Cơ chế gãy cổ chân và X-quang
Cổ chân là khớp bị chấn thương thường gặp nhất.
Các quyết định xử trí được dựa trên việc đọc phim X-quang tư thế thẳng (AP) và tư thế nghiêng.
Trong bài viết này, chúng tôi sẽ tập trung vào:
- Cơ chế chấn thương của các tổn thương cổ chân
- Quy tắc Ottawa về cổ chân
- Tư thế chụp X-quang cổ chân đúng kỹ thuật
Cơ chế chấn thương trong gãy xương cổ chân
Độ linh hoạt bình thường của khớp cổ chân
Khớp cổ chân cần có độ linh hoạt nhất định để chịu đựng những lực tác động khổng lồ lên xương sên trong khung cổ chân.
Phía trong của khớp khá vững chắc vì mắt cá trong – khác với mắt cá ngoài – được gắn liền với xương chày và các dây chằng bên trong rất chắc khỏe.
Các tư thế dễ tổn thương của bàn chân
Có hai tư thế của bàn chân khiến khớp cổ chân vốn linh hoạt trở thành một hệ thống cứng nhắc và dễ bị tổn thương: sấp quá mức và ngửa quá mức.
Trong các tư thế này, lực tác động lên xương sên trong khung cổ chân có thể gây gãy các mắt cá và đứt dây chằng.
Trong 80% các trường hợp gãy xương cổ chân, bàn chân ở tư thế ngửa (supination).
Tổn thương bắt đầu từ phía ngoài, vì đây là nơi chịu lực căng tối đa.
Trong 20% các trường hợp gãy xương, bàn chân ở tư thế sấp (pronation) với lực căng tối đa ở phía trong.
Tổn thương bắt đầu từ phía trong với biểu hiện hoặc là đứt dây chằng bên trong hoặc là gãy bong mắt cá trong.
Gãy xương do lực kéo hoặc lực đẩy
Sự vững chắc của khớp
Khớp cổ chân có thể được hình dung như một vòng khép kín, trong đó cả xương lẫn dây chằng đều đóng vai trò quan trọng như nhau trong việc duy trì sự vững chắc của khớp.
Nếu vòng bị gãy ở một điểm, vòng vẫn còn vững chắc.
Khi vòng bị gãy ở hai điểm, vòng trở nên mất vững và có thể bị trật khớp.
Bất kỳ ai cũng có thể nhận ra rằng khớp cổ chân sẽ mất vững khi cả mắt cá trong lẫn mắt cá ngoài đều bị gãy.
Vấn đề trở nên phức tạp hơn khi có sự kết hợp giữa gãy xương và đứt dây chằng, vì tổn thương dây chằng không thể phát hiện được trên phim X-quang.
Trong một số trường hợp gãy xương, có thể có gãy xương mác đoạn gần – không nhìn thấy trên phim X-quang cổ chân – kết hợp với đứt dây chằng ở mức khớp cổ chân.
Điều quan trọng cần nhận thức là trong những trường hợp này, phim X-quang cổ chân có thể hoàn toàn bình thường, trong khi vẫn tồn tại tổn thương cổ chân mất vững.
Radiography
Mortise view
Khảo sát X-quang cơ bản của cổ chân bị chấn thương bao gồm tư thế thẳng (AP), tư thế Mortise và tư thế nghiêng.
Tư thế Mortise là tư thế AP được chụp với bàn chân xoay trong 15-25°.
Kỹ thuật viên xoay bàn chân vào trong cho đến khi mắt cá ngoài ngang bằng với mắt cá trong.
Tư thế này giúp quan sát rõ cả khe khớp bên ngoài lẫn khe khớp bên trong.
Trên tư thế AP thực sự, xương sên chồng lên một phần mắt cá ngoài, che khuất mặt bên ngoài của khớp cổ chân.
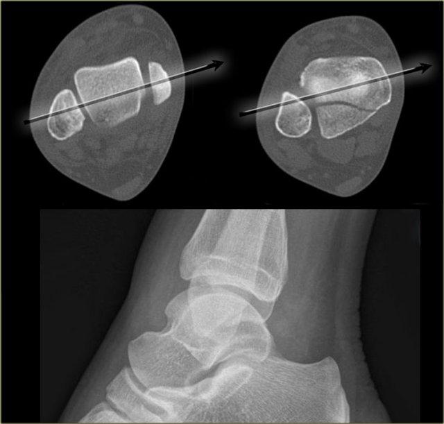
Lateral view
Nhiều người cho rằng để có hình ảnh bên tốt, xương mác xa phải nằm ở trung tâm của xương chày xa.
