Dày thành túi mật
Ngày xuất bản
Dày thành túi mật là một phát hiện tương đối thường gặp trong các nghiên cứu chẩn đoán hình ảnh.
Trước đây, túi mật có thành dày được xem là bằng chứng của bệnh lý túi mật nguyên phát, và đây là dấu hiệu đặc trưng nổi tiếng của viêm túi mật cấp.
Tuy nhiên, bản thân dấu hiệu này không đặc hiệu và có thể gặp trong nhiều bệnh lý túi mật cũng như các tình trạng bệnh lý ngoài túi mật.
Trong bài tổng quan này, chúng tôi thảo luận và minh họa các nguyên nhân khác nhau gây dày thành túi mật lan tỏa.
Nếu gặp sự cố khi in liên quan đến lề tài liệu, hãy thử điều chỉnh lề hoặc tỷ lệ tài liệu trong cài đặt in.
Giới thiệu

Túi mật căng phồng, phù nề và tăng sinh mạch trong viêm túi mật cấp do sỏi gây tắc nghẽn cổ túi mật hoặc ống túi mật.
Siêu âm, CT và MRI đều cho phép quan sát trực tiếp thành túi mật bình thường cũng như thành túi mật dày.
Theo truyền thống, siêu âm được sử dụng là kỹ thuật hình ảnh ban đầu để đánh giá bệnh nhân nghi ngờ bệnh lý túi mật, do độ nhạy cao trong phát hiện sỏi túi mật, khả năng thực hiện theo thời gian thực, tốc độ nhanh và tính cơ động [1].
Tuy nhiên, CT ngày càng được ưa chuộng trong đánh giá bụng cấp và thường là phương tiện đầu tiên phát hiện thành túi mật dày [2], hoặc có thể được sử dụng bổ sung cho siêu âm không kết luận được hoặc để phân giai đoạn bệnh.
Giá trị tiềm năng của MRI trong đánh giá bệnh lý túi mật đã được chứng minh [3], nhưng hiện tại vai trò của MRI vẫn còn hạn chế.

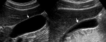
TRÁI: Siêu âm túi mật bình thường sau nhịn ăn qua đêm cho thấy thành túi mật là một đường tăng âm mỏng như bút chì (mũi tên). PHẢI: Siêu âm ở trạng thái sau ăn cho thấy hình ảnh dày thành túi mật giả.
Túi mật bình thường
Thành túi mật bình thường trên siêu âm có hình ảnh là một đường tăng âm mỏng như bút chì.
Độ dày thành túi mật phụ thuộc vào mức độ căng giãn của túi mật và hiện tượng dày thành giả có thể xảy ra ở trạng thái sau ăn.
Thành túi mật bình thường trên CT thường được nhận thấy là một viền mỏng có tỷ trọng mô mềm, ngấm thuốc cản quang sau khi tiêm.

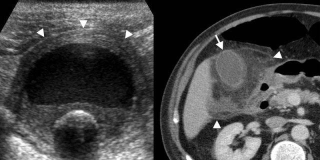
TRÁI: Siêu âm ở phụ nữ 59 tuổi bị viêm túi mật cấp cho thấy hình ảnh phân lớp của thành túi mật dày, với vùng giảm âm giữa các đường tăng âm. PHẢI: Trên CT có thuốc cản quang, túi mật thành dày chứa lớp ngoài giảm tỷ trọng (mũi tên) do phù nề dưới thanh mạc.
Thành túi mật dày
Dày thành túi mật là một phát hiện tương đối thường gặp trên các phương tiện chẩn đoán hình ảnh.
Thành túi mật được coi là dày khi đo hơn 3 mm, thường có hình ảnh phân lớp trên siêu âm [1], và trên CT thường chứa một lớp giảm tỷ trọng của phù nề dưới thanh mạc có thể nhầm lẫn với dịch quanh túi mật [2].
Chẩn đoán phân biệt dày thành túi mật
Chẩn đoán phân biệt dày thành túi mật được liệt kê ở bên trái.
Dày thành túi mật lan tỏa có thể gây khó khăn trong chẩn đoán, vì tình trạng này xảy ra ở cả bệnh nhân có triệu chứng và không có triệu chứng, cũng như ở bệnh nhân có và không có chỉ định cắt túi mật.
Dày thành túi mật lan tỏa có thể xảy ra ở những bệnh nhân không có bệnh lý túi mật nguyên phát, mà túi mật bị ảnh hưởng thứ phát do một tình trạng bệnh lý ngoại sinh.
Ở những bệnh nhân này, phẫu thuật cắt túi mật là không cần thiết, và các bất thường của túi mật thường sẽ trở về bình thường sau khi điều chỉnh nguyên nhân ngoại sinh.
Bệnh lý túi mật nguyên phát

