Chấn thương cột sống ngực-thắt lưng
Bài đánh giá này dựa trên bài thuyết trình của Adam Flanders và được Robin Smithuis chuyển thể cho the Radiology Assistant.
Trong tổng quan này, chúng tôi sẽ thảo luận về các chấn thương phổ biến nhất của cột sống ngực-thắt lưng.
Bạn có thể nhấp vào một số hình ảnh để xem phóng to.
Introduction
Biomechanics
Trong cột sống ngực-thắt lưng có ba vùng sinh cơ học.
Vùng ngực trên (T1-T8) cứng chắc do lồng ngực cung cấp sự ổn định.
Vùng chuyển tiếp T9-L2 là vùng chuyển tiếp giữa phần ngực trên cứng và ưỡn sau với cột sống thắt lưng linh hoạt ưỡn trước.
Đây là nơi xảy ra hầu hết các chấn thương.
Cuối cùng là vùng L3-Xương cùng linh hoạt, đây là vùng xảy ra các chấn thương do tải trọng dọc trục.

In the thoracic region flexion injuries predominate. In the lumbar region burst fractures predominate.
Ở cột sống ngực trên, trọng tâm nằm ở phía trước cột sống.
Tải trọng dọc trục sẽ tạo ra lực nén ở phía trước và lực kéo căng ở phía sau.
Điều này sẽ dẫn đến các chấn thương kiểu gấp.
Ở cột sống thắt lưng, do có đường cong ưỡn, trọng tâm nằm ở phía sau.
Các chấn thương kiểu gấp sẽ làm thẳng cột sống thắt lưng và gây ra tải trọng dọc trục.
Ở vùng này chúng ta sẽ thấy nhiều gãy xương vỡ vụn.
Stability
Bên trái là mô hình ba cột của Denis.
Mô hình này được sử dụng để dự đoán tổn thương mô mềm từ tổn thương xương.
Sự ổn định của cột sống phụ thuộc vào ít nhất hai cột còn nguyên vẹn.
Khi hai trong ba cột bị tổn thương, sẽ cho phép chuyển động bất thường giữa các đốt sống, tức là mất vững.
Vì vậy, gãy xương hình nêm đơn thuần ở phía trước hoặc chỉ bong gân dây chằng phía sau là chấn thương ổn định.
Tuy nhiên, gãy xương hình nêm kèm đứt dây chằng gian gai là không ổn định, vì cột trước và cột sau đều bị tổn thương.
Gãy vỡ thân đốt sống luôn luôn mất vững vì ít nhất cột trước và cột giữa bị tổn thương.
Các tiêu chí để dự đoán tổn thương mô mềm từ tổn thương xương là:
- Angulation greater than 20 degrees.
- Translation of 3.5 mm or more.
Hyperflexion Injury
Hình ảnh bên trái của một nam giới 31 tuổi.
Anh ta đang làm việc trên mái nhà, ngã từ độ cao khoảng 5 mét và tiếp đất bằng hai chân.
Anh ta than phiền đau ở chi dưới bên trái và vùng thắt lưng.
Trước tiên hãy quan sát các hình ảnh, sau đó tiếp tục đọc.
Trên phim X-quang cho thấy tổn thương tăng gấp khúc của L1 với sự tổn thương cột trước và có thể tổn thương cột giữa.
Các tái tạo mặt phẳng đứng dọc trên CT cho thấy phần sau thân đốt sống có chiều cao bình thường, nhưng có một phần tổn thương ở phía sau thân đốt sống.
Hiện vẫn còn tranh luận về cách điều trị cho những bệnh nhân này và liệu MRI có vai trò gì trong những trường hợp này hay không.
Nếu đánh giá theo hướng tích cực, có thể gọi đây là tổn thương hai cột, đòi hỏi phải phẫu thuật cố định.
Nếu đánh giá theo hướng thận trọng, có thể gọi đây là tổn thương chỉ ảnh hưởng nhẹ đến cột giữa.
Bên trái là hình tái tạo theo mặt phẳng coronal và hình ảnh axial tại mức độ gãy xương.
Tiếp tục với MR.
Các hình ảnh MRI cho thấy phù tủy xương ở thân đốt sống bị tổn thương, nhưng không có tổn thương phần mềm bổ sung.
Dựa trên việc MRI không cho thấy bất kỳ phát hiện bổ sung nào, bệnh nhân này được điều trị như trường hợp tổn thương một cột.
