Bệnh lý phúc mạc
Ngày xuất bản
Bài tổng quan này dựa trên bài trình bày của Angela Levy và được Robin Smithuis biên soạn lại cho Trợ lý Chẩn đoán Hình ảnh.
Chúng tôi sẽ thảo luận về chẩn đoán phân biệt các khối dạng nang và đặc ở phúc mạc và mạc treo.
Trong Phúc mạc và Mạc treo – Phần I: Giải phẫu
sẽ trình bày giải phẫu bình thường và sinh lý học của phúc mạc cùng khoang phúc mạc.
Bạn có thể nhấp vào hình ảnh để xem phóng to.
Chẩn đoán phân biệt
Các khối dạng nang
Bước đầu tiên khi chẩn đoán các khối phúc mạc hoặc mạc treo là phân loại chúng thành dạng nang và dạng đặc.
Thứ hai, cần lưu ý rằng bất kỳ ổ dịch khu trú nào do nhiễm trùng (ví dụ: áp xe) hoặc do viêm tụy, thủng tạng hay viêm phúc mạc mật đều có thể mô phỏng hình ảnh một khối dạng nang.
Đặc biệt, các ổ dịch ở hậu cung mạc nối có thể mô phỏng hình ảnh khối dạng nang.
Cuối cùng, cần nắm rõ các khối dạng nang thường gặp và tìm kiếm các đặc điểm đặc trưng của từng loại.
- Ung thư biểu mô nhầy di căn phúc mạc
là chẩn đoán có khả năng nhất đối với các khối phúc mạc dạng nang. - Giả u nhầy phúc mạc (Pseudomyxoma peritonei)
ít gặp hơn, nhưng có hình ảnh khá tương đồng với ung thư biểu mô di căn phúc mạc. - Nang mạc treo
U mạch bạch huyết (Lymphangioma) là loại nang mạc treo thường gặp nhất.
Các loại nang mạc treo khác như nang nhân đôi ruột, nang ruột, giả nang không do tụy và nang trung biểu mô rất hiếm gặp và không có đặc điểm hình ảnh đặc trưng. - Nang vùi phúc mạc (Peritoneal inclusion cyst)
là một khối u phúc mạc nguyên phát lành tính, ít gặp hơn.
Tổn thương này còn được gọi là u trung biểu mô đa nang lành tính (benign multicystic mesothelioma).
Tên gọi này dễ gây nhầm lẫn vì không có mối liên quan với u trung biểu mô ác tính.
Tổn thương thường gặp ở phụ nữ có tiền sử phẫu thuật phụ khoa hoặc nhiễm trùng vùng chậu.
Các khối dạng đặc
- Ung thư biểu mô di căn phúc mạc (Peritoneal carcinomatosis)
Là khối dạng đặc phúc mạc thường gặp nhất, xuất phát từ ung thư buồng trứng hoặc ung thư đường tiêu hóa.
Thường kèm theo di căn mạc nối lớn (hình ảnh “bánh mạc nối” – omental cake) và cổ trướng. - U lympho không Hodgkin (NHL) và di căn hạch bạch huyết
Là các chẩn đoán thường gặp nhất của khối mạc treo.
NHL là nguyên nhân phổ biến nhất gây hạch to và thường có tổn thương lymphoma ở nhiều vị trí khác. - U carcinoid
Biểu hiện là một khối mạc treo có bờ tua gai, thường kèm vôi hóa trung tâm. Tổn thương di căn đến gan.
Kèm theo dày thành ruột do phản ứng xơ hóa (desmoplastic reaction). - Viêm mạc treo xơ hóa (Sclerosing mesenteritis)
Có thể có hình ảnh tương tự u carcinoid.
Tổn thương có phổ biểu hiện rộng, từ khối đặc thâm nhiễm đến dạng thường gặp hơn là phát hiện tình cờ, còn gọi là viêm mỡ mạc treo (mesenteric panniculitis), biểu hiện là khối mỡ thường không có ý nghĩa lâm sàng. - U xơ mạc treo (Mesenteric fibromatosis)
Còn được gọi là u xơ trong ổ bụng, u xơ desmoid ổ bụng hoặc u desmoid.
