Bệnh lý vú nam giới
Ngày xuất bản
Bài tổng quan này dựa trên bài trình bày của Leonard Glassman và được Robin Smithuis biên soạn lại cho the Radiology Assistant.
Chúng ta sẽ thảo luận về:
- Hình ảnh nhũ ảnh bình thường ở nam giới
- Các đặc điểm điển hình của chứng vú to ở nam giới (gynecomastia)
- Các tổn thương cần sinh thiết
Nhũ ảnh Nam Giới Bình Thường
Khi thực hiện chẩn đoán hình ảnh tuyến vú ở nam giới, luôn tuân theo nguyên tắc sau:
‘Nếu tổn thương không bình thường, không phải chứng vú to (gynecomastia) hoặc không có hình ảnh lành tính điển hình,
thì cần phải sinh thiết’.
Vì vậy, trước tiên chúng tôi sẽ cung cấp một số ví dụ về tuyến vú nam giới bình thường, để làm quen với hình ảnh bình thường.
Sau đó, chúng tôi sẽ thảo luận về chứng vú to và cuối cùng là một số khối u đặc hiệu.
Rõ ràng, các tổn thương trong nhóm cuối này sẽ cần sinh thiết, trừ khi bạn chắc chắn rằng đó là tổn thương lành tính điển hình, chẳng hạn như hạch bạch huyết hoặc u mỡ (lipoma).
Bên trái là hai ví dụ về nhũ ảnh nam giới bình thường.
Hình bên trái cho thấy da bình thường, núm vú và một lượng nhỏ mô liên kết phía sau núm vú.
Hình bên phải cho thấy nhiều mô liên kết hơn một chút, nhưng vẫn trong giới hạn bình thường.
Bên trái là một ví dụ khác về tuyến vú nam giới bình thường.
Có nhiều mô mỡ và một số mạch máu.
Có một lượng nhỏ mô liên kết xơ, nhưng về cơ bản phần lớn tuyến vú này chỉ là mô mỡ.
Bên trái là hình ảnh MRI tuyến vú nam giới bình thường.
Có một lượng nhỏ mô liên kết phía sau núm vú.
Vú to ở nam giới (Gynecomastia)
Gynecomastia là bất thường phổ biến nhất ở vú nam giới.
Về lâm sàng, bệnh biểu hiện là một khối mềm, di động, đau tức vùng dưới quầng vú.
Mỗi từ trong câu này đều mang ý nghĩa then chốt:
mềm – di động – đau tức – dưới quầng vú.
Do đó, khối phải có tính chất mềm và di động.
Khối gây đau tức trong giai đoạn cấp tính, nhưng không đau trong giai đoạn mạn tính.
Gynecomastia bắt buộc phải nằm ở vùng dưới quầng vú!
Bất kỳ khối nào không nằm ở vùng dưới quầng vú đều không phải là gynecomastia.
Hình ảnh học
Có ba dạng hình ảnh học:
- Thể nốt tuyến (giai đoạn cấp tính bùng phát)
- Thể nhánh cây (giai đoạn xơ hóa mạn tính)
- Thể tuyến lan tỏa
Bên trái là hình chụp nhũ ảnh vú nam giới với dạng gynecomastia thể nốt tuyến.
Có một vùng đậm độ hình quạt tỏa ra từ núm vú.
Tổn thương có thể nổi bật hơn ở góc phần tư trên ngoài và, quan trọng hơn, nó hòa lẫn vào mô mỡ xung quanh.
Nếu nhìn nhũ ảnh bên trái như là vú của một phụ nữ thay vì đàn ông, bạn có thể nhận định đây là một khối bờ không rõ và kết luận đây là tổn thương ác tính.
Tuy nhiên, ở nam giới, bờ không rõ này lại là dấu hiệu của gynecomastia.
Gynecomastia là sự tăng sinh đồng thời của các ống tuyến và mô đệm mà không có bao xơ bao quanh, do đó tổn thương phải hòa lẫn vào mô mỡ xung quanh.
