Chấn thương gân kheo
Chẩn đoán chấn thương gân kheo chủ yếu dựa vào lâm sàng và tương đối rõ ràng.
Vai trò của MRI không phải là xác định có hay không có chấn thương, mà là xác định tổn thương là rách một phần hay rách toàn bộ chiều dày.
Rách toàn bộ chiều dày thường là chấn thương ở phần gân tự do hoặc tại điểm bám của gân vào ụ ngồi.
Đối với các chấn thương này, vấn đề đặt ra là liệu có cần phẫu thuật phục hồi hay không.
Rách một phần chiều dày thường xảy ra tại vùng nối cơ-gân hoặc nối cơ-mạc cơ.
Các chấn thương này thường không cần phẫu thuật. Mục tiêu của chẩn đoán hình ảnh là xác định tiên lượng và hướng dẫn quá trình phục hồi chức năng.
Giới thiệu
Giải phẫu
Cơ nhị đầu đùi
Cơ nhị đầu đùi có hai đầu.
Đầu dài xuất phát từ ụ ngồi, trong khi đầu ngắn xuất phát từ đường ráp (linea aspera) ở mặt sau xương đùi.
Gân chung của hai đầu có thể sờ thấy ở phía ngoài vùng khoeo và bám tận vào chỏm xương mác.
Cơ bán gân
Cơ bán gân là cơ có phần gân chiếm ưu thế, nằm ở phía trong so với cơ nhị đầu đùi và che phủ phần lớn cơ bán màng.
Cơ bán màng
Cơ bán màng có hình dẹt và rộng, nằm bên dưới cơ bán gân.
Hình ảnh giải phẫu được minh họa trên ảnh MRI mặt phẳng coronal.
Điểm bám của cơ bán gân (2) vào nguyên ủy gân kheo có một phần là mô cơ.
Gân tự do bám vào ụ ngồi và không có sợi cơ nào bám vào nó.
Ranh giới giữa gân và các sợi cơ được gọi là chỗ nối cơ-gân (musculotendinous junction).
Phần gân có các sợi cơ bám vào được gọi là gân trong cơ (intramuscular tendon).
Bản thân cơ được bao bọc bởi mạc cơ (fascia).
Các cơ gân kheo bám tận vào vùng trên của ụ ngồi.
Trên hình ảnh nhìn từ phía sau, có thể thấy gân cơ bán màng bám vào phía ngoài trong khi thân cơ lại nằm ở phía trong.
Gân chung của cơ nhị đầu đùi và cơ bán gân bám vào diện trong (medial facet).
Các hương vị kem (xem thêm dấu hiệu kem rơi trong tổn thương toàn bộ chiều dày) có thể dùng làm gợi nhớ để xác định gân nào bị tổn thương:
Caramel – Gân Chung – phía trong (Conjoint medial)
Stracciatella – Cơ Bán Màng (Semimembranosus) – phía ngoài (lateral)
Mẫu bệnh phẩm giải phẫu bệnh
Đây là hình ảnh nhìn từ phía sau của mẫu bệnh phẩm phức hợp gân kheo gần bên phải sau khi đã lấy bỏ cơ mông.
Cơ nhị đầu đùi và cơ bán gân bám vào ụ ngồi thông qua gân chung, gân này có kết nối nông với dây chằng cùng-ụ ngồi (sacrotuberous ligament – STL). Khi các gân bị bật khỏi ụ ngồi nhưng kết nối với dây chằng này vẫn còn nguyên vẹn, dây chằng cùng-ụ ngồi có thể đóng vai trò như một “dây cứu sinh” giúp ngăn gân bị co rút.
Lưu ý rằng cơ bán gân cũng có các sợi cơ bám trực tiếp vào ụ ngồi.
Gân cơ bán màng chạy bên dưới gân chung và bám vào phía ngoài hơn trên ụ ngồi.
Trong hình này, cơ bán gân và cơ nhị đầu đùi được kéo sang một bên để quan sát rõ hơn cơ và gân bán màng.
Lưu ý rằng gân cơ bán màng bám vào phía ngoài so với gân chung.
Dây thần kinh tọa nằm rất gần với điểm bám gân kheo gần, cách khoảng một centimet về phía ngoài.
