Đường truyền và ống ở trẻ sơ sinh
Trong bài tổng quan này, chúng tôi sẽ thảo luận về vị trí bình thường và bất thường của các ống thông và đường truyền trên phim X-quang ngực ở trẻ sơ sinh.
Đường truyền động mạch rốn
Đặt catheter động mạch rốn cung cấp đường vào trực tiếp hệ thống động mạch, cho phép đo huyết áp động mạch chính xác, lấy mẫu máu và tiếp cận mạch máu để truyền dịch và thuốc.
Catheter cần được luồn qua động mạch rốn và đi vào động mạch chủ qua động mạch chậu trong.
Catheter cần thể hiện vòng cung điển hình từ rốn đi xuống dưới vào động mạch chậu trong.
Để tránh đặt catheter vào các nhánh của động mạch chủ, đầu catheter cần nằm ở vị trí cao phía trên các động mạch thân tạng, mạc treo tràng và động mạch thận, hoặc ở vị trí thấp phía dưới động mạch mạc treo tràng dưới:
- Vị trí cao: T6-T9
- Vị trí thấp: L3-L5
Vị trí cao được khuyến cáo vì ít gây biến chứng mạch máu hơn (15).
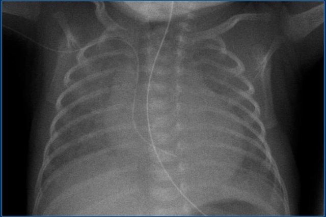
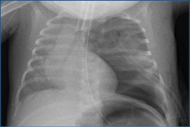
Đường truyền động mạch rốn (2)
Hãy quan sát kỹ hình ảnh trước.
Sau đó tiếp tục đọc.
Các phát hiện bao gồm:
- Đường truyền động mạch rốn ở vị trí cao tốt.
- Đặt sai vị trí đường truyền tĩnh mạch rốn vào nhánh tĩnh mạch cửa phải.
- Nếp gấp da vùng ngực đáy phải, không nên nhầm lẫn với tràn khí màng phổi. Các nếp gấp này thường không đi theo ranh giới giải phẫu.
Đường truyền động mạch rốn (3)
Hãy quan sát kỹ hình ảnh trước.
Sau đó tiếp tục đọc.
Các phát hiện bao gồm:
- Đặt sai vị trí đường truyền động mạch rốn, bị gấp khúc trong lòng động mạch chủ bụng.
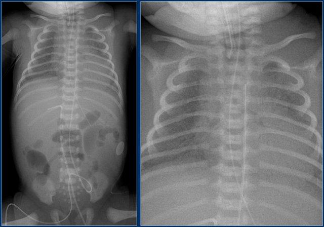
Đường truyền động mạch rốn (4)
Hãy quan sát kỹ hình ảnh trước.
Sau đó tiếp tục đọc.
Các phát hiện bao gồm:
- Đường truyền động mạch rốn ở vị trí quá sâu, đầu catheter nằm tại quai động mạch chủ.
- Đường truyền tĩnh mạch rốn với đầu catheter nằm trong nhánh tĩnh mạch cửa phải.
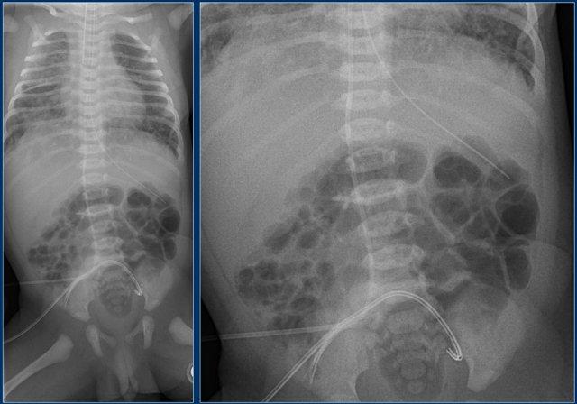
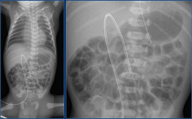
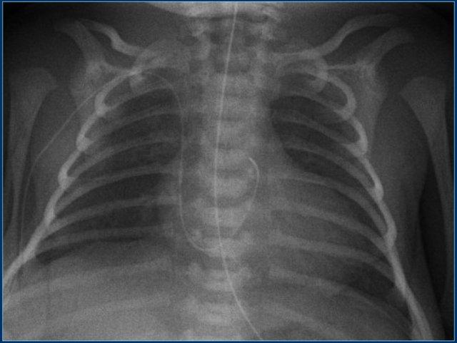
Đường truyền động mạch rốn (5)
Hãy quan sát kỹ hình ảnh trước.
