Xuất huyết nội sọ do chấn thương
Bất kỳ loại chảy máu nào bên trong hộp sọ hoặc não đều là một tình trạng cấp cứu y tế.
Các nguyên nhân xuất huyết phổ biến nhất bao gồm chấn thương, đột quỵ xuất huyết và xuất huyết dưới nhện do vỡ phình động mạch.
Các biến chứng bao gồm tăng áp lực nội sọ do bản thân khối xuất huyết, phù não xung quanh hoặc não úng thủy do tắc nghẽn lưu thông dịch não tủy.
Trong bài viết này, chúng tôi sẽ thảo luận về các xuất huyết do chấn thương.
Các xuất huyết không do chấn thương được thảo luận tại đây.
Nhấn ctrl+ để phóng to hình ảnh và văn bản trên PC hoặc ⌘+ trên Mac.
Hầu hết các hình ảnh có thể được phóng to bằng cách nhấp vào chúng.
Vị trí của xuất huyết
Xuất huyết ngoài trục – Xuất huyết nội sọ ngoài não
- Xuất huyết dưới nhện là chảy máu cấp tính dưới màng nhện. Thường gặp nhất trong trường hợp vỡ phình động mạch hoặc do chấn thương.
- Tụ máu dưới màng cứng là chảy máu giữa lớp trong của màng cứng và màng nhện của màng não. Thường xảy ra do rách chấn thương các tĩnh mạch cầu nối đi qua khoang dưới màng cứng ở những bệnh nhân đang dùng thuốc chống đông máu.
- Tụ máu ngoài màng cứng là chảy máu trong khoang ảo giữa màng cứng và hộp sọ. Gặp trong trường hợp gãy xương thái dương kèm vỡ động mạch màng não giữa.
Xuất huyết trong trục – xuất huyết trong não
- Dập não xuất huyết là các ổ xuất huyết nhỏ sau chấn thương nằm gần hộp sọ tại vùng chấn thương trực tiếp và đối diện, thường gặp nhất ở nền thùy trán và phần trước thùy thái dương. Đôi khi kết hợp với tụ máu dưới màng cứng hoặc xuất huyết dưới nhện.
- Tổn thương sợi trục lan tỏa (DAI). Tổn thương lan tỏa tại vùng ranh giới chất xám – chất trắng, gặp trong các chấn thương tốc độ cao. CT có độ nhạy thấp. Quan sát rõ hơn trên MRI.
Giải phẫu màng não
Màng não là ba lớp màng bao bọc não và tủy sống: màng cứng (dura mater), màng nhện (arachnoid mater) và màng mềm (pia mater).
Dịch não tủy nằm trong khoang dưới nhện, giữa màng nhện và màng mềm.
Màng cứng (Dura mater) là lớp màng não ngoài cùng bao phủ não và tủy sống.
Màng cứng gồm hai lớp: lớp màng não bên trong và lớp màng xương bên ngoài.
Màng nhện (Arachnoid) là một lớp màng có các sợi mảnh kéo dài xuyên qua khoang dưới nhện và bám vào màng mềm.
Hạt nhện – còn gọi là hạt Pacchioni – là các cấu trúc lồi nhỏ của màng nhện xuyên qua lớp màng ngoài của màng cứng vào các xoang tĩnh mạch màng cứng của não, cho phép dịch não tủy thoát khỏi khoang dưới nhện và đi vào hệ tuần hoàn máu.
Màng mềm (Pia mater) là lớp trong cùng bao phủ não.
Màng mềm cho phép các mạch máu đi qua và nuôi dưỡng não.
Màng nhện và màng mềm đôi khi được gọi chung là màng não mềm (leptomeninges).
Xuất huyết do chấn thương
Tụ máu ngoài màng cứng
Tụ máu ngoài màng cứng là tình trạng chảy máu xảy ra giữa màng cứng và hộp sọ.
Thường gặp ở trẻ em bị chấn thương đầu kèm gãy xương thái dương, dẫn đến rách động mạch màng não giữa.
Về lý thuyết, tụ máu ngoài màng cứng có thể vượt qua đường giữa vì nó nằm giữa màng cứng và hộp sọ.
