Bản đồ hạch lympho trung thất
Đây là bản cập nhật của bài viết năm 2007, trong đó sử dụng phân loại hạch bạch huyết theo vùng của Mountain-Dresler để phân giai đoạn ung thư phổi (bản đồ MD-ATS)(1).
Năm 2009, Hiệp hội Quốc tế Nghiên cứu Ung thư Phổi (IASLC) đã đề xuất một bản đồ hạch bạch huyết mới trong ung thư phổi nhằm dung hòa sự khác biệt giữa bản đồ Naruke và bản đồ MD-ATS, đồng thời làm rõ hơn các định nghĩa về ranh giới giải phẫu của từng trạm hạch bạch huyết (2).
Trong bài viết này, chúng tôi cung cấp các hình minh họa và hình ảnh CT để giúp hiểu rõ hơn về bản đồ hạch bạch huyết theo IASLC.
Bản đồ hạch bạch huyết IASLC 2009

Phân loại hạch bạch huyết vùng trong phân giai đoạn ung thư phổi, được điều chỉnh từ sơ đồ phân vùng của Hội Lồng ngực Hoa Kỳ
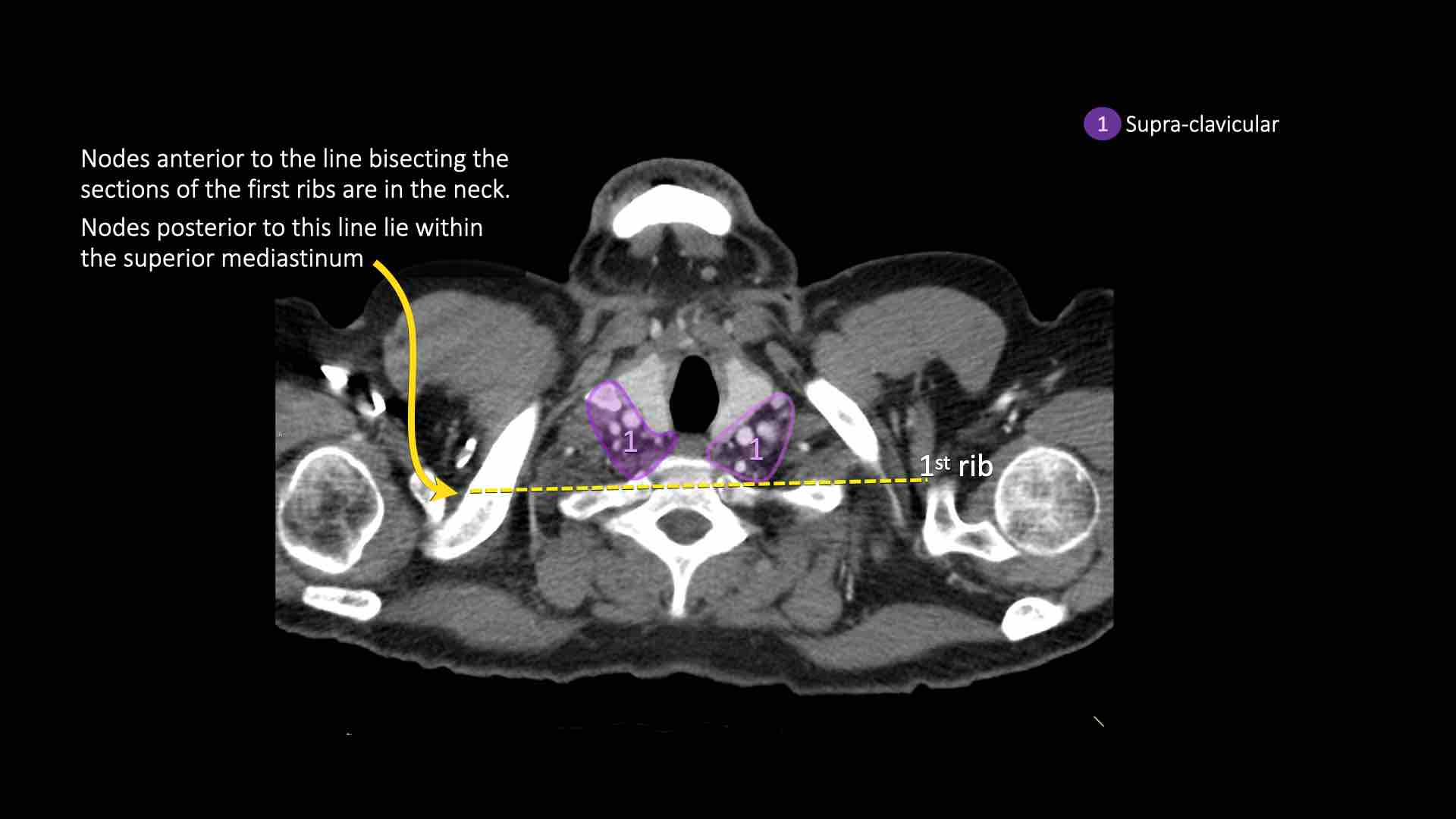
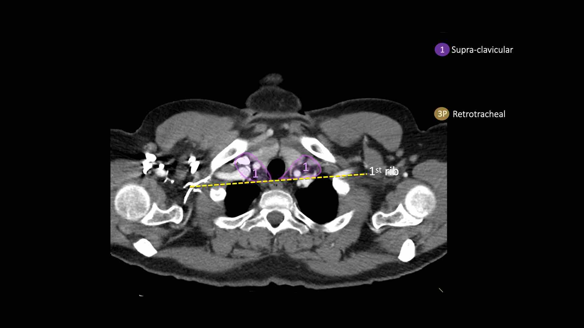
Hạch thượng đòn
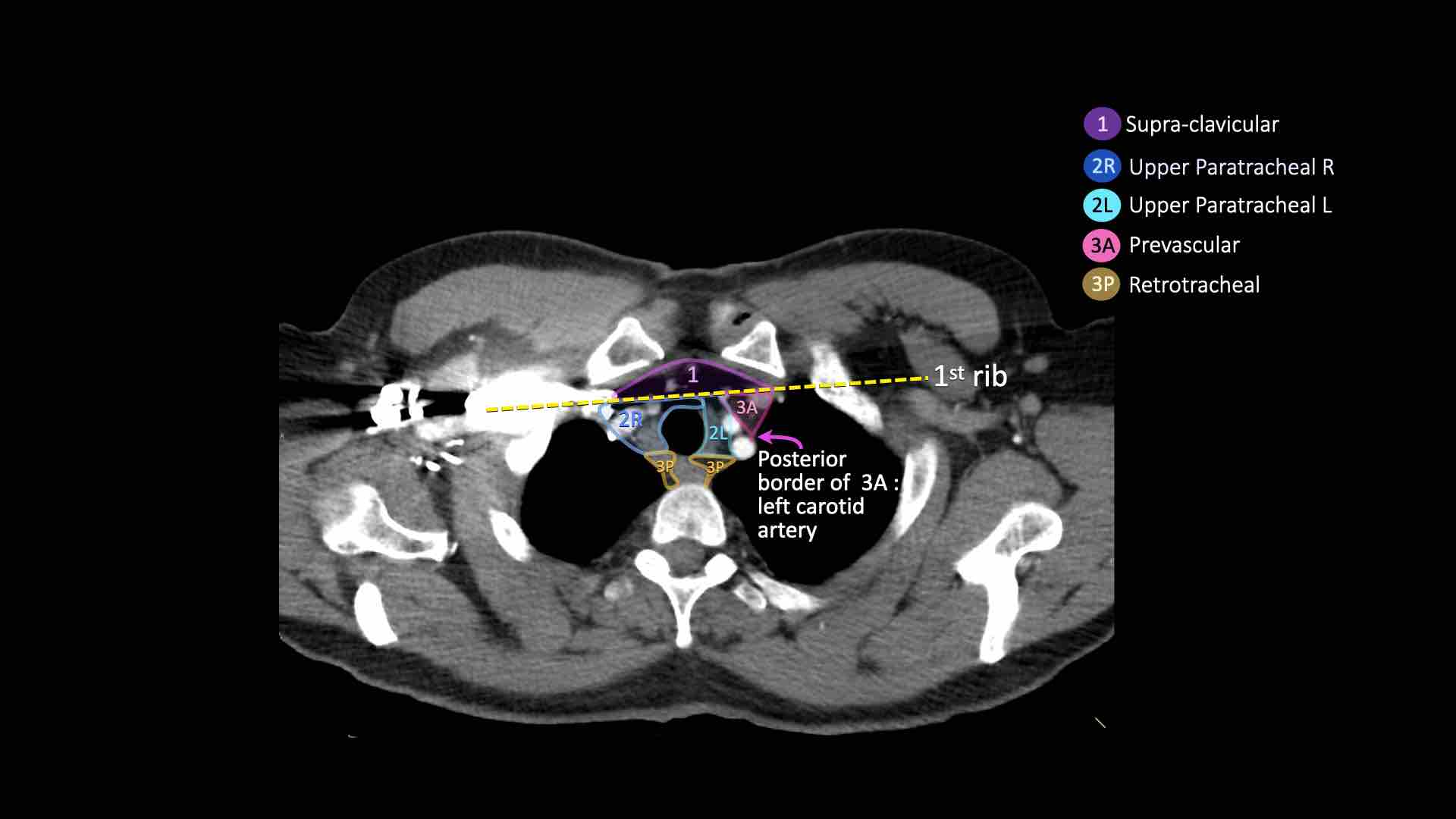
1.Hạch cổ thấp, thượng đòn và hõm ức
Từ bờ dưới sụn nhẫn đến xương đòn và bờ trên của cán ức.
Đường giữa khí quản là ranh giới phân chia giữa nhóm 1R và 1L.
Hạch Trung thất Trên nhóm 2-4
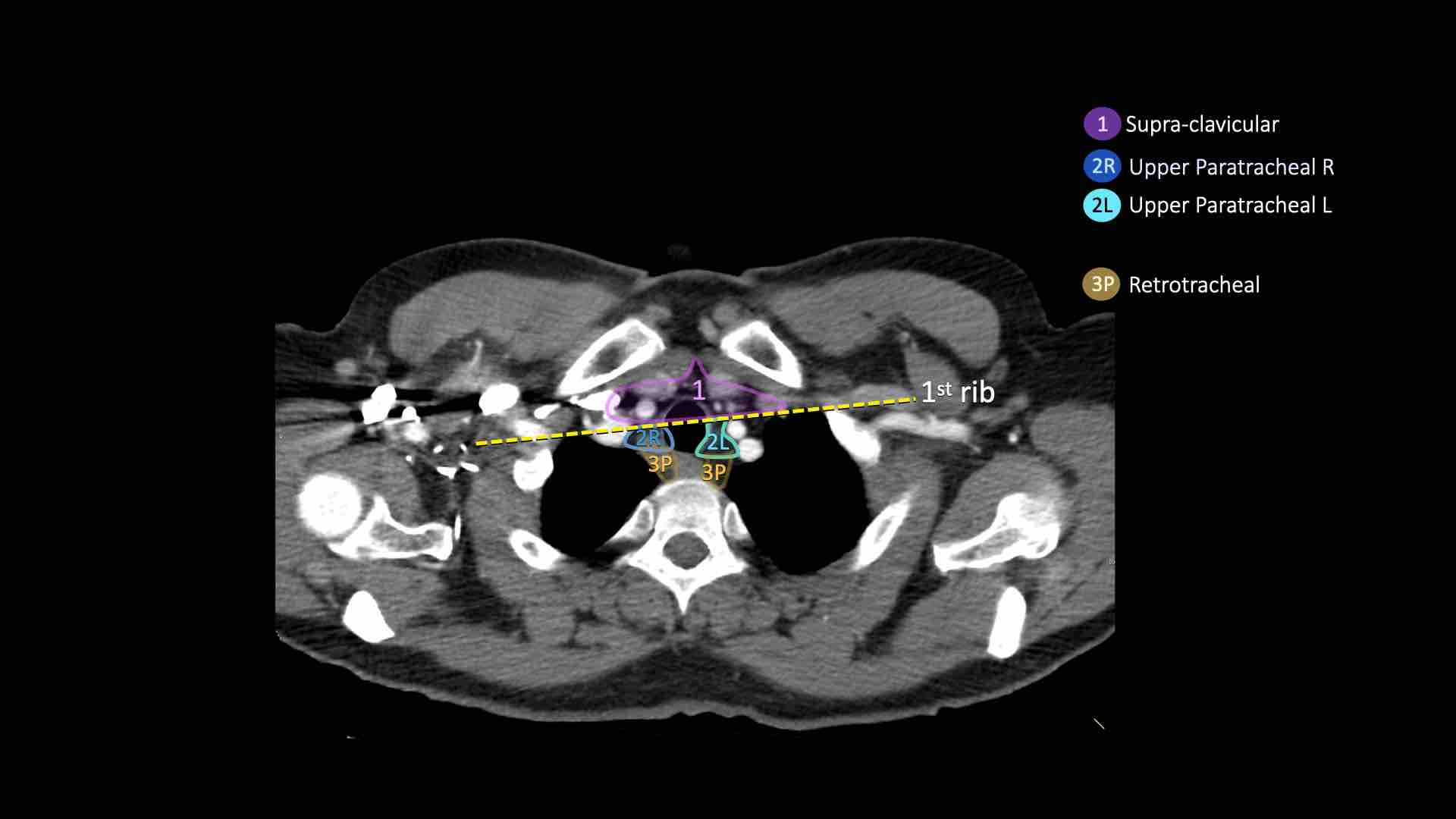
2R.Cạnh khí quản trên
Hạch nhóm 2R trải dài đến bờ bên trái của khí quản.