Không có sự tăng sinh của các tiểu thùy như ở phụ nữ.
Vì vậy, bạn sẽ không thấy các khối u xuất phát từ tiểu thùy, ví dụ như u tuyến tiết sữa, u xơ tuyến, u phyllodes, và ung thư tiểu thùy xâm nhập cũng cực kỳ hiếm gặp.
Ngoài cùng bên trái là nhũ ảnh của một nam giới bị gynecomastia và bên cạnh là nhũ ảnh của một bé gái tám tuổi bị phì đại vú tuổi thiếu niên.
Lưu ý rằng hai hình ảnh này trông rất giống nhau.
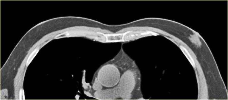
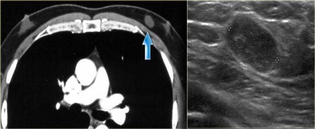
Bên trái là gynecomastia một bên.
Đây là phát hiện tình cờ trên CT được thực hiện vì một lý do khác.
Theo định nghĩa, gynecomastia là mô dưới quầng vú có kích thước từ 2 cm trở lên ở nam giới không béo phì.
Đây là một phát hiện ‘bình thường’ thường gặp, được ghi nhận ở 55% nam giới khi khám nghiệm tử thi.
Đỉnh tần suất mắc bệnh là ở độ tuổi 60 – 69.
Tình trạng này có ý nghĩa lâm sàng khi xuất hiện mới hoặc có triệu chứng.
Ở nam giới cao tuổi, gynecomastia chiếm 65% tổng số các tổn thương vú.
25% là ung thư và 10% là các tổn thương khác.
Thể nốt
Thể nốt của gynecomastia được thấy trong giai đoạn sớm bùng phát.
Bệnh khởi đầu bằng sự gia tăng số lượng ống tuyến và tăng sinh biểu mô kèm phù nề và mô đệm nguyên bào sợi giàu tế bào.
Giai đoạn này có thể hồi phục.
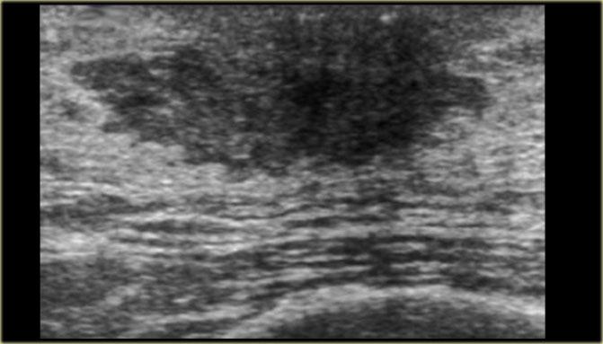
Bên trái là nhũ ảnh và hình siêu âm của một bệnh nhân có gynecomastia thể nốt tuyến.
Lưu ý tổn thương nằm ngay dưới núm vú.
Hình siêu âm cho thấy hình ảnh điển hình của gynecomastia: một khối giảm âm với bờ thùy múi hoặc thậm chí có gai.
Nếu đây là hình ảnh của một phụ nữ, bạn sẽ nhận định đây là một khối có vi thùy múi và gai, tức là Birads IV hoặc V.
Ở nam giới, đây là hình ảnh điển hình của gynecomastia.
Bên trái là cùng hình siêu âm đó, nhưng ở tư thế bình thường.
Lưu ý hình ảnh trông ‘ác tính’ như thế nào.
Bên trái là hình ảnh chuỗi xung T2W có xóa mỡ và chuỗi xung T1W sau tiêm thuốc tương phản từ Gadolinium có xóa mỡ.
Một bác sĩ chẩn đoán hình ảnh không quen đọc nhũ ảnh nam giới đã chỉ định MRI để giải quyết vấn đề.
Rõ ràng MRI này được thực hiện vì lý do không phù hợp.
MRI không nên được sử dụng để giải quyết một vấn đề có thể được giải quyết bằng nhũ ảnh.