Tuy nhiên, do màng cứng bám chặt vào xương sọ lân cận tại các đường khớp sọ, tụ máu ngoài màng cứng thường không vượt qua các đường khớp này.
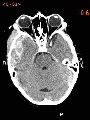
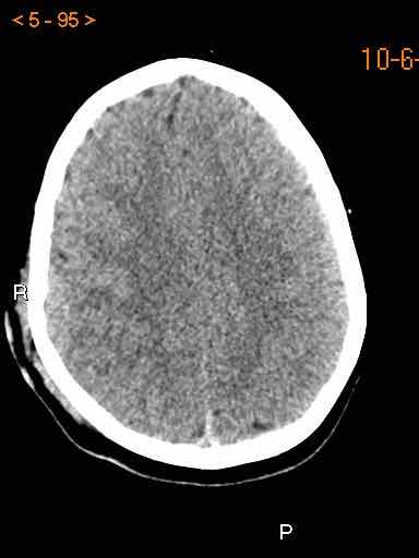
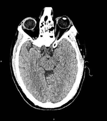
Bé trai 11 tuổi ngã khỏi xe đạp, có thể do cơn co giật động kinh.
Bé đập đầu vào lề đường.
Mức độ ý thức giảm với điểm EMV là 2-4-3.
Bệnh nhân biểu hiện nhịp tim chậm, tăng huyết áp, tư thế bất thường và đồng tử phải giãn không phản xạ ánh sáng — tất cả đều là dấu hiệu của thoát vị não và tăng áp lực nội sọ.
Hình ảnh CT
- Ghi nhận khối xuất huyết hình thấu kính vùng thái dương-đỉnh
- Khối xuất huyết bị giới hạn bởi các đường khớp sọ
- Gãy xương sọ kèm theo
- Dấu hiệu xoáy (swirl sign) cho thấy sự thoát mạch của máu vào trong khối tụ máu. Dấu hiệu này đại diện cho máu tươi chưa đông (giảm tỷ trọng) bao quanh bởi máu đã đông (tăng tỷ trọng hơn).
- Thoát vị dưới liềm não theo chiều ngang và thoát vị móc hải mã.
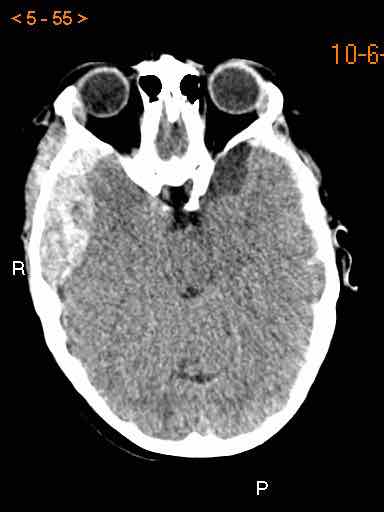
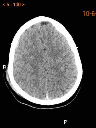
Bệnh nhân sau đó được phẫu thuật mở hộp sọ và động mạch màng não giữa bị rách đã được đốt cầm máu.
Kết quả lâm sàng tốt.
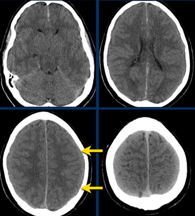
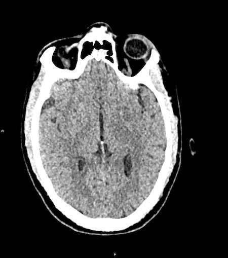
Tụ máu dưới màng cứng
Tụ máu dưới màng cứng là tình trạng tích tụ máu giữa lớp trong của màng cứng và màng nhện.
Tổn thương này không thể vượt qua đường giữa, nhưng có thể lan đến các nếp gấp màng cứng như liềm não hoặc lều tiểu não.
Tụ máu dưới màng cứng thường do vỡ các tĩnh mạch cầu nối vỏ não.
Thường xảy ra trong chấn thương đầu, đặc biệt ở những bệnh nhân đang điều trị bằng thuốc chống đông máu.
Hay gặp nhất ở người cao tuổi và người nghiện rượu có teo não.
Trong teo não, các cấu trúc tĩnh mạch dưới màng cứng không được “chèn ép” chặt vào hộp sọ, tạo ra nhiều khoảng trống hơn để di chuyển và dễ bị rách hơn.
