Động kinh – Vai trò của MRI
Ngày xuất bản
Ở nhiều bệnh nhân động kinh, điều trị bằng thuốc kháng động kinh không thể kiểm soát được các cơn co giật.
Sử dụng giao thức MRI chuyên biệt, có thể phát hiện tổn thương gây động kinh ở 80% số bệnh nhân này.
Việc cắt bỏ các tổn thương này có thể giúp nhiều bệnh nhân thoát khỏi các cơn co giật.
Chúng tôi sẽ thảo luận về giao thức MRI và các hình ảnh điển hình trong các bệnh lý liên quan đến động kinh phổ biến nhất.
Giới thiệu
Các nguyên nhân thường gặp của Động kinh
Hình minh họa tóm tắt các nguyên nhân phổ biến nhất gây ra cơn co giật ở bệnh nhân động kinh kháng trị.
Một số tổn thương trong số này có thể được nhận diện dễ dàng.
Xơ cứng hồi hải mã (Meso temporal sclerosis) và loạn sản vỏ não khu trú (focal cortical dysplasia) là những nguyên nhân phổ biến nhất và chỉ có thể được phát hiện bằng một giao thức chụp chuyên biệt.
Bảng cũng tóm tắt các tổn thương gây động kinh được phát hiện ở bệnh nhân có cơn co giật kháng trị.
Xơ cứng thái dương giữa (Mesial temporal sclerosis) là nguyên nhân phổ biến nhất của động kinh kháng trị.
Trong động kinh kháng thuốc, vị trí phổ biến nhất của tổn thương gây động kinh là thùy thái dương (60%), thùy trán (20%), thùy đỉnh (10%), quanh não thất (5%) và thùy chẩm (5%).
Cơn co giật và Động kinh
Cơn co giật cục bộ – còn gọi là cơn co giật khu trú – là các cơn co giật chỉ ảnh hưởng đến một phần não bộ khi khởi phát. Chúng thường bắt đầu ở thùy thái dương.
Trong cơn co giật cục bộ đơn giản, bệnh nhân vẫn duy trì ý thức.
Cơn co giật cục bộ đơn giản có thể là tiền triệu của một cơn co giật lớn hơn và khi đó được gọi là aura.
Cơn co giật cục bộ phức tạp ảnh hưởng đến một phần lớn hơn của bán cầu não và bệnh nhân có thể mất ý thức.
Nếu cơn co giật cục bộ lan từ bán cầu này sang bán cầu kia, sẽ dẫn đến cơn co giật toàn thể hóa thứ phát.
Bệnh nhân sẽ mất ý thức và có thể xuất hiện cơn co cứng – co giật.
Giao thức chụp MRI động kinh
Bảng trình bày giao thức chụp MRI chuyên biệt cho động kinh.
Một số cơ sở cũng sử dụng chuỗi xung Inversion Recovery và không sử dụng thuốc tương phản từ theo thường quy.
Chuỗi xung T1W
Ưu việt trong đánh giá độ dày vỏ não và ranh giới giữa chất xám và chất trắng.
Trên chuỗi xung T1W, cần tìm kiếm chất xám xuất hiện ở vị trí bất thường như trong trường hợp dị sản chất xám (gray matter heterotopia).
FLAIR
Cần quan sát rất cẩn thận các vùng tăng tín hiệu vỏ não và dưới vỏ não trên chuỗi xung FLAIR, vì chúng có thể rất tinh tế.
Do FLAIR có thể cho kết quả dương tính giả do xảo ảnh, các bất thường cần được xác nhận trên chuỗi xung T2W.
T2* hoặc SWI
Hữu ích trong tìm kiếm các sản phẩm thoái giáng của hemoglobin như trong các thay đổi sau chấn thương và u mạch hang (cavernomas), hoặc để tìm kiếm vôi hóa trong bệnh xơ cứng củ (tuberous sclerosis), hội chứng Sturge-Weber, u mạch hang và u hạch thần kinh đệm (gangliogliomas).
Xơ cứng thùy thái dương trong
Xơ cứng thùy thái dương trong (MTS) là một dạng tổn thương đặc trưng với sự mất tế bào thần kinh vùng hải mã, kèm theo gliosis và teo não.
Căn nguyên chưa được xác định rõ, tuy nhiên có mối liên quan giữa MTS và các cơn co giật do sốt kéo dài ở giai đoạn sớm của cuộc đời, các biến chứng trong quá trình sinh nở và phát triển.
Ở 15% bệnh nhân, có thể phát hiện thêm một bất thường phát triển khác, chủ yếu là loạn sản vỏ não khu trú.
Tình trạng này được gọi là bệnh lý kép.
MTS là nguyên nhân phổ biến nhất gây động kinh cục bộ phức tạp ở người lớn, đồng thời cũng là căn nguyên thường gặp nhất ở bệnh nhân trẻ tuổi được chỉ định phẫu thuật.
Phẫu thuật cắt bỏ các vùng có thay đổi trên MRI liên quan đến xơ cứng thùy thái dương trong một bên có thể đạt được tỷ lệ kiểm soát cơn động kinh hoàn toàn lên đến 80% trường hợp.
Các chuỗi xung T2W và FLAIR mặt phẳng coronal có độ nhạy cao nhất trong phát hiện MTS.
Trên các lát cắt axial, xơ cứng thùy thái dương trong thường dễ bị bỏ sót.
Xơ cứng thùy thái dương trong hai bên khó phát hiện do không có sự so sánh với hải mã đối bên còn bình thường.
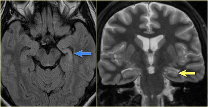
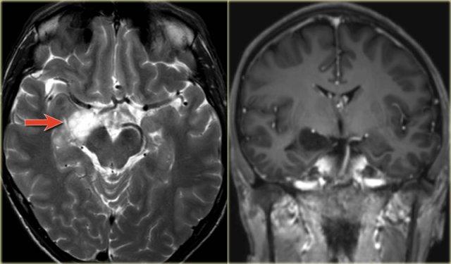
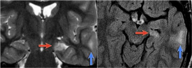
Hình ảnh T2W và FLAIR mặt phẳng coronal cho thấy xơ cứng thùy thái dương trong bên phải.