Dù sao, MRI cũng cho thấy hình ảnh gynecomastia thể nốt.
Thể nhánh cây
Thể nhánh cây được thấy trong giai đoạn xơ hóa hay giai đoạn muộn.
Có sự giãn nở các ống tuyến, tăng sinh biểu mô vừa phải và xơ hóa.
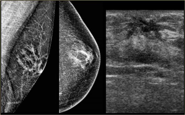
Bên trái là nhũ ảnh cho thấy vùng đậm độ dưới quầng vú với các nhánh kéo dài nổi bật vào mô mỡ.
Thông thường vùng đậm độ nhỏ hơn so với thể nốt.
Trên nhũ ảnh bên trái, chúng ta có thể hình dung có sự xơ hóa với các nhánh kéo dài vào mô mỡ.
Điều này khác với hình ảnh phù nề tuyến trong giai đoạn cấp tính của gynecomastia.
Siêu âm cho thấy hình ảnh có gai.
Các trường hợp này minh họa rõ ràng rằng gynecomastia có thể có hình ảnh mà chúng ta sẽ gọi là ác tính ở phụ nữ.
Đáng tiếc là một số tổn thương ác tính ở nam giới lại có thể trông lành tính và chúng tôi sẽ trình bày một số ví dụ trong chương tiếp theo.
Thể tuyến lan tỏa
Thể này được thấy ở nam giới có nồng độ estrogen rất cao.
Các hình ảnh bên trái trông đơn giản như những vú nữ nhỏ.
Đây là bệnh nhân đang điều trị bằng liệu pháp estrogen cho ung thư tuyến tiền liệt.
Giả gynecomastia
Tình trạng này thường gặp hai bên và không có khối sờ thấy được.
Cần nhớ rằng gynecomastia biểu hiện lâm sàng là một khối mềm, di động, đau tức, nằm dưới quầng vú.
Giả gynecomastia là do sự tích tụ mỡ quá mức ở vùng vú.
Tình trạng này được gặp như một biến thể bình thường, trong béo phì và trong bệnh u xơ thần kinh (neurofibromatosis).
Tổn Thương Lành Tính
Trước tiên, hãy bắt đầu với danh sách các tổn thương không nên được chẩn đoán ở bệnh nhân nam, vì đơn giản là họ không mắc các tổn thương này.
Nam giới không bị u tuyến tiết sữa (lactating adenoma), vì tổn thương này chỉ gặp trong thai kỳ.
Do tuyến vú nam giới có rất ít tiểu thùy, các khối u tiểu thùy cực kỳ hiếm gặp.
Chỉ có một vài trường hợp ung thư tiểu thùy xâm nhập được ghi nhận ở nam giới.
Tổn thương xơ biểu mô (fibroepithelial lesions) cũng cực kỳ hiếm gặp vì chúng cũng khởi phát từ tiểu thùy.
Vì vậy, không được chẩn đoán u xơ tuyến (fibroadenoma) ở nam giới, dù hình ảnh có trông giống u xơ tuyến đi nữa.
Nếu kết quả sinh thiết ghi là u xơ tuyến, hãy tham khảo ý kiến của một bác sĩ giải phẫu bệnh khác.
Bên trái là các tổn thương có thể gặp ở nam giới.
Ngoại trừ chứng vú to nam giới (gynecomastia) và vú to giả (pseudogynecomastia), hầu hết các tổn thương này không thể được chẩn đoán xác định qua hình ảnh học.
Chúng ta chỉ ghi nhận đây là tổn thương Birads IV và tiến hành sinh thiết.
U Cơ Xơ Bào (Myofibroblastoma)
U cơ xơ bào là một tổn thương thú vị vì đây là tổn thương duy nhất gặp ở nam giới nhiều hơn nữ giới.
Biểu hiện lâm sàng là một khối đơn độc, di động tự do, sờ thấy được, mật độ chắc.
Không có vôi hóa.
Tuổi trung bình gặp bệnh là cuối thập niên 50.