Từ bờ trên của cán ức đến điểm giao nhau giữa bờ dưới tĩnh mạch vô danh (tĩnh mạch tay đầu trái) với khí quản.
2L.Cạnh khí quản trên
Từ bờ trên của cán ức đến bờ trên của quai động mạch chủ.
Hạch nhóm 2L nằm ở phía trái của bờ bên trái khí quản.
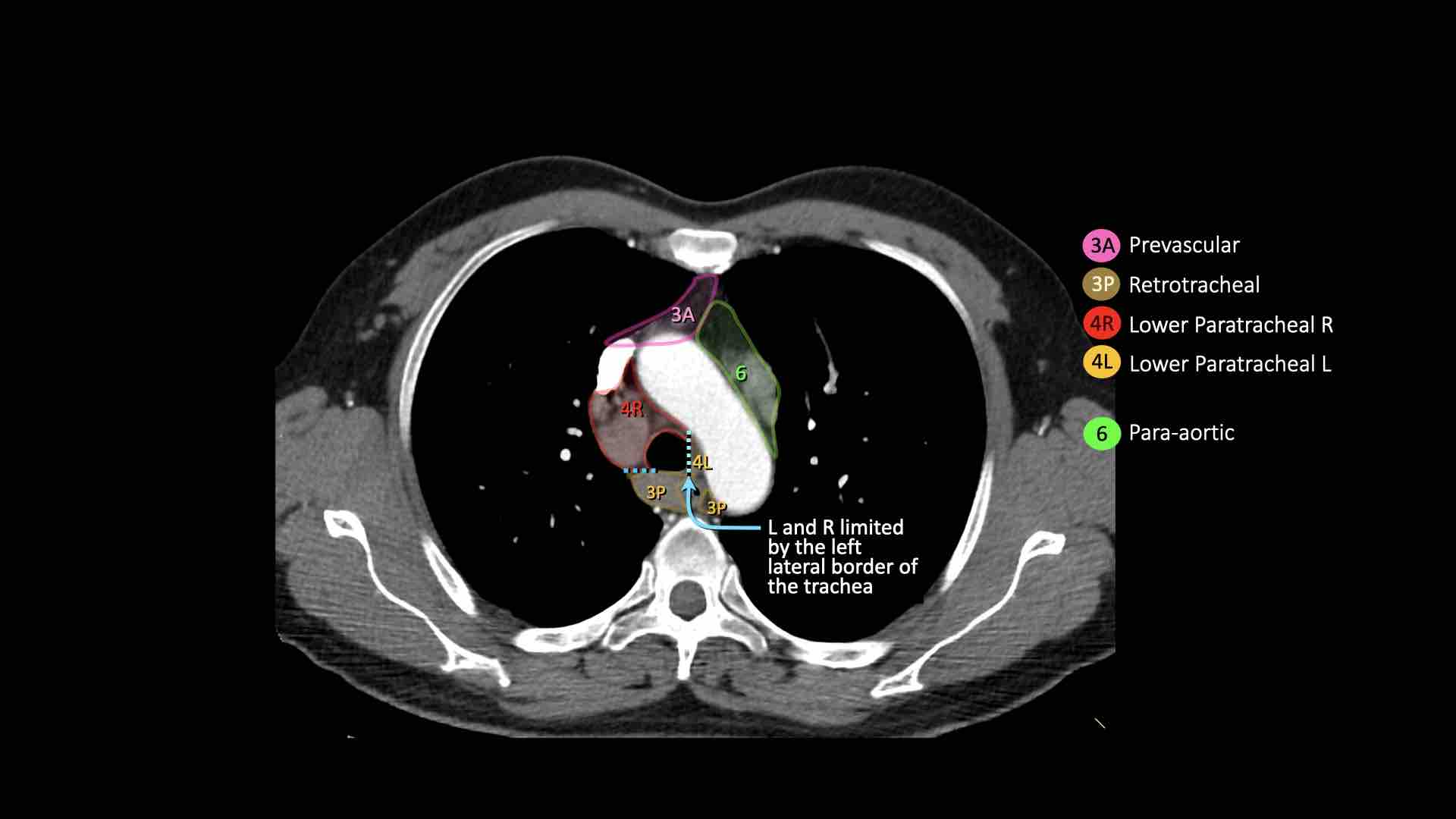
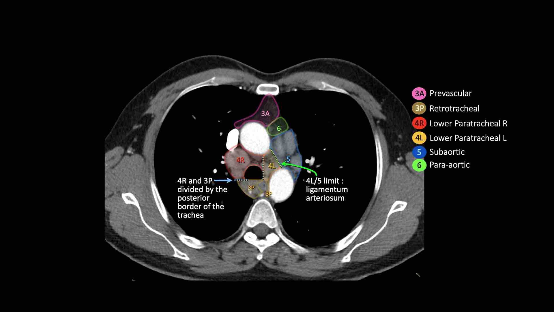
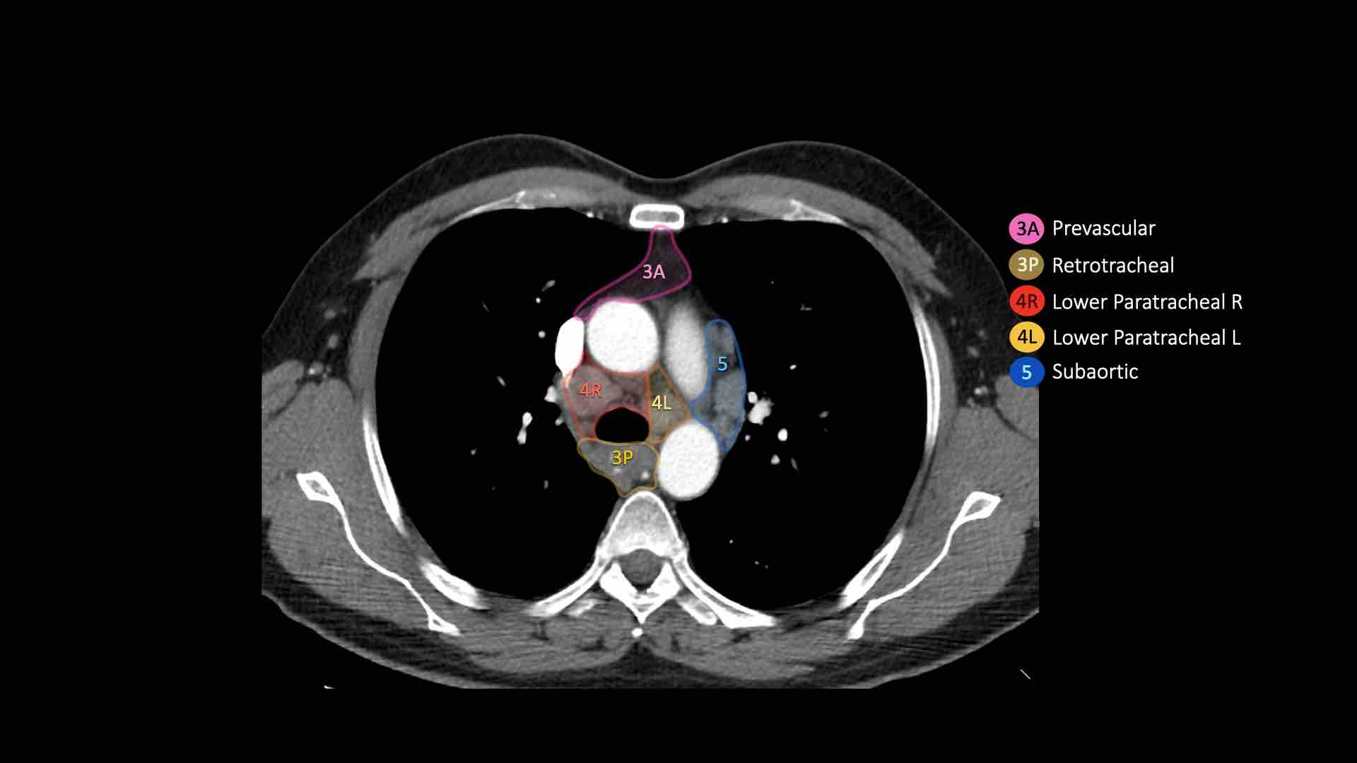
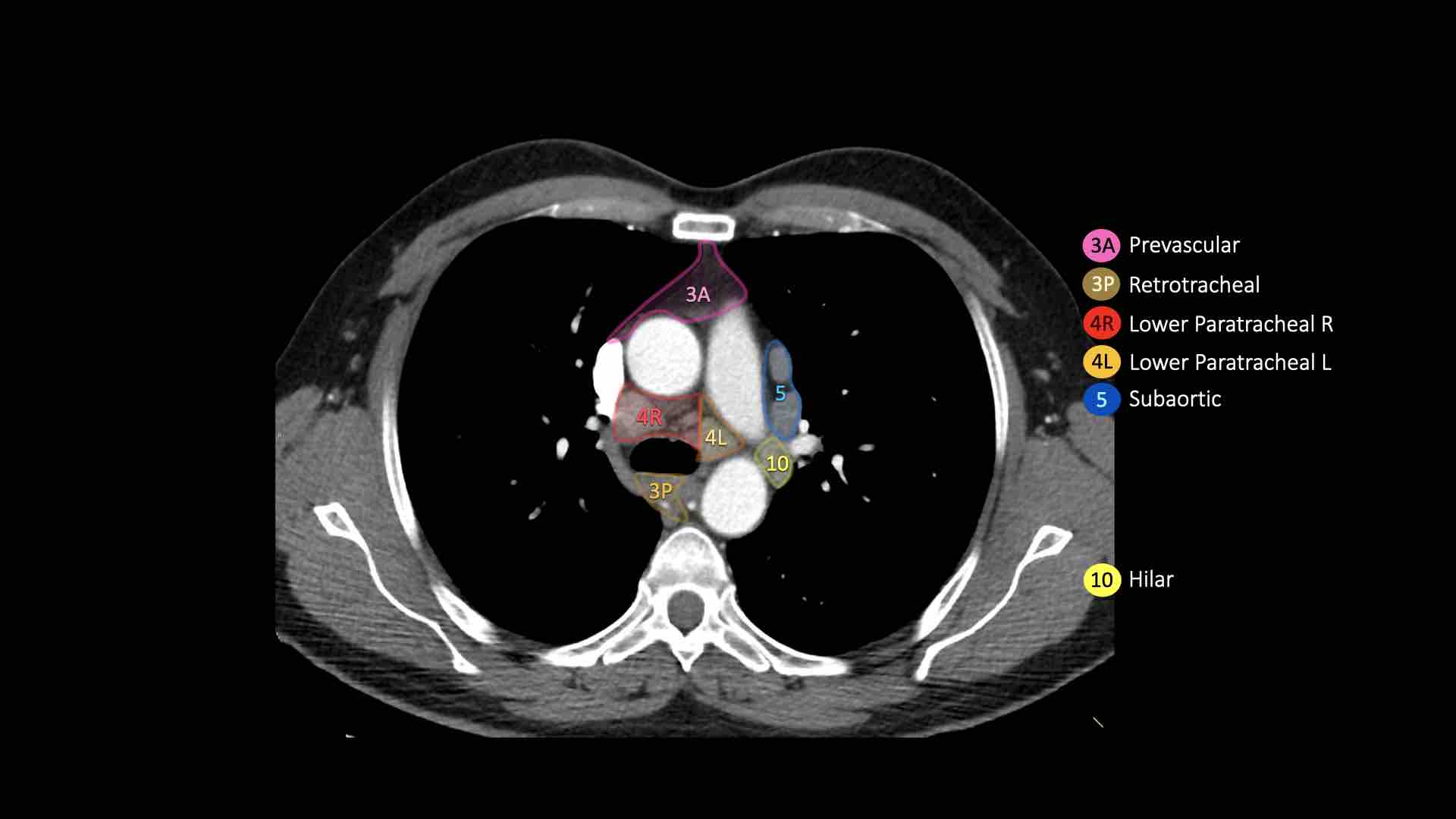
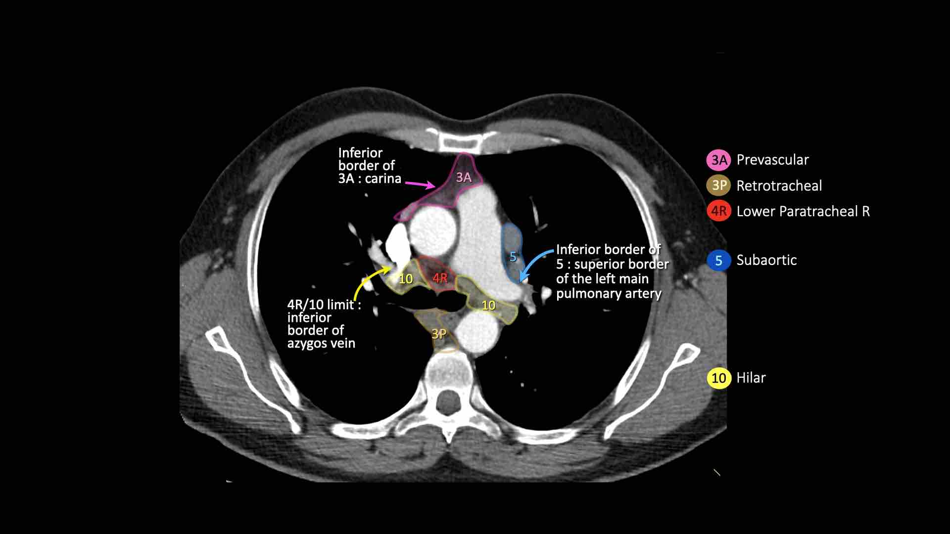
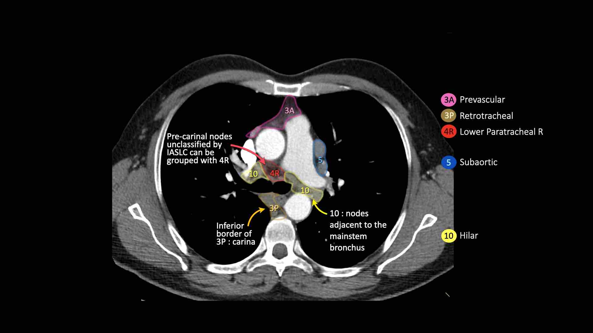
3A.Trước mạch máu
Các hạch này không tiếp giáp với khí quản như các hạch ở nhóm 2, mà nằm ở phía trước các mạch máu.
