Dính khớp sọ sớm
Trong bài tổng quan này, chúng tôi sẽ thảo luận về chẩn đoán hình ảnh trong bệnh dính khớp sọ sớm.
Dính khớp sọ sớm (craniosynostosis) là tình trạng đóng sớm các đường khớp của hộp sọ, dẫn đến hình dạng đầu bất thường.
Đây là một rối loạn hiếm gặp với tỷ lệ lưu hành khoảng 1/1500.
Hầu hết các trường hợp đã xuất hiện từ giai đoạn trước sinh và sẽ được chẩn đoán trong vài tháng đầu đời.
Bệnh cũng có thể được chẩn đoán trong tử cung, tuy nhiên chẩn đoán hình ảnh trước sinh nằm ngoài phạm vi của bài viết này.
Giới thiệu
Hộp sọ bình thường
Trong vài năm đầu đời, não bộ phát triển nhanh chóng và hộp sọ cũng tăng trưởng theo.
Quá trình này đòi hỏi các đường khớp phải còn mở để cho phép sự tăng trưởng theo kiểu cốt hóa nội sụn.
Ở độ tuổi 1 năm, khoảng 65% sự tăng trưởng của hộp sọ đã hoàn thành; tốc độ tăng trưởng sau đó chậm dần và đạt khoảng 90% ở độ tuổi 5.
Hầu hết các trường hợp dính khớp sọ sớm là hậu quả của một khiếm khuyết nội tại tại đường khớp.
Dính khớp sọ sớm có thể là một phần của hội chứng bệnh lý; trong những trường hợp đó, tình trạng dính khớp thường liên quan đến nhiều đường khớp và có thể kèm theo các dị tật khác (tim mạch, thận và xương khớp).
Đánh giá lâm sàng
Trong vài thập kỷ qua, số lượng trẻ em đến khám vì hình dạng đầu bất thường ngày càng gia tăng, hiện được ghi nhận lên đến 1/5 trường hợp. Phần lớn các trường hợp là tật đầu lệch do tư thế (positional plagiocephaly) chứ không phải dính khớp sọ sớm thực sự. Tình trạng này thường liên quan đến khuyến cáo cho trẻ nằm ngửa khi ngủ nhằm phòng ngừa hội chứng đột tử ở trẻ sơ sinh.
Một bác sĩ lâm sàng có kinh nghiệm thường có thể nhận biết biểu hiện điển hình của tật đầu lệch do tư thế và phân biệt với chẩn đoán phân biệt chính là hẹp đường khớp lambda một bên (xem bên dưới).
Cha mẹ trẻ có thể được trấn an vì tình trạng này có khả năng tự giới hạn và thường hồi phục được với các hướng dẫn phù hợp.
Trong trường hợp có nghi ngờ lâm sàng cao về dính khớp sọ sớm, nên cân nhắc chuyển tuyến kịp thời đến trung tâm chuyên khoa trước khi tiến hành chẩn đoán hình ảnh (hình minh họa).
Tổng quan về dính khớp sọ
Dính một khớp và dính hai khớp vành
Trong dính khớp sọ, dị dạng hộp sọ đã hiện diện ngay từ khi sinh và sẽ tiến triển theo thời gian.
Chẩn đoán kịp thời là rất quan trọng, vì điều trị sớm hơn sẽ mang lại kết quả tốt hơn.
Trong dính một khớp và dính hai khớp vành, có thể dự đoán được hình dạng đầu đặc trưng tùy thuộc vào khớp sọ bị ảnh hưởng.
Điều này được minh họa trong hình vẽ.
Trong trường hợp tổn thương nhiều khớp, các thay đổi phức tạp hơn và không thể dự đoán dễ dàng.
Đầu lệch (Plagiocephaly)
Trong chứng đầu lệch (plagiocephaly), còn được gọi là hội chứng đầu phẳng, có hiện tượng dẹt không đối xứng ở một bên hộp sọ.
Một thể nhẹ và phổ biến của chứng đầu lệch là do trẻ nằm ngửa trong thời gian dài, như đã đề cập ở trên.
Thể này được gọi là đầu lệch do biến dạng tư thế. Không có dính khớp và tất cả các khớp sọ đều còn mở.
