Bệnh lý khớp háng ở trẻ em
Trong bài tổng quan này, chúng tôi sẽ thảo luận về các hình ảnh học thường gặp nhất ở trẻ em có biểu hiện đau khớp háng.
Giới thiệu
Chẩn đoán phân biệt
Trẻ em mắc bệnh lý khớp háng có thể biểu hiện bằng đau khớp háng hoặc đi khập khiễng.
Chẩn đoán phân biệt có thể được thu hẹp dựa theo độ tuổi (xem Bảng).
Đặc biệt ở trẻ nhỏ, trẻ thường gặp khó khăn trong việc xác định vị trí hoặc mô tả cơn đau; đôi khi những trẻ ban đầu có vẻ bị bệnh lý khớp háng lại thực sự có bệnh lý tiềm ẩn ở khớp gối hoặc bàn chân.
Chẩn đoán hình ảnh
Ở trẻ em từ 2 đến 10 tuổi có triệu chứng dưới 5 ngày, không có sốt cao hoặc các chỉ số viêm không tăng – khuyến cáo áp dụng chính sách theo dõi và chờ đợi. Trong những trường hợp này, chẩn đoán thường là viêm màng hoạt dịch thoáng qua, một tình trạng tự khỏi.
Đôi khi bác sĩ lâm sàng sẽ yêu cầu siêu âm để xác nhận sự hiện diện của tràn dịch khớp.
Trong tất cả các trường hợp còn lại, cần thực hiện chụp X-quang.
Sơ đồ trình bày cách tiếp cận thực tế đối với đau khớp háng và đi khập khiễng mới xuất hiện.
Nhấp vào hình để phóng to.
Cần lưu ý rằng trong giai đoạn sớm của bệnh Perthes, viêm khớp tự phát thiếu niên, viêm tủy xương và viêm khớp nhiễm khuẩn, các phim X-quang ban đầu có thể hoàn toàn bình thường.
Do trẻ nhỏ có thể gặp khó khăn trong việc mô tả vấn đề, đôi khi cần thiết phải chụp hình toàn bộ chi.
Trong hầu hết các trường hợp, bệnh lý xương có thể được loại trừ chỉ với tư thế chụp nghiêng kiểu ếch (frog-leg lateral, hay còn gọi là tư thế Lauenstein).
Trong trường hợp nghi ngờ có bệnh lý trên phim nghiêng kiểu ếch, cần chụp thêm phim thẳng (AP) để phục vụ mục đích chỉnh hình và theo dõi.
Trẻ em bị bại não có nguy cơ cao bị trật khớp háng, và trong những trường hợp này nên chụp tư thế AP. Tư thế AP cũng được khuyến cáo trong các tình huống khác khi không thể thực hiện được tư thế nghiêng kiểu ếch đạt yêu cầu.
Tấm chắn chì
Việc giảm liều bức xạ vùng sinh dục bằng tấm chắn chì là không đáng kể.
Việc sử dụng tấm chắn chì vùng sinh dục không được khuyến khích vì các lý do sau:
- nguy cơ che khuất thông tin chẩn đoán quan trọng
- tăng số lần chụp lại
- có thể che khuất buồng kiểm soát phơi sáng tự động.
Lưu ý: do đây là một nhận thức tương đối mới, một số hình ảnh trong bài viết này vẫn còn sử dụng tấm chắn chì.
Bệnh lý

Viêm màng hoạt dịch thoáng qua. Khớp háng trái cho thấy tràn dịch khớp (mũi tên) ở túi cùng trước gây tách các lớp bao khớp, hiện có thể nhận diện rõ ràng
Viêm màng hoạt dịch thoáng qua
Viêm màng hoạt dịch thoáng qua – còn được gọi là coxitis fugax – là tình trạng viêm vô khuẩn khớp háng, được cho là có căn nguyên sau nhiễm virus.
Trẻ bị ảnh hưởng chỉ có biểu hiện bệnh nhẹ hoặc gần đây mắc nhiễm trùng đường hô hấp trên mức độ nhẹ.
Bệnh có tính chất tự giới hạn và được điều trị bằng nghỉ ngơi và thuốc giảm đau.
Đây là nguyên nhân phổ biến nhất gây đau khớp háng hoặc đi khập khiễng ở trẻ em dưới mười tuổi.
Chẩn đoán hình ảnh không thực sự cần thiết, nhưng siêu âm thường được chỉ định để xác nhận sự hiện diện của tràn dịch khớp.
Chụp X-quang chỉ được thực hiện khi có các chẩn đoán phân biệt khác cần xem xét.
Không nên đề xuất sự hiện diện của tràn dịch trên phim X-quang, vì dấu hiệu giãn rộng khe khớp là một phát hiện không đặc hiệu.
Luôn cân nhắc khả năng viêm khớp nhiễm khuẩn ở trẻ có biểu hiện bệnh nặng!
