Các ca lâm sàng bàn chân và cổ chân
Những ca lâm sàng không thể bỏ qua…
Bàn chân
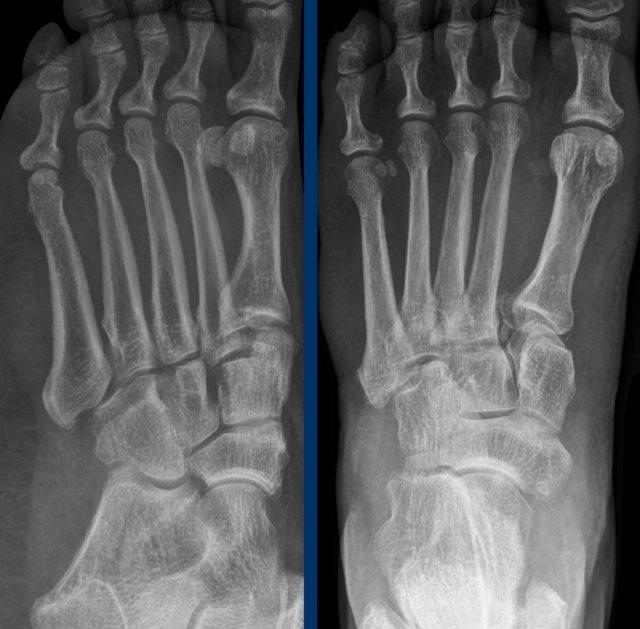
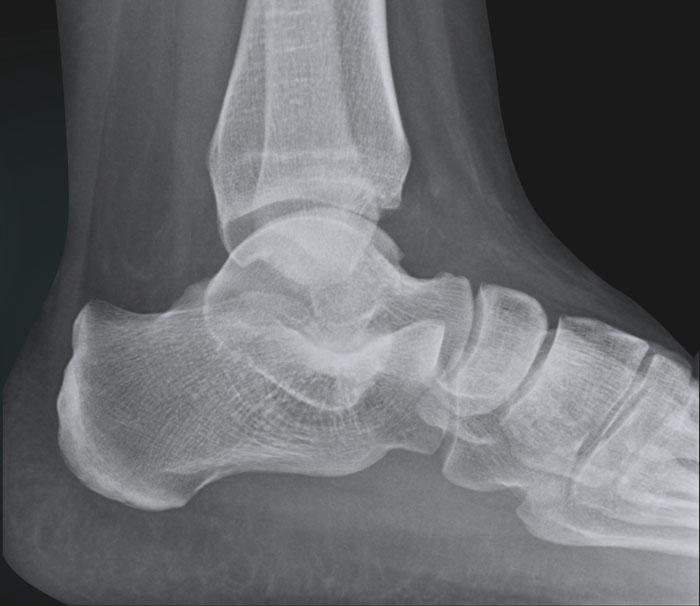
Ca 1 – Chấn thương bàn chân
Bệnh nhân 33 tuổi bị chấn thương bàn chân và sưng nề vùng giữa bàn chân.
Nhấp vào hình ảnh để xem phóng to.
Hình ảnh cho thấy những dấu hiệu gì và có ý nghĩa như thế nào?
Ca 2 – Đau mạn tính
Bé gái 17 tuổi bị đau mạn tính vùng cổ chân và bàn chân.
Bệnh nhân có tiền sử bong gân cổ chân tái phát nhiều lần.
Hình ảnh cho thấy những dấu hiệu gì?
Nhấp vào hình ảnh để xem phóng to.
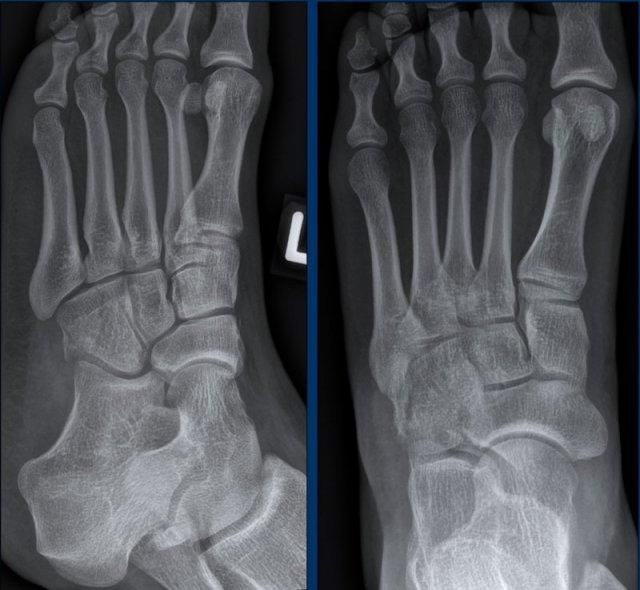
Ca 3 – Chấn thương bàn chân
Hình ảnh cho thấy những dấu hiệu gì và có ý nghĩa như thế nào?
