Bệnh cơ tim thiếu máu và không thiếu máu
Ngày xuất bản
Trong bài trình bày này, chúng tôi sẽ thảo luận về các đặc điểm trên MRI của bệnh cơ tim thiếu máu cục bộ và bệnh cơ tim không do thiếu máu cục bộ, cũng như vai trò của kỹ thuật hình ảnh ngấm thuốc muộn trong việc phân biệt các thể bệnh cơ tim khác nhau.
Có thể phóng to hình ảnh bằng cách nhấp vào ảnh.
Nếu video không phát được, hãy nhấp vào nút dừng rồi nhấp lại nút phát một lần nữa.
Để in ấn đúng định dạng, bạn có thể cần điều chỉnh cài đặt in của trình duyệt web.
Giới thiệu
Mô hình 17 vùng cơ tim
Các vùng cơ tim có bất thường về ngấm thuốc hoặc rối loạn vận động thành tim được đặt tên và xác định vị trí theo mô hình 17 vùng của Hiệp hội Tim mạch Hoa Kỳ (37).
Từng vùng cơ tim có thể được quy chiếu về 3 động mạch vành chính, với lưu ý rằng có sự biến đổi về mặt giải phẫu học.
Mô hình 17 vùng cơ tim (2)
- Thành trước đáy
- Vách trước đáy
- Vách dưới đáy
- Thành dưới đáy
- Thành dưới bên đáy
- Thành trước bên đáy
Các kiểu ngấm thuốc tương phản từ
Tiêm Gadolinium sẽ dẫn đến sự hấp thu thuốc tương phản từ vào cả cơ tim bình thường lẫn cơ tim tổn thương.
Ở cơ tim bình thường, thuốc tương phản từ sẽ được thải trừ sớm.
Ở cơ tim tổn thương, quá trình thải trừ thuốc diễn ra rất chậm, dẫn đến hiện tượng ngấm thuốc muộn sau 10 – 15 phút so với cơ tim bình thường.
Ngấm thuốc muộn của mô cơ tim được ghi nhận trong nhiều bối cảnh bệnh lý sinh lý khác nhau:
- Ứ đọng thuốc tương phản từ trong mô xơ
- Tăng khoảng gian bào ngoài mạch
- Viêm
- Tân sinh mạch trong u nguyên phát và u thứ phát

TRÁI: Hình ảnh ngấm thuốc muộn trục dài ở bệnh nhân nhồi máu thành dưới với ngấm thuốc dưới nội tâm mạc trong vùng phân bố của động mạch vành phải PHẢI: Hình ảnh ngấm thuốc muộn 4 buồng ở bệnh nhân bệnh cơ tim giãn vô căn với ngấm thuốc lớp giữa cơ tim
Bệnh cơ tim thiếu máu cục bộ và không do thiếu máu cục bộ
Nguyên nhân của bệnh cơ tim (CM) có thể được phân thành hai nhóm: thiếu máu cục bộ và không do thiếu máu cục bộ (1-5).
Bệnh cơ tim thiếu máu cục bộ
được định nghĩa là rối loạn chức năng thất trái do tình trạng thiếu oxy mạn tính gây ra bởi bệnh động mạch vành.
Hình ảnh MRI ngấm thuốc muộn sẽ cho thấy xơ hóa cơ tim, biểu hiện là vùng tăng tín hiệu trong phạm vi phân bố của động mạch vành.
Do tất cả các ổ nhồi máu đều khởi phát từ lớp dưới nội tâm mạc và có thể tiến triển đến xuyên thành, vùng dưới nội tâm mạc luôn luôn bị tổn thương.
Bệnh cơ tim không do thiếu máu cục bộ
có căn nguyên đa dạng, bao gồm: di truyền, độc chất, chuyển hóa, nhiễm trùng và vô căn.
Trong bệnh cơ tim không do thiếu máu cục bộ, ngấm thuốc muộn thường không xuất hiện theo vùng phân bố của động mạch vành, và thường khu trú ở lớp giữa cơ tim hoặc lớp thượng tâm mạc thay vì lớp dưới nội tâm mạc hoặc xuyên thành.
