Bệnh đường thở lớn
Bệnh lý của khí quản và phế quản trung tâm ít được gặp, do đó hầu hết các bác sĩ chẩn đoán hình ảnh đều thấy đây là một thách thức.
Mặc dù chẩn đoán phân biệt tương đối hạn chế, bệnh lý vẫn rất đa dạng, bao gồm các bệnh bẩm sinh, lành tính, ác tính nguyên phát và di căn.
Bài viết này tóm tắt các đặc điểm hình ảnh điển hình trong chẩn đoán phân biệt các bệnh lý đường thở lớn, với hy vọng đây sẽ là tài liệu tham khảo hữu ích cho những ai cần đến theo từng thời điểm.
Giới thiệu
Đường thở trung tâm bao gồm khí quản và các phế quản chính, trước khi phân nhánh về phía ngoại vi thành các phế quản thùy, phân thùy và dưới phân thùy ở cả hai bên.
Khí quản có chiều dài khoảng 10-15 cm, bao gồm thành phần ngoài lồng ngực và trong lồng ngực. Khí quản chứa khoảng 15-20 vòng sụn hình móng ngựa.
Thành sau của khí quản và phế quản chính có cấu trúc màng và không chứa sụn, đây là đặc điểm quan trọng trong chẩn đoán phân biệt trên hình ảnh, sẽ được thảo luận ở phần sau.
Lớp lót bên trong của đường thở bao gồm biểu mô hô hấp có lông chuyển xen kẽ với các tế bào hình đài, tuyến nước bọt nhỏ và các tế bào thần kinh nội tiết.
Ngoài ra, đường thở còn chứa mô cơ, sụn, thần kinh, v.v.
Tất cả các thành phần này đều có thể là nguồn gốc của bệnh lý.
Chẩn đoán phân biệt
Bệnh lý đường thở trung tâm có thể được phân chia thành các nhóm nhỏ, dựa theo căn nguyên (ví dụ: viêm, tân sinh, v.v.) hoặc theo đặc điểm hình ảnh (ví dụ: dạng nốt, tổn thương đơn độc/đa ổ, thâm nhiễm lan tỏa, v.v.).
Bảng dưới đây trình bày tổng quan dựa trên phân nhóm căn nguyên bệnh nhằm cung cấp cái nhìn toàn diện.
- TB = lao (tuberculosis)
- GPA = u hạt kết hợp viêm đa mạch (granulomatosis with polyangiitis)
- IBD = bệnh viêm ruột (inflammatory bowel disease)
- TBP-OCP = bệnh xương sụn khí phế quản (tracheobronchopathia osteochondroplastica)
Đây là sơ đồ thuật toán dựa trên đặc điểm hình ảnh, có thể được sử dụng để thu hẹp chẩn đoán phân biệt.
Dạng nốt – chẩn đoán phân biệt
Các tổn thương dạng nốt nhô vào trong lòng đường thở và làm biến dạng đường bờ trong bình thường vốn nhẵn của đường thở.
Chỉ một số ít trong các tổn thương này có đặc điểm hình thái đặc trưng.
Dưới đây là một số ví dụ về tổn thương dạng nốt hoặc dạng khối trong khí quản và phế quản.
- Ung thư biểu mô tế bào vảy thường có dạng phá hủy với xâm lấn các cấu trúc xung quanh.
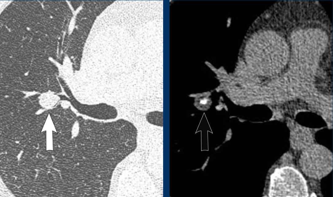
- U carcinoid là tổn thương nội phế quản có giới hạn rõ, hiếm khi liên quan đến khí quản.
- Mỡ đại thể có thể gặp trong u hamartoma hoặc u mỡ (lipoma).
- Chất nhầy có tỷ trọng thấp và thường chỉ quan sát được trên cửa sổ phổi.
Dày thành – chẩn đoán phân biệt
Tại vị trí tổn thương, đường bờ bình thường vốn nhẵn và mỏng của thành khí quản và phế quản bị mất đi.
Chỉ một số ít bệnh có đặc điểm hình thái đặc trưng.
Dưới đây là một số ví dụ về dày thành đường thở trung tâm cả dạng khu trú lẫn lan tỏa.
- Viêm đa sụn tái phát có hình ảnh đặc trưng dạng móng ngựa.
- Bệnh amyloidosis biểu hiện dạng không đều rõ rệt kèm vôi hóa, gần như có tính chất đặc hiệu bệnh.
- Tổn thương do xạ trị giới hạn trong trường chiếu xạ.
