Bạo hành trẻ em – Chẩn đoán hình ảnh 2.0
Ngày xuất bản
Đây là phiên bản thứ hai về chẩn đoán hình ảnh trong lạm dụng trẻ em.
Lạm dụng trẻ em là một vấn đề tương đối phổ biến trong xã hội chúng ta.
Tại Hà Lan, ước tính có khoảng 100.000 đến 180.000 trẻ em bị lạm dụng dưới một hình thức nào đó mỗi năm. Điều này có nghĩa là cứ ba mươi trẻ em dưới 18 tuổi thì có một em đã từng là nạn nhân của lạm dụng.
Tỷ lệ tử vong do lạm dụng trẻ em khác nhau giữa các quốc gia.
Tổ chức Y tế Thế giới (WHO) ước tính rằng trong năm 2000, trên toàn thế giới có 57.000 trẻ em là nạn nhân của các vụ giết người. Thông tin thêm: Lạm dụng và bỏ bê trẻ em.
Tổng quan này tập trung vào vai trò của chẩn đoán hình ảnh trong việc phát hiện các dấu hiệu đặc trưng cho lạm dụng thể chất trẻ em.
Sự nhận thức của bác sĩ chẩn đoán hình ảnh là yếu tố thiết yếu trong việc phát hiện các tổn thương hệ thần kinh trung ương, xương khớp và ổ bụng nhằm ghi nhận bằng chứng lạm dụng trẻ em.
Mục đích là để ngăn chặn tình trạng lạm dụng tiếp diễn, cung cấp hỗ trợ và can thiệp cho gia đình, đồng thời bảo vệ các anh chị em ruột.
Giới thiệu
Hội chứng trẻ em bị đánh đập, hội chứng trẻ sơ sinh bị lắc và chấn thương không do tai nạn đều là các thuật ngữ dùng để mô tả phức hợp các tổn thương ở trẻ sơ sinh và trẻ nhỏ do hậu quả của lạm dụng.
Hành động lắc được coi là một cơ chế chấn thương thường gặp trong lạm dụng trẻ em, gây ra gãy xương sườn, gãy bong điểm bám sụn tiếp hợp (metaphyseal avulsion fractures), xuất huyết dưới màng cứng và xuất huyết võng mạc.
Tuy nhiên, thuật ngữ “hội chứng trẻ sơ sinh bị lắc” hiện nay được coi là lỗi thời.
Vai trò của Bác sĩ Chẩn đoán Hình ảnh
Khả năng nhận biết tình trạng bạo hành trẻ em là một mối quan tâm quan trọng đối với những người tham gia vào công tác chăm sóc y tế cho trẻ.
Các nghiên cứu cho thấy ít nhất 10% trẻ em dưới 5 tuổi được đưa đến phòng cấp cứu vì chấn thương thực chất đã là nạn nhân của chấn thương không do tai nạn.
Có đến 65% tổng số các trường hợp bạo hành được phát hiện lần đầu tại phòng cấp cứu, do đó bước đầu tiên để xác định đúng tình trạng bạo hành là đào tạo nhân viên bệnh viện nhận biết các dấu hiệu cảnh báo bạo hành.
Sự đa dạng của các biểu hiện lâm sàng, vốn có thể bắt chước các bệnh lý khác hoặc các biến thể bình thường, cho thấy rằng chẩn đoán xác định bạo hành trẻ em chỉ có thể đạt được thông qua sự hợp tác liên chuyên khoa.
Một số nghiên cứu đã báo cáo rằng 30-80% các trường hợp bạo hành thể chất trẻ em đã được xác nhận bị bỏ sót trong lần khám ban đầu, và nhiều trẻ nhỏ đã phải chịu thêm tổn thương do sự chậm trễ trong chẩn đoán.
Bác sĩ Chẩn đoán Hình ảnh có thể là người đầu tiên đề xuất chẩn đoán dựa trên các nghiên cứu hình ảnh được thực hiện cho nhiều chỉ định lâm sàng khác nhau. Các vai trò khác của bác sĩ Chẩn đoán Hình ảnh được liệt kê trong bảng.