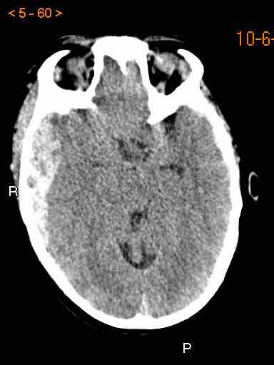
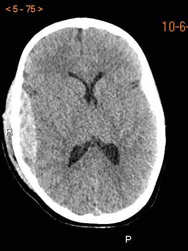
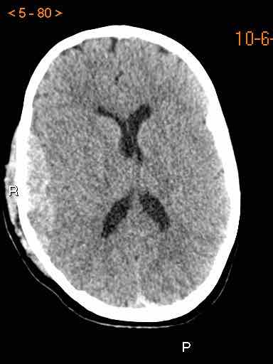
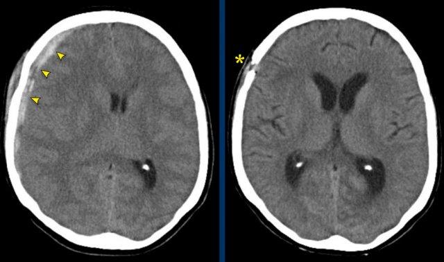
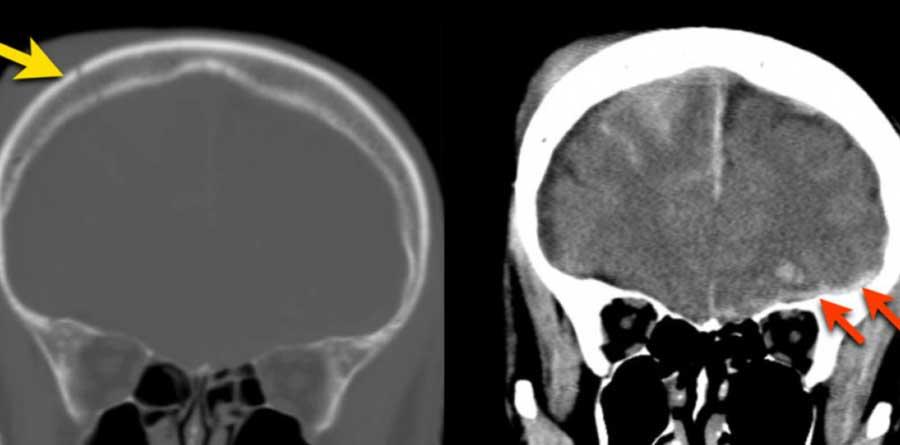
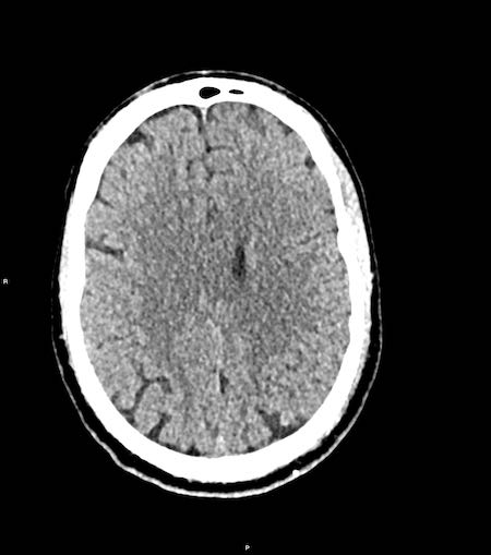
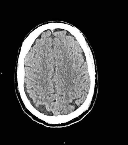
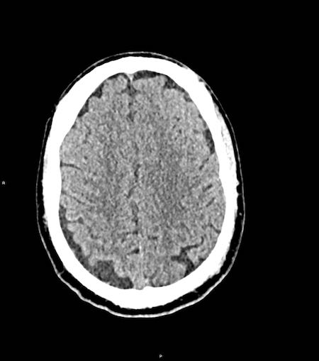
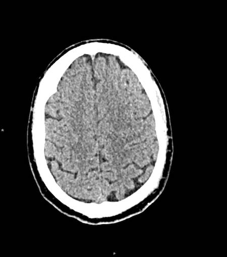
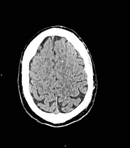
Bệnh nhân này có tụ máu dưới màng cứng cấp tính.
