Bụng cấp ở trẻ sơ sinh
Trẻ sơ sinh bị bụng cấp thường biểu hiện với các triệu chứng nôn mửa, táo bón và chướng bụng.
Khi các triệu chứng xuất hiện ngay sau khi sinh, nguyên nhân phổ biến nhất là tắc nghẽn đường tiêu hóa.
Trong bài viết này, chúng tôi sẽ thảo luận về các dị tật tắc nghẽn đường tiêu hóa bẩm sinh cũng như một số bệnh lý mắc phải biểu hiện dưới dạng bụng cấp ở trẻ sơ sinh.
Chẩn đoán phân biệt
Bảng bên trái liệt kê các chẩn đoán phân biệt cho bụng cấp ở trẻ sơ sinh.
Tắc nghẽn cao được định nghĩa là tắc nghẽn xảy ra ở đoạn近 phía trên hồi tràng.
Tắc nghẽn thấp được định nghĩa là tắc nghẽn xảy ra tại hồi tràng hoặc đại tràng.
Mặc dù trong tắc nghẽn cao, nôn mửa sẽ là triệu chứng nổi bật nhất, trong khi ở tắc nghẽn thấp, táo bón sẽ là triệu chứng chính, tuy nhiên cả hai triệu chứng thường cùng xuất hiện đồng thời, và việc phân biệt lâm sàng giữa tắc nghẽn cao và tắc nghẽn thấp là rất khó khăn.
Viêm ruột hoại tử (NEC) và hẹp phì đại môn vị là những nguyên nhân mắc phải phổ biến nhất gây bụng cấp ở trẻ sơ sinh.
Viêm ruột hoại tử thường gặp nhất ở trẻ sinh non, đặc biệt khi cân nặng lúc sinh cực thấp.
Hẹp phì đại môn vị thường biểu hiện ở độ tuổi 4-8 tuần, nhưng đôi khi có thể xuất hiện trong giai đoạn sơ sinh sớm.
Chẩn đoán hình ảnh
X-quang bụng
Trong trường hợp nghi ngờ tắc ruột ở trẻ sơ sinh, bước đầu tiên là chụp X-quang bụng.
Trên phim X-quang, tắc ruột chỉ có thể được chẩn đoán khi ruột đã có đủ thời gian để chứa đầy khí sau khi sinh.
Bảng dưới đây thể hiện sự tiến triển bình thường của khí trong đường tiêu hóa.
Các dấu hiệu cần tìm kiếm trên phim X-quang bụng được liệt kê trong bảng.
Chúng tôi sẽ thảo luận từng mục riêng biệt.
Ngoài tư thế thẳng, cần thực hiện thêm tư thế nằm ngửa chụp ngang (cross-table view với chùm tia nằm ngang), giúp phát hiện khí tự do và đôi khi hỗ trợ phân biệt ruột non với đại tràng.
Trên phim X-quang, cần kiểm tra các đường truyền và ống thông, đồng thời đánh giá phổi, mô mềm và cấu trúc xương.
Vôi hóa thành bụng có thể gặp trong viêm phúc mạc phân su.
1. Giãn ruột?
Khi đường kính ruột lớn hơn khoảng cách liên cuống của L2, ruột được coi là giãn.
Giãn ruột mức độ nặng gặp trong tắc ruột hoàn toàn và đi kèm với mức khí-dịch trên phim chụp tư thế nằm ngửa chụp ngang.
Tuy nhiên, mức khí-dịch đơn thuần không nhất thiết tương ứng với giãn ruột, mà phản ánh tình trạng nhu động ruột bất thường.
Hình ảnh phân bố khí trong ruột không thay đổi theo thời gian cho thấy sự vắng mặt của nhu động ruột.
Trên hình ảnh bên trái, ruột bị giãn và đường kính vượt quá khoảng cách liên cuống L2 ở bệnh nhân tắc ruột phân su.
Trên hình ảnh bên phải, có hình ảnh giãn ruột mức độ nặng ở trẻ sơ sinh bị teo hỗng tràng.
2. Số lượng quai ruột giãn?
Từ ba quai ruột non giãn trở xuống trên phim X-quang bụng thường gợi ý tắc ruột cao.
Hình ảnh bên trái minh họa một trường hợp teo hỗng tràng.
Nhiều hơn ba quai ruột giãn gợi ý tắc ruột thấp.
Hình ảnh bên phải là một trường hợp teo hồi tràng.
3. Ruột non hay đại tràng?
Do trẻ sơ sinh chưa có các nếp bán nguyệt (haustra) ở đại tràng, việc phân biệt ruột non và đại tràng trên phim X-quang tư thế thẳng thường rất khó khăn.
Phim chụp tư thế nằm ngửa chụp ngang có thể hỗ trợ vì tắc đại tràng có thể tạo ra các mức dịch dài.
Hơn nữa, đại tràng lên, đại tràng xuống và trực tràng là các cấu trúc nằm ở vị trí sau hơn.
Để phân biệt chắc chắn ruột non với ruột già, cần phải thực hiện thụt tháo đại tràng có thuốc cản quang.
4. Trực tràng có chứa khí?
Nếu đã đủ thời gian sau khi sinh, trực tràng sẽ chứa đầy khí.
Vắng mặt khí trong trực tràng gợi ý tắc ruột.
Trong bệnh Hirschsprung, thường không có khí trong trực tràng hoặc chỉ có một dải khí mỏng.