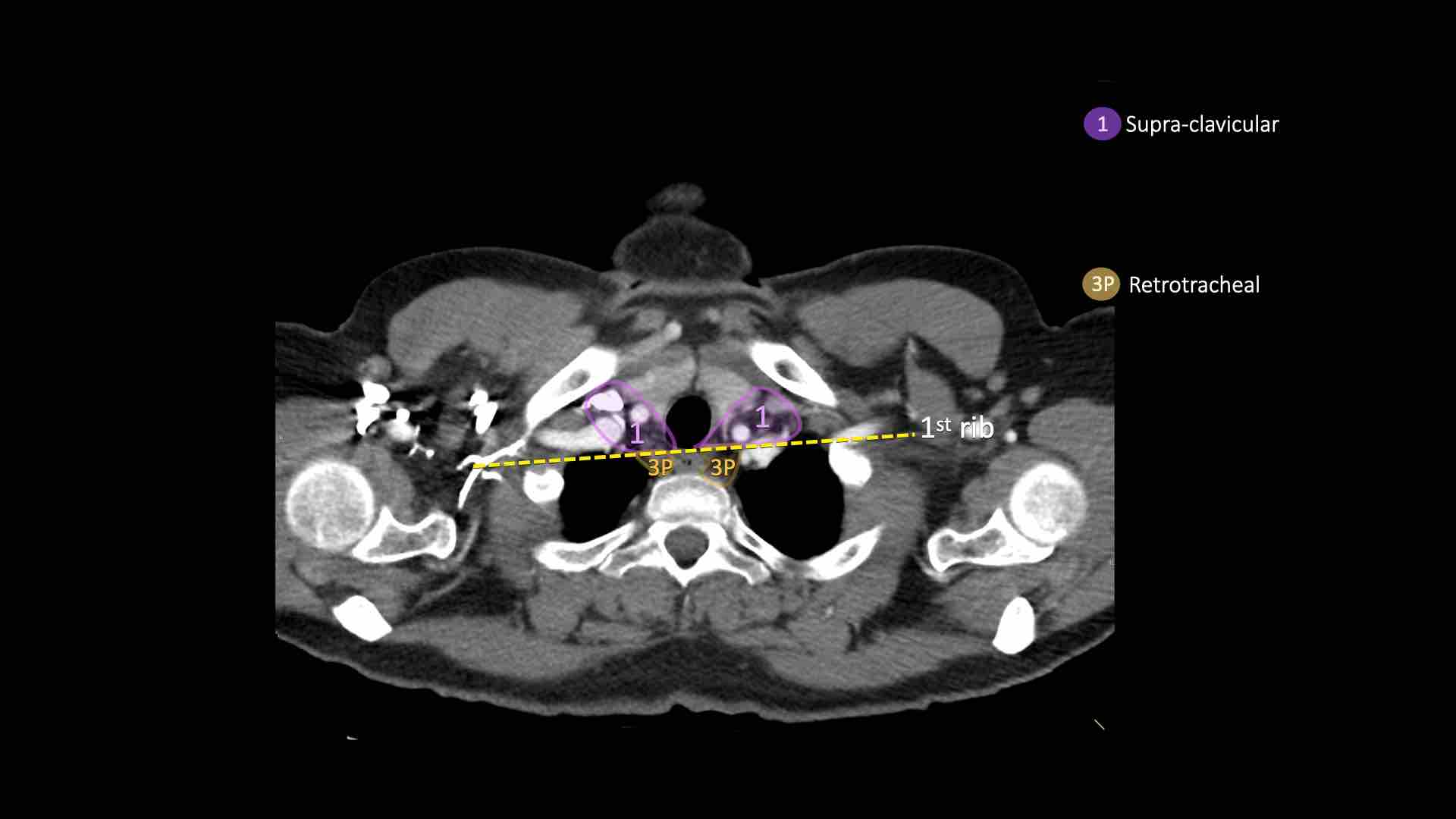
3P.Trước cột sống
Các hạch không tiếp giáp với khí quản như các hạch ở nhóm 2, mà nằm sau thực quản, tức là ở vị trí trước cột sống.
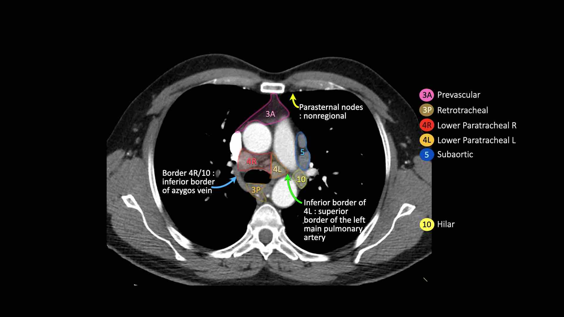
4R.Cạnh khí quản dưới
Từ điểm giao nhau giữa bờ dưới tĩnh mạch vô danh (tĩnh mạch tay đầu trái) với khí quản đến bờ dưới tĩnh mạch đơn.
Hạch nhóm 4R trải dài từ bờ bên phải đến bờ bên trái của khí quản.
4L.Cạnh khí quản dưới
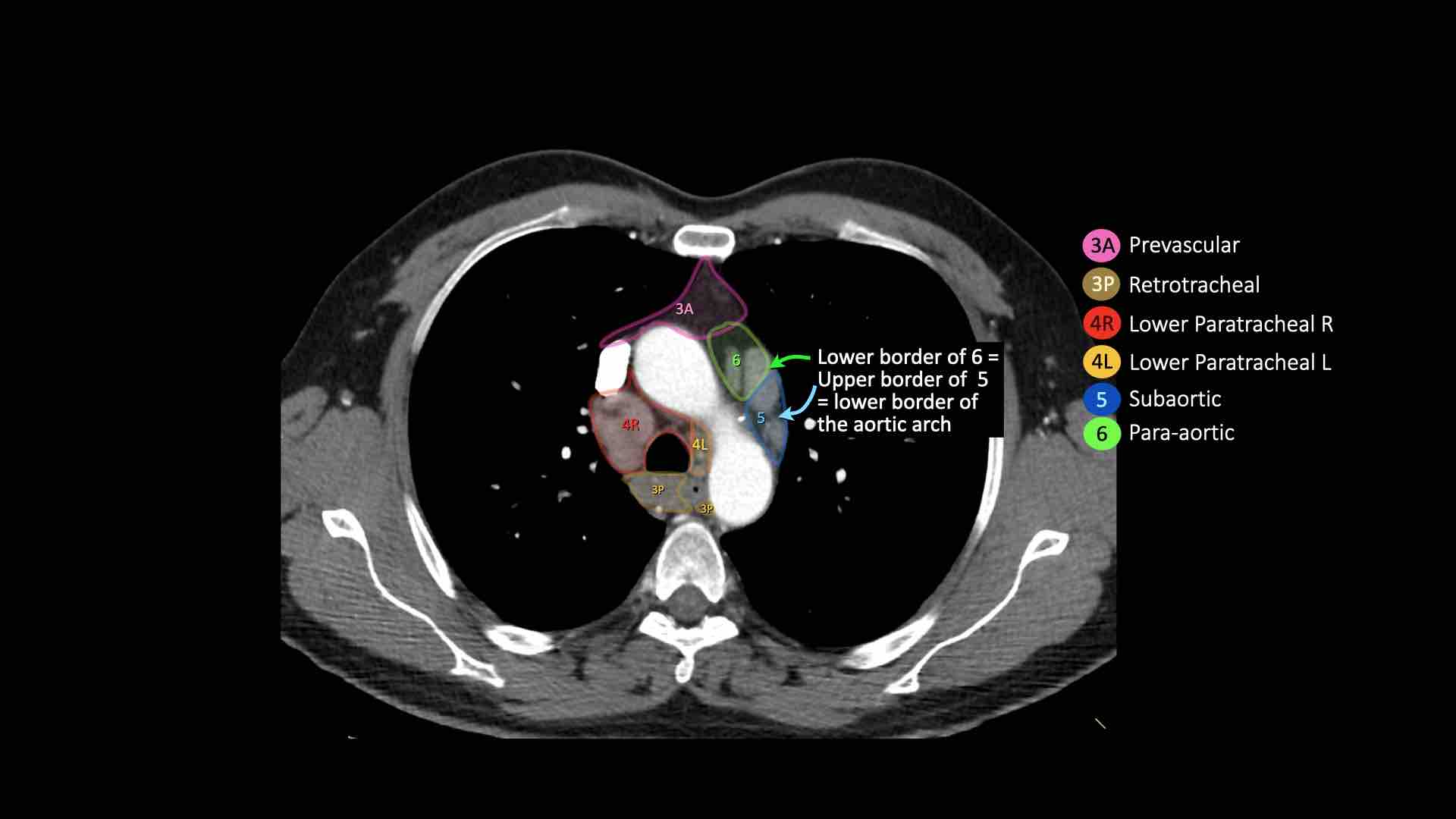
Từ bờ trên của quai động mạch chủ đến bờ trên của động mạch phổi trái.
Hạch động mạch chủ nhóm 5-6
5. Dưới động mạch chủ
Các hạch này nằm trong cửa sổ phế động mạch (AP window), ở phía ngoài dây chằng động mạch.
Các hạch này không nằm giữa động mạch chủ và thân động mạch phổi mà nằm ở phía ngoài các mạch máu này.
6. Cạnh động mạch chủ
Đây là các hạch của động mạch chủ lên hoặc hạch cơ hoành, nằm ở phía trước và bên của động mạch chủ lên và quai động mạch chủ.