Sự an toàn trong tương lai của một đứa trẻ bị bạo hành thể chất phụ thuộc một phần vào việc bác sĩ Chẩn đoán Hình ảnh thực hiện tốt các vai trò này.
Tổn thương hệ thần kinh trung ương

Các ổ dịch dưới màng cứng giảm âm hai bên giúp hiển thị rõ màng nhện (mũi tên). Tính chất đục của dịch gợi ý thành phần xuất huyết. Các khối máu tụ dưới màng cứng hầu như không có mạch máu, trái ngược với hệ thống mạch máu dưới nhện phong phú.
Máu tụ dưới màng cứng
Tổn thương hệ thần kinh trung ương liên quan đến chấn thương không do tai nạn là nguyên nhân hàng đầu gây bệnh tật và tử vong ở trẻ sơ sinh và trẻ em.
Một số nghiên cứu cho thấy tám mươi phần trăm các trường hợp tử vong ở trẻ dưới 2 tuổi là do chấn thương đầu không do tai nạn.
Cơ cổ của trẻ sơ sinh rất yếu, trong khi đầu lại to và nặng so với phần còn lại của cơ thể.
Não trẻ sơ sinh chưa được myelin hóa hoàn toàn và được bao quanh bởi khoang dưới nhện rộng hơn so với não của trẻ lớn và người trưởng thành.
Khi trẻ bị lắc, cổ bị giật qua lại, tương tự như chấn thương do tăng tốc-giảm tốc đột ngột, khiến não xoay và va đập vào phần trước và sau của hộp sọ.
Điều này có thể gây tổn thương não, dẫn đến bầm dập, chảy máu và phù nề.
Các phương pháp chẩn đoán hình ảnh vùng đầu có thể phát hiện chảy máu dưới màng cứng hoặc dưới nhện, tổn thương sợi trục lan tỏa kèm theo phù não, hoặc các tổn thương cũ như tràn dịch dưới màng cứng.
Đây là video siêu âm Doppler màu của một trẻ khác có máu tụ dưới màng cứng hai bên.
Lưu ý rằng các khối máu tụ dưới màng cứng không có mạch máu, trái ngược với hệ thống mạch máu dưới nhện phong phú.
Mặc dù xuất huyết có thể xảy ra ở bất kỳ vị trí nào, máu có xu hướng lan vào khe liên bán cầu (mũi tên trên hình bên phải).
Hình ảnh
Máu tụ dưới màng cứng tăng tỷ trọng vùng đỉnh trái và máu tụ dưới màng cứng nhỏ vùng trán-đỉnh phải lan vào khe liên bán cầu.
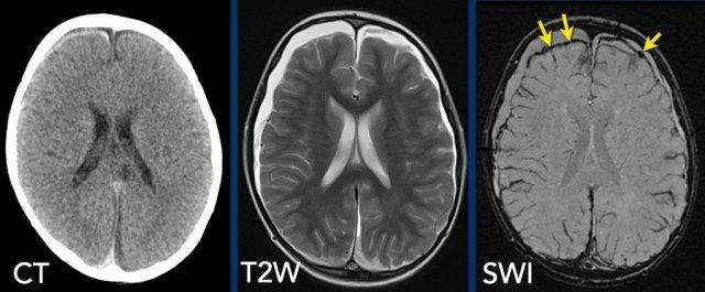
Chụp cộng hưởng từ (MRI) nhạy hơn trong việc phát hiện máu tụ dưới màng cứng.
Trong tất cả các trường hợp, chúng tôi khuyến cáo bổ sung chuỗi xung hình ảnh trọng số độ nhạy từ (SWI) vào quy trình chụp.
Hình ảnh
Máu tụ dưới màng cứng khó nhận thấy trên CT được hiển thị rõ hơn trên chuỗi xung T2W MRI, và các lắng đọng hemosiderin được thể hiện rõ ràng trên chuỗi xung SWI (mũi tên).