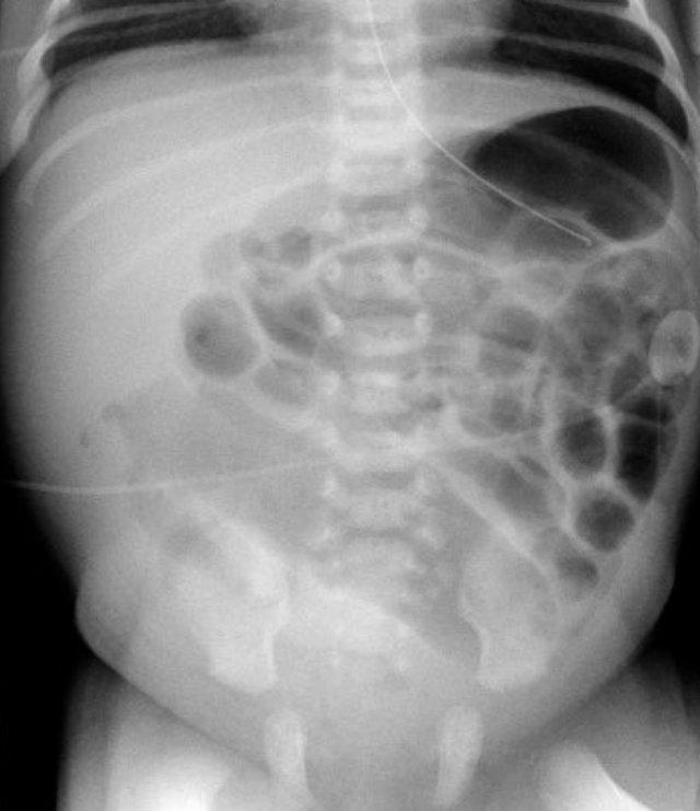
Hình ảnh cho thấy một trẻ sơ sinh với các quai ruột giãn.
Không có khí trong trực tràng.
Bệnh nhân này bị tắc ruột phân su.
5. Khí trong thành ruột (Pneumatosis intestinalis)?
Hãy quan sát hình ảnh.
Các dấu hiệu là gì?
Sau đó cuộn sang hình ảnh tiếp theo.
Nhận xét:
- Điều trông giống như phân dạng hạt trong lòng ruột (mũi tên vàng) thực chất là do khí trong thành ruột nhìn theo hướng trực diện (en face).
- Khí trong thành ruột dễ nhận biết nhất khi nhìn theo hướng tiếp tuyến, biểu hiện là các đường đen tuyến tính song song với lòng ruột (mũi tên xanh lá).
Khí trong thành ruột (Pneumatosis intestinalis) được định nghĩa là sự hiện diện của khí trong thành ruột.
Ở trẻ sơ sinh, dấu hiệu này gặp trong thiếu máu thành ruột do viêm ruột hoại tử.
Trên phim X-quang, khí trong thành ruột trông giống như phân dạng hạt, vốn là hình ảnh bình thường ở trẻ lớn hơn.
Tuy nhiên, trẻ sơ sinh chưa có phân dạng hạt vì chúng chỉ bú sữa.
Do đó, hình ảnh trông giống phân dạng hạt trong lòng ruột thực chất là khí trong thành ruột.
Các bóng khí có thể được hấp thu vào hệ thống tĩnh mạch, gây ra khí trong tĩnh mạch cửa.
Khí trong thành ruột có thể dẫn đến thủng ruột, biểu hiện là khí tự do trong ổ bụng (pneumoperitoneum).
6. Khí tự do và cổ trướng?
Lượng lớn khí tự do có thể thấy trên phim X-quang tư thế thẳng dưới cơ hoành, khi quan sát thấy cả hai mặt của thành ruột và hình ảnh dây chằng liềm được viền rõ.
Lượng nhỏ khí tự do chỉ có thể phát hiện trên phim chụp tư thế nằm ngửa chụp ngang.
Cổ trướng chỉ có thể nghi ngờ trên phim X-quang khi lượng dịch đủ lớn để khiến các quai ruột nổi lên và tập trung ở trung tâm ổ bụng.
Sự hiện diện đồng thời của cổ trướng, khí tự do và vôi hóa thành bụng gợi ý đã có thủng ruột trong tử cung kèm viêm phúc mạc phân su.
Chụp đường tiêu hóa trên
Trong trường hợp tắc ruột cao hoàn toàn điển hình (xem bên dưới) trên phim X-quang, không cần thêm chẩn đoán hình ảnh và không nên chụp đường tiêu hóa trên vì có thể gây hít sặc.
Khi tắc ruột không hoàn toàn hoặc kết quả hình ảnh chưa rõ ràng, chụp đường tiêu hóa trên được chỉ định.
Trước tiên, hút khí từ dạ dày đang giãn chứa đầy khí.
Luôn sử dụng thuốc cản quang tan trong nước ở trẻ sơ sinh và bơm từ từ.
Không làm căng dạ dày quá mức.
Tìm kiếm hình ảnh giãn và hẹp, đồng thời ghi nhận vị trí của góc Treitz.
Để xác định chính xác góc Treitz, trẻ phải nằm thẳng và phẳng vì tư thế xoay có thể giả tạo hình ảnh xoay ruột bất thường.
Nếu không có kế hoạch chụp thêm hình ảnh sau đó, hãy hút thuốc cản quang đã bơm ra khỏi dạ dày khi kết thúc thủ thuật.
Đây là hình ảnh chụp đường tiêu hóa trên cho thấy vị trí bình thường của góc Treitz nằm bên trái cột sống (mũi tên).
Góc Treitz đạt đến ngang mức hành tá tràng hoặc thậm chí cao hơn.
Trong xoay ruột bất thường, mà chúng tôi sẽ thảo luận sau, góc Treitz nằm bên phải cột sống.

Đại tràng nhỏ (Microcolon): đại tràng dài với đường kính nhỏ. Dấu hiệu này cho thấy phân su chưa đến được đại tràng. Khi tắc ruột được giải quyết và nội dung ruột đi qua đại tràng, đại tràng sẽ phát triển bình thường mà không để lại hậu quả lâu dài.
Thụt tháo đại tràng có thuốc cản quang
Trong các trường hợp nghi ngờ tắc ruột thấp, thụt tháo đại tràng có thuốc cản quang được chỉ định.