Do Thầy Thuốc Gây Ra (Iatrogenic)
Sau đặt nội khí quản
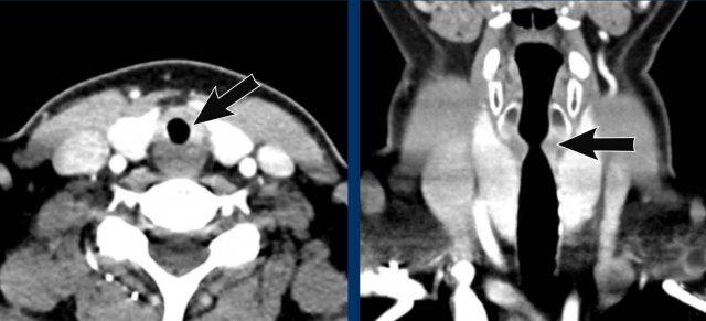
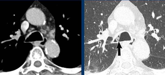
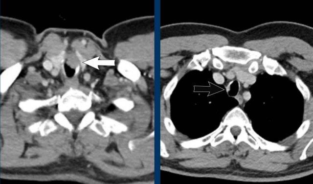
Bệnh lý đường thở trung tâm do thầy thuốc gây ra thường gặp nhất là hẹp khu trú sau đặt nội khí quản hoặc mở khí quản. Xơ hóa khu trú có thể xảy ra do phản ứng với hoại tử gây ra bởi áp lực bóng chèn (cuff) hoặc do tổn thương trực tiếp thành khí quản trong quá trình thủ thuật.
Điển hình là hình ảnh hẹp hạ thanh môn gần lỗ vào lồng ngực, có dạng hình đồng hồ cát trên mặt phẳng coronal, do đoạn sẹo xơ ngắn khu trú tại khí quản (hình minh họa).
Hình ảnh nội soi phế quản từ phía trên và phía dưới mức dây thanh âm cho thấy hẹp hạ thanh môn đáng kể của khí quản.
Xạ trị
Khi được áp dụng để điều trị các khối u ở gần đường thở trung tâm, xạ trị có thể gây hẹp đường thở, rò, hoại tử và đôi khi gây ho ra máu ồ ạt.
Ngoài ra, trong giai đoạn cấp tính có thể ghi nhận thêm hình ảnh thâm nhiễm mỡ trung thất và dày thành thực quản.
Hình ảnh
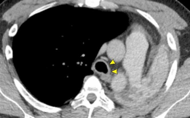
Dày thành tại vị trí chỗ chia đôi khí quản sau xạ trị.
Dị vật
Hít sặc dị vật hiếm gặp ở người lớn và thường gặp nhất ở trẻ em.
Ở người lớn, hít sặc các mảnh răng/nha khoa tương đối phổ biến, đặc biệt trong nhóm bệnh nhân chấn thương. Hình ảnh X-quang thông thường sau khi hít sặc có thể không hiển thị dị vật cản quang, tùy thuộc vào thành phần vật liệu.
Tuy nhiên, có thể có các dấu hiệu gián tiếp, ví dụ như ứ khí một bên hoặc xẹp phổi do cơ chế van một chiều và tắc nghẽn, tương ứng.
Hình ảnh
Hít sặc dụng cụ trong quá trình phẫu thuật nha khoa, có thể nhìn thấy tại phế quản thùy dưới phải.
Sỏi phế quản (Bronchiolith)
Vôi hóa nội phế quản có thể do vôi hóa của dị vật bị hít vào, hoặc do di chuyển, ăn mòn và đẩy lồi của vật liệu đã vôi hóa lân cận, ví dụ từ hạch bạch huyết hoặc sụn phế quản bị cốt hóa.
Chất nhầy
Bất thường khu trú thường gặp nhất trong khí quản là chất nhầy.
Với số lượng lớn, chất nhầy có thể gây tắc nghẽn phế quản và xẹp phổi, đặc biệt trong bối cảnh hồi sức tích cực (ICU).
Trong hầu hết các trường hợp, đây là một phát hiện không có ý nghĩa lâm sàng, nhưng lượng nhỏ chất nhầy bám vào thành đường thở có thể tạo ra khó khăn trong chẩn đoán phân biệt.
Nhìn chung, chất nhầy có thể kèm theo sợi nhầy liên quan và thường không đủ đậm để hiển thị trên cửa sổ tái tạo mô mềm.
Khi còn nghi ngờ về sự hiện diện của bệnh lý thành đường thở khu trú, có thể cân nhắc chụp CT theo dõi hoặc nội soi phế quản.
Chất nhầy sẽ tan biến hoặc thay đổi vị trí trên hình ảnh CT theo dõi, trong khi tổn thương đặc sẽ tồn tại dai dẳng.
Chèn ép từ bên ngoài
Bướu giáp to
Phân biệt bệnh lý nội tại và bệnh lý từ bên ngoài là một trong những bước phân tích đầu tiên cần thực hiện khi đọc hình ảnh CT.
Nguyên nhân phổ biến nhất gây chèn ép từ bên ngoài là tuyến giáp to lan xuống lồng ngực, gây di lệch khí quản nhiều hơn là gây hẹp lòng khí quản.
Các nguyên nhân trung thất khác bao gồm:
- Phình động mạch chủ ngực.
- Biến thể giải phẫu của các mạch máu lớn (ví dụ: cung động mạch chủ đôi), thường gặp ở bệnh nhân trẻ tuổi.
- Hạch bạch huyết to hoặc khối lớn.