Học viện Nhi khoa Hoa Kỳ đề xuất sử dụng thuật ngữ Chấn thương Đầu do Bạo hành (Abusive Head Trauma – AHT). Một thuật ngữ thường dùng khác là Chấn thương Não do Cố ý (Inflicted Traumatic Brain Injury – ITBI).
Cơ chế chấn thương điển hình được mô tả là lắc mạnh trẻ qua lại trong khi giữ chặt trẻ ở vùng ngực.
Tuy nhiên, tổn thương này có thể xảy ra có hoặc không kèm theo chấn thương va đập trực tiếp.
Chấn thương va đập trực tiếp mà không có động tác lắc cũng có thể xảy ra.
Một cú lắc gây ra chuyển động quất mạnh của các chi và đầu theo kiểu tăng tốc-giảm tốc đột ngột.
Cần lưu ý rằng không có dấu hiệu hình ảnh học đặc hiệu nào cho chấn thương đầu do bạo hành. Đối với mỗi trường hợp, sự tham gia và phối hợp đa chuyên khoa là bắt buộc.
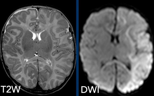
Các khiếm khuyết tưới máu là thành phần chính gây tổn thương lâu dài.
Do đó, chuỗi xung khuếch tán (DWI) cũng nên được đưa vào quy trình chụp MRI tiêu chuẩn.
Hình ảnh
Bé trai 2 tháng tuổi với gãy bong điểm bám sụn-xương vùng hành xương, gãy xương sườn và co giật. Chuỗi xung T2W cho thấy ổ dịch dưới màng cứng vùng trán phải khó nhận thấy, nhưng hạn chế khuếch tán lan rộng được ghi nhận rõ ràng trên DWI.
Cần lưu ý rằng không có cơ sở bằng chứng nào để xác định thời điểm hình thành máu tụ dưới màng cứng dựa trên CT hoặc MRI.
Từ góc độ pháp y, các bác sĩ chẩn đoán hình ảnh do đó nên tránh đưa ra nhận định về thời điểm tổn thương. (tài liệu tham khảo 1)
Hình ảnh
Chuỗi xung T1W cho thấy máu tụ dưới màng cứng mạn tính hai bên với các vách ngăn bên trong tạo thành các khoang tăng tín hiệu.
Điều này gợi ý tình trạng chảy máu tái phát, nhưng chưa phải bằng chứng xác định.
Chấn thương tủy sống
Chèn ép cột sống cổ xảy ra khi chấn thương do lắc hoặc va đập gây tổn thương tủy sống.
Trẻ sơ sinh đặc biệt dễ bị chấn thương tủy sống do đầu to và hệ thống cơ cạnh sống cũng như cơ cổ còn yếu, chưa phát triển hoàn thiện. Chấn thương tủy sống có thể khó ghi nhận trên hình ảnh. Những trẻ này có thể biểu hiện ngưng thở hoặc suy sụp vận mạch tương tự như sốc tủy sống.
Tụ máu dưới màng cứng cũng có thể được tìm thấy dọc theo cột sống, với xu hướng ưu tiên ở vùng cột sống thắt lưng. Do đó, các giao thức chụp MRI trong trường hợp nghi ngờ lạm dụng trẻ em cần bao gồm cả hình ảnh cột sống.
Chấn Thương Xương

Trích từ Kleinman PK, Rosenberg AE, Tsai A. Chấn thương xương: những lưu ý chung. Trong Kleinman PK. Chẩn đoán hình ảnh trong lạm dụng trẻ em. Mosby, xuất bản lần 3, 2015, 23 – 52.
Độ đặc hiệu của các loại gãy xương
Khi đọc phim X-quang nhi khoa tại khoa cấp cứu, chúng ta cần nhận thức rằng lực cần thiết để gãy xương ở trẻ sơ sinh hoặc trẻ nhỏ là rất đáng kể.
Bất kỳ gãy xương nào ở nhóm tuổi này đều cho thấy đã xảy ra một chấn thương.
