Bìu cấp ở trẻ em
Bài viết này dựa trên bài thuyết trình của Gael Lonergan tại khóa học ‘Teaching in Holland’ và được Robin Smithuis chuyển thể cho the Radiology Assistant.
Trong tổng quan này, chúng tôi sẽ thảo luận các chủ đề sau:
- Torsion of testis and appendage
- Infection: epididymitis, epididymoorchitis, orchitis
- Trauma
- Hernia
- Idiopathic scrotal edema
Testicular torsion
Xoắn tinh hoàn xảy ra khi tinh hoàn di động bất thường bị xoắn trên thừng tinh, làm tắc nghẽn nguồn cung cấp máu.
Bệnh nhân biểu hiện với cơn đau tinh hoàn dữ dội khởi phát đột ngột.
Tình trạng thiếu máu cục bộ có thể dẫn đến hoại tử tinh hoàn nếu không được xử lý trong vòng 5-6 giờ kể từ khi đau.
Xoắn tinh hoàn có thể xảy ra từng đợt và có thể tự tháo xoắn.
Ở trẻ em bị bìu cấp tính, xoắn tinh hoàn không phải là tình trạng phổ biến nhất (Bảng).
Xoắn phần phụ tinh hoàn là nguyên nhân gây đau bìu thường gặp hơn.
Thông thường, bệnh khởi phát từ từ hơn so với xoắn tinh hoàn và bệnh nhân có thể chịu đựng cơn đau trong nhiều ngày trước khi tìm kiếm sự chăm sóc y tế.
Xoắn phần phụ tinh hoàn xuất hiện dưới dạng tổn thương giảm âm với vùng giảm âm trung tâm nằm kề cạnh mào tinh hoàn.
Tuy nhiên, trong hầu hết các trường hợp, chúng ta không thấy được hình ảnh này và siêu âm được thực hiện chủ yếu để loại trừ xoắn tinh hoàn.
Chúng ta nên xem xoắn phần phụ tinh hoàn như một chẩn đoán loại trừ.
Vì vậy, mặc dù xoắn phần phụ tinh hoàn và viêm mào tinh hoàn phổ biến hơn, mục tiêu chính của chúng ta là phát hiện hoặc loại trừ xoắn tinh hoàn.
Chúng ta cần có khả năng cho phẫu thuật viên biết liệu đây có phải là một cấp cứu ngoại khoa hay không.

Testicular torsion: Optimal setting for color on normal side, followed by examination of symptomatic side.
Color doppler
Sự vắng mặt hoàn toàn của dòng chảy máu trong tinh hoàn và dòng chảy máu ngoài tinh hoàn bình thường trên hình ảnh Doppler màu có giá trị chẩn đoán, nếu dòng chảy ở tinh hoàn đối bên bình thường.
Tuy nhiên, sự hiện diện của dòng chảy trong tinh hoàn không loại trừ khả năng xoắn tinh hoàn, vì tắc nghẽn mạch máu không hoàn toàn đôi khi có thể xảy ra hoặc xoắn tinh hoàn ngắt quãng.
Trường hợp bên trái cho thấy xoắn tinh hoàn trái.
Trường hợp này rất rõ ràng vì không có dòng chảy ở bên bị ảnh hưởng, đồng thời cũng có sự khác biệt về độ hồi âm.
Trong trường hợp xoắn kéo dài, tinh hoàn thường giảm âm và không đồng nhất, thường kèm theo tràn dịch màng tinh hoàn xung quanh.
Khi các dấu hiệu siêu âm này xuất hiện, khả năng cứu vãn tinh hoàn bằng phẫu thuật là rất thấp.
Sử dụng đầu dò tuyến tính ít nhất 10 MHz.
Luôn bắt đầu bằng việc khảo sát bên bình thường và tối ưu hóa các cài đặt cho dòng chảy thấp, sức cản thấp và vận tốc thấp.
Nhiễu nền nên vừa đủ nhìn thấy ở tinh hoàn không có triệu chứng.