Lưu ý tình trạng mất thể tích, biểu hiện của teo não, gây giãn thứ phát sừng thái dương của não thất bên.
Tín hiệu cao trong hải mã phản ánh tình trạng gliosis.
Xơ cứng thùy thái dương trong có thể xuất hiện kết hợp với các bệnh lý khác, đặc biệt là loạn sản vỏ não khu trú.
Tình trạng này được gọi là bệnh lý kép.
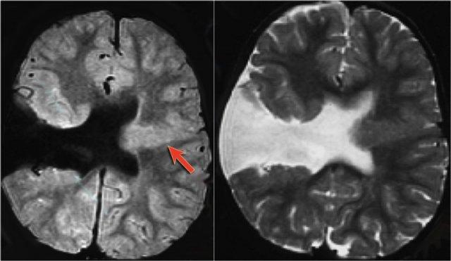
Hình ảnh cho thấy xơ cứng thùy thái dương trong với hải mã tăng tín hiệu và teo nhỏ (mũi tên đỏ), kèm theo giãn thứ phát sừng thái dương trái của não thất bên trái.
Cũng cần lưu ý tình trạng tăng tín hiệu dưới vỏ não kết hợp ở thùy thái dương trái, gợi ý loạn sản vỏ não khu trú.

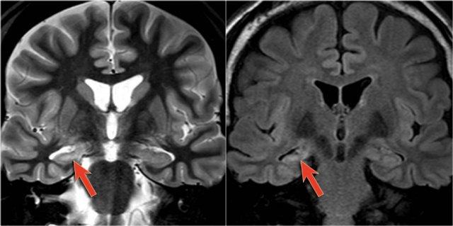
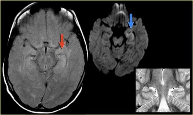
Xơ cứng thùy thái dương trong bên trái. Gliosis kín đáo của hải mã trái (mũi tên xanh dương) và teo não (mũi tên vàng).
Bệnh nhân 35 tuổi với động kinh thùy thái dương kháng trị.
MRI cho thấy tăng tín hiệu kín đáo của hải mã trái trên chuỗi xung FLAIR axial (mũi tên xanh dương) và teo hải mã trái trên hình ảnh coronal (mũi tên vàng).
Bệnh nhân được điều trị thành công bằng phẫu thuật cắt hạnh nhân – hải mã bên trái.
Chẩn đoán phân biệt tăng tín hiệu hải mã
Tăng tín hiệu hải mã trên chuỗi xung T2W hoặc FLAIR kèm theo mất thể tích có giá trị chẩn đoán xơ cứng thùy thái dương trong bối cảnh lâm sàng phù hợp.
Tăng tín hiệu hải mã không kèm theo mất thể tích gặp trong:
- Trạng thái động kinh liên tục
- U độ thấp (u tế bào hình sao, DNET)
- Viêm não
Trạng thái động kinh liên tục
Hình ảnh học trong trạng thái động kinh liên tục có thể bắt chước xơ cứng thùy thái dương trong.
Trong trạng thái động kinh liên tục, hải mã có thể tăng tín hiệu, nhưng biểu hiện phù nề và không có teo não.
FLAIR axial, DWI axial và T2W coronal cho thấy hải mã tăng tín hiệu với sừng thái dương của não thất bên bị thu hẹp nhẹ, phù hợp với phù nề hải mã.
DWI cho thấy hạn chế khuếch tán do phù nề độc tế bào trong giai đoạn cấp tính của trạng thái động kinh liên tục.
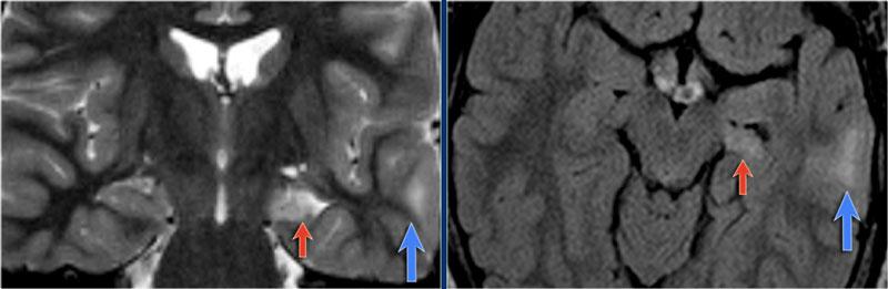
DNET bắt chước xơ cứng thùy thái dương trong
T2W axial cho thấy hải mã tăng tín hiệu nhưng phì đại với hình ảnh dạng bong bóng.
Đây là hình ảnh điển hình của DNET hay u thần kinh biểu mô loạn sản phôi thai, sẽ được thảo luận chi tiết ở phần tiếp theo.
T1W coronal sau tiêm thuốc tương phản từ cho thấy hải mã phì đại không ngấm thuốc tương phản từ.
Loạn sản Vỏ não Khu trú
Dấu hiệu chính
- Tăng tín hiệu chất trắng dưới vỏ
- Mờ ranh giới chất xám – chất trắng
Loạn sản vỏ não khu trú là một bất thường bẩm sinh trong đó các tế bào thần kinh không di cư đúng vị trí trong quá trình phát triển bào thai.
Các dấu hiệu trên MRI có thể rất tinh tế hoặc thậm chí âm tính, do đó cần phải có chỉ số nghi ngờ cao!
Các dấu hiệu thường gặp nhất là tăng tín hiệu vỏ não hoặc dưới vỏ, đặc biệt thấy rõ trên ảnh FLAIR.
Những tổn thương này thường được tìm thấy ở đáy của một rãnh não sâu.
