Bụng cấp trong Phụ khoa – Siêu âm
Đây là bài viết minh họa
về các bệnh lý phụ khoa
có thể gây đau bụng cấp tính, trong phạm vi thường gặp trong thực hành X quang hàng ngày.
Các tình trạng xuất hiện
trong thai kỳ đã được xác định như
sảy thai, thai ngoài tử cung giai đoạn sớm, vỡ tử cung và nhau bong non, cũng như viêm nội mạc tử cung sau sinh,
không được đưa vào vì chúng thuộc lĩnh vực chuyên môn
của bác sĩ phụ khoa.
Các tình trạng này hiếm khi gặp trong thực hành chẩn đoán hình ảnh hàng ngày về
bụng cấp tính.
Để nhận xét phê bình và góp ý bổ sung: j.puylaert@gmail.com
Introduction
Bảng này tóm tắt các bệnh phụ khoa có thể biểu hiện
với đau bụng cấp tính.
It is divided into pathology in:
- Pregnant women
- Women in the post-partum period
- Non-pregnant women
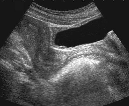
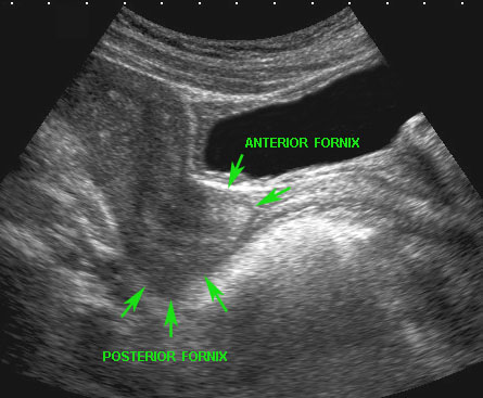
Normal US anatomy
Tử cung và buồng trứng được quan sát rõ nhất khi bàng quang chứa đầy một nửa.
Bàng quang quá căng đầy gây khó chịu cho bệnh nhân, cản trở việc ép đầu dò đúng mức và đẩy các cơ quan ra xa thành bụng phía trước, làm hạn chế việc sử dụng đầu dò tần số cao.
Trên mặt phẳng đứng dọc có thể xác định được tử cung, cổ tử cung, âm đạo, trực tràng hậu môn và niệu đạo (u.), cũng như túi cùng trước và túi cùng sau của âm đạo ở trạng thái xẹp.
Nghiên cứu tử cung ở tư thế gập sau đòi hỏi bàng quang phải được làm đầy nhiều hơn.
Mặt cắt ngang cho phép quan sát cả tử cung
và buồng trứng.
Bản thân tử cung cũng có thể cung cấp
một cửa sổ âm học để quan sát buồng trứng.
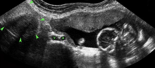
Với tử cung ở tư thế gập trước, các buồng trứng nằm khá về phía bụng và thường có thể được quan sát bằng cách sử dụng các mạch máu chậu phải và trái làm cửa sổ âm học (hình).
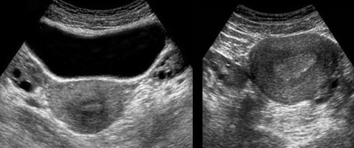
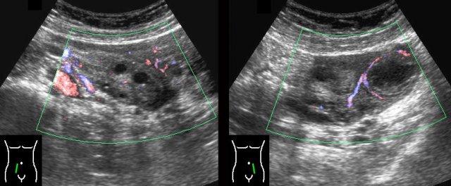
Dominant follicle
Ở phụ nữ trong độ tuổi sinh sản, buồng trứng bình thường ở trạng thái không hoạt động cho thấy mức độ mạch máu hóa vừa phải (hình bên trái).
Trong giai đoạn tiền rụng trứng, nang trội
có thể được nhận biết qua hình ảnh “vòng lửa” (hình bên phải).