Các mức độ đặc hiệu cho lạm dụng trẻ em khi có gãy xương được liệt kê trong bảng bên trái.
Gãy xương góc hành xương kinh điển hoặc gãy kiểu tay xách xô (bucket handle) gần như là dấu hiệu bệnh lý đặc trưng của lạm dụng, mặc dù vẫn tồn tại chẩn đoán phân biệt.
Gãy xương sườn rất phổ biến và có độ đặc hiệu cao cho lạm dụng ở trẻ nhỏ dưới 2 tuổi.
Giá trị tiên đoán dương tính của gãy xương sườn sau đối với lạm dụng trẻ em được báo cáo là 80% – 90%.
Gãy xương mỏm cùng vai, xương ức và mỏm gai hiếm gặp đến mức trong các trường hợp tai nạn thông thường, điều này mang lại cho chúng độ đặc hiệu cao đối với lạm dụng.
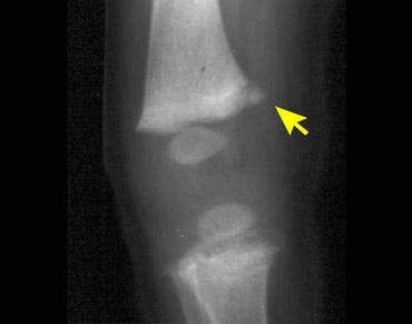
Gãy xương góc (Corner fracture)
Gãy xương góc hành xương, còn được Kleinman gọi là tổn thương hành xương kinh điển, lần đầu tiên được mô tả bởi Caffey, người đã ghi nhận những gãy xương đặc biệt này ở trẻ em có tụ máu dưới màng cứng. Chúng thường xuất hiện hai bên và ở đầu dưới xương chày, thường gặp hơn ở phía trong.
Khi một mảnh xương nhỏ bị bong ra do lực cắt tác động lên sụn tăng trưởng mỏng manh, nó được nhìn thấy như hình ảnh gãy xương góc điển hình. Những gãy xương này phổ biến nhất ở xương chày, đầu dưới xương đùi và đầu trên xương cánh tay. Chúng thường xuất hiện hai bên.
Những gãy xương này thường rất kín đáo, và khả năng phát hiện phụ thuộc trực tiếp vào chất lượng của các nghiên cứu hình ảnh.
Chính vì lý do này, khảo sát xương toàn thân trong các trường hợp nghi ngờ lạm dụng trẻ em phải được thực hiện với sự chú ý tối đa đến chất lượng phim chụp.
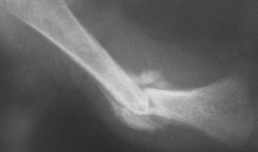
Gãy xương kiểu tay xách xô (Bucket handle fractures)
Gãy xương kiểu tay xách xô về bản chất giống với gãy xương góc.
Mảnh xương bị bong ra có kích thước lớn hơn và được nhìn thấy theo hướng “en face” (nhìn thẳng) như hình đĩa hoặc tay xách xô.
Hình ảnh
Gãy xương kiểu tay xách xô ở đầu trên xương chày. Mảnh gãy hành xương được nhìn thấy như hình đĩa hoặc tay xách xô.
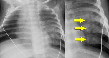
Gãy xương sườn
Trong hành vi lắc mạnh, đứa trẻ bị giữ rất chặt quanh ngực và bị siết chặt trong khi bị lắc.
Điều này nén các xương sườn theo hướng trước-sau và có xu hướng làm gãy chúng ở vị trí gần chỗ bám vào đốt sống và ở phía bên, nơi chúng gần như bị gập đôi.
Do cơ chế chấn thương đặc thù này, gãy xương sườn bên và sau có độ đặc hiệu cao đối với lạm dụng.
Hồi sức tim phổi hiếm khi, nếu không muốn nói là không bao giờ, là nguyên nhân gây ra những gãy xương như vậy.
Những gãy xương sườn này ở trẻ bị lạm dụng có thể được phát hiện tình cờ trên phim X-quang ngực được chụp vì lý do khác, chẳng hạn như đánh giá viêm phổi.
