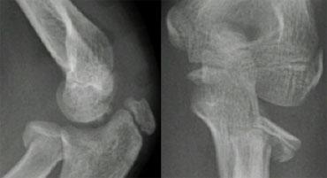
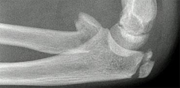
Lateral Condyle fractures
Gãy xương này là loại gãy xương đầu dưới xương cánh tay phổ biến thứ hai ở trẻ em.
Chúng xảy ra ở độ tuổi từ 4 đến 10 tuổi.
Những gãy xương này xảy ra khi một lực varus tác động lên khuỷu tay ở tư thế duỗi.
Chúng có xu hướng không ổn định và bị di lệch do lực kéo của các cơ duỗi cẳng tay.
Do những gãy xương này nằm trong khớp, chúng dễ bị không liền xương vì ổ gãy ngập trong dịch khớp.
Gãy lồi cầu ngoài được phân loại theo Milch. Chúng là các gãy tách sụn tiếp hợp Salter-Harris độ IV.
Hầu hết là gãy Milch loại II, đường gãy đi từ hành xương cánh tay ngoài phía trên đầu xương và thoát ra qua mào ngoài của ròng rọc, dẫn đến mất vững khớp cánh tay – trụ.
Gãy lồi cầu ngoài (2)
Vấn đề với phân loại Milch là các mảnh gãy chủ yếu là sụn. Đường gãy qua sụn không hiển thị trên phim X-quang, do đó việc đọc phim X-quang để phân loại gặp nhiều khó khăn.
Chiến lược điều trị vì vậy dựa trên mức độ di lệch (xem Bảng).
Gãy không di lệch được điều trị bằng bột dài qua khuỷu.
Các gãy xương này cần được theo dõi chặt chẽ vì có xu hướng di lệch. Khi tái khám, cần chụp cả tư thế thẳng (AP) và tư thế chếch sau khi tháo bột.
Khi các gãy xương di lệch liền xương trong tư thế lệch, việc điều trị rất khó khăn và tiềm ẩn nhiều biến chứng.
Vì lý do này, nên phẫu thuật nắn chỉnh trong vòng 48 giờ đầu.
Nắn chỉnh hở được chỉ định cho tất cả các gãy xương có di lệch và những trường hợp có mất vững khớp.
Gãy lồi cầu ngoài (3).
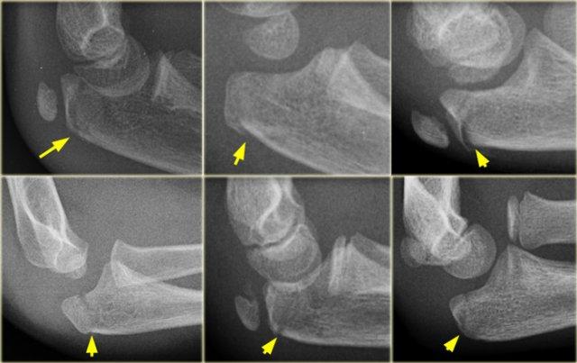
Chẩn đoán gãy lồi cầu ngoài có thể là một thách thức.
Đường gãy đôi khi hầu như không nhìn thấy được (hình).
Ghi nhớ rằng gãy lồi cầu ngoài là loại gãy xương khuỷu tay phổ biến thứ hai ở trẻ em và biết được vị trí cần tìm kiếm sẽ giúp ích cho bạn

Lateral condyle fracture. On the x-ray only a small metaphyseal fragment is visible. The detatched fragment however is larger than it appears on the radiograph. The fracture extents into the lateral ridge of the trochlea. Elbow is probably unstable.
Gãy lồi cầu ngoài (4).
Vì hầu hết các cấu trúc liên quan đều là sụn, nên rất khó xác định chính xác mức độ của gãy xương.
Đôi khi đường gãy chạy qua phần đã cốt hóa của chỏm con. Trong những trường hợp đó, việc chẩn đoán khá dễ dàng.
Trường hợp bên trái cho thấy gãy lồi cầu ngoài kéo dài qua phần đã cốt hóa của chỏm con.
Đây là gãy loại Milch I. Khớp khuỷu vẫn còn vững.
Vì di lệch quá nhiều nên cần phải tiến hành kết hợp xương.

