Bản đồ hạch lympho cổ
Ngày xuất bản
10 nhóm hạch được xác định với mô tả ngắn gọn về các ranh giới giải phẫu chính, các cấu trúc bình thường tiếp giáp với các hạch này, và các vị trí khối u chính có nguy cơ di căn đến các tầng tương ứng [1].
Tổng quan
Trong bản đồ hạch bạch huyết cổ này, các tầng được mở rộng lên đến 10.
Một số tầng trong đó được chia thành các tầng phụ để tương ứng đầy đủ hơn với atlas TNM.
Các mốc giải phẫu
Các mốc giải phẫu quan trọng bao gồm:
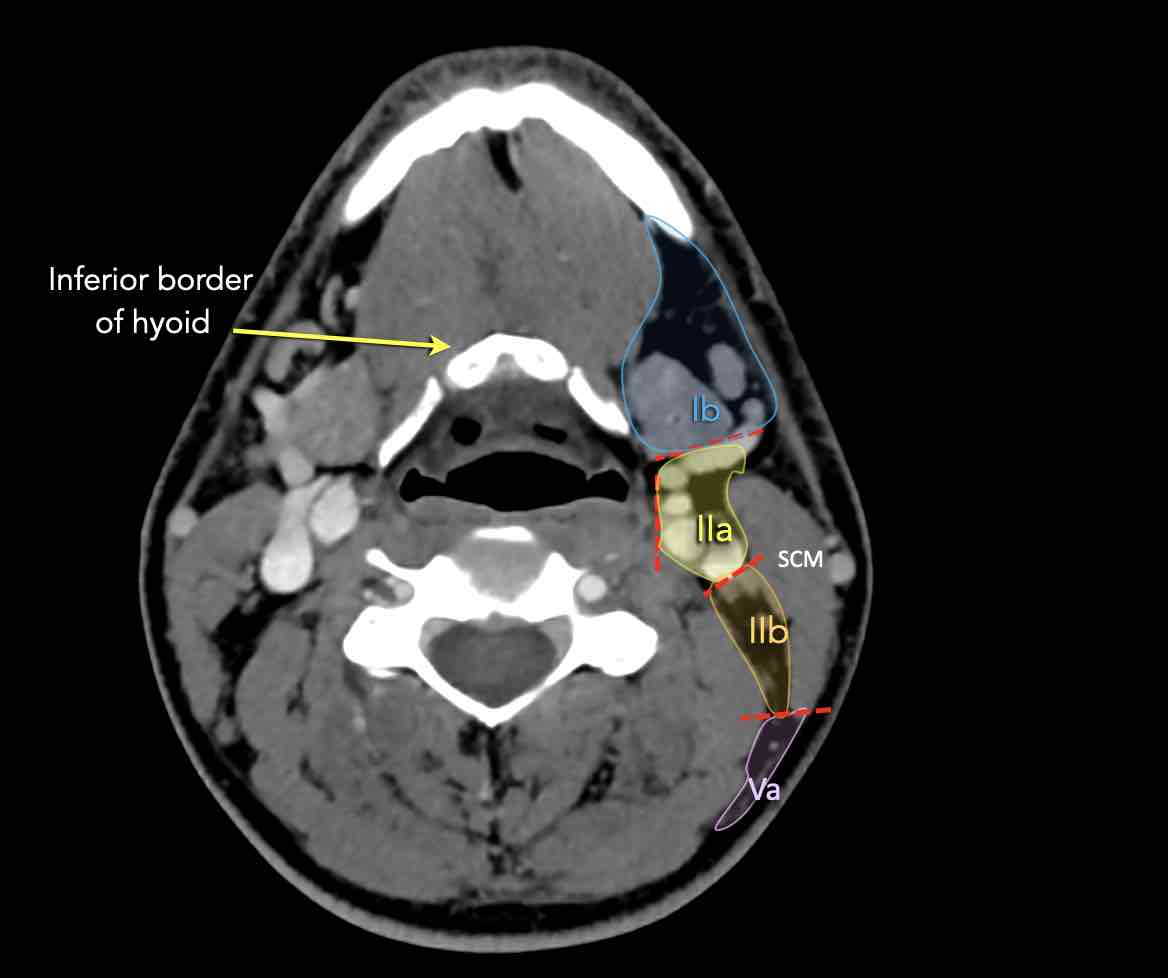
- Xương móng
- Sụn nhẫn
- Động mạch cảnh
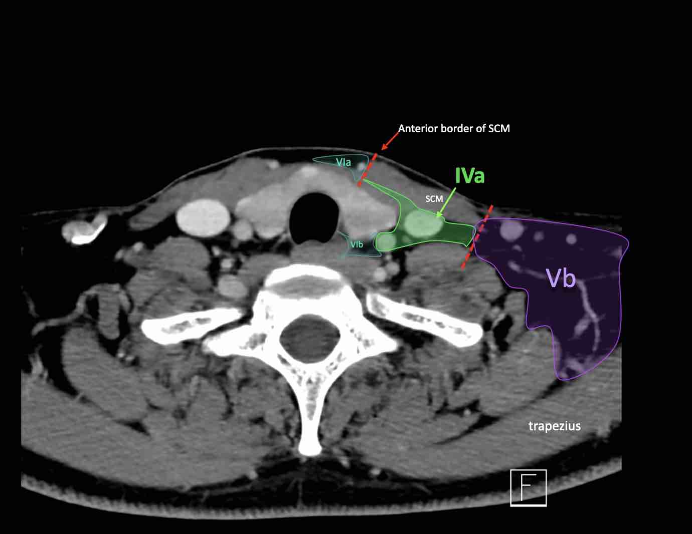
- Cơ ức đòn chũm
- Cán xương ức
CT Scan Mặt Cắt Ngang (Axial CT)
Các lát cắt CT mặt phẳng ngang tương ứng với hình minh họa tổng quan.