Một dấu hiệu khác là ranh giới mờ giữa chất xám và chất trắng, do chất trắng có hình ảnh tương tự chất xám vì chứa các tế bào thần kinh chưa di cư đến được vỏ não.
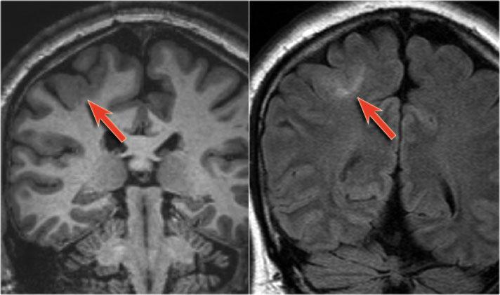
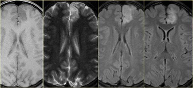
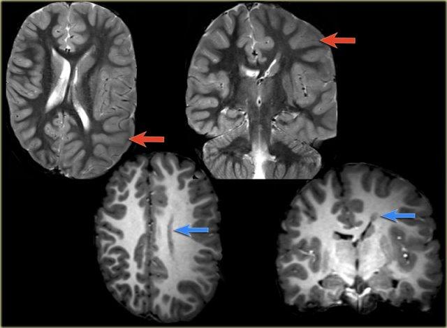
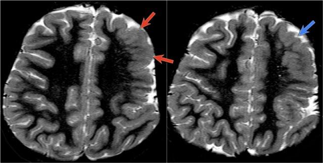
Các hình ảnh cho thấy loạn sản vỏ não khu trú điển hình.
Có hình ảnh dày vỏ não và mờ ranh giới chất xám/chất trắng trên chuỗi xung T1W (bên trái).
Ảnh FLAIR bên phải cho thấy tăng tín hiệu vùng dưới vỏ.
Các hình ảnh cho thấy bất thường tín hiệu vỏ não và dưới vỏ trên chuỗi xung T2W và FLAIR ở thùy thái dương trái, phù hợp với loạn sản vỏ não khu trú.
Lưu ý hình ảnh hồi hải mã tăng tín hiệu T2/FLAIR kèm teo nhỏ là hậu quả của xơ cứng thùy thái dương giữa, tức là bệnh lý kép.
Một trường hợp loạn sản vỏ não khu trú khác.
Lưu ý hình ảnh thùy thái dương trái kém phát triển với dày vỏ não (mũi tên) và teo chất trắng.
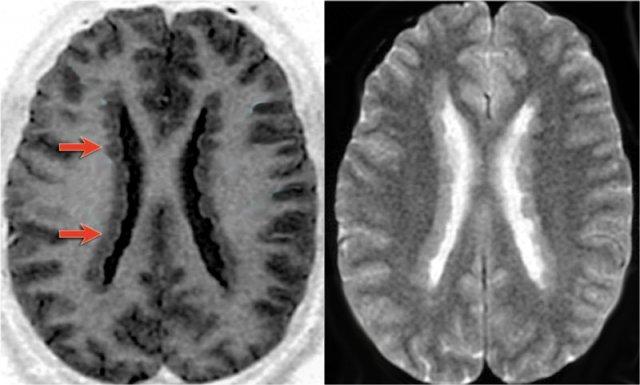
Ảnh chuỗi xung T1W, T2W và FLAIR mặt phẳng axial của bệnh nhân nam 15 tuổi bị động kinh.
Lưu ý hình ảnh dày và tăng tín hiệu vỏ não hồi trán trên bên trái.
Ảnh FLAIR cũng cho thấy tăng tín hiệu ở chất trắng dưới vỏ.
Các dấu hiệu này điển hình cho loạn sản vỏ não khu trú.
Dấu hiệu xuyên vỏ (Transmantle sign)
Đôi khi vùng tăng tín hiệu được thấy kéo dài từ vùng dưới vỏ đến bờ não thất.
Đây được gọi là dấu hiệu xuyên vỏ (transmantle sign).
Dấu hiệu này phản ánh tình trạng di cư tế bào thần kinh bị gián đoạn.
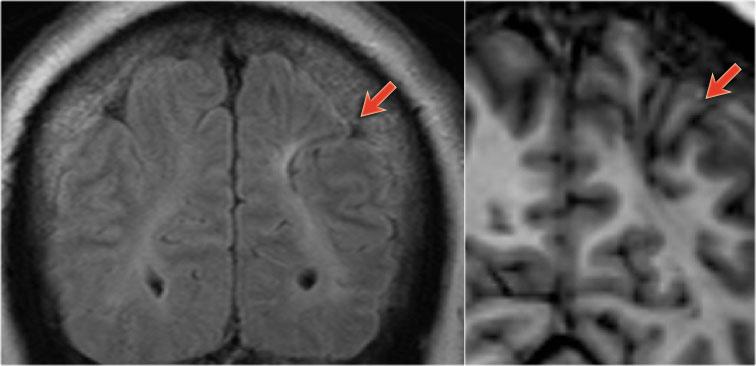
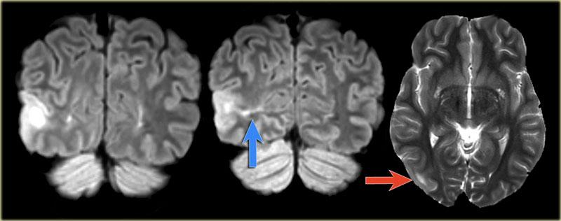
Hình ảnh của bệnh nhân nam 27 tuổi bị động kinh thùy chẩm kháng trị.
Ảnh FLAIR mặt phẳng coronal và T2W mặt phẳng axial cho thấy dày vỏ não tăng tín hiệu T2 và tăng tín hiệu ở vỏ não và vùng dưới vỏ.
Lưu ý vùng tăng tín hiệu dưới vỏ kéo dài đến não thất bên phải, biểu hiện dấu hiệu xuyên vỏ (mũi tên xanh).