Bên trái là một tổn thương lớn, trông giống u xơ tuyến.
Tuy nhiên, chúng ta đã biết rằng nam giới không bị u xơ tuyến.
Kết quả giải phẫu bệnh là u cơ xơ bào và tổn thương được điều trị bằng phẫu thuật cắt bỏ tại chỗ.
Bên trái là một trường hợp u cơ xơ bào khác.
Tổn thương biểu hiện là một khối có múi, bờ rõ, không có vôi hóa.
Lưu ý rằng tổn thương nằm lệch tâm so với núm vú.
Khối có múi này mới cần được sinh thiết, không phải tổn thương vú to nam giới vùng sau núm vú.
Bên trái là một trường hợp u cơ xơ bào khác.
Núm vú được đánh dấu và tổn thương không nằm ở vùng sau núm vú.
Trên hình ảnh siêu âm, tổn thương khó phân biệt với mô mỡ xung quanh.
Bên trái là một trường hợp u cơ xơ bào khác.
Ngay cả khi tổn thương này nằm sau núm vú, bạn cũng không nên chẩn đoán đây là vú to nam giới, vì đây là một khối có múi.
U Tế Bào Hạt (Granular Cell Tumor)
Đây là khối u lành tính có nguồn gốc thần kinh.
Có thể xuất hiện ở bất kỳ vị trí nào trên cơ thể.
6% trường hợp xảy ra ở vú.
Thường gặp ở nam giới trong độ tuổi 30.
Ở nam giới, tổn thương thường có bờ rõ, nhưng đôi khi có hình dạng bờ tua gai.
Lưu ý rằng tổn thương bên trái có bờ không rõ, tương tự như hình ảnh thường thấy trong vú to nam giới, nhưng trên phim nhũ ảnh, tổn thương không nằm ngay dưới da.
Vì vậy, đây không phải là vú to nam giới và cần tiến hành sinh thiết.
Bên trái là một trường hợp u tế bào hạt khác.
Nang Vùi Biểu Bì (Epidermal Inclusion Cyst)
Nang vùi biểu bì là tổn thương da.
Biểu hiện là một khối đặc, bờ rõ, hình tròn.
Bên trái là một nang vùi biểu bì nhỏ.
Lưu ý cách tổn thương làm phồng da lên.
Bên trái là một nang vùi biểu bì kích thước lớn.
Bên trái là hình ảnh chuỗi xung T2W cho thấy bản chất dạng nang của tổn thương cùng với mẫu bệnh phẩm giải phẫu bệnh tương ứng.
Viêm Vú U Hạt (Granulomatous Mastitis)
Hầu hết các trường hợp là vô căn.
Cần loại trừ các nguyên nhân đặc hiệu như lao, sarcoid và hoại tử mỡ.
Bên trái là vú của một bệnh nhân nam trông giống như vú của nữ giới.
Các tổn thương này đôi khi có thể có bờ tua gai.
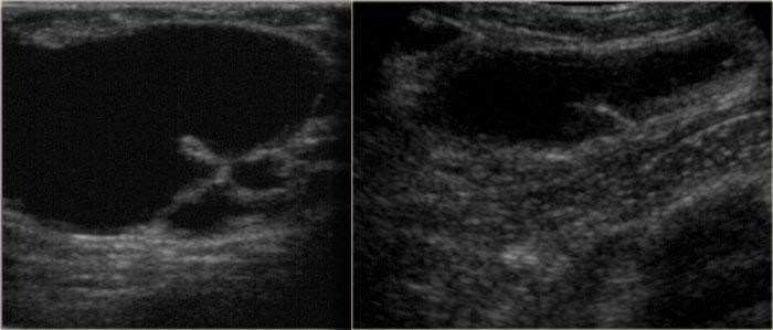
Giãn Tĩnh Mạch (Varix)
Bên trái là một tổn thương trông giống như nang, nhưng cần nhớ rằng nang xuất phát từ tiểu thùy và nam giới không có tiểu thùy, trừ khi họ đang dùng estrogen.