Thể đầu lệch do dính khớp có thể xảy ra ở phía trước do dính một khớp vành đơn độc, hoặc ở phía sau do dính khớp lambda một bên.
Chẩn đoán hình ảnh
Khi nghi ngờ có dính khớp sọ sớm, phương tiện chẩn đoán hình ảnh đầu tay sẽ là siêu âm hoặc X-quang, tùy thuộc vào kinh nghiệm và sở thích của từng cơ sở y tế.
Do không có bức xạ ion hóa, siêu âm là phương pháp được ưu tiên lựa chọn.
Trong trường hợp nghi ngờ lâm sàng cao, CT 3D liều thấp được ưu tiên hơn.
Hình ảnh minh họa siêu âm của một đường khớp bình thường, hẹp đường khớp vành một bên và hẹp đường khớp dọc giữa kèm gờ xương.
X-quang sọ cho thấy các đường khớp còn mở.
Cần lưu ý rằng X-quang có giá trị hạn chế trong việc đánh giá đường khớp dọc giữa, và tình trạng đóng khớp một phần của đường khớp này có thể bị bỏ sót.
CT 3D
Hình ảnh cho thấy các đường khớp còn mở ở một trẻ có đường khớp trán đã đóng về mặt sinh lý (mũi tên).
MRI
Cũng có thể đánh giá các đường khớp sọ bằng MRI xương đen (black bone MRI), tuy nhiên do MRI thường đòi hỏi phải gây mê, phương pháp này chủ yếu được thực hiện kết hợp khi có chỉ định đánh giá các bất thường nội sọ và các biến chứng liên quan.
Hình ảnh
MRI xương đen cho thấy đường khớp dọc giữa đã đóng (trên) và đường khớp trán đã đóng (dưới) ở hai bệnh nhân khác nhau.
Tật đầu lệch do tư thế
Tật đầu lệch do tư thế hay do biến dạng (positional/deformational plagiocephaly) là tình trạng dẹt đầu do tư thế nằm ưa thích của trẻ.
Đây không phải là tình trạng dính khớp sọ, mà là dạng biến dạng hộp sọ tạm thời phổ biến nhất.
Điển hình là toàn bộ một bên được đẩy ra phía trước, do đó tai sẽ thấy ở vị trí trước hơn so với bên đối diện (mũi tên).
Điều này trái ngược với tật đầu lệch phía sau do hẹp khớp lambda một bên, trong đó xương chũm và tai bị kéo xuống dưới và ra phía sau.
Hình vẽ minh họa sự khác biệt giữa hai tình trạng này.
Trong tật đầu lệch do tư thế, hình dạng đầu giống một hình bình hành.
Trong hẹp khớp lambda một bên, hình dạng đầu giống một hình thang, do một bên hộp sọ bị hạn chế tăng trưởng.
Đây là hình minh họa tương tự với đầy đủ các điểm khác biệt giữa tật đầu lệch do biến dạng và tật đầu lệch do hẹp khớp lambda.
LƯU Ý: Hẹp khớp vành một bên cũng sẽ dẫn đến tai bị đẩy ra phía trước – tuy nhiên, vùng dẹt sẽ ở phía trán (tật đầu lệch trước) thay vì phía chẩm, và điển hình là mắt bị kéo lên trên ở bên bị ảnh hưởng.
Hình ảnh
Tật đầu lệch do tư thế. Tai trái bị đẩy ra phía trước.
Lưu ý: Đánh giá lâm sàng đầy đủ và/hoặc siêu âm nên được thực hiện trước để tránh sự cần thiết phải chụp CT.
Dính khớp sọ đơn đường khâu
Đầu hình thuyền (Scaphocephaly)
Scaphocephaly có nghĩa là hộp sọ có hình dạng ‘con thuyền’, là hậu quả của việc đóng sớm đường khâu dọc (mũi tên).
Hộp sọ hẹp và dài.
Đây là dạng dính khớp sọ đơn đường khâu phổ biến nhất.
Đôi khi còn được gọi là dolichocephaly, vì ‘dolicho’ có nghĩa là dài.