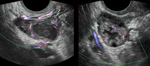
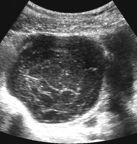
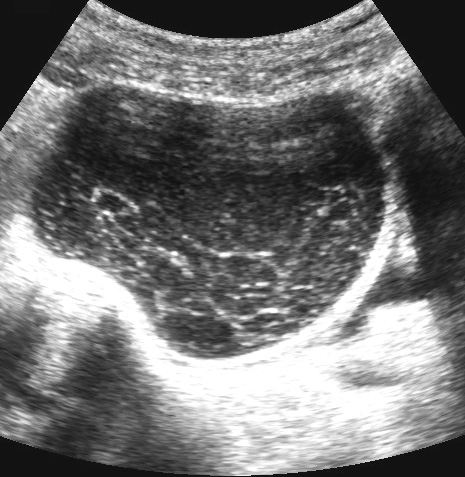
Luteal body
Sau khi rụng trứng, nang trứng trội trở nên nhỏ hơn
(trái) và trong trường hợp không có thai, chuyển thành thể vàng có nếp nhăn (phải).
Siêu âm qua âm đạo (TVUS) có nhiều ưu điểm vượt trội trong
việc quan sát tử cung và buồng trứng.
Nó cũng có thể được sử dụng cho các tình trạng không phải phụ khoa như viêm ruột thừa, viêm túi thừa, v.v.
Việc sử dụng siêu âm qua âm đạo sẽ được đề cập trong một bài viết khác: Siêu âm qua âm đạo cho các bệnh lý không thuộc phụ khoa.
Các tình trạng phụ khoa cấp tính trong thai kỳ
Thai ngoài tử cung
Nguyên nhân quan trọng nhất gây đau bụng cấp tính ở phụ nữ mang thai là thai ngoài tử cung.
Do đó, ở mọi phụ nữ trong độ tuổi sinh sản có biểu hiện đau bụng cấp tính, cần định lượng nồng độ β-hCG.
Dấu hiệu đặc trưng trên siêu âm của thai ngoài tử cung là sự kết hợp giữa nồng độ β-hCG tăng cao trong huyết thanh hoặc nước tiểu với hình ảnh tử cung rỗng.
Tuy nhiên, có rất nhiều bẫy chẩn đoán, đặc biệt trong giai đoạn thai ngoài tử cung sớm.
Các ổ dịch nhỏ trong buồng tử cung và niêm mạc tử cung dày có thể dẫn đến chẩn đoán nhầm là thai trong tử cung.
Mặt khác, một thai trong tử cung rất sớm có thể chưa hiển thị được trên siêu âm.
Tất cả những bẫy chẩn đoán này thuộc lĩnh vực chuyên biệt của bác sĩ phụ khoa và sẽ không được thảo luận ở đây.
Tình trạng mang thai có thể không được bác sĩ lâm sàng và bệnh nhân biết đến, và thai ngoài tử cung có thể biểu hiện với các triệu chứng không điển hình.
Trong những trường hợp như vậy, bác sĩ chẩn đoán hình ảnh có thể đối mặt với một trường hợp thai ngoài tử cung không được nghi ngờ trước và cần phải nhận biết các dấu hiệu siêu âm.
Ca lâm sàng 1
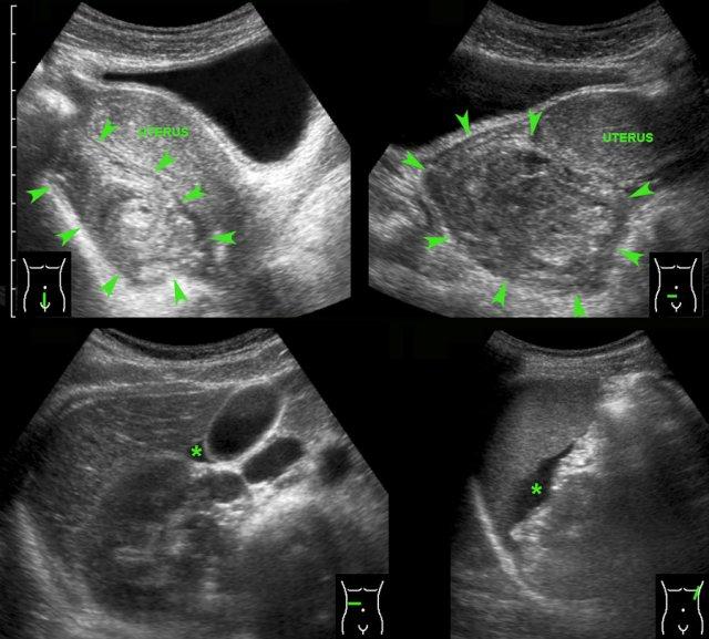
Bệnh nhân nữ 48 tuổi này nhập viện với các triệu chứng tương tự viêm ruột thừa và không biết mình đang mang thai.