Gãy xương sườn có độ đặc hiệu cao đối với lạm dụng.
Trong một nghiên cứu tại Hà Lan, tổng cộng 254 gãy xương được tìm thấy trong 56 trường hợp chấn thương đầu do lạm dụng. Tỷ lệ gãy xương sườn và gãy xương hành xương cực kỳ cao (tài liệu tham khảo).
Gãy xương sườn gặp khó khăn tương tự như tổn thương hành xương ở chỗ chúng dễ bị bỏ sót trên phim X-quang.
Trong giai đoạn cấp tính, chúng không rõ ràng trên phim X-quang vì ít có sự di lệch.
Chúng thường được xác định trên phim khảo sát xương toàn thân lặp lại khi các gãy xương đang trong giai đoạn lành, biểu hiện bằng hình ảnh can xương.
Đặc biệt, gãy xương ở đầu bụng của xương sườn là thách thức lớn.
Siêu âm có ích trong việc phát hiện sự di lệch tại khớp sụn-xương sườn phía bụng.
Hình ảnh
Trẻ được đánh giá vì khối mô mềm vùng sụn-xương sườn. Siêu âm cho thấy phù nề mô mềm (mũi tên vàng), phần sụn của xương sườn (mũi tên đỏ) bị tách rời khỏi phần xương (mũi tên cam) của xương sườn. Phim ngực ban đầu âm tính. Phim ngực chụp lại 2 tuần sau cho thấy các gãy xương.

TRÁI: Gãy xương kiểu vỏ trứng ở một trẻ tử vong do chấn thương não sau khi bị ném từ trên cao. PHẢI: Gãy xương sọ ở trẻ bị lạm dụng.
Gãy xương sọ
Gãy xương sọ là chấn thương thường gặp trong lạm dụng trẻ em, nhưng cũng phổ biến trong chấn thương do tai nạn.
Các hình thái gãy xương sọ gợi ý lạm dụng trẻ em bao gồm:
- Gãy xương nhiều mảnh kiểu “vỏ trứng”
- Gãy lún xương chẩm
Hộp sọ của trẻ sơ sinh khá đề kháng với chấn thương, vì vậy bất kỳ gãy xương nào không phù hợp với bệnh sử đều cần đặt ra câu hỏi về chấn thương không do tai nạn.

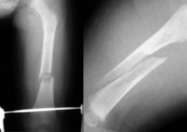
Hai trẻ sơ sinh bị gãy xương đùi. Lạm dụng trẻ em bị nghi ngờ do tuổi của trẻ và bệnh sử không nhất quán được cung cấp bởi cha mẹ.
Gãy xương thân xương (Diaphyseal fractures)
Gãy xương thân xương không đặc hiệu vì chúng có thể xảy ra trong cả chấn thương do tai nạn và không do tai nạn.
Tuy nhiên, trong những trường hợp này, tuổi tác, giai đoạn phát triển của trẻ và bệnh sử lâm sàng rất quan trọng.
Ngã khỏi giường thường không gây ra gãy xương thân xương.
Để gây ra gãy xương thân xương đùi theo chiều ngang, cần phải tác dụng một lực đáng kể.
Gãy xương xoắn là kết quả của lực xoắn vặn.
Mặc dù thường được đề cập, không có bằng chứng nào cho thấy gãy xương xoắn ở chi dưới có độ đặc hiệu cao hơn đối với lạm dụng so với gãy xương chéo hoặc ngang.
Lành xương sau gãy
Can xương trong gãy xương thân xương thường hình thành không sớm hơn 5 ngày sau khi gãy, nhưng thường sẽ hình thành trong vòng 14 ngày.
Do đó, gãy xương không có can xương có thể có tuổi lên đến 14 ngày, và gãy xương có một ít can xương có tuổi ít nhất 5 ngày. Lượng can xương lớn cho thấy tuổi gãy xương ít nhất 2 tuần.
Những dấu hiệu này có thể được sử dụng để đối chiếu với bệnh sử. Ví dụ, một đứa trẻ ngã khỏi giường vào ngày hôm trước không thể có gãy xương với hình thành can xương.