Khi đã có hình ảnh tốt của bên bình thường, không thay đổi bất kỳ cài đặt nào và chuyển sang bên có triệu chứng.
Ở trẻ rất nhỏ, việc khám tinh hoàn có thể gặp khó khăn do tinh hoàn rất nhỏ và di động.
Tinh hoàn trước dậy thì có thể tích khoảng 1-2 cc, trong khi tinh hoàn sau dậy thì có thể tích khoảng 30cc.
Theo độ tuổi, tinh hoàn tăng dần độ hồi âm, do đó ở trẻ rất nhỏ, tinh hoàn nhỏ có thể khó phân biệt với mô mỡ xung quanh, đặc biệt khi tinh hoàn co rút vào ống bẹn (hình).
Khi bắt đầu thăm khám, bạn có thể đặt ngón tay lên ống bẹn để tinh hoàn không thể di chuyển xung quanh.
Siêu âm Doppler màu có độ nhạy hạn chế trong việc phát hiện lưu lượng máu ở bệnh nhân nhi có thể tích tinh hoàn nhỏ hơn 1cc.
Ở bên trái là hai trường hợp nữa.
Ở ngoài cùng bên trái là một trẻ 10 tháng tuổi bị xoắn tinh hoàn.
Có nhiều lưu lượng máu trong các mô xung quanh tinh hoàn hơn so với trong tinh hoàn, điều này là bất thường, trừ khi trẻ bị viêm mô tế bào.
Ca bên cạnh là một trẻ lớn hơn.
Siêu âm thang xám cho thấy tinh hoàn bất thường.
Vì vậy đây có thể là xoắn tinh hoàn hoặc viêm tinh hoàn, nhưng sự vắng mặt của dòng chảy cho chúng ta biết rằng đây chắc chắn là xoắn tinh hoàn.
Presentation
Tinh hoàn thường bị nâng cao do xoắn và do chính dây tinh bị ngắn lại, và có thể nằm theo trục ngang.
Bên bị ảnh hưởng có thể to hơn do bản thân tinh hoàn bị sưng, tràn dịch màng tinh hoàn hoặc dày da.
Gray scale Ultrasound
Siêu âm thang xám có giá trị hỗ trợ, không phải trong việc chẩn đoán, mà trong việc tiên lượng kết quả.
Trong 4-6 giờ đầu, cấu trúc tinh hoàn vẫn bình thường.
Trong giai đoạn này tinh hoàn vẫn có thể bảo tồn được, do đó hình ảnh bình thường trên siêu âm thang xám đồng nghĩa với tiên lượng tốt.
Sau giai đoạn này, tinh hoàn trở nên không đồng nhất và to ra trong vòng 4-24 giờ tiếp theo, mào tinh hoàn và thành bìu có thể sưng lên và giảm âm.
Hình ảnh tinh hoàn ngày càng xấu đi trên siêu âm thang xám tương quan với khả năng sống sót giảm dần (1).
Cách để nhận biết sự khác biệt về độ hồi âm là chụp ảnh cắt ngang của cả hai tinh hoàn.
Các hình ảnh bên trái cho thấy bên bị ảnh hưởng có kích thước lớn hơn và độ hồi âm cao hơn.
Tinh hoàn này có thể không còn khả năng bảo tồn.
Tinh hoàn có thể có độ hồi âm cao hơn hoặc thấp hơn, điều đó không quan trọng, miễn là có sự khác biệt thì tiên lượng sẽ xấu.
Epididymitis
Viêm mào tinh hoàn là quá trình viêm phổ biến nhất liên quan đến bìu và thường gặp hơn ở người lớn.
Nhiễm trùng thường xuất phát từ đường tiết niệu dưới bao gồm bàng quang, niệu đạo hoặc tuyến tiền liệt và thường do các tác nhân gây bệnh đường tiết niệu hoặc các vi sinh vật lây truyền qua đường tình dục (Chlamydia hoặc lậu cầu).
Viêm mào tinh hoàn cũng xảy ra ở trẻ em, nhưng khi đó là do nhiễm vi khuẩn Streptococcus hoặc Staphylococcus.