Đây là khối u xâm lấn tại chỗ, thường tái phát nhưng không di căn xa.
Có thể có mô đệm nhầy (myxoid stroma) dẫn đến giảm tỷ trọng trên CT và tăng tín hiệu trên chuỗi xung T2W. - U trung biểu mô (Mesothelioma)
Chiếm 20% tổng số các u trung biểu mô, có liên quan đến phơi nhiễm amiăng và mảng màng phổi.
Các Khối Dạng Nang
Ung Thư Biểu Mô Nhầy Phúc Mạc
Ung thư biểu mô nhầy phúc mạc là khối u dạng nang phổ biến nhất ảnh hưởng đến khoang phúc mạc.
Thông thường, các di căn này xuất phát từ ung thư biểu mô nhầy của buồng trứng hoặc đường tiêu hóa (dạ dày, đại tràng, tụy).
Tiên lượng bệnh xấu.
Tuy nhiên, khi ung thư biểu mô tuyến nhầy độ thấp của ruột thừa lan rộng vào khoang phúc mạc, hậu quả thường là giả u nhầy phúc mạc (pseudomyxoma peritonei), đây là một loại khối u riêng biệt với tiên lượng tốt hơn.
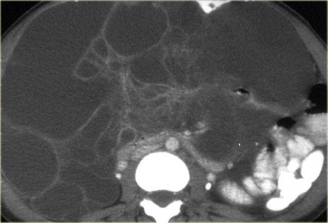
Trong ung thư biểu mô phúc mạc, chúng ta thấy các nốt khối u dọc theo lớp lót phúc mạc (mũi tên), các ổ di căn mạc nối và tắc ruột.

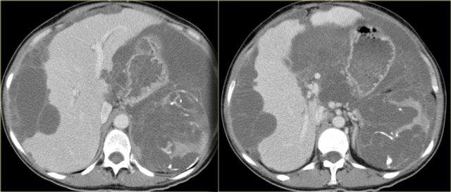
Giả u nhầy phúc mạc với hình ảnh lõm múi rõ rệt trên bề mặt gan và gần như phá hủy lách. Lưu ý các vôi hóa
Giả U Nhầy Phúc Mạc
Giả u nhầy phúc mạc là hậu quả của ung thư biểu mô tuyến nhầy của ruột thừa, biểu hiện dưới dạng nang nhầy (mucocele) và lan rộng vào khoang phúc mạc.
Đây là một hội chứng lâm sàng, đặc trưng bởi tình trạng cổ trướng nhầy thể tích lớn, tái phát và khó điều trị, do sự phát triển trên bề mặt phúc mạc mà không xâm lấn đáng kể vào các mô bên dưới.
Đặc điểm điển hình của giả u nhầy phúc mạc là hình ảnh lõm múi trên bề mặt gan và lách.
Khác với di căn phúc mạc, không có các nốt khối u.
Có thể có một số vôi hóa.
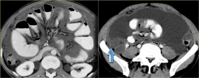
Giả u nhầy phúc mạc (2)
Bên trái là một trường hợp giả u nhầy phúc mạc khác.
Hầu như không có hình ảnh lõm múi trên bề mặt gan.
Lưu ý dây chằng liềm dày lên.
Có nang nhầy của ruột thừa (mũi tên).
Dấu hiệu này hiếm khi được ghi nhận.
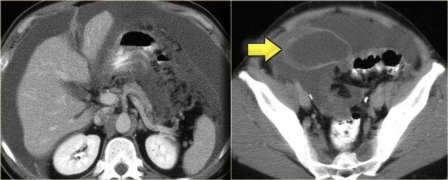
Bên trái là một trường hợp giả u nhầy phúc mạc khác.
Có hiện tượng chèn ép mạc treo dẫn đến mạc treo dày lên dạng bánh, tăng tỷ trọng (mũi tên).
Ngoài ra còn có một số vôi hóa.
Giả u nhầy phúc mạc thường bị nhầm lẫn với ung thư biểu mô nhầy phúc mạc.