Các lát cắt CT mặt phẳng ngang với hình ảnh chi tiết hơn.
Nhấp vào hình ảnh để phóng to.
Các tầng hạch
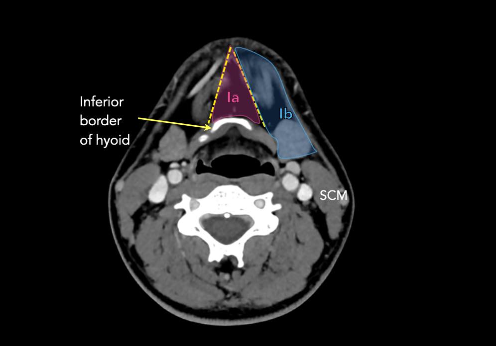
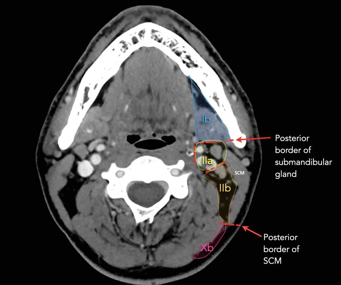
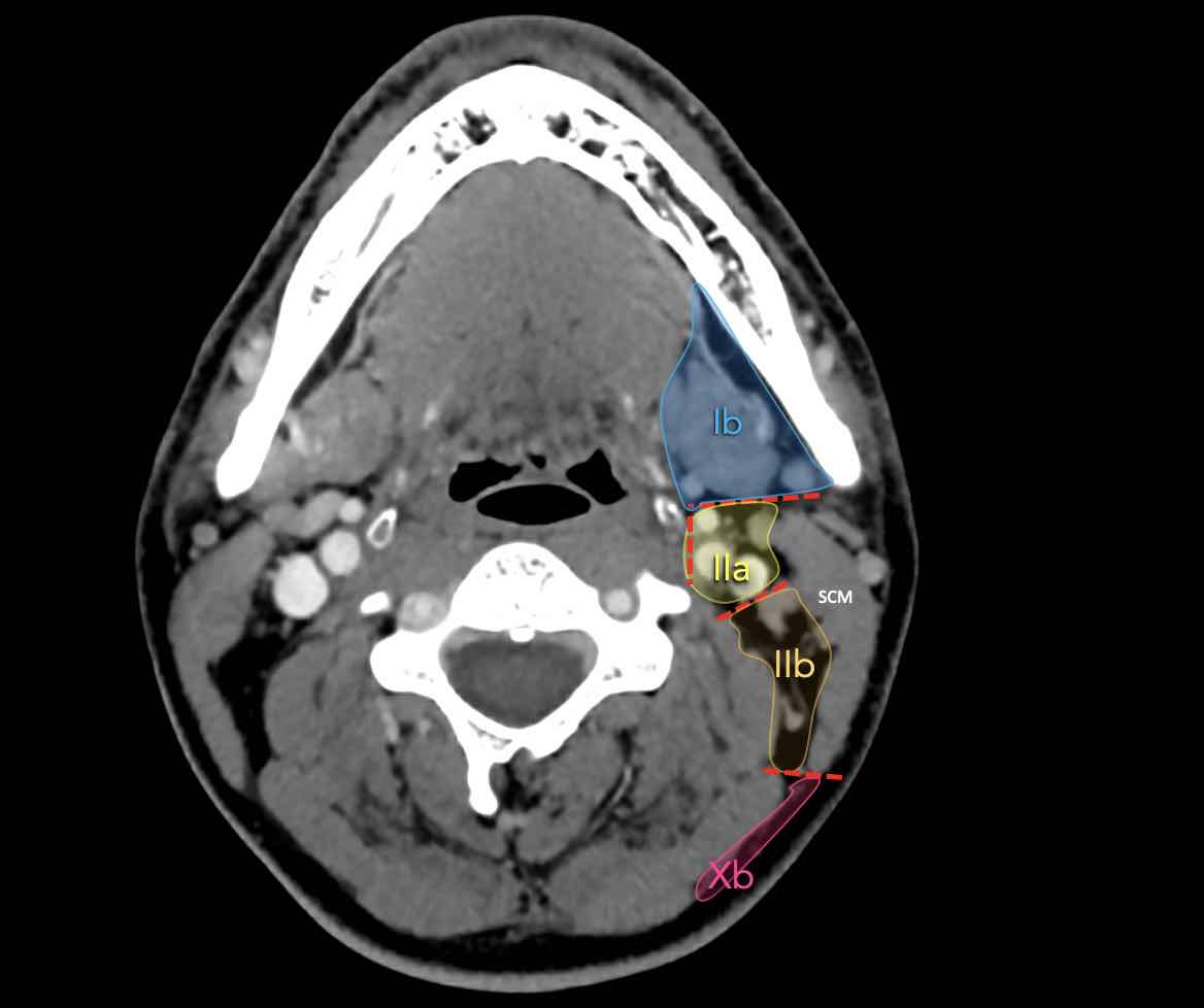
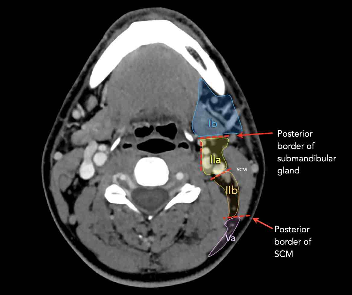
I – Dưới cằm và dưới hàm
Các hạch bạch huyết ở tầng I có nguy cơ phát triển di căn từ các ung thư khoang miệng, hốc mũi trước, mô mềm vùng mặt giữa và tuyến dưới hàm.