Hình ảnh
Đầu hình thuyền: Đầu có đường kính bên-bên ngắn và đường kính trước-sau dài.
Đầu hình tam giác (Trigonocephaly)
Trigonocephaly đề cập đến hình dạng đầu hình tam giác do đóng sớm đường khâu trán (các mũi tên).
Quá trình đóng sinh lý có thể bắt đầu sớm từ ba tháng tuổi, do đó đóng sớm thường biểu hiện từ rất sớm.
Thể tích vùng đầu trán nhỏ với trán nhọn và hội chứng mắt gần nhau (hypotelorism).
Chỉ những trường hợp nặng mới cần phẫu thuật và nếu về mặt lâm sàng không có chỉ định phẫu thuật thì không cần chụp CT.
Hình ảnh
Đầu hình tam giác: Trán nhọn và hội chứng mắt gần nhau. Nhìn từ trên xuống có thể thấy bờ ngoài hốc mắt.
Đầu ngắn (Brachycephaly)
Brachycephaly là hậu quả của việc đóng sớm cả hai đường khâu vành.
Nền sọ vùng trán nhỏ với hốc mắt nông, bờ trên hốc mắt bị kéo lùi ra sau và đầu bị rút ngắn (‘brachy’) theo chiều trước-sau.
Hình ảnh
Dính khớp đường khâu vành hai bên kèm đầu ngắn.
Đầu lệch trước do dính khớp (Synostotic Anterior plagiocephaly)
Một trong hai đường khâu vành đã đóng sớm.
Vùng trán bị dẹt ở phía bên bị ảnh hưởng, hốc mắt bị kéo lên trên, còn được gọi là mắt hề (harlequin’s eye), và mũi có thể bị lệch.
Hình ảnh
Dính khớp đường khâu vành bên trái. Vùng trán trái bị kéo lùi ra sau với hốc mắt bị nâng lên.
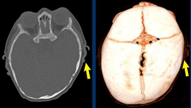
Đầu lệch sau do dính khớp (Synostotic posterior plagiocephaly)
Trong trường hợp này, đường khâu lambda đã đóng sớm.
Đây là chẩn đoán phân biệt chính với đầu lệch do tư thế (xem phần trên).
Có nguy cơ dị dạng Chiari loại 1 và nên chụp MRI não cùng khớp nối sọ-cổ.
Hình ảnh
Dính khớp đường khâu lambda bên phải.
Phình lồi vùng chẩm-đỉnh đối bên rõ ràng.
Dính khớp sọ nhiều đường khớp
Dính khớp sọ nhiều đường khớp là các dị dạng phức tạp.
Chúng thường liên quan đến các hội chứng và có nhiều đột biến gen đã được xác định.
Các hội chứng dính khớp sọ được biết đến nhiều nhất là Pfeiffer/Crouzon, Apert, Saethre-Chotzen và Muenke.
Trong những trường hợp nặng nhất, tất cả các đường khớp sẽ dần dần đóng lại.
Tình trạng ‘dính toàn bộ khớp sọ’ như vậy là một bệnh cảnh rất nghiêm trọng.
Hình ảnh
Hội chứng Saethre-Chotzen. Ở trẻ hai tháng tuổi, có hình ảnh dính khớp vành hai bên với hình dạng hộp sọ biến dạng nặng nề. Thóp được mở rộng đáng kể.
Cùng bệnh nhân như trên.
Ở ba tuổi, có hình ảnh đầu nhỏ do tình trạng gần như dính toàn bộ khớp sọ.
Lưu ý hình ảnh lỗ đỉnh hai bên giãn rộng.
Trẻ ba tháng tuổi mắc hội chứng Pfeiffer.
Có hình ảnh dính khớp vành hai bên với thóp trước và thóp chũm giãn rộng.
Sự phồng ra ở vùng thái dương tạo nên hình ảnh ba thùy, còn được gọi là ‘dị dạng đầu lá cỏ ba lá’.
Lưu ý hình ảnh giãn não thất kèm phù quanh não thất.
Biến chứng nội sọ
MRI đóng vai trò chủ đạo trong việc phát hiện các dị tật nội sọ kèm theo và các biến chứng từ dính khớp sọ đa đường khâu.
