Cập nhật rối loạn nuốt
Nuốt là một động tác phức tạp.
Quá trình này đòi hỏi sự phối hợp của các dây thần kinh và cơ ở vùng môi-má, lưỡi, vòm miệng, hầu, thanh quản và cuối cùng là thực quản.
Các nghiên cứu chụp X-quang ở bệnh nhân có rối loạn nuốt có thể giúp phân tích vấn đề.
Bài viết này trình bày một phương pháp tiếp cận có hệ thống để phân tích các video nuốt, tập trung vào bốn dấu hiệu cơ bản:
- Nuốt không đối xứng
- Ứ đọng thuốc tương phản
- Rối loạn chức năng cơ nhẫn-hầu
- Hít sặc
Nuốt Bình Thường

TRÁI: Giai đoạn miệng hay giai đoạn chuẩn bị. PHẢI: Vận chuyển đến hầu họng và kích hoạt phản xạ nuốt thực sự.
Giai đoạn miệng
Trong giai đoạn miệng, thức ăn được chuẩn bị để nuốt và sau đó được vận chuyển đến hầu họng.
Đây là giai đoạn chuẩn bị, trong đó thức ăn được giữ trong miệng trong khi nền lưỡi và vòm miệng mềm đóng khoang miệng ở phía sau để ngăn thức ăn tràn vào thanh quản và khí quản đang mở.
Một viên thức ăn (bolus) được hình thành ở phần trung tâm của lưỡi, sau đó được đẩy ra phía sau về phía hầu họng nhờ động tác nâng lưỡi từ trước ra sau.
Khi bolus đi vào hầu họng, phản xạ nuốt thực sự hay phản xạ hầu họng được kích hoạt.

TRÁI: Các cơ khít hầu đẩy bolus xuống dưới. PHẢI: Cùng với sự co thắt của cơ khít dưới, cơ nhẫn hầu giãn ra.
Giai đoạn hầu họng
Giai đoạn này là một phản xạ tự động.
Bolus đi qua hầu họng nhanh chóng rồi đi vào thực quản.
Quá trình này diễn ra trong chưa đầy một giây.
Quá trình này bắt đầu khi bolus đi qua trụ trước màn hầu và chạm vào thành hầu sau.
Sự nâng lên của vòm miệng mềm ngăn không cho thức ăn đi vào khoang mũi.
Tiếp theo, các cơ khít hầu co lại đẩy bolus sâu hơn vào hầu họng, hướng về phía cơ thắt nhẫn hầu.
Thanh quản ngăn thức ăn đi vào khí quản bằng cách lần lượt đóng dây thanh âm thật, nếp thanh âm giả và các nếp phễu-thanh thiệt.
Sự co thắt của cơ khít hầu dưới tiếp theo là sự giãn của cơ nhẫn hầu, cho phép bolus đi vào thực quản.
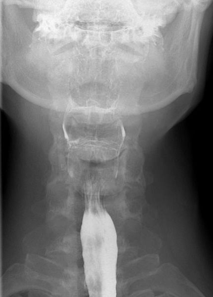
Hình ảnh chiếu huỳnh quang (Fluoroscopy)
Các hình ảnh quan trọng nhất trong nghiên cứu nuốt là những hình ảnh chụp ở tư thế nghiêng (lateral view).
Nhấp qua các hình ảnh 1-7 ở bên trái.
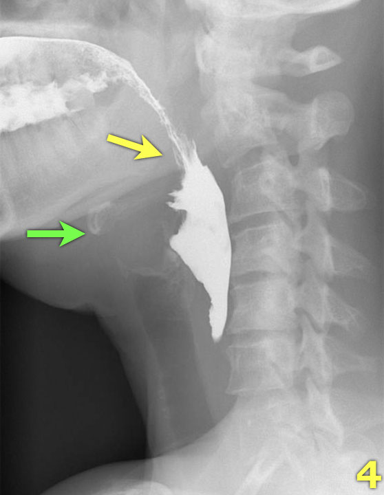
- Nền lưỡi và vòm miệng mềm đóng khoang miệng ở phía sau (mũi tên) để ngăn thức ăn tràn vào hầu họng và thanh quản đang mở.
