Đau dây thần kinh sinh ba
Giới thiệu
Bệnh lý của dây thần kinh sinh ba có liên quan đến vị trí giải phẫu.
Trong hình minh họa, năm đoạn khác nhau của dây thần kinh sinh ba được trình bày, và sẽ được thảo luận chi tiết hơn trong các chương tiếp theo.
Thân não: nhân dây thần kinh sinh ba
- Mất myelin: Xơ cứng rải rác (MS)
- Tân sinh: di căn, u thần kinh đệm (glioma)
- Mạch máu: u hang (cavernoma), nhồi máu, dị dạng động tĩnh mạch (AVM)
- Nhiễm trùng: viêm não sau (rhombencephalitis)
Đoạn bể dịch não tủy
- Chèn ép mạch máu-thần kinh
- Tân sinh: u bao thần kinh (schwannoma), u màng não (meningioma), u bì dạng thượng bì (epidermoïd), lan theo bao thần kinh (perineural spread)
- Nhiễm trùng/viêm: viêm thần kinh (neuritis), viêm màng não (meningitis), viêm đỉnh xương đá (apicitis)
Hang Meckel
- Tân sinh: u bao thần kinh, u màng não, u bì dạng thượng bì, lan theo bao thần kinh, tổn thương nền sọ.
Đoạn xoang hang
- Tân sinh: u bao thần kinh, u màng não, di căn, lan theo bao thần kinh, tổn thương nền sọ
- Mạch máu: phình động mạch (aneurysm)
- Nhiễm trùng/viêm: hội chứng Tolosa-Hunt
Đoạn ngoại vi
- Tân sinh: lan theo bao thần kinh, u bao thần kinh, u sợi thần kinh (neurofibroma)
- Nhiễm trùng/viêm: vùng mũi xoang
Đoạn thân não
Bệnh lý tại đoạn thân não thường gặp nhất là do mất myelin trong bệnh xơ cứng rải rác.
Các loại bệnh lý khác tại đoạn thân não bao gồm u tân sinh (chủ yếu là u thần kinh đệm và di căn), tổn thương mạch máu (nhồi máu, u hang) và nhiễm trùng (viêm não sau).
Dây thần kinh sinh ba xuất phát từ hai nhân riêng biệt trong cầu não: nhánh cảm giác từ nhân cảm giác (chấm xanh) và nhánh vận động từ nhân vận động (chấm đỏ).
Phần đầu tiên này được gọi là đoạn thân não.
Từ các nhân này, dây thần kinh sinh ba đi theo hướng ra trước, đến mặt bụng-bên của cầu não để tiếp nối với đoạn bể dịch não tủy trong bể trước cầu não.
Dây thần kinh sinh ba là dây thần kinh sọ lớn nhất trong tất cả các dây thần kinh sọ.
Nó bao gồm một nhánh cảm giác và một nhánh vận động.
Nhánh cảm giác – là nhánh lớn hơn trong hai nhánh – chi phối cảm giác toàn bộ vùng mặt.
Nhánh vận động nhỏ hơn chi phối:
- Cơ nhai
- Cơ thái dương
- Các cơ chân bướm
- Cơ hàm móng
- Bụng trước cơ nhị thân
- Cơ căng màn hầu
- Cơ căng màng nhĩ
Nhân cảm giác nằm ở phía bên trong vùng mái, phía trước-bên so với não thất bốn (chấm xanh).
Nhân vận động nằm ở phía trước-trong so với nhân cảm giác (chấm đỏ).