Sử dụng thuốc cản quang tan trong nước vì hai lý do: barium đặc có thể làm việc tống xuất phân su khó khăn hơn và thuốc cản quang tan trong nước có thể là thụt tháo điều trị hiệu quả trong các trường hợp nút phân su hoặc tắc ruột phân su.
Có thể sử dụng ống thông có bóng, nhưng không được bơm bóng trước khi đánh giá trực tràng và loại trừ bệnh Hirschsprung, vì áp lực cao từ bóng có thể gây thủng trực tràng!
Trong tay người có kinh nghiệm, bóng có thể được bơm nếu thấy cần thiết để đạt được độ làm đầy hoàn toàn, và phải thực hiện dưới quan sát huỳnh quang cẩn thận.
Hình ảnh tư thế nghiêng của trực tràng và đại tràng sigma cần được ghi nhận trước, tiếp theo là hình ảnh tư thế thẳng.
Tập trung vào đường kính trực tràng so với phần còn lại của đại tràng, sự hiện diện của đại tràng nhỏ và các hạt phân su.
Trong bệnh Hirschsprung, chỉ cần xác định chiều dài đoạn ruột bị tổn thương là đủ, nhưng trong các bệnh lý khác, cần cố gắng làm đầy thuốc đến hồi tràng tận, vì tắc nghẽn có thể nằm ở hồi tràng.
Tắc Nghẽn Cao Bẩm Sinh
Hầu hết các trường hợp tắc nghẽn cao xảy ra ở mức độ tá tràng.
Nôn mửa sẽ không có mật nếu tắc nghẽn nằm ở phía trên bóng Vater, và có mật (màu xanh lá cây) nếu nằm ở phía dưới bóng Vater.
Nôn mật là chỉ định chụp hình ảnh khẩn cấp vì có thể có xoắn ruột.
Teo thực quản
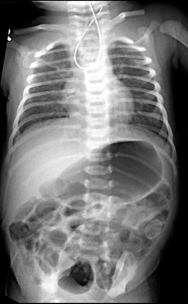
Hãy quan sát hình ảnh và mô tả các dấu hiệu trước.
Sau đó tiếp tục đọc.
Các dấu hiệu bao gồm:
- Ống thông dạ dày không thể đưa xuống được và nằm trong đoạn thực quản gần giãn rộng
- Hơi trong ổ bụng bình thường.
Chẩn đoán: teo thực quản kèm rò khí quản – thực quản đoạn xa
Teo thực quản là một dị tật xảy ra vào tuần thứ tư của quá trình phôi thai, ở giai đoạn mà khí quản và thực quản cần tách biệt nhau.
Khi quá trình tách biệt không hoàn toàn, teo thực quản có thể xảy ra.
Về lâm sàng, trẻ sơ sinh không thể nuốt nước bọt, có thể sùi bọt và sẽ bị sặc khi cho ăn.
Khi đặt ống thông dạ dày, ống không thể đưa xuống phía dưới được.
Hình X-quang với ống thông cuộn lại sẽ xác nhận chẩn đoán.
Không nên thực hiện chụp X-quang có uống thuốc cản quang vì có thể gây sặc nghiêm trọng.
Thường gặp giãn túi cùng hầu họng đoạn gần.
Trong 80% trường hợp có rò khí quản – thực quản đoạn xa.
Ít gặp hơn là:
- Không có rò – không có hơi trong dạ dày
- Rò đoạn gần – không có hơi trong dạ dày
- Hai đường rò – có hơi trong dạ dày
Hãy quan sát hình ảnh và mô tả các dấu hiệu trước.
Sau đó tiếp tục đọc.
Các dấu hiệu bao gồm:
- Ống thông dạ dày không thể đưa xuống được và nằm trong đoạn thực quản gần
- Ổ bụng không có hơi
- Điều này cho thấy không có rò khí quản – thực quản đoạn xa
Các trường hợp không có rò đoạn xa có thể được nghi ngờ trước sinh khi có đa ối và dạ dày rỗng.
Luôn kiểm tra phim X-quang để tìm các dị tật khác vì teo thực quản có thể là một phần của hội chứng VACTERL (dị tật đốt sống, teo hậu môn, dị tật tim mạch, rò khí quản – thực quản, dị tật thận và chi).
Teo tá tràng
Trong teo tá tràng, tá tràng không được tái thông đúng cách vào cuối tam cá nguyệt đầu tiên và hình thành một hoặc nhiều màng ngăn.
Trong trường hợp teo hoàn toàn, màng ngăn bịt kín hoàn toàn.
Teo thường xảy ra ở phía dưới bóng Vater.
Tắc nghẽn khiến tá tràng giãn rộng và tạo ra dấu hiệu bong bóng đôi (dạ dày và tá tràng giãn).
Khi có đa ối và dấu hiệu bong bóng đôi trước sinh, chẩn đoán có thể được nghi ngờ trước khi sinh.
Hãy quan sát hình ảnh và mô tả các dấu hiệu trước.
Sau đó tiếp tục đọc.
Các dấu hiệu bao gồm:
- Dấu hiệu bong bóng đôi không có hơi ruột phía dưới.
Điều này xác nhận chẩn đoán teo tá tràng và không cần thêm hình ảnh học nào khác.
Ở trẻ sinh non cực kỳ nhỏ, chẩn đoán có thể khó khăn hơn khi tá tràng chưa có đủ thời gian để giãn rộng.
Đây là một trường hợp teo tá tràng khác với dấu hiệu bong bóng đôi điển hình.
Lưu ý rằng ống thông dạ dày – tá tràng có thể làm xẹp dạ dày và tá tràng, gây khó khăn cho việc đọc phim.
Có thể bơm một ít khí qua ống trước khi chụp.
Khoảng 30% bệnh nhân teo tá tràng có hội chứng Down và có mối liên quan với các dị tật VACTERL, xoay ruột bất thường và bất thường cây đường mật.