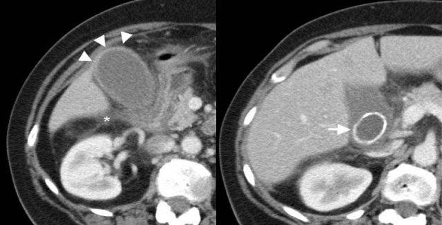
Phụ nữ 43 tuổi với viêm túi mật cấp có sỏi. CT có thuốc cản quang cho thấy túi mật căng giãn (đầu mũi tên) với thành hơi dày và thâm nhiễm mỡ quanh túi mật mờ nhạt (dấu hoa thị). Có một viên sỏi gây tắc nghẽn kẹt tại cổ túi mật (mũi tên).
Viêm túi mật cấp
Viêm túi mật cấp là nguyên nhân phổ biến thứ tư khiến bệnh nhân nhập viện vì đau bụng cấp [4], và đây là chẩn đoán hàng đầu cần nghĩ đến khi phát hiện thành túi mật dày trên hình ảnh học.
Tuy nhiên, dấu hiệu này không mang tính đặc hiệu tuyệt đối cho viêm túi mật cấp.
Các dấu hiệu hình ảnh bổ sung hỗ trợ chẩn đoán viêm túi mật cấp có sỏi bao gồm:
- Sỏi túi mật gây tắc nghẽn
- Túi mật giãn căng do ứ dịch
- Dấu hiệu Murphy dương tính trên siêu âm (tức là đau khi ấn đầu dò siêu âm trực tiếp lên vị trí túi mật)
- Viêm mỡ quanh túi mật hoặc tràn dịch quanh túi mật
- Tăng sinh mạch thành túi mật trên Doppler năng lượng.
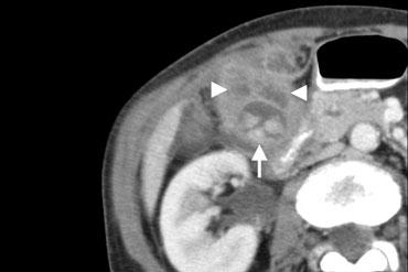
Bên trái là hình ảnh của bệnh nhân nam 62 tuổi với viêm túi mật cấp có sỏi.
Siêu âm cắt ngang tại vị trí đau tối đa cho thấy túi mật căng giãn do ứ dịch, thành dày, không thể ép xẹp (đầu mũi tên), với sỏi trong lòng túi mật và cặn lắng hoặc mảnh vụn.
CT có thuốc cản quang cho thấy viêm mỡ lan rộng (đầu mũi tên) bao quanh túi mật (mũi tên).

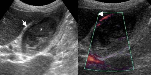
Bệnh nhân nam 74 tuổi với viêm túi mật cấp không có sỏi. TRÁI: Siêu âm tại vị trí đau tối đa cho thấy thành túi mật dày (mũi tên), lòng túi mật chứa đầy cặn lắng (dấu hoa thị) mà không có sỏi. PHẢI: Siêu âm Doppler năng lượng cho thấy tăng sinh mạch thành túi mật (đầu mũi tên), là dấu hiệu hỗ trợ chẩn đoán viêm.
Viêm túi mật không có sỏi
Viêm túi mật cấp không có sỏi chủ yếu xảy ra ở bệnh nhân nặng, được cho là do độ nhớt mật tăng cao từ việc nhịn ăn và các thuốc gây ứ mật.
Các đặc điểm hình ảnh tương tự như viêm túi mật cấp, ngoại trừ việc không có sỏi trong khi cặn lắng túi mật thường hiện diện (Hình).
Do ở bệnh nhân nặng, các bất thường túi mật thường gặp thứ phát do bệnh lý toàn thân (xem bên dưới), viêm túi mật không có sỏi có thể khó chẩn đoán [5].
Ở những bệnh nhân này, dẫn lưu túi mật qua da vừa có giá trị chẩn đoán vừa có tác dụng điều trị.