Có sự dịch chuyển đường giữa (hình bên trái).
Bệnh nhân đã được phẫu thuật và khối tụ máu được dẫn lưu (hình bên phải).
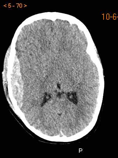
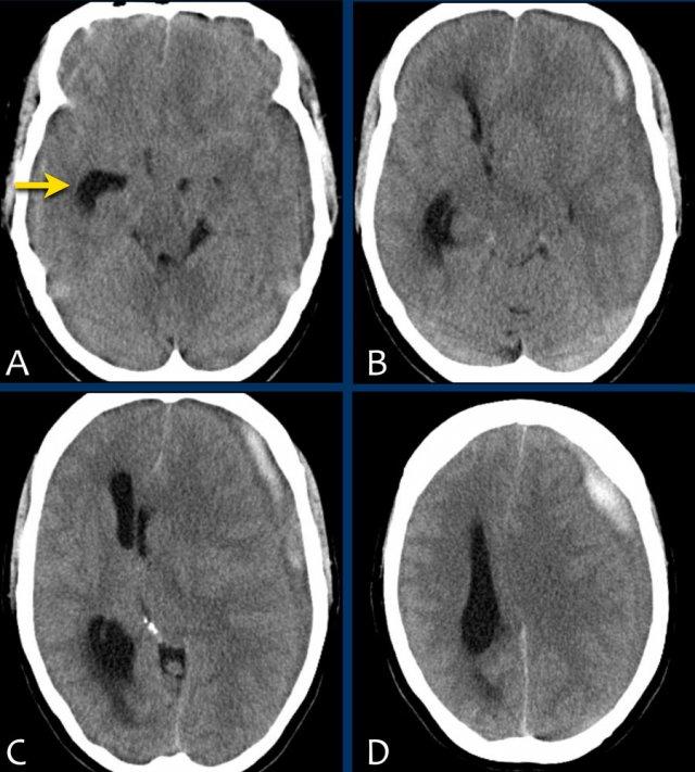
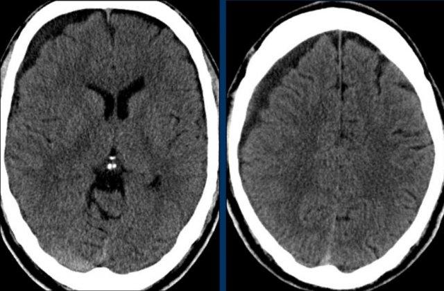
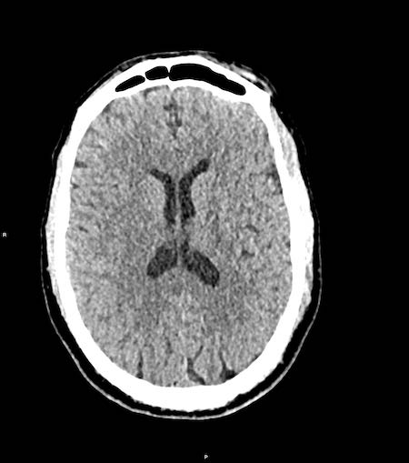
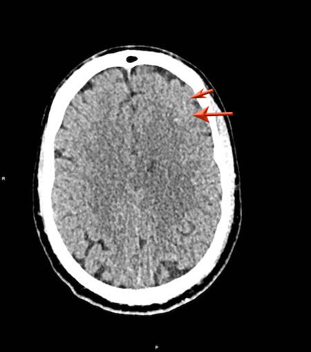
Các hình ảnh cho thấy tụ máu dưới màng cứng.
Lưu ý rằng khối tụ máu có cả vùng tăng tỷ trọng và đồng tỷ trọng.
Hình ảnh này có thể gặp trong chảy máu siêu cấp tính, nhưng cũng có thể gặp trong trường hợp chảy máu tái phát.