Hạch Trung thất Dưới nhóm 7-9
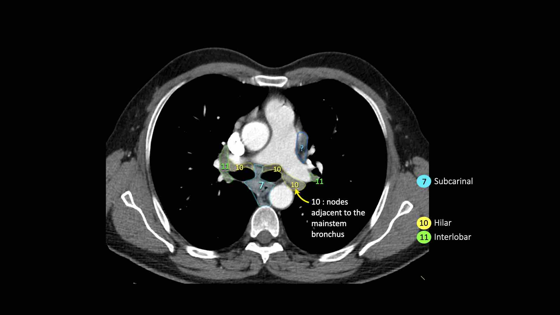
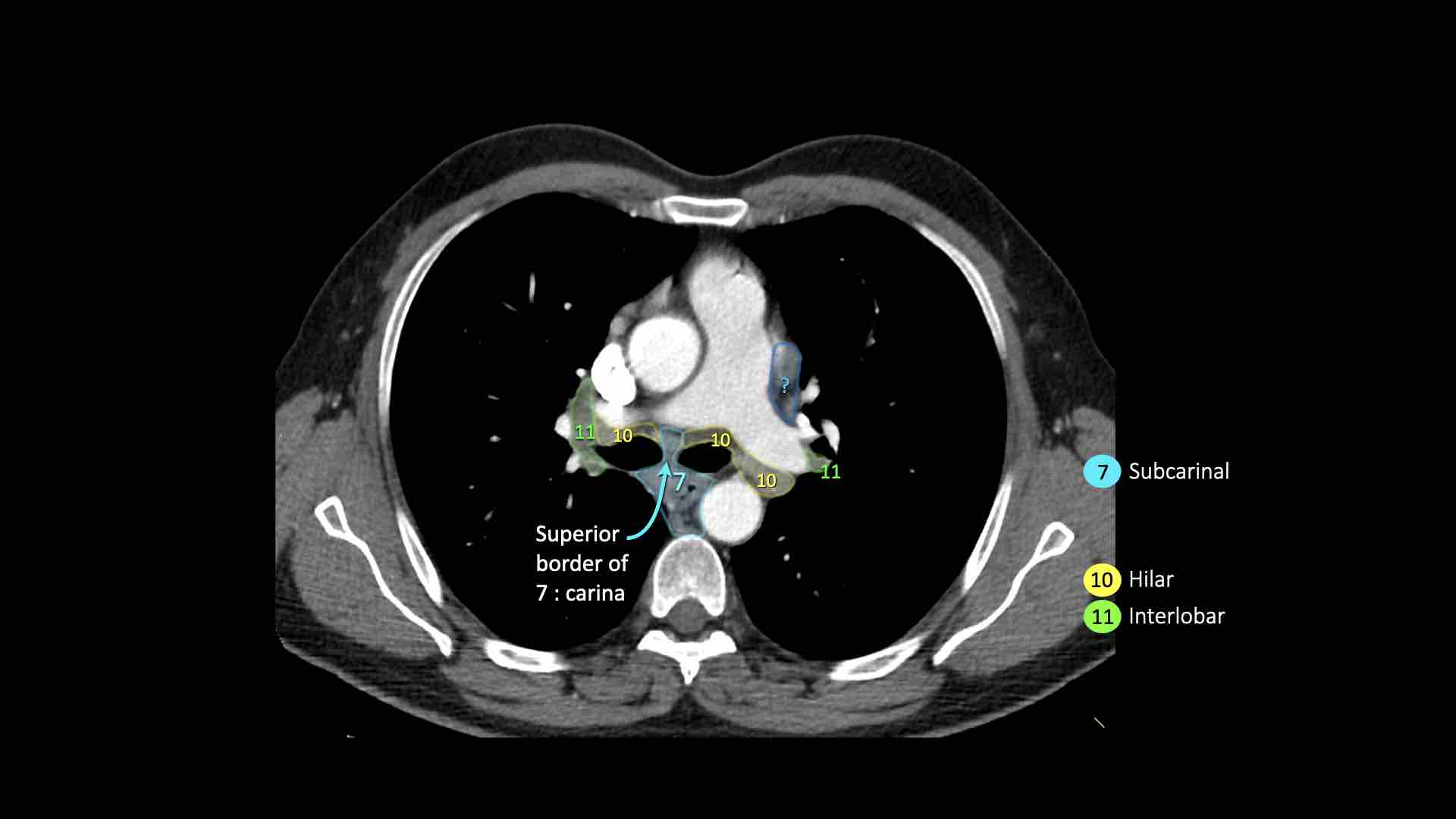
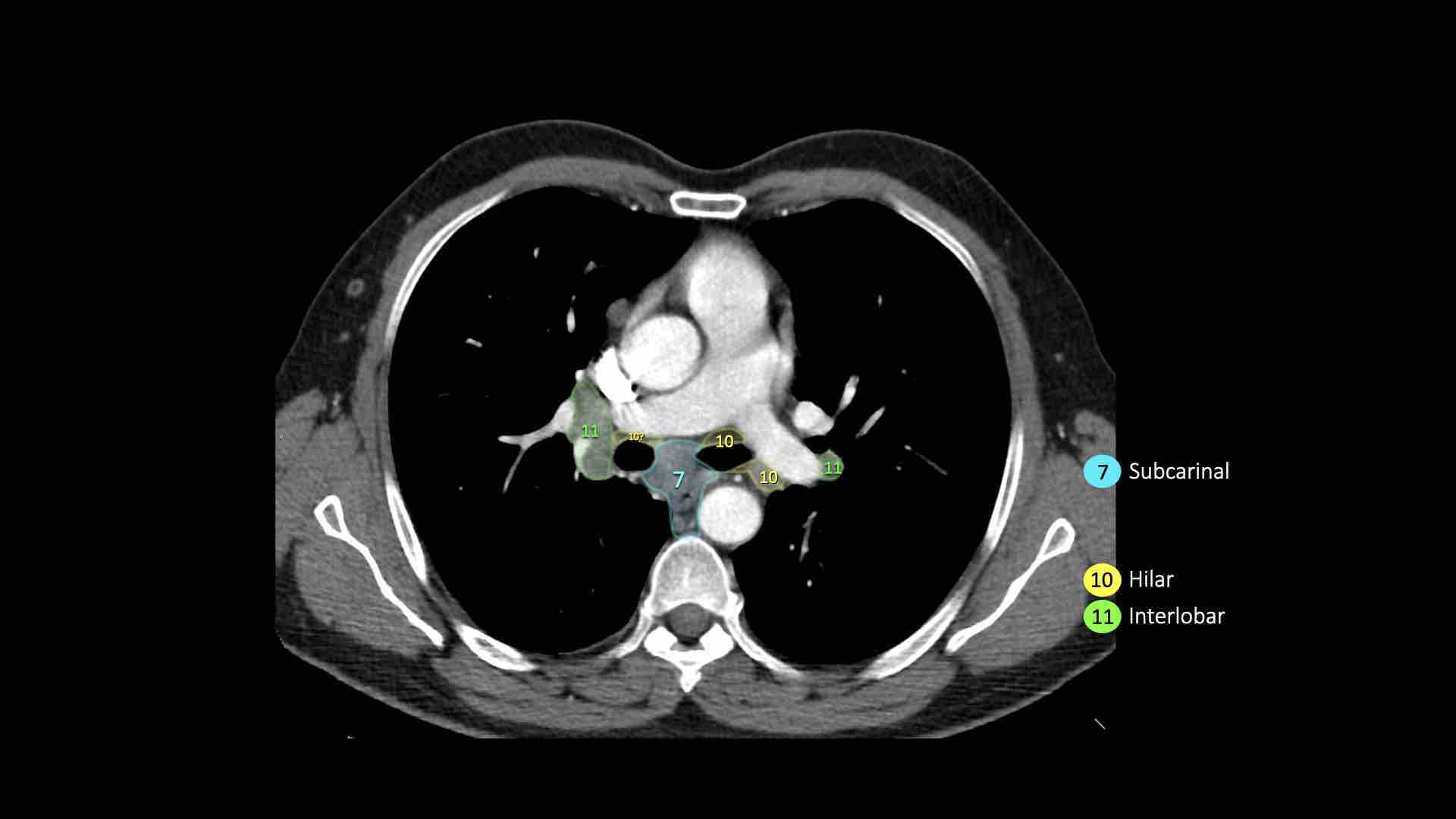
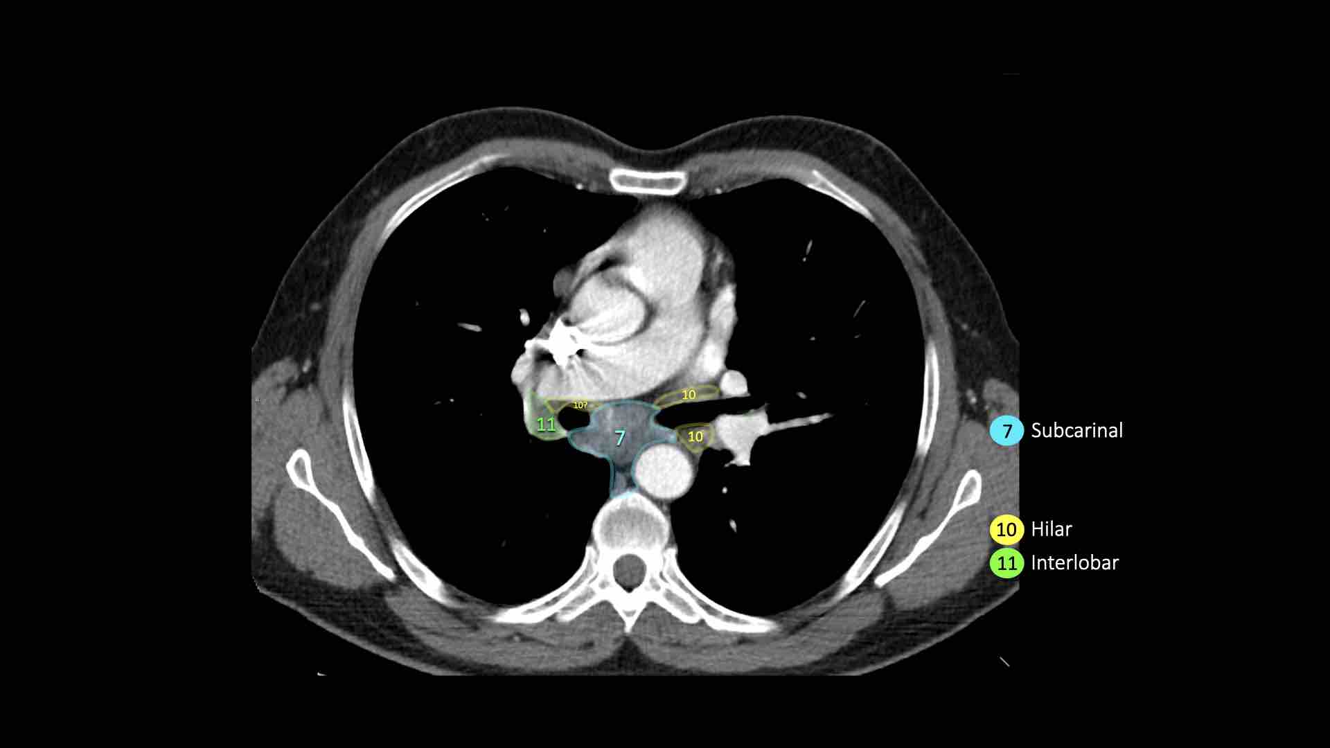
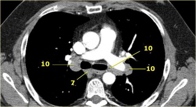
7.Dưới carina
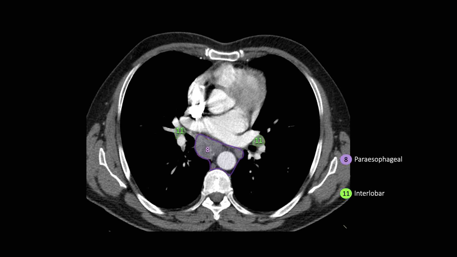
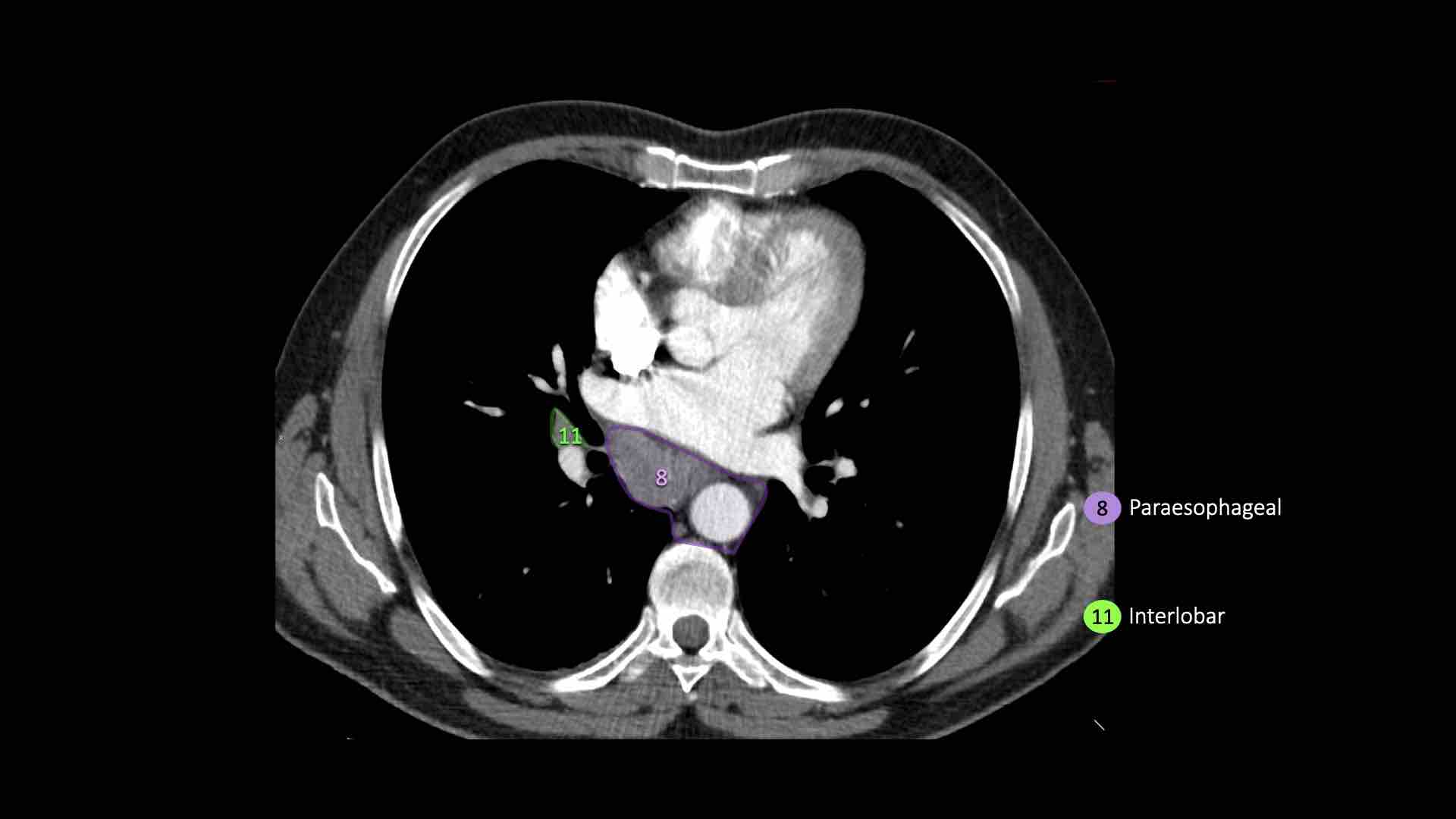
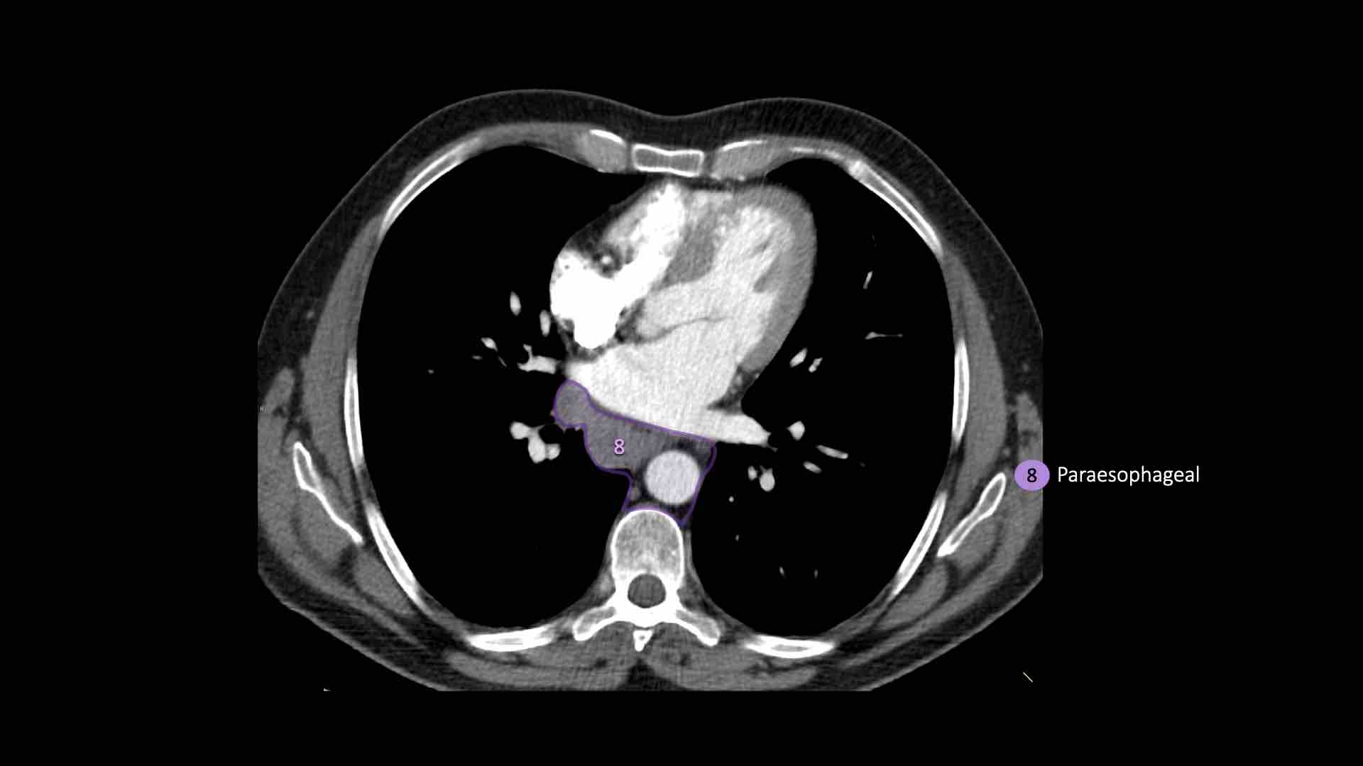
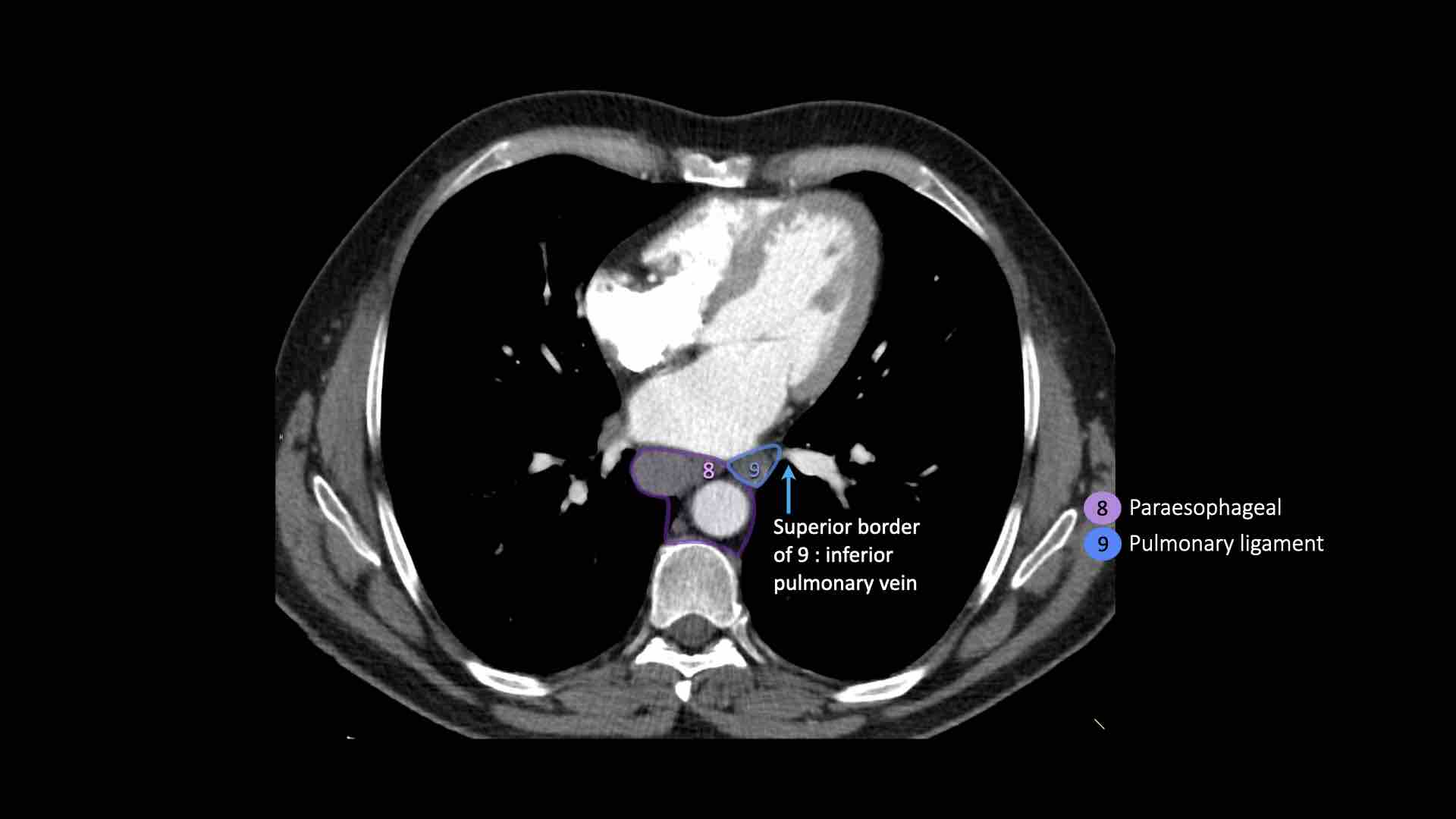