Mặc dù không thể xác định chính xác thời điểm gãy xương, nhưng rõ ràng có thể phân biệt các giai đoạn lành xương khác nhau trong một trường hợp. Điều này có giá trị bằng chứng cho nhiều sự cố dẫn đến các gãy xương.
Gãy xương hành xương và gãy xương sọ thường không lành với can xương vì không có sự phá vỡ màng xương, do đó việc xác định tuổi gãy xương hành xương là khó khăn.
Chấn thương bụng
Nhìn chung, chấn thương tạng ở trẻ em là hiếm gặp, tuy nhiên khi được chẩn đoán, các chấn thương bụng thường gặp ở trẻ bị bạo hành bao gồm:
- Rách gan
- Tụ máu tá tràng
- Rách tụy
Chấn thương tạng được ghi nhận qua khám nghiệm tử thi ở trẻ nhũ nhi, nhưng hiếm khi được ghi lại trên hình ảnh học ở các nạn nhân còn sống dưới 1 tuổi.
Ước tính có khoảng 2-10% tổng số chấn thương bụng là do bạo hành trẻ em.
Độ tuổi trung bình của những trẻ này là khoảng 2 tuổi, lớn hơn so với các trường hợp đã được đề cập trước đó. Tình trạng này gặp ở trẻ trai nhiều hơn trẻ gái.
Tỷ lệ tử vong trong các chấn thương bụng là 50% do ‘sự chậm trễ từ phía bệnh nhân và bác sĩ’.
Những trẻ này được đưa đến bệnh viện nhiều ngày sau khi bị thương, khi tình trạng thủng tạng đã dẫn đến viêm phúc mạc và nhiễm khuẩn huyết.
Bệnh sử do người gây bạo hành cung cấp thường không tương quan với các triệu chứng lâm sàng, khiến các trường hợp này rất khó đánh giá đối với bác sĩ lâm sàng.
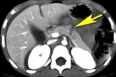
Hình ảnh
CT cho thấy hình ảnh rách tụy trong trường hợp bạo hành trẻ em.
Các chấn thương bụng này không đặc hiệu và cũng có thể do chấn thương ngoài ý muốn gây ra.
Tuy nhiên, trong hầu hết các trường hợp bạo hành trẻ em này, bệnh sử được cung cấp không tương quan với các tổn thương được phát hiện.
Do đó, cần tìm kiếm thêm các tổn thương xương đặc hiệu hơn ở những trẻ này.
Hình ảnh
Rách gan trong trường hợp bạo hành trẻ em
Xuất huyết võng mạc
Xuất huyết võng mạc được ghi nhận trong một tỷ lệ cao các trường hợp trẻ sơ sinh bị lạm dụng có bằng chứng bị rung lắc.
Khám nhãn khoa là tiêu chuẩn vàng, tuy nhiên đôi khi các bất thường võng mạc có thể được phát hiện qua MRI.
Do xuất huyết võng mạc có thể tự thoái triển trong thời gian ngắn, việc khám nhãn khoa cần được thực hiện trong vòng 24 giờ kể từ khi tiếp nhận bệnh nhân.
Hình ảnh
Chuỗi xung SWI cho thấy tụ máu dưới màng cứng hai bên ở một bé gái 3 tháng tuổi bị lạm dụng.
Chuỗi xung T2W cho thấy dày võng mạc kín đáo ở mắt phải và bong võng mạc ở mắt trái.
Khảo sát hình ảnh trong trường hợp nghi ngờ bạo hành
Khảo sát xương ban đầu
Mỗi bệnh viện cần có một quy trình chụp hình ảnh chuẩn trong các trường hợp nghi ngờ bạo hành trẻ em.
Khảo sát xương bằng X-quang là bắt buộc đối với tất cả trẻ em dưới 2 tuổi có nghi ngờ bị bạo hành. Đối với trẻ trên 2 tuổi, khảo sát xương chỉ nên được thực hiện khi có chỉ định cụ thể.
