Bệnh phổi nang – Chẩn đoán phân biệt
Trong bài viết này, chúng tôi mô tả một thuật toán để thiết lập chẩn đoán phân biệt trong bệnh phổi dạng nang.
Khi bạn phát hiện một hình ảnh trong phổi trông giống như nang phổi, bạn cần tự đặt ra ba câu hỏi sau:
- Đây có thực sự là nang phổi hay là một tổn thương khác?
- Đây chỉ là phát hiện tình cờ không có ý nghĩa lâm sàng hay chúng ta cần xem xét đến bệnh phổi dạng nang?
- Làm thế nào để thiết lập chẩn đoán phân biệt khi nghĩ đến bệnh phổi dạng nang?
Tiếp Cận Chẩn Đoán
Bước 1 – Đây có phải là nang phổi thực sự hay tổn thương dạng nang?
Nang phổi là bất kỳ cấu trúc chứa khí có giới hạn rõ nào trong nhu mô phổi với thành mỏng (< 2 mm) và thường đều đặn.
Trong phần tiếp theo, chúng ta sẽ thảo luận về cách phân biệt nang với hang, khí phế thũng, phế nang khí (pneumatocele), v.v.
Bước 2 – Đây có phải là phát hiện tình cờ hay cần lo ngại?
Một số ít nang phổi có thể gặp theo tuổi tác (Araki et al, 2015).
Nang được coi là phát hiện tình cờ không có ý nghĩa lâm sàng nếu có không quá 4 nang ở những người trên bốn mươi tuổi.
Đó là lý do tại sao quy tắc kinh nghiệm của chúng tôi là ‘quy tắc 4 và 40’.
Bước 3 – Có thể bạn đang đối mặt với bệnh phổi dạng nang
Có kèm theo Nốt không – Nghĩ đến LCH và LIP.
Có kèm theo Kính mờ không – Nghĩ đến LIP và DIP.
Không có Nốt hay Kính mờ – Nghĩ đến BHD, LAM, LCH và LIP.
LCH – Bệnh mô bào Langerhans (Langerhans Cell Histiocytosis) là bệnh đa cơ quan có liên quan chặt chẽ đến hút thuốc lá. Có thể có các nốt, nốt tạo hang và nang có hình dạng bất thường, thường không ảnh hưởng đến các ngách màng phổi.
LIP – Viêm phổi kẽ tế bào lympho (Lymphocytic Interstitial Pneumonia) liên quan đến các bệnh tự miễn như Sjogren, và cả HIV. Các nang thường xuất hiện cùng với một số kính mờ hoặc lưới, đôi khi kèm theo các nốt nhỏ. Số lượng nang hạn chế và chủ yếu nằm ở vùng phổi dưới.
DIP – Viêm phổi kẽ dạng bong vảy (Desquamative Interstitial Pneumonia) liên quan đến hút thuốc lá. Các nang nằm trong vùng kính mờ, phân bố đáy phổi, ngoại vi và đối xứng. Thường có các thay đổi xơ hóa trong vùng kính mờ.
LAM – U cơ trơn bạch mạch (Lymphangioleiomyomatosis) là rối loạn di truyền chủ yếu ở phụ nữ (dạng tản phát) hoặc trong bối cảnh phức hợp xơ cứng củ. Điển hình là nhiều nang nhỏ, tròn phân bố lan tỏa, đôi khi kèm tràn dịch màng phổi (tràn dưỡng chấp). Bệnh nhân cũng có thể có u cơ mỡ mạch thận.
BHD – Hội chứng Birt-Hogg-Dubé là bệnh di truyền liên quan đến u da và tăng nguy cơ ung thư biểu mô tế bào thận (RCC). Số lượng nang hạn chế, chủ yếu nằm ở ngoại vi vùng phổi dưới.
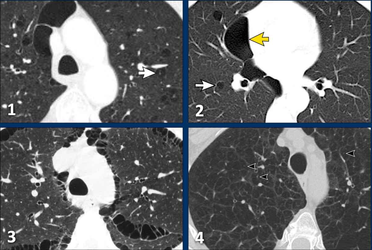
Bước 1: Đây có phải là nang phổi thực sự hay tổn thương dạng nang?
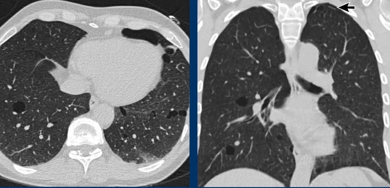
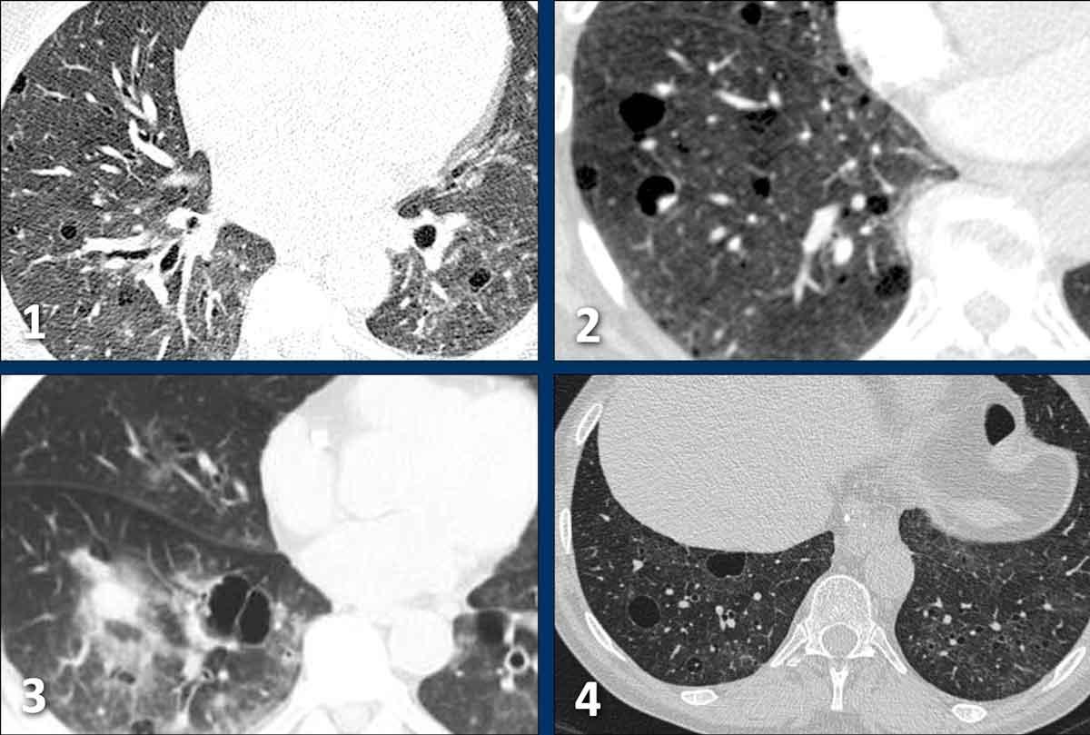
Tổn thương đơn độc
Nang đơn giản có thành bao quanh mỏng, mảnh.
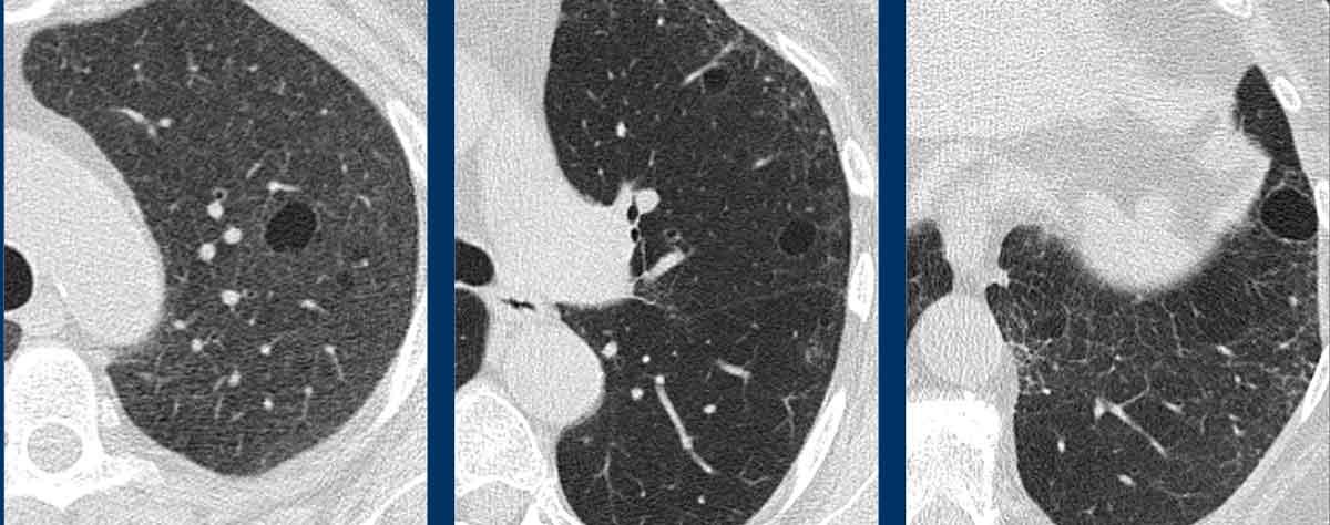
Trong hình minh họa là một số tổn thương đơn độc có thể giả dạng nang phổi.