Tham khảo ý kiến phẫu thuật chỉnh hình khuyến nghị điều trị bảo tồn với nẹp TLSO.
Ngày nay có xu hướng điều trị bảo tồn các chấn thương cột sống ngực-thắt lưng này, ngay cả khi có tổn thương nhẹ ở cột giữa.
Vai trò của MRI trong những trường hợp này vẫn chưa được xác định rõ ràng.
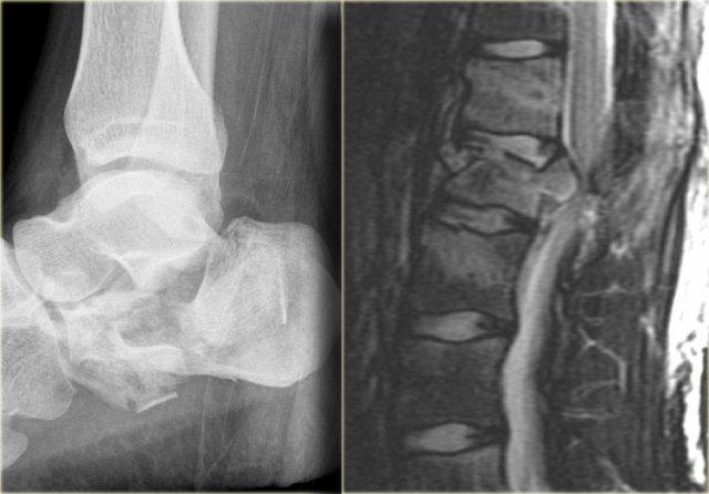
Jumper’s fracture
Bên trái là hình ảnh gãy xương gót và gãy cột sống thắt lưng.
Đây được gọi là ‘gãy xương của người nhảy’ hoặc ‘gãy xương của người tình’, vì thường gặp ở những người nhảy qua cửa sổ để trốn thoát khỏi cảnh sát hoặc người chồng/vợ ghen tuông.
Trong trường hợp này, rõ ràng chúng ta đang nhìn vào một gãy xương không vững, vì đây là gãy xương vỡ tung.
Cả cột trước và cột giữa đều bị tổn thương.
Ngoài ra, có phù nề ở các mô mềm phía sau cho thấy cột sau cũng bị ảnh hưởng.
Cũng cần lưu ý phù nề tủy xương ở các thân đốt sống lân cận do chịu tải trọng dọc trục nghiêm trọng.
Chance fracture
Ở bên trái là hình ảnh của một nữ bệnh nhân 21 tuổi nhập viện sau chấn thương do dây an toàn.
Bệnh nhân đã được phẫu thuật thăm dò ổ bụng để sửa chữa vết rách tá tràng.
Không có thiếu hụt thần kinh.
Trước tiên hãy nghiên cứu các hình ảnh, sau đó tiếp tục đọc.
Những gì chúng ta thấy là một ví dụ điển hình của gãy xương Chance, đây là tổn thương ba cột với hướng nằm ngang của đường gãy.
Tiếp tục với các hình ảnh CT.
Điều đặc biệt của gãy xương Chance là hướng nằm ngang, được thể hiện rõ ràng trên các hình tái tạo mặt phẳng đứng dọc ở bên trái.
Tiếp tục với các hình tái tạo mặt phẳng đứng ngang.
Cũng trên các hình tái tạo mặt phẳng coronal, chúng ta có thể thấy hướng nằm ngang của đường gãy.
Loại hoàn cảnh nào dẫn đến gãy xương kiểu này?
Cơ chế điển hình của chấn thương này là chấn thương do dây an toàn ngang.
Nếu không có dây an toàn chéo vai bổ sung, cơ thể sẽ gập về phía trước.
Gãy xương Chance (2)
Bên trái là một ví dụ khác về gãy xương Chance.
Gãy xương Chance (3)
Bên trái là một biến thể gãy xương Chance.
Đây là tổn thương thuần túy dây chằng, tương tự như trật khớp liên mấu khớp hai bên, cũng là tổn thương thuần túy dây chằng.
Có đứt dây chằng gian gai, trật khớp mấu khớp và đứt ngang đĩa đệm.
Các biến thể thuần túy dây chằng và kết hợp xương / dây chằng có nguy cơ mất vững cao hơn so với loại xương đơn thuần.
Luôn tìm kiếm sự tách rời của các thành phần cột sống phía sau, giãn rộng đĩa đệm hoặc giãn rộng các mỏm gai và các khớp mặt.