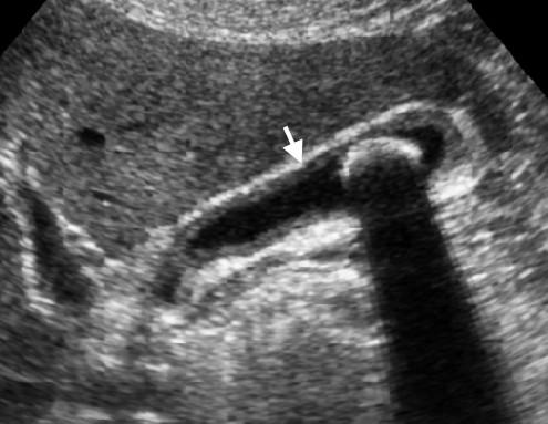
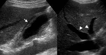
Viêm túi mật mạn. Siêu âm cắt dọc túi mật cho thấy thành hơi dày (mũi tên) và một viên sỏi trong lòng không gây tắc nghẽn.
Viêm túi mật mạn
Viêm túi mật mạn là thuật ngữ lâm sàng dùng để chỉ tình trạng sỏi túi mật có triệu chứng gây tắc nghẽn thoáng qua, dẫn đến viêm mức độ thấp kèm xơ hóa [1].
Việc đối chiếu hình ảnh túi mật có sỏi với thành hơi dày cùng bệnh sử lâm sàng là điều then chốt.
Bên trái là hình ảnh của bệnh nhân nữ 49 tuổi với viêm túi mật mạn.
Bệnh nhân này đã nhịn ăn qua đêm, do đó tình trạng dày thành không phải do túi mật co bóp sinh lý.
Việc đối chiếu các phát hiện này với bệnh sử lâm sàng của bệnh nhân — đau quặn tái phát vùng hạ sườn phải do tắc nghẽn túi mật thoáng qua — là yếu tố thiết yếu để chẩn đoán.

Viêm túi mật u hạt vàng. TRÁI: Siêu âm cho thấy thành túi mật dày rõ với các nốt giảm âm trong thành (đầu mũi tên) và sỏi trong lòng (mũi tên). PHẢI: CT có thuốc cản quang cho thấy thành túi mật biến dạng và dày, chứa các nốt giảm tỷ trọng.
Viêm túi mật u hạt vàng
Viêm túi mật u hạt vàng là một thể hiếm gặp của viêm túi mật mạn, đặc trưng bởi quá trình viêm chứa lipid tương tự như viêm thận bể thận u hạt vàng.
Hình ảnh học cho thấy thành túi mật dày rõ, thường chứa các nốt trong thành giảm âm trên siêu âm và giảm tỷ trọng trên CT, đại diện cho các ổ áp xe hoặc ổ viêm u hạt vàng.
Các đặc điểm này chồng lấp với ung thư túi mật, khiến việc phân biệt hai thực thể này trước phẫu thuật thường không thể thực hiện được [6].

Viêm túi mật u hạt vàng. Các nốt giảm tỷ trọng (đầu mũi tên) đại diện cho các ổ áp xe. Lòng túi mật chứa nhiều viên sỏi (mũi tên).
Bên trái là hình ảnh của bệnh nhân nam 71 tuổi với viêm túi mật u hạt vàng.
CT có thuốc cản quang cho thấy thành túi mật biến dạng và dày, chứa các nốt giảm tỷ trọng.
Các nốt này đại diện cho các ổ áp xe hoặc ổ viêm.
Túi mật sứ
Túi mật sứ là một rối loạn hiếm gặp trong đó viêm túi mật mạn gây ra vôi hóa thành túi mật.
Ở những bệnh nhân này, cắt túi mật dự phòng đã được khuyến nghị do mối liên quan với ung thư túi mật [4]. Tuy nhiên, mối liên quan này có vẻ không chặt chẽ.