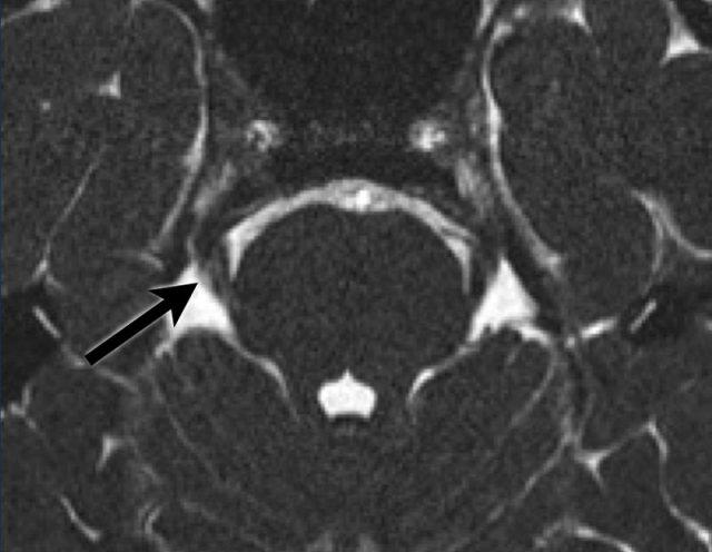
Hình ảnh này của bệnh nhân nam 26 tuổi có biểu hiện giảm cảm giác vùng mặt bên phải tiến triển chậm.
Hình ảnh chuỗi xung T2W theo mặt phẳng axial cho thấy một tổn thương tăng tín hiệu tại nhân dây thần kinh sinh ba (mũi tên).
Đây có thể là dấu hiệu của tình trạng mất myelin, chẳng hạn như trong bệnh xơ cứng rải rác.
Đoạn bể dịch não tủy
Đoạn bể dịch não tủy – hầu như không có ngoại lệ – là nguồn gốc của chứng đau dây thần kinh sinh ba thực sự do chèn ép mạch máu-thần kinh.
Các nguyên nhân bệnh lý khác tại đoạn bể dịch não tủy gây bệnh lý thần kinh sinh ba ít gặp hơn nhiều, bao gồm các khối u tân sinh, chủ yếu là u schwannoma, u màng não (meningioma) và u bì dạng thượng bì (epidermoid).
Ngoài ra, đoạn bể dịch não tủy có thể bị ảnh hưởng bởi nhiễm trùng hoặc viêm, chẳng hạn như viêm thần kinh sinh ba (trigeminal neuritis).
Chèn ép mạch máu-thần kinh
Chèn ép mạch máu-thần kinh được xác định dựa trên các tiêu chí hình ảnh học đặc hiệu:
- Mạch máu liên quan hầu như luôn là động mạch
- Thần kinh và mạch máu chạy vuông góc với nhau
- Mạch máu gây hiệu ứng khối lên thần kinh
- Điểm tiếp xúc giữa mạch máu và thần kinh xảy ra tại vùng vào rễ thần kinh (root entry zone).
Chèn ép mạch máu-thần kinh của dây thần kinh sinh ba thường do tiếp xúc với động mạch tiểu não trên (SCA) hoặc ít thường gặp hơn là động mạch tiểu não trước dưới (AICA), hoặc các nhánh nhỏ hơn của động mạch thân nền.
Chỉ có một số ít trường hợp được báo cáo trong đó chèn ép mạch máu-thần kinh do tiếp xúc với phình động mạch, giãn xoắn động mạch đốt sống-thân nền (vertebrobasilar dolichoectasia), dị dạng thông động-tĩnh mạch (AVM), rò động-tĩnh mạch (AV-fistula) hoặc thậm chí là tĩnh mạch.
Vùng vào rễ thần kinh
Đoạn bể dịch não tủy bắt đầu từ nơi dây thần kinh sinh ba đi vào bể trước cầu não.
Vị trí này được gọi là vùng vào rễ thần kinh.
Vùng vào rễ thần kinh bao gồm vùng chuyển tiếp từ myelin trung ương (tế bào thần kinh đệm ít nhánh – oligodendrocytes) sang myelin ngoại vi (tế bào Schwann).
Vùng chuyển tiếp này dài khoảng 2 mm và nằm cách bề mặt cầu não khoảng 5-7 mm.
Tại vị trí này, thần kinh dễ bị tổn thương do áp lực.
Trong bể trước cầu não, các bó cảm giác và vận động có đường đi song song nhưng tách biệt nhau, tạo nên hình ảnh đặc trưng dạng quạt (mũi tên).