- Nang phổi thực sự đơn giản với thành mỏng, nhẵn.
- Hang với thành dày, không đều trong trường hợp lao phổi.
Hình ảnh này cũng có thể gặp trong ác tính, các nhiễm trùng khác hoặc viêm mạch. - Bóng khí phế thũng (bulla) không có thành ở bệnh nhân khí phế thũng trung tiểu thùy.
- Phế nang khí (Pneumatocele). Có thể trông giống nang đơn giản, nhưng thường có tiền sử chấn thương ngực, thở máy với chấn thương áp lực hoặc nhiễm trùng.
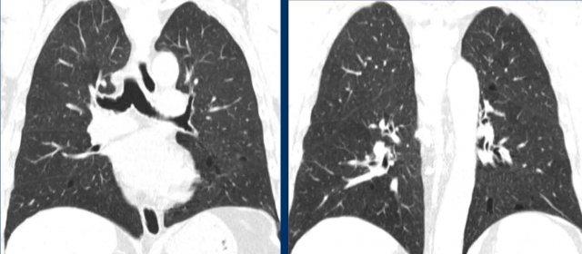
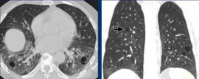
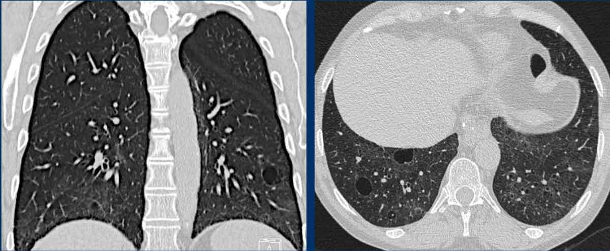
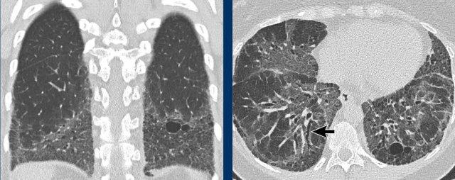
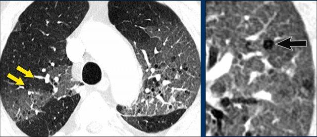
Tổn thương đa ổ
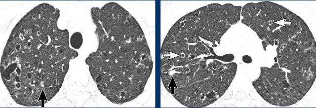
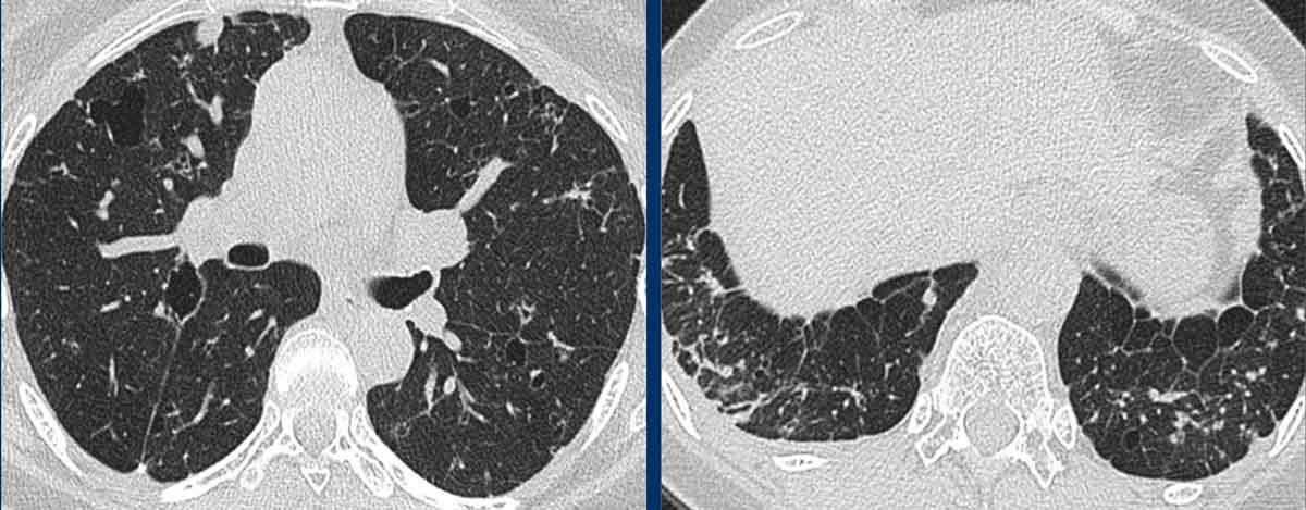
Khi có nhiều hình ảnh trông giống nang, cần phân biệt bệnh phổi dạng nang thực sự với các bệnh lý bắt chước khác (hình minh họa).
- Nhiều nang phổi với thành mỏng ở bệnh nhân LCH giai đoạn tiến triển. Đây là bệnh phổi dạng nang thực sự.
- Khí phế thũng trung tiểu thùy, biểu hiện là các lỗ đen không có thành. Lưu ý dấu hiệu chấm trung tâm (mũi tên). Khí phế thũng có thể là yếu tố gây nhầm lẫn thực sự và sẽ được thảo luận chi tiết hơn ở phần sau.
- Tổ ong (Honeycombing) biểu hiện là chồng các nang thành dày ở ngoại vi thùy dưới ở bệnh nhân xơ phổi.
- Giãn phế quản dạng nang, biểu hiện là các ống dạng nang. Thường không khó phân biệt khi cuộn qua các lát cắt, nhưng đôi khi có thể gây thách thức.
Bước 2 – Đây có phải là phát hiện tình cờ không?
Ở bệnh nhân trẻ tuổi, nang phổi không nên được coi là phát hiện bình thường.
Theo quy tắc kinh nghiệm, có thể coi tối đa bốn nang ở bệnh nhân trên bốn mươi tuổi là phát hiện tình cờ.
Không nên áp dụng quy tắc này quá cứng nhắc khi bệnh nhân có nghi ngờ lâm sàng về bệnh phổi dạng nang (ví dụ: chụp tầm soát cho BHD hoặc tràn khí màng phổi tái phát).
Bước 3 – Chẩn Đoán Phân Biệt
Khi đọc HRCT của bệnh nhân có nang phổi, bước khởi đầu tốt là xem các nang có liên quan đến nốt hoặc kính mờ hay không.
Các dấu hiệu khác cần xem xét bao gồm:
- Đặc điểm hình thái nang
- Phân bố
- Đặc điểm bệnh nhân
Nốt
Khi có nang kèm theo nốt (có thể tạo hang), chẩn đoán có khả năng nhất là LCH, với ưu thế ở vùng phổi trên.
Kính mờ
Sự kết hợp giữa nang và kính mờ không phổ biến và chẩn đoán có khả năng nhất là LIP.
Không có nốt hay kính mờ
Nang đơn giản không kèm kính mờ hay nốt thường gặp nhất trong LAM, bệnh hầu như chỉ gặp ở phụ nữ.
Ở người hút thuốc lá, chẩn đoán có khả năng nhất là LCH giai đoạn tiến triển.
BHD và LIP ít gặp hơn.
Một cách tiếp cận khác trong chẩn đoán phân biệt là xem xét các yếu tố sau: đặc điểm hình thái nang, phân bố và đặc điểm bệnh nhân.
Đặc điểm hình thái nang
Bảng này bao gồm thêm nhiều đặc điểm hình thái nang.
Ví dụ, trong BHD, các nang có thể có hình thấu kính và thường nằm ở vị trí cạnh vách liên thùy.
Các lõm mạch máu khá đặc hiệu cho LIP.
Dấu hiệu “cheerio” được thấy trong LCH.