Tầng Ia
là vùng giữa nằm giữa bụng trước của các cơ nhị thân, chứa các hạch dưới cằm.
Tầng Ib
chứa các hạch dưới hàm nằm trong khoang giữa mặt trong của xương hàm dưới ở phía ngoài và cơ nhị thân ở phía trong, từ khớp mu cằm ở phía trước đến tuyến dưới hàm ở phía sau.
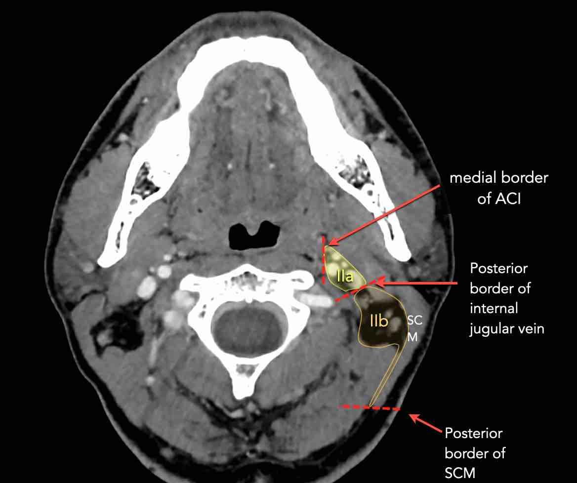
II – Tĩnh mạch cảnh trên
Tầng II nhận bạch huyết hướng tâm từ mặt, tuyến mang tai, và các hạch dưới hàm, dưới cằm và sau hầu.
Tầng II cũng nhận trực tiếp các bạch mạch thu thập từ hốc mũi, hầu, thanh quản, ống tai ngoài, tai giữa, và các tuyến dưới lưỡi và dưới hàm [1].
Tầng II có thể được chia thành tầng IIa và tầng IIb bằng cách vẽ một đường tại bờ sau của tĩnh mạch cảnh trong.
Các hạch bạch huyết ở tầng IIa và IIb có nguy cơ chứa di căn từ các ung thư hốc mũi và khoang miệng, vòm hầu, hầu miệng, hạ hầu, thanh quản và các tuyến nước bọt lớn.
Tầng IIb thường liên quan hơn đến các khối u nguyên phát ở hầu miệng hoặc vòm hầu, và ít thường xuyên hơn với các khối u ở khoang miệng, thanh quản hoặc hạ hầu [1].
III – Tĩnh mạch cảnh giữa
Tầng III nhận các bạch mạch hướng tâm từ tầng II và V, và một số bạch mạch hướng tâm từ các hạch sau hầu, trước khí quản và thần kinh thanh quản quặt ngược.
Tầng này thu nhận bạch huyết từ đáy lưỡi, amidan, thanh quản, hạ hầu và tuyến giáp.
Bờ dưới của sụn nhẫn là ranh giới giữa tầng III và tầng IVA.
Các hạch bạch huyết ở tầng III có nguy cơ chứa di căn từ các ung thư khoang miệng, vòm hầu, hầu miệng, hạ hầu và thanh quản.