- Lưỡi bắt đầu vận chuyển thức ăn về phía hầu họng (mũi tên vàng).
Thanh quản vẫn còn mở và ở vị trí bình thường (mũi tên xanh lá). - Vòm miệng mềm nâng lên để ngăn thức ăn tràn vào vòm mũi họng (mũi tên xanh lá) và lưỡi đẩy thức ăn tiếp tục ra phía sau (mũi tên vàng).
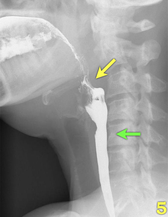
- Xương móng nâng lên và thanh quản đóng lại (mũi tên xanh lá). Lưỡi đẩy thức ăn xuống dưới trong khi cơ khít thực quản trên co lại.
- Sự co thắt của cơ khít hầu giữa (mũi tên vàng), trong khi cơ nhẫn hầu đã giãn hoàn toàn (mũi tên xanh lá).
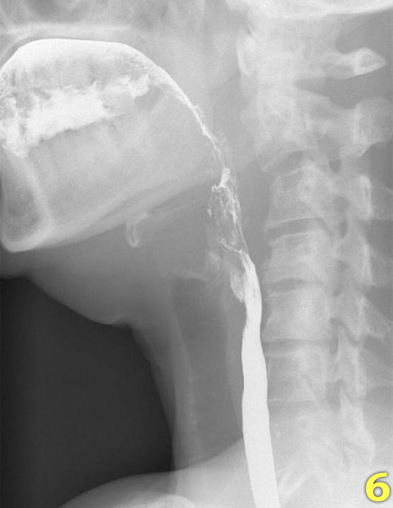
- Sự co thắt của cơ khít hầu dưới làm tống xuất hầu họng.
- Nắp thanh thiệt nâng lên để trở về vị trí nghỉ và thanh quản mở ra (mũi tên).
Video tư thế nghiêng
Xem ở chế độ HD.
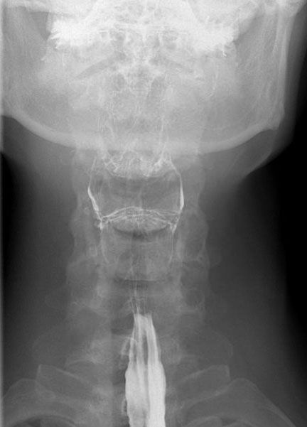
Tư thế thẳng (AP-view) quan trọng để đánh giá sự bất đối xứng.
Sau khi hoàn thành chuỗi hình ảnh giai đoạn hầu họng, cần theo dõi bolus thuốc cản quang toàn bộ đường đi xuống đến chỗ nối thực quản-dạ dày.
Chỉ định thực hiện nghiên cứu
Các chỉ định thực hiện nghiên cứu nuốt bao gồm: khó nuốt, cảm giác vướng họng và hít sặc.
Khó nuốt là thuật ngữ chung dùng để mô tả tình trạng không thể vận chuyển thức ăn đúng cách từ miệng xuống dạ dày.
Cảm giác vướng họng (Globus sensation) là thuật ngữ mô tả cảm giác có dị vật trong cổ họng, gây cản trở hoặc kích thích phản xạ nuốt.
Hít sặc là thể nặng nhất của các rối loạn nuốt, có thể dẫn đến viêm phổi do hít sặc, bệnh phổi mạn tính hoặc ngạt thở.
Ở một số bệnh nhân mắc bệnh phổi mạn tính, nghiên cứu nuốt có thể được thực hiện để tìm kiếm tình trạng ‘hít sặc thầm lặng’.
Nghiên cứu Nuốt
Trước tiên, hãy cố gắng xác định chính xác vấn đề của bệnh nhân để có thể tùy chỉnh chuỗi chụp phù hợp.
Liệu có nguy cơ hít sặc không, ví dụ: giọng nói ướt (wet voice), viêm phổi tái phát hoặc hít sặc?