Trong các bất thường đường tiết niệu, cũng có thể thấy nhiễm vi khuẩn E.Coli.
Viêm mào tinh hoàn hóa học vô khuẩn có thể xảy ra do trào ngược nước tiểu vô khuẩn qua các ống phóng tinh, chẳng hạn như khi niệu quản đổ vào niệu đạo tuyến tiền liệt, điều này có thể dẫn đến tăng áp lực trong ống dẫn tinh. .
Bên trái là một trẻ bị thoát vị màng não tủy kèm viêm mào tinh hoàn.
Do áp lực bàng quang tăng cao và các cơn co bóp chống lại cơ thắt đóng, đã xảy ra hiện tượng trào ngược không chỉ vào niệu quản trái và tuyến tiền liệt, mà còn vào mào tinh hoàn, dẫn đến viêm mào tinh hoàn.
Trường hợp bên trái cho thấy các đặc điểm điển hình của viêm mào tinh hoàn.
Mào tinh hoàn sưng to và không đồng nhất.
Có tràn dịch màng tinh hoàn và dày thành bìu.
Trên siêu âm Doppler màu cho thấy tăng lưu lượng máu.
Mào tinh hoàn bình thường chỉ có lưu lượng màu hạn chế.
Orchitis
Viêm tinh hoàn được đặc trưng bởi các tổn thương tinh hoàn giảm âm, khu trú, ngoại vi, có ranh giới không rõ, dạng vô định hình hoặc hình lưỡi liềm.
Viêm tinh hoàn cũng biểu hiện tăng sinh mạch máu tinh hoàn trên hình ảnh siêu âm Doppler màu và thường kèm theo tăng sinh mạch máu mào tinh do viêm mào tinh hoàn đồng thời.
Tràn dịch màng tinh hoàn phản ứng cũng thường gặp trong viêm mào tinh hoàn-tinh hoàn.
Nhồi máu tinh hoàn khu trú có thể xảy ra như một biến chứng của viêm mào tinh hoàn khi tình trạng sưng nề của mào tinh hoàn đủ nặng để chèn ép nguồn cung cấp máu cho tinh hoàn.
Biểu hiện này là một khối giảm âm trong tinh hoàn không có tín hiệu dòng chảy.
Các biến chứng của viêm tinh hoàn là hình thành áp xe và thiếu máu cục bộ.
Trường hợp bên trái là một bệnh nhân trẻ tuổi, đến khám một tuần trước với tình trạng tinh hoàn xung huyết và viêm mào tinh hoàn.
Do tình trạng nhiễm trùng tiến triển, áp lực bên trong tinh hoàn tăng lên dẫn đến nhồi máu.
Đây không phải do xoắn tinh hoàn, nhưng có thể dễ dàng bị nhầm lẫn với xoắn tinh hoàn.
Bên trái là hai trường hợp có vùng bất thường trong tinh hoàn, có thể do hình thành áp xe.
Trauma
Hematocele
Trong chấn thương, có thể xuất hiện tụ máu màng tinh hoặc khối máu tụ tinh hoàn.
Trong giai đoạn cấp tính, xuất huyết có hồi âm tăng và trong giai đoạn mạn tính, hồi âm giảm.
Một tụ máu bìu là kết quả của xuất huyết bìu hoặc trong ổ bụng.
Nó biểu hiện là tình trạng chảy máu giữa các lá của áo tinh mạc và xuất hiện dưới dạng một khối dịch phức tạp.
Theo thời gian, khối dịch này có thể phát triển thành các ngăn, xuất hiện dưới dạng các vách dày.
Điều quan trọng là phải xác định được tinh hoàn có còn nguyên vẹn hay không, vì nếu có vỡ, đôi khi có thể điều trị bằng phẫu thuật.
Bên trái là hình ảnh một bệnh nhân với tụ máu bìu điển hình.
Testicular rupture
Vỡ tinh hoàn được biểu hiện trên siêu âm là những thay đổi khu trú về độ hồi âm của tinh hoàn, tương ứng với các vùng xuất huyết hoặc nhồi máu trong tinh hoàn ở bệnh nhân có tụ máu bìu.