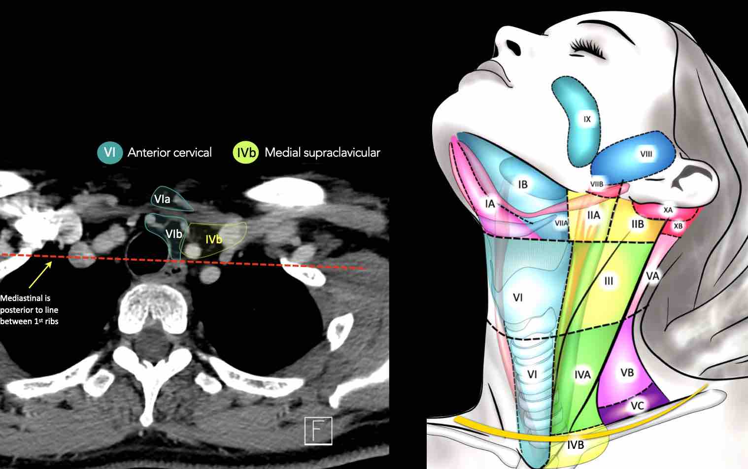
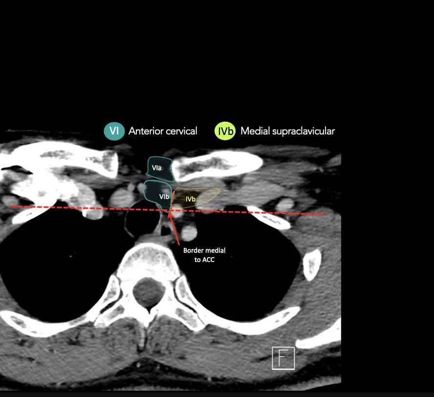
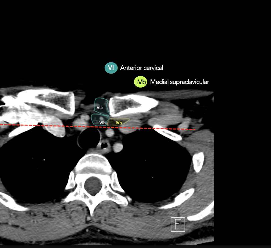
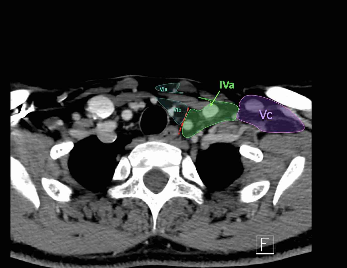
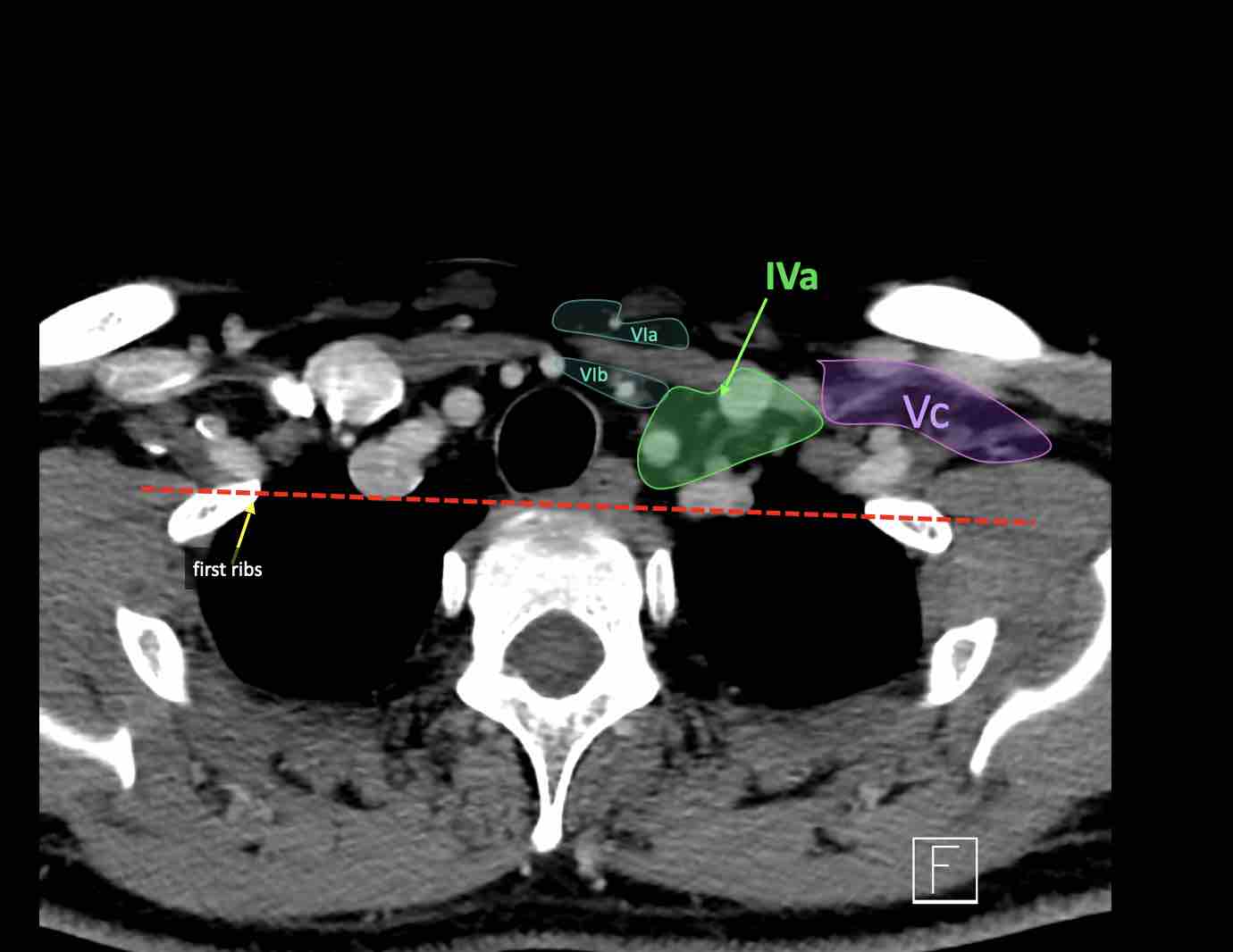
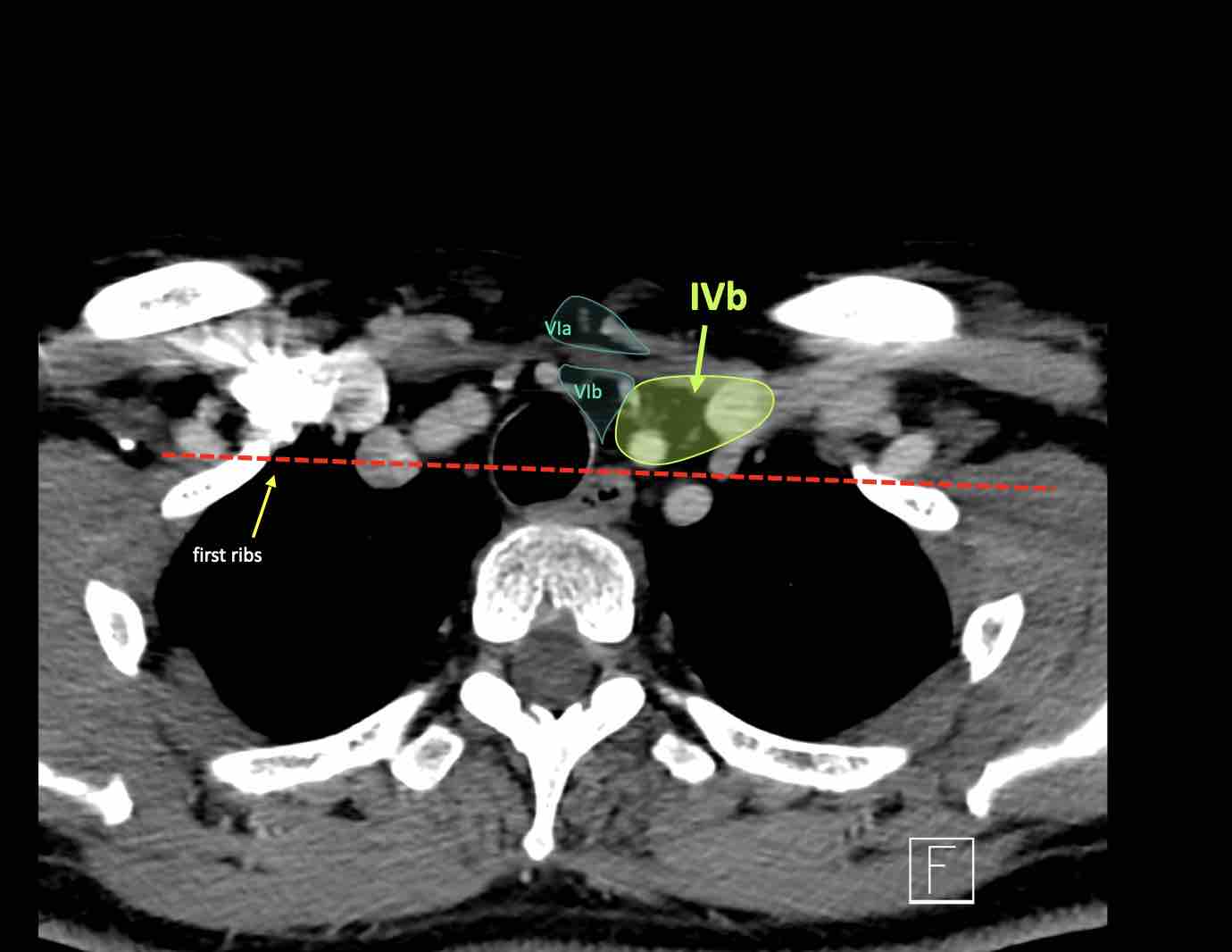
IV – Tĩnh mạch cảnh dưới và hố thượng đòn trong
Ranh giới giữa tầng IVa và IVb được xác định tùy ý tại vị trí 2 cm phía trên khớp ức đòn.
Tầng IVa
Các hạch này có nguy cơ chứa di căn từ các ung thư hạ hầu, thanh quản, tuyến giáp và thực quản cổ.
Hiếm gặp hơn, di căn từ khoang miệng trước có thể biểu hiện tại vị trí này với tổn thương hạch gần tối thiểu hoặc không có.
Tầng IVb
Các hạch này có nguy cơ chứa di căn từ các ung thư hạ hầu, thanh quản dưới thanh môn, khí quản, tuyến giáp và thực quản cổ.