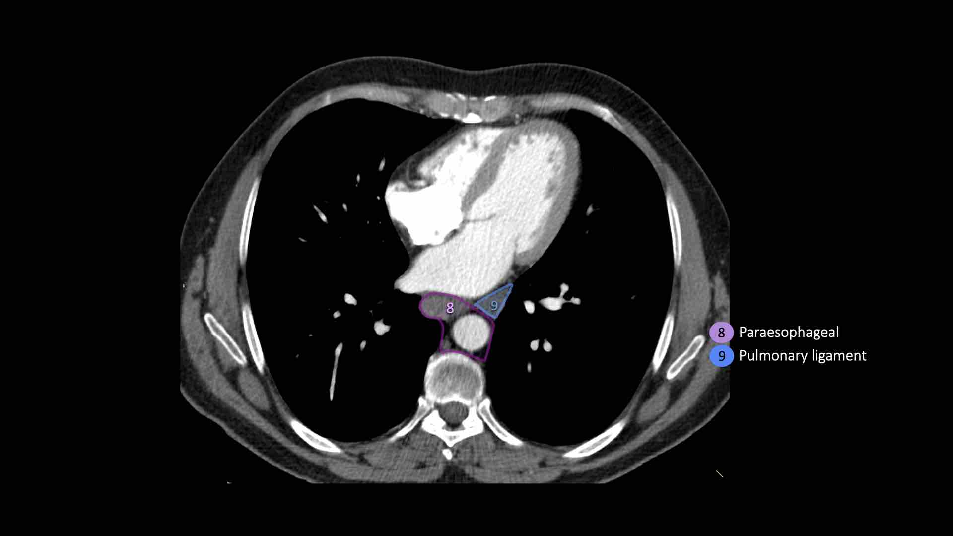
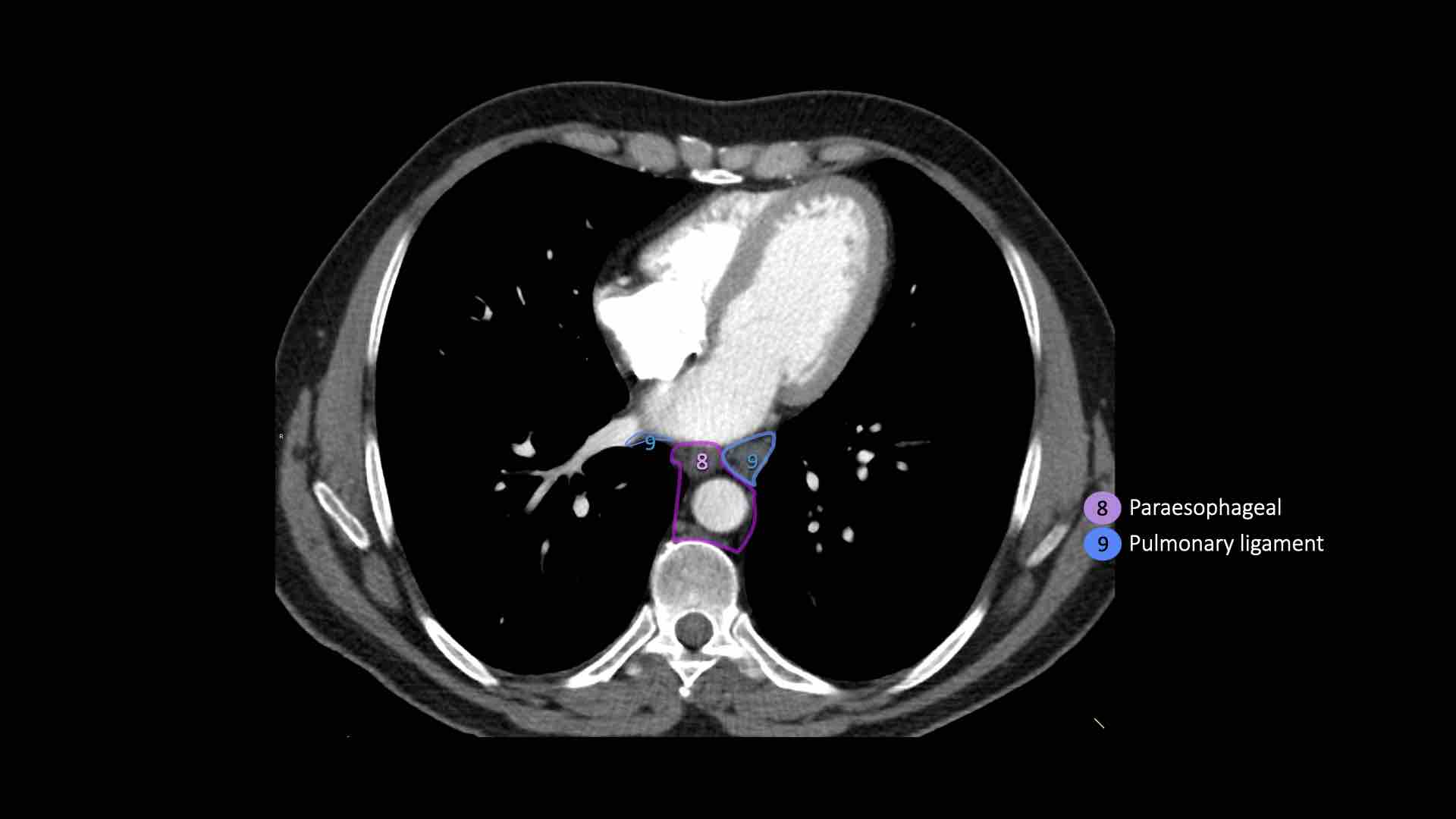
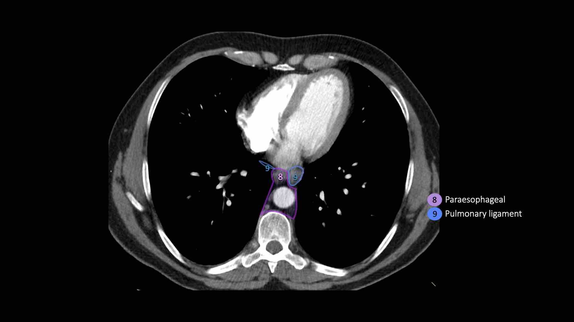
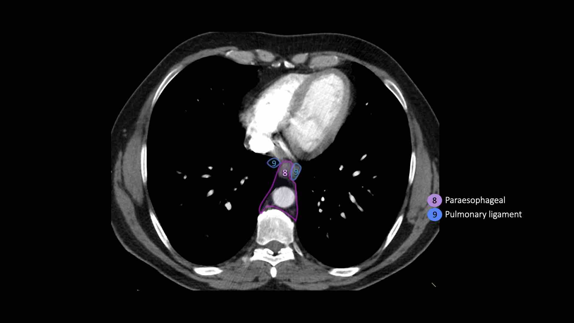
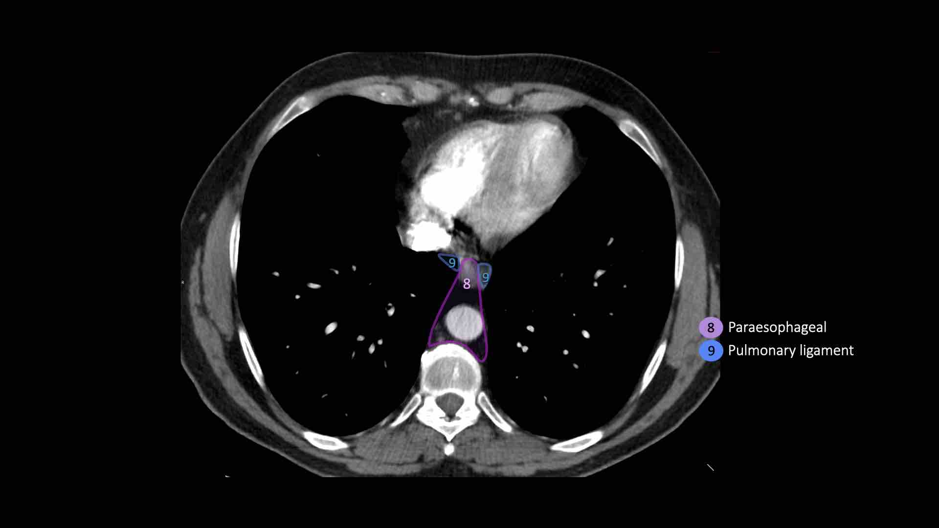
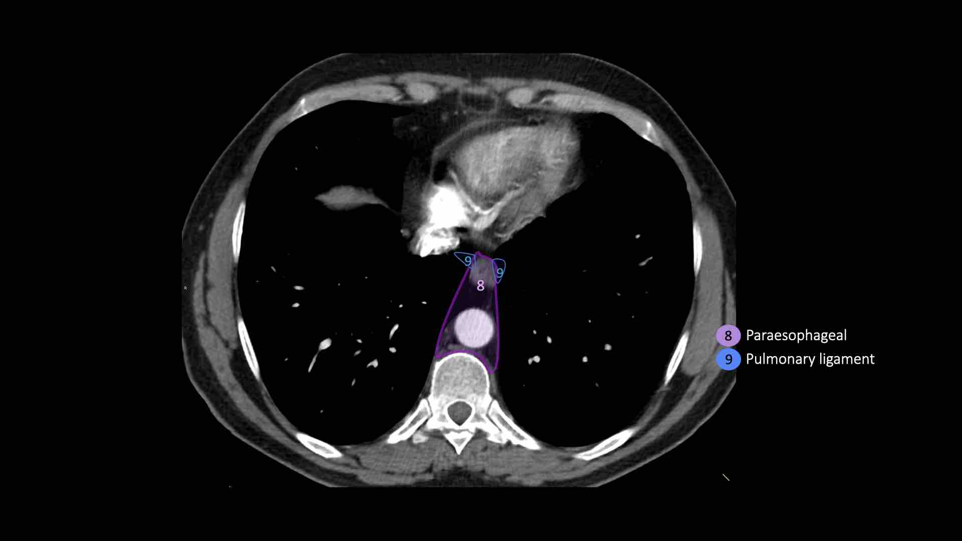
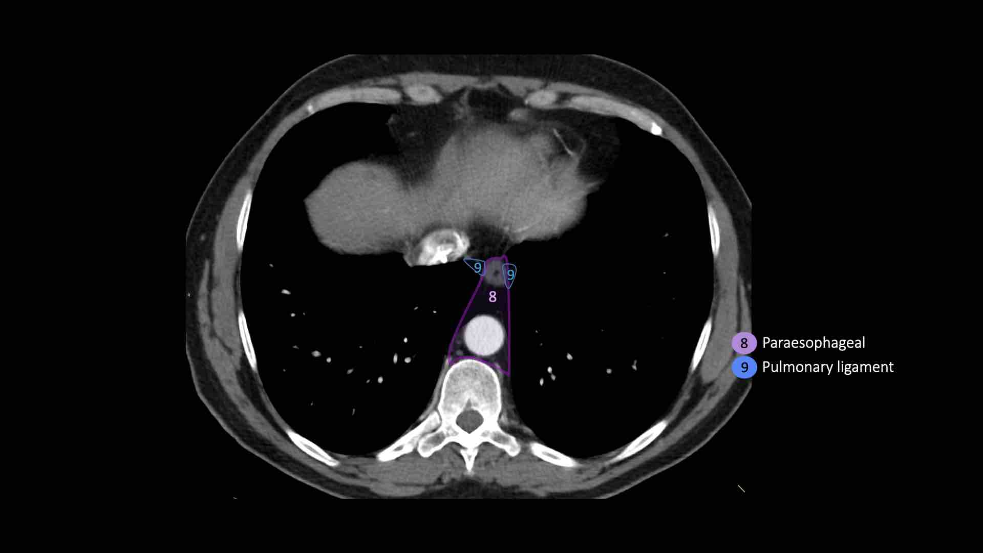
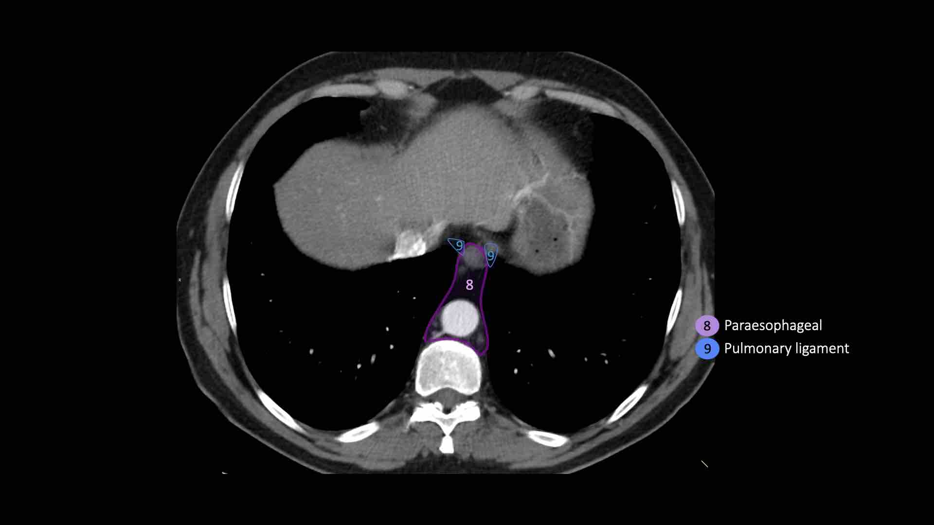
8. Cạnh thực quản
Các hạch nằm dưới carina.
9. Dây chằng phổi
Các hạch nằm trong dây chằng phổi.
Hạch rốn phổi, thùy phổi và (phân) phân thùy nhóm 10-14
Tất cả các hạch này đều thuộc nhóm N1.
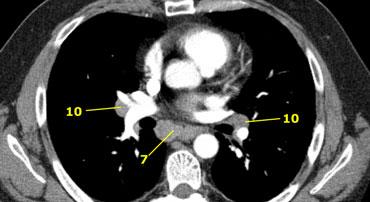
10. Hạch rốn phổi
Bao gồm các hạch tiếp giáp với phế quản gốc và các mạch máu rốn phổi.
Bên phải, trải dài từ bờ dưới tĩnh mạch đơn đến vùng gian thùy.
Bên trái, từ bờ trên động mạch phổi đến vùng gian thùy.