Siêu âm cho thấy một khối lớn không đồng nhất, không có mạch máu (đầu mũi tên) ở phía phải và phía sau tử cung, nghi ngờ là cục máu đông lớn.
Ngoài ra còn có một ít máu đã hóa lỏng ở phía trên (*).
Xét nghiệm thai được thực hiện sau đó cho kết quả dương tính, và nội soi ổ bụng xác nhận thai vòi tử cung bị vỡ.
Ca lâm sàng 2
Ở bệnh nhân này được chuyển đến với nghi ngờ thủng dạ dày, một khối máu đông lớn không đồng nhất (đầu mũi tên) trong khoang phúc mạc trái đã được phát hiện (hình trên bên phải).
Một cục máu đông lớn như vậy có thể dễ dàng bị nhầm lẫn với mỡ mạc treo bình thường hoặc quai ruột.
Sự nhận thức và kiểm tra cẩn thận khối này, vốn không có nhu động, là những dấu hiệu hữu ích để phân biệt.
Bệnh nhân này cũng có nhiều dịch tự do, khi chọc hút xác nhận là máu đã hóa lỏng (hình dưới bên phải).
Nội soi ổ bụng phát hiện 1,5 lít máu và thai vòi tử cung bị vỡ.
Ca lâm sàng 3
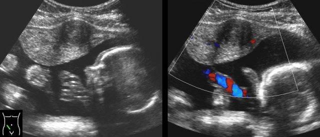
Bệnh nhân này được chuyển đến với nghi ngờ viêm ruột thừa có thủng.
Siêu âm cho thấy thai còn nguyên vẹn và ở phía phải tử cung (U.), một túi thai chứa thai nhi còn sống.
Tim thai được ghi nhận bằng siêu âm đầu dò âm đạo với chế độ M-mode (hình dưới bên phải).
Thai nhi còn sống được tìm thấy trong chưa đến 10% tổng số các trường hợp thai ngoài tử cung.
Ca lâm sàng 4
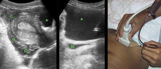
Chảy máu hoàng thể bắt chước hình ảnh thai ngoài tử cung
Ở người phụ nữ trẻ này, siêu âm cho thấy một lượng lớn máu đông (C.) và máu đã hóa lỏng (*) xung quanh tử cung, nghi ngờ thai ngoài tử cung. Tuy nhiên, nồng độ β-HCG trong cả nước tiểu và huyết thanh đều rất thấp.
Chọc hút dưới hướng dẫn siêu âm vào phần máu đã hóa lỏng xác nhận là máu. (bl. = bàng quang)
Nội soi ổ bụng phát hiện chảy máu nặng từ hoàng thể, đã được cầm máu thành công bằng đốt điện.
U xơ tử cung thiếu máu
Trong thai kỳ, u xơ tử cung có thể tăng kích thước và vượt quá khả năng cung cấp máu nuôi.
Ca lâm sàng 1
Bệnh nhân nữ mang thai 25 tuổi này nhập viện với khối sờ thấy được, đau ở hố chậu phải, nghi ngờ là “khối vùng ruột thừa”.
Siêu âm phát hiện một khối đặc, tròn, giảm âm, không đồng nhất, ít mạch máu xuất phát từ cơ tử cung, và “phồng ra” về phía thành bụng khi ấn đầu dò.
Chẩn đoán là u xơ tử cung thiếu máu.
Bệnh nhân được điều trị thành công bằng thuốc giảm đau.