Tuy nhiên, do xương mác nằm ở phía sau nhiều hơn, xương mác phải chiếu lên phần sau của xương chày xa (mũi tên).
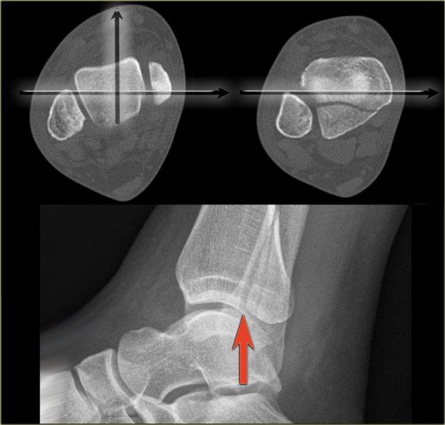
Malpositioning of the Lateral view
Định vị sai tư thế chụp nghiêng là lỗi phổ biến nhất trong chụp X-quang mắt cá chân bị chấn thương.
Vì bệnh nhân đang đau, kỹ thuật viên ngại để bệnh nhân xoay mắt cá chân hoàn toàn sang tư thế nghiêng.
Đây là một trong những lý do tại sao chúng ta bỏ sót rất nhiều gãy xương mắt cá sau.
CT cho thấy một gãy xương tertius lớn.
Trên phim chụp nghiêng và cả trên phim chụp thẳng AP và phim chụp Mortise, sẽ được trình bày trong phần về gãy xương tertius, gãy xương này không thể nhìn thấy được.
Giải thích là trên phim chụp X-quang nghiêng, xương mác chiếu vào giữa xương chày.
Chùm tia X không song song với đường gãy.
Vì đường gãy của gãy xương tertius luôn có hướng này, chúng ta phải nhấn mạnh tầm quan trọng của phim chụp nghiêng thực sự.
Trên hình chụp nghiêng được định vị tốt, gãy xương tertius hiện rõ ràng (mũi tên đỏ).
Đây là gãy xương duy nhất được phát hiện trên phim X-quang cổ chân, và bệnh nhân này được xác định có gãy xương Weber-C không ổn định và phải phẫu thuật.
Chùm tia X phải được căn giữa vào các mắt cá chân.
Lưu ý sự xoay ngoài của bàn chân để có được hình ảnh nghiêng đúng chuẩn.
Video về các chấn thương cổ chân nặng
Lực tác động trong các chấn thương cổ chân có thể rất lớn.
Như đã được thảo luận trong Gãy xương cổ chân 1, các tổn thương thường xảy ra theo một trình tự hợp lý.
Bắt đầu phát video bên trái bằng cách nhấp vào hình ảnh.
Lưu ý rằng ban đầu bàn chân ở tư thế ngửa (supination) với lực tác động tối đa lên phía bên ngoài.
Tiếp theo, bàn chân khép vào trong (adduction).
Kết quả là gãy xương kiểu SA hoặc Weber A.
Có thể xác định đây là chấn thương Supination Adduction theo phân loại Lauge-Hansen giai đoạn 2.
Bắt đầu phát video bên trái bằng cách nhấp vào hình ảnh.
Lưu ý rằng ban đầu bàn chân ở tư thế sấp (pronation), với lực tác động tối đa lên phía trong.
Tiếp theo, bàn chân xoay ra ngoài (exorotation).
Kết quả là chấn thương PER – pronation exorotation (sấp – xoay ngoài) hay còn gọi là gãy xương Weber C.
Từ thiện
Toàn bộ lợi nhuận từ Radiology Assistant được chuyển đến tổ chức Medical Action Myanmar, do Bác sĩ Nini Tun và Bác sĩ Frank Smithuis (cha) điều hành – ông là Giáo sư tại Đại học Oxford và cũng là anh trai của Robin Smithuis.
Nhấp vào đây hoặc vào hình ảnh bên dưới để xem video về Medical Action Myanmar, và nếu bạn thấy Radiology Assistant hữu ích, xin hãy ủng hộ Medical Action Myanmar bằng một món quà nhỏ.