Khác với ung thư biểu mô phúc mạc, giả u nhầy phúc mạc không có các ổ di căn mạc nối thực sự biểu hiện dạng bánh mạc nối hoặc các ổ di căn phúc mạc.
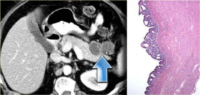
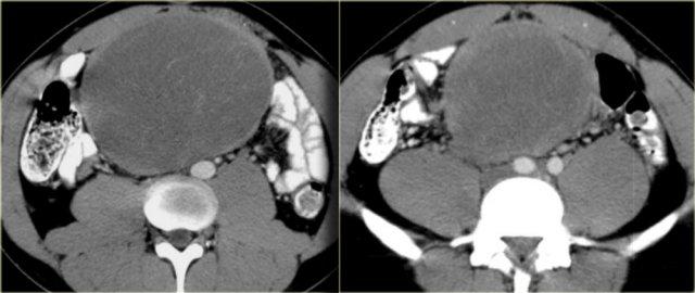
Nang Mạc Treo – U Mạch Bạch Huyết
Nang mạc treo là thuật ngữ mô tả dùng để chỉ bất kỳ tổn thương dạng nang nào nằm trong mạc treo.
Thông thường đây là u mạch bạch huyết (lymphangioma).
Các nang mạc treo khác như nang ruột đôi (enteric duplication cyst), nang ruột (enteric cyst), nang giả không do tụy và nang trung biểu mô rất hiếm gặp và không có đặc điểm hình ảnh đặc trưng.
U mạch bạch huyết là tổn thương lành tính có nguồn gốc mạch máu.
Phần lớn u mạch bạch huyết nằm ở vùng cổ, nhưng 5% có vị trí trong ổ bụng.
U mạch bạch huyết có các vách ngăn ngấm thuốc.
Khác với di căn phúc mạc dạng nang, cổ trướng không phải là đặc điểm của u mạch bạch huyết.
Khi thấy một tổn thương dạng nang có vách ngăn mà không có cổ trướng, chẩn đoán có khả năng nhất là u mạch bạch huyết.
U mạch bạch huyết thường có liên quan mật thiết với ruột non.
Trong phẫu thuật, việc tách khối u ra khỏi ruột thường rất khó khăn và trong nhiều trường hợp phải cắt bỏ cả đoạn ruột liên quan.
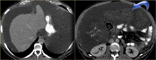
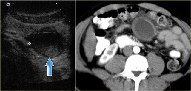
Trường hợp bên trái cũng là u mạch bạch huyết.
Lưu ý rằng CT không phải lúc nào cũng thể hiện rõ các vách ngăn, mặc dù bệnh phẩm cho thấy rõ ràng nhiều vách ngăn.
Siêu âm hoặc MRI mô tả các vách ngăn này tốt hơn CT.
Nang Ruột Đôi
Nang ruột đôi là nang có thành bao gồm đủ ba lớp của thành ruột, bao gồm lớp niêm mạc, lớp dưới niêm mạc và lớp cơ niêm.
Mặc dù chúng ta thường nghĩ đến nang ruột đôi khi thấy một khối dạng nang kề cận ruột, cần nhận thức rằng đây là những tổn thương hiếm gặp.
Chúng có thể xuất hiện ở bất kỳ vị trí nào trong mạc treo, có thể kề cận hoặc cách xa ruột.
Bên trái là hình ảnh nang ruột đôi.
Nang nằm trong mạc treo đại tràng ngang.
Bệnh nhân này ban đầu được nghi ngờ có khối u tụy dạng nang.
Bệnh phẩm cho thấy đầy đủ các lớp thành ruột.
Nang Giả Không Do Tụy
Nang giả không do tụy là di tích của một khối máu tụ hoặc ổ nhiễm trùng cũ.
Hầu hết các bệnh nhân này có tiền sử chấn thương bụng trước đó.
Thường có thành dày và có thể có cặn lắng bên trong tổn thương.
Bệnh nhân bên trái đã bị tai nạn xe hơi tám tháng trước.
Đây có thể là khối máu tụ mạc treo cũ do chấn thương dây an toàn.
Lưu ý thành dày trên CT và cặn lắng trên siêu âm.