Trên ảnh MRI mặt phẳng axial này, hãy chú ý kết nối dạng cân (aponeurotic) giữa dây chằng cùng-ụ ngồi và phần nông của gân chung.
Trong một số trường hợp, các gân có thể bị bật khỏi ụ ngồi trong khi kết nối này vẫn còn nguyên vẹn. Trong những trường hợp như vậy, sẽ không có hiện tượng co rút gân và thường không cần can thiệp phẫu thuật.
Phân loại chấn thương cơ theo Điền kinh Anh quốc (BAMIC)
BAMIC là hệ thống phân loại được sử dụng phổ biến nhất cho các chấn thương gân kheo.
Độ 0-3 là các tổn thương không toàn bộ chiều dày (partial thickness).
Hậu tố bổ sung ‘a’, ‘b’ hoặc ‘c’ chỉ ra vị trí của tổn thương không toàn bộ chiều dày:
- a – tổn thương cơ-mạc (myofascial)
- b – tổn thương chỗ nối cơ-gân (musculo-tendinous)
- c – tổn thương trong gân (intratendinous)
Độ 4 là rách toàn bộ chiều dày (full thickness) có hoặc không có co rút gân.
Tổn thương không toàn bộ chiều dày (độ 0-3)
Tổn thương không toàn bộ chiều dày (độ 0-3) thường liên quan đến chỗ nối cơ-gân, có hoặc không có hiện tượng gợn sóng của gân trong cơ.
Đôi khi vùng cơ bám vào mạc cơ cũng bị tổn thương. Đây được gọi là tổn thương cơ-mạc (myofascial) hay tổn thương ngoại mạc cơ (epimysial).
Tổn thương toàn bộ chiều dày (độ 4)
Ở bệnh nhân trẻ, đây có thể là bong sụn tiếp hợp (apophysiolysis) của ụ ngồi.
Ở người trưởng thành, tổn thương có thể là bật gân (tendon avulsion) hoặc rách gân tự do.
Các yếu tố ảnh hưởng đến quyết định điều trị và là một phần của kế hoạch tiền phẫu bao gồm:
- Gân nào bị tổn thương
- Chiều dài co rút của gân bị bật
- Teo cơ hoặc thâm nhiễm mỡ
- Hình thái dây thần kinh tọa
- Tiếp xúc của dây thần kinh tọa với mô sẹo quanh thần kinh
Báo cáo MRI
Có nhiều quan tâm và tranh luận về việc các phát hiện trên MRI có thể hỗ trợ như thế nào trong việc tiên lượng bệnh, theo dõi tiến trình phục hồi chức năng và đưa ra quyết định cho phép trở lại thi đấu. Điều này đặc biệt quan trọng đối với các tổn thương không toàn bộ chiều dày.
Do đó, tất cả các điểm trong báo cáo MRI ở bên trái đều được ghi nhận (với sự chú ý đặc biệt đến chiều dài phù nề và mức độ biến dạng), mặc dù vẫn chưa rõ phát hiện nào là tốt nhất trong việc tiên lượng bệnh.
Tổn thương bán phần
Đại đa số các tổn thương bán phần gân cơ hamstring xảy ra tại vùng nối cơ-gân (MTJ), nơi lực được truyền từ các sợi cơ sang các sợi của gân trong cơ. Các tổn thương này thường gặp khi vận động viên với tay ra sau đùi trong lúc chạy nước rút.
Các tổn thương này có thể xảy ra kèm hoặc không kèm theo tổn thương gân trong cơ đồng thời.
Tổn thương gân cơ hamstring bán phần được điều trị bảo tồn bằng chương trình phục hồi chức năng theo từng giai đoạn.