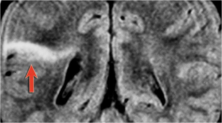
Dấu hiệu xuyên vỏ (transmantle sign) ghi nhận ở một bệnh nhân khác bị loạn sản vỏ não khu trú.
Sẹo vỏ não và sẹo thần kinh đệm – Ulegyria

Bệnh nhân 54 tuổi có tiền sử ngạt chu sinh và động kinh cục bộ kháng trị kéo dài. Sẹo thùy đỉnh trái tại vùng phân thủy cạnh đường giữa gây teo vỏ não.
Sẹo vỏ não và sẹo thần kinh đệm thường là hậu quả của viêm màng não hoặc chấn thương lúc sinh.
Ulegyria là một dạng sẹo đặc biệt.
Được định nghĩa là tình trạng sẹo hóa vỏ não do thiếu máu cục bộ chu sinh.
Ulegyria thường gặp ở trẻ sinh đủ tháng.
Ở những trẻ này, tưới máu tại đỉnh các hồi não nhiều hơn so với vỏ não ở đáy các rãnh não.
Hình ảnh điển hình là vỏ não bị teo, trong đó phần sâu của các hồi não bị teo nhiều hơn phần nông, tạo nên các hồi não có cuống dài với hình ảnh giống cây nấm.
Ulegyria cần được phân biệt với microgyria (hồi não nhỏ).
MRI sẽ cho thấy hình ảnh mất mô não và tăng sinh thần kinh đệm (gliosis) bên dưới vỏ não bị teo.
Vỏ não bị teo được đánh giá rõ nhất trên chuỗi xung T1W 3D do độ phân giải cao và khả năng phân định vỏ não vượt trội, trong khi chuỗi xung FLAIR sẽ cho thấy tăng tín hiệu liên quan đến tình trạng gliosis.
Do đó, cần luôn sử dụng chuỗi xung FLAIR để tìm kiếm các vùng tăng tín hiệu ở bệnh nhân động kinh, sau đó đối chiếu các phát hiện này với vỏ não tại vùng tổn thương trên chuỗi xung T1W độ phân giải cao.
Cavernoma
Cavernoma còn được gọi là dị dạng hang (cavernous malformation) hoặc u mạch hang (cavernous angioma).
Đây là dị dạng mạch máu dòng chảy thấp, lành tính, có xu hướng chảy máu.
75% trường hợp xuất hiện dưới dạng tổn thương đơn độc, tản phát và 10-30% xuất hiện dưới dạng tổn thương đa ổ.
Cavernoma bao gồm các tiểu thùy có kích thước khác nhau chứa các sản phẩm máu ở nhiều giai đoạn tiến triển khác nhau, tạo nên hình ảnh đặc trưng “bỏng ngô” (popcorn).
Một vành hemosiderin hoàn chỉnh bao quanh tổn thương, ngoại trừ trường hợp có chảy máu gần đây.
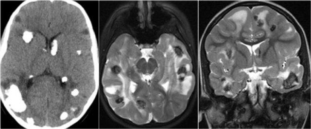
CT không tiêm thuốc cản quang có thể cho thấy một nốt tăng tỷ trọng hoặc vôi hóa, nhưng trong 50% trường hợp, cavernoma sẽ không được phát hiện trên CT.
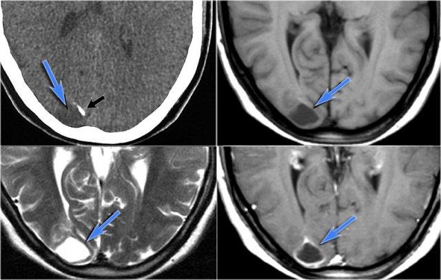
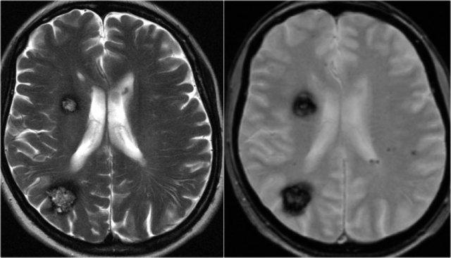
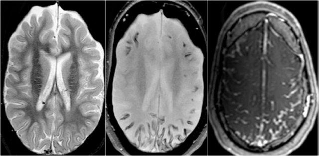
Chuỗi xung T2W và T2* gradient echo cho thấy nhiều cavernoma.
Lưu ý hình ảnh “bỏng ngô” với vành hemosiderin ngoại vi trên chuỗi xung T2W.
Các tổn thương gần như hoàn toàn màu đen trên chuỗi xung gradient echo do xảo ảnh blooming.
Chuỗi xung T2* và hình ảnh trọng số độ nhạy từ (SWI) làm tăng đáng kể độ nhạy của MRI trong việc phát hiện các cavernoma nhỏ.
Năm chấm đen ở bán cầu đại não trái trên chuỗi xung T2* cũng là cavernoma và không thể nhìn thấy trên chuỗi xung T2W.
Cavernoma thường đi kèm với dị dạng tĩnh mạch phát triển (DVA).
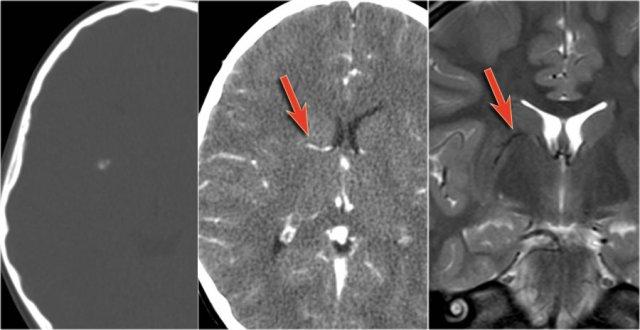
CT không tiêm thuốc cản quang cho thấy một vôi hóa nhỏ ở nhân thấu kính bên phải.
CT có tiêm thuốc cản quang cho thấy một dị dạng tĩnh mạch dẫn lưu cavernoma vào tĩnh mạch não trong bên phải.