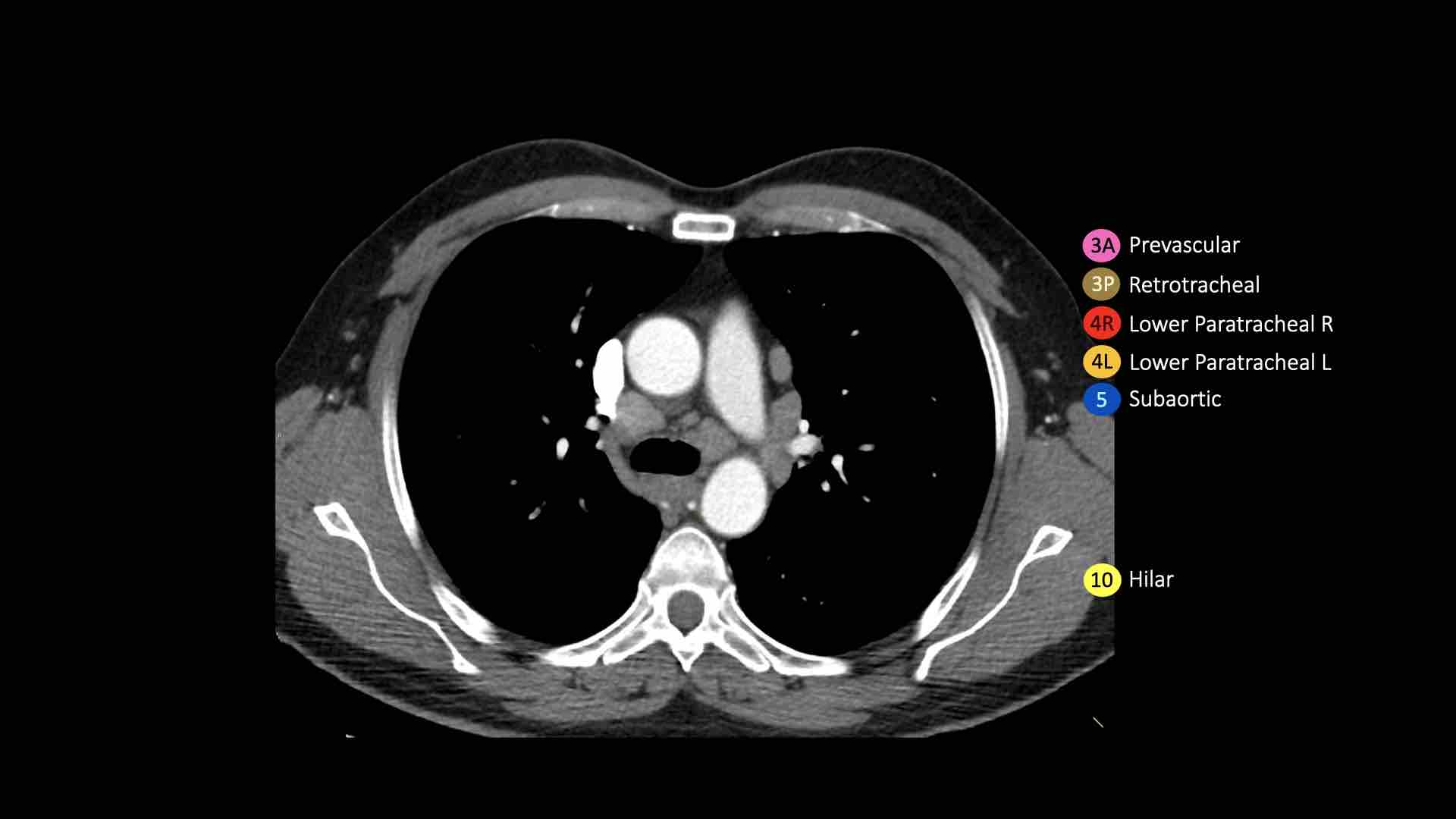
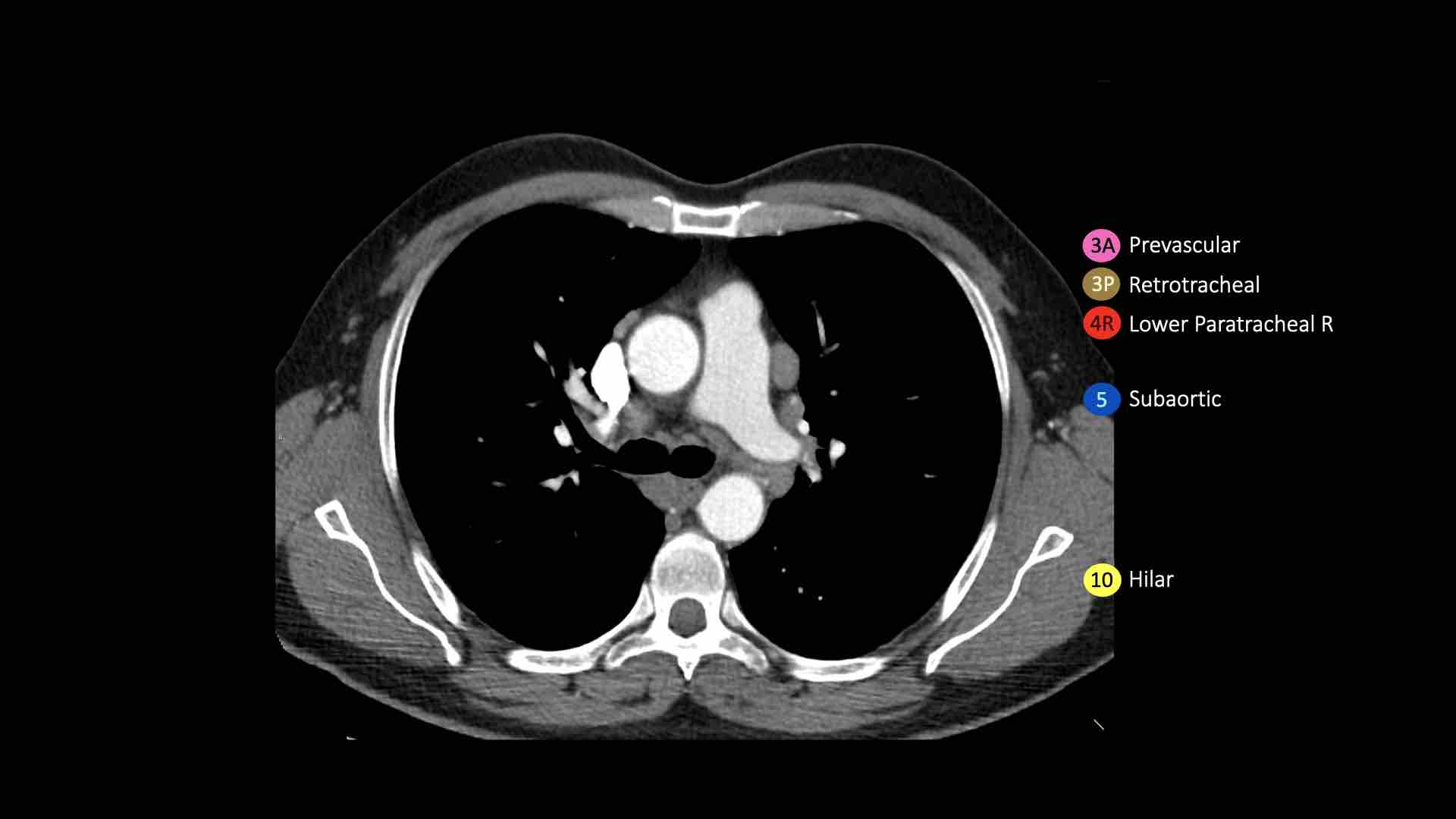
Giải phẫu CT cắt ngang
Nhấp vào hình ảnh để phóng to.
Sau đó cuộn qua các ảnh CT cắt ngang.
Hình ảnh do Bác sĩ Aurelia Fairise thuộc Viện Ung thư Lorraine tại Nancy cung cấp.
Các Vị Trí Hạch Bạch Huyết Cụ Thể
1. Hạch vùng thượng đòn
Bao gồm các hạch cổ thấp, thượng đòn và hạch khuyết ức.
Ranh giới trên: bờ dưới sụn nhẫn.
Ranh giới dưới: xương đòn và bờ trên cán ức.
Đường giữa khí quản là ranh giới phân chia giữa nhóm 1R và 1L.
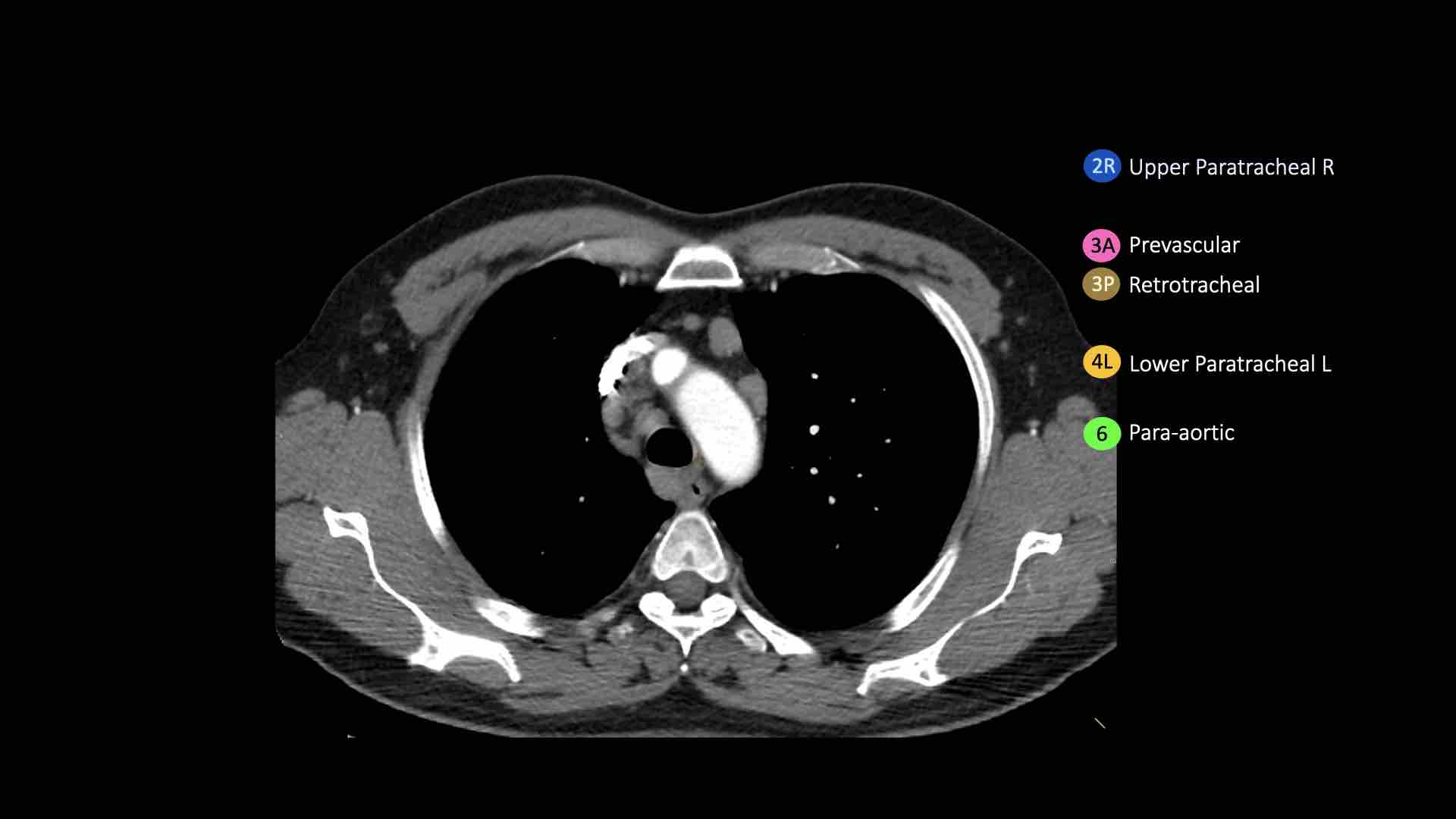
2R. Hạch cạnh khí quản trên bên phải
Hạch nhóm 2R trải dài đến bờ bên trái của khí quản.
Ranh giới trên: bờ trên cán ức.
Ranh giới dưới: giao điểm của bờ dưới tĩnh mạch vô danh (tĩnh mạch tay đầu trái) với khí quản.
2L. Hạch cạnh khí quản trên bên trái
Ranh giới trên: bờ trên cán ức.
Ranh giới dưới: bờ trên quai động mạch chủ.
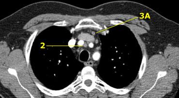
Bên trái là hạch nhóm 2 nằm phía trước khí quản, tức là hạch 2R.
Ngoài ra còn có một hạch trước mạch máu nhỏ, tức là hạch nhóm 3A.
3. Hạch trước mạch máu và trước cột sống
Hạch nhóm 3 không nằm kề khí quản như hạch nhóm 2.
Chúng có thể là:
3A nằm phía trước các mạch máu, hoặc
3B nằm phía sau thực quản, vốn nằm ở vị trí trước cột sống.
Hạch nhóm 3 không thể tiếp cận bằng nội soi trung thất.
Hạch 3P có thể tiếp cận bằng siêu âm nội soi (EUS).
Bên trái là hạch 3A nằm trong khoang trước mạch máu.