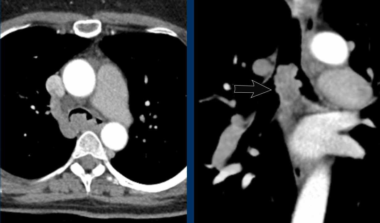
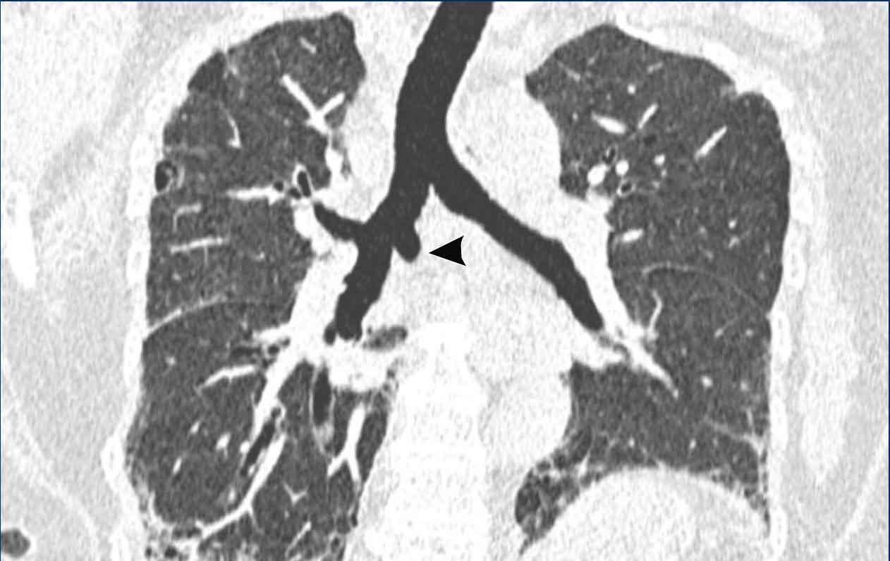
Hạch bạch huyết
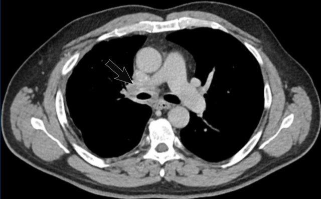
Chèn ép phế quản chính phải do hạch bạch huyết to.
Cung động mạch chủ đôi
Bệnh nhân này có cung động mạch chủ đôi gây chèn ép khí quản.
Viêm trung thất xơ hóa
Viêm trung thất xơ hóa là một nguyên nhân khó chẩn đoán hơn gây chèn ép và di lệch từ bên ngoài, do thường khó xác định chẩn đoán một cách chắc chắn.
Trên hình ảnh CT, bệnh có thể có hình ảnh chồng lấp đáng kể với tổn thương đường thở do ác tính phổi trung tâm.
Việc lấy mẫu mô nhiều lần cho kết quả âm tính và theo dõi lâu dài thường sẽ giúp xác định chẩn đoán cuối cùng.
Hình ảnh
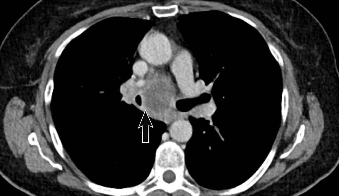
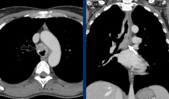
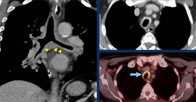
Viêm trung thất xơ hóa bên phải ở nam giới 51 tuổi, cho thấy tổn thương tỷ trọng mô mềm xung quanh phế quản chính phải (mũi tên).
Cùng bệnh nhân.
Có các dấu hiệu thứ phát của chèn ép đường thở trung tâm và mạch máu, với mất thể tích phổi khu trú và dày mô kẽ do phù nề.
Khối u lành tính
U hamartoma
Hamartoma là một tổn thương lành tính được cấu thành từ nhiều loại mô trung mô khác nhau như sụn dạng chondroid, mỡ và mô xơ.
Đây là khối u phổi lành tính thường gặp nhất, thường khu trú ở vùng ngoại vi của nhu mô phổi, nhưng đôi khi cũng có thể xuất phát từ đường thở.
Hình ảnh
Hamartoma nội phế quản được phát hiện tình cờ ở thùy giữa phổi của bệnh nhân nam 73 tuổi.
Đặc điểm trên CT của hamartoma không phụ thuộc vào vị trí tổn thương:
- Tổn thương giảm tỷ trọng
- Tỷ trọng mỡ
- Vôi hóa dạng bỏng ngô (có thể có)
Hình ảnh
Hamartoma chứa thành phần mỡ gây tắc nghẽn phế quản thùy dưới trái ở bệnh nhân nữ 58 tuổi.
U mỡ (Lipoma)
Thường biểu hiện là tổn thương trong lòng đường thở không có thành phần mô mềm do bản chất thuần mỡ của khối u. Khối u xuất phát từ mô mỡ dưới niêm mạc của cây khí-phế quản. Tổn thương thường có cuống, mặc dù đặc điểm này không phải lúc nào cũng rõ ràng trên CT.
U cơ trơn (Leiomyoma)
Leiomyoma xuất phát từ các tế bào cơ trơn của khí quản. Thường biểu hiện là khối trong lòng đường thở liên quan đến thành sau khí quản. Tổn thương có thể có tỷ trọng không đồng nhất do thoái hóa dạng nang, hệ quả của tình trạng kém mạch máu nuôi.
U nhú (Papilloma)
U nhú tế bào vảy là thể đơn độc của bệnh u nhú khí-phế quản (tracheobronchial papillomatosis), trong đó sự tăng sinh dạng nhú của biểu mô là đáp ứng với nhiễm HPV.
