Bệnh Crohn – Vai trò của siêu âm
Trong phần này, chúng tôi sẽ thảo luận về các đặc điểm siêu âm được sử dụng để đánh giá bệnh Crohn.
Sau khi đọc phần này, bạn sẽ có khả năng:
- Nhận biết hình ảnh thành ruột bình thường và các thay đổi hình thái của thành ruột trong bệnh Crohn qua siêu âm.
- Xác định các đặc điểm siêu âm điển hình của bệnh Crohn.
- Phân biệt bệnh Crohn với các bệnh lý ruột khác như nhiễm trùng, u tân sinh và thiếu máu cục bộ có biểu hiện tương tự bệnh Crohn qua siêu âm.
Nhấn Ctrl+ để phóng to hình ảnh và văn bản trên PC hoặc ⌘+ trên Mac. Hầu hết các hình ảnh có thể được phóng to bằng cách nhấp vào chúng.
Giới thiệu
Bệnh Crohn là tình trạng viêm mạn tính, tái phát của thành ruột với nguyên nhân chưa được xác định rõ.
Bệnh có xu hướng tiến triển xuyên thành với các biểu hiện loét, áp xe, hình thành đường rò, xơ hóa và tắc nghẽn lòng ruột (từng đợt). Mặc dù bệnh Crohn có thể ảnh hưởng đến toàn bộ ống tiêu hóa, nhưng đại tràng và vùng hồi manh tràng là những vị trí thường gặp nhất.
Bệnh nhân mắc bệnh Crohn thường có các triệu chứng kéo dài, âm thầm và không điển hình, dẫn đến tình trạng chậm trễ chẩn đoán nghiêm trọng từ vài tháng đến nhiều năm.
Mặt khác, bệnh Crohn vùng hồi manh tràng cũng có thể biểu hiện cấp tính với các triệu chứng tương tự viêm ruột thừa hoặc tắc ruột non.
Trong cả hai trường hợp, siêu âm có thể đóng vai trò quan trọng trong việc đưa ra chẩn đoán chính xác.
Ngoài vai trò phát hiện ban đầu, siêu âm còn hữu ích trong:
- Theo dõi mức độ hoạt động của bệnh trong quá trình điều trị nội khoa (1,2,3)
- Hướng dẫn dẫn lưu áp xe qua da
- Phân biệt viêm đại tràng Crohn với viêm đại tràng loét
- Phát hiện tình trạng giãn ruột trước chỗ hẹp cấp tính ở bệnh nhân tắc ruột từng đợt.
Giải phẫu siêu âm bình thường
Cấu trúc siêu âm của thành ruột bình thường có hình thái đặc trưng gồm năm lớp với độ hồi âm xen kẽ nhau, tương ứng chặt chẽ với các lớp mô học của thành ruột.
Cấu trúc siêu âm này về cơ bản là đồng nhất từ dạ dày đến trực tràng.
Giải phẫu siêu âm bình thường được trình bày chi tiết trong phần Siêu âm đường tiêu hóa – Giải phẫu bình thường
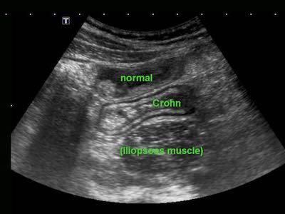
Dấu hiệu siêu âm của bệnh Crohn hồi manh tràng
Dày thành ruột
Trong bệnh Crohn hồi manh tràng, thông thường tất cả các lớp thành ruột đều bị tổn thương và cấu trúc phân lớp bình thường thường bị phá vỡ cục bộ. Siêu âm cho thấy hình ảnh dày thành rõ rệt, chủ yếu ở đoạn hồi tràng tận, nhưng manh tràng và ruột thừa cũng có thể bị ảnh hưởng.
Dày thành ruột nổi bật nhất ở lớp dưới niêm mạc tăng âm, đại diện cho sự lắng đọng mỡ và mô xơ do hậu quả của tình trạng viêm ruột mạn tính (4).