Nếu có, không nên bắt đầu thăm khám bằng thuốc cản quang barium, mà thay vào đó hãy sử dụng thuốc cản quang tan trong nước không ion hóa.
Nếu trong vài lần nuốt đầu tiên không xảy ra hít sặc, có thể chuyển sang dùng barium vì loại này cho chất lượng hình ảnh tốt hơn.
Trước khi bắt đầu thăm khám, quy trình được giải thích cho bệnh nhân và chúng tôi thực hành một số nghiệm pháp như nghiệm pháp Valsalva cải tiến (hình).
Khi thức ăn đặc là vấn đề chính, có thể cân nhắc thêm một chất đặc vào barium — ví dụ như bánh quy hoặc bánh mì phết barium paste.
Bệnh nhân trong video chỉ gặp khó khăn với thức ăn đặc.
Thăm khám bệnh nhân có rối loạn nuốt bao gồm:
- Nghiên cứu huỳnh quang về động tác nuốt thực sự.
- Hình ảnh đối quang kép của hầu họng.
- Thăm khám thực quản.
Bắt đầu bằng một hoặc hai lần nuốt ở tư thế nghiêng (lateral), tiếp theo là hình ảnh đối quang kép tư thế nghiêng của hầu họng (xem phần sau).
Sau đó ghi lại hình ảnh nuốt ở tư thế thẳng trước-sau (AP), tiếp theo là hình ảnh đối quang kép tư thế AP của hầu họng.
Tiếp theo, ghi lại quá trình di chuyển qua thực quản, đôi khi kết hợp với hình ảnh đối quang kép của vùng nối thực quản-dạ dày.
Nghiên cứu huỳnh quang về động tác nuốt thực sự
Động tác nuốt được ghi lại trên video hoặc một dạng ghi hình kỹ thuật số nào đó.
Chúng tôi sử dụng các khung hình trích xuất từ hình ảnh huỳnh quang và lưu trữ vào hệ thống PACS, nơi có thể phát lại hình ảnh tiến và lùi ở chế độ chậm.
Điều rất quan trọng là luôn bắt đầu với tư thế nghiêng trước, vì nếu bệnh nhân bị hít sặc, tư thế nghiêng sẽ cho biết hiện tượng đó xảy ra như thế nào và tại sao.
Nếu phải dừng thăm khám, những hình ảnh quan trọng nhất sẽ đã được ghi lại.
Nếu bắt đầu bằng tư thế AP và bệnh nhân bị hít sặc, có thể phải dừng thăm khám và sẽ không bao giờ biết được nguyên nhân gây hít sặc cũng như bản chất của vấn đề.
Nếu bệnh nhân không thể đứng hoặc ngồi, vẫn có thể thực hiện tư thế nghiêng.
Chỉ sử dụng một lượng nhỏ barium cho lần nuốt đầu tiên; nếu bệnh nhân không có vấn đề gì, tiếp tục với lượng lớn hơn.
Hít sặc một lượng nhỏ barium thường không phải là vấn đề nghiêm trọng, nhưng không nên để barium lấp đầy các phế quản với số lượng lớn.

TRÁI: Tư thế nghiêng khi bệnh nhân phát âm “aaa”. Xương móng (H) và nền lưỡi (T) di chuyển ra trước. Xoang hình lê trái và phải được chiếu chồng lên nhau. Đầu mút của màn hầu (SP) được quan sát thấy. PHẢI: Các hố lưỡi-thanh thiệt (V) và xoang hình lê (P).
Hình ảnh đối quang kép của hầu họng
Đối với tư thế nghiêng, yêu cầu bệnh nhân phát âm “aaa”, vì điều này sẽ đưa lưỡi về phía trước và cho phép quan sát tốt hơn vùng hầu miệng và hạ hầu.
Trong tiếng Hà Lan, đây là chữ “eee”, vì được phát âm tương tự như “aaa” trong tiếng Anh.
Đối với tư thế AP, nghiệm pháp Valsalva cải tiến được thực hiện.