Tổn thương thanh quản gặp phổ biến hơn so với bệnh lý khí-phế quản; khi có sự xâm lấn đường thở trung tâm, trên CT có thể thấy hình ảnh nốt đa ổ không vượt quá thành đường thở và không có vôi hóa.
Hình ảnh
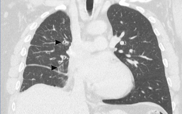
Bệnh u nhú khí-phế quản có tổn thương phổi ở bệnh nhân nam 54 tuổi, cho thấy hai u nhú trong lòng khí quản.
Tiếp tục xem trên cửa sổ phổi…
Hình ảnh cho thấy nhiều tổn thương dạng nang ở cả hai phổi (đầu mũi tên).
Trong một số ít trường hợp, tổn thương có thể lan rộng vào nhu mô phổi, biểu hiện là các nốt dạng nang thường gặp nhất ở các phân thùy đỉnh phụ thuộc trọng lực của thùy dưới. Có một nguy cơ nhỏ về biến đổi ác tính từ u nhú tế bào vảy thành ung thư biểu mô tế bào vảy.
Các tổn thương khác
Do bất kỳ loại tế bào nào hiện diện trong đường thở trung tâm đều có thể là nguồn gốc của bệnh lý, nên mọi loại tổn thương hiếm gặp đều có thể phát sinh.
Điều này bao gồm ví dụ như các khối u nguồn gốc thần kinh (hình minh họa) và các tổn thương hiếm gặp như khối u cơ xơ viêm (inflammatory myofibroblastic tumor).
Tân sinh ác tính
Một số tổn thương ác tính nguyên phát xuất hiện tại đường thở trung tâm.
Chúng thường gây ra các triệu chứng hô hấp, và đôi khi gây ho ra máu.
Tương tự như các tổn thương tân sinh lành tính, việc chẩn đoán xác định bằng hình ảnh học là một thách thức.
Các đặc điểm của bệnh nhân như tuổi tác, tiền sử hút thuốc, cũng như hình thái và vị trí tổn thương có thể cung cấp các gợi ý và sẽ ảnh hưởng đến thứ tự các chẩn đoán phân biệt.
Do bất kỳ loại tế bào nào hiện diện trong đường thở trung tâm đều có thể gây bệnh lý, nên mọi loại tổn thương hiếm gặp đều có thể phát sinh.
Điều này bao gồm, ví dụ, các tổn thương ác tính như sarcôm sụn (chondrosarcoma).
Phẫu thuật cắt bỏ triệt căn là phương pháp điều trị được ưu tiên, nhưng thường không khả thi về mặt kỹ thuật.
Tùy thuộc vào mô học và giai đoạn của khối u, các phương thức khác như hóa xạ trị có thể được sử dụng với mục đích điều trị triệt căn.
Ung thư biểu mô tế bào vảy
Ung thư biểu mô tế bào vảy là ác tính nguyên phát phổ biến nhất của khí quản.
Bệnh thường gặp ở bệnh nhân lớn tuổi với tiền sử hút thuốc lá nhiều năm.
Trên hình ảnh, điển hình là một khối không đều có xu hướng xâm lấn các mô xung quanh bên ngoài thành đường thở.
Hình ảnh
Khối khu trú không đều xâm lấn thành khí quản và tổ chức quanh khí quản ở nam giới 66 tuổi.
Giải phẫu bệnh:
Ung thư biểu mô tế bào vảy.
Ung thư biểu mô tuyến nang
Ung thư biểu mô tuyến nang (ACC) là ác tính nguyên phát phổ biến thứ hai của đường thở trung tâm.
Trái ngược với ung thư biểu mô tế bào vảy, bệnh không có liên quan đến hút thuốc lá.
Bệnh nhân cũng có xu hướng trẻ hơn, chủ yếu ở độ tuổi trung niên.
Về mặt hình ảnh học, ung thư biểu mô tuyến nang có thể biểu hiện dưới dạng:
- khối khu trú
- hình thái thâm nhiễm lan tỏa hơn với đoạn dài tổn thương dưới niêm mạc.
Hình ảnh
Hẹp lòng khí quản nặng do khối khu trú ở nữ giới 48 tuổi.
Giải phẫu bệnh: Ung thư biểu mô tuyến nang khí quản.
Khối ác tính xuất phát từ các tuyến nước bọt phụ dưới niêm mạc, tương tự như ung thư biểu mô nhầy biểu bì (mucoepidermoid carcinoma) ít gặp hơn (xem bên dưới).
Khối u thường nằm rất trung tâm.
Các vị trí di căn phổ biến nhất là nhu mô phổi và gan.
Hình ảnh
Khối thâm nhiễm lan tỏa không đều với đoạn dài dày thành xâm lấn trung thất ở nữ giới 51 tuổi.
Giải phẫu bệnh:
Ung thư biểu mô tuyến nang.
Hình ảnh nội soi phế quản của ung thư biểu mô tuyến nang khí quản gây tắc nghẽn.
Ung thư biểu mô nhầy biểu bì (MEC)
Như đã đề cập ở trên, MEC là khối u xuất phát từ các tuyến nước bọt phụ dưới niêm mạc. Bệnh gặp ở bệnh nhân trẻ tuổi hơn – thường trẻ hơn so với bệnh nhân ACC – và không có liên quan đã biết với hút thuốc lá. Bệnh có xu hướng xuất hiện ở các đường thở xa hơn, thường gặp hơn ở đường thở phân thùy/thùy và hiếm khi ở khí quản. Đặc điểm hình ảnh CT không đặc hiệu; biểu hiện là khối mô mềm khu trú ngấm thuốc, với mức độ không đồng nhất khác nhau. Một số trường hợp có vôi hóa bên trong. Có thể có các thay đổi sau tắc nghẽn.