Nhấp vào hình ảnh để xem phóng to.
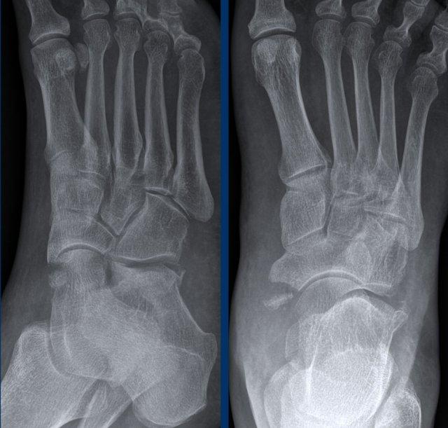
Ca 4 – Chấn thương bàn chân
Hình ảnh cho thấy những dấu hiệu gì và có ý nghĩa như thế nào?
Nhấp vào hình ảnh để xem phóng to.
Ca 5 – Đau mạn tính
Hình ảnh cho thấy những dấu hiệu gì và có ý nghĩa như thế nào?
Nhấp vào hình ảnh để xem phóng to.
Cổ chân
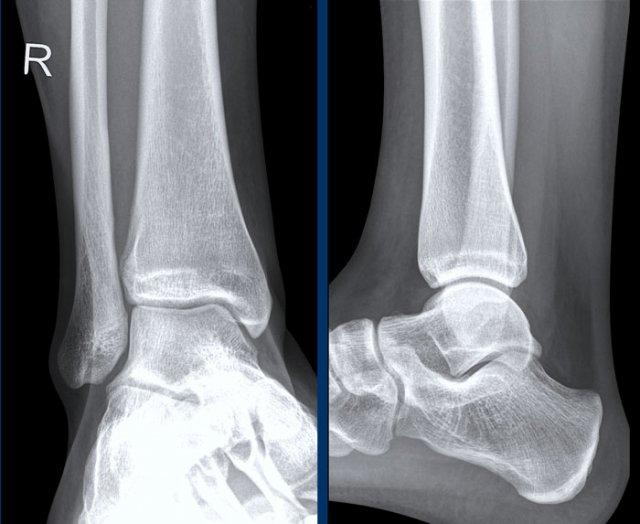
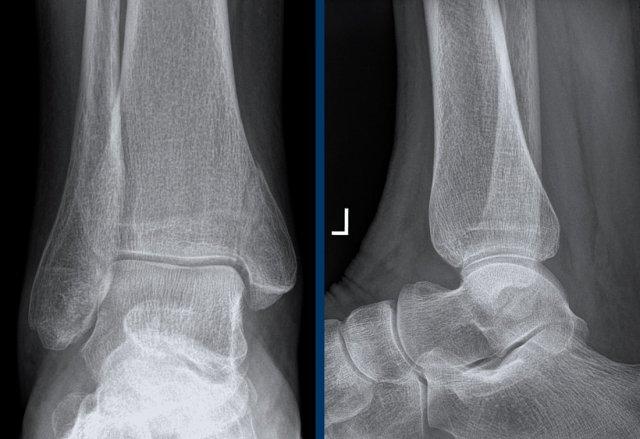
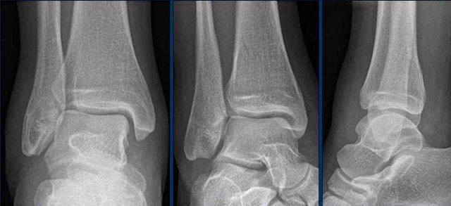
Ca 1 – Chấn thương cổ chân
Hình ảnh cho thấy những dấu hiệu gì và có ý nghĩa như thế nào?
Nhấp vào hình ảnh để xem phóng to.
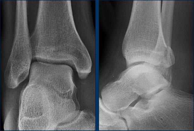
Ca 2 – Chấn thương cổ chân
Hình ảnh cho thấy những dấu hiệu gì và có ý nghĩa như thế nào?
Nhấp vào hình ảnh để xem phóng to.
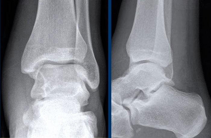
Ca 3 – Chấn thương cổ chân
Hình ảnh cho thấy những dấu hiệu gì?
Phân độ tổn thương trong trường hợp này là gì?
Nhấp vào hình ảnh để xem phóng to.
Ca 4 – Chấn thương cổ chân
Hình ảnh cho thấy những dấu hiệu gì?
Phân độ tổn thương trong trường hợp này là gì?
Nhấp vào hình ảnh để xem phóng to.
Ca 5 – Chấn thương cổ chân
Hình ảnh cho thấy những dấu hiệu gì và có ý nghĩa như thế nào?
Nhấp vào hình ảnh để xem phóng to.