Bệnh nhân phải thổi hơi qua môi mím chặt như khi thổi kèn trumpet, đồng thời thư giãn vùng cổ.
Luôn thực hành nghiệm pháp này trước khi thăm khám để bệnh nhân biết cách thực hiện.
Bên trái là hình ảnh đối quang kép của hầu họng.
Sự phồng ra của thành bên hầu họng là bình thường và có thể khá rõ rệt (như trường hợp Dizzy Gillespie).
Những cấu trúc này được gọi là ‘tai hầu bên’ (lateral pharyngeal ears).
Thăm khám thực quản
Luôn theo dõi quá trình di chuyển của barium qua thực quản cho đến khi vào dạ dày.
Các rối loạn tại vùng nối thực quản-dạ dày thường được bệnh nhân cảm nhận như một vấn đề ở vùng họng.
Lý giải cho điều này là ở những bệnh nhân có tắc nghẽn đoạn xa, trào ngược dạ dày-thực quản hoặc rối loạn vận động, cơ nhẫn hầu phải hoạt động rất mạnh để ngăn thức ăn trào ngược lại vào hầu họng — kèm theo nguy cơ hít sặc.
Trương lực cơ tăng cao này tạo cho bệnh nhân cảm giác có vật gì đó trong cổ họng.
Các hình ảnh là của một bệnh nhân có cảm giác vướng họng (globus sensation).
Nguyên nhân là do trào ngược nặng và tình trạng tăng trương lực cơ nhẫn hầu thứ phát.
Thoát vị cạnh thực quản lớn kèm trào ngược là nguyên nhân gây ra các triệu chứng.

Hình ảnh tối ưu của vùng nối dạ dày-thực quản khi khí trào ngược từ dạ dày vào thực quản đã được phủ thuốc cản quang ở bệnh nhân thoát vị hoành trượt.
Có thể đạt được hình ảnh xuất sắc của vùng nối dạ dày-thực quản bằng cách thực hiện các bước sau:
- Yêu cầu bệnh nhân uống viên sủi zoru-granules (hoặc coca cola) để tạo đầy hơi tối ưu trong dạ dày.
- Dặn bệnh nhân không ợ hơi, mà giữ hơi trong dạ dày cho đến thời điểm nuốt.
- Đặt bệnh nhân ở tư thế chếch trước-trái (left anterior oblique).
- Nâng mặt bàn lên 45 độ.
- Nuốt barium tỷ trọng cao để phủ thực quản tối ưu.
- Chụp hình ảnh khi khí trào ngược từ dạ dày vào thực quản đã được phủ barium.
Ánh sáng tốt nhất đạt được khi phần trước của cột sống cổ nằm ở trung tâm hình ảnh.
Không đặt bolus thuốc cản quang vào trung tâm hình ảnh, vì trên video sẽ xuất hiện sự chuyển đổi liên tục giữa các hình ảnh quá tối và quá sáng.
Phân tích nghiên cứu nuốt
Một cách đơn giản để phân tích nghiên cứu nuốt là tập trung vào bốn dấu hiệu dễ phát hiện:
- Bất đối xứng
- Ứ đọng
- Rối loạn chức năng cơ nhẫn hầu
- Hít sặc
Các dấu hiệu này thường đã rõ ràng trong quá trình thăm khám, nhưng việc phân tích toàn bộ hình ảnh sẽ làm sáng tỏ cơ chế gây ra các bất thường này.
Các dấu hiệu hình ảnh này có thể là những phát hiện đơn độc hoặc có thể liên quan đến nhau.
Ví dụ, sự đóng sớm của cơ nhẫn hầu có thể dẫn đến ứ đọng thuốc cản quang trong hầu họng, từ đó có thể gây hít sặc khi thanh quản mở ra vào cuối quá trình nuốt.

Nuốt bất đối xứng do xoay đầu. Đầu xoay sang trái và thuốc cản quang chỉ thấy ở kênh thức ăn bên phải.
Bất đối xứng
Nuốt bất đối xứng trên tư thế thẳng (AP) thường là kết quả của sự nghiêng không đều của nắp thanh quản.