U carcinoid
U carcinoid là các khối u thần kinh nội tiết (NET) độ ác tính thấp, xuất phát từ các tế bào thần kinh nội tiết trong thành đường thở.
Về mặt mô bệnh học, chúng có thể là điển hình hoặc không điển hình, tùy thuộc vào tỷ lệ phân bào và sự hiện diện của hoại tử khu trú.
Tuy nhiên, phần lớn là carcinoid điển hình và có diễn tiến khá chậm.
Bệnh gặp ở cả bệnh nhân trẻ và lớn tuổi, và không có liên quan đến hút thuốc lá.
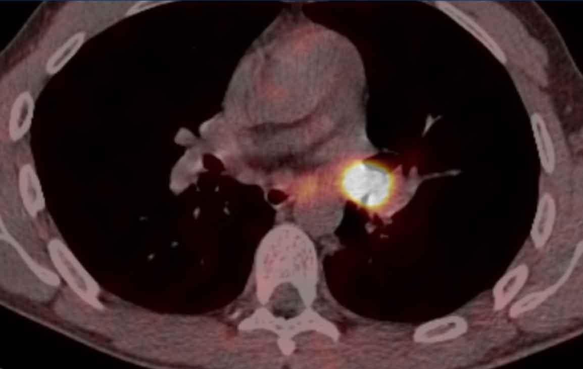
Hình ảnh
Khối bờ rõ ở phế quản gốc trái ở nam giới 39 tuổi.
Tiếp tục xem PET-CT…
PET-CT 68Ga-Dotatate cho thấy hấp thu mạnh, xác nhận nguồn gốc tế bào thần kinh nội tiết.
U carcinoid xuất hiện ở các đường thở trung tâm hơn (mặc dù hầu như không bao giờ ở khí quản) cũng như ở các đường thở ngoại vi hơn, kéo dài đến tận một phần ba ngoài của phổi.
Trên CT, u carcinoid là tổn thương bờ rõ, thường tăng tỷ trọng trên CT sau tiêm thuốc cản quang do bản chất tăng mạch máu.
Vôi hóa có thể gặp trong một số ít trường hợp.
Các thay đổi sau tắc nghẽn thường gặp do tắc nghẽn lòng đường thở, và có thể là lý do phát hiện bệnh.
Một số tổn thương cũng có thành phần ngoài lòng đường thở, điều này loại trừ khả năng điều trị triệt căn hoàn toàn qua thủ thuật nội soi.
Trong những trường hợp này, cần phẫu thuật cắt bỏ theo giải phẫu.
Tiếp tục xem hình ảnh nội soi phế quản…
Hình ảnh nội soi phế quản cho thấy hình ảnh điển hình của tổn thương bờ rõ, có mạch máu, gây tắc nghẽn lỗ vào thùy dưới.
Giải phẫu bệnh: U carcinoid.
Di căn
Bệnh di căn đến đường thở trung tâm xảy ra thông qua lan tràn theo đường máu hoặc đường bạch huyết từ xa.
Mặc dù không phổ biến, đôi khi gặp trong ung thư vú, ung thư tế bào thận và ung thư đại trực tràng.
Các đặc điểm hình ảnh không đặc hiệu và có thể biểu hiện là các nốt đặc đơn độc hoặc nhiều nốt nhô vào lòng đường thở.
Các tổn thương lớn hơn và nằm ngoại vi hơn có thể gây tắc nghẽn đường thở.
Thông thường, bệnh di căn đường thở không phải là phát hiện đơn độc, mà được gặp ở bệnh nhân đã biết có bệnh di căn.
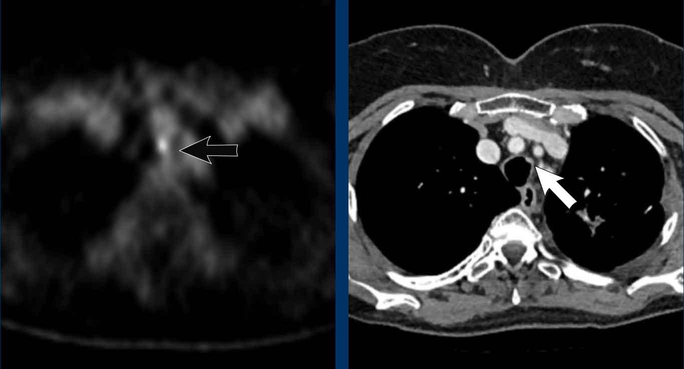
Hình ảnh
PET-CT cho thấy hấp thu cao tương ứng với tổn thương dạng nốt nhỏ ở khí quản đoạn gần ở nữ giới 52 tuổi có tiền sử ung thư đại trực tràng.
Giải phẫu bệnh: Di căn của ung thư đại trực tràng.
Nhiễm trùng
Lao
Cũng như hầu hết các bệnh nhiễm trùng khác, các tác nhân gây nhiễm trùng khí phế quản có thể là vi khuẩn, nấm hoặc virus.