Bệnh Cơ Tim Thiếu Máu Cục Bộ
Nhồi máu và ngấm thuốc muộn
Cơ tim bị nhồi máu sẽ tăng tín hiệu trên ảnh ngấm thuốc muộn.
Tất cả bệnh nhân mắc bệnh cơ tim thiếu máu cục bộ đều biểu hiện ngấm thuốc muộn theo kiểu ‘bệnh động mạch vành’ điển hình, trong đó vùng dưới nội tâm mạc luôn bị tổn thương.
Khi một động mạch vành bị tắc nghẽn, vùng nhồi máu luôn khởi phát từ lớp dưới nội tâm mạc và lan dần về phía thượng tâm mạc tùy thuộc vào thời gian tắc nghẽn [6].
Cả nhồi máu cấp tính và mạn tính đều có hiện tượng ngấm thuốc.
Trong nhồi máu cấp tính, thuốc tương phản từ xâm nhập vào các tế bào cơ tim bị tổn thương do màng tế bào cơ tim bị phá vỡ.
Trong nhồi máu mạn tính, ngấm thuốc muộn là kết quả của sự lưu giữ thuốc tương phản từ trong khoang gian bào rộng lớn giữa các sợi collagen trong mô xơ hóa [7].

Trái: hiện tượng không tái tưới máu, Phải: bốn tháng sau có ngấm thuốc xuyên thành cho thấy nhồi máu xuyên thành
Hiện tượng không tái tưới máu (No-reflow)
Hiện tượng không tái tưới máu là tình trạng máu không thể tưới lại vùng thiếu máu sau khi tắc nghẽn cơ học đã được giải phóng hoặc bắc cầu.
Các vùng không tái tưới máu được xác định trên ảnh ngấm thuốc muộn dưới dạng vùng lõi giảm tín hiệu được bao quanh bởi viền ngấm thuốc.
Hình ảnh này cho thấy sự hiện diện của tổn thương vi mạch tại vùng lõi của ổ nhồi máu.
Sự hiện diện của vùng ‘không tái tưới máu’ có liên quan đến tiên lượng chức năng xấu hơn, diện tích nhồi máu lớn hơn và kết cục lâm sàng bất lợi [8,9].
Cả nhồi máu cấp tính và mạn tính đều biểu hiện ngấm thuốc muộn, tuy nhiên nhồi máu cấp tính thường có thể được phân biệt bởi sự hiện diện của vùng ‘không tái tưới máu’ và tăng tín hiệu trên ảnh chuỗi xung T2W.
Choáng cơ tim (Stunning)
Hình ảnh cine kết hợp với MRI ngấm thuốc muộn cho phép xác định:
Choáng cơ tim sau nhồi máu cơ tim cấp tính và
Cơ tim ngủ đông trong bệnh cảnh bệnh tim thiếu máu cục bộ mạn tính.
Choáng cơ tim được định nghĩa là rối loạn chức năng cơ tim sau thiếu máu cục bộ tồn tại dai dẳng mặc dù lưu lượng máu đã được phục hồi bình thường.
Theo thời gian, chức năng co bóp có thể dần hồi phục tùy thuộc vào mức độ xuyên thành của thiếu máu cục bộ [10].
Nếu mức độ xuyên thành quan sát được trên ảnh ngấm thuốc muộn dưới 50%, chức năng cơ tim có khả năng hồi phục [11].
Bên trái là ảnh cine trục dài 6 ngày sau tái thông mạch trong nhồi máu cấp thành dưới.
Hãy xem video trước rồi tiếp tục đọc.
- Thành trước co bóp tốt
- Mặc dù đã được tái thông mạch, thành dưới vẫn còn giảm vận động.
Tiếp tục xem ảnh ngấm thuốc muộn.
Bên trái là ảnh ngấm thuốc muộn trục dài của cùng bệnh nhân.
Mức độ ngấm thuốc của cơ tim dưới 50%.