Bảng này được điều chỉnh từ bài báo “a validated model for the imaging diagnosis of cystic lung disease” của Wallace T. Miller (tài liệu tham khảo)
Phân bố
Sự phân bố và số lượng nang có thể hữu ích trong chẩn đoán.
- Các nang LAM thường phân bố đều và nhiều.
- LCH có ưu thế ở thùy trên và các ngách màng phổi thường được bảo tồn.
- BHD, LIP và DIP có ưu thế ở thùy dưới và thường chỉ thấy một vài nang.
Đặc điểm bệnh nhân
Bảng này trình bày đặc điểm bệnh nhân của các bệnh phổi dạng nang phổ biến nhất.
Nguyên nhân không thường gặp
Khi các nang không phù hợp với chẩn đoán của các nguyên nhân thường gặp (LAM, BHD, LCH, LIP), hãy nghĩ đến các nguyên nhân không thường gặp của bệnh phổi dạng nang.
LAM – Lymphangioleiomyomatosis
Lymphangioleiomyomatosis (LAM) là một bệnh lý tiến triển âm thầm, xảy ra đặc hiệu ở phụ nữ dưới dạng đột biến gen tản phát, trừ khi có liên quan đến phức hợp xơ cứng củ (tuberous sclerosis complex), vốn có thể là tản phát hoặc di truyền.
Bệnh nhân thường có triệu chứng khó thở, ho, đau ngực và ho ra máu.
Một số bệnh nhân biểu hiện bằng tràn khí màng phổi tự phát, tràn dịch màng phổi (tràn dưỡng chấp) hoặc có thể gặp u cơ mỡ mạch máu (angiomyolipoma).
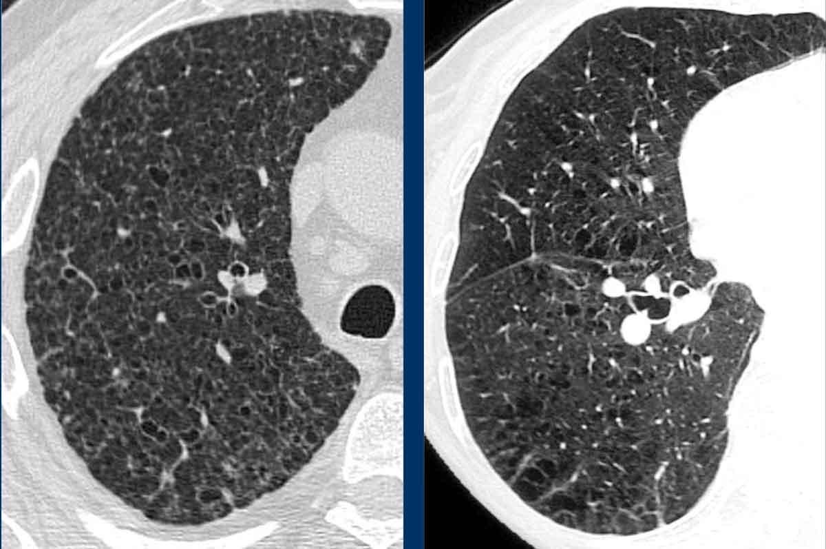
LAM biểu hiện với số lượng lớn các nang hình tròn, bờ đều đặn, phân bố rải rác khắp nhu mô phổi.
Hình ảnh
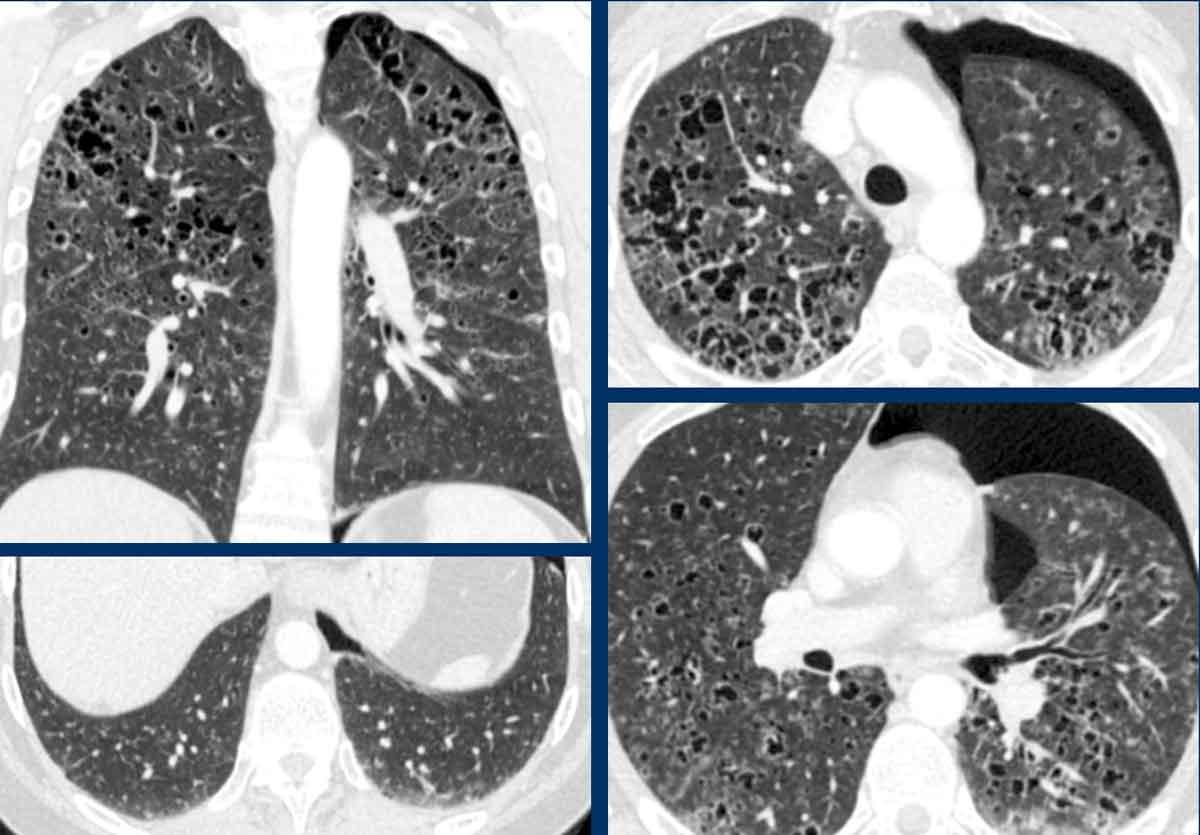
- Nhiều nang ở một phụ nữ trẻ. Lưu ý hình dạng tròn đều và phân bố lan tỏa.
- Trường hợp LAM nặng. Khi có tiền sử hút thuốc lá, chẩn đoán phân biệt cần đặt ra là LCH (giai đoạn tiến triển).
- Tràn dịch màng phổi (dịch dưỡng chấp) ở bệnh nhân LAM.
- Phân bố lan tỏa trong LAM.