Viêm phế quản mắc phải tại cộng đồng chủ yếu do nhiễm virus. Đôi khi nhiễm trùng có thể liên quan đến các thủ thuật như mở khí quản, như minh họa ở hình bên trái.
Mặc dù lao có thể gây ra các bất thường ở đường thở trung tâm, viêm khí phế quản lao đơn độc là rất hiếm gặp.
Tổn thương đường thở trung tâm trong bệnh lao lồng ngực lan rộng hơn có khả năng xảy ra hơn, và có thể biểu hiện trên CT dưới dạng dày thành khu trú không đều hoặc dày thành lan tỏa hơn.
Trong giai đoạn mạn tính, tổn thương có thể dẫn đến hẹp đường thở khu trú do tái cấu trúc đường thở và hình thành xơ hóa phản ứng với loét các củ lao dưới niêm mạc.
Hình ảnh
Dày thành khu trú kèm hẹp lòng khí quản và phế quản gốc phải ở bệnh nhân nữ 63 tuổi có tiền sử nhiễm lao. Sinh thiết cho thấy hình ảnh sẹo xơ chun.
Nhiễm nấm gây viêm khí phế quản cũng có thể gặp, ví dụ do Aspergillus, Candida hoặc Histoplasma.
Tình trạng này xảy ra chủ yếu ở nhóm bệnh nhân suy giảm miễn dịch.
Tương tự hình thái học của lao đã đề cập ở trên, nhiễm nấm có thể gây ra các hình ảnh CT không đặc hiệu bao gồm dày thành khu trú hoặc lan tỏa hơn, với hình ảnh sẹo tồn lưu và hẹp đường thở ở các giai đoạn muộn hơn của bệnh.
Hình ảnh
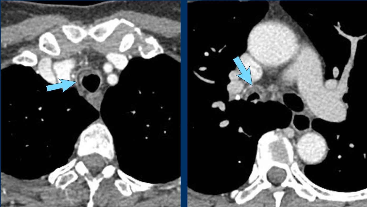
Dày thành lan tỏa toàn chu vi của khí quản và các phế quản trung tâm kèm tăng hấp thu trên xạ hình FDG-PET (mũi tên xanh) ở bệnh nhân nam 72 tuổi sau mở khí quản do biến chứng phẫu thuật cắt tuyến giáp.
Về mặt lâm sàng được xếp loại là nhiễm trùng độ thấp, mặc dù không phân lập được tác nhân gây bệnh đặc hiệu nào.
Viêm
Viêm đa sụn tái phát
Viêm đa sụn tái phát là một rối loạn tự miễn ảnh hưởng đến sụn của đường thở trung tâm với các đợt viêm tái phát, có thể dẫn đến phá hủy và xơ hóa.
Do sụn ở các vị trí khác trong cơ thể cũng có thể bị ảnh hưởng, trên lâm sàng có thể gặp tổn thương tai và mũi (ví dụ: biến dạng mũi yên ngựa). Các bệnh lý tim mạch như bệnh van tim và phình động mạch chủ cũng có thể xảy ra.
Trên hình ảnh CT ngực, có thể thấy dày thành đường thở trung tâm với tỷ trọng mô mềm.
Các bất thường thường không ảnh hưởng đến thành sau vốn không có sụn.
Sau giai đoạn cấp tính, có thể hình thành vôi hóa và hẹp lòng đường thở, cũng như xẹp đường thở quá mức khi thở ra (tức là nhuyễn khí quản-phế quản) do phá hủy sụn.
Hình ảnh
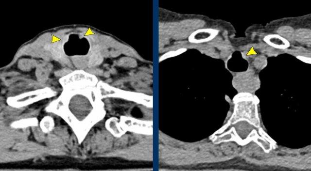
Viêm đa sụn tái phát ở bệnh nhân nữ 55 tuổi, cho thấy dày thành đường thở trung tâm do viêm với hình ảnh đặc trưng hình móng ngựa (đầu mũi tên). Không có dày thành sau (mũi tên vàng).
U hạt kết hợp viêm đa mạch
U hạt kết hợp viêm đa mạch (GPA), trước đây được gọi là u hạt Wegener, là một bệnh viêm mạch hoại tử đa hệ thống ảnh hưởng đến các mạch máu cỡ vừa và nhỏ, với sự tổn thương xoang cạnh mũi, phổi và thận.
Trên lâm sàng, bệnh liên quan đến nồng độ c-ANCA tăng cao.
GPA có thể gây dày thành đường thở trung tâm theo chu vi không đều, có thể dẫn đến hẹp lòng đường thở ở giai đoạn muộn của bệnh.
Tổn thương này thường gặp ở khí quản dưới thanh môn nhưng cũng xảy ra ở phế quản gốc và phế quản thùy.
Các tổn thương phổi đồng thời bao gồm đông đặc có hang và kính mờ do viêm mạch – lần lượt do hoại tử và xuất huyết phế nang – là những dấu hiệu hữu ích để định hướng chẩn đoán phân biệt.
Hình ảnh
Tổn thương đường thở trung tâm trong GPA cho thấy dày thành khí quản theo chu vi ở mức carina ở bệnh nhân nam 43 tuổi. Có xẹp phổi trái do tổn thương mạn tính của phế quản gốc trái gây hẹp lòng.