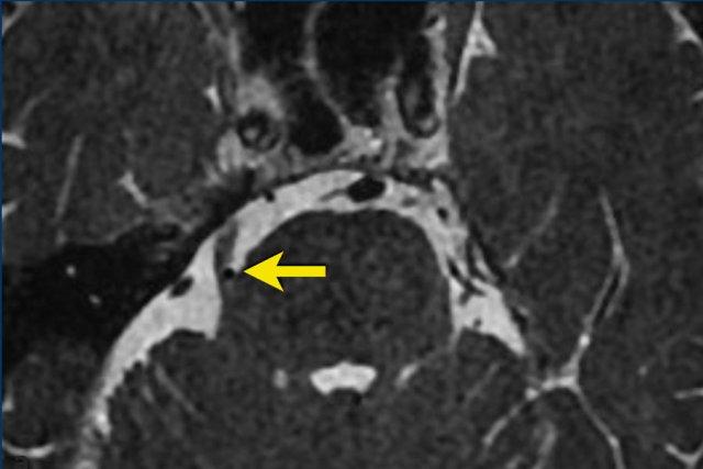
Bệnh nhân nam 74 tuổi có tiền sử đau kiểu “điện giật 220V” tại vùng lông mày phải, má và hàm dưới.
Các triệu chứng này được khởi phát khi rửa mặt và đánh răng.
Hãy xem lần lượt các ảnh cắt ngang 3D FIESTA và ảnh cắt ngang 3D T1W sau tiêm thuốc tương phản từ. Sau đó tiếp tục đọc.
Cả hai chuỗi ảnh cắt ngang 3D FIESTA và 3D T1W sau tiêm thuốc tương phản từ đều cho thấy:
- Mối liên hệ mật thiết giữa dây thần kinh sinh ba bên phải (mũi tên) và động mạch tiểu não trên (mũi tên đứt nét)
- Vị trí tại vùng vào rễ thần kinh
- Thần kinh và mạch máu chạy vuông góc với nhau
- Thần kinh bị đẩy lệch về phía bên
Các phát hiện này đáp ứng đầy đủ tiêu chí chẩn đoán chèn ép mạch máu-thần kinh.
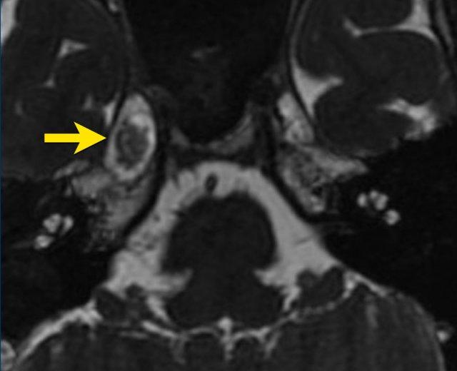
Các hình ảnh này thuộc về bệnh nhân nam 49 tuổi với biểu hiện rối loạn cảm giác nửa mặt trái và cảm giác tức nặng sau mắt trái.
Chuỗi xung T2W cắt ngang cho thấy một tổn thương tại hang Meckel và đoạn bể dịch não tủy của dây thần kinh sinh ba. Thành phần trong hang Meckel có cấu trúc đặc và ngấm thuốc tương phản từ đồng nhất trên ảnh T1W sau tiêm (mũi tên).
Thành phần trong bể góc cầu tiểu não gần như hoàn toàn dạng nang và chỉ ngấm thuốc ở vỏ nang.
Tổn thương được chẩn đoán là u schwannoma thần kinh sinh ba.
Sự phát triển của tổn thương dọc theo thần kinh, gây thắt hẹp tại lối vào hang Meckel, tạo nên hình ảnh kinh điển dạng “quả tạ” (dumbbell shape).
Đoạn hang Meckel
Bệnh lý tại hang Meckel gây ra bệnh lý thần kinh sinh ba chủ yếu liên quan đến các khối u, bao gồm u nguyên phát, u thứ phát hoặc u ngoại lai.
Các tổn thương nguyên phát, xuất phát từ bản thân dây thần kinh, thường gặp nhất là u bao thần kinh (schwannoma), u màng não (meningioma) và u bì thượng bì (epidermoid).