Chuỗi xung T2W mặt phẳng coronal cho thấy dị dạng tĩnh mạch dưới dạng một khoảng trống dòng chảy hình đường cong.
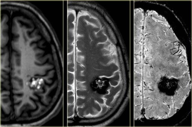
Cavernoma ở hồi sau trung tâm trên chuỗi xung T1W, T2W và SWI.
Lưu ý hình ảnh “bỏng ngô” và xảo ảnh blooming.
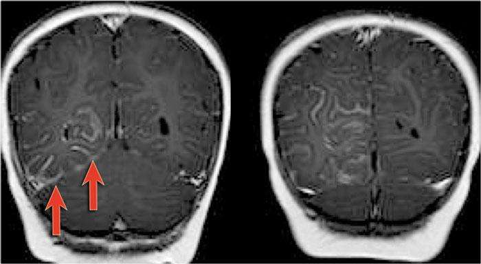
Cùng bệnh nhân trên.
Lưu ý lớp phủ hemosiderin ở hồi trước trung tâm, phù hợp với hình ảnh nhiễm sắt bề mặt (superficial siderosis) do xuất huyết trước đó từ cavernoma (đầu mũi tên đỏ).
Chẩn đoán phân biệt các vi xuất huyết
Ở bệnh nhân có nhiều chấm đen nhỏ, chẩn đoán phân biệt bao gồm:
- Cavernoma
- Bệnh mạch máu não dạng tinh bột (CAA)
Các vi xuất huyết không đối xứng ở vị trí ngoại vi, gặp ở người cao tuổi không tăng huyết áp có xuất huyết thùy não.
CAA thường gặp ở bệnh nhân sa sút trí tuệ. - Vi xuất huyết do tăng huyết áp
Các vi xuất huyết ở bệnh nhân tăng huyết áp, trẻ tuổi hơn so với bệnh nhân CAA - Tổn thương sợi trục lan tỏa (DAI)
Xuất huyết sau chấn thương ở thể chai, chất trắng dưới vỏ và thân não.
Tổn thương sợi trục lan tỏa (DAI)
Một người đi xe đạp 46 tuổi nhập viện với triệu chứng co giật sau khi bị xe ô tô đâm.
Hình ảnh CT chỉ cho thấy xuất huyết dưới nhện tối thiểu (mũi tên).
MRI được thực hiện vài tuần sau chấn thương do bệnh nhân có thay đổi nhân cách.
Chuỗi xung T2* cho thấy nhiều ổ lắng đọng hemosiderin tại vùng ranh giới giữa chất xám và chất trắng, phù hợp với tổn thương sợi trục lan tỏa (DAI).
Lưu ý vị trí của các vi xuất huyết này khác với các ổ xuất huyết CAA nằm ở ngoại vi.
Các khối u liên quan đến động kinh
Tất cả các khối u não đều có thể biểu hiện bằng động kinh, tuy nhiên có một số khối u đặc trưng thường liên quan đến động kinh.
Các khối u này có chung những đặc điểm sau:
-
Xuất hiện ở vị trí vỏ não.
- Thường khu trú ở thùy thái dương.
- Có liên quan chặt chẽ đến các dị dạng phát triển.
- Thường gặp ở thanh thiếu niên và người trẻ tuổi.
- Đặc trưng bởi tính chất lành tính, tăng trưởng chậm, ranh giới rõ và thường không có phù nề xung quanh.
- Biểu hiện các dấu hiệu của quá trình mạn tính, như tái cấu trúc xương và hình ảnh lõm xương sọ lân cận.

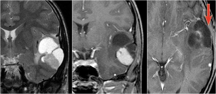
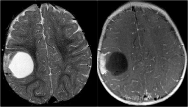
U tế bào hạch thần kinh đệm (Ganglioglioma) ở thùy chẩm phải biểu hiện dưới dạng khối nang với ngấm thuốc dạng viền. Lưu ý hình ảnh vôi hóa trên CT.
U tế bào hạch thần kinh đệm (Ganglioglioma)
Dấu hiệu chính
- Điển hình biểu hiện dưới dạng nang với nốt thành nang ngấm thuốc, nhưng cũng có thể hoàn toàn đặc
- Vôi hóa gặp trong tới 50% trường hợp
Ganglioglioma là khối u thường gặp nhất liên quan đến động kinh thùy thái dương.
Vôi hóa là đặc điểm phổ biến của ganglioglioma và là yếu tố phân biệt quan trọng với DNET và u tế bào hình sao đa hình xanthochromic (pleomorphic xanthoastrocytoma).
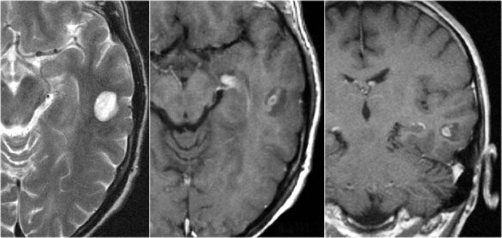
Ganglioglioma ở một trẻ nhỏ. Lưu ý nang lớn với ngấm thuốc của mô đặc thành nang.
Ganglioglioma dạng nang nhỏ với nốt ngấm thuốc kích thước nhỏ.

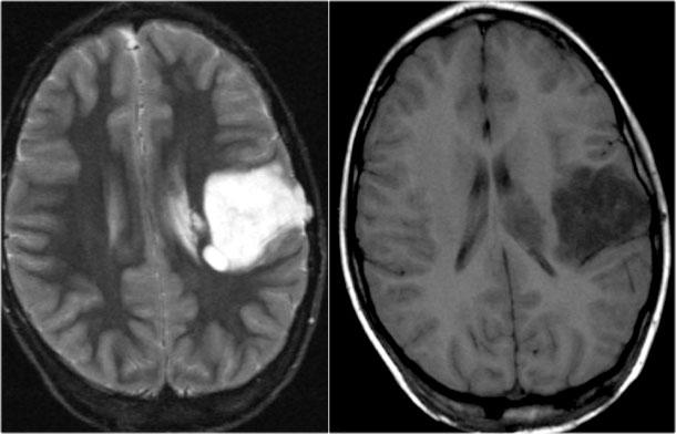
DNET: Chuỗi xung T2W và FLAIR cho thấy hình ảnh bong bóng đặc trưng và phù nề các hồi não bị tổn thương. Lưu ý hình ảnh lõm xương sọ do khối u tăng trưởng chậm.