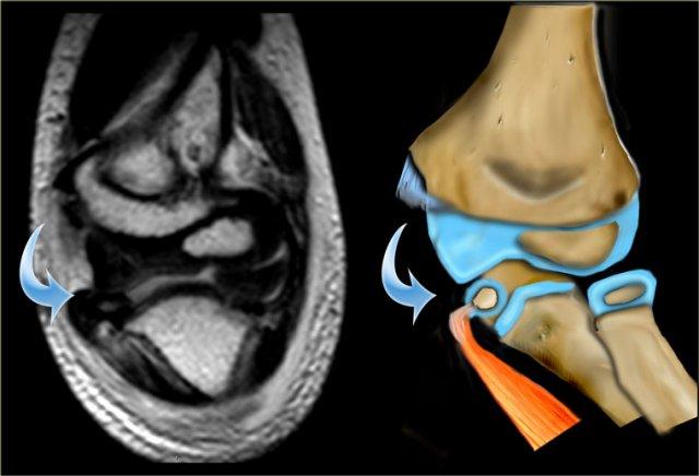
MR of lateral condyle fracture. Milch II and unstable elbow. T2 image with fat saturation on the right shows cartilaginous fracture. Fracture-fragment surrounded by synovial fluid. (Courtesy of Lynne Steinbach, M.D. Univ. of California, San Francisco)
MRI có thể hữu ích trong việc mô tả toàn bộ phạm vi của thành phần sụn trong gãy xương.
Trường hợp bên trái cho thấy đường gãy xương kéo dài vào gờ ròng rọc chưa cốt hóa.
Đường gãy qua sụn ròng rọc nằm xa về phía trong đến mức xương trụ chỉ được đỡ ở phía trong.
Điều này có nghĩa là khớp khuỷu tay không ổn định.

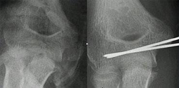
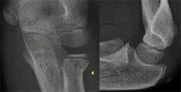
LEFT a subtle lateral condyle fracture. Less than 2 mm displacement and probably stable. RIGHT a different case. Oblique view gives nice impression of fracture. Blue arrow indicates a cleft epiphysis of the radius (normal variant)
Gãy lồi cầu ngoài (5)
Trong gãy lồi cầu ngoài, đường gãy thực sự có thể rất khó nhận thấy vì mảnh xương vùng hành xương có thể rất nhỏ.
Mảnh gãy thường bị xoay.
Tư thế chụp chếch có thể hữu ích, nhưng thường không được thực hiện thường quy (hình).

Two cases of overprojection of the capitellum on humeral epiphysis simulating a fracture. Notice olecranon fracture on the right
Gãy lồi cầu ngoài (6).
Hình ảnh lồi cầu xương cánh tay nhô ra quá mức trên phần hành xương cánh tay có thể giả dạng gãy lồi cầu ngoài (hình).
Gãy lồi cầu ngoài (7).
Bên trái là một vài ví dụ về gãy lồi cầu ngoài.
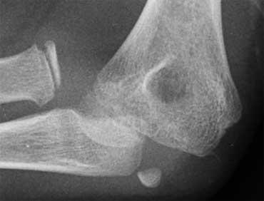
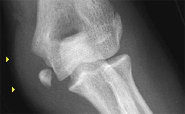
Gãy chỏm con
Trong khi gãy lồi cầu ngoài xảy ra ở trẻ em trong độ tuổi từ 4 – 10 tuổi, gãy chỏm con đơn độc được gặp ở trẻ em trên 12 tuổi.
Gãy xương chỏm con là không phổ biến.
Sự xoay của mảnh gãy tạo ra hình ảnh điển hình trên phim X-quang (mũi tên).

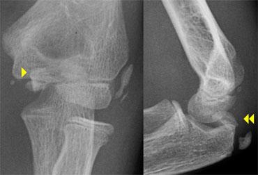
Normal medial epicondyle projecting posteriorly. Notice radial head dislocation and olecranon fracture
Medial Epicondyle avulsion
Mỏm trên lồi cầu trong là một mấu xương vì nó không đóng góp vào sự tăng trưởng theo chiều dọc của xương cánh tay.
Nó nằm ở phía sau của khuỷu tay.
Trên hình chiếu thẳng bên, đặc biệt nếu cánh tay ở tư thế xoay trong, nó có thể chiếu ra phía sau đến mức có thể gợi ý một tổn thương bong điểm bám (hình ảnh).
Tuy nhiên, các tổn thương bong điểm bám thường nằm ở vị trí xa hơn và phía trước hơn.
Do mỏm trên lồi cầu trong là cấu trúc ngoài khớp, gãy xương hoặc bong điểm bám sẽ không tự động tạo ra dấu hiệu đệm mỡ dương tính.
Avulsion mỏm trên lồi cầu trong (2).
80% gãy xương avulsion xảy ra ở trẻ em trai với độ tuổi đỉnh điểm vào đầu tuổi thiếu niên.
Cơ chế là stress valgus cấp tính do ngã chống tay duỗi thẳng hoặc đôi khi do bẻ tay.
Chấn thương mạn tính xảy ra ở các vận động viên trẻ (khuỷu tay little league).
Cơ chế gây ra các gãy xương do stress ở phía trong cũng chính là cơ chế gây ra viêm xương sụn của chỏm con do va chạm ở phía ngoài.
Gãy bong điểm bám mỏm trên lồng cầu trong (3).
Có 50% tỷ lệ kèm theo trật khớp khuỷu.
Khi khớp khuỷu bị trật và mỏm trên lồng cầu trong bị bong ra,
mảnh xương có thể bị kẹt vào giữa bề mặt khớp của xương cánh tay và mỏm khuỷu (hình).
Trong mọi trường hợp trật khớp, câu hỏi đầu tiên cần đặt ra là ‘mỏm trên lồng cầu trong đang ở đâu’.