TRÁI: Ung thư túi mật. Siêu âm cho thấy thành túi mật dày toàn bộ rõ rệt (đầu mũi tên), lấp đầy lòng túi mật. Nhiều viên sỏi túi mật (mũi tên) chỉ ra vị trí có thể của lòng túi mật đã bị lấp đầy. PHẢI: CT có thuốc cản quang cho thấy túi mật thành dày (đầu mũi tên), với khối xâm lấn khu trú vào nhu mô gan lân cận (mũi tên).
Ung thư túi mật
Ung thư túi mật là bệnh ác tính phổ biến thứ năm của đường tiêu hóa, được phát hiện tình cờ trong 1% đến 3% các mẫu bệnh phẩm cắt túi mật [4].
Bệnh thường được phát hiện ở giai đoạn muộn do thiếu các triệu chứng sớm hoặc đặc hiệu.
Ung thư túi mật có nhiều dạng hình ảnh khác nhau, từ tổn thương dạng polyp trong lòng túi mật đến khối xâm lấn thay thế toàn bộ túi mật, và cũng có thể biểu hiện dưới dạng dày thành lan tỏa.
Các phát hiện kèm theo như xâm lấn các cấu trúc lân cận, giãn đường mật thứ phát, và di căn gan hoặc hạch có thể giúp phân biệt ung thư với viêm túi mật cấp hoặc viêm túi mật u hạt vàng [2, 4].
Trong trường hợp không có các phát hiện kèm theo này, có thể không thể phân biệt ung thư với viêm túi mật u hạt vàng.

Bệnh tuyến cơ túi mật ở phụ nữ 39 tuổi. Siêu âm cho thấy thành dày kèm vôi hóa với xảo ảnh dội âm dạng ‘đuôi sao chổi’ đặc trưng (mũi tên) do các tinh thể cholesterol nhỏ trong các xoang Rokitansky-Aschoff.
Bệnh tuyến cơ túi mật
Bệnh tuyến cơ túi mật được đặc trưng bởi tăng sinh biểu mô, phì đại cơ và các túi thừa trong thành (xoang Rokitansky-Aschoff), có thể ảnh hưởng đến túi mật theo từng đoạn hoặc lan tỏa.
Đây là tình trạng lành tính không cần điều trị đặc hiệu, xuất hiện như một phát hiện tình cờ trong tới 9% các mẫu bệnh phẩm cắt túi mật [6].
Phát hiện siêu âm của các tinh thể cholesterol, biểu hiện dưới dạng xảo ảnh dội âm ‘đuôi sao chổi’ (Hình), trong thành túi mật dày gợi ý mạnh mẽ chẩn đoán này.
Khí cũng có thể tạo ra xảo ảnh tương tự, tuy nhiên bệnh nhân viêm túi mật sinh hơi thường có tình trạng nặng, trái ngược với bệnh nhân bệnh tuyến cơ túi mật.
Chụp MRI có thể phân biệt bệnh tuyến cơ túi mật với ung thư túi mật bằng cách hiển thị các xoang Rokitansky-Aschoff [7].
Tổn thương túi mật thứ phát