Quy trình này đã được định nghĩa bởi Trường Cao đẳng Bác sĩ X-quang Hoàng gia (Royal College of Radiologists) và Hội Kỹ thuật viên X-quang (Society and College of Radiographers), bao gồm các phim chụp được trình bày trong bảng (tài liệu tham khảo).
Các tác giả không khuyến khích chụp toàn bộ các chi trong một lần phơi chiếu duy nhất, mà ưu tiên chụp X-quang riêng lẻ từng xương dài.
Khảo sát xương theo dõi
Sau hai tuần, cần thực hiện khảo sát xương lặp lại có giới hạn theo bảng bên trái. Đợt khảo sát xương này có thể cung cấp bằng chứng về tổn thương đang trong giai đoạn lành, vốn không rõ ràng trên lần chụp ban đầu.
Cần có sự chú ý chuyên sâu về kỹ thuật và chi tiết để có được các phim X-quang chất lượng cao, giúp phát hiện những tổn thương rất tinh tế do bạo hành.
Tuyệt đối không bao giờ thực hiện chụp ‘babygram’ (chụp toàn thân trong một lần).
Cần lưu ý rằng đây là những phim X-quang sẽ được sử dụng làm bằng chứng tại tòa án.
Xạ hình xương (Nuclear bone scan) thường không cần thiết. Chỉ thực hiện khi có các phát hiện không rõ ràng trên khảo sát xương, hoặc khi nghi ngờ lâm sàng cao về tổn thương xương nhưng khảo sát xương lại bình thường.
Vẫn cần chụp X-quang quy ước tại các vùng bất thường được phát hiện trên xạ hình xương để đánh giá chính xác bản chất của tổn thương.
Chụp CT não trong trường hợp nghi ngờ bạo hành
Cần thực hiện CT não cho tất cả các nạn nhân nghi ngờ bị bạo hành dưới một tuổi.
Trẻ em trên một tuổi có bằng chứng bên ngoài về chấn thương đầu và/hoặc có các triệu chứng hay dấu hiệu thần kinh bất thường cũng cần được chụp CT đầu.
Chụp CT vượt trội hơn trong việc phát hiện gãy xương sọ (đặc biệt với tái tạo 3D) và giúp phát hiện tụ máu dưới màng cứng (tài liệu tham khảo).
Chẩn đoán phân biệt
Chấn thương do tai nạn
Xuất huyết dưới màng cứng do tai nạn đã được ghi nhận ở trẻ nhũ nhi sau các vụ tai nạn giao thông hoặc té ngã có liên quan đến lực giảm tốc góc đáng kể.
Trong các trường hợp chấn thương đầu do tai nạn, bệnh sử rõ ràng và nhất quán, các triệu chứng của trẻ phản ánh đúng lực tác động được mô tả, và không phát hiện thêm tổn thương xương nào không giải thích được.
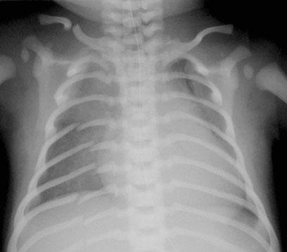
Chấn thương sản khoa do cân nặng lúc sinh cao và cuộc sinh khó đã được đề xuất là nguyên nhân gây gãy xương sườn ở trẻ nhũ nhi, tuy nhiên điều này cực kỳ hiếm gặp (xem hình).
Gãy xương sườn liên quan đến chấn thương do tai nạn rất hiếm gặp và đòi hỏi một lực tác động đáng kể, chẳng hạn như chấn thương trực tiếp vào thành ngực trong tai nạn giao thông, bởi vì thành ngực đàn hồi và linh hoạt hơn của trẻ nhũ nhi cho phép chịu đựng lực nén lớn hơn mà không bị tổn thương.
Hồi sức tim phổi (CPR) cũng đã được cho là nguyên nhân gây gãy xương sườn. Tuy nhiên, nhiều trẻ bệnh nặng được thực hiện CPR mà không có bằng chứng gãy xương sườn. Quan trọng hơn, CPR chưa được ghi nhận là nguyên nhân gây gãy xương sườn phía sau.