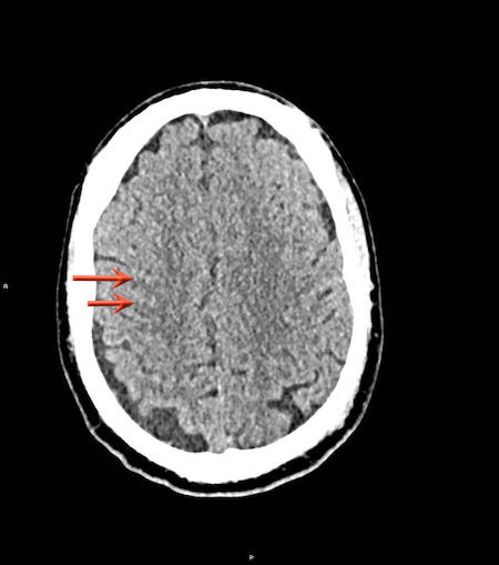
Có sự dịch chuyển các cấu trúc đường giữa kèm tắc nghẽn lưu thông dịch não tủy, dẫn đến giãn sừng thái dương của não thất bên phải (mũi tên).
Tụ máu dưới màng cứng cấp tính có tỷ trọng cao (máu đã đông), tụ máu bán cấp có đồng tỷ trọng, và tụ máu dưới màng cứng mạn tính có giảm tỷ trọng so với nhu mô não (đồng tỷ trọng với dịch não tủy).
Dấu hiệu chảy máu đang hoạt động
Trong giai đoạn cấp tính, tụ máu dưới màng cứng có thể có hình ảnh không đồng nhất do sự pha trộn của các thành phần xuất huyết: máu tươi chưa đông chảy vào (giảm tỷ trọng) và máu đã đông (tăng tỷ trọng).
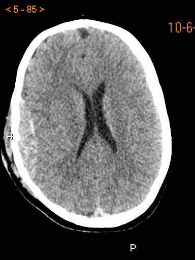
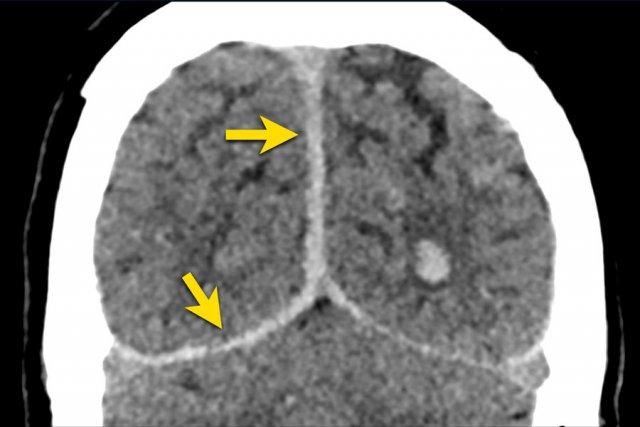
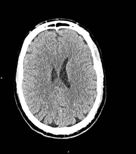
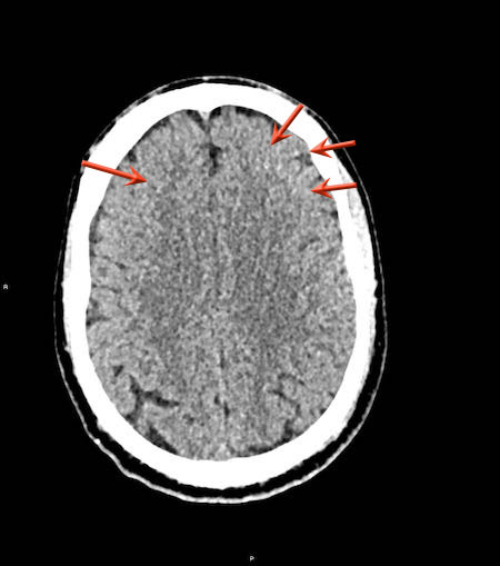
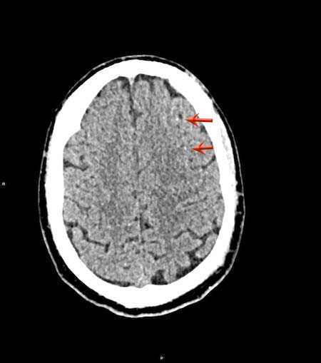
Tụ máu dưới màng cứng đồng tỷ trọng
Khi tụ máu dưới màng cứng tiến triển theo thời gian, tỷ trọng của khối tụ máu sẽ giảm dần và có thể tương đương với tỷ trọng của nhu mô não, khiến việc phát hiện tổn thương trở nên khó khăn.