Màng ngăn tá tràng
Hãy quan sát hình ảnh và mô tả các dấu hiệu trước.
Sau đó tiếp tục đọc.
Các dấu hiệu bao gồm:
- Dạ dày giãn rộng
- Tá tràng đoạn gần giãn nhẹ hơn
- Có hơi ruột phía dưới cho thấy tắc nghẽn tá tràng không hoàn toàn.
Phim X-quang này được chụp chỉ vài giờ sau sinh và hơi chưa đến được ruột non đoạn xa và đại tràng.
Màng ngăn tá tràng có cùng nguyên nhân với teo tá tràng, nhưng màng ngăn có lỗ thủng và tắc nghẽn không hoàn toàn.
Tùy thuộc vào mức độ hẹp, bệnh nhân có thể biểu hiện trong giai đoạn sơ sinh hoặc ở độ tuổi muộn hơn.
Phim X-quang có thể cho thấy dấu hiệu bong bóng đôi, nhưng vẫn có hơi ruột phía dưới.
Đây là một trường hợp màng ngăn tá tràng khác.
Cả phim X-quang thường và chụp X-quang đường tiêu hóa trên đều không thể phân biệt được giữa màng ngăn tá tràng và tụy vòng nhẫn.
Tuy nhiên, tụy vòng nhẫn ít gặp hơn.
Bệnh thường được phát hiện tình cờ hoặc ở người lớn khi dẫn lưu mật bất thường liên quan gây viêm tụy.
Một chẩn đoán hiếm gặp khác có hình ảnh học tương tự là tĩnh mạch cửa trước tá tràng – thường kết hợp với các bất thường khác trong ổ bụng (như đảo ngược phủ tạng không hoàn toàn).
Hãy quan sát các hình ảnh chụp X-quang đường tiêu hóa trên và mô tả các dấu hiệu trước.
Sau đó tiếp tục đọc.
Các dấu hiệu bao gồm:
- Tá tràng đoạn gần giãn rộng (dấu hoa thị)
- Một lượng nhỏ thuốc cản quang đi qua màng ngăn tá tràng đến tá tràng đoạn xa (mũi tên)
Xoay ruột bất thường
Trong quá trình phát triển phôi thai, sự tăng trưởng của ruột đòi hỏi phải thoát vị vào túi omphalomạc treo.
Vào tuần thứ mười của thai kỳ, ruột trở về khoang bụng.
Quá trình trở về này đi kèm với sự xoay ngược chiều kim đồng hồ của ruột giữa để đạt được vị trí cuối cùng với dây chằng Treitz ở góc phần tư trên trái và manh tràng ở góc phần tư dưới phải, được treo bởi mạc treo dài.
Xoay ruột bất thường xảy ra khi quá trình xoay bị gián đoạn hoặc thậm chí đảo ngược.
Hậu quả là ruột có vị trí bất thường, mạc treo ngắn và các dải phúc mạc, gọi là dải Ladd, có thể bắc qua từ manh tràng đến gan hoặc thành bụng trước.
- Trái
Tình trạng bình thường với tá tràng nằm sau phúc mạc.
Dây chằng Treitz nằm bên trái cột sống.
Ruột non chủ yếu nằm bên trái.
Manh tràng ở góc phần tư dưới phải.
Mạc treo dài.
- Giữa
Dây chằng Treitz bị dịch chuyển xuống dưới và sang phải.
Ruột non chủ yếu nằm bên phải.
Các dải xơ bắc qua đoạn thẳng đứng của tá tràng gây tắc nghẽn. - Phải
Xoắn ruột do mạc treo ngắn. Ruột thiếu máu.
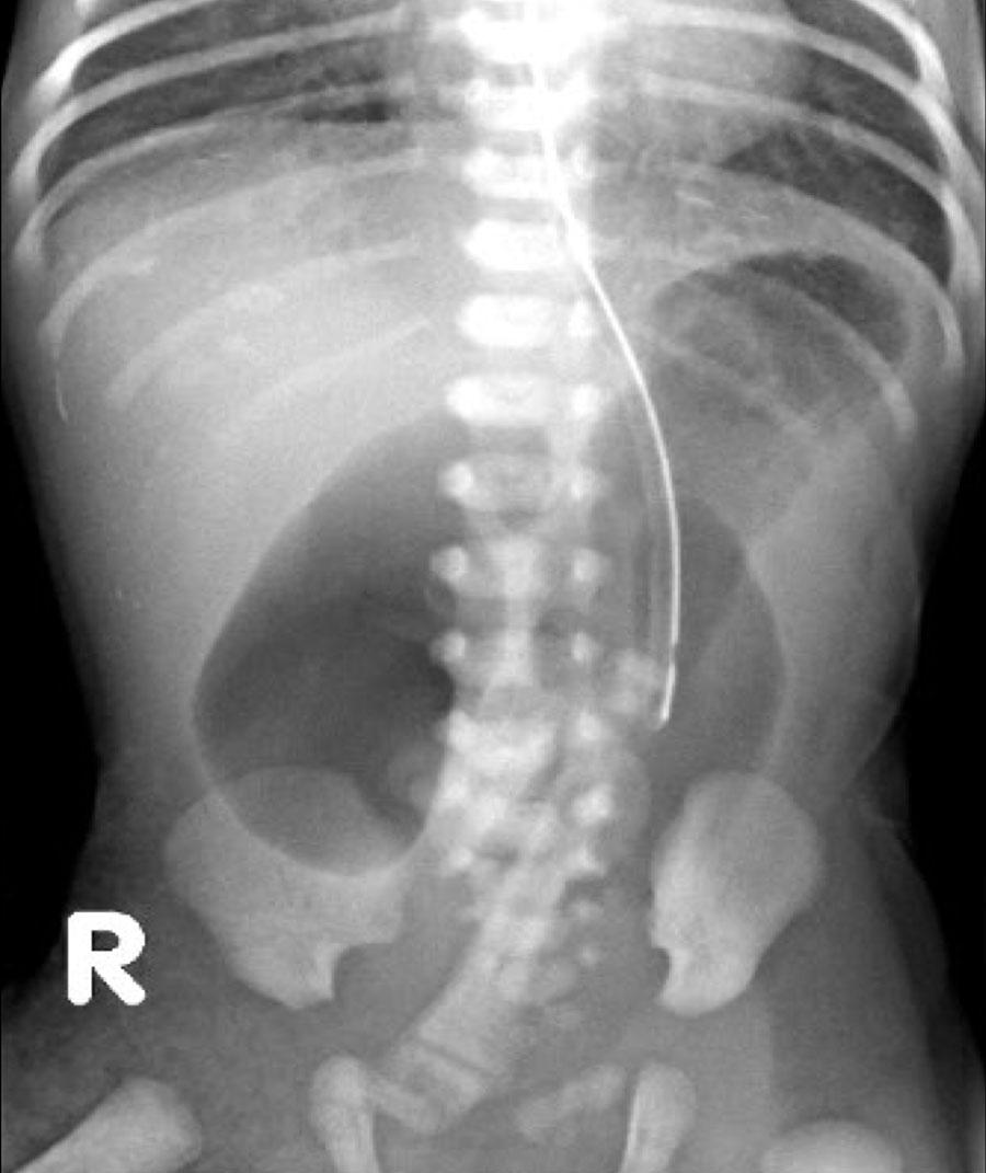
Đây là một trẻ sơ sinh bị xoay ruột bất thường.