Đây là dấu hiệu tiên lượng tốt và có thể kỳ vọng sự phục hồi một phần chức năng co bóp.
Tiếp tục xem ảnh cine bốn tháng sau.
Bên trái là hình ảnh của cùng bệnh nhân bốn tháng sau nhồi máu thành dưới và tái thông mạch.
Hãy xem video trước rồi tiếp tục đọc.
Ảnh cine trục dài cho thấy chức năng thành dưới đã cải thiện.
Từ đó có thể kết luận rằng tình trạng giảm vận động là do choáng cơ tim.
Các vùng cơ tim không có hoặc có rất ít bằng chứng tăng ngấm thuốc (tức là nhồi máu) có khả năng cao phục hồi chức năng, trong khi các vùng tăng ngấm thuốc xuyên thành gần như không có khả năng phục hồi.
Cơ tim ngủ đông (Hibernation)
Ngủ đông cơ tim là trạng thái trong đó một số vùng cơ tim biểu hiện bất thường chức năng co bóp khi nghỉ ngơi [10].
Hiện tượng này có ý nghĩa lâm sàng rất quan trọng vì thường biểu hiện trong bệnh cảnh thiếu máu cục bộ mạn tính, có khả năng hồi phục sau tái thông mạch.
Lưu lượng máu vành giảm khiến các tế bào cơ tim chuyển sang ‘chế độ ngủ’ tiêu thụ ít năng lượng để bảo tồn năng lượng.
Có mối tương quan nghịch giữa mức độ xuyên thành của tăng ngấm thuốc và khả năng phục hồi vận động thành tim sau tái thông mạch.
Nếu mức độ xuyên thành của ngấm thuốc muộn dưới 50%, chức năng có khả năng cải thiện sau tái thông mạch [12].
Bên trái là ảnh cine trục dài của bệnh nhân có hẹp nặng động mạch liên thất trước (LAD).
Hãy xem video trước rồi tiếp tục đọc.
Ảnh cine cho thấy:
- Giảm vận động thành trước.
- Giảm vận động thành dưới.
-
Phân suất tống máu thấp: 17%.
Tiếp tục xem ảnh ngấm thuốc muộn.
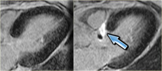
Bên trái là ảnh ngấm thuốc muộn trục dài của cùng bệnh nhân.
Lưu ý các điểm sau:
- Ngấm thuốc xuyên thành thành dưới, có thể chẩn đoán là nhồi máu cũ (mũi tên vàng)
-
Không có ngấm thuốc ở thành trước giảm vận động (mũi tên xanh).
Do đó có thể kết luận rằng đây có khả năng là kết quả của ngủ đông cơ tim.
Sau can thiệp nong mạch vành qua da (PTCA), chức năng thành trước đã cải thiện.
Phân suất tống máu cải thiện từ 17% lên 49%.
Bệnh cơ tim không do thiếu máu cục bộ
Bệnh cơ tim không do thiếu máu cục bộ được định nghĩa là rối loạn cơ tim trong đó cơ tim bị bất thường về cấu trúc và chức năng, không có các nguyên nhân khác gây rối loạn chức năng tim như bệnh động mạch vành, tăng huyết áp, bệnh van tim và bệnh tim bẩm sinh.
Chúng ta sẽ thảo luận về các bệnh cơ tim được liệt kê trong bảng bên trái.

HCM với đường ra thất trái hẹp (mũi tên vàng), chuyển động ra trước tâm thu của lá van trước van hai lá (mũi tên xanh dương) và hở van hai lá (mũi tên đỏ)
Bệnh cơ tim phì đại
Bệnh cơ tim phì đại (HCM) được đặc trưng bởi thất trái phì đại, được định nghĩa là độ dày thành thất tâm trương từ 15mm trở lên, mà không có nguyên nhân có thể xác định được như tăng huyết áp hoặc bệnh van tim.
Kích thước vách liên thất bình thường là 8-12 mm.