Các khối u thứ phát – xâm lấn dây thần kinh nhưng không xuất phát từ nó – chủ yếu dựa trên cơ chế lan theo bao thần kinh (perineural spread). Sự lan rộng này có thể theo chiều ngược (từ các nhánh ngoại vi) hoặc chiều xuôi (từ đoạn bể dịch não tủy).
Các tổn thương ngoại lai chủ yếu xuất phát từ nền sọ.
Sau khi đi qua các bể góc cầu tiểu não và bể trước cầu não, dây thần kinh sinh ba đi vào hang Meckel, tạo thành đoạn thứ ba.
Trong hang Meckel có hạch sinh ba, còn được gọi là hạch Gasser hay hạch bán nguyệt.
Tại hạch, phần cảm giác của dây thần kinh sinh ba chia thành ba nhánh:
- Dây thần kinh mắt (nV1)
- Dây thần kinh hàm trên (nV2)
- Dây thần kinh hàm dưới (nV3)
Phần vận động không đi qua hạch mà đi bên dưới hạch. Cùng với nV3, phần vận động rời khỏi khoang nội sọ qua lỗ bầu dục (foramen ovale).
Bệnh nhân nữ 45 tuổi với tiền sử đau vùng hàm dưới bên phải, đã được giảm đau sau khi nhổ nhiều răng.
Tuy nhiên, trong vòng một tháng gần đây, bệnh nhân lại xuất hiện cơn đau tương tự. Cơn đau có tính chất sắc bén, lan từ vùng cằm, dọc theo bên phải của mặt lên đến đầu. Cơn đau được khởi phát khi nói chuyện, ăn uống và chạm vào bên phải của mặt.
Hình ảnh
Chuỗi xung 3D FIESTA cho thấy một tổn thương tại hang Meckel, tăng tín hiệu trên DWI, giảm tín hiệu trên ADC (không hiển thị), lan rộng vào đoạn bể dịch não tủy.
Tổn thương này nghi ngờ là u bì thượng bì (epidermoid).
Đoạn xoang hang
Các tổn thương nguyên phát xuất phát từ chính đoạn xoang hang là khá hiếm gặp.
Những tổn thương này – chủ yếu là u schwann, u màng não và u bì – thường có nguồn gốc từ đoạn thứ ba, lan rộng vào xoang hang.
Các tổn thương dây thần kinh sinh ba tại đoạn xoang hang phần lớn là thứ phát do lan theo bao thần kinh hoặc do di căn.
Ngoài ra, bệnh lý của đoạn xoang hang có thể do các tổn thương ngoại lai, chẳng hạn như các tổn thương xuất phát từ nền sọ, màng não hoặc các cấu trúc mạch máu, ví dụ như phình động mạch cảnh.
Hơn nữa, đoạn xoang hang có thể bị ảnh hưởng bởi bệnh lý nhiễm trùng hoặc viêm, chẳng hạn như hội chứng Tolosa-Hunt, biểu hiện bằng đau đầu quanh hốc mắt một bên dữ dội kèm theo hạn chế vận nhãn đau đớn.
Hai nhánh đầu tiên của dây thần kinh sinh ba – dây thần kinh mắt và dây thần kinh hàm trên – tiếp tục hành trình từ hang Meckel vào xoang hang.
Đường đi của dây thần kinh mắt khá dài và đi dọc theo thành bên của xoang.
Đường đi của dây thần kinh hàm trên ngắn hơn nhiều và đi dọc theo bờ dưới.
Một số tài liệu thậm chí còn cho rằng dây thần kinh hàm trên không đi xuyên qua xoang mà đi bên dưới xoang.
Bệnh nhân nữ 67 tuổi có tiền sử ung thư vú với di căn xương và gan. Bệnh nhân nhập viện với triệu chứng tê bì nửa mặt trái.
Hình ảnh FLAIR 2D axial cho thấy xoang hang không đối xứng, với dày màng cứng bên trái.
Hình ảnh sau tiêm thuốc tương phản từ cho thấy tăng ngấm thuốc ở xoang hang bên trái, lan rộng vào hang Meckel.