Sau đó tiếp tục đọc.
Các phát hiện bao gồm:
- Đặt sai vị trí đường truyền động mạch rốn vào động mạch chậu trái.
- Đường truyền tĩnh mạch rốn ở vị trí quá sâu, đầu catheter nằm trong nhĩ phải.
- Ống thông dạ dày ở vị trí tốt.
Catheter tĩnh mạch rốn
Catheter tĩnh mạch rốn cần đi qua tĩnh mạch rốn vào tĩnh mạch cửa trái.
Sau đó đi qua ống tĩnh mạch (ductus venosus) vào tĩnh mạch gan và tĩnh mạch chủ dưới (IVC).
Đầu catheter cần được đặt tại tĩnh mạch chủ dưới ở mức cơ hoành.
Một số trường hợp đặt sai vị trí có thể xảy ra:
- Vị trí thấp trong tĩnh mạch rốn.
Không phải tất cả các thuốc đều có thể được truyền qua đường truyền ở vị trí này. - Trong gan vào hệ thống tĩnh mạch cửa, cả phải lẫn trái, hoặc thậm chí vào tĩnh mạch mạc treo tràng trên hoặc tĩnh mạch lách.
Điều này có thể gây huyết khối. - Thủng tĩnh mạch cửa có thể gây xuất huyết hoặc hình thành áp xe trong gan.
- Vị trí quá sâu trong nhĩ phải hoặc nhĩ trái qua lỗ bầu dục thông hay thông liên nhĩ.
Điều này có thể dẫn đến rối loạn nhịp tim hoặc thủng tim.
Đường truyền tĩnh mạch rốn (2)
Hãy quan sát kỹ hình ảnh trước.
Sau đó tiếp tục đọc.
Các phát hiện bao gồm:
- Đường truyền tĩnh mạch rốn được đặt ở ngoại vi gan qua tĩnh mạch cửa phải.
- Đường truyền động mạch nằm trong động mạch dưới đòn trái.
Đường truyền tĩnh mạch rốn (3)
Hãy quan sát kỹ hình ảnh trước.
Sau đó tiếp tục đọc.
Các phát hiện bao gồm:
- Đây là phim chụp X-quang tư thế nằm nghiêng với chùm tia ngang.
Hình ảnh minh họa đường truyền tĩnh mạch rốn đi theo đường đi của tĩnh mạch rốn vào trong gan (mũi tên xanh).
Đường truyền chưa đủ sâu. - Đường truyền động mạch rốn đầu tiên đi xuống phía dưới và vào động mạch chậu (mũi tên đỏ).