Bên trái là hình ảnh bệnh phẩm và CT của một nang giả không do tụy.
Lưu ý thành dày.
Đây có thể là khối máu tụ hoặc áp xe cũ.
Có thể gợi ý chẩn đoán này khi có tiền sử dương tính và thấy thành dày hoặc cặn lắng.
Nang Ruột và Nang Trung Biểu Mô
Đây cũng là các nang mạc treo.
Chúng hiếm gặp và có đặc điểm hình ảnh không đặc hiệu.
Trường hợp bên trái được chẩn đoán là u mạch bạch huyết, đơn giản vì u mạch bạch huyết là nang mạc treo phổ biến nhất.
Trong phẫu thuật, đây là nang trung biểu mô.
Nang Vùi Phúc Mạc
Còn được gọi là Nang vùi phúc mạc đa thùy hoặc U trung biểu mô nang lành tính.
Đây là khối u phúc mạc nguyên phát lành tính hiếm gặp, không có liên quan đến
Khối Đặc
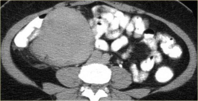
Di căn phúc mạc
Di căn phúc mạc là các khối đặc phúc mạc thường gặp nhất.
Ung thư đường tiêu hóa và ung thư buồng trứng là các nguyên nhân phổ biến nhất.
Thông thường có di căn mạc nối, tức là omental cake và cổ trướng.
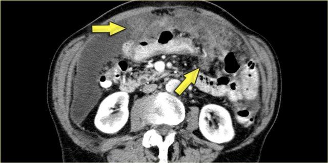
Hình bên trái là CT minh họa omental cake ở bệnh nhân ung thư buồng trứng.
Hình bên trái là bệnh nhân ung thư biểu mô phổi.
Khối đặc đơn độc này được phát hiện ở vùng chậu.
Dựa trên tiền sử bệnh, tổn thương này được nghi ngờ là di căn.
Các khối u đặc đơn độc khác như … có thể có biểu hiện tương tự.
Cần sinh thiết để xác định chẩn đoán.
Kết quả cho thấy đây là di căn của ung thư biểu mô phổi.
U lympho
U lympho không Hodgkin (NHL) là nguyên nhân phổ biến nhất gây hạch to.
Thông thường có các vị trí u lympho khác kèm theo.
Tỷ trọng trên CT tại thời điểm chẩn đoán rất đồng nhất trong hầu hết các trường hợp, với mức độ ngấm thuốc tối thiểu hoặc không ngấm thuốc.
Tỷ trọng không đồng nhất chỉ gặp trong các trường hợp có mô học xâm lấn.
Trong quá trình điều trị, tỷ trọng trở nên không đồng nhất do hoại tử và xơ hóa.
Vôi hóa có thể xảy ra.
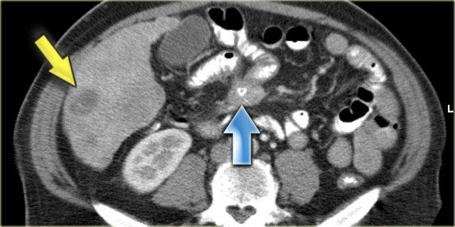
U Carcinoid
U carcinoid là khối u thần kinh nội tiết phát triển chậm, thường gặp nhất ở ruột non.
Ít hơn 10% bệnh nhân mắc u carcinoid sẽ phát triển hội chứng carcinoid, do sản xuất quá mức serotonin, có thể dẫn đến các triệu chứng như đỏ bừng da, tiêu chảy và co thắt phế quản.
U carcinoid di căn đến mạc treo, đôi khi dễ nhận thấy hơn so với khối u nguyên phát ở ruột non.
Có kèm theo dày thành ruột do phản ứng xơ hóa mô đệm (desmoplastic reaction).
Hình bên trái là bệnh nhân với u carcinoid điển hình có vôi hóa trung tâm (mũi tên xanh dương).
Lưu ý hiện tượng co kéo ruột và dày thành ruột.
Có di căn gan (mũi tên vàng).
Hình bên trái là một bệnh nhân khác mắc u carcinoid.