Phim X-quang bụng không đặc hiệu (hình bên trái)
Chụp X-quang đường tiêu hóa trên cho thấy rõ ràng ruột non nằm bên phải cột sống.
Xoay ruột bất thường chỉ trở nên có triệu chứng khi xoắn ruột xảy ra do mạc treo ngắn hoặc khi dải Ladd gây tắc nghẽn tá tràng.
Cả hai biểu hiện này đều
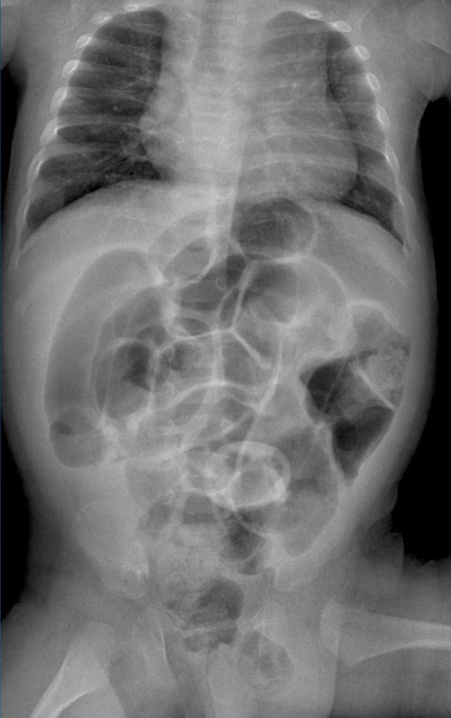
Tắc Ruột Thấp Bẩm Sinh
Tắc ruột thấp là tình trạng tắc nghẽn xảy ra ở hồi tràng hoặc đại tràng.
Phân su thường phải được tống xuất trong vòng 48 giờ sau sinh.
Trong trường hợp tắc ruột thấp, trẻ sơ sinh sẽ gặp khó khăn trong việc tống xuất phân su hoặc hoàn toàn không tống xuất được.
Do tình trạng táo bón, trẻ sẽ bắt đầu nôn ói.
Sự hiện diện của đại tràng nhỏ (microcolon) trên phim thụt tháo đại tràng cho thấy phân su chưa đến được đại tràng và vị trí tắc nghẽn nằm ở phía trên (gần) so với đại tràng.
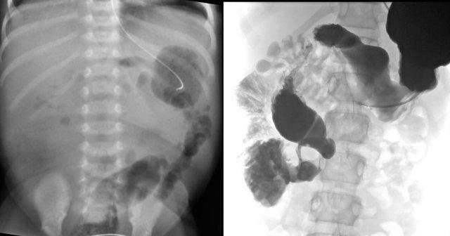
Teo hồi tràng
Tương tự như teo hỗng tràng, teo hồi tràng là hậu quả của một biến cố thiếu máu cục bộ xảy ra trong tử cung.
Có thể tồn tại đồng thời nhiều ổ teo, nhưng đoạn hồi tràng xa là vị trí thường gặp nhất.
Phim X-quang sẽ cho thấy nhiều quai ruột giãn và không có khí trong đại tràng như hình ảnh bên trái.
Thụt tháo đại tràng sẽ thấy hình ảnh đại tràng nhỏ với thuốc cản quang lấp đầy kết thúc dạng túi cùng ở hồi tràng (mũi tên trên hình bên phải).
Tắc ruột phân su
Tắc ruột phân su xảy ra hầu như chỉ ở bệnh nhân mắc xơ nang (cystic fibrosis).
Ở 10% bệnh nhân, đây là biểu hiện đầu tiên của bệnh.
Do rối loạn chức năng ngoại tiết của tụy và bất thường dịch tiết ruột, phân su trở nên đặc quánh bất thường và bị ứ đọng trong hồi tràng.
Đây là thể tương đương ở giai đoạn sơ sinh của hội chứng tắc ruột đoạn xa (DIOS – distal intestinal obstruction syndrome).
Đôi khi phim X-quang cho thấy hình ảnh điển hình “bong bóng xà phòng”, đại diện cho các bóng khí bị giữ lại giữa các viên phân su.
Phân su đặc quánh ngăn cản sự xuất hiện của mức khí-dịch trên phim chụp tư thế nằm nghiêng.