Không cần dùng thuốc ức chế chuyển dạ.
Ca lâm sàng 2
Đây là một trường hợp khác của u xơ tử cung thiếu máu.
Vị trí ngoại sinh trong trường hợp này gợi ý đây là u xơ tử cung có cuống (đầu mũi tên).
Bệnh nhân này được điều trị thành công bằng thuốc giảm đau và thuốc ức chế chuyển dạ.
Xoắn phần phụ phì đại
Xoắn phần phụ gây đau vùng chậu đột ngột và dữ dội.
Các yếu tố nguy cơ gây xoắn phần phụ bao gồm thai kỳ, kích thích phóng noãn và buồng trứng phì đại > 4 cm (đặc biệt do nang hoặc khối u lành tính).
Ca lâm sàng 1
Bệnh nhân mang thai này nhập viện với đau cấp tính hố chậu trái.
Siêu âm phát hiện thai còn nguyên vẹn 8 tuần và ở phía trái tử cung một khối đau, không thể ép xẹp (đầu mũi tên), một phần dạng nang, một phần đặc, nghi ngờ xoắn phần phụ.
Nội soi ổ bụng phát hiện xoắn 360 độ của một nang hoàng thể.
Sau khi tháo xoắn, thành phần dịch lỏng được chọc hút.
Ca lâm sàng 2
Bệnh nhân mang thai 21 tuần được chuyển đến với nghi ngờ viêm ruột thừa. Bệnh nhân đã có các cơn tương tự trước đây.
Siêu âm cho thấy thai còn nguyên vẹn và ở hố chậu phải một nang bì lớn (đầu mũi tên).
Trong quá trình phẫu thuật mở bụng, nang bì bị phù nề, có thể do xoắn từng đợt.
Phẫu thuật cắt nang bảo tồn buồng trứng đã thành công.
Các tình trạng cấp tính ở phụ nữ không mang thai
Nang tồn lưu hoặc nang xuất huyết.
Ở phụ nữ trẻ có đau bụng cấp tính, hình ảnh phần phụ dạng nang to ra, có hoặc không kèm theo dịch tự do, là một phát hiện thường gặp.
Trong hầu hết các trường hợp, đây là nang chức năng đã vỡ hoặc đang chảy máu.
Các xét nghiệm thường trong giới hạn bình thường với CRP thấp và các bất thường trên siêu âm sẽ biến mất trong vài ngày hoặc vài tuần.
Ca lâm sàng 1
Ở người phụ nữ trẻ này, phát hiện một khối lớn dạng nang một phần với thành phần đặc, không có mạch máu (cục máu đông).
CRP duy trì ở mức thấp và cơn đau biến mất sau hai ngày.
Siêu âm theo dõi sau 6 tuần cho thấy hình ảnh hoàn toàn bình thường.
Cần lưu ý rằng các hình ảnh siêu âm này cũng có thể hoàn toàn không có triệu chứng.
Ca lâm sàng 2
Ở người phụ nữ trẻ này với hai ngày đau hố chậu phải và CRP bằng 2, siêu âm phát hiện một nang buồng trứng bên phải thành mỏng.
Siêu âm đầu dò âm đạo (TVUS) cho thấy hình ảnh điển hình của các vách ngăn mỏng như ren, đồng thời thấy phần buồng trứng bình thường còn lại chứa các nang noãn bị “đẩy” sang một bên bởi nang xuất huyết.
Hình ảnh hoàn toàn bình thường sau 6 tuần.
Ca lâm sàng 3
Các hình ảnh này của một phụ nữ 17 tuổi với cơn đau hố chậu phải cấp tính, dữ dội. CRP bằng 1.
Siêu âm phát hiện một nang buồng trứng phải thành dày, bờ không rõ và dịch tự do (*) trong túi cùng Douglas.
TVUS xác nhận hình ảnh dịch và một nang xẹp một phần, dễ ép xẹp ở buồng trứng phải.
Buồng trứng trái bình thường (hình dưới bên phải).
Cơn đau giảm dần và các xét nghiệm duy trì trong giới hạn bình thường.