Hình bên phải là octreoscan, dương tính trong 85% các trường hợp u carcinoid, do đó đây có thể là công cụ hỗ trợ rất hữu ích trong chẩn đoán phân biệt.
Trong trường hợp này, chúng ta cũng có thể phát hiện di căn gan trên hình chụp (mũi tên xanh dương).
Lưu ý không có hoạt động của khối u nguyên phát ở ruột non.
Điều này thường gặp vì khối u nguyên phát có thể khá nhỏ.
U mô đệm đường tiêu hóa – GIST
Các khối u ruột non nguyên phát có thể lan rộng vào mạc treo, và ví dụ điển hình cho điều này là GIST.
Khối u có thể có thành phần mạc treo lớn với điểm bám vào thành ruột rất nhỏ, đến mức khó nhận thấy.
Trên CT, các khối u này có tỷ trọng hỗn hợp do hoại tử và xuất huyết, đồng thời có xu hướng tăng sinh mạch máu mạnh, do đó sẽ ngấm thuốc như trường hợp minh họa bên trái.
U giả viêm (Inflammatory Pseudotumor)
Bệnh này có thể ảnh hưởng đến phổi, hốc mắt và mạc treo.
U giả viêm là chẩn đoán loại trừ.
Thông thường chẩn đoán được xác lập trong phẫu thuật hoặc sinh thiết.
Đây là hậu quả của tình trạng viêm mạn tính với cơ chế bệnh sinh chưa rõ ràng.
Có thể là do nhiễm trùng tiềm ẩn sau chấn thương nhỏ hoặc sau phẫu thuật.
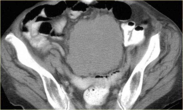
U xơ mạc treo – U Desmoid
U xơ mạc treo còn được gọi là u xơ trong ổ bụng, u desmoid ổ bụng hoặc u desmoid.
Hình bên trái là bệnh nhân nam 33 tuổi than phiền về tình trạng bụng ngày càng to, cảm giác đầy bụng và sờ thấy khối ở bụng.
Trước tiên hãy nghiên cứu các hình ảnh bên trái rồi tiếp tục xem hình MRI.
Hãy tìm các đặc điểm hình ảnh hữu ích trong chẩn đoán phân biệt.
Trước hết, đây là tổn thương có bờ rõ với giảm tỷ trọng trên CT.
Có ngấm thuốc nhẹ xung quanh tổn thương và một số dải ngấm thuốc nhỏ bên trong tổn thương.
Trên MRI, tổn thương giảm tín hiệu trên chuỗi xung T1W như dự kiến.
Trên chuỗi xung T2W, tổn thương tăng tín hiệu tương đối.
Kết hợp với giảm tỷ trọng trên CT, điều này cho thấy có chứa mucin bên trong tổn thương.
Đặc điểm này rất gợi ý chẩn đoán u xơ mạc treo.
U xơ mạc treo – U Desmoid (2)
Mức độ ngấm thuốc trên MRI rõ hơn so với trên CT.
Trên CT, giảm tỷ trọng của mucin nổi bật hơn, nhưng trên MRI chúng ta có thể đánh giá sự ngấm thuốc tốt hơn.
Điều này cho thấy tổn thương được tưới máu tốt.
U xơ mạc treo hay u desmoid là quá trình tăng sinh lành tính, xâm lấn tại chỗ và có thể tái phát, nhưng không di căn.
Mạc treo ruột non là vị trí thường gặp nhất.
13% bệnh nhân có đa polyp tuyến gia đình (FAP).
Hình bên trái là bệnh nhân khác mắc u xơ mạc treo.
Lưu ý tổn thương này không có tỷ trọng thấp.
Tổn thương này có mô đệm dạng collagen hoặc xơ hóa nhiều hơn.
Vì vậy có hai thể hình ảnh khác biệt.
U xơ mạc treo – U Desmoid (3)
Hình bên trái là một trường hợp điển hình hơn với khối u giảm tỷ trọng nằm ở mạc nối lớn (hình trên) và dây chằng vị-lách (hình dưới).