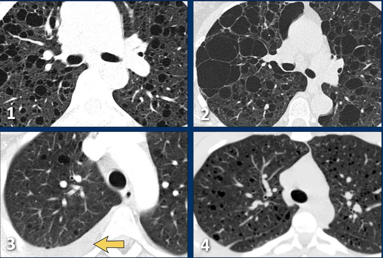
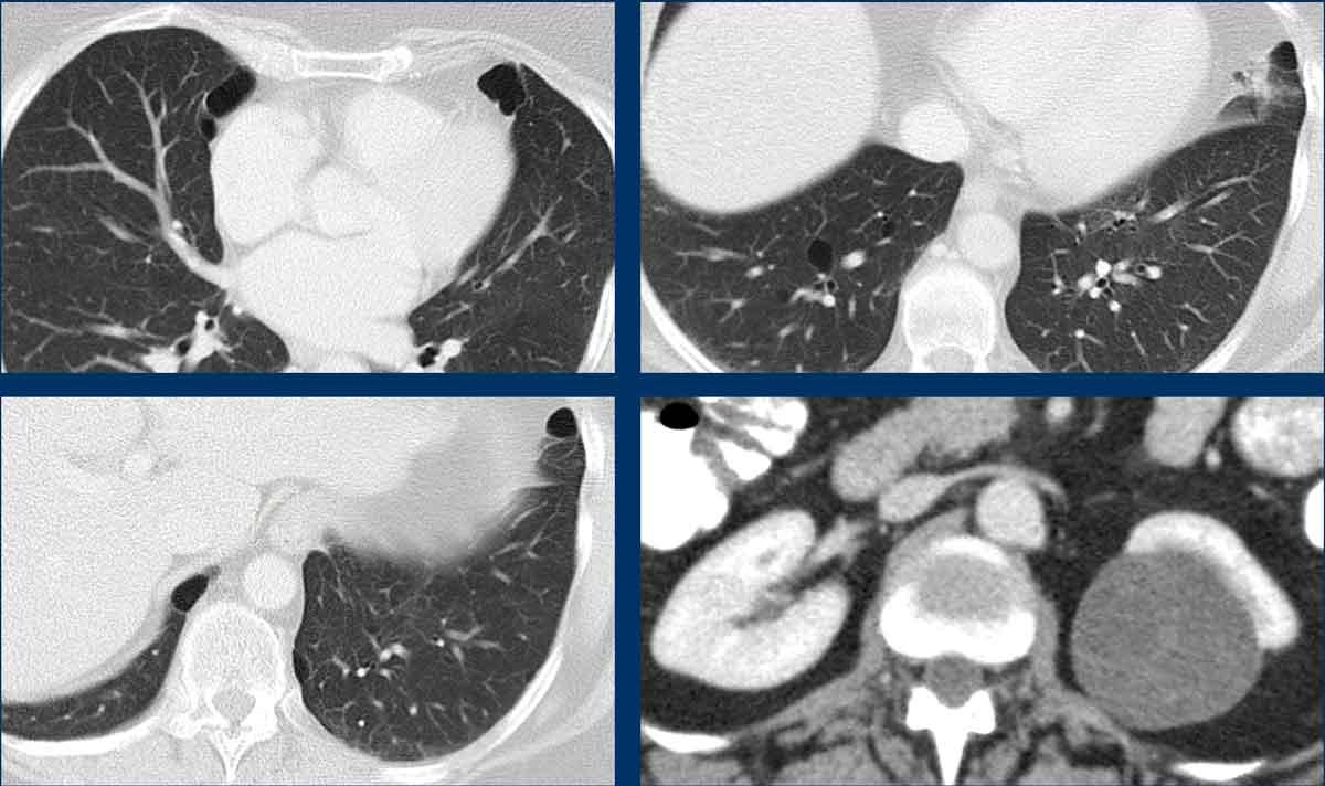
Các hình ảnh này thuộc về một phụ nữ 39 tuổi với triệu chứng khó thở.
Chẩn đoán có khả năng nhất là gì?
Nhận xét hình ảnh
Có nhiều nang thành mỏng.
Lưu ý các nang phân bố đều khắp hai phổi.
Các ngách màng phổi cũng bị tổn thương (mũi tên).
Điều này cho phép loại trừ chẩn đoán LCH.
Chẩn đoán có khả năng nhất là LAM.
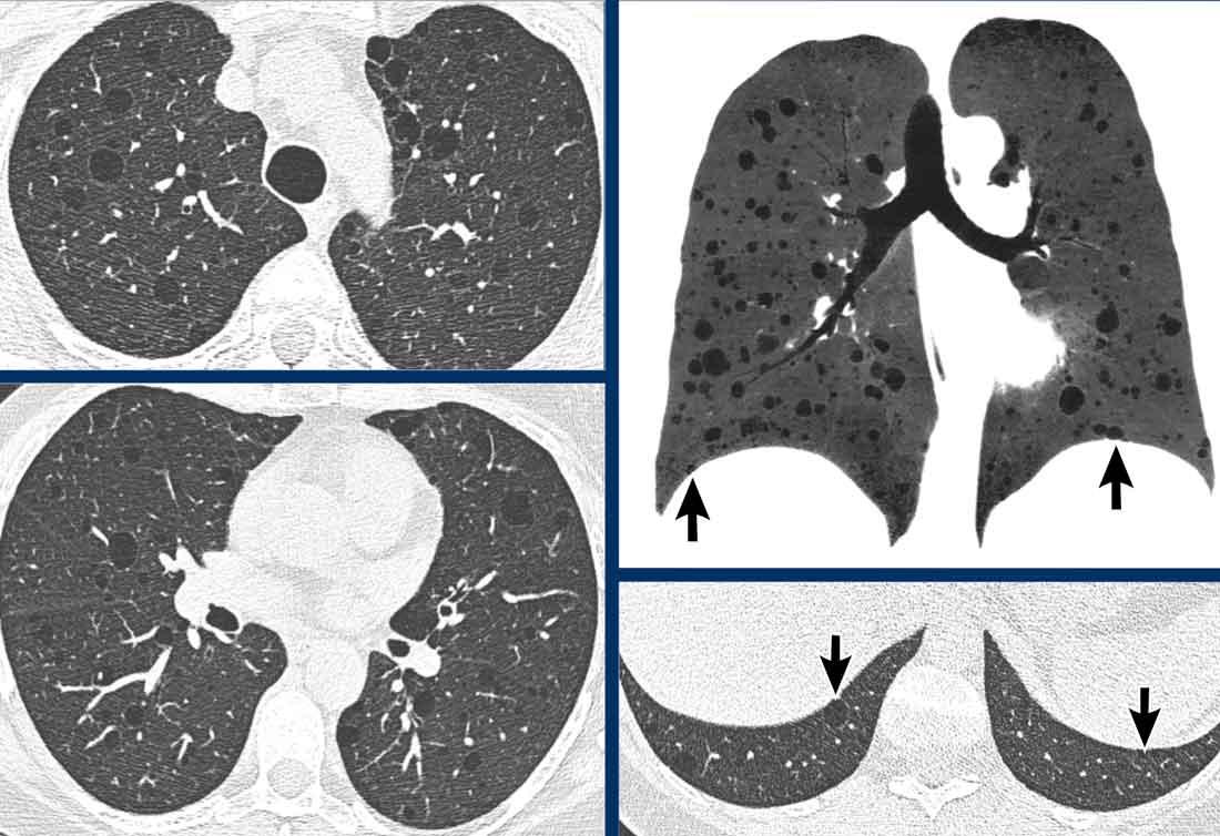
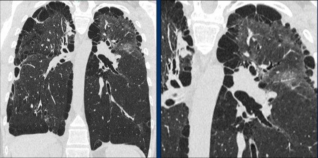
Đây là một ví dụ khác của LAM.
Có nhiều nang thành mỏng phân bố đều khắp hai phổi, điển hình cho LAM, nhưng trong trường hợp này kết hợp với tràn dịch màng phổi bên phải (mũi tên).
Các tế bào LAM có thể gây tắc nghẽn hệ thống bạch huyết trong lồng ngực và tạo ra tràn dịch màng phổi dưỡng chấp.
LAM là bệnh phổi dạng nang duy nhất có thể thấy sự kết hợp giữa các nang và tràn dịch màng phổi.
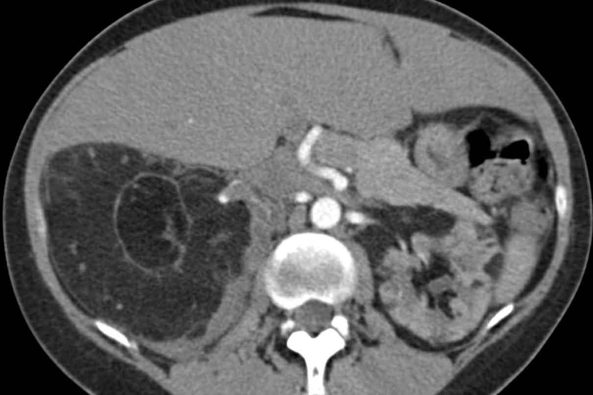
Ngoài ra, nhiều u cơ mỡ mạch máu (angiomyolipoma) được phát hiện ở vùng bụng trên.
Bệnh nhân này được xác định mắc LAM liên quan đến phức hợp xơ cứng củ (TSC – tuberous sclerosis complex).
Tỷ lệ hiện mắc u cơ mỡ mạch máu trong LAM tản phát là 40-50% và trong LAM liên quan TSC vào khoảng 80%.
Đây là trường hợp LAM nặng với nhu mô phổi bị tổn thương lan tỏa.
Nhìn chung, LAM là bệnh lý tiến triển với tiên lượng xấu.
BHD – Hội chứng Birt-Hogg-Dubé
Hội chứng Birt-Hogg-Dubé là một rối loạn di truyền trội trên nhiễm sắc thể thường với nguy cơ ung thư thận 25%.
Các nang trong phổi thường không có triệu chứng, ngoại trừ khả năng gây tràn khí màng phổi tái phát.
Các nang trong BHD có xu hướng phân bố ưu thế ở vùng phổi thấp và ngoại vi.