Trong vòng một tuần, hình ảnh siêu âm hoàn toàn trở về bình thường.
Chẩn đoán có khả năng nhất: nang chức năng vỡ.
Ca lâm sàng 4
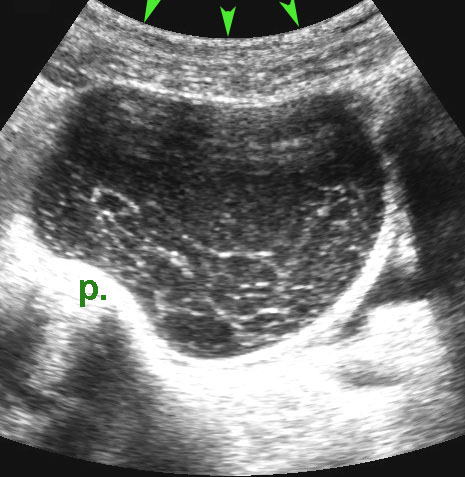
Nang xuất huyết chức năng này là phát hiện tình cờ và có thể dễ dàng ép xẹp vào mỏm nhô (p).
Các bất thường biến mất hoàn toàn trong vòng hai tuần.
Ca lâm sàng 5
Các nang xuất huyết tồn lưu thường chứa các khối đặc, không có mạch máu, không đồng nhất, đại diện cho cục máu đông.
Sự co rút của các cục máu đông này thường tạo ra các bờ lõm (đầu mũi tên).

Bẫy chẩn đoán: nang buồng trứng phải không triệu chứng ở phụ nữ bị viêm ruột thừa. (V= tĩnh mạch chậu)
Ca lâm sàng 6
Ở người phụ nữ trẻ này, một nang buồng trứng phải xuất huyết nổi bật (đầu mũi tên) được phát hiện và ban đầu được cho là nguyên nhân gây ra các triệu chứng ở hố chậu phải.
Tuy nhiên, thăm khám thêm cho thấy hình ảnh viêm ruột thừa cấp (mũi tên).
Nang buồng trứng là phát hiện tình cờ, không có triệu chứng.
Viêm vùng chậu (PID)
Bệnh viêm vùng chậu (PID) là thuật ngữ chung cho tất cả các nhiễm trùng đi lên từ cổ tử cung, nội mạc tử cung, buồng trứng và vòi trứng, lan rộng vào khoang phúc mạc.
Nguyên nhân gây bệnh bao gồm Chlamydia, lậu cầu và các vi khuẩn Gram âm, nhưng cấy vi khuẩn thường cho kết quả âm tính; trong trường hợp đó, chẩn đoán dựa trên biểu hiện lâm sàng và đáp ứng tốt với kháng sinh.
PID thường được chẩn đoán và điều trị dựa trên lâm sàng, tuy nhiên siêu âm thường được thực hiện để chẩn đoán, phân giai đoạn PID và loại trừ các bệnh lý khác như viêm ruột thừa.
PID ca lâm sàng 1
Một phụ nữ 32 tuổi đã được bác sĩ gia đình điều trị bằng kháng sinh với chẩn đoán nghi ngờ viêm bàng quang. Nay nhập viện với nghi ngờ lâm sàng viêm ruột thừa, CRP 190 và bạch cầu 9.
Siêu âm bình thường, nhưng chất lượng hình ảnh kém do béo phì. CT cho thấy ruột thừa 8 mm nhưng có hình ảnh bình thường (mũi tên) và tình trạng thâm nhiễm mỡ quanh phúc mạc hai bên (đầu mũi tên).
Ruột thừa trông “quá bình thường” so với mức CRP 190, do đó chẩn đoán có khả năng nhất là PID và kháng sinh được bắt đầu sử dụng.
Hai ngày sau, PCR Chlamydia cho kết quả dương tính.