Các quai ruột thường có khẩu kính khác nhau và không phải tất cả đều giãn. Thụt tháo đại tràng cho thấy đại tràng nhỏ với các viên phân su xếp chồng lên nhau trong hồi tràng.
Sau khi đã chẩn đoán tắc ruột phân su, có thể lựa chọn bơm thuốc cản quang ưu trương vừa phải vào đại tràng với mục đích điều trị, vì điều này có thể giúp hòa tan phân su và đóng vai trò như một biện pháp thụt tháo hiệu quả.
Do thuốc cản quang ưu trương sẽ tạo ra sự dịch chuyển dịch và từ đó có thể gây mất nước, điều quan trọng là phải thông báo rõ ràng với bác sĩ lâm sàng để bổ sung dịch và đảm bảo theo dõi liên tục, thận trọng.
Đây là hai trường hợp tắc ruột phân su.
Có hình ảnh đại tràng nhỏ và nhiều viên phân su ở đoạn ruột non xa (mũi tên).

Hội chứng nút phân su: trực tràng bình thường và đại tràng trái có khẩu kính nhỏ. Do trẻ có trực tràng chức năng bình thường nên tiếp tục tống xuất thuốc cản quang và phải sử dụng ống thông có bóng chèn.
Hội chứng nút phân su
Hội chứng nút phân su còn được gọi là hội chứng đại tràng trái nhỏ.
Tình trạng ứ đọng phân su ở đại tràng trái xảy ra khi đại tràng chưa trưởng thành về mặt chức năng với nhu động kém.
Có mối liên quan với đái tháo đường thai kỳ và việc sử dụng thuốc trong thai kỳ. Tình trạng này chỉ mang tính tạm thời và khi các nút phân su được giải phóng, đại tràng sẽ giãn và hoạt động bình thường trở lại.
Trẻ sơ sinh nhìn chung khỏe mạnh và không có mối liên quan với bệnh xơ nang.
Trên phim X-quang không có khí trong trực tràng.
Thụt tháo đại tràng cho thấy đường kính trực tràng bình thường, điều này loại trừ bệnh Hirschsprung.
Không có hình ảnh đại tràng nhỏ.
Phân su được tìm thấy rải rác khắp đại tràng, nhưng điển hình nhất là ở đại tràng trái, vùng này cũng có thể có khẩu kính nhỏ hơn.
Tương tự như tắc ruột phân su, có thể lựa chọn thụt tháo bằng thuốc cản quang ưu trương để giúp giải phóng phân su (xem phần trên).
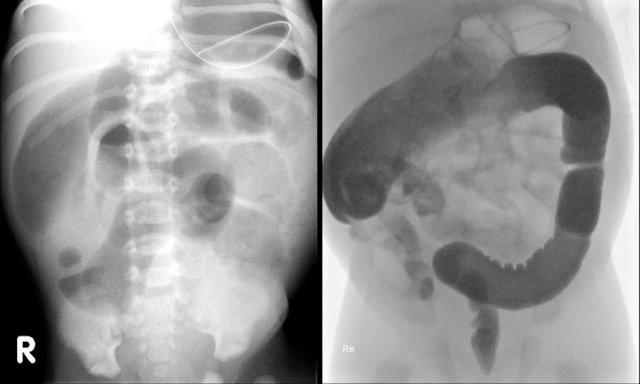
Bệnh Hirschsprung
Trong bệnh Hirschsprung, các tế bào hạch thần kinh vắng mặt ở đoạn xa của đại tràng.
Do các tế bào hạch ruột di cư theo hướng từ đầu xuống đuôi, vùng vô hạch luôn bao gồm trực tràng.
Bệnh lan rộng hơn sẽ mở rộng theo hướng miệng một cách liên tục.
Đoạn ruột bị tổn thương có khẩu kính nhỏ và đoạn ruột phía trên đoạn bị ảnh hưởng bị giãn.
Trong bệnh Hirschsprung, tỷ lệ giữa đoạn ruột mất thần kinh và đoạn ruột không bị ảnh hưởng là <1.
Điều quan trọng là phải mô tả chiều dài của đoạn ruột bị tổn thương.
Hầu hết các trường hợp là thể đoạn ngắn và vô hạch toàn bộ là hiếm gặp.
Trong trường hợp vô hạch toàn bộ, chẩn đoán khó khăn hơn vì toàn bộ đại tràng có khẩu kính nhỏ và trông giống như đại tràng nhỏ (microcolon).
Bắt đầu thụt tháo ở tư thế nằm nghiêng để đánh giá trực tràng.
Lưu lại các hình ảnh cine từ lần bơm thuốc cản quang đầu tiên, vì khi bơm thêm thuốc, các dấu hiệu có thể bị che khuất do ruột giãn quá mức.
Bình thường trực tràng phải rộng hơn đại tràng sigma.
Hình ảnh cho thấy chỉ số trực tràng-sigma bất thường <1.
Đây là một trường hợp khác của bệnh Hirschsprung.
Chẩn đoán xác định bệnh Hirschsprung được khẳng định bằng sinh thiết.
Khoảng 90% trường hợp bệnh Hirschsprung được chẩn đoán trong giai đoạn sơ sinh, nhưng một số trường hợp được phát hiện muộn hơn trong cuộc sống.
Teo hậu môn
Chẩn đoán teo hậu môn thường rõ ràng trên lâm sàng qua quan sát và thăm khám bằng ngón tay.
Teo hậu môn là một phần trong phổ dị tật hậu môn-trực tràng và ổ nhớp, là một rối loạn phức tạp.
Chẩn đoán hình ảnh và điều trị cần được thực hiện tại các trung tâm chuyên khoa.
Ban đầu có thể sử dụng phim X-quang thường và siêu âm để xác định vị trí của dị tật và đánh giá nhu cầu làm hậu môn nhân tạo.