Đôi khi nguyên nhân là do xoay đầu, nhưng trong nhiều trường hợp không tìm được giải thích thực sự.
Ngay cả khi đầu không xoay, nắp thanh quản vẫn có thể nghiêng bất đối xứng khi chạm vào thành hầu sau.
Điều này dễ xảy ra hơn khi chỉ cho một lượng bolus nhỏ, vì hầu họng sẽ không giãn nở hoàn toàn.
Một bolus lớn hơn sẽ tạo ra động tác nuốt đối xứng.
Trong trường hợp bên trái, việc xoay đầu sẽ đóng phía mà đầu xoay về (Hình).
Nếu bệnh nhân bị liệt hầu một bên, việc xoay đầu về phía bên bị tổn thương sẽ giúp bệnh nhân phòng ngừa hít sặc.
Bằng cách xoay đầu về phía bên bị tổn thương, phía này sẽ bị đóng lại, ngăn ngừa ứ đọng ở phía này và khả năng hít sặc thứ phát.
Tuy nhiên, trước khi kết luận đây là dấu hiệu bình thường, cần loại trừ khối u hầu họng hoặc liệt một bên.
Hình ảnh đối quang kép có thể hữu ích trong những trường hợp này.
Trong liệt một bên, phía bị liệt sẽ phồng ra trong nghiệm pháp Valsalva cải tiến.
Khi có khối u trong hầu họng, thường có thể thấy trên hình ảnh đối quang kép.
Đôi khi cần nội soi để giải quyết vấn đề nuốt bất đối xứng.
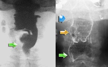
Bất đối xứng (2)
Trường hợp bên trái là một ca bệnh đặc biệt, nhưng minh họa rõ nét sự khó khăn đôi khi gặp phải trong việc xác định nguyên nhân gây bất đối xứng.
Ở hình ngoài cùng bên trái, bất đối xứng được thấy trên nghiên cứu huỳnh quang (mũi tên xanh lá).
Có vẻ như có gì đó trong xoang lê bên phải.
Trên hình ảnh đối quang kép bên phải, xoang lê bình thường (mũi tên xanh lá), nhưng ở mức thung lũng nắp thanh quản bên phải thấy một tổn thương dạng thùy (mũi tên vàng).
Ở mức cao hơn, thấy một vết lõm nhẵn của hầu miệng (mũi tên xanh dương).
Khối u dạng thùy ở mức thung lũng nắp thanh quản được xác định là phần còn lại của amidan lưỡi, đây là phát hiện thường gặp và đôi khi khó phân biệt với ung thư đáy lưỡi.
Tiếp tục với hình ảnh CT của bệnh nhân này.

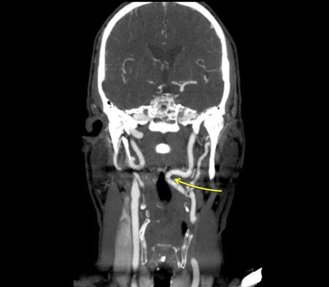
Vết lõm của hầu miệng do động mạch cảnh trong bị dài ra (mũi tên xanh dương). So sánh với vị trí của động mạch cảnh bên trái
Hình ảnh CT cho thấy vết lõm nhẵn của hầu miệng bên phải là do động mạch cảnh trong bị dài ra gây nên.
Đây quả thực là một trường hợp hiếm gặp, trong đó trên nghiên cứu huỳnh quang ban đầu nghi ngờ có khối u ở xoang lê.
Cuối cùng phát hiện một tổn thương trong hầu miệng và một tổn thương chèn ép thành từ bên ngoài ở mức cao hơn.
Do các tổn thương này, thuốc cản quang đi qua hạ hầu bất đối xứng, giả tạo hình ảnh tổn thương ở xoang lê.
Đây là một bệnh nhân khác với động mạch cảnh trong bị dài ra.
Bệnh nhân này có triệu chứng khó nuốt và khi thăm khám thấy một cấu trúc đập theo nhịp mạch trong hầu miệng.