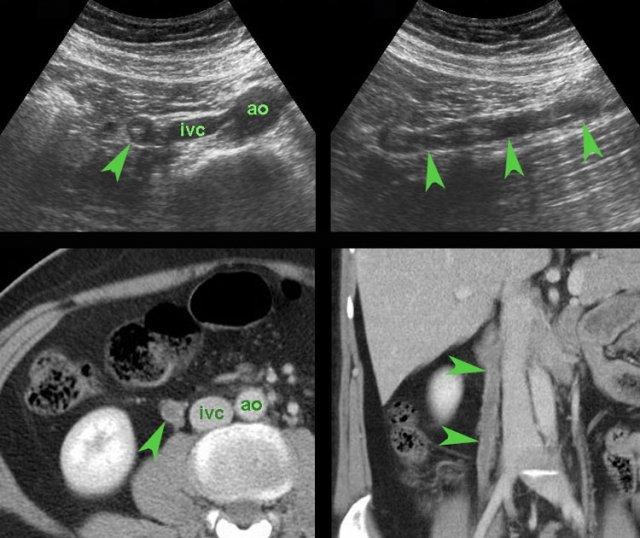
PID ca lâm sàng 2
Một phụ nữ trẻ với đau dữ dội ở hố chậu trái, CRP 530 và bạch cầu 22.
Phát hiện bất thường duy nhất trên siêu âm là một vùng mỡ trước phúc mạc tăng âm ở hố chậu trái.
CT xác nhận các phát hiện trên siêu âm.
Ruột thừa và phần phụ bình thường (không trình bày ở đây).
Chẩn đoán có khả năng nhất là PID.
Bệnh nhân đáp ứng tốt với kháng sinh và không tìm thấy vi sinh vật gây bệnh.
PID ca lâm sàng 3
Phụ nữ trẻ với đau hố chậu phải cấp tính và CRP 140.
Siêu âm bụng hoàn toàn bình thường.
TVUS cho thấy hình ảnh tăng sinh mạch máu nhẹ ở cả hai vòi trứng và buồng trứng, được bao quanh bởi mô mỡ tăng âm, ép xẹp vừa phải (*).
Đây là hình ảnh của mô mỡ phúc mạc, mạc treo và mạc nối bị viêm nhẹ.
CT xác nhận ruột thừa bình thường (mũi tên) và hình ảnh tăng tỷ trọng lan tỏa nhẹ của mỡ phúc mạc, mạc treo và mạc nối (*).
Bệnh nhân hồi phục nhanh chóng với kháng sinh. Cấy vi khuẩn và PCR đều âm tính.
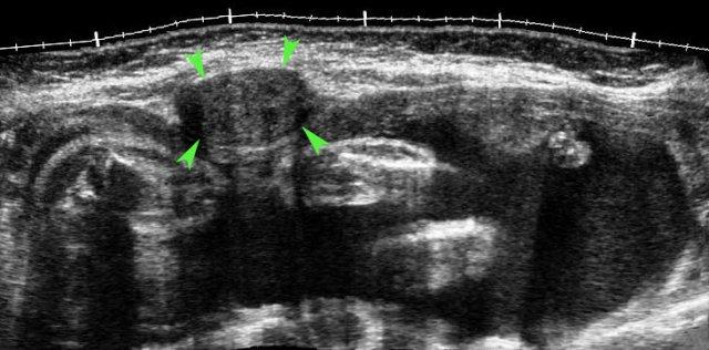
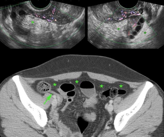
PID ca lâm sàng 4
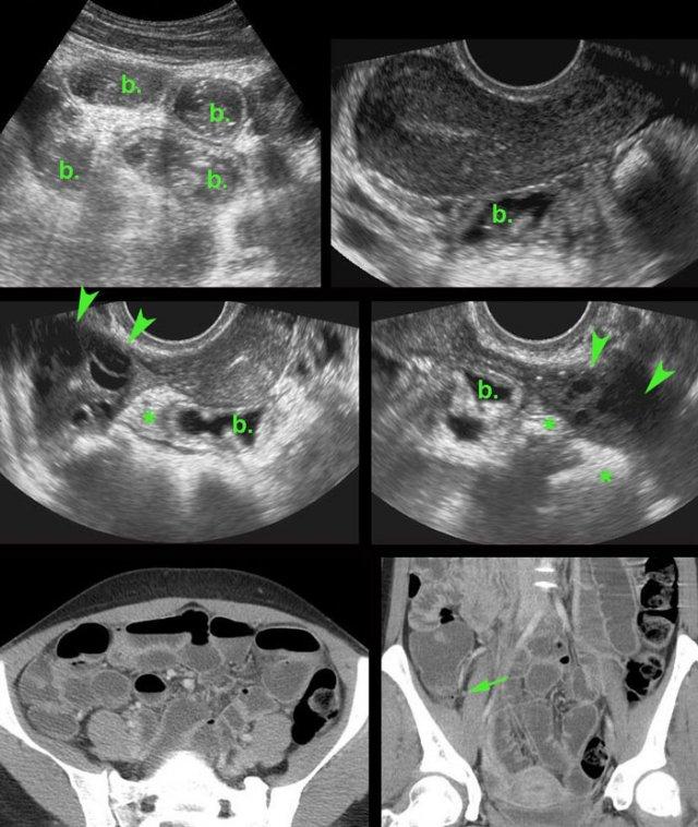
Các hình ảnh này của một phụ nữ trẻ bệnh nặng, đau nhiều với viêm phúc mạc toàn thể và CRP 250, nghi ngờ lâm sàng là thủng ruột thừa.
Siêu âm cho thấy ruột non mất nhu động (b.).
Không quan sát được ruột thừa.
TVUS cho thấy tử cung bình thường và buồng trứng bình thường (đầu mũi tên), được bao quanh bởi mô tăng âm (*).
CT xác nhận hình ảnh liệt ruột và ruột thừa bình thường (mũi tên).
PCR dương tính với lậu cầu.