Đặc điểm hình ảnh của dịch tràn trên siêu âm không có giá trị trong chẩn đoán phân biệt.
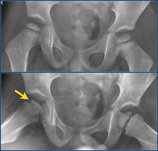
Bệnh Perthes
Bệnh Perthes, còn được gọi là bệnh Legg-Calvé-Perthes, là hoại tử vô mạch vô căn của đầu xương đùi gần.
Bệnh gặp nhiều hơn ở trẻ trai, thường trong độ tuổi từ 5 đến 8, nhưng có thể dao động từ 3 đến 12 tuổi.
Bệnh có thể xảy ra hai bên, nhưng thường không đối xứng.
Phim X-quang giai đoạn sớm có thể bình thường hoặc cho thấy dấu hiệu dẹt nhẹ của chỏm xương đùi. Xơ cứng và gãy xương dưới sụn có thể xuất hiện, các đặc điểm này được đánh giá tốt nhất trên tư thế chụp nghiêng kiểu ếch.
Các hình ảnh cho thấy bệnh Perthes khớp háng phải ở một bé trai năm tuổi.
Các dấu hiệu bao gồm:
- Đầu xương đùi dẹt và xơ cứng.
- Gãy xương dưới sụn, được đánh giá rõ nhất trên tư thế chụp nghiêng kiểu ếch.
Ở giai đoạn sớm của bệnh, phim X-quang có thể âm tính, nhưng MRI sẽ cho thấy phù nề chỏm xương đùi với mất tín hiệu cao của tủy xương trên chuỗi xung T1W.
Đôi khi một đường gãy xương ẩn trên X-quang có thể được phát hiện trên MRI dưới dạng dấu hiệu viền đôi trên chuỗi xung T2W có fatsat.
Tràn dịch khớp có thể hiện diện.
Sụn có thể trở nên phì đại ở bên bị ảnh hưởng.
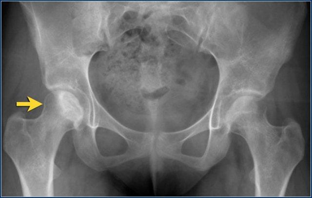
Các hình ảnh cho thấy bệnh Perthes bên phải ở một bé gái chín tuổi.
Có sự mất tín hiệu cao T1W của tủy mỡ do phù nề và xơ cứng.
Điều trị mang tính triệu chứng. Tùy thuộc vào việc có hay không có tái tưới máu tự phát, bệnh có thể tiến triển hoặc không.
Khi bệnh tiến triển, sẽ xảy ra hiện tượng vỡ vụn và xẹp chỏm xương đùi.
Có thể quan sát thấy các vùng thấu quang ở hành xương.
Trong giai đoạn lành bệnh, bệnh Perthes có thể dẫn đến chỏm và cổ xương đùi ngắn, rộng. Biến dạng này còn được gọi là coxa magna.
Phẫu thuật tái tạo (phẫu thuật cắt xương Salter) có thể cần thiết để phòng ngừa thoái hóa khớp sớm.
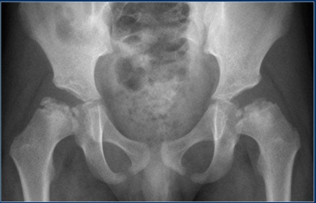
Các hình ảnh cho thấy:
- Xẹp và xơ cứng chỏm xương đùi kèm vùng thấu quang ở hành xương.
- Tiến triển đến vỡ vụn và hình thành cổ xương ngắn, rộng.
- Biến dạng coxa magna đang hình thành.
Chẩn đoán phân biệt X-quang của bệnh Perthes bao gồm:
- Hoại tử vô mạch thứ phát
- Loạn sản Meyer
- Loạn sản đa đầu xương
Hoại tử vô mạch thứ phát
Bệnh Perthes cần được phân biệt với hoại tử vô mạch có nguyên nhân xác định, vì điều này có thể đòi hỏi phương pháp điều trị khác.
Các nguyên nhân gây hoại tử vô mạch bao gồm:
- Liệu pháp corticosteroid
- Bệnh hồng cầu hình liềm
- Lupus ban đỏ hệ thống (SLE)
- Biến chứng của điều trị loạn sản khớp háng
Phim X-quang của một bệnh nhân 15 tuổi mắc bệnh bạch cầu lympho cấp tính được điều trị bằng corticosteroid.
Hình ảnh đơn thuần không thể phân biệt với bệnh Perthes, nhưng dựa trên thông tin lâm sàng, đây là hoại tử vô mạch thứ phát.
Loạn sản Meyer
Đây là một tình trạng hiếm gặp trong đó các chỏm xương đùi biểu hiện cốt hóa muộn và vỡ vụn, thường xảy ra hai bên.