Same case as above. After reduction the epicondyle returned to its normal position (not good visible due to cast) and was fixated with K-wires.
Khi nắn chỉnh khuỷu tay, mảnh vỡ có thể trở về vị trí ban đầu hoặc vẫn bị kẹt trong khớp.
Điều này có thể gây tổn thương nghiêm trọng đến bề mặt khớp.
Vì vậy, cần nghiên cứu kỹ các phim chụp sau nắn chỉnh.
Avulsion mỏm trên lồi cầu trong (4).
Do lực valgus cực độ, khớp có thể tạm thời bị hở ra.
Mảnh xương avulsion có thể bị kẹt trong khớp ngay cả khi không có trật khớp khuỷu.

On AP-view the avulsed medial epicondyle projects over the trochlea. Lateral view shows the fragment to be trapped within the joint.
Avulsion mỏm trên lồi cầu trong (5).
Một mảnh xương bị avulsion nằm trong khớp có thể gây khó khăn trong chẩn đoán.
Trên phim thẳng AP, mảnh xương này có thể bị bỏ sót (hình).
Khi ròng rọc chưa được cốt hóa, mảnh avulsion có thể giả dạng trung tâm cốt hóa của ròng rọc.

Another example of a dislocated elbow with avulsion of the medial epicondyle. In this case the epicondyle is not retracted into the joint.
Medial Epicondyle avulsion (6).
Điều trị
Gãy xương không di lệch được điều trị bằng bó bột hoặc nẹp trong 1-2 tuần.
Có sự bất đồng về mức độ di lệch của mỏm trên lồi cầu trong cần phải phẫu thuật cố định.
Có bằng chứng ủng hộ cả điều trị phẫu thuật lẫn bảo tồn đối với gãy mỏm trên lồi cầu trong có di lệch 5-15mm.

Avulsion of the medial epicondyle. The amount of soft tissue swelling on the medial side suggests that the elbow was dislocated.
Avulsion mỏm trên lồi cầu trong (7).
Nếu bệnh sử hoặc hình ảnh X-quang gợi ý rằng khuỷu tay đã hoặc đang bị trật khớp, tổn thương phần mềm nghiêm trọng hơn có thể hiện diện, đòi hỏi cần vận động sớm.
Avulsion mỏm trên lồi cầu trong (8).
Hãy nghiên cứu các hình ảnh.
Bạn có thể nhấp vào hình ảnh để phóng to.
Có ba dấu hiệu mà bạn cần nhận xét.
- Có sự sưng nề mô mềm rất lớn, cho thấy khuỷu tay đã bị trật khớp (mũi tên xanh). Vậy câu hỏi tiếp theo là mỏm trên lồi cầu trong ở đâu?
- Mỏm trên lồi cầu trong được thấy bị kẹt trong khớp (mũi tên đỏ).
- Lưu ý rằng chỉ có tràn dịch khớp mức độ nhẹ (dấu hoa thị). Mỏm trên lồi cầu trong là cấu trúc ngoài khớp và sự bong gân sẽ không gây ra tràn dịch khớp. Lượng nhỏ tràn dịch khớp có thể là kết quả của tình trạng trật khớp trước đó.
Continue with the MRI.
MRI cho thấy mỏm trên lồi cầu trong nhỏ cùng với điểm bám gân bị kẹt trong khớp.
Mỏm trên lồi cầu trong bị bật ra được tìm thấy trong khớp và được định vị lại, cố định bằng dây Kirschner.
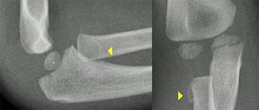
Proximal fractures of the Radius
Ở người lớn, gãy xương thường liên quan đến bề mặt khớp của chỏm xương quay.
Tuy nhiên ở trẻ em, cổ xương quay mới là vị trí gãy vì xương vùng hành xương yếu do quá trình tái tạo xương liên tục diễn ra.
Thường gặp là gãy xương kiểu Salter Harris II.
Nếu không có di lệch, việc chẩn đoán có thể gặp khó khăn (hình).