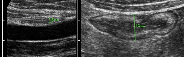
Sự khác biệt về kích thước và khả năng bị ép xẹp của hồi tràng bình thường (bên trái) và hồi tràng bị tổn thương do Crohn trong quá trình ép dần từng bước.
Sử dụng kỹ thuật ép dần từng bước, hai đoạn ruột kề nhau được ép vào cơ thắt lưng chậu.
Đoạn ruột phía trước là bình thường và dễ dàng bị ép xẹp, trong khi quai ruột bị Crohn hầu như không thể bị ép xẹp.
Đo độ dày thành ruột được thực hiện tốt nhất và có tính tái lập cao nhất trong khi ép, như ở đây trên một người bình thường (bên trái) và ở một bệnh nhân mắc bệnh Crohn (bên phải).
Các phép đo được thực hiện từ bờ ngoài của lớp cơ đến phía đối diện, sau đó chia cho 2, cho kết quả độ dày thành lần lượt là 1,5 mm và 6,5 mm đối với hồi tràng bình thường và hồi tràng Crohn.
Xem thêm phần Siêu âm đường tiêu hóa – Giải phẫu bình thường.
Đặc điểm xuyên thành
Thông thường, ngay tại lần khám đầu tiên, siêu âm đã bộc lộ “đặc điểm” xuyên thành đặc trưng của bệnh Crohn.
Sự tiến triển xuyên thành này được nhận biết là các thay đổi giảm âm (*) khu trú trong lớp dưới niêm mạc vốn tăng âm, tương quan chặt chẽ với các phát hiện nội soi và các thay đổi mô học viêm hoạt động (4).
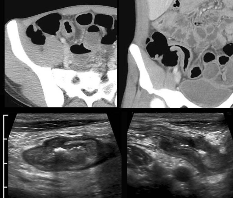
Bệnh nhân nam 18 tuổi này nhập viện với các triệu chứng giống viêm ruột thừa cấp và được chụp CT ngay lập tức.
CT cho thấy hình ảnh dày thành hồi tràng rõ rệt và ruột thừa bình thường (không hiển thị ở đây).
Siêu âm tiếp theo cho thấy các thay đổi giảm âm xuyên thành đặc trưng điển hình trong lớp dưới niêm mạc tăng âm, xác nhận chẩn đoán viêm hồi tràng do Crohn.
Lưu ý độ phân giải hình ảnh vượt trội của siêu âm so với CT.
Ở những bệnh nhân có bệnh Crohn hoạt động rõ ràng, cấu trúc siêu âm bình thường của thành ruột có thể bị mất lan tỏa.
Lưu ý mô mỡ tăng âm (fat) xung quanh hồi tràng, đại diện cho mạc treo và mạc nối đang viêm, đang cố gắng bao bọc lại vị trí thủng sắp xảy ra.
Trong những trường hợp như thế này, hình thái thay đổi và lòng ruột hẹp lại có thể bắt chước hình ảnh ác tính.
Tổn thương nhảy cóc (Skip lesions)
Một trong những đặc điểm của bệnh Crohn là cách thức tổn thương ruột theo từng mảng.
Điều này dẫn đến các tổn thương nhảy cóc, trong đó phần lớn đoạn ruột không bị ảnh hưởng.
Các đoạn bị tổn thương có ranh giới tương đối rõ, sự chuyển tiếp từ ruột bình thường (mũi tên nhỏ) sang ruột bất thường (mũi tên lớn) khá đột ngột.