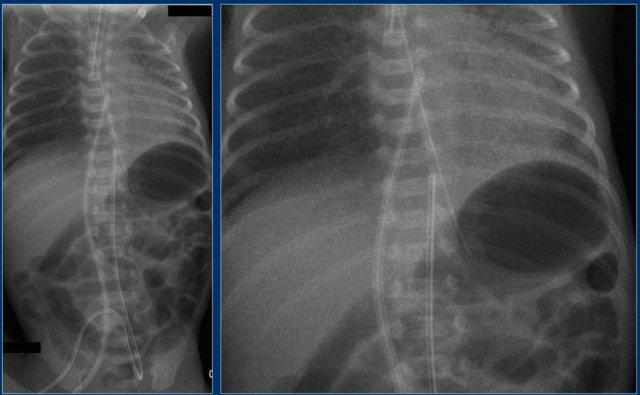
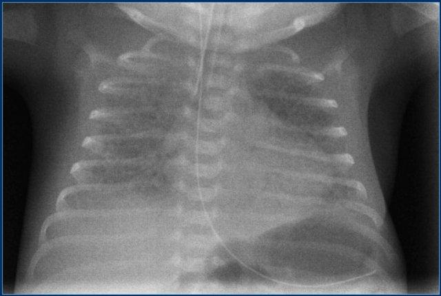
Đường truyền tĩnh mạch rốn (4)
Quan sát hình ảnh.
Sau đó tiếp tục đọc.
Các phát hiện bao gồm:
- Đường truyền tĩnh mạch rốn đang nằm trong tĩnh mạch rốn và chưa đủ sâu.
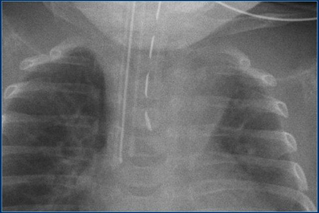
Đường truyền tĩnh mạch rốn (5)
Quan sát hình ảnh.
Sau đó tiếp tục đọc.
Các phát hiện bao gồm:
- Đầu catheter tĩnh mạch rốn hướng xuống dưới và có thể đang nằm trong tĩnh mạch mạc treo.
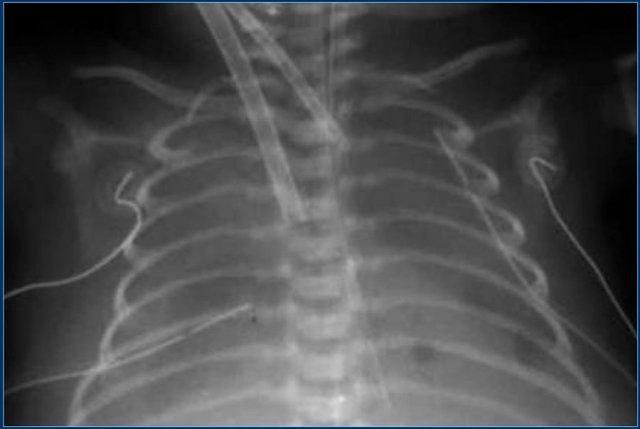
Đường truyền tĩnh mạch rốn (6)
Quan sát hình ảnh.
Sau đó tiếp tục đọc.
Các phát hiện bao gồm:
- Đường truyền tĩnh mạch rốn quá sâu, đầu catheter đang nằm trong nhĩ phải.
- Đường truyền động mạch rốn ở mức T10 (vị trí lý tưởng là từ T6 đến T9).
- Ống nội khí quản được đặt quá sâu.
Đầu ống cần nằm cách chỗ phân đôi khí quản 1 cm về phía trên.
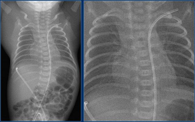
Đường truyền tĩnh mạch rốn (7
)
Quan sát hình ảnh.
Sau đó tiếp tục đọc.
Các phát hiện bao gồm:
- Đường truyền tĩnh mạch rốn quá sâu.
Đường truyền có thể đã đi qua lỗ bầu dục thông, qua nhĩ trái và vào tĩnh mạch phổi.
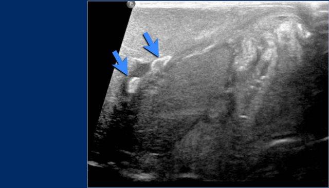
Ở bệnh nhân này, siêu âm phát hiện huyết khối trong tĩnh mạch cửa trái sau khi đặt đường truyền tĩnh mạch rốn (các mũi tên).
Đặt catheter sai vị trí vào tĩnh mạch cửa trái làm tăng nguy cơ huyết khối tĩnh mạch cửa.