Hình ảnh
Tăng áp lực nội sọ.
TRÁI: Các vết ấn lõm trên phim X-quang sọ có độ nhạy thấp, đặc biệt ở trẻ nhỏ, nhưng khi xuất hiện, chúng rất gợi ý tình trạng tăng áp lực nội sọ.
PHẢI: Não úng thủy với dòng chảy tâm trương đảo ngược, biểu hiện của tăng áp lực nội sọ.
Các dấu hiệu có thể gợi ý tăng áp lực nội sọ được liệt kê trong bảng bên trái.
Mỗi dấu hiệu đơn lẻ không đặc hiệu, nhưng sự kết hợp của nhiều dấu hiệu cần làm tăng mức độ nghi ngờ.
Tăng áp lực nội sọ có thể dẫn đến hình thành các tuần hoàn bàng hệ tĩnh mạch, điều này có thể có ý nghĩa quan trọng trong lập kế hoạch phẫu thuật trước mổ.
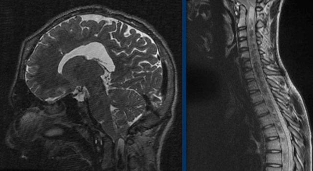
Dị tật Chiari có thể gây rỗng tủy sống.
Các hình ảnh thuộc về một bệnh nhân có tăng áp lực nội sọ.
Có hình ảnh thoát vị hạnh nhân tiểu não với tình trạng chèn ép nặng tại vùng nối sọ-cổ.
Hậu quả là hình thành ổ rỗng tủy trải dài toàn bộ chiều dài của tủy sống.
Biến chứng sau phẫu thuật
Phẫu thuật cần được thực hiện kịp thời để đạt được kết quả tối ưu.
Thời điểm phẫu thuật phụ thuộc vào dạng dị tật, nhưng thông thường ưu tiên thực hiện trước 6 tháng tuổi. Các biến chứng sau phẫu thuật bao gồm mất máu, nhiễm trùng, phù não và rò dịch não tủy.
Hình ảnh
Biến chứng trực tiếp:
TRÁI: Tràn dịch/tụ máu lớn do lò xo di chuyển.
PHẢI: Tụ máu dưới da đầu kèm mất máu nghiêm trọng.
Hình ảnh
Chảy dịch não tủy do rò dịch não tủy từ thoát vị nền trán vào hốc mũi trên sau phẫu thuật tầng giữa mặt ở bệnh nhân mắc hội chứng Apert.
Những điểm dễ nhầm lẫn
Gờ đường khớp trán (Metopic ridge)
Gờ đường khớp trán đơn thuần không đồng nghĩa với
tật đầu hình tam giác (trigonocephaly).
Trẻ thường đến khám muộn hơn, xương sọ vùng trán có thể tích bình thường và không có hiện tượng hẹp khoảng cách hai mắt (hypotelorism).
Đây là một dị dạng thường gặp có thể được chẩn đoán trên lâm sàng và không cần chẩn đoán hình ảnh.
Tương tự như tật đầu hình tam giác mức độ nhẹ, trường hợp này không cần can thiệp phẫu thuật.
Hình ảnh
Gờ đường khớp trán nhẹ ở trẻ chín tháng tuổi (mũi tên). Lưu ý rằng lần chụp này được thực hiện vì một mục đích khác.
Gờ đường khớp trán có thể được chẩn đoán trên lâm sàng và không nên chỉ định chẩn đoán hình ảnh.
Thóp trước đã đóng nhưng ngoài đường khớp trán, các đường khớp còn lại vẫn còn mở.
Thóp trước không có
Thóp trước không có không nhất thiết phải là nguyên nhân gây lo ngại.
Miễn là hộp sọ có hình dạng và chu vi bình thường, các đường khớp còn thông – tình trạng này không có ý nghĩa lâm sàng.
Hình ảnh
Xương Worm kích thước lớn chiếm toàn bộ vị trí thóp trước (xương bregma) ở trẻ sáu tháng tuổi.
Hộp sọ có hình dạng bình thường và các đường khớp còn mở. Đường khớp trán đã liền theo sinh lý.

