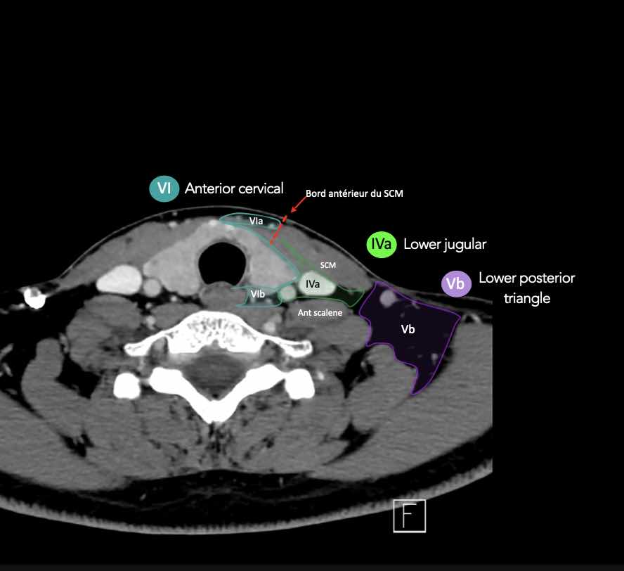
V – Tam giác cổ sau và hố thượng đòn
Tầng V chứa các hạch của nhóm tam giác cổ sau nằm ở phía sau cơ ức đòn chũm, xung quanh phần dưới của thần kinh phụ gai sống và các mạch máu cổ ngang.
Các hạch bạch huyết ở tầng V thường liên quan nhất đến các ung thư nguyên phát của vòm hầu, hầu miệng, các cấu trúc da vùng da đầu phía sau và tuyến giáp.
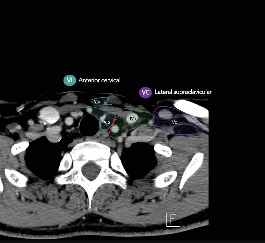
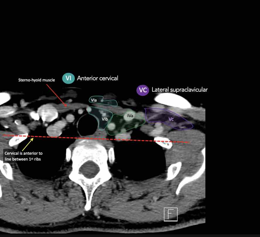
Tầng Vc – Hố thượng đòn
Tầng này chứa các hạch thượng đòn bên nằm trong phần tiếp nối của các hạch tam giác cổ sau (tầng Va và Vb) từ các mạch máu cổ ngang xuống đến giới hạn được xác định tùy ý tại vị trí 2 cm phía trên cán ức.