Huyết khối tĩnh mạch cửa không có triệu chứng lâm sàng thường gặp liên quan đến đặt catheter tĩnh mạch rốn ở trẻ sơ sinh bệnh nặng, và trong nhiều trường hợp có thể tự thoái triển mà không cần điều trị.
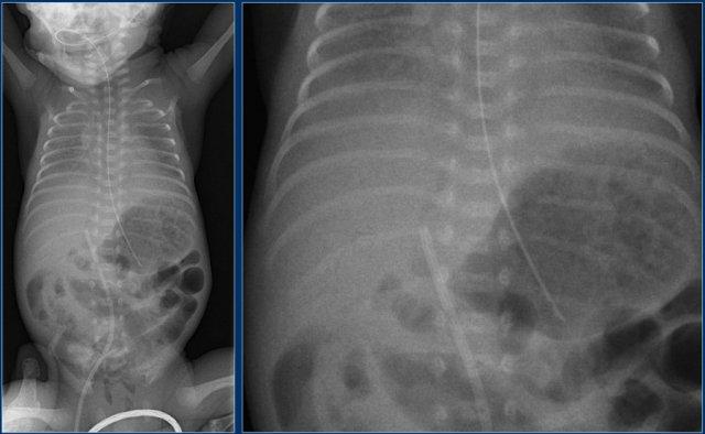
Đường truyền tĩnh mạch rốn (8
)
Quan sát hình ảnh.
Sau đó tiếp tục đọc.
Các phát hiện bao gồm:
- Đường truyền tĩnh mạch rốn quá sâu.
- Sau khi điều chỉnh lại, đầu catheter ở vị trí phù hợp.
Lưu ý rằng ống nội khí quản vẫn còn đặt quá sâu.
Catheter Trung Tâm Đặt Qua Đường Ngoại Vi
Catheter trung tâm đặt qua đường ngoại vi (PICC line) được đặt vào các mạch máu lớn, ưu tiên tại tĩnh mạch chủ trên hoặc tĩnh mạch chủ dưới.
Điều quan trọng là bác sĩ sơ sinh cần biết liệu đầu catheter có đang ở vị trí nông hay không, vì trong trường hợp đó không thể truyền tất cả các loại thuốc.
Hình ảnh bên trái cho thấy một PICC line được đặt qua cánh tay trái.
Việc xác định chính xác vị trí đầu catheter gặp nhiều khó khăn.
Lòng catheter được bơm thuốc cản quang, cho thấy đầu catheter nằm cao trong tĩnh mạch chủ trên.
Khuyến cáo không sử dụng lượng thuốc cản quang vượt quá thể tích lòng catheter, nhằm phòng ngừa nguy cơ suy giáp do phản ứng với thuốc cản quang có chứa iod, mặc dù nguy cơ này là thấp. (16)
PICC line (2)
Quan sát hình ảnh.
Sau đó tiếp tục đọc.
Các phát hiện bao gồm:
- PICC line đặt lạc chỗ trong nhĩ phải.
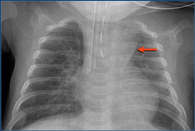
PICC line (3)
Quan sát hình ảnh.
Sau đó tiếp tục đọc.
Các phát hiện bao gồm:
- PICC line đặt lạc chỗ.
Có thể nằm trong xoang vành hoặc trong nhĩ trái sau khi đi qua lỗ bầu dục còn thông.
PICC line (4)
Quan sát hình ảnh.
Sau đó tiếp tục đọc.
Các phát hiện bao gồm:
- PICC line đặt lạc chỗ, đi qua lỗ bầu dục còn thông vào nhĩ trái và tiếp theo vào tĩnh mạch phổi.
Ống nội khí quản
Đầu ống nội khí quản cần được đặt ở vị trí nằm giữa lỗ ngực trên và cách carina 1 cm về phía trên.