Thông thường có sự dày lên không đối xứng của thành tim, nổi bật nhất ở vách liên thất mà không có sự giãn rộng bất thường của các buồng thất.
Đây là rối loạn cơ tim di truyền với tỷ lệ lưu hành 1:500.
Ở khoảng 25% bệnh nhân, có tắc nghẽn đường ra thất trái (LVOT) do phì đại vách liên thất nền và chuyển động ra trước tâm thu của van hai lá (SAM).
Trong những trường hợp này, thuật ngữ HOCM hay bệnh cơ tim phì đại tắc nghẽn được sử dụng.
Chuyển động ra trước tâm thu của van hai lá có thể là kết quả của sự tăng vận tốc dòng chảy và giảm áp lực phía trên van do vách liên thất phì đại gây ra (hiệu ứng Venturi).
Ở đại đa số bệnh nhân, chuyển động ra trước tâm thu của van hai lá là cơ chế gây tắc nghẽn trong HCM và cũng là nguyên nhân gây hở van hai lá.
Trên hình ảnh cuối tâm thu, có thể thấy các dấu hiệu sau (hình):
- Dòng phụt trong đường ra thất trái bị hẹp
- Chuyển động ra trước tâm thu của lá van trước van hai lá
- Hở van hai lá
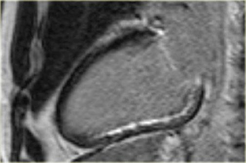
HOCM (2)
Bên trái là hình ảnh cuối tâm trương.
Mũi tên chỉ vào vách liên thất nền phì đại.
Tiếp tục với video góc nhìn 3 buồng.
Bên trái là video góc nhìn 3 buồng của cùng bệnh nhân.
Hãy xem video trước rồi tiếp tục đọc.
Video minh họa rõ ràng:
- Chuyển động ra trước tâm thu của lá van trước van hai lá
- Dòng phụt hở van hai lá
- Dòng phụt trong đường ra thất trái bị hẹp.

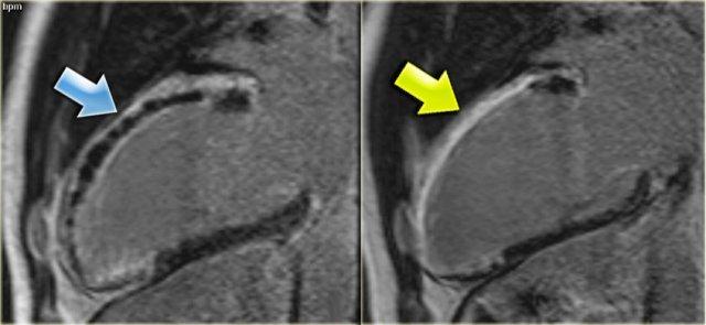
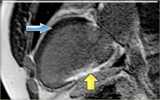
Trái: Hình ảnh ngấm thuốc muộn góc nhìn 3 buồng cho thấy sự ngấm thuốc của vách liên thất nền phì đại (mũi tên)
HOCM (3)
Ở ngoài cùng bên trái là hình ảnh ngấm thuốc muộn góc nhìn 3 buồng, minh họa rõ ràng sự ngấm thuốc của vách liên thất nền phì đại (mũi tên).
Bên cạnh đó là hình ảnh ngấm thuốc muộn trục ngắn cho thấy sự ngấm thuốc điển hình tại các điểm bám của thất phải ở phía trước và phía sau (các mũi tên).

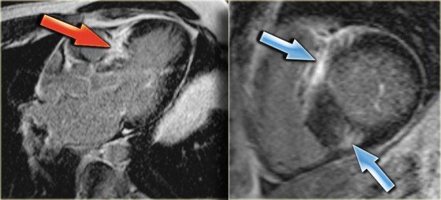
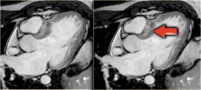
Hình ảnh ngấm thuốc muộn góc nhìn 3 buồng trước (trái) và sau (phải) đốt cồn. Lưu ý nhồi máu xuyên thành của vách liên thất nền (mũi tên).