Đây không phải là phát hiện hiếm gặp.
Vì vậy, trước khi thực hiện sinh thiết ở vùng này, cần đảm bảo rằng đó không phải là động mạch cảnh.
Ứ đọng
Ứ đọng là kết quả của việc làm sạch hầu họng không đầy đủ, hoặc do tắc nghẽn – tức là rối loạn chức năng cơ nhẫn hầu hoặc khối u – hoặc do co bóp không đủ của các cơ khít hầu.
Co bóp không đủ là hậu quả của liệt hầu do rối loạn thần kinh cơ.
Đôi khi quan sát thấy các cử động quá mức của đáy lưỡi và thanh quản trên nghiên cứu huỳnh quang tư thế nghiêng nhằm bù đắp cho sự mất chức năng của các cơ khít hầu.
Khi bệnh nhân bắt đầu thở trở lại, hít sặc có thể xảy ra (Hình).
Ứ đọng (2)
Đây là bộ hình ảnh minh họa một bệnh nhân bị liệt các cơ khít hầu.
Tình trạng này thường đi kèm với giãn không đủ của cơ nhẫn hầu.
Trong ví dụ này, chúng ta có thể thấy bệnh nhân cố gắng bù đắp cho sự mất chức năng co bóp hầu bằng cách cử động quá mức của lưỡi và đầu.
Bệnh nhân này đang trong tình trạng căng thẳng cực độ, vì biết rằng khi bắt đầu thở mà cổ họng chưa trống, sẽ bị hít sặc.
- 1-3. Không thấy co bóp của thành sau hầu họng. Cơ nhẫn hầu không mở đúng cách.
- 4-7. Thuốc cản quang vào thanh quản nhưng không vào khí quản.
- 8-10. Cử động đầu quá mức nhằm đẩy bolus vào thực quản.
Trong một số trường hợp này, phẫu thuật cắt cơ nhẫn hầu là giải pháp duy nhất để tạo điều kiện cho thức ăn đi vào thực quản.
Rối loạn chức năng cơ nhẫn hầu
Mở không đủ và đóng sớm là những vấn đề thường gặp nhất của cơ nhẫn hầu.
Bình thường không nên thấy vết lõm của cơ nhẫn hầu trong quá trình bolus đi qua, nhưng đôi khi thấy một vết lõm nhỏ không gây tắc nghẽn và không có ý nghĩa lâm sàng (Hình).
Tuy nhiên, đôi khi điều này có thể giải thích các triệu chứng của bệnh nhân.
Người ta cho rằng sự đi qua của thức ăn kích thích niêm mạc phủ trên cơ nhẫn hầu, gây ra cảm giác vướng họng (globus sensation).

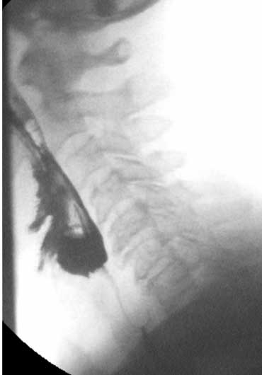
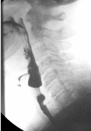
TRÁI: túi thừa nhỏ. GIỮA và PHẢI: túi thừa Zenker thực sự do đóng sớm của cơ nhẫn hầu (mũi tên vàng)
Túi thừa Zenker
Túi thừa Zenker luôn là hậu quả của rối loạn chức năng cơ nhẫn hầu.
Đóng sớm của cơ nhẫn hầu dẫn đến tăng áp lực trong hạ hầu, ngay phía trên cơ nhẫn hầu, khi sóng áp lực của các cơ khít hầu đẩy bolus xuống dưới.
Áp lực tăng này có thể gây phồng ra tại điểm yếu trên thành hầu sau (khe hở Killian).
Ban đầu sẽ tạo thành một túi nhỏ, theo thời gian có thể phát triển và hình thành túi thừa Zenker thực sự (Hình).











