Nam giới 56 tuổi bị xơ gan. TRÁI: Siêu âm cho thấy dày thành túi mật (mũi tên), xung quanh có dịch cổ trướng. Lưu ý nhu mô gan xơ không đều. PHẢI: Trên CT có thuốc cản quang, thành túi mật (mũi tên) trông gần như bình thường, do phù nề dưới thanh mạc không thể phân biệt rõ với dịch cổ trướng xung quanh trên CT.
Xơ gan
Các bệnh lý toàn thân như rối loạn chức năng gan, suy tim hoặc suy thận có thể dẫn đến dày thành túi mật lan tỏa [1, 2].
Cơ chế bệnh sinh chính xác gây ra phù nề thành túi mật trong các bệnh cảnh đa dạng này vẫn chưa được xác định rõ, nhưng nhiều khả năng là do tăng áp lực tĩnh mạch cửa, tăng áp lực tĩnh mạch hệ thống, giảm áp lực thẩm thấu nội mạch, hoặc sự kết hợp của các yếu tố này.
Giảm protein máu cũng được ghi nhận là nguyên nhân gây bệnh túi mật ngoại sinh, tuy nhiên điều này vẫn còn gây tranh cãi [8].
Xơ gan, viêm gan và suy tim phải sung huyết là những nguyên nhân tương đối thường gặp.
Trường hợp bên trái là bệnh nhân bị xơ gan.
Dày thành túi mật thứ phát có thể là do tăng áp lực tĩnh mạch cửa và giảm áp lực thẩm thấu nội mạch.
Viêm gan
Bên trái là nam giới 75 tuổi bị viêm gan do thuốc.
Hình siêu âm cắt dọc của túi mật không căng giãn cho thấy dày thành lan tỏa (mũi tên), và sỏi túi mật tình cờ phát hiện có thể gây nhầm lẫn trong chẩn đoán.
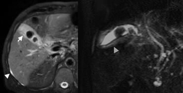
Ở cùng bệnh nhân viêm gan do thuốc, MRI được thực hiện để đánh giá đường mật do kết quả xét nghiệm chức năng gan bất thường.
Ở ngoài cùng bên trái, hình ảnh MRI chuỗi xung T2W SPIR theo mặt phẳng axial (A) cho thấy một lượng nhỏ dịch cổ trướng (đầu mũi tên), gợi ý rằng dày thành túi mật (mũi tên) có thể do nguyên nhân toàn thân ngoại sinh.
Kế bên là hình ảnh HASTE chếch để chụp MR đường mật, loại trừ sỏi ống mật chủ.
Dày thành túi mật (đầu mũi tên) cũng được thể hiện rõ.
Suy tim phải sung huyết
Bên trái là nam giới 74 tuổi bị suy tim phải sung huyết.
Siêu âm cho thấy dày thành lan tỏa của túi mật không có sỏi và không đau, kèm theo các tĩnh mạch gan (đầu mũi tên) và tĩnh mạch chủ dưới giãn lớn, là bằng chứng hỗ trợ chẩn đoán suy tim phải.

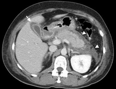
Viêm tụy ở nam giới 56 tuổi. CT có thuốc cản quang cho thấy các thay đổi viêm quanh tụy (đầu mũi tên) và dày thành túi mật (mũi tên) do tổn thương thứ phát từ quá trình viêm tụy lan rộng.
Viêm tụy
Tình trạng viêm ngoài túi mật có thể lan rộng và gây tổn thương thứ phát cho túi mật, dẫn đến dày thành, do sự lan rộng trực tiếp của ổ viêm nguyên phát, hoặc ít gặp hơn là do phản ứng miễn dịch [8].
Về lý thuyết, bất kỳ tình trạng viêm nào lan đến vùng túi mật đều có thể gây ra hiện tượng này, nhưng chỉ có một số ít được gặp thường xuyên bao gồm viêm gan, viêm tụy (Hình) và viêm bể thận.
Dày thành túi mật cũng đã được ghi nhận ở bệnh nhân mắc bệnh tăng bạch cầu đơn nhân nhiễm khuẩn [9], và ở bệnh nhân AIDS do nhiễm trùng cơ hội hoặc thâm nhiễm tân sinh thứ phát [2].
Kết luận
Dày thành túi mật lan tỏa có thể là hậu quả của một phổ rộng các tình trạng bệnh lý, bao gồm cả các bệnh lý nội khoa và ngoại khoa.
Đôi khi, việc chẩn đoán xác định bằng hình ảnh có thể là không thể thực hiện được.
Tuy nhiên, trong hầu hết các trường hợp, nguyên nhân có thể được xác định thông qua việc đối chiếu các dấu hiệu hình ảnh liên quan với biểu hiện lâm sàng.
Từ thiện
Toàn bộ lợi nhuận từ Radiology Assistant được chuyển đến tổ chức Medical Action Myanmar, do Bác sĩ Nini Tun và Bác sĩ Frank Smithuis (cha) điều hành — ông là giáo sư tại Đại học Oxford và cũng là anh trai của Robin Smithuis.
Nhấn vào đây hoặc vào hình ảnh bên dưới để xem video về Medical Action Myanmar. Nếu bạn thấy Radiology Assistant hữu ích, xin hãy ủng hộ Medical Action Myanmar bằng một món quà nhỏ.