Hình ảnh nghi ngờ di căn của ung thư biểu mô tuyến vú.
Nhánh ngoại vi
Bệnh lý của các nhánh ngoại vi dây thần kinh sinh ba chủ yếu liên quan đến sự lan rộng quanh thần kinh từ các khối ác tính vùng đầu cổ.
Do cấu trúc phân nhánh phức tạp, dây thần kinh sinh ba đặc biệt dễ bị tổn thương theo cơ chế này. Sự lan rộng quanh thần kinh có thể được nhận biết qua hình ảnh dày và ngấm thuốc của dây thần kinh, chủ yếu – nhưng không phải duy nhất – theo hướng ngược chiều.
Ngoài ra, các nhánh ngoại vi có thể là vị trí xuất phát của các u nguyên phát, chủ yếu là u bao thần kinh (schwannoma) hoặc u sợi thần kinh (neurofibroma).
Hơn nữa, các nhánh ngoại vi có thể bị ảnh hưởng bởi các quá trình nhiễm trùng hoặc viêm, chủ yếu là viêm thần kinh có nguồn gốc từ các xoang cạnh mũi.
Dây thần kinh mắt (nhánh V1)
Nhánh V1 rời xoang hang qua khe ổ mắt trên và đi vào hốc mắt. Tại đây, nó phân chia thành ba nhánh nhỏ hơn. Nhánh chính tiếp tục hành trình qua lỗ trên ổ mắt để tạo thành dây thần kinh trên ổ mắt.
Dây thần kinh hàm trên (nhánh V2)
Nhánh V2 rời xoang hang qua lỗ tròn và đi vào hố chân bướm khẩu cái. Tại đây, dây thần kinh phân chia thành bốn nhánh nhỏ hơn. Nhánh chính tiếp tục đi qua lỗ dưới ổ mắt vào hốc mắt và qua ống dưới ổ mắt vào mặt để tạo thành dây thần kinh dưới ổ mắt.
Dây thần kinh hàm dưới (nhánh V3)
Nhánh V3 không đi qua xoang hang. Thay vào đó, nó rời hang Meckel – cùng với phần vận động – qua lỗ bầu dục và đi vào hố thái dương dưới. Tại đây, nó phân chia thành bốn nhánh nhỏ hơn.
Nhánh chính – dây thần kinh huyệt răng dưới – tiếp tục hành trình qua lỗ hàm dưới vào xương hàm dưới, rồi qua ống hàm dưới và lỗ cằm vào mặt để tạo thành dây thần kinh cằm. Sau khi vào hố thái dương dưới, phần vận động phân chia thành hai nhánh nhỏ hơn: dây thần kinh nhai và dây thần kinh hàm móng.
Bệnh nhân nam 70 tuổi có tiền sử u hắc tố (melanoma) và đã được khoét bỏ hốc mắt. Gần đây, bệnh nhân xuất hiện cảm giác ngứa ran và tê bì ở nửa mặt trái. Các triệu chứng này không thể gây ra theo ý muốn và đáp ứng tốt với thuốc giảm đau.
Hãy duyệt qua các ảnh chuỗi xung T1W 3D sau tiêm thuốc tương phản từ theo mặt phẳng axial và coronal, sau đó tiếp tục đọc.
Hình ảnh chuỗi xung T1W 3D sau tiêm thuốc tương phản từ theo mặt phẳng axial và coronal cho thấy hình ảnh dày và ngấm thuốc của nhánh V1 tại khe ổ mắt trên (a và b, mũi tên), nhánh V2 tại lỗ tròn (a và b, mũi tên đứt nét), và nhánh V3 tại lỗ bầu dục (c và d, mũi tên).
Các bất thường này gợi ý hình ảnh lan rộng quanh thần kinh của u hắc tố.
Nhấp vào hình ảnh bên dưới và xem video của tổ chức Medical Action Myanmar do Bác sĩ Frank Smithuis – anh trai của Robin Smithuis – thực hiện.
Nếu bạn thấy the Radiology Assistant hữu ích, hãy ủng hộ cho tổ chức Medical Action Myanmar.


