Đường gãy rõ ràng chỉ được xác định trong dưới 20% các trường hợp, mặc dù những thay đổi có thể nhìn thấy được ở đường viền tinh hoàn là một phát hiện thường gặp.
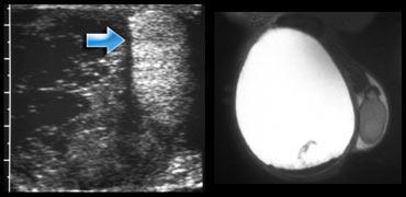
Bên trái là một trường hợp phức tạp.
Siêu âm cho thấy một tràn máu màng tinh hoàn lớn.
Có nghi ngờ liệu cấu trúc tăng âm đó có thực sự là tinh hoàn hay không.
MRI đã được thực hiện và không tìm thấy mô tinh hoàn, vì vậy chúng ta phải kết luận rằng cấu trúc tăng âm này là kết quả của một khối máu tụ mới.
Bên trái là một bệnh nhân khác bị vỡ tinh hoàn, được phát hiện trên CT bụng.
Trên siêu âm có một vùng không đồng nhất lớn không xác định được tinh hoàn do vỡ.
Hernia

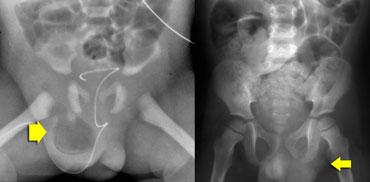
LEFT: herniated bowel in preterm.RIGHT: left-sided hernia in constipated child due to intermitted herniation of sigmoid.
Thoát vị ở trẻ em rất phổ biến, đặc biệt ở trẻ sinh non.
Đôi khi chúng ta có thể nhìn thấy chúng trên phim chụp thường quy như trong trường hợp ở hình bên trái.
Nếu chúng chứa đầy quai ruột, chúng dễ dàng được phát hiện, nhưng đôi khi các thoát vị này chỉ chứa mô mềm
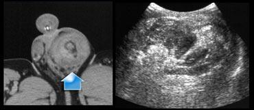
Khám siêu âm bắt đầu với trẻ ở tư thế nằm và sau đó tiếp tục ở tư thế đứng.
Ruột hoặc mạc nối có thể nhìn thấy tách biệt với tinh hoàn (hình).
Quai ruột đi xuống qua ống phúc tinh mạc chưa đóng.
Thoát vị nghẹt là nguyên nhân gây đau bìu cấp tính.
Nhu động ruột gợi ý khả năng sống còn và sự vắng mặt của nhu động ruột là dấu hiệu đáng lo ngại cho tình trạng nghẹt.
Idiopathic Scrotal Edema
Phù bìu vô căn thường gặp ở trẻ em trong độ tuổi đi học.
Biểu hiện lâm sàng là sưng da bìu.
Vì vậy, câu hỏi lâm sàng đặt ra là liệu có xoắn tinh hoàn hay nhiễm trùng hay không.
Khi thăm khám, tinh hoàn và mào tinh hoàn bình thường và tất cả những gì chúng ta thấy trên siêu âm là phù da bìu.
Nếu đây là tất cả những gì chúng ta thấy và trẻ không có sốt hoặc tăng bạch cầu, vốn có thể gặp trong viêm mô tế bào, thì chúng ta có thể chẩn đoán phù bìu vô căn.
Mặc dù đây là một bệnh vô căn, nghĩa là chúng ta không biết nguyên nhân gây ra nó, nhưng việc chẩn đoán xác định vẫn rất quan trọng.
Sẽ an tâm hơn nhiều cho các bậc phụ huynh khi được thông báo rằng con họ có một chẩn đoán cụ thể, rằng bệnh lành tính và sẽ tự khỏi theo thời gian.
Điều đó tốt hơn là nói với họ rằng bạn không biết đó là bệnh gì, nhưng không phải xoắn tinh hoàn, nên bạn không thực sự lo lắng về nó.




















