Gan – Giải phẫu phân thùy
Ngày xuất bản
Giải phẫu gan có thể được mô tả theo hai khía cạnh khác nhau: giải phẫu hình thái và giải phẫu chức năng.
Giải phẫu hình thái truyền thống dựa trên hình dạng bên ngoài của gan và không phản ánh được cấu trúc bên trong của sự phân nhánh mạch máu và ống mật, vốn có tầm quan trọng rõ ràng trong phẫu thuật gan.
Nhà phẫu thuật và giải phẫu học người Pháp Claude Couinaud là người đầu tiên chia gan thành tám phân thùy độc lập về mặt chức năng, cho phép cắt bỏ từng phân thùy mà không gây tổn thương cho các phân thùy khác.
Giải phẫu phân thùy
Phân loại Couinaud
- Mặt phẳng của tĩnh mạch gan phải chia thùy gan phải thành phân thùy trước và phân thùy sau.
- Mặt phẳng của tĩnh mạch gan giữa chia gan thành thùy phải và thùy trái, hay còn gọi là nửa gan phải và nửa gan trái. Mặt phẳng này chạy từ tĩnh mạch chủ dưới đến hố túi mật.
- Mặt phẳng rốn chạy từ dây chằng liềm đến tĩnh mạch chủ dưới, chia thùy trái thành phần trong (phân thùy IV) và phần ngoài (gồm phân thùy II và III). Đây là mặt phẳng định hướng đứng dọc duy nhất không được xác định bởi một tĩnh mạch gan.
Đây là một hình minh họa khác về giải phẫu phân thùy chức năng của gan.
Tĩnh mạch cửa
Tĩnh mạch cửa chia gan thành các phân thùy trên và dưới.
Tĩnh mạch cửa trái và phải phân nhánh lên trên và xuống dưới để đi vào trung tâm của mỗi phân thùy.
Couinaud chia gan thành gan trái và gan phải về mặt chức năng bởi một khe cửa chính chứa tĩnh mạch gan giữa.
Đường này được gọi là đường Cantlie.
Đường Cantlie chạy từ giữa hố túi mật ở phía trước đến tĩnh mạch chủ dưới ở phía sau.
Đánh số phân thùy
Gan có tám phân thùy.
Phân thùy IV đôi khi được chia thành phân thùy IVa và IVb theo Bismuth.
Các phân thùy được đánh số theo chiều kim đồng hồ.
Phân thùy I (thùy đuôi) nằm ở phía sau.
Phân thùy này không thể quan sát được trên mặt phẳng nhìn thẳng.
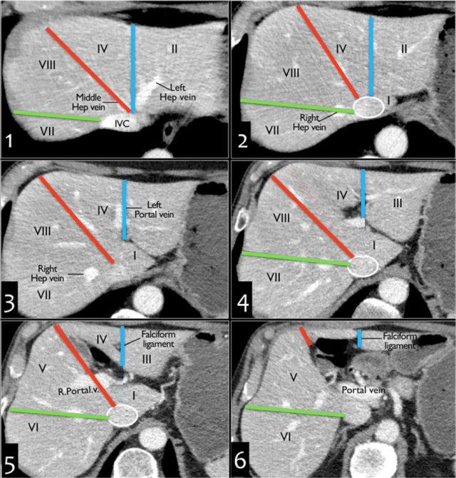
Giải phẫu trên mặt cắt ngang
Hình này là mặt cắt ngang qua các phân thùy gan trên, được phân chia bởi tĩnh mạch gan phải, tĩnh mạch gan giữa và dây chằng liềm.
Đây là mặt cắt ngang tại mức tĩnh mạch cửa trái.
Ở mức này, tĩnh mạch cửa trái chia thùy gan trái thành các phân thùy trên (II và IVa) và các phân thùy dưới (III và IVb).
Tĩnh mạch cửa trái nằm ở mức cao hơn so với tĩnh mạch cửa phải.
Hình ảnh này ở mức tĩnh mạch cửa phải.
Ở mức này, tĩnh mạch cửa phải chia thùy gan phải thành các phân thùy trên (VII và VIII) và các phân thùy dưới (V và VI).
Mức của tĩnh mạch cửa phải thấp hơn so với mức của tĩnh mạch cửa trái.
Tại mức tĩnh mạch lách, nằm thấp hơn mức tĩnh mạch cửa phải, chỉ có thể quan sát được các phân thùy dưới.
Cách phân biệt các phân thùy gan trên hình ảnh cắt lớp
Gan trái: phân thùy ngoài (II/III) so với phân thùy trong (IVA/B)
Kéo dài một đường dọc theo dây chằng liềm lên trên đến chỗ hợp lưu của tĩnh mạch gan trái và tĩnh mạch gan giữa tại tĩnh mạch chủ dưới (đường màu xanh lam).
Gan trái so với gan phải: IVA/B so với V/VIII
Kéo dài một đường từ hố túi mật lên trên dọc theo tĩnh mạch gan giữa đến tĩnh mạch chủ dưới (đường màu đỏ).
Gan phải: phân thùy trước (V/VIII) so với phân thùy sau (VI/VII)
Kéo dài một đường dọc theo tĩnh mạch gan phải từ tĩnh mạch chủ dưới xuống dưới đến bờ ngoài gan (đường màu xanh lá).
Video giải phẫu MRI
Thùy đuôi
Thùy đuôi hay phân thùy I nằm ở phía sau.
Thùy đuôi có đặc điểm giải phẫu khác biệt so với các thùy khác ở chỗ nó thường có các kết nối trực tiếp với tĩnh mạch chủ dưới thông qua các tĩnh mạch gan riêng biệt, tách rời khỏi các tĩnh mạch gan chính.
Thùy đuôi có thể được cấp máu bởi cả nhánh phải và nhánh trái của tĩnh mạch cửa.
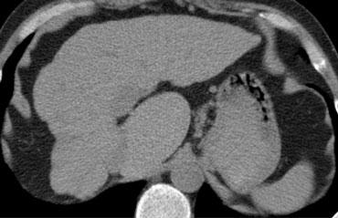
Hình ảnh CT này của một bệnh nhân xơ gan với teo nặng thùy gan phải, thể tích thùy gan trái bình thường và phì đại thùy đuôi.
Do có nguồn cấp máu khác biệt, thùy đuôi không bị ảnh hưởng bởi quá trình bệnh lý và phì đại để bù đắp cho sự mất mát của nhu mô gan bình thường.