Đôi khi các nang có ranh giới được xác định bởi các vách liên tiểu thùy, tạo cho chúng hình dạng tam giác hoặc thấu kính đặc trưng (đầu mũi tên trong hình 2 và 4).
Các nang BHD không nhiều, thường ít hơn 50 nang. Đôi khi số lượng nang rất ít với hình ảnh rất tinh tế (hình 3), nhưng không được bỏ sót.
Việc chẩn đoán xác định là rất quan trọng vì những bệnh nhân này và gia đình của họ cần được tầm soát khối u thận.
Thông thường, những bệnh nhân này sẽ có một hoặc nhiều thành viên trong gia đình có tiền sử ung thư thận hoặc tràn khí màng phổi.
Điều này có thể giúp định hướng chẩn đoán.
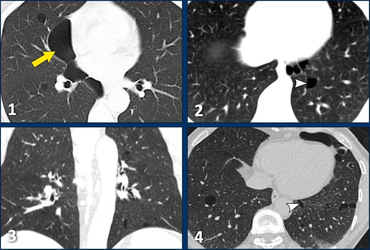
Hình ảnh
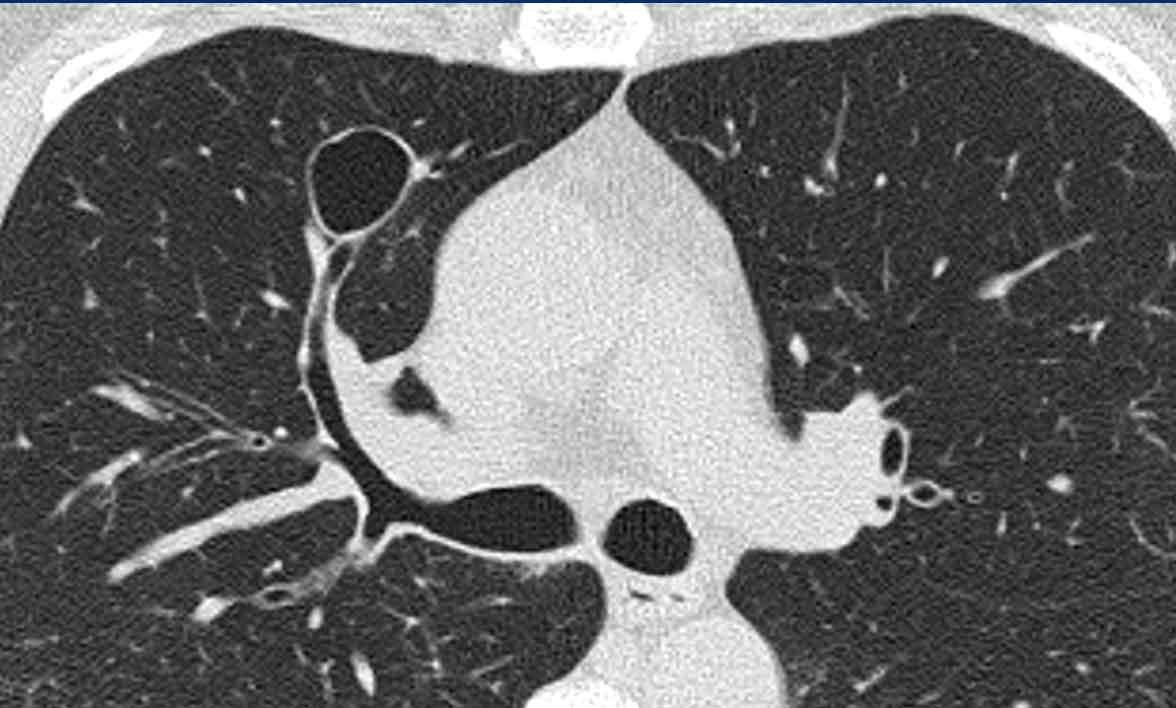
- Các nang BHD. Một số nang tiếp giáp với màng phổi (mũi tên vàng) hoặc các rãnh liên thùy. Các nang ở vùng phổi thấp cũng có thể gặp trong LIP. Khí phế thũng cạnh vách liên tiểu thùy có phân bố ưu thế ở vùng phổi trên.
- Phân bố ưu thế ở vùng phổi thấp và các nang hình tam giác (đầu mũi tên) trong BHD.
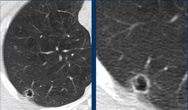
- Lưu ý hình ảnh rất tinh tế với phân bố ưu thế ở vùng phổi thấp.
- Các nang BHD điển hình
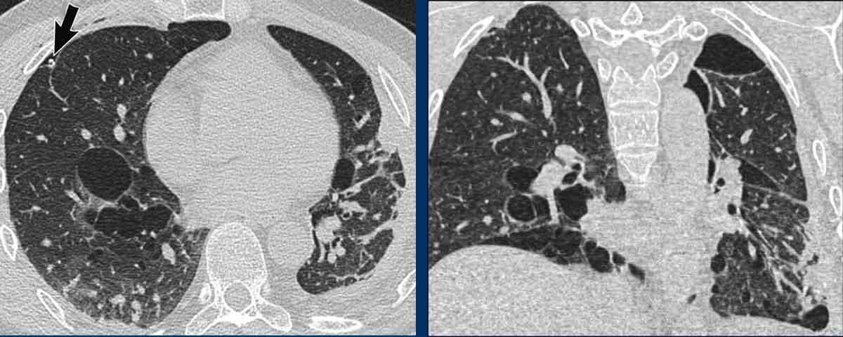
Đây là hình ảnh của một phụ nữ 56 tuổi, có tiền sử tràn khí màng phổi tái phát và hiện tại nhập viện lần này cũng vì tràn khí màng phổi (mũi tên).
Hãy phân tích hình ảnh.
Đây là các nang thực sự hay các tổn thương giả nang?
Đây là phát hiện tình cờ hay bạn cho rằng đây là bệnh phổi dạng nang?
Chẩn đoán có khả năng nhất là gì?
Nhận xét hình ảnh
Có nhiều nang thành mỏng – hơn bốn nang. Lưu ý vị trí phân bố gần các rãnh liên thùy và ở ngoại vi phổi.
Kết luận
Đây là trường hợp hội chứng Birt-Hogg-Dubé (BHD).
Bàn luận
Hai bệnh phổi dạng nang thường biểu hiện bằng tràn khí màng phổi là LAM và BHD.
LAM biểu hiện là các nang đơn thuần, thành mỏng, hình tròn hoặc bầu dục, đều đặn với phân bố lan tỏa.
Vị trí ngoại vi và cạnh rãnh liên thùy của các nang BHD thường tạo ra các góc nhọn, khiến chúng có hình dạng thấu kính.
Khi các nang có hình ảnh đặc trưng này, chúng có độ đặc hiệu cực kỳ cao cho chẩn đoán hội chứng Birt-Hogg-Dubé.
Đây là một trường hợp khác của hội chứng Birt-Hogg-Dubé.
Các nang có vị trí điển hình ở ngoại vi phổi gần trung thất (mũi tên đen) và gần rãnh liên thùy (mũi tên trắng).
Đây là một trường hợp minh họa khác với rất ít nang nhỏ ở bệnh nhân mắc hội chứng Birt-Hogg-Dubé.
Đôi khi cần phải quan sát rất kỹ các trường phổi để không bỏ sót các nang và bỏ lỡ chẩn đoán BHD.
Trong trường hợp này, có thể hình dung rằng nếu CT được thực hiện vì lý do khác, người đọc có thể dễ dàng bỏ sót những nang nhỏ này.
Cần nhớ rằng khi phát hiện hơn bốn nang và chúng thực sự là nang, cần phải xử lý các phát hiện này.
Những bệnh nhân này nên được chuyển đến bác sĩ chuyên khoa hô hấp để đánh giá thêm.
Bệnh nhân này được chụp CT để đánh giá khối u thận.
Trong báo cáo chẩn đoán hình ảnh, các nang trong phổi được mô tả là bóng khí (bullae).
Tuy nhiên, các nang này là nang BHD điển hình ở ngoại vi phổi, trong khi bóng khí thường gặp ở bệnh nhân khí phế thũng và có vị trí ở các trường phổi trên.
Đặc biệt khi chỉ thấy một vài nang, hãy nghĩ đến BHD.
Gia đình bệnh nhân cần được tầm soát hội chứng BHD và khối u thận.
Cuối cùng là một trường hợp BHD nặng hơn với các nang kích thước lớn hơn.
Bệnh nhân này nhập viện vì tràn khí màng phổi.
Lưu ý ống dẫn lưu (mũi tên).