DNET
Dấu hiệu chính
- Hồi não phồng to
- Hình ảnh nang dạng bong bóng
- Có thể có hình nêm hướng về phía não thất
- Thường không hoặc chỉ ngấm thuốc rất ít
- Liên quan đến loạn sản vỏ não khu trú
DNET trong các trường hợp điển hình biểu hiện dưới dạng khối dạng bong bóng làm giãn rộng các hồi não bị tổn thương.
Hình ảnh nang dạng bong bóng được thể hiện bởi các cấu trúc nhỏ giống nang trong khối u, tăng tín hiệu rõ rệt trên chuỗi xung T2W.
DNET ở bé trai 11 tuổi biểu hiện với cơn động kinh cục bộ kháng trị.
Khối u cho thấy hình ảnh dạng bong bóng đặc trưng và có hình ảnh lõm xương sọ kín đáo.

U tế bào hình sao đa hình xanthochromic (Pleomorphic xanthoastrocytoma) trên chuỗi xung T2W mặt phẳng coronal và T1W sau tiêm thuốc tương phản từ (CE-T1WI) mặt phẳng coronal và axial. Lưu ý hình ảnh ngấm thuốc màng não-não đặc trưng (mũi tên).
U tế bào hình sao đa hình xanthochromic (Pleomorphic xanthoastrocytoma)
Dấu hiệu chính
- Nang trên lều với nốt thành nang ngấm thuốc tiếp giáp màng não ngoại vi
- Ngấm thuốc màng não
- Phù nề quanh khối u
U tế bào hình sao đa hình xanthochromic (PXA) là nguyên nhân hiếm gặp gây động kinh thùy thái dương.
Phù nề quanh khối u có thể gặp trong PXA, trong khi đây không phải là đặc điểm của ganglioglioma hay DNET.
Dày và ngấm thuốc màng não mềm lân cận là dấu hiệu rất đặc trưng nhưng không phải lúc nào cũng hiện diện.
Khi không có tổn thương màng não, u tế bào hình sao đa hình xanthochromic không thể phân biệt được với ganglioglioma.

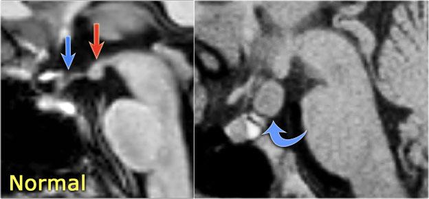
TRÁI: Ngách phễu bình thường của não thất ba (mũi tên xanh), thể vú (mũi tên đỏ). PHẢI: U hamartoma củ xám (tuber cinereum) (mũi tên cong).
U hamartoma vùng dưới đồi (Hypothalamic hamartoma)
Dấu hiệu chính
- Phì đại củ xám (tuber cinereum) của vùng dưới đồi không ngấm thuốc
U hamartoma vùng dưới đồi còn được gọi là u hamartoma gian não hoặc u hamartoma củ xám.
Đây là tổn thương dị sản chất xám bẩm sinh không phải u tân sinh, khu trú tại vùng củ xám của vùng dưới đồi.
Thường gặp ở trẻ nhũ nhi biểu hiện với động kinh và dậy thì sớm.
Hemimegalencephaly (Phì đại nửa bán cầu đại não)
Dấu hiệu chính
- Bán cầu não phì đại kèm giãn não thất cùng bên
Chuỗi xung T2W cho thấy hình ảnh hemimegalencephaly bên phải.
Lưu ý hộp sọ mất đối xứng và não thất bên hơi giãn rộng.
Hemimegalencephaly là tình trạng duy nhất mà sự gia tăng thể tích nhu mô não đi kèm với sự gia tăng thể tích não thất cùng bên.

Hemimegalencephaly bên trái với loạn sản vỏ não lan tỏa vùng trán-đỉnh (mũi tên xanh) và tăng tín hiệu T2W lan tỏa chất trắng
Hemimegalencephaly là một bệnh hiếm gặp, đặc trưng bởi sự phát triển dạng hamartoma của một bán cầu đại não hoặc một phần của bán cầu đó.
Bệnh nhân biểu hiện với động kinh khởi phát sớm, đầu to (macrocrania) và chậm phát triển tâm thần vận động nặng kèm liệt nửa người đối bên.
Vỏ não dày có thể biểu hiện một phổ rộng các bất thường, bao gồm não trơn (lissencephaly), vỏ não cuộn rộng (pachygyria) hoặc đa vi hồi não (polymicrogyria).
Ở giai đoạn muộn, bán cầu bị tổn thương có thể teo lại do hoạt động động kinh liên tục.
Hầu hết trẻ em bị bệnh tử vong trong những năm đầu đời do trạng thái động kinh (status epilepticus).
Hình ảnh CT và chuỗi xung T2W trên bệnh nhân hemimegalencephaly bên phải.
Ghi nhận vỏ não dày loạn sản và giãn não thất ở bên bị tổn thương.
Bé gái 9 tuổi với động kinh về đêm kháng trị.
MRI cho thấy hình ảnh phì đại bán cầu đại não trái.
Chuỗi xung T1W ghi nhận chất xám lạc chỗ (heterotopic gray matter) lót dọc theo thành não thất bên trái (mũi tên xanh).
Trong hemimegalencephaly, điều quan trọng là cần loại trừ các bất thường ở bán cầu đối bên, vì đây là chống chỉ định của phẫu thuật cắt bán cầu não (hemispherectomy).