Tầng này tương ứng một phần với vùng được gọi là hố thượng đòn.
Tầng Vc nhận các bạch mạch hướng tâm từ các hạch tam giác cổ sau (tầng Va và Vb) và thường liên quan hơn đến các khối u vòm hầu [1].
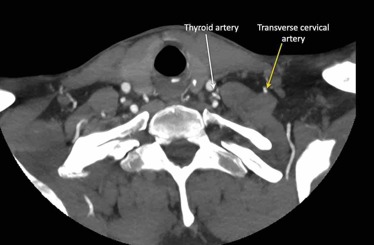
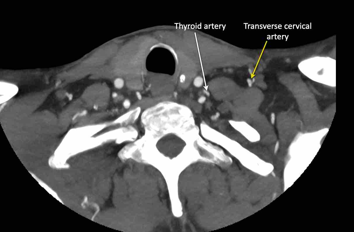
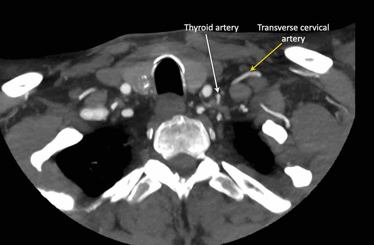
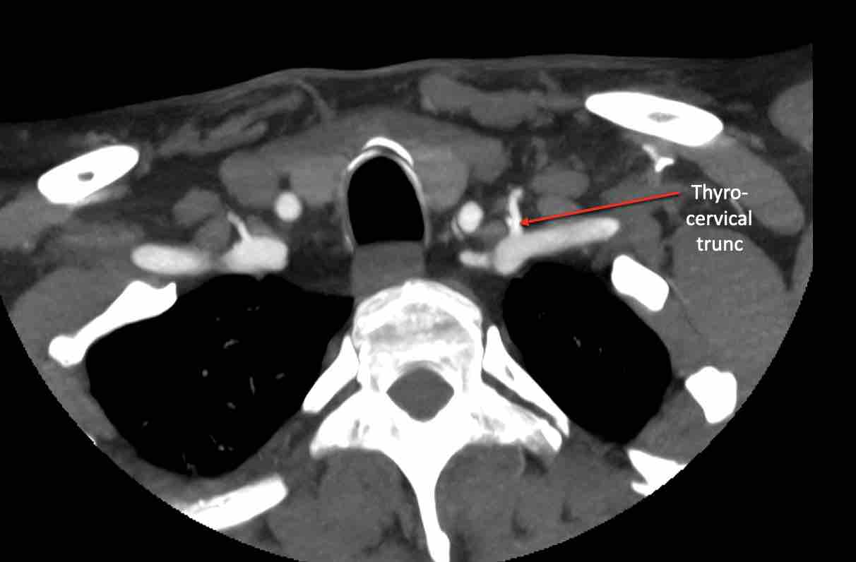
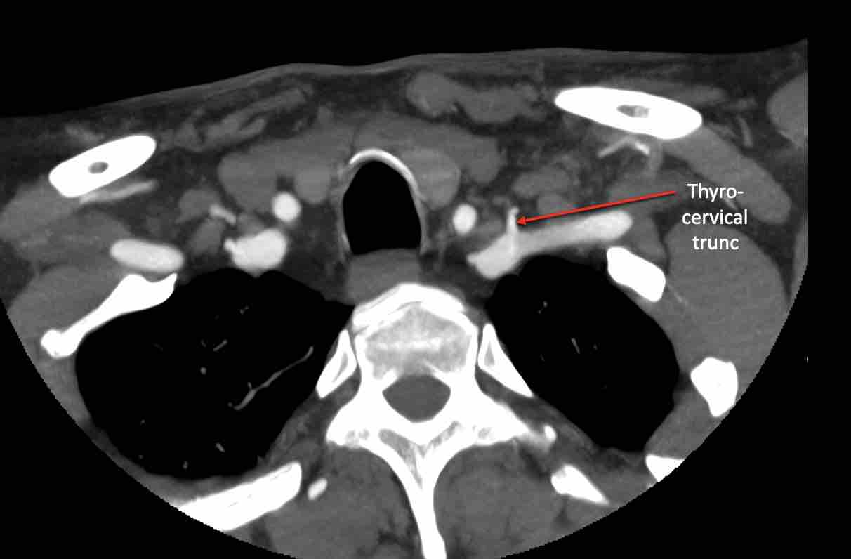
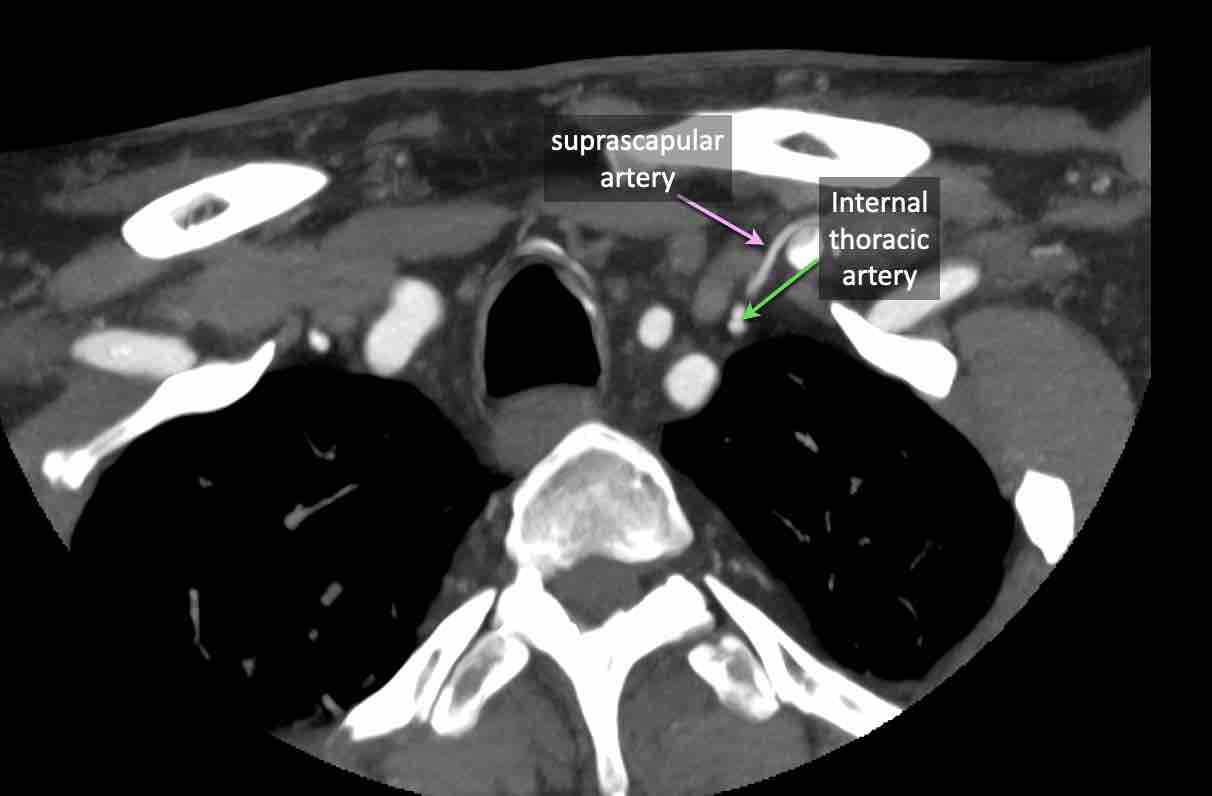
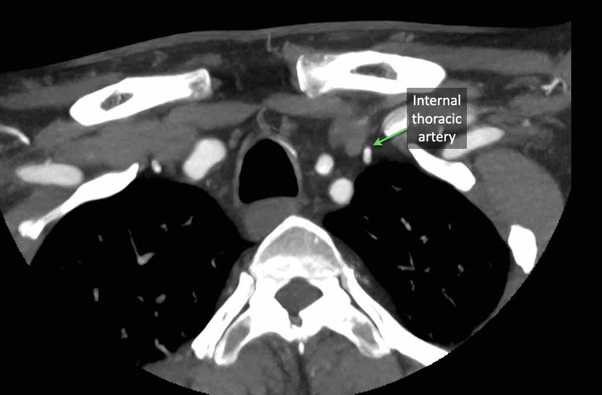
Động mạch cổ ngang
Cuộn qua các hình ảnh để xem giải phẫu của động mạch cổ ngang.