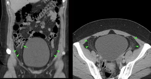
PID giai đoạn sớm với ruột thừa dày thứ phát. (ut. = tử cung, b = ruột non, a và v = động mạch và tĩnh mạch chậu, s = đại tràng sigma)
PID ca lâm sàng 5
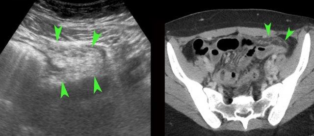
Phụ nữ trẻ nhập viện với đau hố chậu phải và CRP 70, nghi ngờ viêm ruột thừa.
Siêu âm cho thấy dịch đục trong túi cùng Douglas (*).
Tại vị trí đau tối đa, quan sát thấy ruột thừa có thể ép xẹp (mũi tên), được bao quanh bởi một ít mỡ tăng âm.
TVUS cho thấy dịch tự do đục, với CRP cao, nhiều khả năng là mủ.
Buồng trứng có hình ảnh bình thường nhưng được bao quanh bởi mỡ tăng âm, đang viêm.
Chẩn đoán:
PID giai đoạn sớm với phản ứng thứ phát tối thiểu của phúc mạc và ruột thừa.
Một ngày sau, PCR Chlamydia cho kết quả dương tính.
Lời kết
Tác giả xin gửi lời cảm ơn chân thành đến các đồng nghiệp bác sĩ chẩn đoán hình ảnh và bác sĩ phụ khoa vì sự hỗ trợ quý báu trong việc thu thập toàn bộ tài liệu giảng dạy.
Đặc biệt cảm ơn bác sĩ phụ khoa Jan Lind vì những góp ý trong quá trình biên soạn bản thảo.
Hoạt động từ thiện
Toàn bộ lợi nhuận từ Radiology Assistant được dành cho tổ chức Medical Action Myanmar, do Bác sĩ Nini Tun và Bác sĩ Frank Smithuis sr điều hành — ông là giáo sư tại Đại học Oxford và cũng là anh trai của Robin Smithuis.
Nhấn vào đây hoặc vào hình ảnh bên dưới để xem video về Medical Action Myanmar. Nếu bạn thấy Radiology Assistant hữu ích, xin hãy ủng hộ Medical Action Myanmar bằng một món quà nhỏ.





