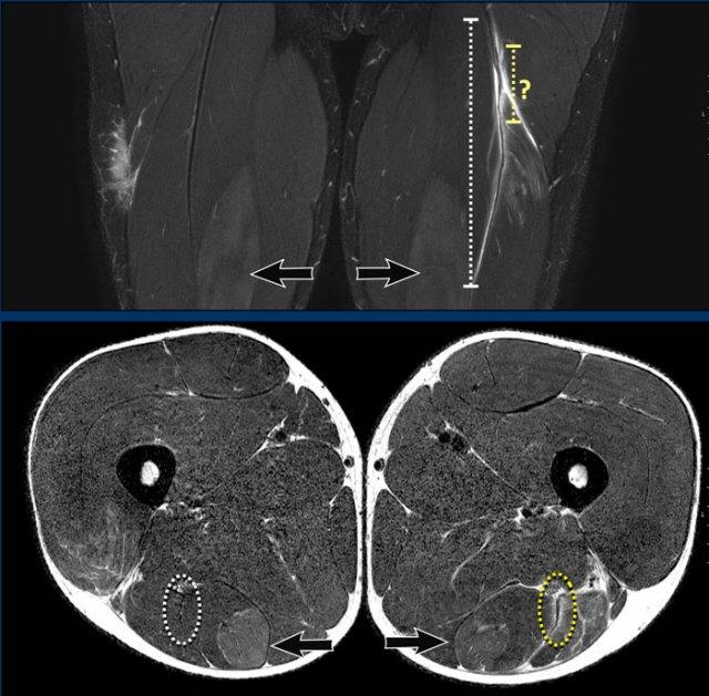
Chiều dài vùng phù nề
Sự hiện diện của phù nề có thể được sử dụng để xác định vị trí tổn thương.
Phù nề thường biểu hiện dưới dạng tăng tín hiệu hình lông vũ bao quanh gân trong cơ và các bó cơ.
Tổng chiều dài vùng phù nề được ghi nhận (đường chấm trắng). Hãy quan sát kỹ hơn phần gân (đường chấm vàng) và tiếp tục đọc.
Chiều dài đoạn gân biến dạng
Khi gân có hình thái bình thường, khả năng căng giãn ở mức độ thấp.
Gân dày lên, gân có dạng gợn sóng, tăng tín hiệu trong gân đều có thể là dấu hiệu của căng giãn mức độ cao hơn.
Trường hợp 1: gân bình thường.
Trường hợp 2: gân hơi dày và có dạng gợn sóng nhẹ trên một đoạn ngắn.
Trường hợp 3: gân dày rõ rệt và có dạng gợn sóng rõ.
Tất cả các dấu hiệu này cần được mô tả trong báo cáo.
Tổng chiều dài đoạn gân biến dạng được ghi nhận.
Mặt phẳng coronal so với mặt phẳng axial
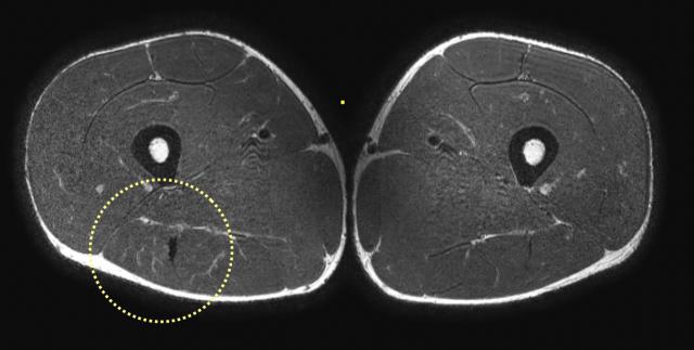
Chỉ dựa vào các hình ảnh coronal đơn thuần, đôi khi khó có thể phân loại chính xác mức độ biến dạng. Cần sử dụng các hình ảnh axial để quan sát kỹ hơn.
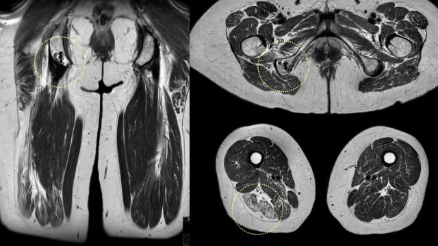
Trên các hình ảnh axial này, có thể thấy tăng tín hiệu và dày lên của gân cơ nhị đầu đùi bên trái (vòng tròn chấm vàng) khi so sánh với bên không bị tổn thương (vòng tròn chấm trắng).
DOMS
Ở bệnh nhân này, phù nề cơ kín đáo tại cơ bán gân được ghi nhận, được chẩn đoán là DOMS – đau cơ khởi phát muộn (mũi tên).