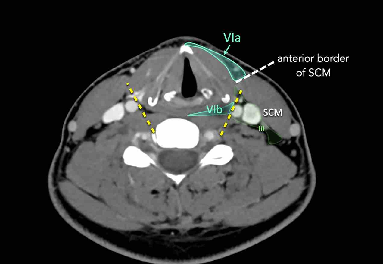
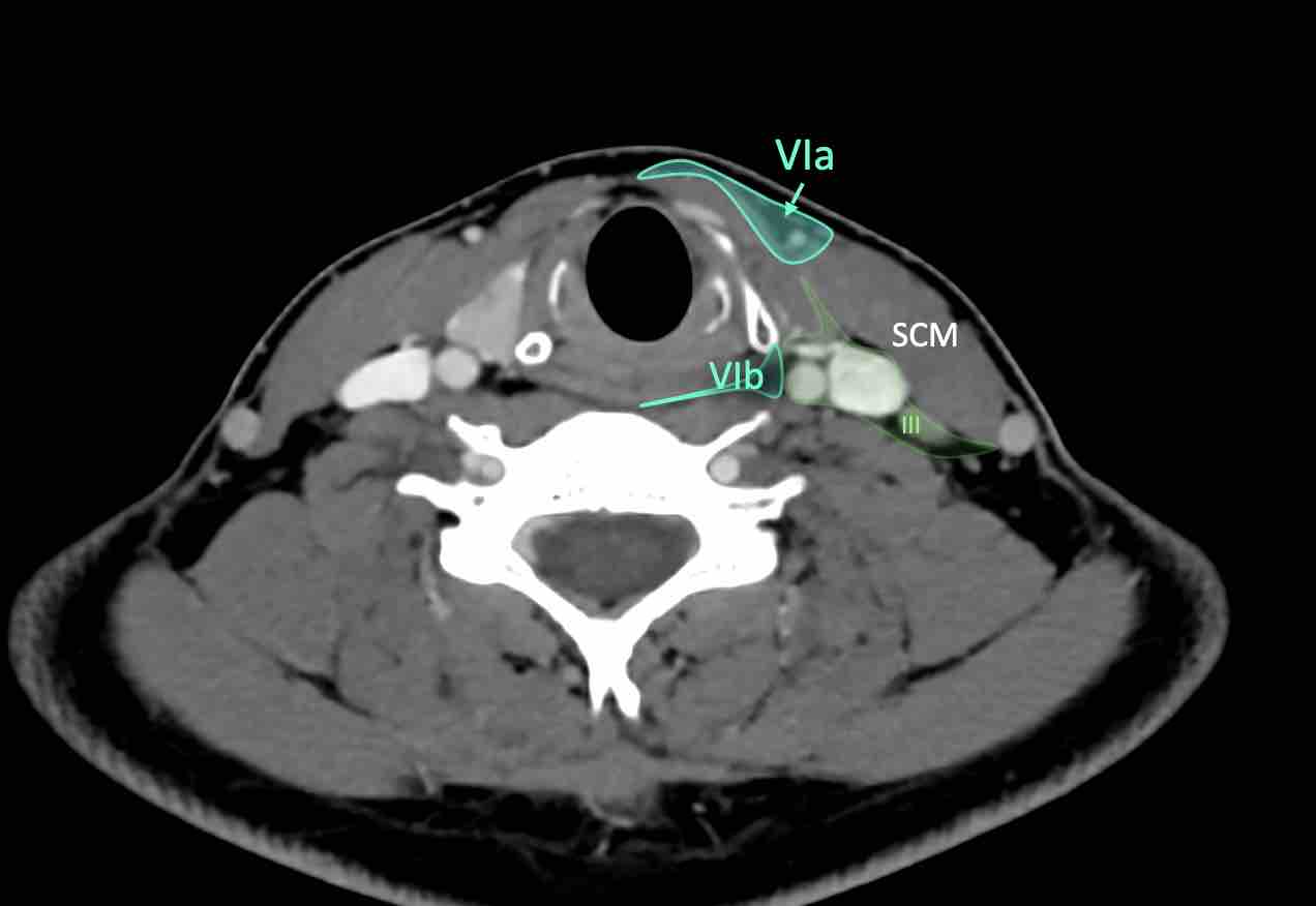
VI – Cổ trước
Tầng này chứa các hạch tĩnh mạch cảnh trước nông (tầng VIa) và các hạch sâu hơn bao gồm hạch trước thanh quản, trước khí quản, cạnh khí quản và hạch thần kinh thanh quản quặt ngược (tầng VIb).




























































