Đây là một giãn tĩnh mạch và nếu bạn chọc vào, sẽ có một bất ngờ lớn màu đỏ.
U Cơ Trơn (Leiomyoma)
Bên trái là một tổn thương trông giống u xơ tuyến, nhưng nam giới không bị u xơ tuyến.
Đây là một khối đặc có vỏ bao và kết quả sinh thiết xác định là u cơ trơn.
Nếu có hơn 2 nhân chia trên mỗi vi trường độ phóng đại lớn, bác sĩ giải phẫu bệnh sẽ chẩn đoán là u cơ trơn ác tính (leiomyosarcoma).
Ung Thư Vú ở Nam Giới
Bệnh lý ác tính ở nam giới có hình ảnh tương tự như ở nữ giới.
Tại Hoa Kỳ, mỗi năm có khoảng 1.700 ca mới, chiếm 1% tổng số ca ung thư vú.
Tỷ lệ mắc bệnh cao hơn ở người gốc Trung Quốc và châu Phi do tình trạng tăng estrogen thứ phát sau bệnh gan do ký sinh trùng.
Các khối ung thư này thường biểu hiện là một khối dưới quầng vú một bên, không đau.
Vị trí dưới quầng vú này tương tự như trong bệnh vú to ở nam giới (gynecomastia), nhưng thường lệch tâm so với núm vú.
Đôi khi bệnh biểu hiện bằng tiết dịch núm vú lẫn máu, điều này khác với gynecomastia.
Thông thường đây là ung thư biểu mô ống tuyến xâm nhập.
Như đã đề cập ở trên, ung thư biểu mô tiểu thùy xâm nhập cực kỳ hiếm gặp.
Ngoài ra, ung thư biểu mô ống tuyến tại chỗ (DCIS) cũng hiếm gặp do không có chương trình tầm soát cho nam giới, vì vậy bệnh thường được phát hiện khi đã có khối u sờ thấy được.
Hình bên trái cho thấy một khối lệch tâm, bờ không đều với các tua gai.
Nếu đây là bệnh nhân nữ, bạn sẽ không gặp khó khăn gì trong việc chẩn đoán đây là ung thư.
Ở nam giới cũng vậy.
Ung thư vú ở nam giới biểu hiện là một khối tròn, bầu dục hoặc bờ không đều.
Vôi hóa hiếm gặp, nhưng khi xuất hiện thì thường thô hơn so với ở nữ giới.
Hình bên trái là một ung thư biểu mô ống tuyến xâm nhập nhỏ.
Tổn thương nằm ở vùng dưới quầng vú và trung tâm, nhưng có vỏ bao.
Đây không phải là gynecomastia.
Bệnh Paget của núm vú và loét da gặp phổ biến hơn so với ở nữ giới.
Hình bên trái là ung thư biểu mô ống tuyến xâm nhập kèm co rút da.
Có một danh sách dài các yếu tố nguy cơ ung thư, tương tự như ở nữ giới:
- Tuổi cao
- Tiền sử gia đình
- Nguồn gốc Do Thái
- Xạ trị thành ngực
- Tăng estrogen máu
- Cường giáp
- Phơi nhiễm với các chất gây độc gan
- Phơi nhiễm nghề nghiệp với nhiệt độ cao (ngành công nghiệp thép)
- BRCA 2 gặp ở 4 – 16% bệnh nhân ung thư vú nam (40% tại Iceland)
- Tinh hoàn ẩn
- Cắt bỏ tinh hoàn và viêm tinh hoàn
- Hội chứng Klinefelter (47, XXY – 6% tổng số ung thư vú nam xảy ra ở bệnh nhân Klinefelter – nguy cơ suốt đời là 3%)
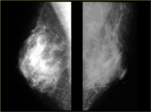
Hình bên trái là một ung thư biểu mô ống tuyến xâm nhập nhỏ, lệch tâm, có vỏ bao.