Cả chiều dài vùng phù nề và chiều dài đoạn gân biến dạng đều được đo và ghi nhận trong báo cáo.
Trong trường hợp này, tổn thương gân cơ nhị đầu đùi được phân loại là tổn thương bán phần độ 3, do chiều dài vùng phù nề > 15cm (đường chấm trắng) và chiều dài đoạn gân biến dạng > 5cm (đường chấm vàng).
Thêm hai trường hợp để minh họa cách phân loại này.
A Phù nề cơ 5-10cm (đường chấm trắng) tại vùng MTJ không kèm biến dạng cấu trúc gân, được phân loại là BAMIC 2b.
B Phù nề cơ >15cm (đường chấm trắng), tại vùng MTJ / gân trong cơ, biến dạng gân > 5cm (đường chấm vàng). Gân có hình ảnh gián đoạn với mất tín hiệu thấp trong lòng gân kèm theo dạng gợn sóng, cho thấy mất sức căng khu trú. BAMIC 3b/c.
Video về tổn thương gân cơ hamstring bán phần. Lưu ý chiều dài vùng phù nề cơ và chiều dài đoạn gân biến dạng. Do cả hai đặc điểm này đều trải dài trên một khoảng cách đáng kể, đây là các yếu tố tiên lượng xấu.
Tại đây bạn có thể cuộn qua các hình ảnh axial. Có thể phóng to hình ảnh bằng cách nhấp vào chúng.
Đây là tổn thương bán phần, bắt đầu từ gân chung ở phía gần, bao gồm cả vùng MTJ và gân trong cơ ở phía xa hơn. Chiều dài vùng phù nề và mức độ biến dạng gân đều ở mức độ cao. Trường hợp này được phân loại là tổn thương BAMIC 3b/c.
Tổn thương toàn bộ chiều dày
Rách gân tự do
Trong các tổn thương toàn bộ chiều dày, gân tự do bị rách và mất liên tục với củ ngồi.
Do mất lực căng, gân và cơ sẽ co rút khỏi củ ngồi và xuất hiện một khoảng trống.
Mức độ co rút gân được xem là yếu tố quan trọng trong việc quyết định phương pháp điều trị.
Một số chuyên gia khuyến cáo phẫu thuật sửa chữa khi mức độ co rút lớn hơn 2 cm.
Đo trực tiếp mức độ co rút
Phương pháp đáng tin cậy nhất để định lượng mức độ co rút là ‘đo trực tiếp’ trên chuỗi xung nhạy dịch theo mặt phẳng coronal.
Đầu tiên, xác định điểm đại diện cho trung tâm (tam giác trắng) của nguyên ủy phức hợp gân cơ hamstring gần ở vùng trên (đường chấm) của củ ngồi (IT).
Từ điểm này, đo khoảng cách trực tiếp (tức là ngắn nhất) (mũi tên trắng) đến phần gần nhất của đầu gân giảm tín hiệu (tam giác đen) (tính bằng cm).
Lưu ý rằng việc xác định các mốc giải phẫu được thực hiện trên các lát cắt khác nhau trong cùng một chuỗi xung MRI.
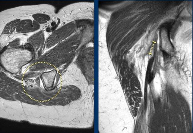
Dấu hiệu kem rơi
Tốt nhất nên xác định gân nào bị rách trên các ảnh axial.
Củ ngồi có thể được hình dung như một chiếc ốc quế kem, với gân cơ bán màng (anterolateral – trước ngoài) và gân chung (posteromedial – sau trong) như hai viên kem với hương vị StracciatelLa CaraMel.
Hình ảnh cho thấy bong gân cơ bán màng.
① Gân cơ bán màng
② Gân chung
Ghi nhớ các hương vị:
Stracciatella – Semimembranosus (cơ bán màng) ngoài
Caramel – Conjoint (gân chung) trong
Ở bệnh nhân này, cả gân cơ bán màng bên phải lẫn gân chung đều bị bong.
Cả hai viên kem đều đã rơi.
Trên các hình ảnh này ghi nhận tổn thương toàn bộ chiều dày.