Đây là trường hợp tụ máu dưới màng cứng đồng tỷ trọng rất khó phát hiện (các mũi tên).
Lưu ý rằng ở mức cắt cao hơn có tụ máu dưới màng cứng hai bên.
Trong một số ít trường hợp, tụ máu dưới màng cứng cấp tính có thể đồng tỷ trọng với nhu mô não.
Điều này gặp ở bệnh nhân thiếu máu nặng, đông máu nội mạch lan tỏa, hoặc khi khối tụ máu bị pha loãng bởi dịch não tủy (tài liệu tham khảo).
Khi tụ máu dưới màng cứng mạn tính (> 21 ngày) trở nên giảm tỷ trọng so với nhu mô não và đồng tỷ trọng với dịch não tủy, hình ảnh có thể giống với hygroma.
Hygroma là hậu quả của rách chấn thương lớp màng nhện, gây rò rỉ dịch não tủy vào khoang dưới màng cứng.
Tụ máu dưới màng cứng có thể lan dọc theo liềm não và lều tiểu não như trong trường hợp này.
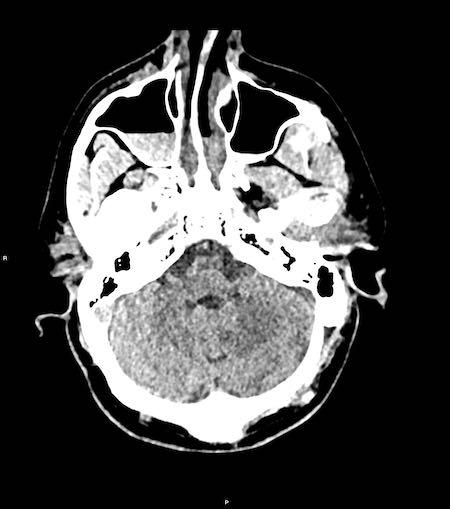
Xuất huyết dưới nhện
Các hình ảnh cho thấy máu tăng tỷ trọng trong khoang dưới nhện của rãnh Sylvius (mũi tên vàng).
Lưu ý xuất huyết dưới da đầu vùng chẩm phải (mũi tên xanh).
Đây là dạng tổn thương chấn thương kiểu coup-contrecoup.
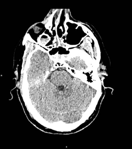
Đây là một trường hợp chấn thương kiểu coup-contrecoup khác với các xuất huyết dập não và tụ máu dưới màng cứng ở thùy trán trái gần nền sọ (mũi tên đỏ).
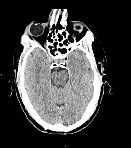
Có xuất huyết dưới nhện bên phải kèm gãy xương đỉnh (mũi tên vàng).
Tổn thương sợi trục lan tỏa
Chấn thương năng lượng cao với lực gia tốc-giảm tốc, đặc biệt là gia tốc xoay, có thể gây kéo căng và biến dạng mô não, dẫn đến tổn thương sợi trục lan tỏa (DAI).
CT có độ nhạy thấp trong phát hiện DAI.
Trong chấn thương sọ não kín không có xuất huyết dưới nhện do chấn thương hoặc xuất huyết não thất, DAI ít có khả năng xảy ra.
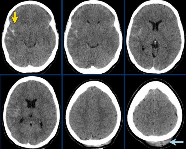
Bệnh nhân nam 46 tuổi bị chấn thương năng lượng cao khi đi xe máy.
Điểm EMV ban đầu là 2-5-3 và đồng tử hai bên giãn không phản xạ ánh sáng.
Hình ảnh CT
- Xuất huyết dạng chấm ở cả hai thùy trán.
- Gãy xương Le Fort II hai bên.
Tiếp tục xem các hình ảnh MRI…
</article>














