Radial neck fracture with tilt. Notice trochlear ossifications projecting in between humerus and ulna simulating intra-articular fragments.
Nếu độ nghiêng của chỏm quay nhỏ hơn 30° thì bệnh nhân được điều trị bằng đai treo.
Điều quan trọng cần nhận biết là bình thường chỏm quay có một góc nghiêng nhất định (lên đến 15°).
Nếu độ nghiêng lớn hơn 30° thì tiến hành nắn chỉnh kín.

After closed reduction radiograph in cast shows unsuccesfull reduction. K-wire insertion is performed
Khi nắn chỉnh kín không thành công trong việc phục hồi độ nghiêng hoặc khi không thể sấp và ngửa đến 60°, một dây Kirschner được đưa vào để duy trì sự nắn chỉnh.

The radial epiphysis is slipped (arrows). The radiocapitellar line does not pass through the capitellum indicating dislocation and there is a fracture of the olecranon
Gãy cổ xương quay cũng như trật đầu xương quay trong 50% trường hợp có liên quan đến các tổn thương khuỷu tay khác.
Thường gặp nhất là gãy mỏm khuỷu.
Khi đầu xương quay còn rất nhỏ, trượt đầu xương quay có thể bị bỏ sót (hình).
Nếu những gãy xương này không được nhận biết hoặc nắn chỉnh không thành công, hậu quả có thể là đầu xương quay phát triển quá mức.
Xương quay ngắn cũng có thể là hậu quả do đầu sụn tiếp hợp của xương quay đóng góp vào sự tăng trưởng chiều dài của xương quay.

LEFT: an obvious radial dislocation. No fracture of the ulna (Monteggia) was foundRIGHT: a subtle radial head dislocation. Associated olecranonfracture is seen on carefull inspection
Dislocations of the Radial head
Trật khớp đầu xương quay có thể rất rõ ràng.
Tuy nhiên, không hiếm trường hợp những trật khớp này khó nhận thấy và dễ bị bỏ sót.
Trong mọi trường hợp, cần tìm kiếm các tổn thương kèm theo.
Trong mô tả ban đầu của Monteggia, có sự trật khớp đầu xương quay kết hợp với gãy thân xương trụ đoạn gần.
Tuy nhiên, gãy xương ở bất kỳ vị trí nào dọc theo xương trụ cũng đã được ghi nhận.
Đặc biệt, gãy xương mỏm khuỷu kèm theo rất phổ biến (hình).
Trật khớp khuỷu do kéo xương quay (Khuỷu tay người giữ trẻ)
Ở trẻ em, khi cẳng tay bị kéo, chỏm xương quay di chuyển xuống dưới và dây chằng trượt qua chỏm xương quay rồi bị kẹt trong khớp. Hình ảnh X-quang bình thường.
Tình trạng này được chữa khỏi bằng cách ngửa cẳng tay. Đôi khi điều này xảy ra trong quá trình định vị để chụp tư thế thẳng thực sự (tức là với cẳng tay ở tư thế ngửa).
Olecranon fractures
Gãy mỏm khuỷu ở trẻ em ít phổ biến hơn so với người lớn. Như đã đề cập ở trên, chúng thường liên quan đến gãy cổ xương quay và trật khớp xương quay.
Gãy mỏm khuỷu (2)
Không nhầm lẫn điểm bám gân hoặc các trung tâm cốt hóa riêng biệt của nó với gãy xương.
Điểm bám gân có bờ gợn sóng, xơ cứng nhẹ.
Sụn tăng trưởng thường có hướng chếch khác so với đường gãy.
Gãy mỏm khuỷu (3)
Bên trái là một số ví dụ về gãy mỏm khuỷu.
Lưu ý một số trường hợp gãy xương này rất khó nhận thấy.
Conclusion
Khi đọc phim X-quang khuỷu tay của trẻ em, luôn luôn tìm kiếm:
- Supracondylar fracture with minimal displacement
- Lateral condyle fracture
- Slipped radial epiphysis
- Radial dislocation
- Position of the medial epicondyle.













