Bệnh amyloid
Bệnh amyloid khí quản-phế quản được đặc trưng bởi sự lắng đọng protein amyloid bất thường dưới niêm mạc.
Đây là một bệnh rất hiếm gặp, thường khu trú nhưng có thể liên quan đến bệnh amyloid hệ thống.
Sự lắng đọng protein có thể khu trú (dạng khối; u amyloid) hoặc lan tỏa và thâm nhiễm hơn.
Amyloid trong thành đường thở dẫn đến dày mô mềm đậm độ cao, vôi hóa và không đều rõ rệt trên hình ảnh CT.
Bệnh không có phương pháp điều trị triệt để, và các lựa chọn điều trị như xạ trị ngoài và nội soi phế quản cắt bỏ tổn thương tập trung vào việc hạn chế tắc nghẽn lòng đường thở nhằm giảm triệu chứng hô hấp.
Hình ảnh
Bệnh amyloid khí quản-phế quản ở bệnh nhân nữ 61 tuổi, cho thấy dày thành đường thở không đều với các ổ đậm độ cao và vôi hóa gây hẹp lòng đáng kể phế quản gốc phải.
Nội soi phế quản cho thấy các tổn thương không đều màu vàng điển hình.
Sarcoidosis
Các biểu hiện phổ biến nhất của sarcoidosis ở ngực là hạch bạch huyết rốn phổi và trung thất đối xứng, cùng với tổn thương nhu mô phổi với phân bố bạch huyết của các nốt nhỏ.
Hình thái hình ảnh này là điển hình, nhưng bệnh được biết đến với nhiều dạng biểu hiện đa dạng và có thể được xem xét trong chẩn đoán phân biệt cho nhiều phát hiện hình ảnh.
Mặc dù về mặt mô bệnh học, tổn thương u hạt của đường thở tương đối phổ biến, nhưng các dấu hiệu CT của tổn thương đường thở trung tâm trong sarcoidosis lại tương đối hiếm.
Tất nhiên, biến dạng cấu trúc và tắc nghẽn đường thở có thể do chèn ép từ bên ngoài bởi xơ hóa quanh phế quản, thường gặp ở vùng rốn phổi.
Ngoài ra, tái cấu trúc đường thở trực tiếp do tổn thương u hạt của đường thở trung tâm có thể dẫn đến dày thành đường thở theo chu vi.
Khi có mặt, tổn thương này hầu như luôn là một phần của bệnh lý lồng ngực lan rộng hơn chứ không phải là phát hiện đơn độc.
Bệnh viêm ruột (IBD)
Cả viêm loét đại tràng (UC) và bệnh Crohn (CD) đều có thể biểu hiện tổn thương đường thở.
Phổ biến hơn so với bệnh đường thở trung tâm là dày thành phế quản ngoại vi và giãn phế quản, cũng như các dấu hiệu tổn thương đường thở nhỏ (tức là viêm tiểu phế quản và bẫy khí).
Khi khí quản và phế quản gốc bị ảnh hưởng, hình ảnh CT có thể cho thấy dày thành theo chu vi không đặc hiệu, hẹp lòng và các phát hiện sau tắc nghẽn.
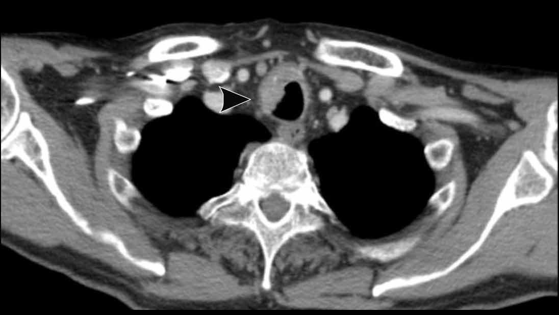
Bệnh xương sụn hóa khí quản-phế quản
Căn nguyên của bệnh này chưa được biết rõ.
Bệnh được đặc trưng bởi các nốt xương sụn dưới niêm mạc, trên hình ảnh CT biểu hiện là nhiều nốt vôi hóa nhỏ chỉ ảnh hưởng đến phần sụn của đường thở trung tâm, do đó không ảnh hưởng đến thành sau khí quản.
Bệnh này có thể là phát hiện tình cờ, nhưng cũng có thể gây ra các triệu chứng hô hấp nhẹ.
Tiên lượng nhìn chung tốt và các trường hợp không có triệu chứng không cần can thiệp.
Khi cần thiết, các lựa chọn điều trị có thể tập trung vào việc hạn chế tắc nghẽn lòng đường thở do các nốt xương sụn gây ra.
Hình ảnh
Bệnh xương sụn hóa khí quản-phế quản ở bệnh nhân nữ 67 tuổi với các triệu chứng đường thở không đặc hiệu, cho thấy nhiều nốt nhỏ dọc theo phần sụn của khí quản.
Bẩm sinh
Phế quản khí quản
Biến thể phân nhánh đường thở rất phổ biến, đặc biệt ở cấp độ phân thùy.
Một số biến thể giải phẫu được gặp thường xuyên hơn và đáng được đề cập, mặc dù hầu hết bệnh nhân không có triệu chứng.
Nếu có triệu chứng, nguyên nhân chủ yếu là do nhiễm trùng tái phát gây ra bởi sự dẫn lưu bất thường.