Ở giai đoạn muộn hơn và trước khi phẫu thuật triệt để, sự kết hợp giữa các nghiên cứu chiếu chụp dưới màn tăng sáng và MRI sẽ được sử dụng để mô tả giải phẫu phức tạp của các cấu trúc hậu môn-trực tràng, tiết niệu-sinh dục, vùng chậu và tầng sinh môn cũng như các đường rò liên quan.
Teo hậu môn là một phần của nhóm dị tật VACTERL và bệnh nhân cần được tầm soát các dị tật đi kèm.
Nguyên nhân mắc phải gây bụng cấp
Viêm ruột hoại tử
Viêm ruột hoại tử là tình trạng viêm ruột nặng.
Căn nguyên chưa được xác định hoàn toàn và dường như là sự kết hợp của niêm mạc ruột non chưa trưởng thành, nhiễm trùng và thiếu máu cục bộ.
Hình ảnh X-quang ban đầu không đặc hiệu và có thể chỉ cho thấy giãn ruột.
Hình ảnh quai ruột không thay đổi theo thời gian là dấu hiệu đáng lo ngại.
Khí trong thành ruột (pneumatosis intestinalis) và khí trong tĩnh mạch cửa (pneumoportogram) đều có thể được phát hiện trên X-quang và siêu âm.
Biến chứng đáng sợ nhất là thủng ruột.
Viêm ruột hoại tử xảy ra thường xuyên nhất, nhưng không phải chỉ giới hạn, ở trẻ sinh non.
Trẻ sơ sinh bị stress nặng, ví dụ như mắc bệnh tim, cũng có nguy cơ mắc bệnh.
Về lâm sàng, tình trạng ứ đọng dạ dày và phân có máu có thể là manh mối quan trọng để chẩn đoán.
Các hình ảnh cho thấy một trường hợp điển hình của viêm ruột hoại tử với khí trong thành ruột.
Trên hình chụp tia ngang, không có dấu hiệu khí tự do trong ổ bụng.
Đây là hình ảnh của một trẻ sơ sinh phát triển viêm ruột hoại tử.
Ở giai đoạn sớm này, X-quang chỉ cho thấy hình ảnh giãn ruột không đặc hiệu.
Ở giai đoạn này, không thể xác lập chẩn đoán.
Đây là một trường hợp điển hình khác của viêm ruột hoại tử.
Lưu ý hình ảnh khí trong tĩnh mạch cửa (mũi tên) và các nhánh tĩnh mạch cửa ngoại vi.
Dấu hiệu này được thấy trên X-quang và siêu âm.
Ở bệnh nhân viêm ruột hoại tử này, hãy chú ý các bóng khí trong thành ruột và trong nhu mô gan.
Tràn khí ổ bụng trong viêm ruột hoại tử nặng.
Khí có thể được nhìn thấy ở cả hai phía của thành ruột.
Đây được gọi là dấu hiệu Rigler.
Khoảng 20% bệnh nhân viêm ruột hoại tử có thể xuất hiện hẹp ruột ở giai đoạn muộn hơn.
Đôi khi viêm ruột hoại tử có thể diễn tiến dưới lâm sàng và hẹp ruột là dấu hiệu duy nhất cho thấy trẻ sơ sinh đã trải qua bệnh lý này.
Hình ảnh bên trái được chụp 6 ngày sau sinh, cho thấy ruột giãn với khí trong thành ruột.
Hình chụp thụt tháo đại tràng lúc 6 tuần tuổi cho thấy hẹp ở đại tràng xuống (mũi tên).
Đây là hình ảnh hẹp dài đoạn đại tràng ngang ở một trẻ đã mắc viêm ruột hoại tử.
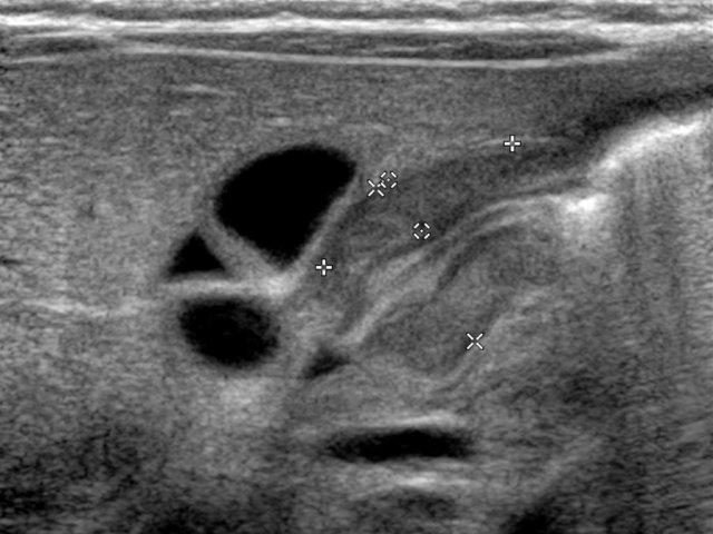
Hẹp môn vị phì đại
Nôn vọt là đặc điểm lâm sàng chủ yếu ở bệnh nhân hẹp môn vị phì đại.
Nguyên nhân gây phì đại cơ dẫn đến tắc nghẽn đường ra dạ dày vẫn chưa được biết rõ.
Có yếu tố khuynh hướng gia đình và bệnh gặp nhiều hơn ở trẻ trai.
Hẹp môn vị phì đại thường biểu hiện sau giai đoạn sơ sinh, ở độ tuổi 4-8 tuần.
Tuy nhiên, biểu hiện sớm hơn cũng có thể xảy ra.
Siêu âm ở trẻ nhịn ăn sẽ cho thấy dịch ứ đọng trong dạ dày. Không có sự lưu thông qua cơ môn vị phì đại.
Để quan sát tối ưu, trẻ cần được đặt nằm nghiêng phải và nếu dạ dày rỗng, cần cho trẻ uống dung dịch Pedialyte hoặc glucose trong khi thực hiện siêu âm.