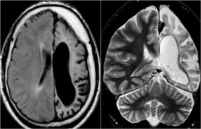
Viêm Não Rasmussen

Viêm não Rasmussen. Ảnh FLAIR axial và T2WI coronal cho thấy teo bán cầu đại não trái kèm giãn não thất bên.
Các dấu hiệu chính
- Cơn động kinh kháng trị ở trẻ em
- Teo tiến triển của bán cầu não bị tổn thương
- Bán cầu não nhỏ với não thất lớn
Viêm não Rasmussen là tình trạng teo bán cầu não tiến triển chưa rõ nguyên nhân.
Bệnh nhân xuất hiện các cơn động kinh với tần suất ngày càng tăng và liệt nửa người tiến triển.
Cần lưu ý rằng, trái ngược với chứng phì đại nửa não (hemimegalencephaly), bán cầu não nhỏ hơn mới là vị trí bất thường, và não thất bên ở bán cầu nhỏ hơn lại có kích thước lớn hơn.
Xơ Cứng Củ

Chuỗi xung T2W mặt cắt ngang cho thấy nhiều củ và bất thường chất trắng (hình a: mũi tên) và các nốt dưới màng não thất
Các dấu hiệu chính trên não
- Hamartoma vỏ não
- Củ dưới màng não thất
- U tế bào khổng lồ dưới màng não thất (Subependymal giant cell astrocytoma)
- Bất thường chất trắng
Xơ cứng củ hay bệnh Bourneville là một bệnh di truyền đặc trưng bởi sự hiện diện của các hamartoma ở nhiều cơ quan, bao gồm u mỡ cơ mạch thận (angiomyolipoma), u cơ vân tim (cardiac rhabdomyoma) và các củ vỏ não cùng củ dưới màng não thất.
Một số bệnh nhân có bệnh lymphangioleiomatosis, một bệnh phổi dạng nang thường gặp ở phụ nữ.
Tam chứng lâm sàng kinh điển gồm động kinh cục bộ, u tuyến bã nhờn (adenoma sebaceum) và chậm phát triển tâm thần (gợi nhớ theo tiếng Anh: fits, zits and nitwits).
Các hamartoma vỏ não được gọi là củ (tubers) và có đặc điểm tương tự loạn sản vỏ não.
Các nốt dưới màng não thất là những tổn thương nhỏ nhô vào lòng não thất bên. Đôi khi chúng bị vôi hóa.
Phẫu thuật điều trị động kinh trong bệnh xơ cứng củ (TSC) được cân nhắc khi một củ cụ thể có thể được xác định là nguyên nhân gây ra hoạt động động kinh, hoặc khi u tế bào khổng lồ dưới màng não thất gây tắc nghẽn lỗ Monro dẫn đến não úng thủy.
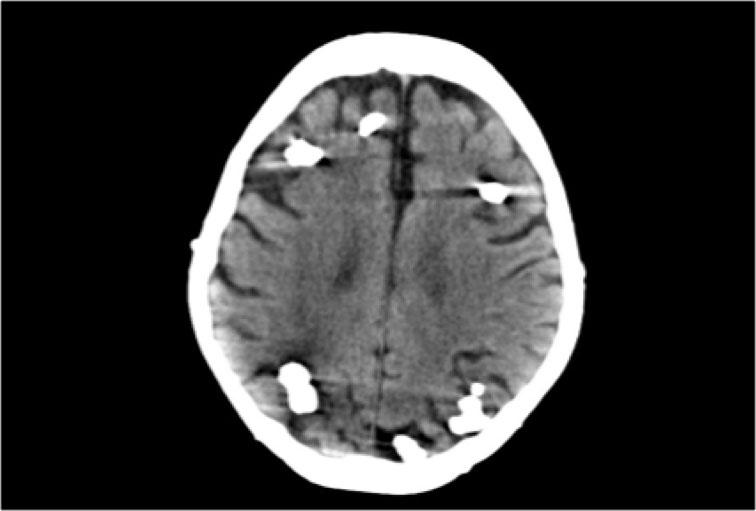
CT của bệnh nhân xơ cứng củ cho thấy nhiều vôi hóa vỏ não và dưới vỏ não.

Xơ cứng củ – hình ảnh được cung cấp bởi Tạp chí Thần kinh X-quang Hoa Kỳ (American Journal of Neuroradiology).
CT và MRI ở bệnh nhân xơ cứng củ.
Có nhiều nốt vỏ não và dưới màng não thất.
CT cho thấy hầu hết các tổn thương đều bị vôi hóa.
U tế bào khổng lồ dưới màng não thất (SEGA)
Đây là khối u phát triển từ một nốt dưới màng não thất gần lỗ Monro.
Tiên lượng xấu do gây tắc nghẽn lưu thông dịch não tủy (CSF).
Đặc trưng bởi tình trạng ngấm thuốc tương phản từ mạnh và vị trí điển hình.
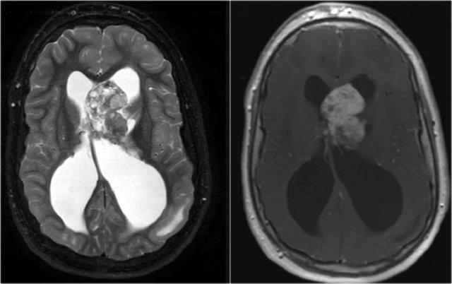
Chuỗi xung T2W và T1W có tiêm thuốc tương phản từ mặt cắt ngang cho thấy u tế bào khổng lồ tại vị trí lỗ Monro bên trái gây não úng thủy tắc nghẽn.
Cũng lưu ý củ ở bên trái.
Chuỗi xung T1W mặt cắt đứng dọc sau tiêm thuốc tương phản từ cho thấy u tế bào khổng lồ tại lỗ Monro bên phải.