Loét
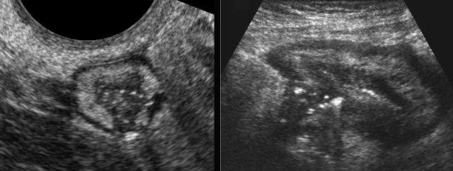
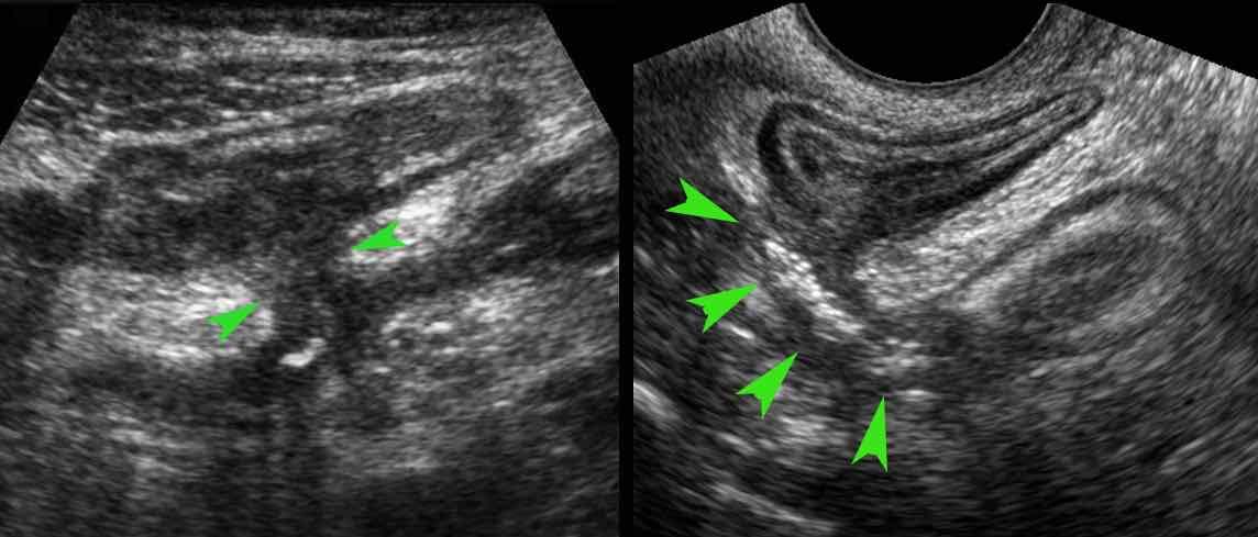
Các ổ sáng lệch tâm nằm trong vùng giảm âm là hình ảnh khí biểu hiện cho loét sâu, được mô tả ở đây trên hai bệnh nhân khác nhau.
Các vết loét xuyên thành này báo hiệu sự hình thành đường xoang, áp xe và rò.
Lưu ý mô mỡ viêm bao quanh một phần, đại diện cho mạc treo và mạc nối, đang bao bọc hiệu quả vị trí thủng sắp xảy ra.
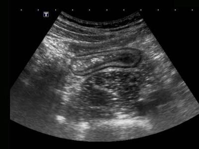
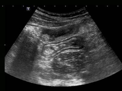
Hình thành đường xoang
Các hình ảnh khí vượt ra ngoài bờ ngoại vi của thành ruột chắc chắn cho thấy sự hình thành đường xoang.
Đây là ví dụ trên hai bệnh nhân khác nhau.
Áp xe
Hồi tràng tận đang viêm hoạt động với một vùng giảm âm có ranh giới vừa phải nằm ngoài thành ruột, được bao quanh bởi mô mỡ viêm, cho thấy sự hình thành đường xoang và áp xe.
Hai bệnh nhân có áp xe Crohn gần hồi tràng.
Lưu ý rằng áp xe trong bệnh Crohn thường nhỏ và xẹp.
Giải thích cho hiện tượng này là các áp xe này thường có thông nối hở với lòng hồi tràng, cho phép mủ thoát ngay vào lòng ruột khi áp lực tăng lên.
Rò
Cuối cùng, sự hình thành đường xoang có thể tiến triển thành rò.
Đây là hai ví dụ về rò ruột-ruột (đầu mũi tên).







-1610801674.jpeg)
-1610801675.jpeg)
-1610801676.jpeg)












crohn-fistel-app-coll-met-tekst.jpg)