Nếu dạ dày quá đầy, có thể đặt trẻ nằm nghiêng trái để giúp môn vị di chuyển ra phía trước.
Đường kính ngang của thành cơ đơn là số đo đáng tin cậy nhất để chẩn đoán phì đại cơ môn vị.
Số đo lớn hơn 3 mm trên hình cắt ngang cho thấy phì đại cơ.
Đường kính ngang toàn bộ lớn hơn 14 mm và chiều dài toàn bộ ống môn vị lớn hơn 15 mm hỗ trợ cho chẩn đoán.
- Thành cơ đơn > 3mm
- Đường kính ngang toàn bộ > 14mm
- Chiều dài ống môn vị > 15mm
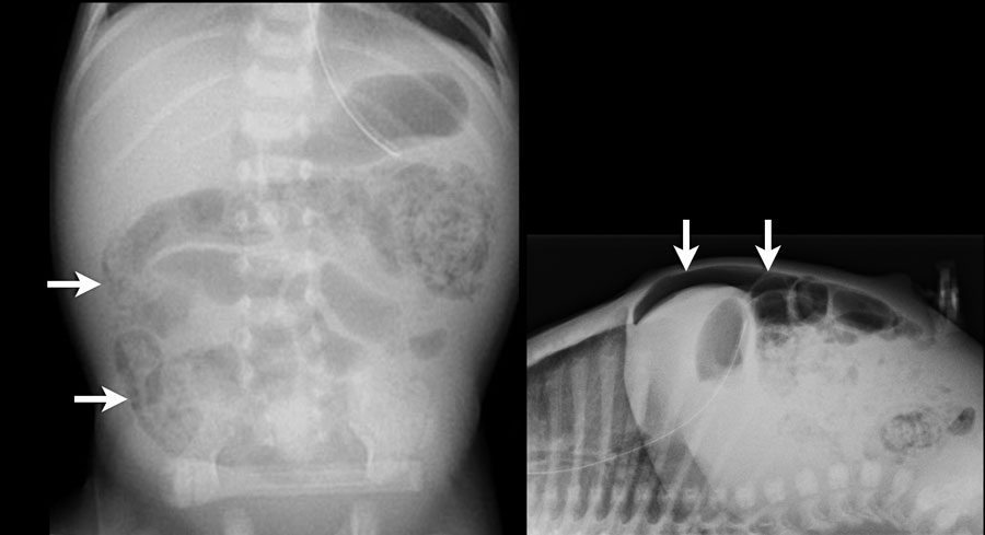
Thoát vị nghẹt
Trẻ sơ sinh và đặc biệt là trẻ sinh non có thành bụng tương đối yếu và thoát vị bẹn thường gặp, đặc biệt ở trẻ trai.
Trong trường hợp có nhiều quai ruột giãn trên X-quang, cần luôn kiểm tra vùng bẹn để tìm thoát vị chứa quai ruột (hình).
Siêu âm là phương thức lựa chọn để đánh giá thoát vị, và ở trẻ gái, điều quan trọng là phải tìm kiếm thoát vị buồng trứng.
Hãy phân tích hình ảnh.
Các dấu hiệu là gì và chẩn đoán của bạn là gì.
Các dấu hiệu bao gồm:
- Nhiều quai ruột giãn gợi ý tắc ruột đoạn xa.
- Quai ruột ở vùng bẹn trái
Đây là trường hợp thoát vị bẹn nghẹt.
Ca lâm sàng kiểm tra
Ca lâm sàng 1
Quan sát hình ảnh.
Mô tả các dấu hiệu và đưa ra chẩn đoán của bạn.
Sau đó cuộn qua các hình ảnh để xem chẩn đoán.
Các dấu hiệu bao gồm:
- Phim X-quang bụng cho thấy dấu hiệu bong bóng ba (triple bubble sign) không có hơi ruột ở phía xa.
- Vôi hóa trong ổ bụng
Chẩn đoán:
Teo hỗng tràng và thủng trong tử cung gây viêm phúc mạc phân su.
Ca lâm sàng 2
Quan sát hình ảnh.
Mô tả các dấu hiệu và đưa ra chẩn đoán của bạn.
Sau đó cuộn qua các hình ảnh để xem chẩn đoán.
Các dấu hiệu bao gồm:
- Nhiều quai ruột non giãn cho thấy tắc nghẽn đoạn thấp
- Thụt tháo cản quang cho thấy khẩu kính trực tràng nhỏ hơn so với khẩu kính đại tràng sigma
- Trực tràng có hình ảnh co thắt dạng răng cưa.
Chẩn đoán:
Bệnh Hirschsprung đoạn ngắn.
Ca lâm sàng 3
Quan sát hình ảnh.
Mô tả các dấu hiệu và đưa ra chẩn đoán của bạn.
Sau đó cuộn qua các hình ảnh để xem chẩn đoán.
Các dấu hiệu bao gồm:
- Nhiều quai ruột non giãn cho thấy tắc nghẽn đoạn thấp
- Thụt tháo cản quang cho thấy khẩu kính nhỏ ở trực tràng, đại tràng sigma và đại tràng xuống
Chẩn đoán:
Bệnh Hirschsprung đoạn dài
Ca lâm sàng 4
Quan sát hình ảnh.
Mô tả các dấu hiệu và đưa ra chẩn đoán của bạn.
Sau đó cuộn qua các hình ảnh để xem chẩn đoán.
Các dấu hiệu bao gồm:
- Nhiều quai ruột non giãn
- Khí trong thành ruột (Pneumatosis intestinalis).
- Tràn khí ổ bụng (Pneumoperitoneum).
Chẩn đoán:
Viêm ruột hoại tử (NEC) có thủng ruột.





















