Bệnh lý đông cầm máu
Nhiều loại bệnh lý đông cầm máu có liên quan đến xuất huyết nội sọ ở trẻ nhũ nhi, bao gồm bệnh hemophilia và giảm prothrombin máu do thiếu vitamin K.
Các rối loạn này được gợi ý dựa trên bệnh sử lâm sàng, các dấu hiệu thực thể và kết quả xét nghiệm.
Bệnh tạo xương bất toàn (Osteogenesis imperfecta)
Bệnh tạo xương bất toàn là một rối loạn di truyền hiếm gặp của mô liên kết.
Các biểu hiện xương khác ở những bệnh nhân này bao gồm loãng xương toàn thân, xương Wormian, biến dạng cong và gập góc của các gãy xương đã lành, và vẹo cột sống tiến triển.
Ngoài gãy xương, các dấu hiệu gợi ý bao gồm củng mạc màu xanh, suy giảm thính lực, loạn sản ngà răng (dentinogenesis imperfecta), tăng độ linh hoạt khớp, bầm tím và tầm vóc thấp.
Xuất huyết dưới màng cứng là một biến chứng hiếm gặp của bệnh này.
Bệnh Menke
Bệnh Menke là một rối loạn chuyển hóa bẩm sinh rất hiếm gặp. Ở những bệnh nhân này, có thể thấy các mấu nhỏ ở hành xương (metaphyseal hooks) có hình ảnh tương tự gãy xương góc (corner fractures).
Hình ảnh
Các mấu nhỏ ở hành xương quan sát thấy ở bệnh nhân mắc bệnh Menke.
Loạn sản đốt sống-hành xương (Spondylometaphyseal dysplasia)
Loạn sản đốt sống-hành xương thể ‘gãy xương góc’ là một loạn sản xương liên quan đến tầm vóc thấp, coxa vara tiến triển trong quá trình phát triển, biến dạng háng tiến triển, hình ảnh giả ‘gãy xương góc’ ở các xương ống dài và bất thường thân đốt sống.
Hình ảnh
Các phim X-quang cho thấy một trường hợp hiếm gặp của loạn sản đốt sống-hành xương thể gãy xương góc.
Ở những trẻ này, hình dạng hành xương không đều, tương tự hình ảnh gãy xương góc cũ. Tuy nhiên, các bất thường đốt sống cũng đồng thời hiện diện.
Bệnh Caffey
Đây là một bệnh hiếm gặp chưa rõ nguyên nhân.
Những trẻ này có phản ứng màng xương rất mạnh, có thể dẫn đến chẩn đoán nhầm với gãy xương đang lành.
Hình ảnh
Hình thành xương màng xương dày đặc trong một trường hợp bệnh Caffey.
Biến thể giải phẫu bình thường
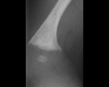
Hình ảnh nhọn của bờ hành xương (mấu hoặc gai xương) có thể giả dạng gãy bong hành xương.
Một biến thể bình thường khác là vòng hành xương (metaphyseal collar).
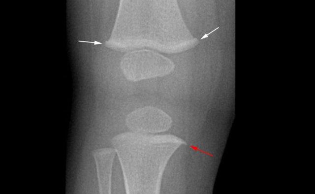
Hình ảnh
Bé trai 1,5 tuổi với gãy xoắn ốc thân xương đùi trái do tai nạn. Ban đầu, vòng hành xương (mũi tên trắng) và gai hành xương (mũi tên đỏ) lần lượt được diễn giải là gãy xương torus và gãy bong hành xương.
Điều này làm dấy lên nghi ngờ về chấn thương không do tai nạn. Tuy nhiên, đây là các biến thể giải phẫu bình thường.
Thân xương chày đoạn gần có thể có một lồi nhỏ không rõ nguyên nhân, dễ bị nhầm lẫn với gãy xương torus.



