Điều trị HOCM bao gồm điều trị nội khoa, phẫu thuật cắt cơ tim hoặc đốt cồn [15].
Kết quả của đốt cồn được mô tả rất rõ ràng trên MRI [19].
Bên trái là hình ảnh ngấm thuốc muộn góc nhìn 3 buồng trước và sau đốt cồn.
Lưu ý nhồi máu xuyên thành của vách liên thất nền (mũi tên).
Tiếp tục với video góc nhìn 3 buồng trước khi đốt cồn.
HOCM (4)
Bên trái là video góc nhìn 3 buồng của cùng bệnh nhân trước khi đốt cồn.
Lưu ý chuyển động ra trước tâm thu của lá van trước van hai lá và tình trạng hở van hai lá.
Bên trái là video góc nhìn 3 buồng sau đốt cồn với hình ảnh vách liên thất nền mỏng đi và chức năng van hai lá trở về bình thường.
Bệnh cơ tim hạn chế – Amyloidosis
Nguyên nhân phổ biến nhất của bệnh cơ tim hạn chế là amyloidosis [20].
Các lắng đọng amyloid trong cơ tim gây rối loạn chức năng tâm trương với giãn hai tâm nhĩ, dày đồng tâm thất trái và giảm chức năng tâm thu thường ở cả hai thất.
Tổn thương tim trong amyloidosis toàn thân xảy ra ở tới 50% trường hợp và có tiên lượng xấu với thời gian sống trung bình là 6 tháng [3].
Bên trái là video góc nhìn 4 buồng của bệnh nhân amyloidosis.
Có hình ảnh giảm vận động lan tỏa của thất trái và thất phải.
Cùng bệnh nhân, video trục ngắn.
Hình ảnh ngấm thuốc muộn cho thấy sự ngấm thuốc trên toàn bộ chu vi dưới nội tâm mạc, lan rộng không đều vào cơ tim lân cận [21].
Đôi khi rất khó tìm được thời gian đảo ngược tối ưu để triệt tiêu tín hiệu cơ tim bình thường [1].
Bên trái là hình ảnh ngấm thuốc muộn góc nhìn 4 buồng và trục ngắn.
Có hình ảnh ngấm thuốc dưới nội tâm mạc toàn chu vi lan rộng vào cơ tim lân cận.

Hình ảnh black-blood mặt cắt trục và mặt cắt vành của bệnh nhân viêm màng ngoài tim co thắt sau phẫu thuật bắc cầu động mạch vành (CABG). Các mũi tên chỉ vào màng ngoài tim dày.
Bệnh cơ tim co thắt
Chẩn đoán phân biệt quan trọng nhất của bệnh cơ tim hạn chế là bệnh cơ tim co thắt.
MRI có thể phân biệt giữa hai chẩn đoán này:
- Màng ngoài tim thường dày trong bệnh cơ tim co thắt
- Dấu hiệu vách liên thất nảy tâm trương được thấy trong bệnh cơ tim co thắt, nhưng không có trong bệnh cơ tim hạn chế [22,23]
Bên trái là video góc nhìn 4 buồng của bệnh nhân bệnh cơ tim co thắt.
Lưu ý dấu hiệu vách liên thất nảy tâm trương, đặc trưng cho bệnh cơ tim co thắt.
Cùng bệnh nhân, video trục ngắn.
Bệnh cơ tim giãn
Bệnh cơ tim giãn được định nghĩa là giãn buồng tim với đường kính cuối tâm trương lớn hơn 55mm đo trên hình ảnh đường ra thất trái và phân suất tống máu < 40%.
Bệnh nhân bệnh cơ tim giãn vô căn có thể không có ngấm thuốc hoặc có ngấm thuốc tuyến tính ở lớp giữa cơ tim [24].
Sự ngấm thuốc này được giải thích bởi sự hiện diện của xơ hóa.
Điều này cho thấy tiên lượng xấu hơn.
Bệnh nhân có ngấm thu