Hội chứng Sturge-Weber
Các dấu hiệu chính
- Ngấm thuốc màng não mềm
- Vôi hóa vỏ não dạng đường ray xe điện
- Teo não chủ yếu ở vùng phía sau
Hội chứng Sturge-Weber còn được gọi là u mạch não-sinh ba (encephalotrigeminal angiomatosis).
Đây là dị dạng mạch máu với u mạch mao tĩnh mạch ở mặt (bớt rượu vang), hắc mạc mắt và màng não mềm.
Tắc nghẽn tĩnh mạch và thiếu máu cục bộ dẫn đến u mạch kèm lắng đọng canxi vỏ não và teo não.
Biểu hiện lâm sàng bao gồm động kinh, liệt nửa người, mù nửa thị trường, chậm phát triển trí tuệ và bớt rượu vang.
Các hình ảnh MRI cho thấy u mạch màng não mềm khu trú chủ yếu ở thùy chẩm.
Ứ trệ tĩnh mạch và vôi hóa được quan sát rõ nhất trên chuỗi xung SWI.
MRI ở bệnh nhân Sturge-Weber có thể cho thấy:
- Teo não
- Tăng tín hiệu trên chuỗi xung T2WI do xơ hóa thần kinh đệm (gliosis)
- Giảm tín hiệu tại các vùng vôi hóa.
- Ngấm thuốc màng não mềm
Các hình ảnh MRI mặt phẳng coronal của bệnh nhân Sturge-Weber cho thấy ngấm thuốc màng não mềm ở bán cầu não phải phía sau.
CT ở bệnh nhân Sturge-Weber cho thấy vôi hóa vỏ não và dưới vỏ não dạng đường ray xe điện lan rộng, liên quan đến bán cầu não trái phía sau.
Bé trai 4 tuổi mắc hội chứng Sturge-Weber.
Lưu ý hình ảnh teo bán cầu não trái phía sau kèm ngấm thuốc và dày màng não mềm.
U mạch hắc mạc lan tỏa
Trong hội chứng Sturge-Weber, dị dạng mạch máu của hắc mạc mắt thường được ghi nhận.
Các bệnh nhân này biểu hiện chứng buphthalmos (mắt to) do tăng nhãn áp và mù nửa thị trường.
Bất thường mắt ở bé trai 4 tuổi mắc hội chứng Sturge-Weber.
Lưu ý hình ảnh tăng tín hiệu FLAIR (mũi tên đỏ) và ngấm thuốc quá mức ở thành nhãn cầu trái (mũi tên xanh), phù hợp với u mạch hắc mạc lan tỏa.
Đa tiểu hồi não (Polymicrogyria)
Dấu hiệu chính
- Nhiều hồi não nhỏ
- Ưu thế tại khe Sylvius
- Teo não chủ yếu ở vùng phía sau
- Dẫn lưu tĩnh mạch bất thường tại vùng đa tiểu hồi não
Đa tiểu hồi não là một dị dạng do rối loạn quá trình phát triển vỏ não xảy ra ở giai đoạn muộn của quá trình di cư tế bào thần kinh.
Các lớp sâu hơn của vỏ não hình thành nhiều hồi não nhỏ kèm theo sự phá vỡ cấu trúc phân lớp và rãnh não bình thường.
Chuỗi xung T1W cho thấy hình ảnh so sánh giữa cấu trúc phân lớp và rãnh não bình thường ở bên trái và hình ảnh đa tiểu hồi não ở bên phải (mũi tên).
Dị sản vị (Heterotopia)
Chất xám dị sản vị là hậu quả của sự gián đoạn quá trình di cư bình thường của các tế bào thần kinh dọc theo đường hướng tâm giữa thành não thất (màng nội tủy) và các vùng dưới vỏ não.
Có hai thể dị sản vị: thể dưới màng nội tủy và thể dưới vỏ não.
Biểu hiện lâm sàng thường gặp nhất là động kinh kháng trị.
Dị sản vị biểu hiện dưới dạng các ổ nốt có tín hiệu tương đương chất xám trên tất cả các chuỗi xung. Các tổn thương này không ngấm thuốc tương phản từ.
Hình ảnh của một trường hợp dị sản vị dưới màng nội tủy điển hình.
Một trường hợp dị sản vị khác với các nốt dưới vỏ não điển hình (mũi tên).
Schizencephaly
Schizencephaly là một khe hở trong não kết nối não thất bên với khoang dưới nhện.
Khe hở được lót bởi chất xám đa vi hồi (polymicrogyric gray matter).
Thể môi hở (Open-lip) được đặc trưng bởi sự tách biệt giữa hai thành của khe hở.
Thể môi đóng (Closed-lip) được đặc trưng bởi hai thành khe hở áp sát vào nhau.
Bệnh nhân có biểu hiện động kinh và liệt nửa người, mức độ tỷ lệ thuận với kích thước khe hở và thường gặp hơn ở thể môi hở.
Hãy quan sát kỹ các hình ảnh trước khi tiếp tục đọc.
Bệnh nhân này có schizencephaly hai bên.
Thể môi hở ở bên phải và thể môi đóng ở bên trái (mũi tên đỏ).
Lưu ý đường chất xám ở bán cầu não trái trên hình ảnh cắt ngang (axial).
Chẩn đoán phân biệt của schizencephaly là porencephaly (nang não), cũng là một dạng khe hở, nhưng không được lót bởi chất xám.
Từ thiện
Toàn bộ lợi nhuận từ Radiology Assistant được chuyển đến tổ chức Medical Action Myanmar, do Bác sĩ Nini Tun và Bác sĩ Frank Smithuis (giáo sư tại Đại học Oxford, đồng thời là anh trai của Robin Smithuis) điều hành.
Nhấn vào đây để xem video về Medical Action Myanmar và nếu bạn thấy Radiology Assistant hữu ích, hãy ủng hộ Medical Action Myanmar bằng một món quà nhỏ.
















