Đầu ống di chuyển xuống dưới khi cổ gập lại hoặc di chuyển lên trên khi cổ ngửa ra sau.
Tình trạng đặt ống sai vị trí thường gặp nhất là vào phế quản gốc phải, do góc phân nhánh của phế quản gốc phải thoải hơn.
Hình ảnh minh họa ống được đặt đúng vị trí ở bệnh nhân có tràn khí màng phổi bên trái.
Ống nội khí quản (2)
Quan sát hình ảnh.
Sau đó tiếp tục đọc.
Các phát hiện bao gồm:
- Đặt ống nội khí quản vào phế quản gốc phải gây xẹp toàn bộ phổi trái.
Ống nội khí quản (3)
Quan sát hình ảnh.
Sau đó tiếp tục đọc.
Các phát hiện bao gồm:
- Ống nội khí quản được đặt vào thực quản.
- X-quang ngực cho thấy hình ảnh giãn thực quản và dạ dày, chứa đầy khí (các mũi tên).
Ống nội khí quản (4)
Quan sát hình ảnh.
Sau đó tiếp tục đọc.
Các phát hiện bao gồm:
- Ống nội khí quản được đặt vào phế quản gốc phải.
- Xẹp thùy trên phổi trái.
Ống dẫn lưu ngực
Ống dẫn lưu ngực được đặt trong trường hợp suy hô hấp do tràn dịch màng phổi hoặc tràn khí màng phổi, nhằm đảm bảo phổi giãn nở đủ để thông khí.
Ống nên được đặt tại đường nách giữa, qua khoang liên sườn thứ 4 – 6.
Vị trí đặt ống nên ở phía trước-đỉnh phổi đối với bệnh nhân tràn khí màng phổi.
Quan sát hình ảnh.
Sau đó tiếp tục đọc.
Các phát hiện bao gồm:
- Ống nội khí quản ở vị trí tốt.
- Ống dẫn lưu ngực thẳng ở vị trí tốt. Tuy nhiên, hiệu quả dẫn lưu chưa tối ưu.
- Trung thất lệch sang phải. Tuy nhiên không có tràn khí màng phổi áp lực, vì cơ hoành vẫn có bờ trên lồi bình thường.
Ở bệnh nhân này, có một nang khí phổi (pneumatocele) lớn, một catheter đuôi lợn (pigtail catheter) đã được đặt vào trong nang khí.
Các biến chứng của ống dẫn lưu ngực bao gồm:
- Thủng mạch máu hoặc màng ngoài tim. Điều này có thể gây tràn máu màng phổi.
- Vị trí dưới da hoặc dưới màng phổi.
Điều này sẽ dẫn đến vị trí bất thường của ống dẫn lưu và rối loạn chức năng.
Catheter dạ dày
Catheter dạ dày cần được đặt với đầu ống nằm trong dạ dày.
Ống hút Replogle
Ống hút Replogle được sử dụng trong trường hợp teo thực quản nhằm dẫn lưu nước bọt.
Ống được đặt vào đoạn thực quản tận cùng dạng túi cùng.
Các vạch đánh dấu trên ống hút Replogle tạo thành một đường nét đứt.
Đây là hình ảnh một trẻ sinh non bị teo thực quản có kèm theo lỗ rò.
Ống dẫn lưu Replogle đang được đặt tại chỗ.
Lưu ý vị trí đặt sâu của ống nội khí quản và tình trạng xẹp phổi thùy trên phổi trái.
Oxy hóa qua màng ngoài cơ thể (ECMO)
Oxy hóa qua màng ngoài cơ thể, hay còn gọi là ECMO, là một kỹ thuật hỗ trợ ngoài cơ thể nhằm cung cấp oxy cho trẻ khi các biện pháp hỗ trợ tuần hoàn và hô hấp thông thường không còn hiệu quả.
Một ống được đặt vào tĩnh mạch chủ trên và một ống được đặt vào động mạch tay đầu.


