LCH – Mô Bào Tế Bào Langerhans (Langerhans Cell Histiocytosis)
Căn nguyên của Mô Bào Tế Bào Langerhans (LCH) vẫn chưa được xác định rõ, tuy nhiên hút thuốc lá đóng vai trò chủ yếu trong bệnh sinh.
Bệnh nhân có nguy cơ gia tăng mắc ung thư phổi.
LCH khởi phát dưới dạng các nốt, sau đó tạo hang và chuyển dạng thành các nang với hình dạng bất thường (nang kỳ dị, do sự hợp nhất của hai hoặc nhiều nang với nhau).
Hình ảnh
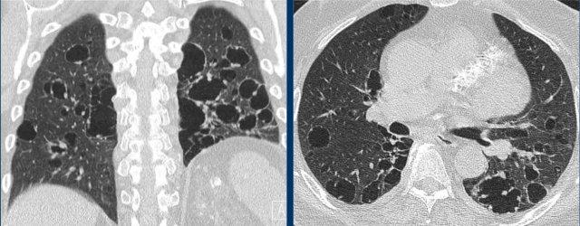
- Các nang có hình dạng kỳ dị ở một bệnh nhân nam mắc LCH.
- Trường hợp nặng của LCH giai đoạn tiến triển, hình ảnh tương tự khí phế thũng. Ở một bệnh nhân nữ không có tiền sử hút thuốc, đây cũng có thể là trường hợp LAM (bệnh cơ trơn bạch huyết) nặng.
- Nhiều nốt, một số đang tạo hang, với phân bố ưu thế ở vùng phổi trên (khác với di căn), và hoàn toàn không tổn thương các ngách màng phổi.
- Sự kết hợp giữa các nang kỳ dị, các nốt và các nốt đang tạo hang với phân bố ưu thế ở vùng phổi trên.
Đây là hình ảnh của một bệnh nhân nam 66 tuổi, có tiền sử hút thuốc lá và đến khám vì triệu chứng khó thở.
Hãy phân tích hình ảnh.
Đâu là dấu hiệu đặc trưng nhất?
Chẩn đoán có khả năng nhất là gì?
Nhận xét hình ảnh
Ghi nhận nhiều nang.
Một số có hình dạng bất thường và một số có dấu hiệu “cheerio” (hình vòng tròn) do hiện tượng tạo hang bên trong nốt (mũi tên trắng).
Ngoài ra còn ghi nhận một số nốt (mũi tên đen).
Bình luận
Sự kết hợp của các dấu hiệu này trên một bệnh nhân hút thuốc lá là điển hình cho chẩn đoán LCH.
Tiếp tục…
Trên tái tạo mặt phẳng coronal, có thể thấy rõ ràng rằng các nang chủ yếu tập trung ở thùy trên và thùy giữa, trong khi vùng đáy phổi được bảo tồn.
Đặc biệt khi LCH còn ở giai đoạn nốt, sự phân bố này có thể là dấu hiệu hữu ích trong việc phân biệt với di căn phổi, vốn có xu hướng ưu thế ở thùy dưới.
Đây là một trường hợp tương tự.
Lưu ý rằng các nang chủ yếu tập trung ở thùy trên và thùy giữa.
Các ngách màng phổi được bảo tồn.
Các nang đã gây ra tràn khí màng phổi.
Chẩn đoán phân biệt LCH 1
Đây là ví dụ về các nốt và nốt tạo hang có tổn thương các ngách màng phổi.
Đây là các tổn thương di căn từ ung thư biểu mô tế bào chuyển tiếp.
Sự phân bố tổn thương là yếu tố hữu ích trong việc phân biệt di căn phổi và LCH.
Một số di căn phổi có hiện tượng tạo hang nguyên phát, trong khi một số khác tạo hang do kết quả của điều trị.
Chẩn đoán phân biệt LCH 2
Đây là hình ảnh của hai bệnh nhân khác nhau.
Hãy phân tích hình ảnh.
Đâu là dấu hiệu đặc trưng nhất?
Chẩn đoán có khả năng nhất là gì?
Nhận xét hình ảnh
Mặc dù thoạt nhìn hai hình ảnh này trông có vẻ tương tự nhau, có thể nhận thấy rằng ở bên trái là các nang thực sự có thành trong một bệnh nhân LCH giai đoạn tiến triển, trong khi ở bên phải một số tổn thương có vẻ có thành nhưng phần lớn thì không.
Đây là hình ảnh khí phế thũng trung tiểu thùy.
LIP – Viêm Phổi Kẽ Dạng Lympho (Lymphoid Interstitial Pneumonia)
Viêm phổi kẽ dạng lympho (LIP) là một bệnh phổi kẽ chưa rõ căn nguyên, đặc trưng bởi sự thâm nhiễm của các tế bào lympho.
Bệnh có liên quan đến các bệnh lý hệ thống (đặc biệt là hội chứng Sjögren).
Biểu hiện có thể chỉ là các nang đơn thuần, nhưng thường gặp hơn là sự kết hợp với kính mờ, lưới hóa và/hoặc các nốt. Một số nang có thể có vách ngăn mờ nhạt, có thể bắt chước hình ảnh chấm trung tâm như thấy trong khí phế thũng (Hình 1 và 4).
Hình ảnh
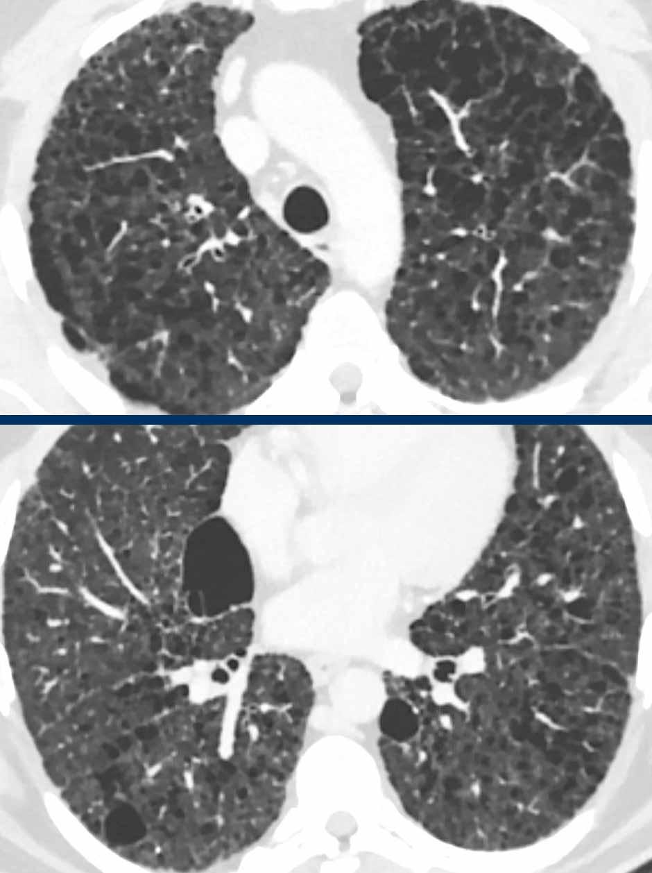
- Các nang đơn thuần trong nền kính mờ lan tỏa.
- Các nang đơn thuần trong LIP. Đôi khi có thể thấy các lõm mạch máu hoặc vách ngăn. Các vách ngăn này có thể bắt chước hình ảnh chấm trung tâm như trong khí phế thũng trung tiểu thùy.
- Các nang đơn thuần trong vùng kính mờ.
- Các nang đơn thuần kèm lưới hóa mờ nhạt và kính mờ.
Các hình ảnh này của một nam bệnh nhân 55 tuổi có triệu chứng khó thở.
Bệnh nhân có tiền sử bệnh mô liên kết hỗn hợp (MCTD) và không hút thuốc lá.
Hãy phân tích hình ảnh.
Dấu hiệu đặc trưng nhất là gì?
Chẩn đoán có khả năng nhất là gì?
Nhận xét
Dấu hiệu đặc trưng nhất là sự kết hợp giữa các nang và kính mờ.
Bàn luận
Chẩn đoán có khả năng nhất dựa trên các dấu hiệu hình ảnh là LIP.
Tiền sử bệnh mô liên kết hỗn hợp cũng là yếu tố gợi ý quan trọng.
Chẩn đoán viêm phổi kẽ bong vảy (DIP) ít có khả năng, do bệnh nhân không hút thuốc lá và trong DIP tất cả các nang phải nằm trong vùng kính mờ. Trong trường hợp này, một trong các nang rõ ràng nằm trong vùng nhu mô phổi bình thường (mũi tên).