Hình bên trái là một ung thư biểu mô ống tuyến xâm nhập kích thước lớn kèm theo một số vôi hóa thô, có hình thái lành tính.
Các bệnh lý ác tính khác của tuyến vú nam giới
Các bệnh lý ác tính khác ngoài ung thư biểu mô ống tuyến là không phổ biến.
Bên trái là danh sách tất cả các bệnh lý ác tính ở nam giới.
Di căn
Di căn từ ung thư tuyến tiền liệt là loại di căn phổ biến nhất ở nam giới.
Bệnh xảy ra do lan rộng theo đường máu và thường gặp ở những bệnh nhân có bệnh lan tràn.
Biểu hiện là các khối tròn hoặc có múi, không có vôi hóa.
Bên trái là hình ảnh của một bệnh nhân có hai tổn thương di căn từ ung thư biểu mô tế bào nhỏ của phổi.
Liposarcoma
Liposarcoma là một loại sarcoma hiếm gặp.
Biểu hiện là một khối phát triển chậm, gây đau.
Thường có tỷ trọng nước và không điển hình cho tổn thương chứa mỡ.
Trên hình CT bên trái, có thể thấy tỷ trọng của tổn thương được xác định là liposarcoma.
Kết luận
Vú nam to (Gynecomastia) so với Ung thư biểu mô
Tóm lại, bệnh lý tuyến vú ở nam giới thường biểu hiện dưới dạng khối, đau hoặc tiết dịch núm vú.
Vú nam to (gynecomastia) và ung thư biểu mô ống tuyến xâm lấn là các tổn thương thường gặp nhất ở tuyến vú nam giới, tuy nhiên còn có các tổn thương lành tính và ác tính hiếm gặp khác.
Vú nam to và ung thư biểu mô thường có thể được phân biệt với nhau, nhưng đôi khi cần sinh thiết để phân định.
Tất cả các tổn thương lệch tâm so với núm vú đều cần sinh thiết, trừ khi chúng có đặc điểm điển hình của lành tính, tức là chứa mô mỡ hoặc hình ảnh hạch bạch huyết điển hình.
Bên trái là bảng liệt kê các đặc điểm của vú nam to so với ung thư biểu mô.
Lưu ý rằng có nhiều điểm tương đồng giữa hai thực thể này.
Cả vú nam to và ung thư biểu mô đều thường gặp nhất ở độ tuổi 60, và đều có thể mềm, di động, nằm dưới quầng vú và xuất hiện một bên.
Do đó, các đặc điểm này không có giá trị phân biệt.
Ung thư biểu mô thường có vị trí lệch tâm, trong khi vú nam to không bao giờ có vị trí lệch tâm.
Vú nam to phải có các dải mô kéo dài vào lớp mỡ xung quanh.
Ung thư biểu mô đôi khi có thể có các bờ tua gai, trông tương tự như vậy.
Thực ra, chúng ta gọi là “dải kéo dài vào mỡ” khi nghĩ đến vú nam to, và “bờ tua gai” khi nghĩ đến ung thư biểu mô.
Bên trái là hai trường hợp minh họa cho thấy việc phân biệt vú nam to với ung thư biểu mô trên nhũ ảnh có thể rất khó khăn.
Ung thư biểu mô ở bên phải có bờ được bao bọc rõ hơn một chút so với vú nam to ở bên phải.
Trong chưa đến 10% các trường hợp, cần sinh thiết để phân biệt hai thực thể này.
Bên trái là thêm hai trường hợp nữa.
Ở ngoài cùng bên trái là hình ảnh vú nam to lan tỏa.
Bên phải là một khối ung thư lớn có bờ được bao bọc.
Các trường hợp cuối cùng ở bên trái trông rất giống nhau.
Dựa trên nhũ ảnh, không thể phân biệt được hai trường hợp này.
Trong những tình huống hiếm gặp như vậy, cần phải tiến hành sinh thiết.










