Trên X-quang không thể phân biệt với bệnh Perthes.
Bệnh không có biểu hiện xẹp hoặc biến dạng tiến triển theo thời gian và có tính chất đối xứng.
Bệnh thường gặp ở nhóm tuổi nhỏ hơn (2-4 tuổi).
Bản thân bệnh không có triệu chứng và các khớp sẽ phát triển bình thường.
Loạn sản đa đầu xương
Loạn sản đa đầu xương có thể bắt chước bệnh Perthes vì có thể biểu hiện chủ yếu ở khớp háng.
Đây là một bệnh loạn sản xương di truyền hiếm gặp.
Bệnh nhân biểu hiện dáng đi lắc lư, đau, mệt mỏi và tầm vóc thấp.
Trái với bệnh Perthes, các bất thường thường có tính chất đối xứng.
Khớp gối, khớp cổ chân và khớp cổ tay thường cũng bị ảnh hưởng.
Quá trình cốt hóa nội sụn bất thường dẫn đến các đầu xương nhỏ, vỡ vụn kèm bất thường về trục.
Cần chụp X-quang tất cả các khớp để xác lập chẩn đoán.
Bệnh nhân sẽ phát triển thoái hóa khớp sớm.
Điều trị mang tính triệu chứng.

Trượt đầu xương đùi ở một bé trai mười ba tuổi. Phim X-quang tư thế thẳng cho thấy đầu xương hơi rộng, nhưng dấu hiệu này dễ bị bỏ sót. Tư thế chụp nghiêng kiểu ếch cho thấy trượt đầu xương đùi trái ra sau-trong.
Trượt Đầu Xương Đùi
Trượt đầu xương đùi (SCFE) hay còn gọi là tiêu xương đùi đầu là gãy xương Salter-Harris type I vô căn của đầu xương đùi gần.
Bệnh gặp nhiều hơn ở trẻ trai và trẻ béo phì. Độ tuổi biểu hiện điển hình là từ 12 đến 15 tuổi.
SCFE có thể xảy ra hai bên trong tới một phần ba số trường hợp.
Đầu xương trượt ra sau, và ở mức độ ít hơn là vào trong.
Do đó, dấu hiệu này được đánh giá tốt nhất trên tư thế chụp nghiêng kiểu ếch.
SCFE được điều trị bằng cố định phẫu thuật để ngăn ngừa trượt thêm.
Hoại tử vô mạch đầu xương đùi là một biến chứng tiềm ẩn.

VKN thiếu niên tự phát: Tràn dịch khớp háng phải trong JIA. Màng hoạt dịch dày lên và ngấm thuốc tương phản từ Gadolinium (phải). Hình ảnh do Bác sĩ LS Ording Muller cung cấp
Viêm Khớp Tự Phát Thiếu Niên
Viêm khớp tự phát thiếu niên (JIA) là một chẩn đoán lâm sàng và hiện được phân thành sáu phân nhóm khác nhau.
Trong hầu hết các trường hợp, ít hơn 4 khớp bị ảnh hưởng. Các khớp lớn chủ yếu bị tổn thương, bao gồm khớp háng.
JIA khởi phát bằng viêm bao gân và chỉ sau đó mới biểu hiện phù nề xương, viêm màng xương, loãng xương và rối loạn tăng trưởng.
Trái với người lớn, mất sụn khớp và bào mòn xương không phải là dấu hiệu thường gặp trong JIA.
Phim X-quang thường âm tính ở giai đoạn sớm của bệnh.
Các dấu hiệu điển hình ở giai đoạn muộn của bệnh có thể là đầu xương hơi lớn hơn, hoặc trưởng thành xương sớm.
Do JIA được điều trị tích cực ngay từ đầu, các thay đổi xương trên X-quang có thể không xuất hiện.
Siêu âm sẽ cho thấy tràn dịch, màng hoạt dịch dày và đôi khi tăng sinh mạch máu.
MRI cũng có thể phát hiện tràn dịch khớp và dày màng hoạt dịch, đồng thời có thể đánh giá tổn thương xương và sụn.
Đây cũng là phương thức hình ảnh tốt để đánh giá các rối loạn tăng trưởng do bệnh gây ra.
Viêm tủy xương
Viêm tủy xương là một tình trạng nặng tương đối phổ biến ở trẻ em, xảy ra thường xuyên nhất ở trẻ dưới năm tuổi.
Ở độ tuổi nhỏ này, biểu hiện lâm sàng có thể khá không đặc hiệu, và trẻ nhũ nhi có thể chỉ biểu hiện sốt và chậm tăng cân.
Hầu hết các trường hợp là do đường máu, và có thể là hậu quả của nhiễm trùng đường hô hấp. Staphylococcus aureus là tác nhân gây bệnh phổ biến nhất.