Các hình ảnh này của một nữ bệnh nhân 60 tuổi mắc bệnh Sjögren, được chỉ định chụp HRCT để tầm soát bệnh phổi kẽ.
Hãy phân tích hình ảnh.
Đây là các nang thực sự hay hình ảnh giả nang?
Chẩn đoán có khả năng nhất là gì?
Nhận xét
Có một vài nang (nhiều hơn bốn nang, không hiển thị hết), do đó nhiều khả năng đây là bệnh phổi dạng nang. Có một vùng kính mờ ở các trường phổi dưới và một số vách gian tiểu thùy dày.
Bàn luận
Sự kết hợp giữa các nang và kính mờ giúp thu hẹp chẩn đoán phân biệt còn LIP và DIP.
Ở bệnh nhân mắc bệnh Sjögren, chẩn đoán là LIP.
DIP – Viêm Phổi Kẽ Dạng Bong Vảy (Desquamative Interstitial Pneumonitis)
Viêm phổi kẽ dạng bong vảy (DIP) có mối liên quan chặt chẽ với hút thuốc lá.
DIP biểu hiện dưới dạng các nang thành mỏng đối xứng nằm trong vùng kính mờ (ground-glass), ưu thế ở vùng đáy phổi và ngoại vi.
Thường kèm theo các dấu hiệu xơ hóa.
Các hình ảnh này thuộc về một phụ nữ 65 tuổi có triệu chứng khó thở và tiền sử hút thuốc lá.
Hình ảnh tổn thương
Có các nang thành mỏng nằm trong vùng kính mờ kèm theo xơ hóa nhẹ.
Lưu ý hình ảnh giãn phế quản do co kéo (mũi tên).
Tiếp tục xem thêm hình ảnh của bệnh nhân này…
Chẩn đoán phân biệt chính của các nang phổi kết hợp với kính mờ là DIP và LIP (viêm phổi kẽ lymphocytic).
Chẩn đoán có khả năng nhất là DIP, do bệnh nhân có tiền sử hút thuốc lá và các nang chỉ xuất hiện trong vùng kính mờ.
Các nang trong DIP phân bố ở ngoại vi vùng phổi dưới và thường kết hợp với xơ hóa.
DIP cũng có thể có phân bố lan tỏa.
Đây là một ví dụ điển hình.
Khí phế thũng
Một số ví dụ về khí phế thũng được đưa vào đây vì khí phế thũng đôi khi có thể mô phỏng hình ảnh bệnh phổi dạng nang.
Hình ảnh
- Khí phế thũng trung tiểu thùy và cạnh vách. Lưu ý sự tương đồng với hình 2, nhưng sự phân bố khác nhau (vùng trên so với vùng dưới) và sự hiện diện của các chấm trung tâm (mũi tên trắng) giúp phân biệt.
- Đây không phải khí phế thũng mà là trường hợp hội chứng Birt-Hogg-Dubé với các nang đơn thuần trong nhu mô phổi và các nang cạnh màng phổi.
- Khí phế thũng cạnh vách.
- Khí phế thũng trung tiểu thùy với dấu hiệu chấm trung tâm (đầu mũi tên đen). Lưu ý sự khác biệt tinh tế so với LCH giai đoạn tiến triển (xem Hình 2 ở phần LCH phía trên), biểu hiện các vách ngăn hoặc thành nang rõ hơn.
Bệnh lý ít gặp
Khi các nang không phù hợp với chẩn đoán của các nguyên nhân thường gặp (LAM, BHD, LCH, LIP), hãy nghĩ đến các nguyên nhân ít gặp hơn của bệnh phổi dạng nang.
Bệnh lắng đọng chuỗi nhẹ (LCDD)
LCDD thường gặp như một biến chứng của các bệnh tăng sinh lympho hoặc như một giai đoạn tiền thân của đa u tủy xương.
Trong LCDD, thận thường bị tổn thương và chỉ trong một số ít trường hợp phổi mới bị ảnh hưởng.
Các hình ảnh này thuộc về một bệnh nhân mắc bệnh lắng đọng chuỗi nhẹ (LCDD).
Hình ảnh tổn thương
Đặc trưng là thành của các nang có các dày lên dạng nốt.
Di căn dạng nang
Di căn phổi thường biểu hiện dưới dạng các nốt, đôi khi có tạo hang.
Tuy nhiên, trong một số ít trường hợp, di căn phổi biểu hiện dưới dạng nang thực sự.
Hãy nghĩ đến di căn phổi dạng nang ở bệnh nhân có nang phổi mới xuất hiện hoặc tiến triển kèm tiền sử bệnh ác tính, mà không có giải thích nào khác cho các nang phổi này.
Các hình ảnh này thuộc về một bệnh nhân có tiền sử ung thư tuyến ức.
Hình ảnh tổn thương
Trên phim chụp theo dõi định kỳ, xuất hiện một số nang mới với thành mỏng.
Trong quá trình theo dõi tiếp theo, các nang này trở nên lớn hơn và phát triển thành mỏng không đều.
Đây được xác định là di căn dạng nang của ung thư tuyến ức.
Viêm phổi quá mẫn dạng nang
Các hình ảnh này thuộc về một nam bệnh nhân 55 tuổi, đến khám vì khó thở và ho.
Bệnh nhân nuôi vẹt và không hút thuốc lá.
Hình ảnh tổn thương
Có một vài nang thành mỏng nằm trong vùng có kính mờ (ground glass).
Thảo luận
Chẩn đoán phân biệt chính của nang phổi kết hợp với kính mờ là DIP và LIP.
Tuy nhiên, khi bệnh nhân có nuôi vẹt, cũng cần xem xét đến viêm phổi quá mẫn.
Mặc dù rất hiếm gặp, trường hợp này được xác định là viêm phổi quá mẫn có biến đổi dạng nang.
U cơ trơn di căn lành tính (Benign metastasizing leiomyoma)
U cơ trơn di căn lành tính là một rối loạn hiếm gặp ảnh hưởng đến phụ nữ có tiền sử u cơ trơn tử cung, được phát hiện di căn phổ biến nhất đến phổi, nơi nó biểu hiện dưới dạng các nốt, đôi khi tạo hang và hình thành nang.
Các hình ảnh này thuộc về một nữ bệnh nhân 46 tuổi. Bệnh nhân có tiền sử cắt tử cung do u xơ tử cung, và khi khám lâm sàng phát hiện có bướu cổ.
Bệnh nhân không hút thuốc lá.
Hình ảnh tổn thương
Có một vài nang thành mỏng kết hợp với các nốt (mũi tên trắng) và các nốt tạo hang với dấu hiệu cheerio (mũi tên đen).
Tiếp tục xem các hình ảnh tiếp theo…
Như thường lệ, chúng ta cần quan sát kỹ các ngách màng phổi.
Có thể loại trừ chẩn đoán LCH vì các ngách màng phổi có tổn thương.
Ở người không hút thuốc, chẩn đoán này vốn đã ít có khả năng.
Bệnh di căn đứng cao trong chẩn đoán phân biệt.
Tuy nhiên, không tìm thấy bệnh ác tính nào.
Trường hợp này được xác định là u cơ trơn di căn lành tính.
Bệnh u xơ thần kinh type 1 (Neurofibromatosis type 1)
Đây là một nam bệnh nhân 59 tuổi mắc bệnh u xơ thần kinh type 1 (NF1). Mặc dù không hút thuốc lá, bệnh nhân có các thay đổi dạng khí thũng cạnh vách ngăn với các bóng khí (bullae) ở vùng phổi trên (mũi tên).
Nhiều nang nhỏ hơn rải rác khắp nhu mô phổi (đầu mũi tên), bao gồm cả các ngách màng phổi.
Sự kết hợp giữa bóng khí ở vùng phổi trên và nang ở vùng phổi giữa và dưới có thể thấy điển hình trong NF1, cùng với một số thay đổi xơ hóa.
Sarcoidosis xơ nang (Fibrocystic Sarcoidosis)
Đây là một ví dụ về sarcoidosis xơ nang.
Lưu ý các thay đổi xơ hóa quanh rốn phổi với rốn phổi bị nâng cao và biến dạng (phù hợp với sarcoidosis), cùng với các nang có hình ảnh tương tự khí thũng cạnh vách ngăn.
Bệnh nhân không có tiền sử hút thuốc lá và không có khí thũng trung tiểu thùy, điều này làm cho chẩn đoán khí thũng cạnh vách ngăn thông thường ít có khả năng.