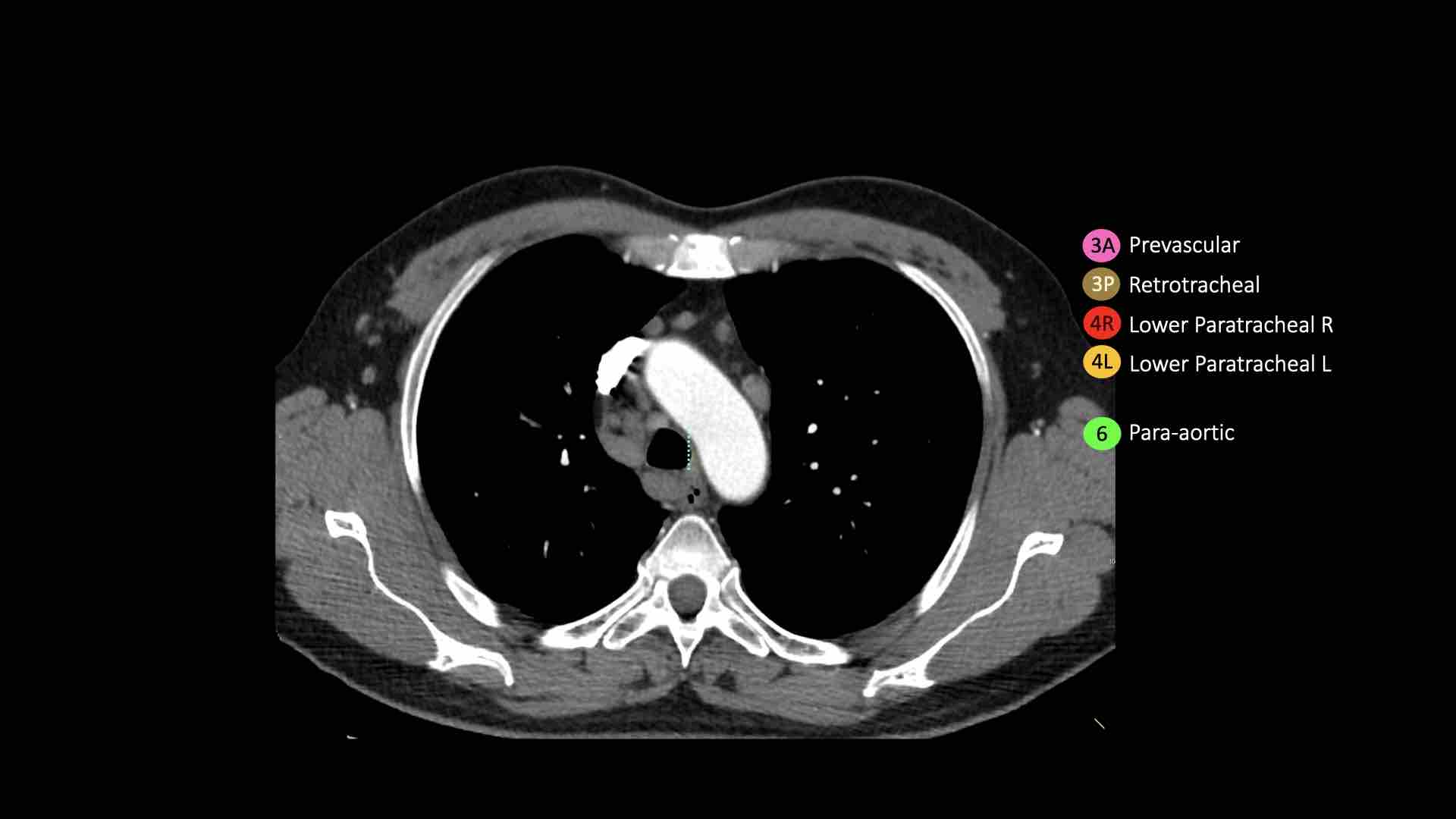
Lưu ý cũng có các hạch cạnh khí quản dưới bên phải, tức là hạch nhóm 4R.
4R. Hạch cạnh khí quản dưới bên phải
Ranh giới trên: giao điểm của bờ dưới tĩnh mạch vô danh (tĩnh mạch tay đầu trái) với khí quản.
Ranh giới dưới: bờ dưới tĩnh mạch đơn.
Hạch nhóm 4R trải dài đến bờ bên trái của khí quản.
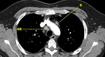
Bên trái là hạch cạnh khí quản 4R.
Ngoài ra còn có một hạch động mạch chủ nằm bên ngoài quai động mạch chủ, tức là hạch nhóm 6.
4L. Hạch cạnh khí quản dưới bên trái
Hạch nhóm 4L là các hạch cạnh khí quản dưới nằm bên trái bờ trái của khí quản, giữa đường nằm ngang tiếp tuyến với bờ trên quai động mạch chủ và đường tiếp tuyến với bờ trên động mạch phổi trái.
Nhóm này bao gồm các hạch cạnh khí quản nằm ở phía trong dây chằng động mạch.
Hạch nhóm 5 (cửa sổ phế động mạch) nằm ở phía ngoài dây chằng động mạch.
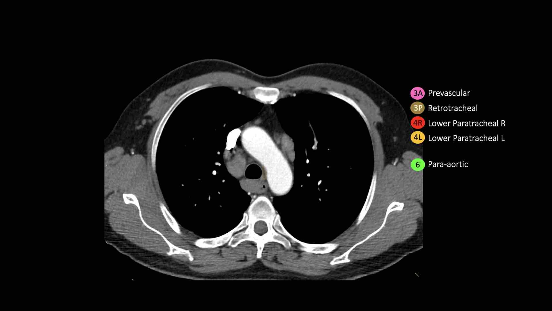
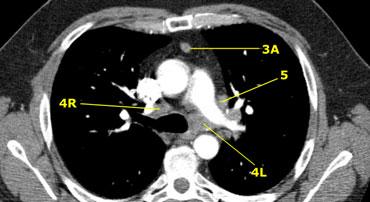
Bên trái là hình ảnh ngay trên mức thân động mạch phổi, cho thấy các hạch cạnh khí quản dưới bên trái và bên phải.
Ngoài ra còn có các hạch nhóm 3 và nhóm 5.
Bên trái là hình ảnh ở mức phần dưới khí quản, ngay trên carina.
Bên trái khí quản là các hạch 4L.
Lưu ý rằng các hạch 4L này nằm giữa thân động mạch phổi và động mạch chủ, nhưng không nằm trong cửa sổ phế động mạch, vì chúng nằm ở phía trong dây chằng động mạch.
Hạch nằm bên ngoài thân động mạch phổi là hạch nhóm 5.
5. Hạch dưới động mạch chủ
Hạch dưới động mạch chủ hay hạch cửa sổ phế động mạch nằm ở phía ngoài dây chằng động mạch hoặc động mạch chủ hoặc động mạch phổi trái, ở đoạn gần trước nhánh đầu tiên của động mạch phổi trái, và nằm trong bao màng phổi trung thất.
6. Hạch cạnh động mạch chủ
Hạch cạnh động mạch chủ (động mạch chủ lên hoặc cơ hoành) nằm ở phía trước và bên ngoài động mạch chủ lên và quai động mạch chủ, từ bờ trên đến bờ dưới của quai động mạch chủ.
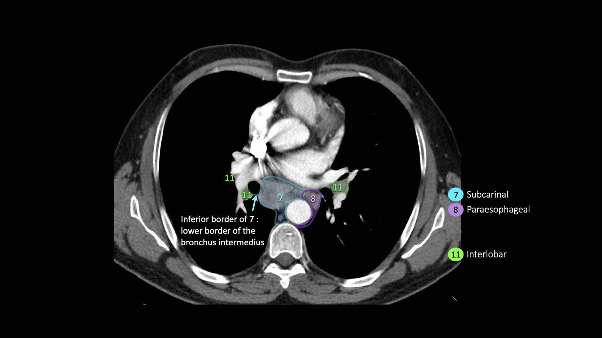
7. Hạch dưới carina
Các hạch này nằm ở phía dưới carina khí quản, nhưng không liên quan đến phế quản thùy dưới hoặc các động mạch trong phổi.
Bên phải, chúng trải dài xuống đến bờ dưới phế quản trung gian.
Bên trái, chúng trải dài xuống đến bờ trên phế quản thùy dưới.
Bên trái là hạch dưới carina nhóm 7 nằm bên phải thực quản.
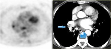
8. Hạch cạnh thực quản
Các hạch này nằm bên dưới các hạch dưới carina và trải dài xuống đến cơ hoành.
Bên trái là hình ảnh dưới mức carina.
Bên phải thực quản là một hạch nhóm 8.
Bên trái là hình ảnh PET cho thấy sự hấp thu FDG tại hạch nhóm 8.
Trên hình CT tương ứng, hạch không to (mũi tên xanh).
Khả năng đây là hạch di căn là cực kỳ cao, vì độ đặc hiệu của PET đối với các hạch không to cao hơn so với các hạch đã to.
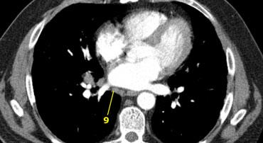
9. Hạch dây chằng phổi
Hạch dây chằng phổi nằm trong dây chằng phổi, bao gồm các hạch ở thành sau và phần dưới của tĩnh mạch phổi dưới.
Dây chằng phổi là phần kéo dài xuống dưới của các nếp gấp màng phổi trung thất bao quanh rốn phổi.
10. Hạch rốn phổi
Hạch rốn phổi là các hạch thùy gần, nằm ở phía xa so với nếp gấp màng phổi trung thất và các hạch kề phế quản trung gian bên phải.
Các hạch từ nhóm 10 đến 14 đều là hạch N1, vì chúng không nằm trong trung thất.
CT Cắt Ngang Hạch Bạch Huyết
Cuộn qua các hình ảnh ở bên trái.
- Hạch bạch huyết khuyết ức có thể quan sát thấy ở mức này và phía trên mức này
- Cạnh khí quản trên: phía dưới xương đòn, bên phải nằm trên giao điểm của bờ dưới tĩnh mạch vô danh (tĩnh mạch tay đầu trái) với khí quản, bên trái nằm trên cung động mạch chủ
- Trước mạch máu và Sau khí quản: nằm trước các mạch máu (3A) hoặc trước cột sống (3P)
- Cạnh khí quản dưới: từ bờ trên cung động mạch chủ xuống đến mức phế quản gốc
- Dưới động mạch chủ (cửa sổ A-P): các hạch bạch huyết nằm bên ngoài dây chằng động mạch hoặc bên ngoài động mạch chủ hay động mạch phổi trái
- Cạnh động mạch chủ: các hạch bạch huyết nằm ở phía trước và bên ngoài động mạch chủ lên và cung động mạch chủ, bên dưới bờ trên của cung động mạch chủ
- Dưới carina
- Cạnh thực quản (phía dưới carina)
- Dây chằng phổi: các hạch bạch huyết nằm trong dây chằng phổi
- -14: tất cả các hạch bạch huyết thuộc nhóm N1
Nội soi trung thất và EUS
Nội soi trung thất cổ quy ước
Các nhóm hạch bạch huyết sau đây có thể được sinh thiết qua nội soi trung thất cổ: hạch cạnh khí quản trên trái và phải (nhóm 2L và 2R), hạch cạnh khí quản dưới trái và phải (nhóm 4L và 4R) và hạch dưới carina (nhóm 7).
Hạch nhóm 1 nằm phía trên hõm ức và thường không được tiếp cận thường quy qua nội soi trung thất cổ.
Nội soi trung thất mở rộng
Các khối u thùy trên phổi trái có thể di căn đến hạch bạch huyết dưới động mạch chủ (nhóm 5) và hạch cạnh động mạch chủ (nhóm 6).
Các hạch này không thể được sinh thiết qua nội soi trung thất cổ thông thường.
Nội soi trung thất mở rộng là một phương pháp thay thế cho phẫu thuật mở trung thất qua khoang liên sườn hai phía trước, vốn được sử dụng phổ biến hơn để thăm dò các nhóm hạch trung thất.
Thủ thuật này khó thực hiện hơn nhiều và do đó ít được áp dụng thường quy hơn so với nội soi trung thất cổ quy ước.
EUS-FNA
Siêu âm nội soi kết hợp chọc hút bằng kim nhỏ (EUS-FNA) có thể được thực hiện đối với tất cả các hạch bạch huyết trung thất có thể tiếp cận từ thực quản.
Ngoài ra, tuyến thượng thận trái và thùy gan trái cũng có thể được quan sát.
EUS đặc biệt hữu ích trong việc tiếp cận các hạch ở trung thất dưới (nhóm 7, 8 và 9).
















































