Cả hai viên kem đều rơi trên ảnh axial, cho thấy cả hai gân đều bị bong.
Trên ảnh coronal, tổng mức độ co rút đã được đo và ghi nhận.
Bong sụn tiếp hợp (Apophysiolysis)
Ở thanh thiếu niên, tổn thương gân cơ hamstring gần thường xảy ra ở mức sụn tiếp hợp ngồi, do xương là mắt xích yếu nhất.
Tổn thương bản thân gân hoặc tại chỗ nối cơ-gân rất hiếm gặp.
Video này cho thấy hình ảnh bong sụn tiếp hợp trên CT.
Tiếp tục xem MRI…
MRI của cùng bệnh nhân.
Tổn thương dây thần kinh tọa
Hình ảnh này cho thấy tổn thương một phần gân chung của chân phải (vòng tròn vàng).
Có một lượng lớn máu tụ xung quanh trong cơ và dọc theo mạc cơ.
Phù nề bao quanh dây thần kinh tọa (mũi tên vàng), có thể dẫn đến bệnh lý thần kinh.
Tuy nhiên, có sự tương quan kém giữa các hình ảnh trên MRI và các triệu chứng lâm sàng của bệnh nhân.
Trong trường hợp này, tổn thương một phần ít rõ ràng hơn. Tuy nhiên, dây thần kinh tọa vẫn bị phì đại và dẹt do phù nề từ tổn thương.
Tất cả các đặc điểm gợi ý tổn thương thần kinh đều được ghi nhận (bao gồm: phì đại dây thần kinh, dẹt dây thần kinh, phù nề trong dây thần kinh, phù nề xung quanh hoặc xơ hóa xung quanh).
Theo dõi
Tổn thương cũ
Sau chấn thương, gân có thể trở về hình ảnh bình thường sau khi lành. Tuy nhiên, trong hầu hết các trường hợp tổn thương một phần, sẹo xơ hóa thường được ghi nhận tại vị trí chấn thương cũ (vòng tròn chấm vàng).
Khá thường gặp trường hợp khi chụp MRI vì một chấn thương cấp tính, các vị trí xơ hóa sẹo của những chấn thương cũ hơn cũng được phát hiện đồng thời.
Tái bám gân
Sau một chấn thương bong điểm bám hoàn toàn, gân có thể được tái bám bằng phẫu thuật. Trong trường hợp này, các neo cố định tại lồi củ xương có thể được quan sát thấy. Hậu quả của chấn thương có thể dẫn đến teo mỡ bụng cơ.
Giao thức chụp MRI
MRI protocol based on pulse sequences: coronal fatsat, axial PD fatsat and axial T2.
- Chuỗi xung T2 xóa mỡ mặt phẳng coronal (fatsat, STIR hoặc dixon) cho phép đánh giá tổng quan nhanh chóng về tổn thương và giúp đo lường dễ dàng các khoảng cách liên quan (ví dụ: chiều dài vùng phù nề hoặc mức độ co rút gân).
- Chuỗi xung PD xóa mỡ mặt phẳng axial (fatsat hoặc dixon) tập trung vào vùng tổn thương và cho phép đánh giá đầy đủ tình trạng phù nề hoặc tụ máu, bao gồm cả trong cơ lẫn giữa các cơ.
- Chuỗi xung T2 mặt phẳng axial từ điểm nguyên ủy đến điểm bám tận cho phép hiển thị chi tiết tổn thương gân. Các hình ảnh độ phân giải cao này rất hữu ích để đánh giá giải phẫu và mức độ tổn thương trên từng bó sợi riêng lẻ. Thông thường cần hai khối chụp (stack).
Toàn bộ phức hợp cơ hamstring của cả hai chân cần được khảo sát trên tất cả các chuỗi xung để so sánh bên tổn thương với bên hamstring lành.
Đặc biệt, các tổn thương một phần có thể rất khó phát hiện.
Chúng tôi chỉ sử dụng mặt phẳng coronal và axial để đánh giá giải phẫu, vì việc đánh giá giải phẫu trên mặt phẳng sagittal thường khó khăn hơn.








