Đột biến gen Protein Surfactant
Các hình ảnh này thuộc về một nam bệnh nhân 45 tuổi đến khám vì khó thở khi gắng sức mức độ nhẹ.
Hai người anh lớn tuổi hơn của bệnh nhân đã tử vong do bệnh phổi kẽ mà không có chẩn đoán rõ ràng, và mẹ của bệnh nhân đã phải ghép phổi do xơ phổi.
Phim CT của bệnh nhân cho thấy các vùng giảm tỷ trọng lan rộng và phân bố rộng khắp.
Ban đầu, những tổn thương này được diễn giải là khí thũng, nhưng bệnh nhân không có tiền sử hút thuốc lá.
Mặc dù nhiều vùng giảm tỷ trọng có hình ảnh giống khí thũng, hầu hết không có chấm trung tâm.
Ngoài ra, một số nang thực sự có thành rõ ràng cũng được ghi nhận.
Bệnh mô bào Langerhans (LCH) được xem xét do hình dạng bất thường của một số vùng giảm tỷ trọng, nhưng tổn thương màng phổi và xét nghiệm CD1a âm tính đã loại trừ chẩn đoán này.
Với tiền sử gia đình dương tính và các bất thường phổi không điển hình, bệnh lý di truyền được xem là khả năng cao nhất.
Trường hợp này cuối cùng được quy cho đột biến gen Protein Surfactant C (SP-C).
Dịch lót phế nang cần có surfactant để ngăn phế nang xẹp lại ở cuối thì thở ra, được thực hiện thông qua sự tương tác của phospholipid với các protein surfactant kỵ nước SP-B và SP-C.
Đột biến gen ở SP-B và SP-C có thể dẫn đến bệnh dạng nang, kính mờ và xơ hóa.
Tình trạng này là một thực thể bệnh lý riêng biệt và hiếm gặp trong nhóm Xơ phổi có tính chất gia đình (FPF).
Bệnh nhân của chúng tôi chủ yếu biểu hiện bệnh dạng nang, với một lượng nhỏ kính mờ và chưa có dấu hiệu xơ hóa rõ ràng cho đến thời điểm hiện tại.
Nang đơn độc
Trong chương này, chúng tôi sẽ trình bày một số ca lâm sàng về nang đơn độc.
Hãy áp dụng phương pháp tiếp cận chẩn đoán và cố gắng đưa ra chẩn đoán phân biệt.
Ca lâm sàng 1
Các hình ảnh này của một phụ nữ 67 tuổi, đã bỏ thuốc lá được mười hai năm.
Bệnh nhân hiện được chụp HRCT.
Hình ảnh
Tại thùy dưới phổi phải có một nang thực sự với thành mỏng đều, không có bất kỳ bờ không đều nào.
Bình luận
Đây được xem là nang tình cờ phát hiện, không có ý nghĩa lâm sàng.
Các nang tình cờ này thường nằm ở ngoại vi của các thùy dưới phổi.
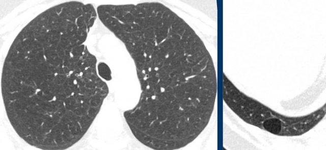
Ca lâm sàng 2
Các hình ảnh này của một nam giới 58 tuổi.
Bệnh nhân có các đợt ho có đờm, đặc biệt khi nằm nghiêng sang bên trái.
Không có tiền sử hút thuốc lá.
Hãy phân tích các hình ảnh.
Đây là nang thực sự hay tổn thương giả nang, và chẩn đoán có khả năng nhất là gì?
Hình ảnh
Có một nang ở thùy trên phổi phải và đây là cấu trúc dạng nang duy nhất trong phổi.
Bình luận
Có thể nghĩ đến nang tình cờ, nhưng điều này không giải thích được triệu chứng ho và thành nang có vẻ hơi dày hơn.
Quyết định được đưa ra là thực hiện chụp CT theo dõi.
Tiếp tục xem các hình ảnh tiếp theo…
Hình ảnh theo dõi được chụp sáu tháng sau cho thấy thành nang có vẻ dày hơn, do đó chỉ định chụp PET-CT để đánh giá các dấu hiệu ác tính.
Kết quả PET scan âm tính, và quá trình theo dõi tiếp tục được thực hiện, trong đó ghi nhận hình ảnh mức khí-dịch.
Dựa trên phát hiện này, cùng với vị trí tổn thương gần phế quản, chẩn đoán có khả năng nhất là nang phế quản nguyên bào.
Do các triệu chứng kéo dài, nang được phẫu thuật cắt bỏ và chẩn đoán sau đó được xác nhận.
Các đợt ho được cho là do dịch nhiễm trùng trong nang dẫn lưu vào cây phế quản.
Nang phế quản nguyên bào là dị tật bẩm sinh đã mất đi sự thông thương bình thường với cây phế quản.
Thông thường chúng chứa đầy dịch, do đó đây là một biểu hiện lâm sàng hiếm gặp.
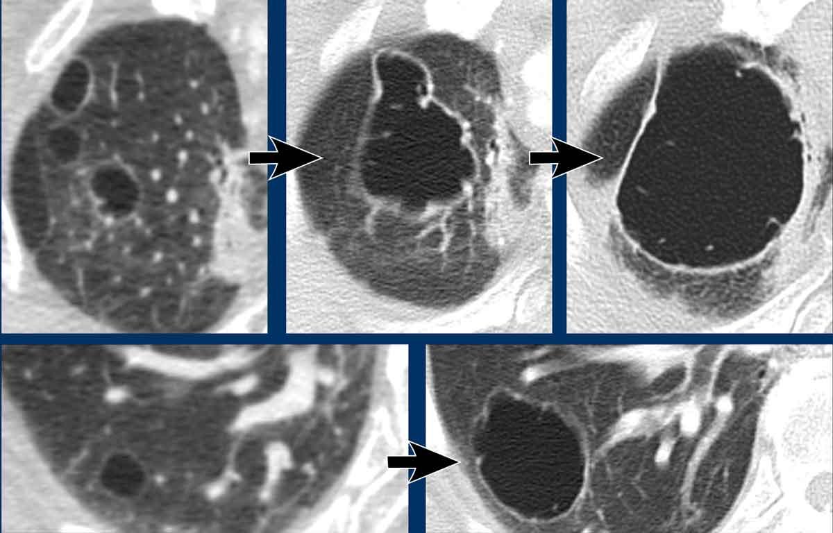
Ca lâm sàng 3
Hình ảnh và chi tiết này của một phụ nữ 56 tuổi với tổn thương dạng nang đơn độc.
Hãy phân tích hình ảnh.
Đây là nang thực sự hay tổn thương giả nang, và chẩn đoán có khả năng nhất là gì?
Hình ảnh
Có hình ảnh khí thũng trung tiểu thùy và một tổn thương chứa khí với thành không đều.
Bình luận
Mối lo ngại hàng đầu là khả năng ung thư phổi dạng nang.
Tiếp tục xem các hình ảnh tiếp theo để đánh giá thêm…
Hình ảnh chụp một năm trước đó phát hiện một nốt nhỏ tại cùng vị trí.
Đây là một phát hiện rất đáng lo ngại.
Tiếp tục…
Quyết định được đưa ra là tiếp tục theo dõi.
Từ năm 2016 đến 2017, thành nang trở nên mỏng hơn.
Đây có thể là kết quả của quá trình hoại tử tiến triển và không phải là dấu hiệu lành tính.
Năm 2019, chụp PET-CT được thực hiện và một lần nữa chỉ cho thấy hoạt tính tối thiểu.
Điều này cũng không nên khiến bạn yên tâm.
Điều này có thể được giải thích bởi thành phần đặc tối thiểu của tổn thương.
Chẩn đoán cuối cùng là ung thư phổi không tế bào nhỏ.
Tiếp tục…
Ca lâm sàng 4
Đây là một ca lâm sàng tương tự về ung thư phổi dạng nang.
Đọc thêm về ung thư phổi dạng nang trên Radiology Assistant trong bài viết của Onno Mets.
Từ thiện
Toàn bộ lợi nhuận từ Radiology Assistant được dành cho tổ chức Medical Action Myanmar, do Bác sĩ Nini Tun và Giáo sư Frank Smithuis điều hành – ông là giáo sư tại Đại học Oxford và cũng là anh trai của Robin Smithuis.
Nhấn vào đây để xem video về Medical Action Myanmar và nếu bạn thấy Radiology Assistant hữu ích, hãy ủng hộ Medical Action Myanmar bằng một món quà nhỏ.




















