Trong trường hợp phế quản khí quản (còn gọi là phế quản lợn), nhu mô thùy trên phổi phải được thông khí một phần qua một phế quản riêng biệt xuất phát trực tiếp từ phần trên carina của khí quản.
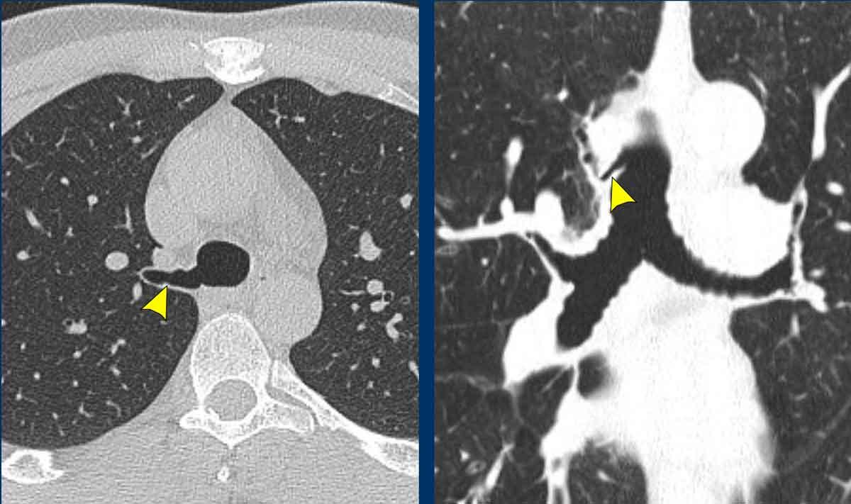
Hình ảnh
Phế quản khí quản tình cờ phát hiện ở nam giới 28 tuổi được chụp CT theo dõi ung thư (hình ảnh mặt cắt ngang) và ở nam giới 77 tuổi được chụp CT trong bối cảnh chấn thương (hình ảnh mặt cắt vành).
Phế quản tim
Đây là phế quản thừa thực sự, xuất phát từ mặt trong của phế quản trung gian, đối diện với lỗ thùy trên phổi phải.
Cấu trúc này có thể là một túi cùng, hoặc là một đường thở thông khí cho một lượng nhỏ nhu mô phổi.
Hình ảnh
Phế quản tim (đầu mũi tên) ở nữ giới 57 tuổi đang theo dõi bệnh phổi kẽ.

Hội chứng khí phế quản khổng lồ ở nữ giới 59 tuổi, cho thấy khí quản và phế quản gốc giãn nặng, kèm theo túi thừa thành sau rõ rệt.
Hội chứng khí phế quản khổng lồ
Hội chứng khí phế quản khổng lồ (còn gọi là hội chứng Mounier-Kuhn) được gây ra bởi sự bất thường của các sợi đàn hồi và tế bào cơ trơn ở đường thở trung tâm.
Điển hình, bệnh gặp ở nam giới trung niên với biểu hiện ho mạn tính và/hoặc nhiễm trùng tái phát.
Dấu hiệu trên CT:
- Giãn đường thở trung tâm khi hít vào (khí quản > 3 cm)
- Do sự nhão của đường thở, xẹp đường thở rõ rệt khi thở ra.
- Túi thừa thành sau khí quản
- Giãn phế quản trung tâm
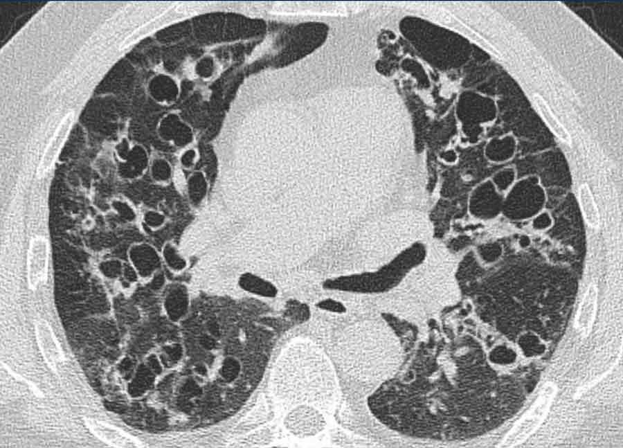
Hội chứng Williams-Campbell
Bệnh này được đặc trưng bởi giãn phế quản dạng nang bẩm sinh và thường biểu hiện bằng nhiễm trùng tái phát.
Nguyên nhân được cho là do thiếu hụt sụn ở các phế quản dưới phân thùy (tức là bậc 4th đến 6th).
Do đó, trên hình ảnh CT cho thấy giãn phế quản lan tỏa hai bên, với đặc điểm điển hình là không ảnh hưởng đến các phế quản bậc thấp hơn và khí quản.
Điều này trái ngược với hội chứng khí phế quản khổng lồ, thường liên quan đến phế quản bậc 1st đến 4th.
Hình ảnh
Giãn phế quản khu trú vùng quanh rốn phổi nhưng kích thước bình thường của khí quản, phế quản gốc cũng như đường thở ngoại vi.
Đây là nam giới 46 tuổi được chẩn đoán hội chứng Williams-Campbell, biểu hiện nhiễm trùng tái phát, ho ra máu nhẹ và triệu chứng đường thở kéo dài.



































